دليلك الشامل لكسور وخلع مفصل قاعدة الإصبع الكربوميتاكاربال: التشخيص والعلاج مع الأستاذ الدكتور محمد هطيف

الخلاصة الطبية
كسر وخلع مفصل قاعدة الإصبع الكربوميتاكاربال هو إصابة معقدة تحدث في قاعدة عظام الأصابع، وتتطلب تشخيصًا دقيقًا وعلاجًا متخصصًا لمنع الإعاقة طويلة الأمد. يتضمن العلاج غالبًا التدخل الجراحي لإعادة المفصل لوضعه الطبيعي وتثبيته، وهو ما يتقنه الأستاذ الدكتور محمد هطيف بخبرة عالية.
الخلاصة الطبية السريعة: يُعد كسر وخلع مفصل قاعدة الإصبع الكربوميتاكاربال (Carpometacarpal Joint Fracture-Dislocation) من الإصابات المعقدة والحرجة التي تحدث في قاعدة عظام أصابع اليد، وتحديداً نقطة اتصال عظام المشط بعظام الرسغ. تتطلب هذه الإصابة تشخيصاً إكلينيكياً وإشعاعياً دقيقاً وعلاجاً جراحياً متخصصاً لمنع حدوث إعاقة طويلة الأمد، أو تشوهات حركية، أو تطور التهاب المفاصل التنكسي (الخشونة المبكرة). يتضمن العلاج الأمثل في الغالب التدخل الجراحي الدقيق لإعادة المفصل إلى وضعه التشريحي الطبيعي وتثبيته بأسلاك أو شرائح معدنية دقيقة، وهو التدخل الذي يتقنه الأستاذ الدكتور محمد هطيف (أستاذ جراحة العظام والمفاصل بجامعة صنعاء) بخبرة عالية تتجاوز العشرين عاماً، معتمداً على أحدث تقنيات الجراحة الميكروسكوبية ومناظير المفاصل، لضمان استعادة الوظيفة الكاملة ليد المريض.


مقدمة شاملة: أهمية مفاصل اليد وتأثير إصابات الكربوميتاكاربال
تُعد اليد البشرية معجزة من معجزات التطور البيولوجي والتشريحي، فهي الأداة الرئيسية التي نتفاعل بها مع العالم من حولنا. تتكون اليد من شبكة بالغة التعقيد من العظام، الأربطة، الأوتار، والأعصاب التي تعمل بتناغم مذهل لأداء حركات دقيقة (مثل الكتابة أو الإمساك بإبرة) وحركات قوية (مثل حمل الأثقال أو توجيه اللكمات). من بين أهم المفاصل التي توفر هذا الاستقرار والقوة هي مفاصل الكربوميتاكاربال (CMC Joints).
تُعد إصابات اليد من أكثر الإصابات شيوعاً في أقسام الطوارئ وعيادات جراحة العظام، وتؤثر بشكل مباشر وقاسٍ على جودة حياة المريض وقدرته على العمل وكسب العيش. من بين هذه الإصابات، يبرز كسر وخلع مفصل قاعدة الإصبع الكربوميتاكاربال كحالة استثنائية تتطلب اهتماماً بالغاً ومهارة فائقة. المشكلة الكبرى في هذه الإصابات أنها قد تبدو "خفية" أو "بسيطة" في صور الأشعة السينية التقليدية الأولية، مما يؤدي في كثير من الأحيان إلى تشخيص خاطئ أو متأخر في المراكز غير المتخصصة. هذا التأخير يمكن أن يؤدي إلى إعاقة كبيرة ومزمنة، ألم مستمر، وضعف دائم في قوة قبضة اليد.


