دليلك الشامل لكسور مفصل إبهام اليد الرسغي السنعي: التشخيص والعلاج مع الأستاذ الدكتور محمد هطيف

الخلاصة الطبية
كسور مفصل الإبهام الرسغي السنعي هي إصابات شائعة تؤثر على وظيفة اليد الأساسية. يتضمن العلاج إعادة المفصل لوضعه التشريحي الدقيق وتثبيته لضمان استعادة الحركة الكاملة، سواء عبر التثبيت بالإبر أو الجراحة المفتوحة، تحت إشراف خبراء مثل الأستاذ الدكتور محمد هطيف.
الخلاصة الطبية السريعة: تُعد كسور مفصل الإبهام الرسغي السنعي (CMC Joint Fractures) من الإصابات المعقدة والشائعة التي تؤثر بشكل جذري على الوظيفة الأساسية لليد. يتطلب العلاج الدقيق إعادة المفصل إلى وضعه التشريحي السليم وتثبيته بمهارة لضمان استعادة الحركة الكاملة وقوة الإمساك. سواء كان العلاج يتم عبر التثبيت المغلق بالإبر المعدنية (K-wires) أو الجراحة المفتوحة الدقيقة، فإن الإشراف الطبي المتميز هو الفاصل بين التعافي الكامل والإعاقة الدائمة. وهنا يبرز اسم الأستاذ الدكتور محمد هطيف، أستاذ جراحة العظام والمفاصل بجامعة صنعاء، كأفضل خبير ومرجع طبي في اليمن لعلاج هذه الحالات المعقدة بأحدث التقنيات العالمية.
مفصل الإبهام هو الركيزة الأساسية لوظيفة اليد بأكملها؛ فهو المسؤول عن أكثر من 50% من قدرة اليد على العمل، حيث يمنحنا القدرة الفريدة على الإمساك بالأشياء، والقرص، والتلاعب بها بدقة متناهية. عندما يتعرض هذا المفصل الحيوي للكسر، يمكن أن تكون العواقب وخيمة ومقيدة لقدرة اليد على أداء أبسط المهام اليومية، مثل فتح باب، أو الإمساك بقلم، أو حتى إغلاق أزرار القميص. لذلك، فإن الهدف الأسمى في علاج هذه الكسور هو استعادة التشريح الدقيق للمفصل وتوفير الاستقرار التام لمنع حدوث خشونة المفاصل المبكرة.
في هذا الدليل الطبي الشامل والموسع، سنتعمق في كل ما يخص كسور مفصل الإبهام الرسغي السنعي (Carpometacarpal Joint of the Thumb)، بدءًا من التشريح الميكانيكي الدقيق، مروراً بأنواع الكسور المتعددة مثل كسر "بينيت" و"رولاندو"، وصولاً إلى أحدث بروتوكولات التشخيص والعلاج الجراحي والتأهيلي. وسنسلط الضوء على الخبرة المتخصصة والموثوقة للأستاذ الدكتور محمد هطيف، الذي يُعد المرجع الأول والأكثر ثقة في جراحة العظام الدقيقة في صنعاء واليمن.


