جراحة مراجعة استبدال مفصل الركبة: التعامل مع فقدان العظم في الساق باستخدام الدعامات المعدنية مع الأستاذ الدكتور محمد هطيف

الخلاصة الطبية
جراحة مراجعة استبدال مفصل الركبة هي إجراء متقدم لمعالجة فشل المفصل الصناعي الأولي، خاصة عند وجود فقدان كبير للعظم في الساق. تتضمن الجراحة استخدام دعامات معدنية متخصصة لاستعادة استقرار المفصل ووظيفته، ويُعد الأستاذ الدكتور محمد هطيف خبيرًا رائدًا في هذا المجال في صنعاء.
الخلاصة الطبية السريعة: جراحة مراجعة استبدال مفصل الركبة هي إجراء جراحي متقدم ومعقد للغاية، يُجرى لمعالجة فشل المفصل الصناعي الأولي، خاصة عندما يترافق هذا الفشل مع فقدان كبير للعظم في الجزء العلوي من عظم الساق (الظنبوب). تتضمن هذه الجراحة الدقيقة إزالة الغرسات القديمة، وتقييم العيب العظمي، واستخدام دعامات معدنية متخصصة (مثل المخاريط والأوتاد المعدنية المسامية) لاستعادة خط المفصل، وتحقيق الاستقرار الميكانيكي، وضمان وظيفة حركية ممتازة. يُعد الأستاذ الدكتور محمد هطيف، أستاذ جراحة العظام والمفاصل بجامعة صنعاء، الخبير الرائد والمقصد الأول في اليمن لإجراء هذه الجراحات المعقدة، بفضل خبرته التي تتجاوز العشرين عاماً واستخدامه لأحدث التقنيات العالمية.
مرحباً بكم أيها الأعزاء. اليوم نغوص معاً في أعماق واحد من أكثر المواضيع الجراحية دقة وتعقيداً في عالم جراحة العظام، ولكنه في الوقت ذاته يحمل في طياته أملاً كبيراً وفرصة لحياة جديدة خالية من الألم للمرضى الذين يعانون من مشاكل في مفصل الركبة الصناعي الأولي. نتحدث بالتفصيل الشامل عن جراحة مراجعة استبدال مفصل الركبة الكلي (Revision Total Knee Arthroplasty)، مع التركيز العميق على التحدي الأكبر في هذه الجراحات: التعامل مع الفقدان الكبير للعظم في الجزء العلوي من عظم الساق (الظنبوب)، وكيفية الاستخدام الحكيم والفعال للدعامات المعدنية (Metallic Augments) لإعادة بناء هذا النقص.
هذه ليست مجرد عملية روتينية لاستبدال أجزاء تالفة؛ بل هي عملية "إعادة بناء شاملة" وهندسة حيوية دقيقة تهدف إلى استعادة الوظيفة الطبيعية للمفصل، وتحقيق الاستقرار المطلق، وضمان طول عمر المفصل الصناعي الجديد، وكل ذلك يتم غالباً في ظل تحدي ضعف أو نقص شديد في مخزون العظم الأصلي للمريض. تتطلب هذه الحالات المعقدة تخطيطاً دقيقاً للغاية، وتنفيذاً جراحياً عالي الدقة، وفهماً عميقاً لتشريح العظم الطبيعي والميكانيكا الحيوية للمفصل الصناعي. في العاصمة اليمنية صنعاء، يبرز اسم الأستاذ الدكتور محمد هطيف كمرجعية طبية عليا، حيث يجمع بين الأمانة الطبية الصارمة، المهارة الجراحية الفائقة، والتقنيات الحديثة لتقديم أفضل النتائج الممكنة.


نظرة تشريحية متعمقة: مفصل الركبة وتحدي فقدان العظم الظنبوبي
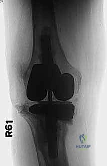
لفهم مدى تعقيد جراحة المراجعة، يجب علينا أولاً فهم البيئة التي نعمل فيها. مفصل الركبة ليس مجرد مفصل مفصلي بسيط؛ بل هو هيكل معقد يتحمل أوزاناً هائلة ويتيح نطاقاً واسعاً من الحركة. يتكون المفصل من التقاء عظم الفخذ (Femur) مع عظم الساق (Tibia)، بالإضافة إلى صابونة الركبة (Patella).
الجزء العلوي من عظم الساق، والمعروف باسم الهضبة الظنبوبية (Tibial Plateau)، هو المنطقة التي تستقبل الجزء الأكبر من وزن الجسم. يتكون هذا الجزء بشكل أساسي من العظم الإسفنجي (Cancellous/Metaphyseal bone)، وهو عظم ذو بنية شبكية مسامية يوفر دعماً ممتازاً للغرسات الصناعية في الجراحة الأولى.
ولكن، عندما يفشل المفصل الصناعي الأول، فإن هذا العظم الإسفنجي الدقيق يكون أول الضحايا. الفشل يؤدي إلى تآكل هذا العظم، مما يترك الجراح أمام "فجوات" أو "تجاويف" عظمية كبيرة. إذا حاول الجراح وضع مفصل جديد فوق هذا العظم المتآكل دون دعمه بشكل صحيح، فإن المفصل الجديد سيفشل حتماً ويهبط (Subsidence). هنا تبرز عبقرية استخدام الدعامات المعدنية لتعويض هذا النقص ونقل الأحمال الميكانيكية إلى العظم السليم في أسفل الساق.


