إعادة بناء مقدمة القدم الروماتويدية: دليل شامل للمرضى مع الأستاذ الدكتور محمد هطيف

الخلاصة الطبية
إعادة بناء مقدمة القدم الروماتويدية هي إجراء جراحي يهدف إلى تصحيح التشوهات وتخفيف الألم الناجم عن التهاب المفاصل الروماتويدي. يشمل العلاج تقنيات مثل استئصال رؤوس مشط القدم الصغيرة ودمج مفصل إبهام القدم المشطي السلامي، مما يعيد وظيفة القدم ويحسن نوعية حياة المريض.
الخلاصة الطبية السريعة: إعادة بناء مقدمة القدم الروماتويدية هي تدخل جراحي دقيق ومتقدم يهدف إلى تصحيح التشوهات المعقدة وتخفيف الألم المبرح الناجم عن التهاب المفاصل الروماتويدي. يشمل العلاج الجراحي الذهبي تقنيات مثل استئصال رؤوس مشط القدم الصغيرة (Lesser Metatarsal Head Resection) ودمج مفصل إبهام القدم المشطي السلامي (1st MTP Arthrodesis)، مما يعيد المحاذاة الطبيعية للقدم، ويستعيد وظيفتها الميكانيكية، ويحسن نوعية حياة المريض بشكل جذري. في اليمن، يُعد الأستاذ الدكتور محمد هطيف المرجع الطبي الأول لإجراء هذه الجراحات المعقدة بنسب نجاح تضاهي المراكز العالمية، معتمداً على أحدث التقنيات وأعلى معايير الأمانة الطبية.


مقدمة شاملة: فهم التهاب المفاصل الروماتويدي وتأثيره المدمر على مقدمة القدم
يُعد التهاب المفاصل الروماتويدي (Rheumatoid Arthritis - RA) مرضاً مناعياً ذاتياً والتهابياً مزمناً، حيث يهاجم جهاز المناعة عن طريق الخطأ الأغشية المبطنة للمفاصل (الغشاء الزليلي). هذا الهجوم المستمر لا يسبب ألماً وتورماً وتيبساً فحسب، بل يؤدي بمرور الوقت إلى تدمير الغضاريف والعظام، مما ينتج عنه تشوهات مفصلية شديدة وإعاقة حركية بالغة.
ورغم أن هذا المرض الجهازي قد يصيب أي مفصل في جسم الإنسان، إلا أن القدمين، وبشكل خاص مقدمة القدم (Forefoot)، تُعد من أولى وأكثر المناطق تعرضاً لهذا التدمير. تشير الدراسات والإحصائيات الطبية العالمية إلى أن أكثر من 90% من المرضى الذين يعانون من التهاب المفاصل الروماتويدي المزمن يطورون مشاكل حادة في القدم والكاحل خلال مسار مرضهم، وغالباً ما تكون مقدمة القدم هي "الضحية الأولى" والأكثر تضرراً.

مع تقدم المرض واستمرار الالتهاب (التهاب الغشاء الزليلي - Synovitis)، يحدث تمدد وضعف في الأربطة الداعمة والمحفظة المفصلية، مما يؤدي إلى فقدان الاستقرار المفصلي. النتيجة الحتمية لذلك هي ظهور تشوهات مؤلمة ومحددة تجعل من مجرد الوقوف أو المشي أو حتى ارتداء الأحذية العادية عذاباً يومياً للمريض. من أبرز هذه التشوهات الانحراف الشديد لإصبع القدم الكبير (Hallux Valgus)، وتراكب أصابع القدم الصغرى، وبروز رؤوس عظام المشط أسفل القدم مما يسبب تقرحات ومسامير لحمية مؤلمة جداً.