التشريح الميكانيكي الحيوي لمفصل الكربوميتاكاربال (CMC)
لفهم طبيعة هذه الإصابة، يجب علينا أولاً الغوص في التشريح الدقيق لليد. تتكون اليد من ثلاثة أجزاء عظمية رئيسية:
1. عظام الرسغ (Carpal Bones): وهي 8 عظام صغيرة تشكل قاعدة اليد.
2. عظام المشط (Metacarpal Bones): وهي 5 عظام طويلة تشكل كف اليد.
3. السلّاميات (Phalanges): وهي عظام الأصابع.
مفصل الكربوميتاكاربال هو النقطة التي تلتقي فيها عظام المشط بعظام الرسغ. هذا المفصل ليس متماثلاً في جميع الأصابع:
* المفصل الثاني والثالث (السبابة والوسطى): هي مفاصل صلبة جداً وثابتة، وتعمل كعمود فقري مركزي لليد. حركتها تكاد تكون معدومة لتوفير القوة القصوى أثناء الإمساك بالأشياء.
* المفصل الرابع والخامس (البنصر والخنصر): هي مفاصل أكثر مرونة وتسمح بحركة تتراوح بين 15 إلى 30 درجة. هذه المرونة ضرورية لتشكيل قبضة اليد والقدرة على الإمساك بالأشياء الدائرية أو الأسطوانية.

عند حدوث قوة ضغط هائلة أو التواء شديد، تفشل الأربطة القوية التي تربط هذه العظام، مما يؤدي إلى خلع المفصل. وإذا كانت القوة كافية، فإنها تكسر حافة العظم أثناء خلع المفصل، وهو ما يُعرف بـ كسر وخلع الكربوميتاكاربال (Fracture-Dislocation).

الأسباب الشائعة وآليات حدوث الإصابة
تحدث كسور وخلع مفصل قاعدة الإصبع الكربوميتاكاربال نتيجة تعرض اليد لقوة عنيفة ومباشرة. من واقع خبرة الأستاذ الدكتور محمد هطيف في استقبال آلاف الحالات في صنعاء، يمكن حصر أهم الأسباب في الآتي:
- الضربات المباشرة بقبضة مغلقة: تُعرف أحياناً بـ "إصابة الملاكمين" أو الناتجة عن الشجارات العنيفة. عندما يضرب الشخص جسماً صلباً بقبضة مغلقة، تنتقل قوة الصدمة مباشرة عبر عظم المشط إلى مفصل الكربوميتاكاربال، مما يؤدي إلى تحطمه أو خلعه (خاصة في الإصبع الخامس - الخنصر).
- حوادث السير والدراجات النارية: السقوط من الدراجة النارية مع ارتكاز وزن الجسم بالكامل على اليد وهي في وضع الانثناء أو التمدد المفرط يسبب ضغطاً هائلاً يمزق أربطة المفصل.
- الإصابات الرياضية: شائعة في رياضات الاحتكاك مثل كرة القدم، الرجبي، والمصارعة، حيث يمكن أن تُهرس اليد تحت وزن لاعب آخر.
- حوادث العمل والمصانع: إصابات السحق الناجمة عن الآلات الثقيلة أو سقوط أجسام بوزن كبير على ظهر اليد.


الأعراض والعلامات السريرية: كيف تعرف أنك مصاب؟
غالباً ما تكون الأعراض فورية وشديدة، ولكن في بعض الأحيان قد يتجاهلها المريض معتقداً أنها مجرد "كدمة" أو "التواء بسيط". تشمل الأعراض الرئيسية التي تستدعي زيارة عيادة الأستاذ الدكتور محمد هطيف فوراً:
- ألم حاد ومبرح: يتركز في قاعدة الإصبع المصاب (جهة ظهر اليد)، ويزداد بشكل لا يطاق عند محاولة تحريك الإصبع أو إغلاق القبضة.
- تورم سريع وملحوظ: ينتفخ ظهر اليد بشكل كبير خلال الساعات الأولى من الإصابة، مما قد يخفي التشوه العظمي.
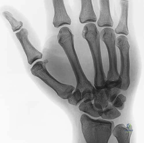
- تشوه بصري (فقدان بروز المفصل): في الحالة الطبيعية، يمكنك رؤية بروز مفاصل المشط (Knuckles). في حالة الخلع، يختفي هذا البروز أو يبدو غير متماثل مع باقي الأصابع.
- قصر في طول الإصبع: قد يبدو الإصبع المصاب أقصر من المعتاد بسبب تداخل العظام المكسورة أو انزلاقها (Shortening).
- تنميل أو خدر: إذا ضغط العظم المخلوع على الأعصاب المجاورة، قد يشعر المريض بوخز أو تنميل يمتد إلى أطراف الأصابع.