الأسباب الجذرية لفشل مفصل الركبة الصناعي الأولي
لماذا يفشل مفصل الركبة الصناعي بعد سنوات من تركيبه؟ الأسباب متعددة ومعقدة، وتقييمها بدقة هو الخطوة الأولى التي يقوم بها الأستاذ الدكتور محمد هطيف قبل اتخاذ قرار المراجعة الجراحية:
- الارتخاء العقيم (Aseptic Loosening): وهو السبب الأكثر شيوعاً. مع مرور السنوات (غالباً 10 إلى 15 سنة)، يتآكل البلاستيك (البولي إيثيلين) الموجود بين الأجزاء المعدنية للمفصل. هذا التآكل ينتج جزيئات مجهرية يهاجمها الجهاز المناعي للجسم. للأسف، هذا الهجوم المناعي يؤدي إلى تدمير العظم المحيط بالمفصل (حالة تُعرف باسم تحلل العظم أو Osteolysis)، مما يؤدي إلى ارتخاء الغرسات المعدنية وانفصالها عن العظم.
- العدوى حول المفصل الصناعي (Periprosthetic Joint Infection - PJI): البكتيريا يمكن أن تستقر على المفصل الصناعي مسببة التهاباً شديداً. العدوى تدمر العظم بسرعة كبيرة وتمنع التحام الغرسة. تتطلب هذه الحالة بروتوكولات علاج معقدة (غالباً جراحة على مرحلتين) للقضاء على الميكروب قبل وضع المفصل الجديد.
- عدم الاستقرار الميكانيكي أو الرخاوة (Instability): إذا لم يتم وزن الأربطة المحيطة بالركبة بشكل مثالي في الجراحة الأولى، أو إذا تعرضت الأربطة للتمزق لاحقاً، ستصبح الركبة غير مستقرة. المريض يشعر بأن ركبته "تخونه" أو تلتوي فجأة.
- الكسور حول المفصل (Periprosthetic Fractures): السقوط أو الحوادث قد تؤدي إلى كسر في العظم المحيط بالمفصل الصناعي، مما يتطلب تدخلاً جراحياً فورياً لتثبيت الكسر ومراجعة المفصل إذا لزم الأمر.
- تصلب وتيبس الركبة (Stiffness): في بعض الحالات، يتكون نسيج ندبي كثيف حول المفصل يمنعه من الحركة الطبيعية، ورغم العلاج الطبيعي المكثف، قد يكون التدخل الجراحي هو الحل الوحيد لاستعادة الحركة.

الأعراض والعلامات التحذيرية لفشل المفصل
كيف يعرف المريض أن مفصله الصناعي يحتاج إلى مراجعة؟ الأعراض لا تظهر فجأة في معظم الحالات (باستثناء الكسور والعدوى الحادة)، بل تتطور تدريجياً. يشير الأستاذ الدكتور محمد هطيف إلى ضرورة الانتباه للعلامات التالية:
- الألم المستمر والمتزايد: ألم يختلف عن ألم التعافي بعد الجراحة الأولى. غالباً ما يكون ألماً يزداد مع المشي أو الوقوف (مما يشير إلى ارتخاء ميكانيكي)، أو ألماً مستمراً حتى وقت الراحة والليل (مما قد يشير إلى وجود عدوى).
- تورم الركبة واحمرارها: تراكم السوائل المستمر في الركبة، خاصة إذا ترافق مع حرارة موضعية واحمرار، هو جرس إنذار قوي.
- الشعور بعدم الثبات: إحساس المريض بأن الركبة "تفلت" أو لا تستطيع تحمل وزنه عند نزول السلالم أو تغيير الاتجاه.
- نطاق حركة محدود: تيبس متزايد وعدم القدرة على ثني أو فرد الركبة كما كان في السابق.
- أصوات طقطقة أو صرير: صدور أصوات غير طبيعية ومؤلمة من المفصل أثناء الحركة، مما يدل على احتكاك الأجزاء المعدنية ببعضها بسبب تآكل البلاستيك.

