كسر جونز: دليل شامل للعلاج الجراحي بالمسامير الداخلية مع الأستاذ الدكتور محمد هطيف في صنعاء

الخلاصة الطبية
كسر جونز هو إصابة حادة في مشط القدم الخامس تتطلب علاجًا دقيقًا. يتميز الأستاذ الدكتور محمد هطيف في صنعاء بخبرته الرائدة في تثبيت كسر جونز جراحيًا باستخدام المسامير الداخلية، وهي تقنية فعالة تضمن التئامًا سريعًا وعودة آمنة للرياضيين والمرضى إلى حياتهم الطبيعية.
مقدمة شاملة: الخطر الخفي في قدمك وكيفية التغلب عليه
مرحباً بكم في هذا الدليل الطبي الموسوعي والشامل حول كسر جونز (Jones Fracture)، والذي يُعد واحداً من أكثر الإصابات تعقيداً وإثارة للجدل في مجال جراحة العظام والطب الرياضي. إذا كنت تعاني من آلام حادة في الحافة الخارجية لقدمك بعد هبوط خاطئ أثناء القفز، أو بعد التواء مفاجئ أثناء ممارسة الرياضة، أو حتى بعد تعثر بسيط، فمن المحتمل جداً أنك تواجه هذا النوع الخاص من الكسور.
كسر جونز ليس مجرد "كسر بسيط" في عظام القدم؛ بل هو تحدٍ طبي حقيقي. فموقعه التشريحي الفريد، وضعف الإمداد الدموي في تلك المنطقة المحددة، يجعلان من عملية التئامه الذاتية أمراً محفوفاً بالمخاطر والتأخير. هنا تبرز الحاجة الماسة للتدخل الطبي الاحترافي والمبني على أسس علمية دقيقة، لضمان عودة المريض – وخاصة الرياضيين – إلى مستوى نشاطهم السابق دون ألم أو مضاعفات.

في العاصمة اليمنية صنعاء، يبرز اسم الأستاذ الدكتور محمد هطيف كعلامة فارقة ومرجعية طبية عليا في جراحة العظام والمفاصل والطب الرياضي. بصفته أستاذاً في جامعة صنعاء، وبخبرة تمتد لأكثر من 20 عاماً، يقدم الدكتور هطيف أحدث البروتوكولات العلاجية العالمية، مستخدماً تقنيات التثبيت الجراحي الدقيق بالمسامير الداخلية (Intramedullary Screw Fixation). يلتزم الدكتور هطيف بأعلى معايير الأمانة الطبية، فلا ينصح بالجراحة إلا عندما تكون هي الخيار الأمثل والوحيد لضمان مصلحة المريض.
في هذا الدليل الاستثنائي، سنأخذك في رحلة علمية مبسطة ولكنها عميقة جداً، لفهم كل ما يتعلق بكسر جونز، بدءاً من التشريح الدقيق للقدم، مروراً بأسباب الإصابة وأعراضها، وصولاً إلى التفاصيل الدقيقة للعملية الجراحية، وبرامج التأهيل، وحتى النظام الغذائي الداعم لالتئام العظام.


ما هو كسر جونز؟ (التشريح والتاريخ الطبي)
لنبداً بتحديد ما نتعامل معه بالضبط. كسر جونز هو إصابة حادة تحدث في العظمة الخامسة من مشط القدم (Metatarsal Bone)، وهي العظمة الطويلة التي تقع على الحافة الخارجية للقدم وترتبط بإصبع القدم الصغير. سُمي هذا الكسر بهذا الاسم نسبة إلى جراح العظام البريطاني السير "روبرت جونز" الذي وصفه لأول مرة في عام 1902 بعد أن أصيب هو شخصياً به أثناء الرقص!
المعضلة التشريحية: منطقة ضعف التروية الدموية (Watershed Area)
السبب الذي يجعل كسر جونز سيئ السمعة في عالم جراحة العظام هو موقعه الدقيق. يحدث الكسر في منطقة تُعرف باسم المشاش (Metaphyseal-Diaphyseal Junction). هذه المنطقة تحديداً تعاني من ضعف شديد في الإمداد الدموي، وتُعرف طبياً باسم منطقة ضعف التروية (Watershed Area). وكما نعلم، الدم هو الناقل الأساسي للأكسجين والعناصر الغذائية والخلايا البانية للعظم؛ وبدون تدفق دموي كافٍ، تصبح عملية التئام الكسر بطيئة للغاية، وترتفع احتمالات عدم الالتئام (Non-union) أو تأخر الالتئام (Delayed union) بشكل كبير إذا لم يتم التدخل بشكل صحيح.