التشريح الدقيق والميكانيكا الحيوية لمفصل الإبهام الرسغي السنعي
لفهم كيفية حدوث الكسور وطرق علاجها، يجب أولاً أن نغوص في التشريح المعقد لهذا المفصل الفريد. مفصل الإبهام الرسغي السنعي ليس مجرد مفصل عادي؛ إنه أعجوبة هندسية حيوية.
البنية العظمية للمفصل (The Bony Anatomy)
يتكون هذا المفصل من التقاء قاعدة عظم المشط الأول للإبهام (First Metacarpal Bone) مع العظم المربعي (Trapezium) الموجود في صف عظام الرسغ. يُصنف هذا المفصل من الناحية التشريحية على أنه "مفصل سرجي حقيقي" (Saddle Joint). هذا يعني أن الأسطح المفصلية لكلا العظمين تتخذ شكلاً مقعراً في اتجاه ومحدباً في الاتجاه الآخر، مما يسمح لها بالتشابك التام.
هذا التصميم الفريد يمنح الإبهام مدى حركة استثنائي في مستويات متعددة:
* الثني والمد (Flexion & Extension): القدرة على تحريك الإبهام عبر راحة اليد وإعادته.
* التبعيد والتقريب (Abduction & Adduction): فتح الإبهام بعيداً عن السبابة وضمه إليها.
* الدوران والمقابلة (Circumduction & Opposition): وهي الحركة الأهم التي تميز البشر، حيث يدور الإبهام ليلامس أطراف الأصابع الأخرى، مما يسمح بمهارات الإمساك الدقيقة (Pinch Grip).

الأربطة الداعمة: حراس الاستقرار (Ligamentous Support)
نظراً لأن البنية العظمية للمفصل السرجي توفر حركة واسعة، فإنها تعتمد بشكل كبير على الأربطة القوية لمنع الخلع أو عدم الاستقرار. يتم الحفاظ على استقرار هذا المفصل الحيوي بواسطة شبكة معقدة من الأربطة، التي تعمل معاً كحبال خيمة مشدودة بدقة:
- الرباط الأمامي الراحي (رباط المنقار - Anterior Oblique / Beak Ligament): يُعد هذا الرباط الحارس الأول والأهم لاستقرار المفصل. ينشأ من الجانب الراحي للعظم المربعي ويدخل في الجانب الراحي الزندي لقاعدة المشط الأول. في حالات كسور "بينيت"، تظل شظية العظم الصغيرة متصلة بهذا الرباط، بينما يُسحب باقي العظم بعيداً.
- الرباط المائل الخلفي (Posterior Oblique Ligament): يقع في الجهة الظهرية ويعمل كرديف قوي لرباط المنقار في الحفاظ على التوازن.
- الرباط الكعبري الظهري (Dorsal Radial Ligament): يوفر دعماً وحماية ضد القوى التي تدفع الإبهام للخلف.
- الأربطة بين المشطيات (Intermetacarpal Ligaments): تربط قاعدة المشط الأول بقاعدة المشط الثاني، مما يمنع تباعد الإبهام بشكل مفرط عن باقي اليد.


أسباب وعوامل الخطر لكسور قاعدة الإبهام
لا تحدث كسور مفصل الإبهام الرسغي السنعي من فراغ، بل هي غالباً نتيجة لقوى ميكانيكية شديدة تفوق قدرة العظام والأربطة على التحمل.
الآلية الميكانيكية للإصابة (Mechanism of Injury)
الآلية الأكثر شيوعاً لحدوث هذه الكسور هي التعرض لـ قوة محورية (Axial Load) موجهة على طول محور عظم المشط الأول بينما يكون الإبهام في وضعية انثناء جزئي (Partial Flexion). عندما تصطدم اليد بقوة، يتم دفع قاعدة المشط الأول بقوة ضد العظم المربعي، مما يؤدي إلى انشطار العظم أو كسره.
الأسباب الشائعة:
- الإصابات الرياضية: وخاصة في الرياضات التي تتطلب الاحتكاك أو استخدام اليدين بشدة مثل الملاكمة، فنون القتال، كرة السلة، وحراسة المرمى في كرة القدم. (يُطلق على بعض هذه الكسور أحياناً "كسر الملاكم" رغم أن المصطلح يطلق عادة على المشط الخامس).
- حوادث السقوط: السقوط على يد ممدودة (FOOSH) مع ارتطام الإبهام بالأرض.
- حوادث السير والمرور: حيث يرتطم الإبهام بعجلة القيادة أثناء الاصطدام الأمامي، مما يولد قوة محورية هائلة.
- حوادث العمل: في المصانع أو ورش النجارة والحدادة التي تتضمن التعامل مع آلات ثقيلة.

