تثبيت كسر الرسغ بالأسلاك المعدنية: دليل شامل للمرضى مع الأستاذ الدكتور محمد هطيف

الخلاصة الطبية
تثبيت كسر الرسغ بالأسلاك المعدنية هو إجراء جراحي طفيف التوغل لعلاج كسور الكعبرة البعيدة. يهدف إلى استعادة محاذاة العظام وتثبيت الكسر باستخدام أسلاك رفيعة، مما يقلل الألم ويحسن الوظيفة. يتولى الأستاذ الدكتور محمد هطيف هذا الإجراء بخبرة عالية.
الخلاصة الطبية السريعة: يُعد تثبيت كسر الرسغ بالأسلاك المعدنية (K-Wires) أحد أهم الإجراءات الجراحية طفيفة التوغل وأكثرها فعالية لعلاج كسور الكعبرة البعيدة المعقدة. يهدف هذا التدخل الدقيق إلى استعادة المحاذاة التشريحية المثالية للعظام وتثبيت الكسر باستخدام أسلاك جراحية رفيعة ومتينة، مما يقلل الألم، ويمنع التشوهات المستقبلية، ويضمن استعادة الوظيفة الحركية لليد بشكل كامل. يتولى الأستاذ الدكتور محمد هطيف، الخبير الأول في جراحة العظام والمفاصل في اليمن، تنفيذ هذا الإجراء بخبرة استثنائية وتقنيات حديثة تضمن أعلى نسب النجاح.

الدليل الشامل لكسور الرسغ وتثبيتها بالأسلاك المعدنية (K-Wires)
مرحباً بكم في هذا الدليل الطبي المرجعي الشامل. عندما تتعرض لكسر في مفصل الرسغ، وتحديداً في عظم الكعبرة البعيدة (الطرف السفلي لعظم الساعد)، فإن هذه التجربة لا تقتصر على كونها مؤلمة ومقلقة فحسب، بل تمثل لحظة حاسمة تتطلب تدخلاً طبياً دقيقاً واحترافياً لتجنب الإعاقة الحركية الدائمة. كسر الرسغ هو واحد من أكثر الإصابات العظمية شيوعاً على مستوى العالم، وغالباً ما يحدث في أجزاء من الثانية نتيجة رد فعل طبيعي لا إرادي يتمثل في محاولة حماية الجسم أثناء السقوط، مما يؤدي إلى هبوط كامل وزن الجسم على اليد الممدودة.

في هذا المقال الموسع، سنأخذك في رحلة علمية وطبية عميقة، بدءاً من فهم التشريح المعقد لمفصل الرسغ، مروراً بأسباب الكسور وأنواعها، وصولاً إلى أحدث تقنيات العلاج الجراحي باستخدام الأسلاك المعدنية (Kirschner Wires). وسنسلط الضوء على الدور المحوري الذي يلعبه الاختيار الصحيح للجراح، حيث يبرز اسم الأستاذ الدكتور محمد هطيف كمرجعية طبية عليا في العاصمة اليمنية صنعاء، والذي يجمع بين الخبرة الأكاديمية كأستاذ في جامعة صنعاء، والمهارة الجراحية الفائقة التي تمتد لأكثر من عقدين من الزمان.
التشريح المعقد لمفصل الرسغ: تحفة هندسية حيوية
لفهم طبيعة كسور الرسغ وكيفية علاجها، يجب أولاً أن ندرك مدى تعقيد وبراعة تصميم هذا المفصل. مفصل الرسغ ليس مجرد مفصل بسيط يعمل كالمفصلة، بل هو شبكة هندسية حيوية شديدة التعقيد تتكون من:
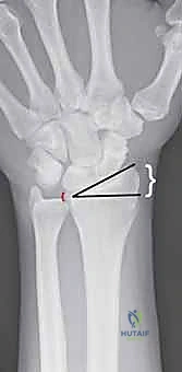
- عظم الكعبرة (Radius): هو العظم الأكبر في الساعد من جهة الإبهام. الجزء السفلي منه (الكعبرة البعيدة) هو الجزء الذي يتحمل العبء الأكبر (حوالي 80%) من القوة المنقولة من اليد إلى الساعد. وهو الموقع الأكثر عرضة للكسر.
- عظم الزند (Ulna): العظم الأصغر في الساعد من جهة الخنصر، ويساهم في استقرار الرسغ ودوران الساعد.
- عظام الرسغ (Carpal Bones): ثمانية عظام صغيرة منتظمة في صفين، تعمل مع الكعبرة والزند لتوفير نطاق حركة هائل (الثني، البسط، الانحراف الشعاعي، والانحراف الزندي).
- الأربطة والغضاريف: شبكة كثيفة من الأربطة القوية التي تربط هذه العظام معاً، بالإضافة إلى "مركب الغضروف الليفي الثلاثي" (TFCC) الذي يعمل كوسادة ممتصة للصدمات ومثبت أساسي للمفصل.

