Tibial External Fixation: An Intraoperative Masterclass for Trauma Stabilization

Key Takeaway
This masterclass guides orthopaedic fellows through tibial external fixation, covering indications for open and closed fractures, detailed surgical anatomy, and meticulous preoperative planning. We'll execute the procedure step-by-step, emphasizing precise pin insertion, frame assembly, and critical intraoperative decision-making. Learn to manage common pitfalls and optimize postoperative care for successful patient outcomes in complex trauma.
n
---
## DEFINITION
Indications for external fixation of the tibial shaft in trauma applications include the treatment of open fractures with extensive soft tissue devitalization and contamination. Other indications include the stabilization of closed fractures with high-grade soft tissue injury or compartment syndrome. External fixation is favored when the fracture configuration extends into the metaphyseal/diaphyseal junction or the joint itself, making other treatment options problematic. For patients with multiple long bone fractures, external fixation has been used as a method for temporary, if not definitive, stabilization. 3 With the introduction of circular and hybrid techniques, indications have been expanded to include the definitive treatment of complex periarticular injuries, which include high-energy tibial plateau and distal tibial pilon fractures. 4 Hexapod fixators can be used to perform gradual reductions of the tibial shaft or periarticular injuries in cases of severe soft tissue injury where soft tissue coverage procedures are contraindicated and in cases of delayed presentation where acute distraction and reduction would compromise neurovascular elements 12 ( FIG 1F). ### FIG 1 • A. Simple monolateral four-pin frame with a double-stack connecting bar to increase frame stability. B. X-ray demonstrating ability to connect the fixation pins to each limb segment in a variety of ways to achieve a congruent reduction. C. Large monotube fixator spanning the ankle for a severe pilon fracture. This was applied to temporize the soft tissues before definitive open stabilization of the injury.
(continued)
Contemporary external fixation systems in current clinical use can be categorized according to the type of bone anchorage used. Fixation is achieved either using large threaded pins, which are screwed into the bone, or by drilling smalldiameter transfixion wires through the bone. The pins or wires are then connected to one another through the use of longitudinal bars or circular rings. The distinction is thus between monolateral external fixation (longitudinal connecting pins to bars) and circular external fixation (wires and/or pins connecting to rings). Acute trauma applications primarily use monolateral frame configurations and are the focus of techniques described here. The first type of monolateral frame is modular with individual components: separate bars, attachable pin-bar clamps, bar-to-bar clamps, and Schanz pins ( FIG 1A,B). These “simple monolateral” frames allow for a wide range of flexibility with “build-up” or “build-down” capabilities. 531
---
### FIG 1 •
(continued)
D,E. Small tensioned wire circular fixator used for definitive management of a distal tibial periarticular fracture with proximal shaft extension. The versatility of these frames allows for spanning into the foot to maintain a plantigrade position. F. A hexapod frame attached to the bone with large Schanz pins. This frame allows for gradual correction of fracture displacement over time by adjusting the six distractors. The second type of monolateral frame is a more constrained type of fixator that comes preassembled with a multipin clamp at each end of a long rigid tubular body. The telescoping tube allows for axial compression or distraction of this so-called monotube-type fixator ( FIG 1C). For diaphyseal injuries, the most common type of fixator application is the monolateral frame using large pins for skeletal stabilization. Simple monolateral fixators have the distinct advantage of allowing individual pins to be placed at different angles and varying obliquities while still connecting to the bar. This is helpful when altering the pin position to avoid areas of soft tissue compromise (ie, open wounds or severe contusion). 9 The advantage of the monotube-type fixator is its simplicity. Pin placement is predetermined by the multipin clamps. Loosening the universal articulations between the body and the clamps allows these frames to be easily manipulated to reduce a fracture. Many high-energy fractures involve the metaphyseal regions, and transfixion techniques using small tensioned wires are ideally suited to this region. They have better mechanical stability and longevity than traditional half-pin techniques. Small tensioned wire circular frames or hybrid frames (frames using a combination of large half-pins and transfixion wires) can be useful in patients with severe tibial metaphyseal injuries that occur in concert with other conditions such as soft tissue compromise or compartment syndrome or in patients with multiple injuries ( FIG 1D,E). 532 Hexapod fixators are ring fixators consisting of six distractors and 12 ball joints which allow for 6 degrees of freedom of bone fragment displacement. By adjusting the simple distractors, gradual three-dimensional corrections or acute reductions are possible without the need for complicated frame mechanisms ( FIG 1F).
