جراحة إزالة ائتلاف الكاحل العقبي ورأب المفصل بالترقيع دليل شامل للمرضى مع الأستاذ الدكتور محمد هطيف

الخلاصة الطبية
ائتلاف الكاحل العقبي هو اتصال غير طبيعي بين عظمتي الكاحل والعقب، يسبب القدم المسطحة الصلبة والألم. علاجه الجراحي يتضمن إزالة هذا الائتلاف وإجراء رأب مفصل بالترقيع لاستعادة حركة القدم وتخفيف الألم وتحسين جودة الحياة.
الخلاصة الطبية السريعة: يُعد ائتلاف الكاحل العقبي (Talocalcaneal Coalition) اتصالاً أو التحاماً غير طبيعي بين عظمتي الكاحل والعقب في القدم، وهو ما يسبب تشوهاً يتمثل في "القدم المسطحة الصلبة" المصحوبة بألم مزمن وتشنجات عضلية مستمرة. يتضمن العلاج الجراحي المتقدم لهذه الحالة إزالة هذا الائتلاف بدقة متناهية، وإجراء "رأب المفصل بالترقيع" (Interposition Arthroplasty) باستخدام أنسجة دهنية أو عضلية لمنع عودة الالتحام. يهدف هذا التدخل الجراحي إلى استعادة الميكانيكا الحيوية لحركة القدم، تخفيف الألم بشكل جذري، وتحسين جودة حياة المريض. وفي اليمن، يقود الأستاذ الدكتور محمد هطيف، أستاذ جراحة العظام والمفاصل بجامعة صنعاء، ريادة هذا النوع من العمليات الدقيقة والمعقدة بنسب نجاح تضاهي المراكز الطبية العالمية.

مقدمة شاملة: الفهم العميق لائتلاف الكاحل العقبي وتأثيره على جودة الحياة
أهلاً بكم في هذا الدليل الطبي المرجعي والشامل، والذي تم إعداده بعناية فائقة لإلقاء الضوء على واحدة من الحالات الطبية المعقدة التي تؤثر بشكل جذري على ميكانيكية القدم والكاحل، وهي حالة "ائتلاف الكاحل العقبي" (Talocalcaneal Coalition). إذا كنت أنت أو أحد أبنائك تعانون من ألم مزمن ومستمر في القدم، أو تيبس شديد يحد من القدرة على المشي، أو ما يُعرف طبياً بـ "القدم المسطحة الصلبة" التي لا تستجيب للعلاجات التقليدية والمسكنات، فربما تكون هذه الحالة التشريحية هي السبب الخفي وراء كل تلك المعاناة.
في هذا الدليل الموسع، سنأخذك في رحلة طبية مفصلة نتناول فيها كل ما يتعلق بهذه الحالة؛ بدءاً من فهم أصولها الجنينية والتشريحية الدقيقة، مروراً بأحدث بروتوكولات التشخيص السريري والإشعاعي، ووصولاً إلى استعراض خيارات العلاج المتقدمة. وسنسلط الضوء بشكل خاص على الجراحة الدقيقة والميكروسكوبية لإزالة الائتلاف ورأب المفصل بالترقيع، وهي الجراحة التي تتطلب مهارة استثنائية وخبرة طويلة.
إننا في عيادات العظام التخصصية ندرك تماماً أن مواجهة مشكلة صحية مزمنة في القدم ليس مجرد ألم جسدي، بل هو عائق حقيقي يؤثر على الحالة النفسية، ويقيد النشاط اليومي، ويمنع المريض من ممارسة حياته الطبيعية سواء في العمل أو الرياضة أو حتى المشي البسيط. لهذا السبب، نلتزم بتقديم هذا المحتوى الطبي الموثوق، ليكون بمثابة خارطة طريق تنير لك درب الشفاء وتساعدك على اتخاذ القرارات العلاجية الصائبة والمبنية على أسس علمية رصينة.