الفرق بين كسر جونز والكسور المشابهة
من الضروري جداً التفريق بين كسر جونز وأنواع الكسور الأخرى التي تصيب نفس العظمة، وهنا تتجلى خبرة الأستاذ الدكتور محمد هطيف في التشخيص الدقيق:
1. الكسر القلعي (Avulsion Fracture): يحدث في قاعدة العظمة (أقرب للكعب) وغالباً ما يلتئم بسهولة بالجبس.
2. كسر جونز (Jones Fracture): يحدث في منطقة ضعف التروية الدموية، ويحتاج غالباً لتدخل جراحي.
3. الكسر الإجهادي (Stress Fracture): يحدث في منتصف العظمة نتيجة الإجهاد المتكرر، ويكون علاجه معقداً أيضاً.


الأسباب وعوامل الخطر: كيف يحدث كسر جونز؟
لا يحدث كسر جونز من فراغ، بل هو نتيجة لميكانيكا حيوية معينة تتعرض لها القدم. فهم هذه الأسباب يساعد في الوقاية والتشخيص المبكر.
الآليات الشائعة للإصابة
- الالتواء المفاجئ: التواء القدم للداخل (Inversion) مع توجيه أصابع القدم للأسفل (Plantar flexion). هذه الحركة شائعة جداً في رياضات مثل كرة القدم، كرة السلة، والتنس.
- الهبوط الخاطئ: الهبوط بقوة على الحافة الخارجية للقدم بعد القفز.
- الضغط المتكرر: قد يبدأ ككسر إجهادي دقيق يتفاقم مع الوقت ليصبح كسراً كاملاً (كسر جونز) نتيجة الركض لمسافات طويلة على أسطح صلبة.
- الأحذية غير المناسبة: ارتداء أحذية لا توفر الدعم الكافي لقوس القدم وحافتها الخارجية.

الأعراض والعلامات التحذيرية
إذا كنت تعاني من كسر جونز، فإن جسدك سيرسل لك إشارات واضحة لا ينبغي تجاهلها:
* ألم حاد ومفاجئ: يتركز في الجزء الخارجي الأوسط من القدم.
* تورم وكدمات: ظهور انتفاخ وتغير في لون الجلد (ازرقاق) في منطقة الإصابة.
* صعوبة بالغة في المشي: عدم القدرة على تحمل الوزن على القدم المصابة.
* ألم عند اللمس: ألم شديد عند الضغط بلطف على الحافة الخارجية للقدم.

التشخيص الدقيق: خطوة حاسمة نحو العلاج الصحيح
التشخيص الخاطئ لكسر جونز (كاعتباره التواءً في الكاحل أو كسراً قلعياً بسيطاً) قد يؤدي إلى كوارث طبية تستمر لأشهر. يعتمد الأستاذ الدكتور محمد هطيف على بروتوكول تشخيصي صارم يضمن تحديد نوع الكسر بدقة متناهية.
- الفحص السريري الدقيق: يبدأ الدكتور هطيف بالاستماع لتاريخ الإصابة، ثم فحص القدم لتحديد نقاط الألم بدقة، وتقييم الدورة الدموية والأعصاب في القدم.
- التصوير بالأشعة السينية (X-rays): هي الخطوة الأولى والأساسية. يتم أخذ صور بأوضاع مختلفة (أمامية، جانبية، ومائلة) لتحديد موقع الكسر وشكله بدقة.
- التصوير بالرنين المغناطيسي (MRI) أو الأشعة المقطعية (CT Scan): في بعض الحالات المعقدة، أو إذا كان الكسر إجهادياً قديماً ولم يظهر بوضوح في الأشعة العادية، يطلب الدكتور هطيف هذه الفحوصات المتقدمة لتقييم مدى تلف العظم والأنسجة المحيطة.


