كسور عظام الرسغ غير الزورقية: دليل شامل للمرضى مع الأستاذ الدكتور محمد هطيف في صنعاء

الخلاصة الطبية
كسور عظام الرسغ غير الزورقية هي إصابات معقدة تؤثر على أساس وظيفة اليد. يتضمن علاجها تقييمًا دقيقًا وخيارات غير جراحية أو جراحية متخصصة لاستعادة الحركة الكاملة. يقدم الأستاذ الدكتور محمد هطيف في صنعاء خبرة رائدة في تشخيص وعلاج هذه الحالات المعقدة، مستخدمًا أحدث التقنيات لضمان أفضل النتائج للمرضى.
الخلاصة الطبية السريعة: كسور عظام الرسغ غير الزورقية هي إصابات معقدة تؤثر بشكل مباشر على أساس وظيفة اليد وحركتها الدقيقة. يتضمن علاجها تقييمًا دقيقًا وخيارات غير جراحية أو جراحية متخصصة لاستعادة الحركة الكاملة ومنع المضاعفات المستقبلية مثل خشونة المفاصل. يقدم الأستاذ الدكتور محمد هطيف في صنعاء، أستاذ جراحة العظام بجامعة صنعاء، خبرة رائدة تمتد لأكثر من 20 عاماً في تشخيص وعلاج هذه الحالات المعقدة، مستخدمًا أحدث التقنيات العالمية مثل الجراحة الميكروسكوبية ومناظير المفاصل بتقنية 4K لضمان أفضل النتائج الحركية والوظيفية للمرضى.


مقدمة شاملة: فهم أعمق لكسور عظام الرسغ غير الزورقية
أهلاً بكم أيها الأصدقاء الأعزاء، ونتمنى لكم دوام الصحة والعافية. تُعد كسور عظام الرسغ، باستثناء العظم الزورقي (والذي يحظى بشهرة واسعة)، من الإصابات المعقدة والخفية في كثير من الأحيان، والتي تتطلب فهماً عميقاً وتشخيصاً دقيقاً وخطة علاج متكاملة لاستعادة الوظيفة الطبيعية لليد. هذه الكسور ليست مجرد "شروخ" بسيطة في العظام؛ بل هي إصابات تؤثر على أساس حركة ووظيفة اليد بأكملها، مما يستدعي اهتماماً بالغاً بالتفاصيل، وفهماً دقيقاً لميكانيكا الرسغ الحيوية، وتنفيذاً جراحياً احترافياً عند الحاجة.
الرسغ البشري ليس مفصلاً واحداً، بل هو شبكة معقدة من المفاصل الصغيرة التي تعمل بتناغم مذهل. هدفنا الطبي هنا ليس فقط إصلاح العظم المكسور ليظهر بشكل جيد في الأشعة السينية، بل استعادة الحركة المعقدة، والتنسيق الدقيق، وقوة القبضة لمفصل الرسغ واليد، لتتمكن من العودة إلى حياتك الطبيعية ومهنتك دون ألم أو إعاقة.

في هذا الدليل الطبي الشامل والموسع، سنتعمق في كل التفاصيل الدقيقة المتعلقة بكسور عظام الرسغ غير الزورقية. سنأخذك في رحلة طبية تبدأ من فهم التشريح المعقد للرسغ، مروراً بالأسباب والأعراض الخفية، وصولاً إلى أحدث أساليب التشخيص، والخيارات العلاجية.

التشريح المعقد للرسغ: أكثر من مجرد مفصل
يتكون الرسغ من ثماني عظام صغيرة تُعرف بعظام الرسغ (Carpal bones)، مرتبة في صفين (صف قريب وصف بعيد). بينما يستحوذ العظم الزورقي (Scaphoid) على النصيب الأكبر من الكسور والاهتمام الطبي، فإن العظام السبعة الأخرى تلعب أدواراً حاسمة لا تقل أهمية.