يُعرف ائتلاف الكاحل العقبي طبياً بأنه فشل في الانفصال الجنيني الطبيعي بين عظمتي الكاحل (Talus) والعقب (Calcaneus). هذا الفشل يؤدي إلى تكون جسر غير طبيعي يربط بين العظمتين. قد يكون هذا الجسر عظمياً صلباً، أو غضروفياً، أو حتى نسيجاً ليفياً قاسياً. وفي جميع الحالات، فإنه يعطل بشكل كامل أو جزئي وظيفة "المفصل تحت الكاحل" (Subtalar Joint)، وهو المفصل المعني بتوفير المرونة اللازمة للقدم للتكيف مع الأسطح غير المستوية أثناء المشي. النتيجة الحتمية لهذا التعطل هي ألم مبرح، تيبس، وتشوه هيكلي يتطلب تدخلاً متخصصاً.
في العاصمة اليمنية صنعاء، يبرز اسم الأستاذ الدكتور محمد هطيف كمرجعية طبية عليا والرائد الأول في جراحة العظام والقدم والكاحل. بفضل مسيرته الأكاديمية كأستاذ في جامعة صنعاء، وخبرته السريرية والجراحية التي تتجاوز العشرين عاماً، يمتلك الدكتور هطيف المهارة الاستثنائية للتعامل مع أعقد حالات ائتلاف الكاحل العقبي. يعتمد الدكتور هطيف في ممارسته على أحدث التقنيات الجراحية العالمية، بما في ذلك الجراحات الميكروسكوبية، ومناظير المفاصل بدقة 4K، وتقنيات رأب المفاصل المتقدمة، مع الالتزام التام بالأمانة الطبية والمصداقية المطلقة مع المريض.
الهدف الأسمى من التدخل العلاجي، وخاصة الجراحي، لحالة ائتلاف الكاحل العقبي هو القضاء على الألم الميكانيكي، استعادة المدى الحركي الوظيفي للقدم، وحماية المفاصل المجاورة من التآكل المبكر (خشونة المفاصل). ورغم أن تحسين شكل قوس القدم (علاج التفلطح) قد يحدث كفائدة ثانوية، إلا أن الهدف الطبي الأساسي يظل دائماً هو استعادة الوظيفة الحركية وتخفيف الألم.

التشريح المعقد للقدم والكاحل: هندسة إلهية دقيقة
لكي ندرك حجم المشكلة التي يسببها ائتلاف الكاحل العقبي، يجب علينا أولاً أن نغوص في أعماق التشريح المعقد والمذهل للقدم البشرية. القدم ليست مجرد كتلة عظمية للوقوف عليها؛ بل هي تحفة هندسية بيوميكانيكية تتكون من 26 عظمة، 33 مفصلاً، وأكثر من 100 من العضلات والأوتار والأربطة، ناهيك عن شبكة معقدة من الأعصاب والأوعية الدموية. تعمل كل هذه المكونات في تناغم تام لامتصاص الصدمات، توفير التوازن، ودفع الجسم للأمام.