خيارات العلاج: الجراحة مقابل العلاج التحفظي
عندما يتعلق الأمر بكسر جونز، فإن الخلاف الطبي بين العلاج التحفظي والجراحي يكون محسوماً في أغلب الحالات لصالح التدخل الجراحي، خاصة للرياضيين والشباب والأشخاص النشطين.
جدول مقارنة: العلاج التحفظي مقابل العلاج الجراحي لكسر جونز
| وجه المقارنة | العلاج التحفظي (الجبس / الحذاء الطبي) | العلاج الجراحي (التثبيت بمسمار داخلي) |
|---|---|---|
| طبيعة العلاج | وضع القدم في جبس أو حذاء طبي صلب مع منع تحميل الوزن. | إدخال مسمار تيتانيوم دقيق داخل النخاع العظمي لتثبيت الكسر. |
| مدة منع تحميل الوزن | من 6 إلى 8 أسابيع (وقد تمتد أكثر). | من أسبوع إلى أسبوعين فقط في أغلب الحالات. |
| معدلات الالتئام | 60% إلى 75% (نسبة عالية لعدم الالتئام). | تصل إلى 95% - 98%. |
| سرعة العودة للنشاط | بطيئة جداً (قد تستغرق 3 إلى 5 أشهر). | سريعة (يمكن للرياضيين العودة خلال 6 إلى 8 أسابيع). |
| خطر تكرار الكسر | مرتفع (بسبب التئام العظم بشكل ضعيف). | منخفض جداً (المسمار يوفر دعماً هيكلياً قوياً). |
| لمن يُنصح به؟ | كبار السن، مرضى السكري غير المنتظم، الأشخاص قليلي الحركة. | الرياضيين، الشباب، الأشخاص النشطين، وحالات تأخر الالتئام. |

لماذا يُعد التدخل الجراحي الخيار الذهبي؟
يؤكد الأستاذ الدكتور محمد هطيف أن ضعف التروية الدموية في منطقة كسر جونز يجعل الاعتماد على الجبس مغامرة غير محسوبة للشباب والرياضيين. الجراحة توفر "تثبيتاً ميكانيكياً فورياً" يضغط حواف الكسر معاً، مما يحفز الخلايا العظمية على بناء نسيج عظمي جديد بسرعة وكفاءة، ويمنع الانفصال الذي يؤدي لعدم الالتئام.