## ANATOMY
The bulk of the tibia is easily accessible in that most of the diaphyseal portions are subcutaneous. The hard cortical bone found in this location is ideally suited to the placement of large Schanz pins, which achieves excellent mechanical fixation. The cross-sectional anatomy of the diaphysis and the lateral location of the muscular compartments allow placement of half-pins in a wide range of subcutaneous locations. This facilitates pin placement “out of plane” or divergent to each other, which helps achieve excellent frame stability ( FIG 2). The proximal and distal periarticular metaphyseal regions of the tibia are also subcutaneous except for their lateral surfaces. The bone in these locations is primarily cancellous, with thin cortical walls.
---
### FIG 2 • A-D. Cross-sectional anatomy of the tibia at all levels. The proximal cross-section demonstrates the ability to achieve at least 120 degrees of pin divergence in this region with progressively smaller diversion angles as the pins are placed distally. It is important to avoid tethering of any musculotendinous structures. To accomplish this, pins are placed primarily along the subcutaneous border of the tibia. E. Model showing similar pin placement avoiding the anterolateral and posterior muscular compartments. Posterior cortex pin protrusion is minimal to avoid damaging any posterior neurovascular structures. The mechanical stability achieved with half-pins depends on cortical purchase and therefore may not be adequate for fixation in this cortex-deficient region. Excellent stability is afforded in these areas by using smalldiameter tensioned transfixion wires in conjunction with circular external fixators. Metaphyseal transfixion wires can be combined with diaphyseal half-pins can be combined to produce frames for periarticular fracture fixation for complex pilon and plateau fractures.
## PATHOGENESIS
Open tibial diaphyseal fractures are primarily candidates for closed intramedullary nailing, but there are occasions when external fixation is indicated. External fixation is favored when there is significant contamination and severe soft tissue injury or when the fracture configuration extends into the metaphyseal-diaphyseal junction or the joint itself, making intramedullary nailing problematic. 533 The choice of external fixator type depends on the location and complexity of the fracture as well as the type of wound present when dealing with open injuries. The less stable the fracture pattern (ie, the more comminution), the more complex a frame needs to be applied to control motion at the bone ends. If possible, weight bearing should be a consideration. If periarticular extension or involvement is present, the ability to bridge the joint with the frame provides satisfactory stability for both hard and soft tissues. It is important that the frame be constructed and applied to allow for multiple débridements and subsequent soft tissue reconstruction. This demands that the pins are placed away from the zone of injury to avoid potential pin site contamination with the operative field. Fractures treated with external fixation heal with external bridging callus. External bridging callus is largely under the control of mechanical and other humoral factors and is highly dependent on the integrity of the surrounding soft tissue envelope. This type of fracture healing has the ability to bridge large gaps and is very tolerant of movement. Micromotion with the external fixator construct has been found to accentuate fracture union. It results in the development of a large callus with formation of cartilage due to the greater inflammatory response caused by increased micromovement of the fragments. There appears to be a threshold at which the degree of micromotion becomes inhibitory to this overall remodeling process, however, so hypertrophic nonunion can result from an unstable external frame. Temporary spanning fixation for complex articular injuries is used routinely. The ability to achieve an initial ligamentotaxis reduction substantially decreases the amount of injuryrelated swelling and edema by reducing large fracture gaps. It is important to achieve an early ligamentotaxis reduction: A delay of more than a few days will result in an inability to disimpact and adequately reduce displaced metaphyseal fragments with distraction alone. Once the soft tissues have recovered, definitive open reconstruction can be accomplished with relative ease as the operative tactic can be directed to the area of articular involvement. 13 Application of these techniques in a polytrauma patient is valuable when rapid stabilization is necessary for a patient in extremis. Simple monolateral or monotube fixators can be placed rapidly across long bone injuries, providing adequate stabilization to facilitate the management and resuscitation of the polytrauma patient ( FIG 3).
## NATURAL HISTORY
The stability of all monolateral fixators is based on the concept of a simple “four-pin frame.” Pin number, pin separation, and pin proximity to the fracture site, as well as bone bar distance and the diameter of the pins and connecting bars, all influence the final mechanical stability of the external fixator frame. 1 Large pin monolateral fixators rely on stiff pins for frame stability. On loading, these pins act as cantilevers and produce eccentric loading characteristics. Shear forces are regarded as inhibitory to fracture healing and bone formation, and this may be accentuated with pins placed in all the same orientation.