تشريح القدم الخلفية والمفصل تحت الكاحل (Subtalar Joint)
تتركز مشكلة ائتلاف الكاحل العقبي في منطقة تُعرف بـ "القدم الخلفية" (Hindfoot)، والتي تتكون بشكل أساسي من أكبر عظمتين في القدم:
1. عظم الكاحل (Talus): هو العظم العلوي الذي يتصل مباشرة بعظمتي الساق (الظنبوب والشظية) ليشكل مفصل الكاحل الأساسي المسؤول عن حركة القدم لأعلى ولأسفل (Dorsiflexion and Plantarflexion). يتميز عظم الكاحل بأنه لا تتصل به أي عضلات أو أوتار بشكل مباشر، بل يتحرك بناءً على حركة العظام المحيطة به، مما يجعله عظمة حيوية وحساسة للغاية.
2. عظم العقب (Calcaneus): هو عظم الكعب الأكبر والأقوى، يقع أسفل عظم الكاحل، ويتحمل الجزء الأكبر من وزن الجسم عند ملامسة الكعب للأرض أثناء المشي.
بين هاتين العظمتين، يقع المفصل البالغ الأهمية والذي يكون محور حديثنا: المفصل تحت الكاحل (Subtalar Joint أو Talocalcaneal Joint). هذا المفصل لا يتحرك لأعلى ولأسفل، بل هو المسؤول حصرياً عن حركات:
* الانقلاب الداخلي (Inversion): ميلان باطن القدم للداخل.
* الانقلاب الخارجي / الانعطاف (Eversion): ميلان باطن القدم للخارج.
هذه الحركات الجانبية هي التي تسمح للإنسان بالمشي والتوازن على التضاريس غير المستوية (مثل الرمال، الحصى، أو المنحدرات) دون أن يلتوي الكاحل. يعمل المفصل تحت الكاحل كممتص صدمات رئيسي (Shock Absorber) للقدم.
يتكون هذا المفصل من ثلاثة أوجه مفصلية (Facets) دقيقة:
* الوجه المفصلي الأوسط (Middle Facet): وهو الموقع الأكثر شيوعاً على الإطلاق لحدوث ائتلاف الكاحل العقبي. يقع هذا الوجه مفصلياً فوق نتوء عظمي بارز في عظم العقب يسمى "السندان الكاحلي" أو "معلاق الكاحل" (Sustentaculum Tali)، وهو هيكل حيوي يدعم عظم الكاحل ويمر تحته أوتار وأعصاب هامة.
* الوجه المفصلي الخلفي (Posterior Facet): وهو الوجه الأكبر ويتحمل الوزن الأكبر.
* الوجه المفصلي الأمامي (Anterior Facet): وهو الأصغر ويساعد في استقرار المفصل.
عندما يحدث ائتلاف (التحام) في الوجه الأوسط، يُفقد المفصل تحت الكاحل قدرته على الحركة الجانبية، مما يجبر المفاصل الأخرى المجاورة في منتصف القدم ومفصل الكاحل الأساسي على تحمل إجهاد حركي غير طبيعي، وهذا ما يؤدي لاحقاً إلى الألم والخشونة المبكرة.

الفهم العميق لباثولوجيا ائتلاف الكاحل العقبي (Pathophysiology)
ما هو ائتلاف الكاحل العقبي بالضبط؟ ولماذا يحدث؟ للإجابة على هذا السؤال، يجب أن نعود إلى مراحل التطور الجنيني في رحم الأم.
في الأسابيع الأولى من الحمل، تتكون عظام القدم من نسيج ضام أولي (Mesenchymal tissue). ومع تقدم الحمل (حوالي الأسبوع التاسع)، يبدأ هذا النسيج بالانفصال والتجويف (Cavitation) لتشكيل المفاصل المنفصلة التي نعرفها. في حالة ائتلاف الكاحل العقبي، يحدث خلل جيني أو تطوري يمنع هذا الانفصال الكامل في منطقة المفصل تحت الكاحل (غالباً بين الوجه الأوسط للسندان الكاحلي وعظم الكاحل).

بسبب هذا الفشل في الانفصال، تولد القدم بعظمتين متصلتين بشكل غير طبيعي. ومع نمو الطفل، يمر هذا الاتصال بمراحل من التصلب، مما يفسر سبب ظهور الأعراض عادة في مرحلة الطفولة المتأخرة أو المراهقة.
أنواع ائتلاف الكاحل العقبي
يتم تصنيف الائتلاف بناءً على نوع الأنسجة التي تشكل الجسر بين العظمتين، وهو تصنيف حاسم يحدده الأستاذ الدكتور محمد هطيف لاختيار النهج العلاجي الأمثل:
| نوع الائتلاف (Coalition Type) | الوصف الطبي والتكوين | وقت التعظم (ظهور الأعراض غالباً) | مستوى صلابة القدم |
|---|---|---|---|
| الائتلاف العظمي (Synostosis) | التحام كامل بجسر عظمي صلب بين الكاحل والعقب. لا توجد أي مسافة مفصلية. | بين سن 12 إلى 16 عاماً | صلبة جداً (Rigid) ومقيدة الحركة تماماً. |
| الائتلاف الغضروفي (Synchondrosis) | العظمتان متصلتان بواسطة جسر من الغضاريف السميكة. يسمح بحركة طفيفة جداً. | بين سن 8 إلى 12 عاماً | شبه صلبة، وتتصلب مع تقدم العمر وتحول الغضروف لعظم. |
| الائتلاف الليفي (Syndesmosis) | العظمتان متصلتان بواسطة نسيج ليفي متين. | تختلف، ولكن غالباً تظهر في الطفولة المبكرة | أقل صلابة من العظمي، ولكنها تسبب ألماً وتشنجات مع المجهود. |

