كسور عظام اليد المشطية: دليل شامل للعلاج الجراحي مع الأستاذ الدكتور محمد هطيف

الخلاصة الطبية
كسور عظام اليد المشطية هي إصابات شائعة تؤثر على وظيفة اليد الحرجة. يشمل العلاج الجراحي، الذي يقوده الأستاذ الدكتور محمد هطيف في صنعاء، إعادة ترتيب العظام المتكسرة وتثبيتها باستخدام تقنيات متقدمة مثل الأسلاك الدقيقة أو الصفائح المعدنية لاستعادة دقيقة لوظيفة اليد وضمان تعافٍ فعال.
الخلاصة الطبية السريعة: كسور عظام اليد المشطية هي إصابات شائعة ولكنها معقدة، وتؤثر بشكل مباشر على وظيفة اليد الحرجة وقدرة الإنسان على أداء مهامه اليومية. يشمل العلاج الجراحي المتقدم، الذي يقوده الأستاذ الدكتور محمد هطيف (استشاري جراحة العظام والمفاصل وأستاذ جراحة العظام بجامعة صنعاء)، إعادة الترتيب التشريحي الدقيق للعظام المتكسرة وتثبيتها باستخدام أحدث التقنيات العالمية مثل الأسلاك الدقيقة (K-wires)، والصفائح المعدنية المصغرة، والمسامير النخاعية. يتميز الدكتور هطيف بخبرة تتجاوز 20 عاماً في هذا المجال، مما يضمن استعادة دقيقة لوظيفة اليد، وتجنب التشوهات، وضمان تعافٍ سريع وفعال للمرضى في اليمن.


مقدمة شاملة: فهم كسور عظام اليد المشطية وأهمية العلاج المتخصص
أهلاً بكم أيها المرضى الكرام والباحثون عن الرعاية الطبية الموثوقة في هذا الدليل الشامل والمفصل حول كسور عظام اليد المشطية (Metacarpal Fractures). قد تبدو هذه الإصابات بسيطة للوهلة الأولى بالنسبة لغير المتخصصين، لكنها في الواقع تحمل أهمية وظيفية بالغة ليدكم. يد الإنسان هي أداة معقدة، ومعجزة هندسية حيوية ضرورية لحياتنا اليومية، وعملنا، وتواصلنا. أي خلل بسيط في ميكانيكية اليد، مهما كان صغيراً، يمكن أن يؤثر بشكل كبير وجذري على جودة حياتنا.

هدفنا الأسمى في علاج هذه الكسور ليس مجرد "إصلاح العظم المكسور" لتبدو الأشعة السينية جيدة، بل هو استعادة الميكانيكية المعقدة لليد بدقة متناهية، لضمان استعادة وظيفتها المثلى على المدى الطويل. الأمر لا يقتصر على مجرد استخدام البراغي والصفائح المعدنية، بل يتطلب فهماً عميقاً للتشريح الحيوي للأنسجة الرخوة، وميكانيكا العظام، والأهم من ذلك، ضمان عودة المريض إلى أنشطته الطبيعية، سواء كان رياضياً، أو عاملاً يدوياً، أو موظفاً، بأقصى قدر من الكفاءة.
في العاصمة اليمنية صنعاء، يُعد الأستاذ الدكتور محمد هطيف الرائد الأول والمرجع الطبي الأبرز في علاج كسور اليد المشطية المعقدة. بفضل خبرته الواسعة التي تمتد لأكثر من عقدين من الزمان، ومكانته الأكاديمية كأستاذ بجامعة صنعاء، يقدم الدكتور هطيف أحدث ما توصل إليه العلم في جراحات اليد الدقيقة.


التشريح الحيوي: ماذا نعني بعظام اليد المشطية؟
لفهم طبيعة الإصابة، يجب أولاً فهم تشريح اليد. تتكون اليد من ثلاثة أجزاء رئيسية للعظام: عظام الرسغ (Carpals)، وعظام المشط (Metacarpals)، وسلاميات الأصابع (Phalanges). عظام المشط هي العظام الخمسة الطويلة التي تشكل راحة اليد (كف اليد).
كل عظمة مشطية تتكون من:
* القاعدة (Base): تتصل بعظام الرسغ.
* الجسم أو العمود (Shaft): الجزء الأوسط الطويل.
* العنق (Neck): الجزء الأضعف والذي يسبق المفصل.
* الرأس (Head): الجزء الذي يشكل "مفاصل الأصابع" (Knuckles) ويتصل بالسلاميات.