---
### FIG 3 • Polytrauma patient with bilateral temporary spanning fixators. External fixation on the
right side
spans bicondylar tibial plateau fracture with an ipsilateral pilon fracture. The left knee is bridged to stabilize a tibial plateau fracture and a severe bimalleolar ankle fracture. The left leg injury is complicated by a compartment syndrome with open fasciotomy wounds. After stable frame application, the soft tissue injury can be addressed. Once the soft tissues have healed, conversion to definitive internal fixation can be safely accomplished. In some cases, the external device is the definitive treatment. Dynamic weight bearing is initiated at an early stage once the fracture is deemed stable. In fractures that are highly comminuted, weight bearing is delayed until visible callus is achieved and sufficient stability has been maintained. As healing progresses, active dynamization of the frame may be required to achieve solid union. Dynamization converts a static fixator, which seeks to neutralize all forces including axial motion, and allows the passage of forces across the fracture site. As the elasticity of the callus decreases, bone stiffness and strength increase and larger loads can be supported. 7 Thus, axial dynamization helps to restore cortical contact and to produce a stable fracture pattern with inherent mechanical support. 2 This is accomplished by making adjustments in the pin-bar clamps with simple monolateral fixators or in releasing the body on a monotube-type fixator. Bony healing is not complete until remodeling of the fracture has been achieved. At this stage, the visible fracture lines in the callus decrease and subsequently disappear. The fixator can be removed at this point.
## PATIENT HISTORY AND PHYSICAL FINDINGS
History should focus on the mechanism of injury. Determining whether the injury was high energy versus low energy gives the surgeon an idea of the extent of the soft tissue zone of injury and will help determine the possible location of fixation pins. Determining the location of the accident is helpful in cases of open fracture (ie, open field with soil contamination vs. slip and fall on ice and snow). These parameters give the surgeon an idea as to the extent of intraoperative débridement that might be required to cleanse the wound and the necessary antibiotic coverage for the injury. 534
---
### FIG 4 • A. Extensive open grade 3b injury with bone and soft tissue loss dictates judicious pin placement to avoid placing pins directly into the open wound. B. The ability to place fixation pins out of the zone of injury allows multiple débridements to be performed with disturbing the original fixation montage. An intercalary antibiotic spacer was inserted in the skeletal defect to augment the overall frame stability. C. The extensive lacerations in this grade 3b injury determined the variable pin placement of this monolateral frame spanning the large zone of injury and helped facilitate multiple débridement procedures for this complex tibial shaft fracture. The frame was spanned across the ankle to control the hindfoot due to a partial heel pad avulsion. The neurovascular status should be documented, specifically the presence or absence of the anterior and posterior tibial pulses at the ankle. A weak or absent pulse may be an indication of vascular injury and may dictate further evaluation with ankle-brachial indices, compartment pressure evaluation, or a formal arteriogram. Evaluation of compartment pressures is often indicated in open fractures and closed high-energy fractures with severe soft tissue contusion. Evaluation of soft tissues and grading of the open fracture with regard to the size, orientation, and location of the open wounds aid in decision making about pin placement and the configuration of the fixator to allow access to open wounds ( FIG 4).
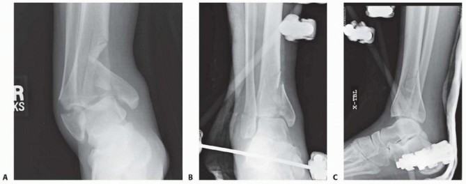
## IMAGING AND OTHER DIAGNOSTIC STUDIES
Imaging of the tibia should include at least two orthogonal views, anteroposterior and lateral.
---
FIG 5 • A-C. Injury and post external fixation films demonstrating an ankle-spanning frame stabilizing a complex pilon fracture.
(continued)
Radiographs of the knee and ankle are necessary to evaluate any articular fracture involvement or associated knee or ankle subluxation or dislocation. Identifying any occult fracture lines aids in the preoperative planning of potential pin placement. Many patients with high-energy tibial fractures have associated foot injuries, and views of the foot and ankle are necessary to identify this injury pattern. Traction radiographs of articular injuries of the tibia are useful to identify the nature and orientation of metaphyseal fragments as well as degree of articular impaction. This aids in determining whether a joint-spanning fixator is necessary. Distraction computed tomography (CT) scans should be obtained
after
the knee- or ankle-spanning fixator has been applied. These studies indicate the effectiveness of the ligamentotaxis reduction. This allows the surgeon to determine the preoperative plan for definitive fixation once the soft tissues have recovered 14 ( FIG 5). 535
---
### FIG 5 •
(continued)
D,E. CT scan obtained post distraction in the frame provides valuable information to help determine the preoperative plan for delayed definitive reconstruction once the soft tissues have recovered.