عوامل تزيد من خطر الإصابة:
- هشاشة العظام (Osteoporosis): خاصة لدى كبار السن، حيث تصبح العظام أكثر عرضة للكسر حتى مع إصابات طفيفة.
- الجنس والعمر: الشباب الذكور أكثر عرضة للإصابة بسبب الأنشطة البدنية العالية والرياضات العنيفة.
- نقص التغذية: ضعف مستويات الكالسيوم وفيتامين د.

التصنيف الدقيق لأنواع كسور مفصل الإبهام
يُعد التحديد الدقيق لنوع الكسر الخطوة الأهم في تحديد مسار العلاج. كخبير متمرس، يقوم الأستاذ الدكتور محمد هطيف بتصنيف هذه الكسور بعناية فائقة لضمان اختيار التدخل الأنسب. تُقسم هذه الكسور بشكل رئيسي إلى كسور داخل المفصل (Intra-articular) وكسور خارج المفصل (Extra-articular).
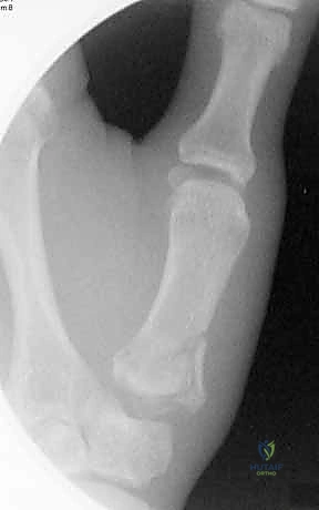
1. كسر بينيت (Bennett's Fracture)
هو أشهر أنواع كسور قاعدة الإبهام وأكثرها تعقيداً. وهو كسر داخل المفصل يتميز بوجود خط كسر مائل يفصل شظية صغيرة من الجانب الراحي الزندي (Volar-Ulnar) لقاعدة المشط الأول.
* الديناميكا المرضية: المشكلة الكبرى في كسر بينيت هي "القوى العضلية المعاكسة". بينما تظل الشظية الصغيرة ثابتة في مكانها بفضل رباط المنقار القوي، تقوم عضلة "مبعدة الإبهام الطويلة" (Abductor Pollicis Longus - APL) بسحب الجزء الأكبر المتبقي من عظم المشط إلى الأعلى والخلف، مما يؤدي إلى خلع جزئي (Subluxation) للمفصل.
* هذا الكسر غير مستقر بطبيعته ويحتاج دائماً إلى تدخل لتثبيته.

2. كسر رولاندو (Rolando's Fracture)
تم وصفه لأول مرة بواسطة الطبيب سيلفيو رولاندو. وهو كسر مفتت داخل المفصل (Comminuted Intra-articular Fracture).
* يأخذ خط الكسر غالباً شكل حرف "Y" أو "T"، مما يعني أن قاعدة عظم المشط تنقسم إلى ثلاث قطع أو أكثر.
* يُعد هذا الكسر أكثر خطورة وصعوبة في العلاج من كسر بينيت، حيث يتطلب مهارة جراحية فائقة لإعادة تجميع الشظايا العظمية الصغيرة واستعادة السطح المفصلي الأملس لتجنب خشونة المفاصل.

3. الكسور خارج المفصل (Extra-articular Fractures)
هي كسور تحدث في قاعدة عظم المشط الأول ولكنها لا تمتد إلى السطح المفصلي مع العظم المربعي.
* تكون إما كسوراً مستعرضة (Transverse) أو مائلة (Oblique).
* نظراً لأنها لا تؤثر على الغضروف المفصلي، فإن خطر الإصابة بخشونة المفاصل المستقبلية يكون أقل بكثير، وغالباً ما تستجيب بشكل ممتاز للعلاج التحفظي (التجصيص) إذا لم يكن هناك انحراف زاوي كبير (Angulation).


