علاج الالتحام الكاذب الخلقي في قصبة الساق بقضيب ويليامز: دليل شامل للمرضى

الخلاصة الطبية
الالتحام الكاذب الخلقي في قصبة الساق هو كسر مرضي يمنع التئام العظم بشكل طبيعي. يتضمن العلاج الفعال تثبيت قصبة الساق باستخدام قضيب ويليامز داخل النخاع، وهي جراحة دقيقة تهدف إلى استعادة وظيفة الساق وتقليل التشوهات لتحقيق المشي الطبيعي.
الخلاصة الطبية السريعة: الالتحام الكاذب الخلقي في قصبة الساق (Congenital Pseudarthrosis of the Tibia) هو حالة مَرَضية معقدة وكسر غير طبيعي يمنع التئام العظم بشكل تلقائي، وغالباً ما يُكتشف في السنوات الأولى من عمر الطفل. يتضمن العلاج الجراحي الفعال والأكثر تطوراً تثبيت قصبة الساق باستخدام "قضيب ويليامز" (Williams Rod) داخل النخاع. تُعد هذه الجراحة الدقيقة، التي تتطلب مهارة استثنائية، الحل الأمثل لاستعادة الوظيفة الحركية للساق، تصحيح التشوهات، وتحقيق حلم المشي الطبيعي للطفل.

مقدمة شاملة: تحدي الالتحام الكاذب الخلقي في قصبة الساق
يواجه بعض الأطفال منذ لحظة الولادة أو في الأشهر الأولى من حياتهم تحديًا صحيًا فريدًا ونادرًا يُعرف في القاموس الطبي باسم "الالتحام الكاذب الخلقي في قصبة الساق". هذه الحالة المعقدة والمحبطة للآباء، والتي ترتبط في نسبة كبيرة من الحالات بمتلازمة الورم الليفي العصبي من النوع الأول (Neurofibromatosis Type 1)، تؤثر بشكل جذري على قدرة عظم قصبة الساق (Tibia) على الالتئام بشكل طبيعي بعد تعرضه لأي كسر، حتى وإن كان كَسراً مجهرياً بسيطاً.
بدلاً من تكوين نسيج عظمي جديد وقوي لالتئام الكسر كما يحدث في الحالات الطبيعية، يقوم الجسم بتكوين نسيج ليفي رخو وضعيف (نسيج عابي)، مما يؤدي إلى عدم استقرار الساق، وتقوسها، وحدوث تشوه تدريجي يمنع الطفل من المشي أو تحمل الوزن.

في مركزنا، وتحت إشراف الأستاذ الدكتور محمد هطيف، أستاذ جراحة العظام والمفاصل والعمود الفقري بجامعة صنعاء، نلتزم بتقديم أحدث الحلول الطبية وأكثرها فعالية على مستوى العالم للتعامل مع هذه الحالات المستعصية. من أبرز هذه الحلول الجراحية المتقدمة عملية "تثبيت قصبة الساق باستخدام قضيب ويليامز داخل النخاع".
تُعتبر هذه العملية من التدخلات الجراحية فائقة الدقة (Microsurgery-assisted techniques في بعض مراحلها) التي تتطلب تخطيطًا هندسياً متأنياً وتنفيذًا احترافيًا عالياً. الهدف الأساسي ليس فقط جبر الكسر، بل استئصال النسيج المَرَضي، وتحفيز التئام دائم للعظم، وتقليل مخاطر التشوهات الثانوية المستقبلية، مع الحفاظ على قدرة العظم على النمو مع تقدم الطفل في العمر.
في هذا الدليل الطبي المرجعي والشامل، سنأخذك في رحلة مفصلة لفهم كل ما يتعلق بهذه الحالة المرضية، بدءًا من التشريح الدقيق، مروراً بأسبابها وأعراضها، وصولاً إلى تفاصيل الجراحة خطوة بخطوة، والرعاية التأهيلية الصارمة، مع تسليط الضوء على الخبرة الرائدة التي يقدمها الأستاذ الدكتور محمد هطيف في العاصمة اليمنية صنعاء.