عندما تتعرض هذه البنية الهندسية الدقيقة لقوة تفوق قدرتها على التحمل، يحدث الكسر. وإذا لم يتم إعادة هذه العظام إلى مكانها بدقة متناهية (بأجزاء من المليمتر)، فإن النتيجة الحتمية هي خشونة المفصل المبكرة، الألم المزمن، وتيبس اليد.

أسباب وعوامل الخطر المؤدية لكسور الرسغ
لا تحدث كسور الرسغ من فراغ، بل هي نتيجة تفاعل بين قوة خارجية مطبقة على اليد وحالة العظام الداخلية. يمكن تقسيم الأسباب وعوامل الخطر إلى عدة محاور تفصيلية:
- السقوط على يد ممدودة (FOOSH): هو السبب الأكثر شيوعاً بنسبة تتجاوز 80%. عندما يفقد الإنسان توازنه، يمد يده لا إرادياً لحماية وجهه وجسده من الارتطام. قوة الارتطام بالأرض تنتقل مباشرة من راحة اليد إلى عظم الكعبرة، مما يؤدي إلى انكساره.
- الحوادث المرورية عالية الطاقة: حوادث السيارات أو الدراجات النارية تولد طاقة حركية هائلة تؤدي إلى كسور مفتتة ومعقدة في الرسغ، غالباً ما تتطلب تدخلات جراحية دقيقة وإعادة بناء للمفصل.
- الإصابات الرياضية: الرياضات التي تتطلب احتكاكاً أو التي يكثر فيها السقوط مثل التزلج، ركوب الخيل، كرة القدم، والجمباز، تزيد بشكل كبير من احتمالية التعرض لكسور الرسغ.
- هشاشة العظام (Osteoporosis): عامل الخطر الأكبر لدى كبار السن، وخاصة النساء بعد انقطاع الطمث. هشاشة العظام تجعل العظم إسفنجياً وضعيفاً، بحيث أن سقوطاً بسيطاً من وضع الوقوف (طاقة منخفضة) قد يكون كافياً لإحداث كسر شديد.
- نقص فيتامين د والكالسيوم: يؤدي إلى ضعف البنية العظمية، مما يقلل من مقاومة العظام للصدمات اليومية.


العلامات والأعراض السريرية: كيف تعرف أن رسغك مكسور؟
التعرف المبكر على أعراض كسر الرسغ يساهم في سرعة تلقي العلاج وتجنب المضاعفات. تتراوح الأعراض من خفيفة إلى شديدة جداً بناءً على نوع الكسر ومدى تحرك العظام من مكانها:
- ألم حاد ومفاجئ: ألم شديد يظهر فور حدوث الإصابة، ويزداد سوءاً عند محاولة تحريك اليد أو الأصابع، أو عند محاولة الإمساك بالأشياء.
- تورم سريع وكدمات: يبدأ الرسغ بالانتفاخ فوراً نتيجة النزيف الداخلي من العظم المكسور والأنسجة المحيطة به، وتظهر كدمات زرقاء أو أرجوانية قد تمتد إلى الأصابع أو الساعد.
- تشوه مرئي (Deformity): في الكسور المنزاحة (حيث تتحرك أطراف العظم المكسور من مكانها)، قد يبدو الرسغ معوجاً بشكل واضح. التشوه الأكثر شهرة يُعرف بـ "تشوه شوكة العشاء" (Dinner Fork Deformity)، حيث ينثني الرسغ للخلف بطريقة تشبه الشوكة.
- تنميل أو خدر في الأصابع: هذا عرض خطير يشير إلى أن العظم المكسور أو التورم الشديد يضغط على الأعصاب المارة في الرسغ (خاصة العصب الأوسط في النفق الرسغي). يتطلب هذا العرض تدخلاً طبياً عاجلاً.
- فقدان القدرة الحركية: عدم القدرة على تدوير الساعد (لجعل راحة اليد متجهة للأعلى أو للأسفل) أو صعوبة بالغة في تحريك الأصابع.