التشريح المعقد لمقدمة القدم وكيف يدمره الروماتويد
لفهم طبيعة جراحة إعادة بناء مقدمة القدم الروماتويدية، يجب أولاً فهم التشريح الدقيق لهذه المنطقة الحيوية. تتكون مقدمة القدم من خمسة عظام مشطية (Metatarsals) تتصل بسلاميات الأصابع (Phalanges) عبر المفاصل المشطية السلامية (MTP Joints). هذه المفاصل هي المسؤولة عن تحمل وزن الجسم أثناء مرحلة الدفع في دورة المشي.
في الحالة الطبيعية، تعمل الأربطة والأوتار بتناغم للحفاظ على استقامة الأصابع وتوزيع الضغط بالتساوي. ولكن، عندما يهاجم الروماتويد هذه المفاصل، يحدث التالي:
- تآكل الغضاريف: يفقد المفصل وسادته الناعمة، مما يؤدي إلى احتكاك العظم بالعظم.
- تمزق الأربطة: تفقد المفاصل دعمها الهيكلي، مما يسمح للأصابع بالانحراف عن مسارها الطبيعي.
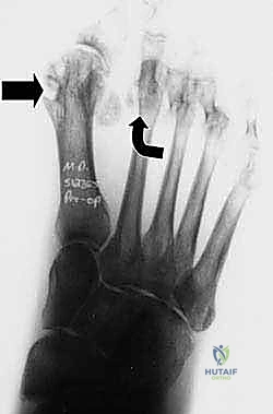
- خلع المفاصل (Subluxation/Dislocation): تنخلع أصابع القدم الصغرى من مفاصلها وتتجه لأعلى (أصابع المطرقة أو المخلب)، بينما تندفع رؤوس عظام المشط لأسفل باتجاه باطن القدم.

هذا الخلل الميكانيكي يحول وسادة القدم الدهنية (التي تحمي باطن القدم) عن مكانها الطبيعي، تاركة رؤوس عظام المشط بارزة تحت الجلد مباشرة، مما يفسر الشعور المألوف لدى مرضى الروماتويد بـ "المشي على الحصى أو الزجاج المكسور".


لماذا يُعد الأستاذ الدكتور محمد هطيف الخيار الأول لجراحات العظام في اليمن؟
عندما يتعلق الأمر بجراحات دقيقة ومعقدة مثل تصحيح تشوهات القدم الروماتويدية، فإن اختيار الجراح هو العامل الأهم في تحديد نجاح العملية. في العاصمة اليمنية صنعاء، يبرز اسم الأستاذ الدكتور محمد هطيف كعلامة فارقة ومرجعية علمية وطبية لا يُعلى عليها.
- مكانة أكاديمية رفيعة: أستاذ جراحة العظام والمفاصل بجامعة صنعاء، مما يعكس عمق معرفته واطلاعه المستمر على أحدث الأبحاث الطبية العالمية.
- خبرة تتجاوز العقدين: أكثر من 20 عاماً من الخبرة العملية في غرف العمليات، أجرى خلالها آلاف الجراحات الناجحة والمعقدة.
- تقنيات جراحية متطورة: رائد في استخدام الجراحات الميكروسكوبية الدقيقة (Microsurgery)، ومناظير المفاصل بتقنية 4K العالية الدقة (Arthroscopy)، وجراحات استبدال المفاصل (Arthroplasty).
- الأمانة الطبية الصارمة: يُعرف الأستاذ الدكتور محمد هطيف بالتزامه المطلق بأخلاقيات المهنة؛ فهو لا ينصح بالتدخل الجراحي إلا إذا كان هو الخيار الأمثل والوحيد لإنهاء معاناة المريض، واضعاً مصلحة المريض فوق كل اعتبار.