الفهم العميق للتشريح المَرَضي لقصبة الساق المصابة
لفهم طبيعة "الالتحام الكاذب الخلقي"، يجب علينا أولاً أن نغوص في تفاصيل بنية قصبة الساق الطبيعية، وكيف تتغير جذرياً في هذه الحالة المرضية. قصبة الساق (Tibia) هي العظم الأكبر، والأكثر سمكاً، والأقوى في الجزء السفلي من الساق. تمتد من مفصل الركبة نزولاً إلى مفصل الكاحل، وهي الدعامة الأساسية لتحمل وزن الجسم بالكامل أثناء الوقوف والمشي.
في حالات الالتحام الكاذب الخلقي، يولد الطفل بقصبة ساق تحمل خللاً جينياً أو بنيوياً خفياً. على الرغم من أن هذا الشذوذ يكون موجودًا منذ تكون الجنين، إلا أنه غالبًا ما يصبح واضحًا سريريًا فقط عندما يبدأ الطفل في محاولة الوقوف وتحمل الوزن، مما يؤدي إلى انحناء العظم (عادةً انحناء أمامي وحشي) ثم انكساره.
يكمن الخلل الحقيقي في بنية العظم المجهرية؛ حيث يوجد ضعف شديد وتغيرات مرضية قاسية في القناة النخاعية (الجزء المركزي المجوف من العظم الذي يحتوي على نخاع العظم).

طبيعة النسيج المَرَضي (الورم العابي الليفي)
تتكون منطقة الكسر (الالتحام الكاذب) من نسيج ليفي غير طبيعي يُعرف طبياً باسم "النسيج العابي" أو (Fibrous Hamartoma). من المهم التوضيح أن هذا ليس ورماً سرطانياً، وليس ورماً ليفياً عصبياً حقيقياً، بل هو نسيج ندبي كثيف يخنق العظم السليم، ويمنع وصول التروية الدموية اللازمة للالتئام، ويفرز مواد كيميائية تزيد من تآكل العظم (Osteolysis). عادةً ما يتمركز هذا النسيج الخبيث وظيفياً في الثلث الأوسط أو السفلي من قصبة الساق.
تفاصيل البنية العظمية (Osteology) في حالة المرض:
- القناة النخاعية (Medullary Canal): تُعد بنية القناة النخاعية التحدي الأكبر للجراح. في هذه الحالات، تضيق القناة بشدة أو تنسد تماماً بسبب التصلب العظمي (Sclerosis)، أو تظهر بها تكيسات عظمية ضامرة. هدف الجراح هو إعادة فتح هذه القناة وحفر مسار مستقيم ومركزي لإدخال "قضيب ويليامز". الانحناء المسبق الشديد للعظم يجعل هذه الخطوة من أعقد مراحل الجراحة.
- صفائح النمو (Physes): هي مناطق غضروفية تقع بالقرب من نهايات العظام الطويلة (المشاش القريب والبعيد) وهي المسؤولة عن زيادة طول العظم عند الأطفال. يجب حماية هذه الصفائح بدقة شديدة أثناء الجراحة، وتُعد علامات حيوية لتحديد الطول المناسب للقضيب المعدني بحيث يسمح للعظم بالنمو دون إعاقة.
- عظمة الشظية (Fibula): تلعب الشظية (العظم الأصغر الموازي لقصبة الساق) دورًا ميكانيكياً مهماً. في العديد من الحالات، تكون الشظية منحنية أيضاً، أو مصابة بالالتحام الكاذب، أو حتى سليمة وأطول من قصبة الساق المكسورة. الشظية السليمة هنا تعمل كـ "دعامة مقاومة" تعيق محاولات الجراح لتصحيح استقامة قصبة الساق وضغط طرفي الكسر معاً. لذا، يتطلب الأمر غالباً إجراء قطع عظمي جراحي للشظية (Fibular Osteotomy) أو استئصال جزء منها.

