كسور قصبة الساق لدى الأطفال: دليل شامل للآباء والعلاج المتطور مع الأستاذ الدكتور محمد هطيف في صنعاء

الخلاصة الطبية
كسور قصبة الساق عند الأطفال هي إصابات شائعة تتطلب تشخيصًا دقيقًا وعلاجًا متخصصًا لحماية نمو الطفل ووظيفته المستقبلية. يقدم الأستاذ الدكتور محمد هطيف في صنعاء أحدث التقنيات الجراحية وغير الجراحية لضمان أفضل النتائج لكسور قصبة الساق لدى الأطفال، مع التركيز على التعافي الكامل.
الخلاصة الطبية السريعة: أمان طفلك بين يدي خبير
تُعد كسور قصبة الساق (Tibia Fractures) عند الأطفال من الإصابات الشائعة والمعقدة في ذات الوقت، حيث تتطلب تشخيصًا دقيقًا وعلاجًا متخصصًا لحماية مراكز نمو الطفل ووظيفته الحركية المستقبلية. يقدم الأستاذ الدكتور محمد هطيف، أستاذ جراحة العظام والمفاصل بجامعة صنعاء، واستشاري جراحة عظام الأطفال ذو الخبرة التي تتجاوز 20 عامًا، أحدث التقنيات الجراحية وغير الجراحية لضمان أفضل النتائج لكسور قصبة الساق. بفضل التزامه الصارم بالأمانة الطبية واستخدامه لأحدث التقنيات مثل الجراحة الميكروسكوبية ومناظير المفاصل 4K، يضمن الدكتور هطيف مسار تعافي آمن وسريع لطفلك.

عندما يتعرض الطفل لإصابة في الساق، فإن القلق الذي ينتاب الآباء والأمهات يكون هائلاً ومبرراً. الساق هي الدعامة الأساسية لحركة الطفل، وأي خلل في علاجها قد يؤدي إلى مضاعفات تستمر مدى الحياة. من هنا، تبرز أهمية اللجوء إلى خبير متمرس يدرك تماماً الفروق الدقيقة بين عظام البالغين وعظام الأطفال التي لا تزال في طور النمو.


مقدمة شاملة: لماذا تعتبر كسور قصبة الساق لدى الأطفال حالة طبية خاصة؟
تُعد كسور قصبة الساق (العظمة الكبرى في أسفل الساق) من الإصابات التي يكثر حدوثها في مرحلة الطفولة والمراهقة بسبب النشاط الحركي العالي، واللعب، والمشاركة في الألعاب الرياضية. ما يميز عظام الأطفال عن عظام البالغين هو وجود خصائص تشريحية وفسيولوجية فريدة تجعل استجابة عظام الأطفال للإصابة، وكذلك طرق علاجها، مختلفة تماماً.
في حين أن العديد من هذه الكسور يمكن علاجها بفاعلية تامة بطرق غير جراحية (كالجبس)، إلا أن هناك حالات معقدة، مثل الكسور غير المستقرة أو تلك التي تمتد إلى مراكز النمو، تستدعي التدخل الجراحي الدقيق لضمان الشفاء التام، واستعادة وظيفة الساق، ومنع المضاعفات طويلة الأمد مثل قصر الطرف أو انحرافه (تقوس الساقين).
في هذا الدليل الطبي الشامل والموسع، سنتعمق في كل التفاصيل المتعلقة بكسور قصبة الساق لدى الأطفال. بدءًا من فهم التشريح الدقيق، مرورًا بأنواع الكسور وأسبابها، وصولًا إلى خيارات التشخيص والعلاج المتقدمة وبرامج التأهيل. يفتخر الأستاذ الدكتور محمد هطيف، الرائد الأول في جراحة عظام الأطفال في صنعاء واليمن، بتقديم هذا المحتوى الطبي الموثوق لتوعية الآباء وطمأنتهم.

التشريح الدقيق لساق الطفل: ما الذي يجعلها مختلفة عن البالغين؟
لفهم كيفية علاج كسور قصبة الساق لدى الأطفال، يجب أولاً فهم طبيعة عظامهم. عظام الأطفال ليست مجرد نسخ مصغرة من عظام البالغين؛ بل هي أنسجة حية ديناميكية وسريعة التغير.
- صفائح النمو (Growth Plates - Physis): هي مناطق من الغضاريف النامية تقع بالقرب من نهايات العظام الطويلة (مثل قصبة الساق). هذه الصفائح هي المسؤولة عن نمو العظم طولياً. إذا حدث كسر يمر عبر صفيحة النمو ولم يتم علاجه بدقة متناهية، فقد يؤدي ذلك إلى توقف النمو في تلك المنطقة، مما يسبب قصر الساق أو نموها بشكل معوج.
- السمحاق العظمي (Periosteum): هو الغلاف الخارجي للعظم. في الأطفال، يكون السمحاق سميكاً جداً وقوياً ومليئاً بالأوعية الدموية مقارنة بالبالغين. هذا السمحاق القوي غالباً ما يمنع العظم المكسور من الانفصال التام (يعمل كمفصلة)، ويساعد في تسريع عملية التئام الكسور بشكل مذهل.
- المرونة العالية: عظام الأطفال أكثر مرونة وتحتوي على نسبة أعلى من الغضاريف، مما يجعلها قابلة للانحناء قبل أن تنكسر، وهو ما يؤدي إلى أنواع خاصة من الكسور لا نراها عند البالغين.