رحلة التشخيص الدقيق مع الأستاذ الدكتور محمد هطيف
يبدأ العلاج الناجح بتشخيص دقيق لا يقبل الشك. في عيادة الأستاذ الدكتور محمد هطيف، يتم اتباع بروتوكول تشخيصي صارم وشامل لضمان تقييم حالة الكسر من كافة الزوايا:
1. الفحص السريري الدقيق
يبدأ الدكتور هطيف بالاستماع إلى تاريخ الإصابة (كيف سقطت؟ ما هي زاوية السقوط؟). ثم يقوم بفحص الرسغ بحذر شديد لتقييم التورم، نقاط الألم، الدورة الدموية في الأصابع، وحالة الأعصاب. الأمانة الطبية للدكتور هطيف تقتضي فحص المريض ككل وليس فقط الجزء المصاب، للتأكد من عدم وجود إصابات أخرى مرافقة.
2. التصوير بالأشعة السينية (X-Rays)
هو المعيار الذهبي الأساسي. يتم أخذ صور من زوايا متعددة (أمامية خلفية، وجانبية) لتحديد:
* موقع الكسر بدقة.
* مدى تفتت العظم.
* مدى انزياح العظم عن مكانه الطبيعي.
* تأثر سطح المفصل (الكسور داخل المفصلية).

3. التصوير المقطعي المحوسب (CT Scan)
في حالات الكسور المعقدة أو المفتتة التي تمتد إلى داخل المفصل، يطلب الدكتور هطيف إجراء أشعة مقطعية. توفر هذه الأشعة صوراً ثلاثية الأبعاد تسمح للجراح بالتخطيط الدقيق للعملية الجراحية، ومعرفة أماكن الشظايا العظمية بدقة مليمترية.
4. التصوير بالرنين المغناطيسي (MRI)
نادر الاستخدام في المرحلة الحادة للكسر، ولكنه قد يُطلب لاحقاً إذا كان هناك اشتباه في تمزق الأربطة المعقدة في الرسغ (مثل تمزق TFCC) التي لا تظهر في الأشعة السينية.

الخيارات العلاجية لكسور الرسغ: متى نلجأ للجراحة؟
ليس كل كسر في الرسغ يتطلب عملية جراحية. قرار العلاج يعتمد على عدة عوامل: نوع الكسر، درجة الانزياح، عمر المريض، مستوى نشاطه البدني، وجودة العظام. وهنا تتجلى خبرة الأستاذ الدكتور محمد هطيف وأمانته الطبية، حيث لا يقرر التدخل الجراحي إلا إذا كان هو الخيار الأوحد والأفضل لمصلحة المريض لضمان عدم حدوث إعاقة مستقبلية.
جدول (1): مقارنة شاملة بين طرق علاج كسور الكعبرة البعيدة (الرسغ)
| طريقة العلاج | الوصف والآلية | الحالات المناسبة (دواعي الاستعمال) | المزايا | العيوب والمخاطر |
|---|---|---|---|---|
| العلاج التحفظي (الجبس / الجبيرة) | رد الكسر يدوياً (تحت التخدير الموضعي) وتثبيته بجبس يمتد من الساعد إلى اليد لمدة 4-6 أسابيع. | الكسور غير المنزاحة، أو الكسور البسيطة التي يمكن ردها بنجاح وتبقى مستقرة، كبار السن ذوي النشاط المحدود. | تجنب مخاطر الجراحة والتخدير، تكلفة أقل، إجراء سريع. | احتمالية تحرك الكسر داخل الجبس، تيبس المفاصل بسبب فترة التثبيت الطويلة، ضعف العضلات. |
| التثبيت بالأسلاك المعدنية (K-Wires) | إجراء طفيف التوغل يتم فيه إدخال أسلاك معدنية رفيعة عبر الجلد لتثبيت العظام المكسورة بعد ردها. | الكسور المنزاحة القابلة للرد المغلق، كسور الأطفال، الكسور خارج المفصل، المرضى ذوي العظام الجيدة. | شقوق جراحية صغيرة جداً (أو معدومة)، ألم أقل بعد العملية، إزالة الأسلاك بسهولة لاحقاً بالعيادة. | خطر بسيط لالتهاب مسار السلك، قد تتطلب جبساً إضافياً للحماية، غير مناسبة للكسور شديدة التفتت. |
| التثبيت بالشريحة والمسامير (Plates & Screws) | جراحة مفتوحة يتم فيها كشف العظم وتثبيته بشريحة معدنية ومسامير من التيتانيوم. | الكسور المفتتة بشدة، الكسور داخل المفصلية المعقدة، الكسور غير المستقرة، هشاشة العظام المتقدمة. | تثبيت قوي جداً ومستقر، يسمح بالحركة المبكرة للرسغ (بدون جبس غالباً)، استعادة دقيقة للتشريح. | جراحة كبرى بشق جراحي، خطر إصابة الأوتار أو الأعصاب، قد تتطلب جراحة أخرى لإزالة الشريحة لاحقاً. |
| المثبت الخارجي (External Fixator) | إطار معدني خارج الجسم يتصل بالعظام عبر مسامير تخترق الجلد بعيداً عن منطقة الكسر لتثبيته. | الكسور المفتتة الممتدة للمفصل، الكسور المفتوحة (مع جروح جلدية)، التورم الشديد الذي يمنع الجراحة المفتوحة. | يحافظ على طول العظم، يقلل تلف الأنسجة الرخوة في منطقة الكسر. | الإزعاج من وجود جهاز خارجي، خطر التهاب مسار المسامير، يتطلب عناية يومية بالتنظيف. |