الأعراض والعلامات السريرية: متى يجب زيارة الطبيب؟
إذا تعرضت لإصابة في الإبهام، فإن التعرف المبكر على الأعراض يساهم في سرعة تلقي العلاج ومنع المضاعفات. تشمل العلامات التي تستدعي الفحص الفوري من قبل خبير مثل أ.د. محمد هطيف ما يلي:
- ألم حاد وفوري: ألم شديد في قاعدة الإبهام يزداد سوءاً عند محاولة تحريك الإصبع أو الإمساك بالأشياء.
- تورم ملحوظ: انتفاخ سريع في منطقة اتصال الإبهام بالرسغ، قد يمتد إلى راحة اليد.
- كدمات وتغير في لون الجلد (Ecchymosis): ظهور بقع زرقاء أو أرجوانية نتيجة النزيف الداخلي من العظم المكسور.
- تشوه مرئي: قد يبدو الإبهام أقصر من المعتاد، أو قد تلاحظ بروزاً عظمياً غير طبيعي عند قاعدة الإبهام نتيجة للخلع الجزئي المصاحب للكسر.
- فقدان القدرة الوظيفية: عجز كامل أو ضعف شديد في القدرة على القيام بحركة "القرص" (Pinch) بين الإبهام والسبابة، وصعوبة في الإمساك بالأشياء (Grip Strength).
- ألم عند الجس المباشر: ألم شديد عند الضغط بلطف على قاعدة المشط الأول.


بروتوكولات التشخيص الدقيق مع الأستاذ الدكتور محمد هطيف
التشخيص الدقيق هو حجر الأساس لنجاح العلاج. في عيادة الأستاذ الدكتور محمد هطيف في صنعاء، يتم تطبيق أعلى المعايير العالمية في تقييم وتشخيص كسور اليد.
1. الفحص السريري الشامل (Clinical Examination)
يبدأ البروفيسور هطيف بأخذ التاريخ الطبي المفصل لمعرفة آلية الإصابة. يتم فحص اليد المصابة ومقارنتها باليد السليمة. يتضمن الفحص تقييم الدورة الدموية، والأعصاب (للتأكد من عدم وجود إصابة في العصب الكعبري أو الناصف)، وتقييم مدى استقرار المفصل.
2. التصوير بالأشعة السينية (X-rays)
هي الأداة التشخيصية الأولى والأهم. يتم إجراء صور أشعة بزوايا محددة جداً:
* المنظور الأمامي الخلفي (AP View).
* المنظور الجانبي الحقيقي (True Lateral View): وهو ضروري جداً لتقييم مدى الخلع أو الانزياح في المفصل.
* منظور روبرت (Robert's View): وضعية خاصة للأشعة السينية تظهر مفصل الإبهام الرسغي السنعي بوضوح تام وتكشف عن أدق التفاصيل في كسور بينيت ورولاندو.

3. التصوير المقطعي المحوسب (CT Scan)
في حالات الكسور المفتتة المعقدة (مثل كسر رولاندو)، قد يطلب أ.د. هطيف إجراء أشعة مقطعية، غالباً مع إعادة بناء ثلاثية الأبعاد (3D Reconstruction). هذا يسمح للجراح برؤية حجم وعدد الشظايا العظمية بدقة متناهية، مما يسهل التخطيط الجراحي المسبق وتحديد نوع الشرائح والمسامير المطلوبة.