الأعراض والعلامات التحذيرية لتشوهات مقدمة القدم الروماتويدية
لا تظهر تشوهات القدم الروماتويدية فجأة، بل تتطور تدريجياً. من الضروري الانتباه إلى العلامات المبكرة لطلب الاستشارة الطبية من الدكتور محمد هطيف قبل تفاقم الحالة:
- ألم شديد ومزمن: ألم يزداد مع الوقوف أو المشي، ويتركز في باطن القدم الأمامي ومفاصل الأصابع.
- تورم واحمرار: التهاب مستمر في المفاصل المشطية السلامية.
- تغير شكل القدم: انحراف إصبع القدم الكبير نحو الأصابع الأخرى بحدة (وكأنه يركب فوقها أو تحتها).
- تصلب المفاصل: صعوبة أو عدم قدرة على تحريك أصابع القدم.
- مسامير اللحم والتقرحات (Calluses): تكون طبقات جلدية سميكة ومؤلمة جداً تحت رؤوس عظام المشط البارزة، وقد تتطور إلى تقرحات خطيرة إذا لم تُعالج.
- صعوبة إيجاد حذاء مناسب: يصبح ارتداء الأحذية العادية مستحيلاً بسبب اتساع مقدمة القدم وتراكب الأصابع.

جدول (1): مقارنة بين القدم الطبيعية والقدم الروماتويدية
| وجه المقارنة | القدم الطبيعية السليمة | القدم الروماتويدية المتضررة |
|---|---|---|
| اصطفاف الأصابع | مستقيمة ومتوازية | منحرفة، متراكبة، أو مخلبية |
| مفصل الإصبع الكبير | مستقر ومستقيم | انحراف شديد (Hallux Valgus) |
| باطن القدم الأمامي | محمي بوسادة دهنية سميكة | الوسادة منزاحة، العظام بارزة تحت الجلد |
| الألم عند المشي | لا يوجد ألم | ألم مبرح يشبه المشي على الزجاج |
| الجلد أسفل المشط | ناعم وطبيعي | مسامير لحم سميكة وتقرحات |
| المرونة الحركية | مرونة كاملة في المفاصل | تيبس تام أو خلع مفصلي |


الخيارات العلاجية المتاحة: من العلاج التحفظي إلى التدخل الجراحي
في عيادة الأستاذ الدكتور محمد هطيف، يتم تقييم كل حالة بشكل فردي وشامل. يبدأ العلاج عادةً بالخطوات التحفظية إذا كانت التشوهات في مراحلها الأولى، وينتقل إلى الجراحة إذا أصبحت الإعاقة شديدة.
أولاً: العلاج التحفظي (غير الجراحي)
الهدف من العلاج التحفظي هو تخفيف الألم ومنع التدهور السريع، ولكنه لا يصحح التشوه العظمي الموجود. يشمل:
1. تعديل الأحذية: استخدام أحذية طبية واسعة من الأمام (Extra-depth shoes) لتجنب الضغط على الأصابع.
2. الضبان الطبي (Orthotics): تفصيل دعامات داخلية للحذاء لتوزيع الضغط بعيداً عن رؤوس عظام المشط البارزة.
3. الأدوية: التنسيق مع طبيب الروماتيزم لضبط الأدوية المعدلة لطبيعة المرض (DMARDs) والأدوية البيولوجية للسيطرة على الالتهاب الجهازي.
4. الحقن الموضعي: حقن الكورتيزون الموضعي في المفاصل الملتهبة لتخفيف الألم المؤقت.


ثانياً: التدخل الجراحي (متى يصبح ضرورياً؟)
إذا فشلت العلاجات التحفظية في تخفيف الألم، وأصبح المريض غير قادر على أداء أنشطته اليومية، يتدخل الأستاذ الدكتور محمد هطيف بمهارته الجراحية العالية. تُعد جراحة إعادة بناء مقدمة القدم (Forefoot Reconstruction) الحل الجذري والأمثل لاستعادة شكل ووظيفة القدم.
الجراحة الذهبية: إعادة بناء مقدمة القدم الروماتويدية بالتفصيل
تُعد هذه الجراحة من العمليات الدقيقة التي تتطلب "هندسة عظمية" متقدمة. يقوم الدكتور محمد هطيف بتنفيذها عبر استراتيجية جراحية مزدوجة ومثبتة علمياً:
1. دمج مفصل إبهام القدم (1st MTP Joint Arthrodesis)
نظراً لأن مفصل إصبع القدم الكبير يكون عادة مدمراً تماماً ومائلاً بشدة، فإن محاولة إصلاحه فقط غالباً ما تبوء بالفشل في مرضى الروماتويد. لذا، المعيار الذهبي هو الدمج المفصلي.
* يقوم الدكتور هطيف بإزالة الغضاريف التالفة.
* يعيد وضع الإصبع في استقامة طبيعية ومثالية للمشي.
* يثبت العظام معاً باستخدام شرائح ومسامير تيتانيوم دقيقة جداً حتى تلتحم لتصبح عظمة واحدة قوية.
* النتيجة: زوال الألم تماماً، تكوين عمود داخلي قوي للقدم لدفع الجسم أثناء المشي، ومنع عودة الانحراف مستقبلاً.