الأسباب الشائعة لكسور قصبة الساق عند الأطفال
تتعدد الأسباب التي قد تؤدي إلى كسر قصبة الساق، وتختلف باختلاف الفئة العمرية للطفل ونشاطه اليومي. من أبرز هذه الأسباب:
- السقوط المباشر: السقوط من الأماكن المرتفعة، مثل ألعاب الحدائق (المراجيح والزحاليق)، أو السقوط من السلالم.
- الإصابات الرياضية: وخاصة الرياضات التي تتطلب احتكاكاً مباشراً أو تغييرات مفاجئة في الاتجاه، مثل كرة القدم (شائعة جداً في اليمن)، كرة السلة، أو ركوب الدراجات. التواء الساق العنيف أثناء تثبيت القدم على الأرض قد يؤدي إلى كسر حلزوني في قصبة الساق.
- حوادث السير: سواء كان الطفل راكباً في السيارة أو من المشاة. هذه الحوادث غالباً ما تسبب كسوراً شديدة ومضاعفة (مفتوحة) تتطلب تدخلاً جراحياً طارئاً.
- كسور الإجهاد (Stress Fractures): تحدث لدى الأطفال والمراهقين الرياضيين الذين يمارسون تدريبات مكثفة دون فترات راحة كافية، مما يسبب شروخاً دقيقة في العظم.


الأعراض والعلامات التحذيرية: متى يجب التوجه فوراً للطبيب؟
الأطفال قد لا يستطيعون التعبير بدقة عن طبيعة الألم، خاصة في الأعمار الصغيرة (الرضع وحديثي المشي). لذلك، يجب على الآباء الانتباه للعلامات التحذيرية التالية التي تشير إلى احتمال وجود كسر في قصبة الساق:
- ألم حاد ومفاجئ: يبدأ فور وقوع الإصابة ويزداد سوءاً عند محاولة تحريك الساق أو لمسها.
- عدم القدرة على تحمل الوزن: الطفل يرفض المشي تماماً، أو يرفض الوقوف على الساق المصابة. في الأطفال الصغار جداً، قد يتوقفون عن المشي فجأة ويبدأون بالزحف.
- تورم وكدمات: ظهور تورم سريع في الساق، مصحوباً بتغير في لون الجلد (ازرقاق أو احمرار).
- تشوه واضح (Deformity): الساق تبدو ملتوية، أو أقصر من الساق الأخرى، أو بها انحناء غير طبيعي.
- بروز العظم (الكسر المفتوح): في الحالات الشديدة، قد يخترق العظم المكسور الجلد، وهي حالة طوارئ طبية قصوى.