الغوص العميق: تقنية التثبيت بالأسلاك المعدنية (K-Wires)
أسلاك كيرشنر (Kirschner Wires)، والمعروفة اختصاراً بـ K-wires، هي دبابيس أو أسلاك معدنية رفيعة ومستقيمة ومصنوعة من الفولاذ المقاوم للصدأ أو التيتانيوم. تم تقديمها لأول مرة في أوائل القرن العشرين، ولا تزال حتى يومنا هذا واحدة من أهم الأدوات في ترسانة جراح العظام، بل وتطورت تقنيات استخدامها بشكل مذهل.
لماذا يعتبر التثبيت بالأسلاك المعدنية خياراً ممتازاً؟
- تدخل جراحي طفيف التوغل (Minimally Invasive): على عكس الشرائح التي تتطلب شقاً جراحياً كبيراً لفتح الجلد والعضلات للوصول إلى العظم، يتم إدخال الأسلاك المعدنية عبر الجلد (Percutaneous) من خلال ثقوب صغيرة جداً لا تتجاوز 2 مليمتر.
- الحفاظ على التروية الدموية: عدم فتح الأنسجة الرخوة المحيطة بالكسر يعني الحفاظ على الأوعية الدموية الدقيقة التي تغذي العظم، مما يسرع من عملية الالتئام البيولوجي الطبيعي.
- المرونة والتوجيه الدقيق: يمكن للجراح الماهر توجيه هذه الأسلاك في زوايا متعددة ومتقاطعة لإنشاء شبكة تثبيت قوية ثلاثية الأبعاد داخل العظم.
- سهولة الإزالة: بمجرد التئام الكسر (عادة بعد 4 إلى 6 أسابيع)، يتم سحب هذه الأسلاك بسهولة تامة في العيادة الخارجية، غالباً بدون الحاجة إلى تخدير إضافي.


لماذا الأستاذ الدكتور محمد هطيف هو الخيار الأول في اليمن؟
عندما يتعلق الأمر بجراحات العظام الدقيقة مثل كسور الرسغ، فإن مهارة الجراح هي العامل الحاسم بين استعادة وظيفة اليد بنسبة 100% أو المعاناة من إعاقة دائمة. يبرز اسم الأستاذ الدكتور محمد هطيف كأفضل استشاري جراحة عظام ومفاصل في صنعاء واليمن لعدة أسباب جوهرية تعكس أعلى معايير الـ (E-E-A-T: الخبرة، التجربة، الموثوقية، والمصداقية):
- الدرجة الأكاديمية الرفيعة: يعمل كأستاذ (بروفيسور) في كلية الطب بجامعة صنعاء، مما يعني أنه ليس فقط ممارساً، بل هو من يعلم الأجيال الجديدة من الأطباء أحدث ما توصل إليه العلم.
- خبرة تتجاوز 20 عاماً: أجرى آلاف العمليات الجراحية المعقدة بنسب نجاح تضاهي المراكز العالمية.
- ريادة في التقنيات الحديثة: الدكتور هطيف رائد في استخدام تقنيات الجراحة الميكروسكوبية الدقيقة، ومناظير المفاصل بتقنية 4K العالية الدقة، وعمليات تغيير المفاصل الصناعية.
- الأمانة الطبية المطلقة: يُعرف الدكتور هطيف بصرامته في تطبيق أخلاقيات المهنة. فهو لا ينصح بالتدخل الجراحي إلا إذا كان هو الخيار العلمي الوحيد والأفضل للمريض. هذه المصداقية جعلته الملاذ الأول للمرضى الباحثين عن رأي طبي صادق وموثوق.
- الرعاية الشاملة: لا تنتهي مهمة الدكتور هطيف بانتهاء العملية، بل يتابع مرضاه شخصياً خلال مرحلة إعادة التأهيل لضمان استعادة الوظيفة الحركية بشكل كامل.