جدول مقارنة: التواء اليد البسيط مقابل كسر/خلع مفصل الكربوميتاكاربال
للمساعدة في التمييز بين الإصابات البسيطة والخطيرة، أعددنا هذا الجدول المرجعي:
| العَرَض / العلامة | التواء اليد البسيط (Sprain) | كسر وخلع الكربوميتاكاربال (Fracture-Dislocation) |
|---|---|---|
| شدة الألم | متوسط، يقل مع الراحة والثلج | حاد جداً، مستمر، ولا يستجيب للمسكنات العادية |
| التورم | موضعي وخفيف إلى متوسط | تورم شديد وسريع يشمل ظهر اليد بالكامل |
| شكل المفصل (التشوه) | طبيعي، لا يوجد تشوه واضح | تشوه ملحوظ، اختفاء بروز العظم، أو ظهور كتلة عظمية غير طبيعية |
| طول الإصبع | طبيعي | قد يبدو الإصبع أقصر من المعتاد (تراكب عظمي) |
| القدرة على تكوين قبضة | ممكنة مع بعض الألم | شبه مستحيلة، ألم شديد جداً وضعف في القوة |
| التشخيص الإشعاعي | الأشعة السينية تظهر العظام سليمة | الأشعة تظهر خروج العظم من مكانه و/أو وجود كسور في السطح المفصلي |


التحدي التشخيصي: لماذا يُخطئ الكثيرون في تشخيص هذه الإصابة؟
يُعتبر التشخيص الدقيق هو حجر الزاوية في نجاح العلاج. المشكلة الكبرى في كسور وخلع مفصل الكربوميتاكاربال هي أن التراكب التشريحي لعظام الرسغ والمشط في صور الأشعة السينية الأمامية الخلفية (AP View) العادية يجعل من الصعب جداً رؤية الخلع.
منهجية الأستاذ الدكتور محمد هطيف في التشخيص
بفضل خبرته الواسعة كأستاذ لجراحة العظام في جامعة صنعاء، يتبع الدكتور محمد هطيف بروتوكولاً تشخيصياً صارماً لضمان عدم تفويت أي إصابة:
- الفحص السريري الدقيق: الفحص اليدوي لمكان الألم، اختبار ثبات المفصل، وتقييم الدورة الدموية والأعصاب.
- صور الأشعة السينية المتخصصة (X-Rays): لا يكتفي الدكتور بالصور التقليدية، بل يطلب وضعيات تصوير خاصة (مثل الوضعية المائلة Oblique View بـ 30 درجة) التي تظهر قاعدة المشط بوضوح وتكشف الخلع الخفي.
- الأشعة المقطعية (CT Scan): في الحالات المعقدة حيث يكون الكسر مفتتاً أو الخلع متعدداً، يطلب الدكتور أشعة مقطعية ثلاثية الأبعاد (3D CT). هذه التقنية توفر خريطة دقيقة جداً لحجم الشظايا العظمية وتساعد في التخطيط الجراحي بدقة متناهية.

عواقب إهمال العلاج أو التشخيص الخاطئ
الكثير من المرضى يتأخرون في طلب الاستشارة الطبية المتخصصة، مما يؤدي إلى مضاعفات كارثية على وظيفة اليد، منها:
* التهاب المفاصل التنكسي المبكر (Post-traumatic Osteoarthritis): احتكاك العظام ببعضها في غير وضعها الطبيعي يدمر الغضروف بسرعة، مما يسبب ألماً مزمناً وخشونة في اليد.
* فقدان قوة القبضة: عدم استقرار المفصل يضعف قدرة اليد على الإمساك بالأشياء الثقيلة أو ممارسة المهن اليدوية.
* تشوه دائم (Malunion): التئام العظام في وضع خاطئ يؤدي إلى تشوه جمالي ووظيفي في اليد يصعب تقويمه لاحقاً.