المخاطر العصبية الوعائية (Neurovascular Risks) أثناء الجراحة:
العمل الجراحي في هذه المنطقة محفوف بالمخاطر الدقيقة، وهنا تتجلى أهمية اختيار جراح متمرس مثل الأستاذ الدكتور محمد هطيف، الذي يمتلك خبرة واسعة في الجراحة الميكروسكوبية وتحديد مسارات الأعصاب والأوعية الدموية بدقة متناهية:
- القسم الأمامي (Anterior Compartment): يجب الحذر الشديد من العصب الشظوي العميق، والشريان والوريد الظنبوبي الأمامي. تقع هذه الهياكل الحساسة في الجانب الخارجي لقصبة الساق. أي تشريح عنيف أو تجريف غير دقيق للنسيج العابي قد يؤدي إلى إصابة هذه الأوعية، مما يهدد حيوية الساق.
- القسم الجانبي (Lateral Compartment): عند التعامل مع عظمة الشظية (لإجراء القطع العظمي)، يجب توخي أقصى درجات الحذر لتجنب العصب الشظوي المشترك (Common Peroneal Nerve) الذي يلتف حول عنق الشظية. إصابة هذا العصب تؤدي إلى حالة تُعرف بـ "سقوط القدم" (Foot Drop).
- القسم الخلفي (Posterior Compartment): الشريان والعصب الظنبوبي الخلفي محميان نسبياً بعضلات الساق الخلفية، ولكن التوغل الجراحي المفرط للخلف قد يعرضهما للخطر.
- منطقة الكاحل والقدم: إذا تطلبت الحالة تمرير القضيب عبر مفصل الكاحل لتثبيت الجزء السفلي القصير جداً من قصبة الساق، فإن المحاذاة الدقيقة أمر حتمي لتجنب الضغط على الشريان الظهري للقدم (Dorsalis Pedis Artery).

الأسباب وعوامل الخطر: لماذا يحدث الالتحام الكاذب؟
رغم التقدم الطبي الهائل، لا يزال السبب الجذري والمباشر الدقيق للالتحام الكاذب الخلقي غير مفهوم بالكامل بنسبة 100%. ومع ذلك، أثبتت الدراسات والأبحاث السريرية ارتباطه الوثيق بعوامل محددة:

- متلازمة الورم الليفي العصبي من النوع الأول (NF1): تُشير الإحصائيات الطبية إلى أن أكثر من 50% إلى 70% من الأطفال المصابين بالالتحام الكاذب في قصبة الساق يعانون أيضاً من متلازمة NF1. هو اضطراب وراثي يؤثر على نمو الخلايا وتطور الأنسجة العصبية والعظمية.
- الخلل الوعائي الموضعي: يُعتقد أن هناك نقصاً شديداً في التروية الدموية الدقيقة للسمحاق (الغشاء المغلف للعظم) في منطقة الثلث السفلي من قصبة الساق خلال مرحلة التطور الجنيني.
- الطفرات الجينية المستقلة: في الحالات التي لا ترتبط بمتلازمة NF1، يُرجح وجود طفرات جينية عشوائية تؤثر على قدرة الخلايا البانية للعظم (Osteoblasts) على أداء وظيفتها بشكل سليم في تلك المنطقة المحددة.

الأعراض والعلامات السريرية: متى يجب استشارة الطبيب؟
التشخيص المبكر هو مفتاح لزيادة فرص نجاح العلاج. يجب على الآباء الانتباه للعلامات التالية، خاصة إذا كان الطفل مشخصاً بمتلازمة NF1 (والتي تظهر على شكل بقع بنية فاتحة على الجلد تُعرف ببقع القهوة بالحليب - Café au lait spots):
- انحناء الساق (Bowing): غالباً ما يولد الطفل بانحناء أمامي أو أمامي-جانبي (Anterolateral Bowing) في منتصف أو أسفل قصبة الساق.
- قصر الطرف المصاب: قد يلاحظ الآباء أن الساق المصابة أقصر قليلاً من الساق السليمة.
- الكسر التلقائي: قد يحدث الكسر فجأة دون أي صدمة قوية، بمجرد محاولة الطفل الوقوف، أو إثر سقوط بسيط جداً لا يكسر عظماً طبيعياً.
- ألم وتورم: بعد حدوث الكسر، يظهر ألم شديد وتورم، ويرفض الطفل استخدام الساق تماماً.
- حركة غير طبيعية (مفصل كاذب): في المراحل المتقدمة، وبسبب عدم الالتئام، تتكون حركة غير طبيعية في منتصف الساق تشبه حركة المفصل، ومن هنا جاءت تسمية "الالتحام الكاذب" (Pseudarthrosis).