التخطيط قبل الجراحة: خارطة طريق النجاح مع الأستاذ الدكتور محمد هطيف
قبل أن يتم إجراء أي شق جراحي، يتم وضع استراتيجية خطة العمل بعناية فائقة. نادراً ما تكون جراحة مراجعة استبدال الركبة الكلي عملية بسيطة؛ إنها تتطلب عملاً استقصائياً دقيقاً وبصيرة ثاقبة لضمان أفضل النتائج. إن دقة التخطيط هي حجر الزاوية في نجاح هذه الجراحات المعقدة، وهو ما يتقنه الأستاذ الدكتور محمد هطيف ببراعة استثنائية.
يعتمد الدكتور هطيف على أحدث تقنيات التصوير الطبي، بما في ذلك الأشعة السينية الرقمية (Digital X-rays) في وضعيات الوقوف، والتصوير المقطعي المحوسب (CT Scan) ثلاثي الأبعاد لتقييم حجم العظم المتبقي بدقة متناهية. كما يتم إجراء فحوصات دم شاملة وسحب سائل من الركبة (Aspiration) لاستبعاد وجود أي عدوى بكتيرية خفية.
تقييم المريض وتصنيف عيوب العظم (AORI Classification)
خطوتنا الجراحية الأولى هي التصنيف الدقيق لمدى فقدان العظم في الجزء العلوي من عظم الساق (الظنبوب). هذا التصنيف يوجهنا كبوصلة في اختيار الغرسة المناسبة والاستراتيجية الجراحية. نستخدم بشكل أساسي نظام تصنيف عيوب العظم لمعهد أندرسون لجراحة العظام (AORI bone defect classification system). يصنف هذا النظام العيوب بناءً على حالة العظم الميتافيزي في الصور الشعاعية:
- عيوب النوع الأول (Type I Defects): تتميز هذه العيوب بوجود عظم ميتافيزي سليم. لا يوجد هبوط في مكونات المفصل أو تغيير في خط المفصل الأولي. قد توجد عيوب طفيفة جداً، لكنها لا تؤثر على استقرار مكون إعادة البناء. في هذه الحالة، الدعامات المعدنية عادة لا تُستخدم.
- عيوب النوع الثاني (Type II Defects): هنا، نلاحظ تلفاً واضحاً في العظم الميتافيزي، غالباً مع هبوط في مكونات المفصل أو تغيير في خط المفصل بسبب فقدان بؤري للعظم. يمكن أن يشمل هذا الفقدان الهضبة الظنبوبية الجانبية أو الإنسية (الأكثر شيوعاً)، أو حتى الجزء العلوي بأكمله. الأهم من ذلك، في عيوب النوع الثاني، تكون الأربطة الجانبية محفوظة عادةً. يتطلب إعادة البناء هنا استخدام الدعامات المعدنية (الكتل أو الأوتاد) لإعادة إنشاء خط المفصل المستوي، وغالباً ما تُستخدم سيقان معدنية قصيرة.
- عيوب النوع الثالث (Type III Defects): هذه هي الفئة الأكثر شدة وتدميراً. تتميز بنقص هائل في العظم الميتافيزي العلوي يشمل جزءاً كبيراً من الجزء العلوي من عظم الساق. قد يشمل التدمير الحدبة الظنبوبية، وقد تكون الأربطة الجانبية غير كفؤة وظيفياً بسبب فقدان مرتكزاتها العظمية. تتطلب هذه العيوب المعقدة استخدام دعامات معدنية متقدمة جداً (مثل المخاريط والأكمام المعدنية المسامية - Cones and Sleeves) مع غرسات ذات سيقان طويلة تتجاوز منطقة الخلل للوصول إلى العظم السليم في منتصف الساق.
لأغراضنا الطبية المتقدمة، يقتصر استخدام الدعامات المعدنية بشكل صارم وفعال على عيوب النوع الثاني أو الثالث من فقدان العظم الظنبوبي.