الخيارات العلاجية: من التحفظي إلى الجراحي المتقدم
يعتمد قرار العلاج على عدة عوامل: نوع الكسر، درجة الخلع، عدد المفاصل المتضررة، وعمر المريض ونشاطه المهني. يتميز الأستاذ الدكتور محمد هطيف بالأمانة الطبية المطلقة، حيث لا يلجأ للتدخل الجراحي إلا إذا كان هو الخيار الأوحد والأمثل لضمان مصلحة المريض.
1. العلاج التحفظي (الغير جراحي)
يقتصر هذا العلاج على الحالات النادرة جداً التي يكون فيها الكسر غير متحرك من مكانه (Nondisplaced) والخلع مستقراً تماماً بعد الرد المغلق.
* الرد المغلق (Closed Reduction): يقوم الطبيب بسحب الإصبع وإعادته لمكانه تحت التخدير الموضعي.
* التجبير (Cast/Splint): وضع اليد في جبس مخصص يمتد من الساعد وحتى أطراف الأصابع لمدة 4 إلى 6 أسابيع.
* المتابعة الإشعاعية الأسبوعية: للتأكد من عدم انزلاق العظام مرة أخرى (وهو أمر شائع جداً في هذه الإصابات).

2. التدخل الجراحي (المعيار الذهبي للعلاج)
في 90% من حالات كسر وخلع الكربوميتاكاربال، يكون التدخل الجراحي هو الحل الوحيد لمنع الإعاقة. الأربطة الممزقة والعضلات القوية في اليد تسحب العظام باستمرار، مما يجعل من المستحيل إبقاؤها في مكانها بالجبس فقط.
جدول مقارنة: العلاج التحفظي مقابل العلاج الجراحي
| وجه المقارنة | العلاج التحفظي (الجبس) | التدخل الجراحي المتقدم |
|---|---|---|
| دواعي الاستعمال | الكسور المستقرة جداً وغير المنزاحة | الكسور المفتتة، الخلع المتكرر، الانزياح العظمي |
| دقة إعادة المفصل لمكانه | متوسطة إلى ضعيفة | دقيقة جداً (100% تشريحياً) |
| خطر انزلاق العظم مجدداً | عالي جداً (يتطلب متابعة أسبوعية) | شبه معدوم (بسبب التثبيت الداخلي) |
| بدء العلاج الطبيعي | متأخر (بعد فك الجبس بـ 4-6 أسابيع) | مبكر (بعد أيام أو أسبوعين من الجراحة) |
| خطر الخشونة المستقبلية | مرتفع إذا لم يلتئم العظم بشكل مثالي | منخفض جداً بفضل الرد التشريحي الدقيق |

خطوات العملية الجراحية مع الأستاذ الدكتور محمد هطيف
تُعد جراحة اليد من أدق الجراحات في تخصص العظام، وتتطلب مهارة "جراح ميكروسكوبي" خبير. يطبق الأستاذ الدكتور محمد هطيف أحدث البروتوكولات العالمية في غرفة العمليات:
الخطوة الأولى: التخدير والتحضير
تُجرى العملية غالباً تحت التخدير الموضعي للذراع (Brachial Plexus Block) أو التخدير العام. يتم تعقيم اليد وتجهيز جهاز الأشعة السينية داخل غرفة العمليات (C-arm) لمراقبة الخطوات مباشرة.

الخطوة الثانية: النهج الجراحي (Incision)
يقوم الدكتور بعمل شق جراحي صغير ودقيق جداً على ظهر اليد. يتم إبعاد الأوتار والأعصاب السطحية بحذر شديد باستخدام أدوات الجراحة الميكروسكوبية لتجنب أي ضرر للأنسجة الرخوة.

الخطوة الثالثة: الرد المفتوح (Open Reduction)
يتم تنظيف المفصل من أي أنسجة محشورة أو شظايا عظمية صغيرة قد تعيق عودة المفصل لمكانه. ثم يتم إعادة العظم المخلوع والمكسور إلى وضعه التشريحي الطبيعي بدقة ملليمترية.

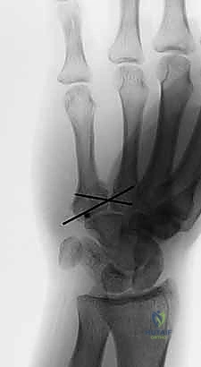
الخطوة الرابعة: التثبيت الداخلي (Internal Fixation)
وهنا تبرز مهارة الجراح. يعتمد نوع التثبيت على شكل الكسر:
* أسلاك كيرشنر (K-wires): أسلاك معدنية دقيقة يتم إدخالها عبر الجلد لتثبيت عظم المشط بعظام الرسغ المجاورة. تُزال هذه الأسلاك في العيادة بعد 4 إلى 6 أسابيع.
* الشرائح والمسامير الدقيقة (Mini-Plates & Screws): في حالة الكسور المفتتة جداً، يستخدم الدكتور شرائح من التيتانيوم متناهية الصغر لتثبيت الكسر بشكل دائم وقوي، مما يسمح بحركة مبكرة لليد.