*
SURGICAL MANAGEMENT The surgical decisions relate to the configuration of the external device to be applied. These generally will fall into two categories of treatment options. The first category is a temporary device intended to allow the soft tissues to recover or the patient's overall condition to improve until definitive fixation of the injury can be safely carried out. Temporary frames include knee- or ankle-spanning fixators used in cases of periarticular injuries requiring ligamentotaxis reduction and relative stabilization and simple frames spanning a tibial shaft fracture in the case of a polytrauma patient who needs emergent stabilization of injuries. These frames are later converted to intramedullary nails once the patient can undergo additional surgery. 6 They are simplistic and not intended for long-term treatment times. Definitive treatment fixators are primarily applied to diaphyseal injuries with severe soft tissue compromise (open and closed).
---
### FIG 6 • A-C. A knee-spanning frame is applied for a complex plateau fracture with associated compartment syndrome. The injured limb is elevated using sterile bumps or a beanbag patient positioner placed under the ipsilateral hi This allows the injured leg to be visualized via fluoroscopy without interference from the opposite “down” leg. A sterile bump is also used to support the ankle, allowing 360-degree access to the injured tibial plateau region and providing clearance for any fixator configuration or secondary procedure necessary. These devices are maintained throughout the entire treatment period to allow access to soft tissues and facilitate secondary procedures such as rotational or free flap coverage as well as delayed bone grafting. These frames are more involved and are intended to remain in place for the entire treatment period (ie, hexapod fixators). ## Preoperative Planning Evaluation of injury radiographs should identify any distal or proximal articular extension into the knee or ankle joint. Location of the primary fracture is noted in terms of proximal or distal locations to help decide on a particular fixator construct and to help determine if a joint-spanning fixator is required. ## Positioning The patient's entire lower extremity is elevated using bumps or a beanbag patient positioner under the ipsilateral hip ( FIG 6). This elevates the tibia off the operating table. 536 The foot can be supported with a sterile bump, thus suspending the limb and allowing full 360-degree access and visualization of the limb. Elevating the limb positions the nonoperative leg below the operative limb, which aids in placing out-of-plane pins as well as circular frame components. The image intensifier is positioned opposite the operative leg. This aids in fluoroscopic visualization of the femur and knee, which is important when applying a knee-spanning fixator for a severe tibial plateau fracture. The location of any proposed periarticular incisions should be carefully marked on the skin to ensure that eventual pin placement does not encroach into this region 8 (see FIG 6). ## Approach The integrity of the pin-bone interface is a critical factor in determining the longevity of an applied external fixation pin. Pin insertion technique is important in achieving an infection-free, stable pin-bone interface and thus maintaining frame stability. ## TECHNIQUES
-
Pin Insertion Technique The correct insertion technique involves incising the skin directly at the side of pin insertion. After a generous incision is made, dissection is carried directly down to bone and the periosteum is incised where anatomically feasible ( TECH FIG 1A). A small Penfield-type elevator is used to gently reflect the periosteum off the bone at the site of insertion ( TECH FIG 1B). Extraneous soft tissue tethering and necrosis is avoided by minimizing soft tissue at the site of insertion.
---
### TECH FIG 1 • Proper pin insertion technique. A. A generous incision is made over the location of the pin site. B. A small elevator is used to elevate all soft tissues, including the periosteum, off the bone to help avoid the tethering of excessive soft tissues during predrilling and pin insertion. C. A trocar is advanced to bone to protect the soft tissues. D. The pin site is predrilled through the trocar to avoid incarcerating and tethering soft tissues. E,F. A T-handle insertion chuck is used to hand-torque the pin into position, achieving purchase in both the near and far cortices.
(continued)
A trocar and drill sleeve are advanced directly to bone, minimizing the amount of soft tissue entrapment that might be encountered during predrilling ( TECH FIG 1C,D). A sleeve should also be used if a self-drilling pin is selected. After predrilling, an appropriate-size depth of pin is advanced by hand to achieve bicortical purchase. Any offending soft tissue tethering should be released with a small scalpel ( TECH FIG 1E,F). Fluoroscopy is used to ensure that transcortical pin placement is avoided ( TECH FIG 1G). 537
---
- TECH FIG 1 • (continued) G. It is important to place the trocar over the center of the medullary canal and confirm its location to ensure that the pin captures the near cortex, medullary canal, and far cortex. This confirms that a transcortical pin is avoided, as these pins can be stress risers and may lead to pin-related fracture or pin infection due to the drilling and placement in only hard, dense cortical bone.