الدليل الجراحي الشامل: عملية التثبيت بالمسمار النخاعي الداخلي
عملية تثبيت كسر جونز بالمسمار النخاعي (Intramedullary Screw Fixation) هي جراحة دقيقة تتطلب مهارة استثنائية. وهي من التخصصات الدقيقة التي يتميز بها الأستاذ الدكتور محمد هطيف في صنعاء.
التجهيز للعملية
- يتم إجراء فحوصات دم شاملة وتخطيط للقلب للتأكد من جاهزية المريض.
- تتم مناقشة نوع التخدير (غالباً تخدير نصفي أو كلي بناءً على حالة المريض).
- يتم تجهيز غرفة العمليات بأحدث أجهزة التصوير الإشعاعي الفوري (C-arm) لضمان الدقة المطلقة.
خطوات العملية الجراحية (خطوة بخطوة)
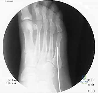
- الشق الجراحي الدقيق (Minimally Invasive): لا يقوم الدكتور هطيف بفتح شق كبير، بل يُحدث شقاً صغيراً جداً (حوالي 1 إلى 2 سم) عند قاعدة العظمة الخامسة لمشط القدم. هذا الشق الصغير يقلل من الألم بعد العملية ويسرع التئام الجرح ويحافظ على الشكل الجمالي للقدم.
- إدخال سلك التوجيه (Guide Wire): تحت توجيه الأشعة السينية المباشرة في غرفة العمليات، يتم إدخال سلك معدني رفيع جداً ليمر عبر الكسر وصولاً إلى النخاع العظمي. هذه الخطوة تتطلب دقة متناهية لضمان أن السلك في المنتصف تماماً.
- التحضير والتوسيع (Drilling/Tapping): يتم استخدام مثقاب خاص مجوف يمر فوق سلك التوجيه لتوسيع القناة النخاعية وتجهيزها لاستقبال المسمار.
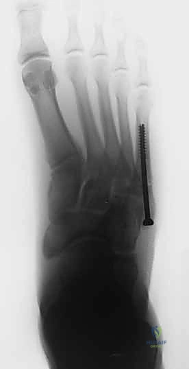
- إدخال المسمار التيتانيوم (Screw Insertion): يتم اختيار مسمار طبي من التيتانيوم (طوله وسمكه محسوبان بدقة لتناسب عظمة المريض). يتم إدخال المسمار ليربط بين جزئي الكسر، مما يولد قوة ضغط (Compression) تجعل حواف العظم متلاصقة تماماً، وهو السر وراء الالتئام السريع.
- الإغلاق التجميلي: يتم إغلاق الشق الصغير بغرز تجميلية، ووضع ضمادة معقمة وحذاء طبي لحماية القدم.


لماذا تختار الأستاذ الدكتور محمد هطيف في صنعاء؟ (المرجعية الطبية العليا)
عندما تواجه إصابة معقدة مثل كسر جونز، فإن اختيار الجراح هو القرار الأهم في رحلة علاجك. في اليمن، يُعد الأستاذ الدكتور محمد هطيف الاسم الأول والأكثر ثقة في هذا المجال، وذلك لعدة أسباب جوهرية:
- المكانة الأكاديمية المرموقة: بصفته أستاذاً لجراحة العظام والمفاصل في جامعة صنعاء، فهو يجمع بين الخبرة العملية العميقة والاطلاع المستمر على أحدث الأبحاث والبروتوكولات الطبية العالمية.
- خبرة تتجاوز 20 عاماً: أجرى الدكتور هطيف آلاف العمليات الجراحية الناجحة والمعقدة، مما منحه "حساً جراحياً" استثنائياً للتعامل مع أصعب الحالات وتلافي المضاعفات قبل حدوثها.
- استخدام التكنولوجيا المتقدمة: يعتمد الدكتور هطيف على أحدث التقنيات الطبية المتاحة عالمياً، بما في ذلك الجراحة الميكروسكوبية الدقيقة (Microsurgery)، ومناظير المفاصل بتقنية 4K (Arthroscopy 4K)، وتقنيات المفاصل الصناعية المتقدمة (Arthroplasty).
- الأمانة الطبية والمهنية المطلقة: هذا هو المبدأ الذي أسس عليه الدكتور هطيف سمعته الطيبة. فهو يرفض إجراء أي جراحة ما لم تكن هي الخيار الأمثل والوحيد لمصلحة المريض. إذا كان العلاج التحفظي كافياً لحالتك، فسيخبرك بذلك بكل شفافية.
- رعاية متكاملة ما بعد الجراحة: لا تنتهي مهمة الدكتور هطيف بانتهاء العملية، بل يتابع مرضاه بدقة من خلال برامج تأهيل مخصصة لضمان العودة الكاملة والآمنة لممارسة الحياة الطبيعية والرياضية.