الخطوة الخامسة: الإغلاق التجميلي
يتم خياطة الجرح بخيوط تجميلية دقيقة لتقليل الندبات، وتوضع جبيرة خفيفة لحماية اليد في الأيام الأولى بعد الجراحة.

برنامج إعادة التأهيل والعلاج الطبيعي: الطريق نحو الشفاء التام
العملية الجراحية الناجحة هي نصف العلاج؛ النصف الآخر يعتمد كلياً على التزام المريض ببرنامج العلاج الطبيعي. يضع الأستاذ الدكتور محمد هطيف خطة تأهيل مخصصة لكل مريض:
- المرحلة الأولى (من يوم إلى أسبوعين): التركيز على تقليل التورم (رفع اليد، استخدام الثلج). يُسمح بتحريك الأصابع غير المصابة لتنشيط الدورة الدموية.
- المرحلة الثانية (2 إلى 6 أسابيع): إذا تم استخدام أسلاك معدنية، تبقى اليد في الجبيرة. يتم إزالة الأسلاك في الأسبوع الرابع أو السادس. تبدأ تمارين الحركة السلبية والنشطة الخفيفة للمفصل المصاب.
- المرحلة الثالثة (6 إلى 12 أسبوعاً): التركيز على استعادة المدى الحركي الكامل. البدء بتمارين تقوية قبضة اليد باستخدام كرات الضغط والأربطة المطاطية.
- المرحلة الرابعة (بعد 3 أشهر): العودة التدريجية للأنشطة الرياضية أو الأعمال الشاقة المعتادة، مع إمكانية استخدام دعامة واقية أثناء الأنشطة العنيفة.

لماذا تختار الأستاذ الدكتور محمد هطيف؟ (الرقم الصعب في جراحة العظام باليمن)
عندما يتعلق الأمر بإصابة معقدة في اليد تهدد مستقبلك المهني وحياتك اليومية، فإن اختيار الجراح الخطأ ليس خياراً. يُعتبر الأستاذ الدكتور محمد هطيف المرجعية الأولى والأفضل في اليمن لعدة أسباب:
- الرتبة الأكاديمية والخبرة: أستاذ دكتور في جراحة العظام والمفاصل بجامعة صنعاء، بخبرة عملية تتجاوز الـ 20 عاماً في أعقد الحالات.
- التخصص الدقيق: يمتلك مهارات استثنائية في الجراحة الميكروسكوبية، مناظير المفاصل بدقة 4K، وعمليات استبدال المفاصل (Arthroplasty).
- التكنولوجيا الحديثة: يستخدم أحدث ما توصل إليه العلم من شرائح التيتانيوم الدقيقة وأدوات الجراحة ذات التدخل المحدود (Minimally Invasive Surgery).
- الأمانة والمصداقية: يُعرف في الأوساط الطبية اليمنية بشفافيته المطلقة مع المرضى؛ فهو يشرح الحالة بتفصيل، ولا يقرر الجراحة إلا إذا كانت ضرورة حتمية، مع توضيح كافة نسب النجاح والمخاطر المحتملة.

قصص نجاح ملهمة من عيادة الأستاذ الدكتور محمد هطيف
قصة المريض (أحمد) - رياضي محترف
تعرض أحمد (28 عاماً)، وهو لاعب فنون
كسور العظام المعقدة وإصابات الحوادث ليس قدراً محتوماً! التشخيص الدقيق والعلاج المتخصص يمكن أن يعيد لك كامل وظيفتك وحريتك في الحركة. لا تدع الألم يسيطر على حياتك.
للحصول على استشارة دقيقة وخطة علاجية مخصصة لحالتك، تواصل فوراً مع مركز الأستاذ الدكتور محمد هطيف:
الأستاذ الدكتور محمد هطيف - أفضل دكتور عظام في صنعاء، وخبير في جراحات الكسور المعقدة وإنقاذ الأطراف.. نلتزم بإعادتك لحياة خالية من الألم وعظام قوية وملتئمة.
مواضيع أخرى قد تهمك