-
Monolateral Four-Pin Frame Application for Tibial Shaft Fracture Contemporary simple monolateral fixators have clamps that allow independent adjustments at each pin-bar interface, allowing wide variability in pin placement, which helps to avoid areas of soft tissue compromise. Because of this feature, simple four-pin placement may be random on either side of the fracture. ### Option 1 The initial two pins are first inserted as far away from the fracture line as possible in the proximal fracture segment and as distal as possible in the distal fracture segment ( TECH FIG 2A). A solitary connecting rod is attached close to the bone to increase the rigidity of the system. Longitudinal traction is applied and a gross reduction is achieved ( TECH FIG 2B-F). The intermediate pins can then be inserted using the pin fixation clamps attached to the rod to act as templates with drill sleeves as guides. These pins should not encroach on the open wound or severely contused skin in the immediate zone of injury. After placement of these two additional pins, the reduction can be achieved with minimal difficulty by additional manipulation of the fracture. Once satisfactory reduction has been accomplished, the clamps are tightened and reduction is confirmed via fluoroscopy. ### Option 2 Alternatively, all the fixation pins can be inserted independent of each other, with two pins proximally and two pins distally ( TECH FIG 3). The two proximal pins are connected to a solitary bar and the distal two pins are connected to a solitary bar. Both proximal and distal bars are then used as reduction tools to manipulate the fracture into alignment. Once reduction has been achieved, an additional bar-to-bar construct between the two fixed-pin couples is connected. Reduction is confirmed under fluoroscopy. 538
---
### TECH FIG 2 • Placement of a simple four-pin monolateral fixator. A. Two pins are placed on either side of the fracture as far from the fracture as possible. A connecting bar is then attached to the two pins (B) and a gradual reduction is performed (C-F). Two pins are then placed as close to the fracture as possible on either side, after longitudinal traction has accomplished a reduction. The inner pins are then attached, and the reduction is fine-tuned. 539
---
### TECH FIG 3 • Alternative method for simple four-pin monolateral fixator. A,B. Once the bar is attached, two intercalary clamps can be positioned as templates for the placement of the interior pins. C. Final construct after interior pin placement. D. The proximal and distal two pins can be attached to each other by a solitary bar. These bars can then be used as tools to reduce the fracture. E. The two bars are then connected by a solitary bar, and the fracture reduction is maintained. F,G. Closed fracture with associated compartment syndrome is reduced and stabilized using a four-pin fixator with a double stack bar for stability, and the foot is spanned to maintain a plantigrade foot. H. Similar tibial fracture reduced with four pins and a single bar. Note pins out of plane to each other to facilitate ease of pin insertion.
-
Monotube Four-Pin Frame Application for Tibial Shaft Fracture Use of the large monotube fixators facilitates rapid placement of these devices, with the fixed-pin couple acting as pin templates ( TECH FIG 4). Two pins are placed through the fixator pin couple proximal to the fracture. They are inserted parallel to each other at fixed distances set by the pin clamp itself. These are usually oriented along the direct medial or anteromedial face of the tibial shaft. Once the pins are inserted, the pin clamp is tightened to secure them in place. 540
---
### TECH FIG 4 • A. Tibial shaft fracture with displacement. B. Monotube fixator adjusted to length and orientation, with all ball joints and the telescoping central body loosened. C. Proximal two pins applied using pin couple as template. D. Distal pins inserted and fracture reduced with all ball joints locked to maintain reduction. Telescoping body is also locked to maintain axial alignment. E,F. Injury and reduction radiographs using a large-body monotube fixator for an open comminuted tibial shaft fracture. The monotube body is then attached to the proximal pin couple and longitudinal traction applied to achieve a “gross” reduction. The fixator body and distal multipin clamp are oriented along the shaft of the tibia. The proximal and distal ball joints should be freely movable with the telescoping body extended. Two pins are placed through the pin couple distal to the fracture and tightened. Care must be taken to allow adequate length of the monotube frame before final reduction and tightening of the body. 11 541 Using the proximal and distal pin clamps as reduction aids, the fracture is manually reduced. The proximal and distal ball joints are then tightened, accomplishing a reduction. At this point, the telescoping body can be extended or compressed to dial in the axial alignment. When length is achieved, the body component is tightened to maintain axial length. Monotube bodies have a very large diameter, which limits the amount of shearing, torsional, and bending movements of the fixation construct. Axial compression is achieved by releasing the telescoping mechanism. Dynamic weight bearing is initiated at an early stage once the fracture is deemed stable. In fractures that are highly comminuted, weight bearing is delayed until visible callus is achieved and sufficient stability has been maintained. The telescopic body allows dynamic movement in an axial direction, which is a stimulus for early periosteal healing.