العظام غير الزورقية وأهميتها:
- العظم الهلالي (Lunate): يقع في منتصف الصف القريب، وهو حجر الزاوية في حركة الرسغ. كسوره نادرة ولكنها خطيرة جداً وقد تؤدي إلى انقطاع التروية الدموية (مرض كينبوك).
- العظم المثلثي (Triquetrum): ثاني أكثر عظام الرسغ عرضة للكسر بعد الزورقي. غالباً ما تحدث كسوره نتيجة السقوط على يد ممتدة.
- العظم الحمصي (Pisiform): عظمة صغيرة تعمل كبكرة للأوتار. كسورها تؤثر على قوة القبضة.
- العظم المربعي (Trapezium): يتمفصل مع إبهام اليد، وكسوره تؤثر بشدة على حركة الإبهام والقدرة على الإمساك بالأشياء.
- العظم شبه المنحرف (Trapezoid): عظمة محمية جداً، وكسورها نادرة للغاية، وتحدث غالباً بسبب صدمات عنيفة جداً.
- العظم الكبير (Capitate): أكبر عظام الرسغ ويقع في المركز. كسوره تتطلب قوة كبيرة وتترافق غالباً مع إصابات أخرى.
- العظم الكلابي (Hamate): يمتلك بروزاً عظمياً يُسمى "الخطاف". كسور هذا الخطاف شائعة بين الرياضيين (لاعبي التنس، الجولف، البيسبول) وتسبب ألماً مزمناً إذا لم تُشخص.


الأسباب وعوامل الخطر: كيف تحدث هذه الكسور؟
كسور عظام الرسغ غير الزورقية لا تحدث من فراغ؛ بل تتطلب آليات إصابة معينة، تتراوح بين الحوادث اليومية البسيطة إلى الصدمات الرياضية العنيفة.
- السقوط على يد ممتدة (FOOSH): هو السبب الأكثر شيوعاً. عندما تحاول حماية نفسك أثناء السقوط، يمتص الرسغ قوة الصدمة بأكملها.
- الإصابات الرياضية: الضربات المباشرة بالمضارب، أو السقوط أثناء التزلج، أو ركوب الدراجات.
- حوادث السير: قوة الاصطدام العنيفة قد تؤدي إلى كسور متعددة في عظام الرسغ، وغالباً ما تكون كسوراً متحركة أو مفتتة.
- إصابات العمل: خاصة في المهن التي تتطلب استخدام أدوات ثقيلة أو آلات اهتزازية.
- هشاشة العظام: تجعل العظام أكثر عرضة للكسر حتى مع الإصابات البسيطة، خاصة لدى كبار السن.


الأعراض الخفية: متى يجب أن تستشير طبيباً؟
مشكلة كسور عظام الرسغ غير الزورقية هي أن أعراضها قد تتشابه مع التواء الرسغ البسيط، مما يدفع الكثير من المرضى لتجاهلها أو اللجوء إلى الطب الشعبي (المجبرين)، وهو ما يحذر منه الأستاذ الدكتور محمد هطيف بشدة لما يسببه من إعاقات دائمة.
الأعراض الرئيسية تشمل:
- ألم عميق ومستمر: ألم لا يزول بالمسكنات العادية، يزداد سوءاً عند تحريك الرسغ أو الإمساك بالأشياء.
- تورم موضعي: انتفاخ في منطقة محددة من الرسغ، وليس بالضرورة في الرسغ بأكمله.
- نقص في مدى الحركة: صعوبة في ثني الرسغ للخلف أو للأمام، أو تدوير اليد.
- ضعف في قوة القبضة: عدم القدرة على فتح عبوة أو حمل أشياء ثقيلة.
- تنميل أو خدر: إذا ضغط العظم المكسور على الأعصاب المجاورة (مثل العصب الأوسط أو الزندي).

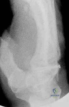
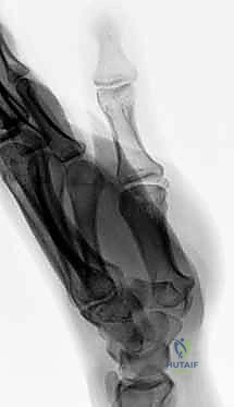
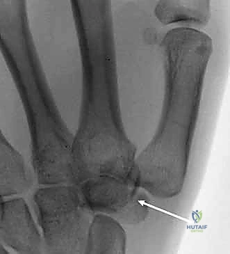
التشخيص الدقيق: التحدي الأكبر في كسور الرسغ
التشخيص هو المرحلة الأهم. الأشعة السينية العادية (X-rays) قد لا تظهر هذه الكسور الدقيقة في البداية بسبب تراكب عظام الرسغ. هنا تبرز خبرة الأستاذ الدكتور محمد هطيف في صنعاء، حيث يعتمد على بروتوكولات تشخيصية عالمية.
- الفحص السريري الدقيق: تحديد نقطة الألم القصوى (Point tenderness) بدقة متناهية.
- الأشعة السينية بوضعيات خاصة: أخذ صور بأكثر من زاوية لفك تراكب العظام.
- الأشعة المقطعية (CT Scan): المعيار الذهبي لتشخيص كسور عظام الرسغ المخفية وتحديد حجم التفتت والتزحزح.
- الرنين المغناطيسي (MRI): يُستخدم لتقييم الأربطة المحيطة بالرسغ والتأكد من التروية الدموية للعظام (خاصة العظم الهلالي).