الأعراض والمؤشرات السريرية: متى يجب دق ناقوس الخطر؟
لا تظهر أعراض ائتلاف الكاحل العقبي عادة عند الولادة أو في السنوات الأولى من العمر، لأن الجسر الرابط يكون في الغالب غضروفياً أو ليفياً ومرناً نسبياً. ولكن، مع نمو الطفل وزيادة وزنه، وبدء تحول هذا الجسر إلى عظم صلب (Ossification) - عادة بين سن 12 و 16 عاماً - تبدأ الميكانيكا الحيوية للقدم بالانهيار، وتظهر الأعراض بوضوح.

الأعراض ليست مجرد "ألم بسيط"، بل هي مجموعة معقدة من العلامات السريرية التي يلاحظها الأهل أو المريض نفسه:
- ألم مزمن وعميق في القدم: يتركز الألم عادة في الجزء الخارجي من القدم (تحت عظم الكعب الخارجي - Sinus Tarsi) أو في الجزء الداخلي تحت الكعب الداخلي (تحت السندان الكاحلي). يزداد هذا الألم بشكل حاد مع النشاط البدني، المشي لفترات طويلة، الرياضة، أو الوقوف المستمر، ويقل نسبياً مع الراحة.
- القدم المسطحة الصلبة (Rigid Flatfoot): على عكس القدم المسطحة المرنة الشائعة (التي يظهر فيها القوس عند الوقوف على أطراف الأصابع)، فإن القدم المصابة بالائتلاف تظل مسطحة تماماً وصلبة سواء كان المريض واقفاً بشكل طبيعي أو على أطراف أصابعه.
- التواء الكاحل المتكرر (Recurrent Ankle Sprains): نظراً لفقدان المفصل تحت الكاحل لقدرته على امتصاص الصدمات والتكيف مع التضاريس، ينتقل العبء إلى أربطة الكاحل الأساسي، مما يؤدي إلى التواءات متكررة حتى عند المشي على أسطح شبه مستوية.
- تشنج العضلات الشظوية (Peroneal Muscle Spasm): وهو عرض كلاسيكي يُعرف طبياً باسم (Peroneal Spastic Flatfoot). تقوم العضلات الموجودة في الجزء الخارجي من الساق (العضلات الشظوية) بالانقباض والتشنج بشكل لا إرادي. هذا التشنج ليس المشكلة الأساسية، بل هو آلية دفاعية من الجسم (Protective Spasm) لمحاولة تثبيت المفصل المؤلم ومنع حركته لتخفيف الألم.
- التعب السريع وصعوبة المشي: يجد المريض صعوبة بالغة في المشي على الأسطح غير المستوية (مثل العشب، الرمل، أو الحجارة)، ويشعر بإرهاق سريع في الساقين والقدمين مقارنة بأقرانه.