3. ##
Knee-Spanning Fixator of Tibial Plateau Fracture Two Schanz pins are placed along the anterolateral thigh. These pins are placed in the midshaft region of the femur ( TECH FIG 5). Two Schanz pins are then inserted into the midshaft and distal tibia. Apply the tibial pins far enough away from the distal extension of the proximal tibia such that any future incisions required to perform definitive open reduction and internal fixation of the plateau fracture would not impinge on the pins.
---
### TECH FIG 5 • A. Open tibial plateau to be stabilized with knee-spanning fixator. B. Following a gentle manual reduction, the proposed location for eventual fixation incisions, as well as proposed pin sites, are marked on the skin. C. Two pins each above (distal femur) and below (mid tibia) the plateau fracture zone of injury are applied.
(continued)
A solitary bar can then be used to span all pins. Longitudinal traction is applied and reduction confirmed under fluoroscopy. Slight flexion of the knee is maintained and all connections are tightened to maintain the ligamentotaxis reduction. Alternatively, the proximal two femur pins can be connected using a single bar and the two tibial pins with a second bar. These two bars can then be manipulated to achieve a reduction of the plateau, and a third bar connecting the proximal femoral and distal tibial bars is then attached and tightened to maintain the reduction. A large monotube fixator can also be used in this fashion to span the knee and maintain a temporary reduction. 542
---
### TECH FIG 5 •
(continued)
D,E. One single bar connects the proximal two pins to the distal two pins. The fracture is then reduced and the clamps tightened. A second bar was added for stability, bridging the fracture.
Ankle-Spanning Fixator for Tibial Pilon Fracture Two Schanz pins are placed into the midshaft tibial region ( TECH FIG 6). Avoid any compromised soft tissues and possible fracture extension if spanning the ankle for a severe pilon fracture with shaft extension.
---
### TECH FIG 6 • Ankle-spanning fixators bridging a severe pilon fracture. A,B. Two pins are placed into the proximal tibia, out of the distal fracture zone of injury. A calcaneal transfixion pin is placed through the calcaneal tuberosity and subsequent medial-lateral triangulation connecting bars are attached. Longitudinal traction is applied, and all bars are tightened to maintain reduction. A forefoot pin is placed into the first metatarsal to maintain the foot in a neutral position and avoid equinus contracture.
(continued)
A centrally threaded transfixion pin is then placed through the calcaneal tuberosity from medial to lateral, avoiding the posterior tibial artery. The appropriate location for this pin is 1.5 cm anterior to the posterior aspect of the heel and 1.5 cm proximal to the plantar aspect of the heel. This location is confirmed via fluoroscopy. A solitary bar is connected to the tibial pins. 543
---
### TECH FIG 6 •
(continued)
C. Similar pin configuration with a triangular frame. First and fifth metatarsal pins with a forefoot bar were applied to maintain a neutral foot position. D. Skin demonstrates wrinkles and at this time is amenable to formal open reconstructive procedures. Medial and lateral bars are then connected to each side of the heel pin, making a triangular configuration. Longitudinal traction is carried out to obtain length, and care is taken to achieve appropriate anteroposterior reduction. To maintain a plantigrade foot and to maintain alignment, a pin is placed into the base of the first or second metatarsal. 15 This forefoot pin is then connected to the main frame with a connecting bar and the foot is held in neutral dorsiflexion. 1. ## Two-Pin Fixator: Temporary Stabilization for Tibial Shaft, Pilon, or Plateau Fractures This is a temporary frame designed for rapid distraction and gross reduction used for all types of tibial pathology. A proximal centrally threaded transfixion pin is applied one fingerbreadth proximal to the tip of the proximal fibula. It is inserted from lateral to medial ( TECH FIG 7A,B). Alternatively, this pin can be placed into the distal femur at the level of the midpatella along the midlateral condyle of the femur. A second transfixion pin is placed through the calcaneal tuberosity, similar to the ankle-spanning frame described earlier. Two long connecting bars are then attached to the pins on each side of the leg. Longitudinal traction is applied and a gross reduction is achieved. In some circumstances, a third pin is placed into the tibial shaft and attached to one of the longitudinal bars by a third connecting bar ( TECH FIG 7C,D). This is done to add stability to this very simple frame (TECH FIG 7E-G).