برنامج التأهيل والتعافي: طريقك للعودة أقوى
نجاح العملية الجراحية يمثل 50% من العلاج، بينما الـ 50% الأخرى تعتمد على التزامك ببرنامج التأهيل والعلاج الطبيعي. يضع الدكتور هطيف خطة تعافي صارمة ومدروسة.
جدول زمني للتعافي بعد جراحة كسر جونز
| المرحلة الزمنية | الأهداف والأنشطة المسموحة | التوجيهات الطبية |
|---|---|---|
| الأسبوع 1 - 2 | حماية الجرح، تقليل التورم والألم. | يمنع تحميل الوزن تماماً (استخدام عكازات). إبقاء القدم مرفوعة. ارتداء حذاء طبي واقٍ. |
| الأسبوع 3 - 6 | بدء تحميل الوزن الجزئي، استعادة مدى الحركة. | تحميل الوزن تدريجياً حسب تحمل الألم (داخل الحذاء الطبي). بدء تمارين تحريك الكاحل الخفيفة. |
| الأسبوع 6 - 8 | المشي الطبيعي، تقوية العضلات المحيطة. | التخلي عن الحذاء الطبي بالتدريج. ارتداء أحذية رياضية داعمة. جلسات علاج طبيعي مكثفة لتقوية عضلات الساق والقدم. |
| الأسبوع 8 - 12 | العودة التدريبية للرياضة. | تمارين التوازن، الركض الخفيف، تمارين الرشاقة. يتم أخذ أشعة سينية للتأكد من الالتئام التام قبل العودة للرياضات التنافسية. |
ملاحظة: هذا الجدول تقريبي ويختلف من مريض لآخر بناءً على تقييم الدكتور هطيف لسرعة التئام العظم في الأشعة السينية المتابعة.


التغذية ونمط الحياة: عوامل خفية تسرع الالتئام
لا يقتصر العلاج على الجراحة والتمارين، فما تدخله إلى جسدك يلعب دوراً محورياً في بناء العظام.
- الكالسيوم وفيتامين د (Vitamin D & Calcium): هما حجر الأساس لبناء العظام. تأكد من تناول منتجات الألبان، الأسماك، والتعرض لأشعة الشمس، أو تناول المكملات الغذائية إذا أوصى بها الطبيب.
- البروتين: ضروري لبناء الأنسجة وتكوين الكولاجين الذي يشكل شبكة العظام.
- فيتامين سي (Vitamin C) والزنك: مضادات أكسدة قوية تساعد في التئام الجروح وتقليل الالتهابات.
- التحذير الأكبر: التدخين! التدخين يضيق الأوعية الدموية ويقلل من تدفق الدم (الضعيف أصلاً في منطقة كسر جونز). المدخنون معرضون لخطر عدم التئام الكسر بنسبة تصل إلى 4 أضعاف مقارنة بغير المدخنين. التوقف عن التدخين قبل وبعد الجراحة هو أمر حتمي.


قصص نجاح: من عيادة الأستاذ الدكتور محمد هطيف
لإعطائكم صورة واقعية عن نتائج هذا التدخل الجراحي، نستعرض حالتين (بناءً على سيناريوهات حقيقية متكررة في العيادة):
الحالة الأولى: "أحمد" (لاعب كرة قدم شاب - 22 عاماً)
تعرض أحمد لالتواء شديد أثناء مباراة، وتم تشخيصه بكسر جونز. كان القلق الأكبر لأحمد هو انتهاء موسمه الرياضي. بعد استشارة الأستاذ الدكتور محمد هطيف، تقرر إجراء التثبيت الجراحي بالمسمار النخاعي. بفضل دقة الجراحة وبرنامج التأهيل الصارم، عاد أحمد للركض بعد 7 أسابيع، ولعب أول مباراة رسمية له بعد 10 أسابيع فقط، دون أي ألم أو مضاعفات.
الحالة الثانية: "فاطمة" (معلمة - 45 عاماً)
تعثرت فاطمة على الدرج وأصيبت بكسر جونز. في البداية تم علاجها بالجبس في مركز آخر لمدة شهرين، ولكن الأشعة أظهرت عدم التئام الكسر (Non-union) مع استمرار الألم الشديد. توجهت فاطمة للدكتور هطيف، الذي أجرى لها جراحة لتنظيف منطقة الكسر وتثبيتها بمسمار تيتانيوم مع وضع طعم عظمي موضعي. اليوم، تمارس فاطمة عملها وتقف لساعات طويلة في الفصل الدراسي دون أي أثر للألم القديم.