التشخيص الدقيق مع الأستاذ الدكتور محمد هطيف: مفتاح العلاج الناجح
التشخيص الدقيق هو حجر الزاوية في علاج ائتلاف الكاحل العقبي. نظراً لتعقيد التشريح في هذه المنطقة، قد يتم تشخيص الحالة خطأً في العيادات غير المتخصصة على أنها مجرد "قدم مسطحة عادية" أو "ألم نمو". ولكن في عيادة الأستاذ الدكتور محمد هطيف، يتم اتباع بروتوكول تشخيصي صارم يجمع بين الفحص السريري الدقيق والتصوير الإشعاعي المتقدم.
1. الفحص السريري والميكانيكي الحيوي
يبدأ الدكتور هطيف بأخذ تاريخ طبي مفصل، ثم يقوم بفحص القدم بعناية. يتضمن الفحص:
* تقييم المدى الحركي: فحص حركة المفصل تحت الكاحل. في حالة الائتلاف، تكون الحركة الجانبية (الانقلاب والانعطاف) معدومة أو مقيدة بشدة وتسبب ألماً.
* اختبار الوقوف على أطراف الأصابع (Heel Rise Test): في القدم الطبيعية، عند الوقوف على أطراف الأصابع، يميل الكعب للداخل وينشأ قوس القدم. في القدم المصابة بالائتلاف، يظل الكعب مائلاً للخارج (Valgus) ولا يظهر القوس.
* مراقبة نمط المشي (Gait Analysis): للبحث عن أي عرج أو تجنب لتحميل الوزن على أجزاء معينة من القدم.
2. التصوير الإشعاعي المتقدم (Radiological Evaluation)
الفحص السريري يوجه الشكوك، ولكن التصوير الإشعاعي هو ما يؤكد التشخيص ويحدد خطة الجراحة:

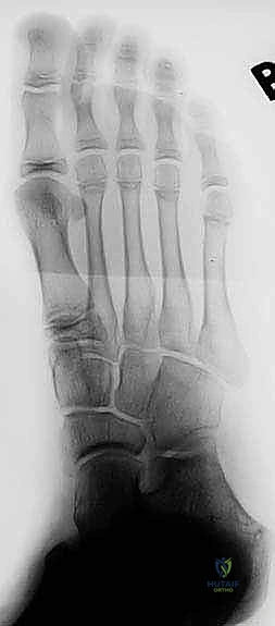
- الأشعة السينية التقليدية (X-Rays): يتم أخذ صور بوضعيات خاصة (مثل وضعية Harris-Beath) لرؤية المفصل تحت الكاحل. قد تظهر الأشعة السينية الائتلاف العظمي بوضوح، بالإضافة إلى علامات ثانوية مثل "علامة حرف C" (C-sign) التي تدل على تشوه في عظم الكاحل، أو وجود نتوءات عظمية (Osteophytes) تشير إلى بداية خشونة المفاصل المجاورة.
- التصوير المقطعي المحوسب (CT Scan): يُعد المعيار الذهبي (Gold Standard) لتشخيص ائتلاف الكاحل العقبي. يطلب الدكتور هطيف إجراء أشعة مقطعية ثلاثية الأبعاد، حيث توفر صوراً متناهية الدقة للتركيب العظمي، تحدد حجم الائتلاف، موقعه الدقيق، ونسبة إصابة المفصل. هذه الخطوة حاسمة جداً قبل اتخاذ قرار الجراحة.
- التصوير بالرنين المغناطيسي (MRI): يتم اللجوء إليه إذا كان الائتلاف غضروفياً أو ليفياً ولم يظهر بوضوح في الأشعة المقطعية، كما يفيد في تقييم حالة الأوتار والأربطة المحيطة، وتحديد مدى التورم في نخاع العظم (Bone Marrow Edema) الناجم عن الإجهاد الميكانيكي.

خيارات العلاج: متى نلجأ للعلاج التحفظي ومتى تكون الجراحة حتمية؟
يؤمن الأستاذ الدكتور محمد هطيف بمبدأ التدرج في العلاج. لا يتم اللجوء إلى الجراحة إلا بعد تقييم شامل للحالة ومدى استجابتها للعلاجات غير الجراحية، أو إذا كانت الحالة متقدمة جداً وتستدعي تدخلاً فورياً لحماية المفاصل من التلف الدائم.
أولاً: العلاج التحفظي (غير الجراحي)
الهدف من العلاج التحفظي ليس "إزالة" الائتلاف (فهذا مستحيل بدون جراحة)، بل الهدف هو تخفيف الألم وتقليل الالتهاب عن طريق تقييد حركة المفصل المؤلم وتقليل الإجهاد عليه.