لماذا الأستاذ الدكتور محمد هطيف هو الخيار الأول في اليمن؟
عندما يتعلق الأمر بجراحة اليد والرسغ، فإن الدقة هي الفاصل بين استعادة وظيفة اليد أو فقدانها. يُعد الأستاذ الدكتور محمد هطيف المرجعية الأولى والأفضل في اليمن وصنعاء لعلاج هذه الحالات المعقدة، وذلك لعدة أسباب:
- الدرجة العلمية المرموقة: أستاذ جراحة العظام والمفاصل بجامعة صنعاء.
- خبرة تتجاوز 20 عاماً: أجرى آلاف العمليات الجراحية الناجحة والمعقدة.
- التكنولوجيا الحديثة: رائد في استخدام الجراحة الميكروسكوبية ومناظير المفاصل بتقنية 4K في اليمن، مما يضمن تدخلات جراحية بأقل قدر من التدخل (Minimally Invasive) وأعلى دقة.
- الأمانة الطبية والصدق: يُعرف الدكتور هطيف بصدقه التام مع مرضاه؛ فهو لا ينصح بالجراحة إلا إذا كانت هي الخيار الطبي الوحيد والأفضل، ويشرح للمريض كافة التفاصيل بشفافية مطلقة.

الخيارات العلاجية: بين التحفظي والجراحي
يعتمد قرار العلاج على نوع الكسر، موقعه، مدى تزحزح العظام، وعمر المريض ونشاطه.
جدول 1: مقارنة بين العلاج التحفظي والعلاج الجراحي لكسور الرسغ
| وجه المقارنة | العلاج التحفظي (الجبس/الجبيرة) | العلاج الجراحي (التثبيت الداخلي) |
|---|---|---|
| دواعي الاستخدام | الكسور البسيطة، غير المتزحزحة، والمستقرة. | الكسور المتزحزحة، المفتتة، المترافقة مع خلع، أو التي تهدد الأعصاب. |
| المدة | 4 إلى 8 أسابيع في الجبس. | الجراحة تستغرق 1-2 ساعة، تليها فترة تأهيل. |
| المزايا | تجنب التخدير والجراحة، تكلفة أقل. | تثبيت تشريحي دقيق، حركة مبكرة، منع تيبس المفاصل. |
| العيوب | خطر تيبس الرسغ بسبب طول فترة التثبيت، احتمالية عدم التئام الكسر. | مخاطر الجراحة العامة (عدوى، ندبات)، تكلفة أعلى. |
| التقنية المستخدمة | جبس فايبر جلاس مخصص. | مسامير دقيقة (Headless screws)، أسلاك كيرشنر، منظار 4K. |

الجراحة المتقدمة: الخطوات التفصيلية داخل غرفة العمليات
عندما تكون الجراحة ضرورية، يطبق الأستاذ الدكتور محمد هطيف أحدث التقنيات العالمية. إليكم نظرة تفصيلية على ما يحدث داخل غرفة العمليات لضمان أقصى درجات النجاح:
1. التخدير والتحضير
يتم غالباً استخدام التخدير الموضعي للذراع (Block) أو التخدير العام. يُعقم الذراع بالكامل وتُستخدم عاصبة (Tourniquet) لمنع النزيف وتوفير رؤية واضحة جداً.

2. التدخل الجراحي الدقيق (باستخدام المنظار أو الفتح المحدود)
بدلاً من الشقوق الكبيرة التقليدية، يُفضل الدكتور هطيف استخدام شقوق صغيرة جداً بمساعدة منظار المفصل (Arthroscopy) أو الجراحة الميكروسكوبية، مما يقلل من تلف الأنسجة المحيطة ويسرع الشفاء.

3. إرجاع العظم إلى وضعه التشريحي (Reduction)
تحت توجيه الأشعة السينية المباشرة داخل غرفة العمليات (C-arm)، يتم إرجاع قطع العظم المكسورة إلى مكانها الطبيعي بدقة متناهية لا تقبل الخطأ حتى بمليمتر واحد، لأن أي اعوجاج سيؤدي إلى خشونة مبكرة في المفصل.