تعمل هذه العظام كأعمدة داعمة لليد. الكسر في أي من هذه الأعمدة يؤدي إلى انهيار في القوس الطبيعي لليد، مما يسبب ضعفاً في قبضة اليد وصعوبة في تحريك الأصابع.


الأسباب الشائعة وعوامل الخطر لكسور اليد المشطية
تحدث كسور عظام المشط نتيجة تعرض اليد لقوة مباشرة أو غير مباشرة تفوق قدرة العظم على التحمل. من أبرز الأسباب:
- الإصابات الرياضية: وخاصة في الرياضات التي تتطلب احتكاكاً مثل الملاكمة، كرة السلة، والفنون القتالية. (يُعرف كسر العظمة المشطية الخامسة باسم "كسر الملاكم" أو Boxer's Fracture).
- حوادث السقوط: السقوط على يد ممدودة أو الارتطام المباشر بالأرض.
- حوادث السير والعمل: الإصابات السحقية (Crush Injuries) التي تحدث بسبب الآلات الثقيلة أو حوادث السيارات تؤدي غالباً إلى كسور متعددة ومعقدة.
- الضربات المباشرة: توجيه لكمة لجسم صلب (مثل الجدار) في لحظات الغضب.


الأعراض والعلامات السريرية: متى يجب زيارة الطبيب؟
التشخيص المبكر والدقيق هو مفتاح العلاج الناجح. إذا تعرضت لإصابة في اليد، فإليك الأعراض التي تستوجب زيارة عيادة الأستاذ الدكتور محمد هطيف فوراً:
جدول 1: تصنيف أعراض كسور اليد المشطية حسب الشدة
| درجة الإصابة | الأعراض الملحوظة (ما يشعر به المريض) | العلامات السريرية (ما يلاحظه الطبيب) |
|---|---|---|
| خفيفة (كسر غير متحرك) | ألم موضعي، تورم خفيف، قدرة محدودة على تحريك الإصبع. | ألم عند الجس، كدمات خفيفة، لا يوجد تشوه واضح في شكل اليد. |
| متوسطة (تحرك جزئي للعظم) | ألم شديد، تورم ملحوظ في ظهر اليد، كدمات داكنة. | غياب بروز المفصل (Knuckle depression)، قصر في طول الإصبع المصاب. |
| شديدة (كسر معقد أو متبدل) | ألم مبرح لا يُحتمل، عدم القدرة على إغلاق اليد نهائياً. | تراكب الأصابع (Scissoring) عند محاولة طي اليد، تشوه زاوي واضح، خروج العظم من الجلد (كسر مفتوح). |

خطورة "تراكب الأصابع" (Scissoring)
يؤكد أ.د. محمد هطيف دائماً على ضرورة فحص الدوران (Rotation). إذا كان هناك كسر في العظمة المشطية مع التواء، فإن الإصبع المصاب سيتقاطع مع الإصبع المجاور عند محاولة إغلاق قبضة اليد. هذا التشوه غير مقبول طبياً ويتطلب تدخلاً جراحياً فورياً لضمان عدم فقدان وظيفة اليد.


التشخيص الدقيق: المعيار الذهبي في عيادة الدكتور هطيف
يعتمد التشخيص على مزيج من الفحص السريري الدقيق والتصوير الشعاعي المتقدم. يلتزم الدكتور هطيف بأعلى معايير الأمانة الطبية، حيث لا يتم اتخاذ قرار الجراحة إلا إذا كان هو الخيار الأمثل والوحيد لضمان مصلحة المريض.
- الأشعة السينية (X-rays): يتم أخذ صور من زوايا متعددة (أمامية خلفية، جانبية، ومائلة) لتحديد موقع الكسر، نوعه (عرضي، حلزوني، مائل، متفتت)، ودرجة التزوي (Angulation).
- الأشعة المقطعية (CT Scan): يطلبها الدكتور هطيف في حالات الكسور المفصلية المعقدة لضمان تخطيط جراحي دقيق (Pre-operative planning).