الأسئلة الشائعة (FAQ): كل ما يدور في ذهنك حول كسر جونز
جمعنا لكم هنا إجابات الأستاذ الدكتور محمد هطيف على أكثر الأسئلة شيوعاً حول هذه الإصابة:
1. هل كسر جونز يعتبر إصابة خطيرة؟
ليس "خطيراً" بمعنى مهدد للحياة، ولكنه "معقد" طبياً. خطورته تكمن في ارتفاع احتمالية عدم التئام العظم إذا لم يتم تشخيصه وعلاجه بالطريقة الصحيحة، مما قد يؤدي إلى ألم مزمن وإعاقة في المشي.
2. هل يمكنني المشي على قدمي إذا كنت مصاباً بكسر جونز؟
لا يُنصح بذلك إطلاقاً. المشي وتحميل الوزن على القدم المصابة سيؤدي إلى تباعد حواف الكسر وتفاقم الإصابة، مما يجعل العلاج أصعب والشفاء أبطأ.
3. لماذا ينصح الدكتور هطيف بالجراحة كخيار أول للشباب والرياضيين؟
لأن الجراحة بالمسمار الداخلي ترفع نسبة الشفاء إلى أكثر من 95%، وتقلص مدة التعافي والابتعاد عن النشاط الرياضي من عدة أشهر إلى أسابيع قليلة، وتمنع مضاعفات عدم الالتئام.
4. هل سأحتاج إلى عملية أخرى لإزالة المسمار لاحقاً؟
في أكثر من 90% من الحالات، يبقى المسمار داخل العظم مدى الحياة ولا يسبب أي مشاكل أو إزعاج ولا يحتاج لإزالة. تُجرى عملية الإزالة فقط في حالات نادرة جداً إذا تسبب رأس المسمار بتهيج موضعي.
5. هل يكتشف جهاز كشف المعادن في المطار المسمار؟
مسامير التيتانيوم الحديثة المستخدمة في جراحة العظام نادراً ما تطلق أجهزة الإنذار في المطارات. وحتى إن حدث ذلك، يمكن إبراز تقرير طبي بسيط يوضح وجود غرسة طبية.
6. ما هي نسبة نجاح العملية مع الأستاذ الدكتور محمد هطيف؟
بفضل خبرته الطويلة التي تتجاوز 20 عاماً واستخدامه لأحدث تقنيات التصوير المباشر أثناء الجراحة، تتجاوز نسبة نجاح عمليات تثبيت كسر جونز لديه 98%، مع التئام عظمي ممتاز.
7. كيف يؤثر التدخين على كسر جونز؟
التدخين هو العدو الأول لالتئام العظام. النيكوتين يقلص الأوعية الدموية
آلام العظام والمفاصل وتقييد حركتها ليس قدراً محتوماً! التشخيص الدقيق والعلاج المتخصص يمكن أن يعيد لك كامل وظيفتك وحريتك في الحركة. لا تدع الألم يسيطر على حياتك.
للحصول على استشارة دقيقة وخطة علاجية مخصصة لحالتك، تواصل فوراً مع مركز الأستاذ الدكتور محمد هطيف:
الأستاذ الدكتور محمد هطيف - أفضل دكتور عظام في صنعاء، وخبير في جراحات العظام والمفاصل والعمود الفقري.. نلتزم بإعادتك لحياة خالية من الألم وحركة طبيعية.
مواضيع أخرى قد تهمك