4. التثبيت الداخلي (Internal Fixation)
يتم تثبيت العظام باستخدام أدوات طبية متناهية الصغر مصنوعة من التيتانيوم.
* أسلاك كيرشنر (K-wires): تُستخدم للتثبيت المؤقت أو في الكسور البسيطة.
* المسامير بدون رأس (Headless Compression Screws): تُدفن بالكامل داخل العظم لتجنب احتكاكها بالأوتار، وتوفر ضغطاً ممتازاً لسرعة التئام الكسر.

Additional Intraoperative Imaging & Surgical Steps












إعادة التأهيل والعلاج الطبيعي: مفتاح النجاح
العملية الجراحية الناجحة هي نصف المعركة فقط؛ النصف الآخر يعتمد بالكامل على التزام المريض ببرنامج إعادة التأهيل. يضع الدكتور هطيف خطة مخصصة لكل مريض.
- الأسبوع 1-2: حماية الرسغ، رفع اليد لتقليل التورم، وتحريك الأصابع بلطف لمنع تيبسها.
- الأسبوع 3-6: بدء تمارين المدى الحركي (Range of Motion) السلبية والإيجابية تحت إشراف أخصائي العلاج الطبيعي.
- الأسبوع 6 وما بعده: تمارين التقوية، استعادة قوة القبضة، والعودة التدريجية للأنشطة الطبيعية والرياضية.

مضاعفات خطيرة لتجاهل العلاج أو اللجوء لغير المختصين
يحذر الأستاذ الدكتور محمد هطيف من خطورة اللجوء إلى "المجبرين" أو إهمال ألم الرسغ، حيث يؤدي ذلك إلى مضاعفات كارثية قد تتطلب جراحات معقدة جداً لاحقاً (مثل استبدال المفصل Arthroplasty أو دمج عظام الرسغ).
- عدم التئام الكسر (Non-union): بقاء العظم مكسوراً مما يسبب ألماً مزمناً وضعفاً دائماً.
- النخر اللاوعائي (Avascular Necrosis): موت أنسجة العظم بسبب انقطاع الدم (خاصة في العظم الهلالي).
- خشونة المفاصل المبكرة (Osteoarthritis): تآكل الغضاريف نتيجة التئام العظم في وضع غير صحيح.
- متلازمة النفق الرسغي: ضغط مستمر على العصب الأوسط يسبب تنميلاً وألماً شديداً.

جدول 2: قائمة التحقق من الأعراض ومدى التدخل الطبي المطلوب
| العَرَض | الدلالة الطبية المحتملة | الإجراء المطلوب فوراً |
|---|---|---|
| ألم شديد بعد السقوط مباشرة | اشتباه كسر في عظام الرسغ | عمل أشعة سينية عاجلة وتثبيت اليد |
| تنميل في الأصابع (الإبهام للوسطى) | ضغط على العصب الأوسط (متلازمة النفق الرسغي الحادة) | زيارة طوارئ العظام لتخفيف الضغط |
| ألم مستمر لأكثر من أسبوعين رغم الراحة | كسر خفي لم يظهر في الأشعة العادية | استشارة د. هطيف لعمل أشعة مقطعية/رنين |
| صعوبة في الإمساك بالأشياء بقوة | إصابة حركية/وترية مرافقة للكسر | تقييم سريري شامل |
| تورم موضعي في قاعدة الإبهام | اشتباه كسر العظم المربعي أو الزورقي | تثبيت بجبيرة خاصة بالإبهام ومراجعة الطبيب |

قصص نجاح من عيادة الأستاذ الدكتور محمد هطيف
الحالة الأولى: رياضي محترف وعودة سريعة للملاعب
شاب رياضي (25 عاماً) سقط أثناء ممارسة كرة السلة وعانى من ألم مزمن في قاعدة اليد لمدة 3 أشهر، تم تشخيصه خطأً على أنه التواء. بعد زيارته لعيادة الدكتور هطيف، أظهرت الأشعة المقطعية الدقيقة كسراً في "خطاف العظم الكلابي" (Hamate hook fracture). تم إجراء عملية جراحية دقيقة لاستئصال الجزء المكسور الصغير الذي كان يضغط على الأوتار. بعد 6 أسابيع من التأهيل، عاد اللاعب لممارسة الرياضة بكامل كفاءته.