الخيارات العلاجية: التحفظي مقابل الجراحي
لا تتطلب جميع كسور اليد المشطية تدخلاً جراحياً. يعتمد القرار على عدة عوامل: أي عظمة كُسرت؟ هل الكسر مستقر؟ ما هي وظيفة المريض (عازف بيانو مقابل موظف مكتبي)؟
جدول 2: مقارنة بين العلاج التحفظي والعلاج الجراحي
| وجه المقارنة | العلاج التحفظي (الجبيرة/الجبس) | العلاج الجراحي (العملية الجراحية) |
|---|---|---|
| الحالات المناسبة | الكسور المستقرة، غير المتبدلة، بدون تشوه دوراني. | الكسور المتبدلة، المتفتتة، الكسور المفتوحة، وجود تراكب للأصابع. |
| طريقة العلاج | رد العظم مغلقاً (إذا لزم الأمر) وتثبيته بجبيرة مخصصة لمدة 3-6 أسابيع. | رد العظم جراحياً وتثبيته باستخدام أسلاك، صفائح، أو مسامير معدنية. |
| المميزات | تجنب التخدير والجروح الجراحية، تكلفة أقل. | استعادة دقيقة للتشريح، تثبيت قوي يسمح بتحريك اليد مبكراً، منع تيبس المفاصل. |
| العيوب/المخاطر | احتمالية تيبس المفاصل بسبب التثبيت الطويل، خطر تحرك الكسر داخل الجبس. | مخاطر الجراحة العامة (التهاب، ندبات)، الحاجة لعملية أخرى لإزالة المعادن أحياناً. |


الدليل الشامل للعلاج الجراحي المتقدم مع أ.د. محمد هطيف
عندما يكون العلاج الجراحي ضرورياً، فإن دقة الجراح وخبرته تلعبان الدور الحاسم. يستخدم الأستاذ الدكتور محمد هطيف أحدث التقنيات الجراحية العالمية في مستشفيات صنعاء لضمان أفضل النتائج.

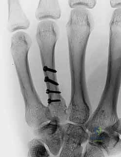
1. التثبيت باستخدام الأسلاك الدقيقة (K-wires)
تُعد هذه الطريقة (Percutaneous Pinning) من التقنيات طفيفة التوغل. يتم إدخال أسلاك معدنية رفيعة جداً عبر الجلد لتثبيت العظم المكسور تحت توجيه الأشعة السينية المستمرة (C-arm) داخل غرفة العمليات.
* الميزة: جروح صغيرة جداً، تعافٍ أسرع للأنسجة الرخوة.
* الإزالة: غالباً ما يتم إزالتها في العيادة بعد 4-6 أسابيع بدون الحاجة لتخدير كامل.


2. التثبيت الداخلي بالصفائح والبراغي المصغرة (Mini-Plates & Screws)
في حالات الكسور المتفتتة (Comminuted) أو الكسور الحلزونية الطويلة التي تميل للانزلاق، يلجأ الدكتور هطيف إلى التثبيت الداخلي المفتوح (ORIF). يتم استخدام صفائح معدنية دقيقة جداً (مصنوعة من التيتانيوم) تتناسب مع حجم عظام اليد.
* الميزة: تثبيت صلب وقوي جداً (Rigid Fixation)، مما يسمح للمريض ببدء العلاج الطبيعي وتحريك أصابعه في اليوم التالي للعملية، وهو أمر بالغ الأهمية لمنع تيبس الأوتار.

خطوات التثبيت الجراحي - توثيق بصري (Intraoperative Imaging)
يحرص الدكتور هطيف على توثيق خطوات العمل الجراحي لضمان أعلى مستويات الدقة. نستعرض هنا مجموعة من الصور من داخل غرفة العمليات توضح مدى تعقيد ودقة هذه الجراحات:




تتطلب الجراحة انتباهاً خاصاً للأوتار الباسطة والقابضة والأعصاب الدقيقة المحيطة بالعظام. استخدام تقنيات الجراحة الميكروسكوبية (Microsurgery) يضمن عدم الإضرار بهذه الأنسجة الحساسة.




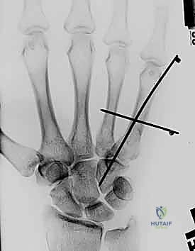
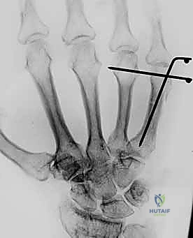
3. التثبيت باستخدام المسامير النخاعية (Intramedullary Nails/Wires)
في بعض كسور عنق العظمة المشطية (مثل كسر الملاكم)، يمكن إدخال سلك أو مسمار مرن داخل النخاع العظمي. هذه التقنية ممتازة للحفاظ على طول العظمة وتصحيح الزاوية دون الحاجة لفتح جراحي كبير.