تشمل الخيارات التحفظية:
1. الراحة وتعديل النشاط: التوقف المؤقت عن الأنشطة الرياضية المجهدة التي تتطلب ركضاً أو قفزاً.
2. الأدوية المضادة للالتهابات (NSAIDs): مثل الإيبوبروفين لتخفيف الألم وتورم الأنسجة المحيطة بالمفصل.
3. الفرشات والأحذية الطبية المخصصة (Custom Orthotics): استخدام دعامات صلبة لقوس القدم (مثل UCBL) أو أحذية ذات نعل مقوس (Rocker-bottom shoes) لتقليل الحركة في المفصل تحت الكاحل أثناء المشي.
4. التثبيت المؤقت (Immobilization): في حالات الألم الحاد والتشنج العضلي الشديد، قد يتم وضع القدم في جبس طبي أو حذاء مشي داعم (CAM Walker) لمدة 4 إلى 6 أسابيع لإراحة المفصل تماماً وكسر حلقة التشنج العضلي.
5. الحقن الموضعي (Steroid Injections): حقن الكورتيزون مع مخدر موضعي مباشرة في المفصل تحت الكاحل (غالباً تحت إوجيه الأشعة) لتقليل الالتهاب الشديد. يعتبر هذا حلاً مؤقتاً لتسكين الألم.
جدول مقارنة: العلاج التحفظي مقابل العلاج الجراحي
| وجه المقارنة | العلاج التحفظي (غير الجراحي) | العلاج الجراحي (إزالة الائتلاف والترقيع) |
|---|---|---|
| الهدف الأساسي | إدارة الألم، تخفيف الالتهاب مؤقتاً | إزالة المسبب الجذري، استعادة الحركة الطبيعية |
| تأثيره على الجسر العظمي | لا يؤثر (الجسر العظمي يظل موجوداً) | يزيل الجسر العظمي/الغضروفي بالكامل |
| المدى الحركي للقدم | يظل مقيداً أو يتم تقييده أكثر لتخفيف الألم | يتحسن بشكل ملحوظ ويستعيد مرونته |
| نسبة النجاح على المدى الطويل | منخفضة إلى متوسطة (غالباً يعود الألم مع النشاط) | عالية جداً (85% - 95% تخفيف دائم للألم) |
| المرشحون المثاليون | الحالات الخفيفة، كبار السن، مرضى يرفضون الجراحة | الشباب والمراهقين، الحالات المقاومة للعلاج التحفظي |
ثانياً: التدخل الجراحي - الحل الجذري (جراحة إزالة الائتلاف ورأب المفصل بالترقيع)
عندما يفشل العلاج التحفظي في توفير راحة دائمة للمريض، وتستمر الآلام في إعاقة حياته اليومية، يصبح التدخل الجراحي هو الخيار الأمثل والضروري. تُعد عملية "إزالة ائتلاف الكاحل العقبي ورأب المفصل بالترقيع" (Excision of Talocalcaneal Coalition with Interposition Arthroplasty) من الجراحات الدقيقة التي تتطلب مهارة عالية، وهي من التخصصات الدقيقة التي يبرع فيها الأستاذ الدكتور محمد هطيف.
آلام العظام والمفاصل وتقييد حركتها ليس قدراً محتوماً! التشخيص الدقيق والعلاج المتخصص يمكن أن يعيد لك كامل وظيفتك وحريتك في الحركة. لا تدع الألم يسيطر على حياتك.
للحصول على استشارة دقيقة وخطة علاجية مخصصة لحالتك، تواصل فوراً مع مركز الأستاذ الدكتور محمد هطيف:
الأستاذ الدكتور محمد هطيف - أفضل دكتور عظام في صنعاء، وخبير في جراحات العظام والمفاصل والعمود الفقري.. نلتزم بإعادتك لحياة خالية من الألم وحركة طبيعية.
مواضيع أخرى قد تهمك