---
### TECH FIG 7 • A,B. Application of spanning two-pin fixator “traveling traction” with attachment of medial and lateral bars. This is used as a very temporary frame to stabilize a variety of conditions.
(continued)
544
---
### TECH FIG 7 •
(continued)
C,D. Two-pin fixator used to stabilize a severe plateau fracture. A third pin was inserted into the distal third of the tibia to provide additional stability. The frame is prepped directly into the operative field at the time of secondary surgery to definitively stabilize the fracture using a medial buttress plate. E. Modified two-pin fixator with an additional half-pin placed above and below the fracture for added stability prior to intramedullary nailing of the shaft injury. F. Spanning two-pin frame providing initial stabilization to a severe open tibia with soft tissue and bone loss. This temporizes the injury and allows for additional staging procedures. G. Simple two-pin frame previously applied, now used as a reduction aid at the time of definitive intramedullary nailing. 545 PEARLS AND PITFALLS ---
| |
| Pin | |
1. Areas of soft tissue compromise, open wounds, and occult fracture lines as identified placement location on CT scans should be avoided. This prevents any associated pin tract infection from involving the fracture site. The frame must be constructed and applied to allow for multiple débridements, subsequent soft tissue reconstruction, and definitive secondary internal fixation conversions. Thus, the pins must be placed away from the zone of injury to avoid potential pin site contamination with the operative field. (Mark proposed incisions on skin prior to pin placement.) Pin insertion technique
1.
Adequate skin release is provided to avoid tethering or bunching of soft tissues around pins. Pins are overwrapped with small gauze wrap to provide a stable pin-skin interface and to avoid excessive pin-skin motion and development of tissue necrosis and infection. Temporary frames require adjunctive splinting of knee, leg, ankle, and foot.
1.
Temporary spanning frames are
not
excessively rigid and require additional splinting to maintain the foot in neutral and to avoid the development of equinus contractures. Alternatively, span frame into foot using metatarsal pins to maintain a plantigrade foot.
## POSTOPERATIVE CARE
A compressive dressing should be applied to the pin sites immediately after surgery to stabilize the pin-skin interface and thus minimize pin-skin motion, which can lead to the development of necrotic debris. Compressive dressings can be removed within 10 days to 2 weeks once the pin sites are healed. If appropriate pin insertion technique is used, the pin sites will completely heal around each individual pin. Once healed, only showering, without any other pin cleaning procedures, is necessary. 10 Removal of a serous crust around the pins using dilute hydrogen peroxide and saline may occasionally be necessary. Ointments should not be used for pin care. They tend to inhibit the normal skin flora and alter the normal skin bacteria and may lead to superinfection or pin site colonization. If pin drainage does develop, pin care should be provided three times per day. This may also involve rewrapping and compressing the offending pin site in an effort to minimize the abnormal pin-skin motion. Following a standardized protocol that involves precleaning the external fixator frame, followed by alcohol wash, sequential povidone-iodine preparation, paint, and spray with air drying followed by draping the extremity and fixator directly into the operative field, additional surgery can be safely performed without an increased rate of postoperative wound infection. Definitive treatment with an external fixator demands close scrutiny of the radiographs to ensure that the fracture has completely healed before frame removal. Various techniques have been described, including CT scans, ultrasound, and bone densitometry, to determine the adequacy of fracture healing. In general, the patient should be fully weight bearing with minimal pain at the fracture site. The frame should be fully dynamized such that the load is being borne by the patient's limb rather than by the external fixator.
## OUTCOMES
Staged management of high-energy tibial plateau and tibial pilon fractures using spanning external fixation to allow the recovery of soft tissues has reduced the overall rates of soft tissue complications. With secondary plating procedures after soft tissue recovery, infection rates have been reported to be less than 5% for complex plateau fractures and less than 7% for complex pilon fractures. No severe complications related to the temporary external fixator alone have been reported. Immediate external fixation followed by early, closed, interlocking nailing has been demonstrated to be a safe and effective treatment for open tibial fractures if early ( <21 days after injury) conversion to intramedullary nailing is performed. Early soft tissue coverage and closure is the primary determinant of delayed infection, highlighting the need for effective soft tissue management and early closure of open injuries. Definitive treatment of open tibial fractures with external fixation has a higher rate of malunion compared with intramedullary nailing. No difference in union rates is noted. Slightly higher rates of infection are noted in the external fixation grou The severity of the soft tissue injury rather than the choice of implant appears to be the predominant factor influencing outcome. External fixation is preferentially used in patients with the most severe soft tissue injuries or wound contamination.