التميز الجراحي للأستاذ الدكتور محمد هطيف في صنعاء
لماذا يُعتبر أ.د. محمد هطيف الخيار الأول لمرضى العظام في اليمن؟
1. الخبرة الأكاديمية والعملية: كأستاذ لجراحة العظام في جامعة صنعاء، يجمع الدكتور بين المعرفة الأكاديمية الحديثة والخبرة السريرية التي تتجاوز 20 عاماً.
2. التقنيات الحديثة: إتقان تقنيات الجراحة الميكروسكوبية، والمناظير بدقة 4K، وتبديل المفاصل المعقدة (Arthroplasty).
3. الأمانة الطبية: الالتزام الصارم بالمعايير الأخلاقية. لا يتم إجراء أي جراحة إلا إذا كانت مبررة طبياً بنسبة 100%.
4. الرعاية الشاملة: متابعة المريض من لحظة دخوله العيادة، مروراً بغرفة العمليات، وحتى اكتمال العلاج الطبيعي.




رحلة التعافي وإعادة التأهيل (Rehabilitation)
العملية الجراحية الناجحة هي نصف العلاج فقط. النصف الآخر يعتمد كلياً على برنامج إعادة التأهيل. اليد بطبيعتها تميل إلى التيبس بسرعة كبيرة إذا لم يتم تحريكها.
- الأسبوع الأول: تقليل التورم باستخدام الثلج ورفع اليد. البدء بحركات خفيفة جداً للأصابع غير المصابة لتعزيز الدورة الدموية.
- الأسبوع 2-4: إزالة الغرز الجراحية. بدء تمارين تحريك المفاصل (Range of Motion) تحت إشراف أخصائي العلاج الطبيعي، مع ارتداء جبيرة واقية بين الجلسات.
- الأسبوع 4-6: يبدأ العظم بالالتئام السريري (Callus formation). يتم تكثيف التمارين وزيادة المدى الحركي.
- بعد 6 أسابيع: بدء تمارين التقوية (Strengthening exercises) لاستعادة قوة القبضة.




معرض الصور الشعاعية: تقييم النتائج الجراحية (Post-Op X-rays)
النجاح الحقيقي يُقاس بالاستعادة المثالية للشكل التشريحي للعظم. توضح هذه الصور الشعاعية بعد الجراحة الدقة المتناهية في إعادة محاذاة العظام وتثبيتها.






التثبيت المحكم يسمح بالشفاء العظمي الأولي (Primary Bone Healing) دون تكوين كتلة عظمية كبيرة (Callus) قد تعيق حركة الأوتار المنزلقة فوقها.






قصص نجاح ملهمة من عيادة الدكتور هطيف
الحالة الأولى: رياضي محترف (24 عاماً)
تعرض شاب رياضي لكسر متبدل ومعقد في العظمة المشطية الثانية والثالثة إثر سقوط عنيف أثناء تدريب رياضي. كان التخوف الأكبر هو فقدان قوة القبضة التي يعتمد عليها في مسيرته. أجرى أ.د. محمد هطيف جراحة تثبيت داخلي باستخدام صفائح التيتانيوم المصغرة. بفضل التثبيت القوي، بدأ المريض العلاج الطبيعي في اليوم الثالث، وعاد لممارسة نشاطه الرياضي الكامل بعد 8 أسابيع فقط.




الحالة الثانية: عامل فني (45 عاماً)
أصيب المريض بكسر سحقي (Crush injury) أدى إلى تفتت العظمة المشطية الخامسة مع انحراف دوراني (Scissoring). تم إجراء جراحة دقيقة بواسطة الأسلاك (K-wires) لإعادة بناء العظم. التزم المريض ببرنامج التأهيل الصارم الموصى به، واستعاد وظيفة يده بالكامل ليعود إلى عمله الفني الدقيق دون أي إعاقة حركية.



![حالة سريرية
كسور العظام المعقدة وإصابات الحوادث ليس قدراً محتوماً! التشخيص الدقيق والعلاج المتخصص يمكن أن يعيد لك كامل وظيفتك وحريتك في الحركة. لا تدع الألم يسيطر على حياتك.
للحصول على استشارة دقيقة وخطة علاجية مخصصة لحالتك، تواصل فوراً مع مركز الأستاذ الدكتور محمد هطيف:
الأستاذ الدكتور محمد هطيف - أفضل دكتور عظام في صنعاء، وخبير في جراحات الكسور المعقدة وإنقاذ الأطراف.. نلتزم بإعادتك لحياة خالية من الألم وعظام قوية وملتئمة.
مواضيع أخرى قد تهمك