2. استئصال رؤوس مشط القدم الصغرى (Lesser Metatarsal Head Resection)
للتعامل مع الأصابع الصغرى المخلوعة والمسامير اللحمية المؤلمة، يُجري الدكتور هطيف عملية تُعرف باسم (Hoffmann procedure) أو تعديلاتها الحديثة:
* يتم عمل شق جراحي دقيق (غالباً من أعلى القدم لتقليل ندبات باطن القدم).
* تُستأصل رؤوس عظام المشط البارزة التي تسبب الضغط على الجلد.
* تُعاد محاذاة أصابع القدم الصغرى وتُثبت مؤقتاً بأسلاك معدنية دقيقة (K-wires) للحفاظ على استقامتها أثناء التئام الأنسجة.
* النتيجة: اختفاء المسامير اللحمية فوراً، تخفيف الضغط عن باطن القدم، واستعادة الشكل المتناسق للأصابع.



جدول (2): مقارنة شاملة بين العلاج التحفظي والتدخل الجراحي
| الميزة / العيب | العلاج التحفظي (الأحذية والأدوية) | التدخل الجراحي (إعادة البناء) |
|---|---|---|
| تصحيح التشوه | لا يصحح شكل القدم | يعيد القدم لشكلها الطبيعي تقريباً |
| تخفيف الألم | مؤقت وجزئي | جذري ودائم في معظم الحالات |
| إزالة المسامير اللحمية | تحتاج لعناية مستمرة | تختفي تلقائياً بعد إزالة العظم البارز |
| فترة التعافي | لا يوجد فترة تعافي | تحتاج من 6 إلى 8 أسابيع |
| القدرة على لبس أحذية عادية | مستحيل (يتطلب أحذية طبية ضخمة) | ممكن جداً بعد اكتمال الشفاء |
| الملاءمة | للحالات الخفيفة أو المرضى غير اللائقين جراحياً | للحالات المتقدمة والمؤلمة بشدة |
رحلة التعافي وإعادة التأهيل بعد جراحة إعادة بناء مقدمة القدم
يولي الأستاذ الدكتور محمد هطيف اهتماماً بالغاً بمرحلة ما بعد الجراحة، حيث يعتبرها مكملة لنجاح العملية. تسير خطة التعافي وفق تسلسل طبي دقيق:
- الأسابيع الأولى (1-2 أسابيع):
- راحة تامة مع رفع القدم لتقليل التورم.
- ارتداء حذاء جراحي خاص يمنع الضغط على مقدمة القدم وينقل الوزن للكعب (Heel-weight-bearing shoe).
- العناية بالجروح وتغيير الضمادات المعقمة.


- الأسابيع (3-6 أسابيع):
- إزالة الأسلاك المعدنية (K-wires) من الأصابع الصغرى في العيادة (إجراء بسيط وغير مؤلم).
- البدء التدريجي في تحميل الوزن حسب توجيهات الدكتور هطيف.
- متابعة التئام مفصل الإصبع الكبير عبر الأشعة السينية.