الخيارات العلاجية: لماذا نلجأ للدعامات المعدنية؟
عند مواجهة فقدان العظم في جراحة المراجعة، يمتلك الجراح عدة خيارات. في الماضي، كان الاعتماد كبيراً على الترقيع العظمي (Bone Grafting)، سواء من المريض نفسه (Autograft) أو من بنك العظم (Allograft). ورغم أن الترقيع العظمي لا يزال مفيداً في بعض الحالات، إلا أنه يحمل عيوباً مثل احتمالية عدم الالتحام، انتقال الأمراض، وانهيار الطعم العظمي تحت الضغط.
هنا جاءت الثورة الطبية المتمثلة في الدعامات المعدنية (Metallic Augments). هذه الدعامات مصنوعة من سبائك التيتانيوم أو التانتالوم (Tantalum). التانتالوم، المعروف تجارياً باسم "المعدن التربيقي" (Trabecular Metal)، يتميز بكونه مسامياً بنسبة تصل إلى 80%، مما يحاكي تماماً بنية العظم البشري الإسفنجي.
جدول مقارنة: الترقيع العظمي مقابل الدعامات المعدنية
| وجه المقارنة | الترقيع العظمي (Bone Graft) | الدعامات المعدنية (Metallic Augments) |
|---|---|---|
| الدعم الميكانيكي الفوري | ضعيف إلى متوسط (يحتاج وقتاً للاندماج) | ممتاز وفوري (يتحمل الوزن مباشرة) |
| خطر انتقال العدوى | موجود (خاصة في عظام المتبرعين Allograft) | معدوم (مواد صناعية معقمة بالكامل) |
| الاندماج العظمي (Osseointegration) | يعتمد على حيوية العظم المحيط | ممتاز جداً (خاصة في المعادن المسامية كالتانتالوم) |
| الوقت الجراحي | أطول (يتطلب تحضير وتشكيل العظم) | أقصر (متوفرة بأحجام وأشكال معيارية جاهزة) |
| الاستخدام المثالي | العيوب الصغيرة المغلقة (النوع الأول والثاني البسيط) | العيوب الكبيرة وغير المحتواة (النوع الثاني والثالث) |

خطوات الإجراء الجراحي بالتفصيل مع الأستاذ الدكتور محمد هطيف
يُعد دخول غرفة العمليات مع الأستاذ الدكتور محمد هطيف بمثابة مشاهدة مايسترو يقود أوركسترا معقدة. كل خطوة محسوبة بدقة متناهية لضمان سلامة المريض ونجاح الغرسة الجديدة.
1. التخدير والنهج الجراحي (Incision and Exposure)
يبدأ الإجراء بتخدير المريض (نصفي أو كلي بناءً على تقييم طبيب التخدير). يستخدم الدكتور هطيف الشق الجراحي القديم غالباً لتقليل الندبات. يتم فتح المفصل بحذر شديد، حيث يكون التحدي الأول هو التعامل مع الأنسجة الندبية الكثيفة الناتجة عن الجراحة السابقة وحماية الأوعية الدموية والأعصاب المحيطة.

2. إزالة المفصل القديم (Implant Extraction)
هذه هي المرحلة الأكثر دقة. الهدف هو إزالة الغرسات المعدنية والأسمنت العظمي القديم بأقل قدر ممكن من الضرر للعظم المتبقي. يستخدم الدكتور هطيف أدوات دقيقة متخصصة (مثل المناشير الدقيقة والأزاميل الرفيعة) لفصل المفصل القديم عن العظم بلطف، للحفاظ على كل ملليمتر من العظم الثمين للمريض.

3. تنظيف العظم وتقييم العيب (Debridement and Assessment)
بعد إزالة المفصل، يتم تنظيف العظم بالكامل من أي أنسجة ملتهبة أو أسمنت متبقي. هنا، تتجلى الرؤية الحقيقية لحجم العيب العظمي (AORI Type II أو III). يتم قياس الفجوات العظمية بدقة باستخدام قوالب تجريبية.
4. تحضير الساق وتركيب الدعامات المعدنية (Tibial Preparation and Augmentation)
لتعويض العظم المفقود وإعادة مستوى المفصل (Joint Line) إلى ارتفاعه التشريحي الطبيعي، يقرر الدكتور هطيف نوع الدعامة المعدنية المناسبة:
* إذا كان العيب سطحياً وفي جهة واحدة، تُستخدم الكتل أو الأوتاد المعدنية (Wedges/Blocks) التي تُثبت بأسفل الغرسة الجديدة.
* إذا كان العيب كبيراً وعميقاً في المركز، تُستخدم المخاريط أو الأكمام المسامية (Cones/Sleeves). يتم حفر العظم التالف بشكل هندسي دقيق ليحتضن هذا المخروط المعدني الذي يوفر أساساً صخرياً متيناً.