الخيارات العلاجية: التحفظي مقابل الجراحي
تعتمد استراتيجية العلاج بشكل كامل على نوع الكسر، مدى الانزياح (Displacement)، استقرار المفصل، وعمر المريض ونشاطه. يشتهر الأستاذ الدكتور محمد هطيف بـ "الأمانة الطبية" المطلقة؛ فهو لا يلجأ للجراحة إلا إذا كانت هي الخيار العلمي الوحيد لضمان استعادة الوظيفة، ويقدم الخيارات التحفظية متى ما كانت مناسبة.
جدول مقارنة: العلاج التحفظي مقابل العلاج الجراحي لكسور الإبهام
| وجه المقارنة | العلاج التحفظي (بدون جراحة) | العلاج الجراحي |
|---|---|---|
| الحالات المناسبة | الكسور خارج المفصل، الكسور المستقرة بدون انزياح، المرضى غير القادرين على تحمل الجراحة. | كسور بينيت، كسور رولاندو، الكسور المفتتة، الكسور غير المستقرة، الانزياح الزاوي الكبير. |
| طريقة العلاج | الرد المغلق (إن لزم) + وضع جبيرة الإبهام (Thumb Spica Cast). | الرد المغلق مع التثبيت بأسياخ (CRPP) أو الرد المفتوح والتثبيت الداخلي (ORIF). |
| مدة التثبيت | 4 إلى 6 أسابيع في الجبس. | التثبيت الداخلي يسمح بحركة مبكرة (أحياناً بعد أسبوعين). |
| المزايا | تجنب مخاطر التخدير والجراحة والعدوى الجراحية. | استعادة دقيقة للتشريح، تقليل خطر خشونة المفاصل، عودة أسرع للوظيفة الطبيعية. |
| العيوب | خطر التيبس الطويل، احتمال تحرك الكسر داخل الجبس (يتطلب متابعة دقيقة). | تكلفة أعلى، مخاطر جراحية عامة، قد يحتاج لإزالة المسامير لاحقاً. |


التفاصيل الدقيقة للعلاج التحفظي (Conservative Management)
إذا قرر أ.د. هطيف أن الكسر مستقر ولا يتطلب جراحة، يتم اتباع بروتوكول العلاج التحفظي الصارم:
- الرد المغلق (Closed Reduction): تحت تأثير التخدير الموضعي، يقوم الجراح بسحب الإبهام وتدويره بلطف لإعادة العظام إلى مكانها الصحيح دون إحداث شق جراحي.
- التجبير (Immobilization): يتم وضع جبيرة مخصصة تُعرف بـ (Thumb Spica Cast). تمتد هذه الجبيرة من الساعد وتغطي الإبهام بالكامل، مع ترك باقي الأصابع حرة للحركة.
- المتابعة الإشعاعية الدورية: هذه خطوة حرجة. يتم أخذ صور أشعة أسبوعياً خلال الأسابيع الثلاثة الأولى للتأكد من أن الكسر لم ينزلق أو يتحرك من مكانه داخل الجبس. إذا حدث انزياح، يتم التحول فوراً إلى الخيار الجراحي.


التدخل الجراحي المتقدم مع الأستاذ الدكتور محمد هطيف
عندما يكون الكسر معقداً أو غير مستقر (وهو الغالب في كسور مفصل الإبهام)، فإن الجراحة هي السبيل الوحيد لإنقاذ وظيفة اليد. يُعد الأستاذ الدكتور محمد هطيف رائداً في جراحات اليد الميكروسكوبية والمناظير في اليمن، ويستخدم أحدث التقنيات لضمان دقة لا متناهية.
1. الرد المغلق والتثبيت عبر الجلد بالإبر (CRPP - Closed Reduction and Percutaneous Pinning)
هذا الإجراء هو الخيار المفضل لكسور "بينيت" التي يمكن إعادتها لمكانها بدون فتح جراحي كبير.
* الخطوات: يتم إجراء العملية تحت التخدير الموضعي أو الكلي. باستخدام جهاز الأشعة السينية المباشر في غرفة العمليات (C-arm Fluoroscopy)، يقوم البروفيسور هطيف برد الكسر إلى مكانه المثالي.
* بعد ذلك، يتم إدخال إبر معدنية دقيقة (K-wires أو Kirschner wires) عبر الجلد مباشرة لتثبيت قاعدة المشط الأول بالعظم المربعي، وأحياناً بالمشط الثاني لزيادة الاستقرار.
* الميزة: شقوق صغيرة جداً، ألم أقل، وشفاء أسرع. يتم إزالة هذه الإبر عادة في العيادة بعد 4 إلى 6 أسابيع.