## COMPLICATIONS
Wire and pin site complications include pin site inflammation, chronic infection, loosening, or metal fatigue failure. Minor pin tract inflammation requires more frequent pin care consisting of daily cleansing with mild soap or halfstrength peroxide and saline solution. Occasionally, an inflamed pin site with purulent discharge will require antibiotics and continued daily pin care. Severe pin tract infection consists of serous or seropurulent drainage in concert with redness, inflammation, and radiographs showing osteolysis of both the near and far cortices. Once osteolysis occurs with bicortical involvement, the offending pin should be removed immediately, with débridement of the pin tract. 5 Late deformity after removal of the apparatus usually presents as a gradual deviation of the limb. This often occurs if the patient and surgeon become “frame weary,” which results in frame removal before healing is complete. One should always err on the conservative side and leave the frame on for an extended time to ensure that the fracture has healed. 546 When late deformity occurs, it usually has an unsatisfactory outcome unless collapse is detected early and the frame is reapplied. If untreated, the resulting malunion requires secondary osteotomy procedures. Early detection of delayed union often requires adjunctive bone grafting for previously open shaft fractures. ##
Scientific References
- 1. Behrens F, Johnson W. Unilateral external fixation: methods to increase and reduce frame stiffness. Clin Orthop Relat Res 1989;(241): 48-56. **2.** Chao EY, Aro HT, Lewallen DG, et al. The effect of rigidity on fracture healing in external fixation. Clin Orthop Relat Res 1989;(241): 24-35. **3.** Della Rocca GJ, Crist BD. External fixation versus conversion to intramedullary nailing for definitive management of closed fractures of the femoral and tibial shaft. J Am Acad Orthop Surg 2006;14(10) (suppl):S131-S135. **4.** Egol KA, Tejwani NC, Capla EL, et al. Staged management of highenergy proximal tibia fractures (OTA type 41): the results of a prospective, standardized protocol. J Orthop Trauma 2005;19:448-455. **5.** Green SA. Complications of External Skeletal Fixation: Causes, Prevention, and Treatment. Springfield, IL: Charles C Thomas, 1981. **6.** Haidukewych GJ. Temporary external fixation for the management of complex intra- and periarticular fractures of the lower extremity. J Orthop Trauma 2002;16:678-685. **7.** Kenwright J, Richardson JB, Cunningham JL, et al. Axial movement and tibial fractures: a controlled randomised trial of treatment. J Bone Joint Surg Br 1991;73B:654-659. **8.** Laible C, Earl-Royal E, Davidovitch R, et al. Infection after spanning external fixation for high-energy tibial plateau fractures: is pin siteplate overlap a problem? J Orthop Trauma 2012;26(2):92-97. **9.** Lenarz C, Bledsoe G, Watson JT. Circular external fixation frames with divergent half pins: a pilot biomechanical study. Clin Orthop Relat Res 2008;466(12): 2933-2939. **10.** Lethaby A, Temple J, Santy J. Pin site care for preventing infections associated with external bone fixators and pins. Cochrane Database Syst Rev 2008;(4):CD004551. **11.** Marsh JL, Bonar S, Nepola JV, et al. Use of an articulated external fixator for fractures of the tibial plafond. J Bone Joint Surg Am 1995;83A:733-736. **12.** Nho SJ, Helfet DL, Rozbruch SR. Temporary intentional leg shortening and deformation to facilitate wound closure using the Ilizarov/Taylor spatial frame. J Orthop Trauma 2006;20(6):419-424. **13.** Sirkin M, Sanders R, DiPasquale T, et al. A staged protocol for soft tissue management in the treatment of complex pilon fractures. J Orthop Trauma 1999;13:78-84. **14.** Watson JT, Moed BR, Karges DE, et al. Pilon fractures: treatment protocol based on severity of soft tissue injury. Clin Orthop Relat Res 2000;375:78-90. **15.** Ziran BH, Morrison T, Little J, et al. A new ankle spanning fixator construct for distal tibia fractures: optimizing visualization, minimizing pin problems, and protecting the heel. J Orthop Trauma 2013;27(2):e45-e49. [View Source / PubMed]
You Might Also Like