مخاريط المعادن المسامية: حل متقدم لتثبيت مفصل الركبة في حالات فقدان العظم الشديد
اكتشف كيف تعالج مخاريط المعادن المسامية فقدان العظم الشديد في الركبة. الأستاذ الدكتور محمد هطيف في صنعاء يقدم…
المفاصل الصناعية و الترميم
اكتشف كيف تعالج مخاريط المعادن المسامية فقدان العظم الشديد في الركبة. الأستاذ الدكتور محمد هطيف في صنعاء يقدم…
تعرف على استبدال مفصل الركبة الجزئي (UKA) كحل فعال لآلام الركبة المزمنة. اكتشف التعريف، الأسباب، الأعراض، خيا…
تعرف على جراحة استبدال مفصل الركبة أحادي الكتلة، دواعي الاستخدام، المخاطر، والتعافي. يقدم الأستاذ الدكتور محم…
تعرف على استبدال مفصل الركبة بالحد الأدنى من التدخل الجراحي في صنعاء مع الأستاذ الدكتور محمد هطيف. ألم أقل، ت…
تعرف على مباعد PROSTALAC المفصلي لعلاج التهاب مفصل الركبة واستعادة حركتها. الأستاذ الدكتور محمد هطيف يقدم أحد…
اكتشف استبدال مفصل الركبة بالشق المصغر في صنعاء مع الأستاذ الدكتور محمد هطيف. تقنية مبتكرة لتعافٍ أسرع، ألم أق…
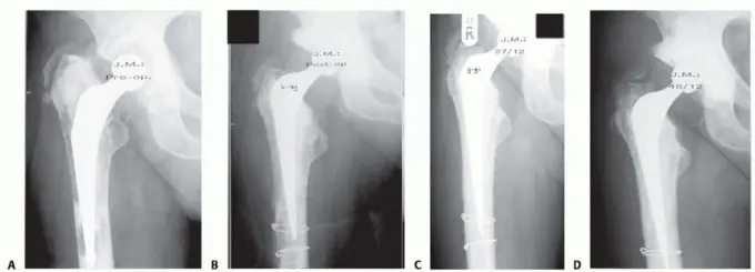
تعرف على تطعيم العظام بالضغط لعلاج فقدان عظم الفخذ في جراحات مراجعة الورك. الأستاذ الدكتور محمد هطيف يقدم الر…
تعرف على جراحة مراجعة استبدال مفصل الورك الكلي وإزالة المكونات الثابتة. يقدم الأستاذ الدكتور محمد هطيف في صنع…
تعرف على جذوع الركبة غير المثبتة بالأسمنت في جراحات مراجعة استبدال الركبة. دليل شامل للمرضى حول المزايا، المخ…
اكتشف كل ما يخص كسور الفخذ حول مفصل الركبة الصناعي، من الأسباب والتشخيص إلى أحدث خيارات العلاج والتعافي. الأس…
تعرف على أسباب تصلب مفصل الركبة بعد جراحة المراجعة وكيفية تشخيصه وعلاجه. يقدم الأستاذ الدكتور محمد هطيف في صن…
تعرف على أسباب فقدان العظم في مفصل الركبة بعد جراحة استبدال الركبة، خيارات العلاج المتاحة بما في ذلك زراعة ال…