2. الرد المفتوح والتثبيت الداخلي (ORIF - Open Reduction and Internal Fixation)
عندما يكون الكسر مفتتًا (مثل كسر رولاندو) أو لا يمكن رده بشكل مغلق، يتم اللجوء إلى الجراحة المفتوحة.
* الخطوات: يقوم الجراح بعمل شق جراحي دقيق (غالباً بشق Wagner) فوق قاعدة الإبهام للوصول المباشر إلى المفصل.
* يتم تجميع الشظايا العظمية بدقة متناهية تحت التكبير الجراحي (Microsurgery).
* يتم تثبيت العظام باستخدام شرائح تيتانيوم صغيرة جداً (Mini-plates) ومسامير دقيقة (Screws).
* الميزة: يوفر تثبيتاً صلباً جداً (Rigid Fixation) يسمح ببدء العلاج الطبيعي وحركة المفصل في وقت مبكر جداً، مما يقلل من التيبس.

3. التثبيت الخارجي (External Fixation)
في حالات الكسور شديدة التفتت حيث تكون الشظايا العظمية أصغر من أن تُثبت بمسامير، أو في حالات الكسور المفتوحة الملوثة، يلجأ الدكتور هطيف إلى استخدام المثبت الخارجي.
* يعتمد هذا النظام على إدخال دبابيس في العظام السليمة أعلى وأسفل الكسر، وربطها بهيكل معدني خارجي يحافظ على طول العظم والمسافة المفصلية (Ligamentotaxis) حتى يلتئم الكسر.


لماذا يُعد الأستاذ الدكتور محمد هطيف الخيار الأول في اليمن؟ (E-E-A-T)
عندما يتعلق الأمر بجراحات اليد المعقدة، فإن الخبرة هي العامل الحاسم بين استعادة وظيفة اليد بالكامل أو فقدانها. يمتلك الأستاذ الدكتور محمد هطيف مؤهلات تجعله المرجع الطبي الأبرز في هذا التخصص:
- الدرجة الأكاديمية الرفيعة: أستاذ (بروفيسور) جراحة العظام والمفاصل في كلية الطب بجامعة صنعاء، مما يعني اطلاعه الدائم على أحدث الأبحاث والتقنيات العالمية.
- خبرة تتجاوز 20 عاماً: أجرى خلالها آلاف العمليات الناجحة في جراحات العظام والمفاصل والإصابات الرياضية.
- التخصص الدقيق: رائد في استخدام تقنيات الجراحة الميكروسكوبية (Microsurgery) ومناظير المفاصل بدقة 4K (Arthroscopy 4K) في اليمن، وهي تقنيات ضرورية للتعامل مع المفاصل الصغيرة كمفصل الإبهام.
- جراحات استبدال المفاصل (Arthroplasty): خبير معتمد في عمليات تغيير المفاصل، مما يجعله قادراً على التعامل مع الحالات المتأخرة من خشونة مفصل الإبه











كسور العظام المعقدة وإصابات الحوادث ليس قدراً محتوماً! التشخيص الدقيق والعلاج المتخصص يمكن أن يعيد لك كامل وظيفتك وحريتك في الحركة. لا تدع الألم يسيطر على حياتك.
للحصول على استشارة دقيقة وخطة علاجية مخصصة لحالتك، تواصل فوراً مع مركز الأستاذ الدكتور محمد هطيف:
الأستاذ الدكتور محمد هطيف - أفضل دكتور عظام في صنعاء، وخبير في جراحات الكسور المعقدة وإنقاذ الأطراف.. نلتزم بإعادتك لحياة خالية من الألم وعظام قوية وملتئمة.
مواضيع أخرى قد تهمك