الخيارات العلاجية: مقارنة بين العلاج التحفظي والجراحي
علاج الالتحام الكاذب الخلقي يُعد من أصعب التحديات في جراحة عظام الأطفال. تاريخياً، كان معدل البتر مرتفعاً جداً بسبب فشل العلاجات. ولكن اليوم، مع تطور التقنيات الجراحية، تغيرت الصورة تماماً.
جدول (1): مقارنة بين الخيارات العلاجية المتاحة
| وجه المقارنة | العلاج التحفظي (الجبائر والأجهزة التقويمية) | العلاج الجراحي (تثبيت النخاع بقضيب ويليامز) |
|---|---|---|
| الهدف الأساسي | حماية العظم المنحني من الكسر قبل حدوثه. | استئصال المرض، تقويم العظم، تحقيق التئام دائم. |
| التوقيت | يُستخدم في مرحلة ما قبل الكسر (مرحلة الانحناء فقط). | يُستخدم فور حدوث الكسر وتأكيد عدم الالتئام. |
| الفعالية | ضعيفة جداً في علاج الكسر. تقتصر على الحماية المؤقتة. | عالية جداً، وتُعد المعيار الذهبي (Gold Standard) للعلاج. |
| المدة | مدى الحياة إذا لم يتم التدخل الجراحي. | فترة تأهيل تمتد لأشهر، تليها متابعة دورية. |
| المضاعفات | ضمور العضلات، تيبس المفاصل، حتمية حدوث الكسر لاحقاً. | مخاطر الجراحة العامة، احتمالية الحاجة لعمليات تطويل لاحقة. |
| رأي الأستاذ الدكتور هطيف | "مرحلة مؤقتة فقط، ولا تعتبر حلاً نهائياً للمرض." | "الحل الجراحي الدقيق هو السبيل الوحيد لإنقاذ الطرف من البتر واستعادة المشي." |
لماذا "قضيب ويليامز" (Williams Rod)؟
تتعدد التقنيات الجراحية (مثل جهاز إليزاروف الخارجي، أو الصفائح المعدنية)، ولكن التثبيت داخل النخاع (Intramedullary Nailing) أثبت أنه الأنجح على المدى الطويل. ومن بين هذه القضبان، يبرز قضيب ويليامز.

مزايا قضيب ويليامز:
1. الصلابة والمرونة: يوفر دعماً ميكانيكياً داخلياً هائلاً يمنع إعادة الكسر، ولكنه يمتلك مرونة كافية لتوزيع الأحمال الحركية.
2. حماية صفائح النمو: تم تصميم نهايات القضيب بطريقة تقلل من تدمير صفائح النمو عند الأطفال، مما يسمح للعظم بالاستمرار في النمو الطولي.
3. التوجيه (Alignment): يعمل كدعامة داخلية تجبر العظم على النمو بشكل مستقيم، مانعاً تكرار الانحناء الأمامي.

الخطوات الجراحية التفصيلية لعملية تثبيت قصبة الساق بقضيب ويليامز
تحت قيادة الأستاذ الدكتور محمد هطيف، يتم إجراء هذه الجراحة وفق بروتوكول عالمي صارم يضمن أعلى نسب النجاح. الجراحة ليست مجرد "تثبيت كسر"، بل هي إعادة بناء شاملة للطرف.
الخطوة الأولى: التقييم والتحضير والتخدير
تتم دراسة صور الأشعة السينية والرنين المغناطيسي بدقة لرسم خريطة ثلاثية الأبعاد للتشوه. يتم تخدير الطفل تخديراً عاماً، مع مراقبة حثيثة للوظائف الحيوية. يتم استخدام جهاز الأشعة المرئية (C-arm Fluoroscopy) داخل غرفة العمليات لتوجيه الجراح في كل خطوة.

الخطوة الثانية: الشق الجراحي والوصول للعظم
يُجري الدكتور هطيف شقاً جراحياً طولياً دقيقاً في الجزء الأمامي من الساق، متجنباً الأعصاب والأوعية الدموية الحساسة. يتم إبعاد العضلات برفق للوصول إلى منطقة الالتحام الكاذب.

الخطوة الثالثة: استئصال النسيج العابي (الخطوة الأهم)
هذه هي الخطوة الحاسمة التي يركز عليها الدكتور هطيف بصرامة. يتم استئصال كل مليمتر من النسيج الليفي العابي (Hamartoma) المحيط بالكسر، بالإضافة إلى إزالة السمحاق المريض والغلاف الليفي المحيط به. أي بقايا من هذا النسيج ستؤدي حتماً إلى فشل العملية وعدم التئام العظم. يتم قطع نهايات العظم المتصلبة حتى الوصول إلى نسيج عظمي صحي ينزف (Bleeding healthy bone).