- الأسابيع (6-12 أسبوعاً وما بعدها):
- الانتقال إلى ارتداء أحذية رياضية مريحة وواسعة.
- البدء في جلسات العلاج الطبيعي لتقوية عضلات الساق والكاحل وتحسين نمط المشي.
- العودة التدريجية للأنشطة الطبيعية والعمل.
قصص نجاح ملهمة من عيادة الأستاذ الدكتور محمد هطيف
النتائج تتحدث عن نفسها في عيادة الدكتور هطيف في صنعاء. العديد من المرضى الذين كانوا مقعدين أو يعانون من ألم لا يُحتمل عادوا لحياتهم الطبيعية.
حالة المريضة (ف. ع) - 55 عاماً:
عانت المريضة من التهاب مفاصل روماتويدي لأكثر من 15 عاماً. وصلت إلى مرحلة عدم القدرة على الوقوف لأكثر من 10 دقائق بسبب التقرحات العميقة تحت قدميها وانحراف أصابعها بالكامل. بعد زيارتها للأستاذ الدكتور محمد هطيف، تم إجراء جراحة إعادة بناء مقدمة القدم. اليوم، وبعد 6 أشهر من العملية، تمشي المريضة بدون أي ألم، اختفت التقرحات تماماً، واستطاعت ارتداء أحذية نسائية عادية لأول مرة منذ عقد من الزمان.



الأسئلة الشائعة (FAQ): كل ما تحتاج معرفته عن جراحة مقدمة القدم الروماتويدية
لأن الشفافية هي أساس العمل الطبي لدى الأستاذ الدكتور محمد هطيف، نجيب هنا عن أكثر الأسئلة التي تشغل بال المرضى:
1. ما هي نسبة نجاح عملية إعادة بناء مقدمة القدم الروماتويدية؟
تعتبر من الجراحات ذات نسب النجاح العالية جداً (تتجاوز 90%) فيما يخص تخفيف الألم بشكل جذري وتحسين القدرة على المشي واستعادة شكل القدم.
2. هل دمج مفصل الإصبع الكبير سيجعلني أعرج؟
هذا اعتقاد خاطئ وشائع. الدمج يتم في زاوية وظيفية دقيقة تحاكي الوضع الطبيعي للقدم أثناء المشي. المريض لن يعرج، بل على العكس، سيتحسن مشيه بشكل ملحوظ بسبب زوال الألم واستقرار القدم.
3. هل العملية مؤلمة جداً؟
أثناء الجراحة ستكون تحت التخدير الموضعي أو الكلي. بعد الجراحة، يتم تطبيق بروتوكول متقدم لإدارة الألم يشمل أدوية مسكنة قوية، مما يجعل الألم محتملاً جداً ومؤقتاً مقارنة بألم الروماتويد المزمن.

4. هل يمكن أن تعود التشوهات مرة أخرى بعد الجراحة؟
بفضل تقنية دمج مفصل الإصبع الكبير، فإن احتمالية عودة الانحراف (Hallux Valgus) شبه معدومة. بالنسبة للأصابع الصغرى، النتائج تدوم طويلاً جداً طالما يتم التحكم في مرض الروماتويد بالأدوية المناسبة.
5. متى يمكنني العودة لارتداء الأحذية العادية؟
عادة ما يمكن للمريض البدء بارتداء أحذية رياضية مريحة بعد 6 إلى 8 أسابيع من الجراحة. الأحذية العادية تتطلب فترة أطول قليلاً حتى يزول التورم تماماً (والذي قد يستمر لعدة أشهر بشكل خفيف).
![ارتداء الأحذية العادية بعد الجراحة](/
آلام العظام والمفاصل وتقييد حركتها ليس قدراً محتوماً! التشخيص الدقيق والعلاج المتخصص يمكن أن يعيد لك كامل وظيفتك وحريتك في الحركة. لا تدع الألم يسيطر على حياتك.
للحصول على استشارة دقيقة وخطة علاجية مخصصة لحالتك، تواصل فوراً مع مركز الأستاذ الدكتور محمد هطيف:
الأستاذ الدكتور محمد هطيف - أفضل دكتور عظام في صنعاء، وخبير في جراحات العظام والمفاصل والعمود الفقري.. نلتزم بإعادتك لحياة خالية من الألم وحركة طبيعية.
مواضيع أخرى قد تهمك