الحالة الثانية: إنقاذ يد عامل من إعاقة دائمة
عامل بناء (40 عاماً) تعرض لسقوط جسم ثقيل على يده، مما أدى إلى كسر مفتت في العظم الكبير (Capitate). بفضل التدخل الجراحي السريع باستخدام تقنية التثبيت بالمسامير المدفونة تحت توجيه الأشعة، تمكن الدكتور هطيف من إعادة بناء العظم بدقة تشريحية مذهلة، مما أنقذ المريض من خشونة مبكرة كانت ستمنعه من ممارسة مهنته للأبد.

الأسئلة الشائعة (FAQ): الإجابة على كل استفساراتكم
1. كم يستغرق التئام كسور عظام الرسغ غير الزورقية؟
يختلف الأمر حسب العظمة المكسورة ونوع العلاج. بشكل عام، يستغرق العظم من 6 إلى 8 أسابيع للالتئام الأولي، ولكن استعادة القوة الكاملة والمدى الحركي قد يتطلب من 3 إلى 6 أشهر من العلاج الطبيعي المستمر.

2. هل الجراحة ضرورية دائماً في هذه الكسور؟
لا. الكسور غير المتزحزحة (حيث تكون أجزاء العظم في مكانها الصحيح) يمكن علاجها بفعالية باستخدام الجبس أو الجبيرة المتخصصة. الجراحة تُخصص للكسور المتزحزحة، المفتتة، أو التي تؤثر على سطح المفصل. الدكتور هطيف يلتزم بالأمانة الطبية ولا يوصي بالجراحة إلا للضرورة القصوى.

3. لماذا يصعب تشخيص كسور الرسغ في البداية؟
عظام الرسغ صغيرة جداً ومتراكبة فوق بعضها البعض. في الأشعة السينية العادية (2D)، قد تخفي عظمة ظلاً لعظمة أخرى، مما يجعل الشروخ الدقيقة غير مرئية. لذلك يعتمد الدكتور هطيف على الفحص السريري الدقيق والأشعة المقطعية (CT).

4. ما هي تكلفة عملية كسر الرسغ في اليمن؟
تتفاوت التكلفة بناءً على نوع الكسر، المستشفى المختار، ونوع المسامير أو الأدوات (التيتانيوم) المستخدمة. توفر عيادة الأستاذ الدكتور محمد هطيف خيارات متعددة تناسب ظروف المرضى مع ضمان أعلى جودة للأدوات الطبية المستخدمة.

5. ما هي فائدة استخدام منظار المفاصل 4K في هذه الجراحات؟
المنظار يتيح للطبيب رؤية داخل المفصل بتكبير هائل ووضوح فائق (4K) عبر شقوق لا تتعدى نصف سنتيمتر. هذا يضمن إرجاع سطح الغضروف بدقة 100%، ويقلل الألم بعد العملية، ويسرع من فترة التعافي بشكل كبير مقارنة بالجراحات المفتوحة التقليدية.

6. ما الفرق بين كسر العظم الزورقي وباقي عظام الرسغ؟
العظم الزورقي يعاني من ضعف في التروية الدموية، مما يجعل التئامه بطيئاً جداً ومعرضاً لمضاعفات كثيرة. باقي العظام (مثل المثلثي أو الكبير) تتمتع بتروية دموية أفضل نسبياً، ولكن كسورها تتطلب قوة إصابة أكبر وتترافق غالباً مع إصابات في الأربطة.

7. هل يمكنني العودة لممارسة الرياضة بعد الكسر؟
بالتأكيد. مع العلاج الصحيح (سواء جراحي أو تحفظي) والتأهيل الجيد، يعود معظم الرياضيين إلى مستواهم السابق. قد يُنصح بارتداء دعامة رياضية مخصصة خلال الأشهر الأولى من العودة للعب.

**
كسور العظام المعقدة وإصابات الحوادث ليس قدراً محتوماً! التشخيص الدقيق والعلاج المتخصص يمكن أن يعيد لك كامل وظيفتك وحريتك في الحركة. لا تدع الألم يسيطر على حياتك.
للحصول على استشارة دقيقة وخطة علاجية مخصصة لحالتك، تواصل فوراً مع مركز الأستاذ الدكتور محمد هطيف:
الأستاذ الدكتور محمد هطيف - أفضل دكتور عظام في صنعاء، وخبير في جراحات الكسور المعقدة وإنقاذ الأطراف.. نلتزم بإعادتك لحياة خالية من الألم وعظام قوية وملتئمة.
مواضيع أخرى قد تهمك