خطوة بخطوة: كيف تتم عملية تثبيت كسر الرسغ بالأسلاك المعدنية؟
إن إجراء تثبيت كسر الرسغ بالأسلاك المعدنية هو فن يجمع بين الهندسة الميكانيكية والطب الحيوي. إليك التفاصيل الدقيقة لما يحدث داخل غرفة العمليات تحت إشراف الأستاذ الدكتور محمد هطيف:
1. التجهيز والتخدير
يتم إدخال المريض إلى غرفة العمليات المجهزة بأحدث التقنيات. يتم اختيار نوع التخدير بالتشاور مع طبيب التخدير، وغالباً ما يُفضل "التخدير الناحي" (Regional Anesthesia) حيث يتم تخدير الذراع بالكامل فقط دون الحاجة لتنويم المريض، مما يقلل من مضاعفات التخدير العام. يتم تعقيم اليد والساعد بالكامل باستخدام محاليل طبية قوية لضمان بيئة خالية تماماً من الجراثيم.

2. الرد المغلق للكسر (Closed Reduction)
قبل إدخال أي سلك، يجب إعادة العظام المكسورة إلى مكانها التشريحي الصحيح. يقوم الدكتور هطيف بتطبيق قوة شد مدروسة على اليد (Traction) لمعاكسة تقلص العضلات، ثم يقوم بمناورة يدوية دقيقة لرد الشظايا العظمية إلى مكانها.

3. استخدام جهاز الأشعة المرئية (C-Arm Fluoroscopy)
الخطوة السحرية في هذه العملية هي استخدام جهاز الأشعة السينية الحي (C-Arm). هذا الجهاز يتيح للدكتور هطيف رؤية العظام من الداخل في الوقت الفعلي على شاشة العرض. يتأكد الجراح من أن العظام عادت إلى مكانها المثالي وأن سطح المفصل مستوٍ تماماً.

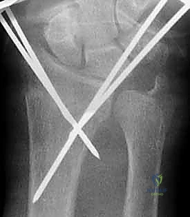
4. إدخال الأسلاك المعدنية (Pinning)
باستخدام مثقاب جراحي كهربائي دقيق، يقوم الدكتور هطيف بإدخال السلك المعدني الأول عبر الجلد، مروراً بالعظم السليم، ثم يعبر خط الكسر ليصل إلى الشظية المكسورة ويثبتها.

هناك عدة تقنيات هندسية لإدخال الأسلاك، أشهرها:
* التثبيت المتقاطع (Cross-Pinning): إدخال سلكين من زوايا مختلفة ليتقاطعا داخل العظم، مما يوفر ثباتاً دورانياً ممتازاً.
* تقنية كابانجي (Kapandji Technique): إدخال الأسلاك مباشرة في خط الكسر واستخدامها كرافعات لرفع العظم المنخسف ثم دفعها في العظم المقابل لتثبيته. يتميز الدكتور هطيف ببراعة فائقة في تطبيق هذه التقنية المعقدة.










آلام العظام والمفاصل وتقييد حركتها ليس قدراً محتوماً! التشخيص الدقيق والعلاج المتخصص يمكن أن يعيد لك كامل وظيفتك وحريتك في الحركة. لا تدع الألم يسيطر على حياتك.
للحصول على استشارة دقيقة وخطة علاجية مخصصة لحالتك، تواصل فوراً مع مركز الأستاذ الدكتور محمد هطيف:
الأستاذ الدكتور محمد هطيف - أفضل دكتور عظام في صنعاء، وخبير في جراحات العظام والمفاصل والعمود الفقري.. نلتزم بإعادتك لحياة خالية من الألم وحركة طبيعية.
مواضيع أخرى قد تهمك