5. استخدام السيقان المعدنية للتثبيت (Stem Fixation)
بما أن العظم العلوي للساق ضعيف، لا يمكن الاعتماد عليه وحده لتثبيت المفصل. لذلك، يتم إدخال ساق معدنية طويلة (Stem) متصلة بالغرسة الجديدة وتمتد إلى داخل القناة النخاعية لعظم الساق (Diaphysis). هذا الساق ينقل الضغط والوزن من منطقة المفصل الضعيفة إلى العظم القوي في منتصف الساق، مما يضمن ثباتاً ميكانيكياً فائقاً.

6. التجربة والموازنة النهائية (Trialing and Balancing)
قبل التثبيت النهائي، يتم وضع مكونات تجريبية بلاستيكية ومعدنية لاختبار حركة الركبة، ثبات الأربطة، ومحاذاة الساق. يقوم الدكتور هطيف بإجراء تعديلات دقيقة للغاية لضمان أن الركبة تتحرك بسلاسة دون أي رخاوة أو شد زائد.
7. التثبيت النهائي والإغلاق (Final Implantation and Closure)
بمجرد التأكد من مثالية القياسات، يتم تثبيت المكونات الأصلية باستخدام أسمنت عظمي خاص يحتوي على مضادات حيوية للوقاية من العدوى. يتم غسل المفصل جيداً، وإغلاق الجرح بطبقات تجميلية دقيقة لضمان التئام سريع وتقليل الندبات.

دليل التأهيل والعلاج الطبيعي الشامل بعد جراحة المراجعة
نجاح جراحة مراجعة استبدال الركبة لا ينتهي في غرفة العمليات؛ بل يعتمد بنسبة 50% على التزام المريض ببرنامج العلاج الطبيعي والتأهيل. نظراً لأن الجراحة أكثر تعقيداً من الاستبدال الأولي، فإن فترة التعافي قد تكون أطول قليلاً وتتطلب صبراً ومثابرة.
تحت إشراف الفريق الطبي للأستاذ الدكتور محمد هطيف، يتم وضع خطة تأهيل مخصصة لكل مريض:
جدول زمني للتأهيل بعد الجراحة
| المرحلة الزمنية | الأهداف الرئيسية | الأنشطة المسموحة والمطلوبة |
|---|---|---|
| الأيام (1-3) في المستشفى | السيطرة على الألم، منع الجلطات، بدء الحركة المبكرة | الوقوف والمشي بمساعدة المشاية، تمارين ضخ الكاحل، استخدام جهاز الحركة السلبية المستمرة (CPM) إذا لزم الأمر. |
| الأسابيع (1-4) | التئام الجرح، زيادة نطاق الحركة (ثني حتى 90 درجة)، تقوية العضلة الرباعية | تمارين رفع الساق المستقيمة، المشي المستمر بالمنزل باستخدام عكازات، تمارين الإطالة اللطيفة. |
| الأسابيع (4-8) | التخلي التدريجي عن العكازات، استعادة المشية الطبيعية، ثني الركبة فوق 110 درجة | ركوب الدراجة الثابتة، تمارين التوازن، صعود ونزول السلالم تدريجياً، المشي لمسافات أطول خارج المنزل. |
| الشهور (3-6) | العودة للأنشطة اليومية الكاملة، استعادة القوة العضلية الكاملة | العودة للعمل (حسب طبيعته)، القيادة، السباحة، تمارين المقاومة الخفيفة. |
| بعد 6 أشهر فأكثر | الحفاظ على لياقة المفصل والاندماج العظمي التام | المشي السريع، لعب الغولف، الأنشطة ذات التأثير المنخفض. (يُمنع الركض أو الرياضات العنيفة). |

لماذا يُعد الأستاذ الدكتور محمد هطيف الخيار الأول في اليمن لجراحات المفاصل؟
عندما يتعلق الأمر بجراحة معقدة مثل مراجعة استبدال مفصل الركبة مع فقدان العظم، فإن اختيار الجراح هو القرار الأهم الذي سيتخذه المريض. في اليمن، يقف الأستاذ الدكتور محمد هطيف كقامة طبية شامخة ومرجعية علمية لا يُعلى عليها.
- **الدرجة الأك
خشونة الركبة وآلامها المزمنة ليس قدراً محتوماً! التشخيص الدقيق والعلاج المتخصص يمكن أن يعيد لك كامل وظيفتك وحريتك في الحركة. لا تدع الألم يسيطر على حياتك.
للحصول على استشارة دقيقة وخطة علاجية مخصصة لحالتك، تواصل فوراً مع مركز الأستاذ الدكتور محمد هطيف:
الأستاذ الدكتور محمد هطيف - أفضل دكتور عظام في صنعاء، وخبير في جراحات منظار الركبة والمفاصل الصناعية.. نلتزم بإعادتك لحياة خالية من الألم وحركة ركبة طبيعية.
مواضيع أخرى قد تهمك