الخطوة الرابعة: تجهيز القناة النخاعية
باستخدام أدوات حفر دقيقة (Reamers)، يتم فتح وتوسيع القناة النخاعية المسدودة في كل من الجزء العلوي والسفلي لقصبة الساق. يجب أن يكون الحفر دقيقاً لإنشاء مسار مستقيم يسمح بمرور القضيب المعدني.

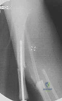
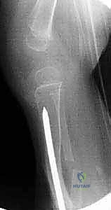
الخطوة الخامسة: إدخال قضيب ويليامز
يتم اختيار قضيب ويليامز بالطول والسمك المناسبين بناءً على قياسات دقيقة. يتم إدخال القضيب من أعلى قصبة الساق (قرب الركبة) أو من أسفلها، ليخترق القناة النخاعية، ويعبر منطقة الكسر، ليصل إلى الجزء الآخر من العظم، مما يضمن استقامة الساق وتثبيت الكسر بقوة.

الخطوة السادسة: التعامل مع عظمة الشظية
كما ذكرنا في التشريح، غالباً ما تعيق الشظية استقامة قصبة الساق. يتم إجراء شق منفصل لعمل قطع عظمي في الشظية (Fibular Osteotomy)، مما يسمح بتصحيح التشوه وتطابق نهايات قصبة الساق المكسورة بشكل مثالي.

الخطوة السابعة: التطعيم العظمي (Bone Grafting)
لتحفيز العظم على الالتئام السريع والقوي، يقوم الدكتور هطيف بوضع طعوم عظمية (غالباً ما تُؤخذ من عظم الحوض للطفل نفسه - Autograft، أو من بنك العظام - Allograft) حول منطقة الكسر المُصحح. تعمل هذه الطعوم كسماد بيولوجي غني بالخلايا الجذعية وعوامل النمو.

الخطوة الثامنة: الإغلاق والتجبير
يتم إغلاق الأنسجة والعضلات والجلد بخيوط تجميلية دقيقة. بعد ذلك، توضع الساق بالكامل في جبس طبي (Spica cast أو Long leg cast) لضمان عدم الحركة المطلقة خلال الأسابيع الأولى من الالتئام.

مرحلة ما بعد الجراحة: التأهيل والعلاج الطبيعي
نجاح الجراحة يمثل 50% من العلاج، بينما الـ 50% الأخرى تعتمد على الرعاية اللاحقة والالتزام بتعليمات الأستاذ الدكتور محمد هطيف.
- الأسابيع الأولى (1-6 أسابيع): يبقى الطفل في الجبس. يمنع منعاً باتاً تحمل الوزن على الساق المصابة. يتم التركيز على التغذية السليمة الغنية بالكالسيوم وفيتامين د.
- الأشهر (2-6 أشهر): يتم إزالة الجبس الأولي، وقد يُستبدل بجبيرة بلاستيكية داعمة (AFO أو KAFO). تبدأ جلسات العلاج الطبيعي اللطيفة لاستعادة حركة الركبة والكاحل. يبدأ الطفل تدريجياً في تحمل الوزن الجزئي بمساعدة العكازات.
- المتابعة طويلة الأمد: يتطلب الالتحام الكاذب متابعة دورية بالأشعة السينية كل 3 إلى 6 أشهر لمراقبة الالتئام، والتأكد من عدم هجرة القضيب المعدني، ومراقبة نمو الساق.
![مرحلة التأهيل والعلاج الطبيعي](/
آلام العظام والمفاصل وتقييد حركتها ليس قدراً محتوماً! التشخيص الدقيق والعلاج المتخصص يمكن أن يعيد لك كامل وظيفتك وحريتك في الحركة. لا تدع الألم يسيطر على حياتك.
للحصول على استشارة دقيقة وخطة علاجية مخصصة لحالتك، تواصل فوراً مع مركز الأستاذ الدكتور محمد هطيف:
الأستاذ الدكتور محمد هطيف - أفضل دكتور عظام في صنعاء، وخبير في جراحات العظام والمفاصل والعمود الفقري.. نلتزم بإعادتك لحياة خالية من الألم وحركة طبيعية.
مواضيع أخرى قد تهمك