جدول: تقييم شدة الأعراض والإجراء المطلوب
| شدة الأعراض | العلامات الملاحظة على الطفل | الإجراء الطبي المطلوب فوراً |
|---|---|---|
| خفيفة إلى متوسطة | ألم محتمل، تورم بسيط، عرج أثناء المشي، الطفل يبكي عند الضغط على الساق. | وضع كمادات ثلج، إراحة الساق، وحجز موعد عاجل في عيادة الدكتور محمد هطيف للفحص والأشعة. |
| شديدة | ألم مبرح، عدم القدرة التامة على الوقوف، تورم كبير، تشوه ملحوظ في شكل الساق. | تثبيت الساق كما هي (عدم محاولة تعديلها)، والتوجه فوراً إلى قسم الطوارئ لتقييم الحالة. |
| حرجة (طوارئ قصوى) | خروج العظم من الجلد (كسر مفتوح)، نزيف، برودة في أصابع القدم، أو فقدان الإحساس. | تغطية الجرح بشاش معقم، استدعاء الإسعاف فوراً، والتحضير لتدخل جراحي طارئ لإنقاذ الطرف. |
أنواع كسور قصبة الساق لدى الأطفال
تختلف تصنيفات الكسور بناءً على شكل الكسر وموقعه. الفهم الدقيق لنوع الكسر هو الخطوة الأولى التي يعتمد عليها الأستاذ الدكتور محمد هطيف لتحديد خطة العلاج المثلى.
- كسر الغصن النضير (Greenstick Fracture): نظراً لمرونة عظام الأطفال، قد ينثني العظم وينكسر من جانب واحد فقط بينما يبقى الجانب الآخر سليماً، تماماً مثل كسر غصن شجرة أخضر.
- الكسر الحلزوني (Spiral Fracture): يحدث عادة نتيجة التواء الساق (مثل تعثر الطفل أثناء الجري). يُعرف هذا الكسر عند الأطفال الصغار (من 9 أشهر إلى 3 سنوات) باسم "كسر المشي" (Toddler's Fracture)، وغالباً ما يكون خفياً ويصعب رؤيته في الأشعة السينية الأولية.
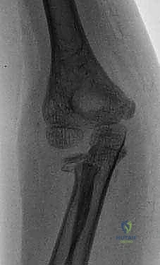
- كسر صفيحة النمو (Salter-Harris Fractures): من أخطر الأنواع، حيث يمر خط الكسر عبر الغضروف المسؤول عن نمو العظم. يتطلب هذا النوع خبرة واسعة لتثبيته دون الإضرار بالخلايا النامية.
- الكسر المنزاح (Displaced Fracture): تنفصل نهايتا العظم المكسور عن بعضهما وتفقدان المحاذاة الصحيحة، مما يتطلب إرجاع العظم إلى مكانه (الرد) سواء يدوياً أو جراحياً.

التشخيص الدقيق مع الأستاذ الدكتور محمد هطيف
التشخيص الخاطئ أو المتأخر قد يؤدي إلى التئام العظم في وضع غير صحيح (Malunion). يبدأ التشخيص في عيادة الأستاذ الدكتور محمد هطيف بأخذ التاريخ الطبي المفصل من الآباء لمعرفة آلية الإصابة، يليه فحص سريري دقيق لتقييم النبض، والأعصاب، وحركة الأصابع للتأكد من عدم وجود إصابات وعائية أو عصبية مرافقة.
يعتمد التشخيص الأساسي على التصوير بالأشعة السينية (X-rays) من زوايا متعددة (أمامية وجانبية) لتشمل مفصلي الركبة والكاحل. في بعض الحالات المعقدة، خاصة تلك التي تمتد إلى المفاصل أو صفائح النمو، قد يطلب الدكتور هطيف إجراء تصوير مقطعي محوسب (CT Scan) أو رنين مغناطيسي (MRI) للحصول على صورة ثلاثية الأبعاد ووضع خطة جراحية فائقة الدقة.

خيارات العلاج: من العلاج التحفظي إلى التدخل الجراحي المتقدم
يعتمد قرار العلاج على عدة عوامل: عمر الطفل، نوع الكسر، مدى انزياح العظم، وما إذا كانت صفائح النمو متأثرة أم لا. يطبق الأستاذ الدكتور محمد هطيف مبدأ "الأمانة الطبية" بصرامة؛ فلا يتم اللجوء للجراحة إلا إذا كانت هي الخيار الوحيد لضمان مستقبل الطفل الحركي.
العلاج التحفظي (غير الجراحي)
معظم كسور قصبة الساق لدى الأطفال يمكن علاجها بدون جراحة بفضل قدرة عظامهم الهائلة على الالتئام وإعادة التشكيل (Remodeling).
* الجبس (Casting): إذا كان الكسر مستقراً وفي مكانه الصحيح، يتم وضع الساق في جبس طويل (من الفخذ إلى القدم) لمنع الحركة والسماح للعظم بالالتئام. بعد عدة أسابيع، قد يتم تغييره إلى جبس قصير.
* الرد المغلق (Closed Reduction): إذا كان العظم منحرفاً قليلاً، يقوم الدكتور هطيف بإعادة العظم إلى مكانه الصحيح يدوياً تحت تأثير التخدير العام أو الموضعي، ثم يضع الجبس.

العلاج الجراحي المتقدم
عندما يكون الكسر غير مستقر، أو مضاعفاً، أو يهدد صفائح النمو، يصبح التدخل الجراحي ضرورة حتمية. يستخدم الدكتور هطيف أحدث التقنيات العالمية في تثبيت عظام الأطفال:
- المسامير النخاعية المرنة (Flexible Intramedullary Nails - TENs): وهي تقنية حديثة ومثالية للأطفال. يتم إدخال مسامير مرنة من التيتانيوم داخل تجويف العظم عبر شقوق صغيرة جداً (Minimally Invasive). تعمل هذه المسامير كدعامة داخلية تسمح للعظم بالالتئام بسرعة دون فتح جراحي كبير، وتوفر ثباتاً ممتازاً.
- الشرائح والمسامير (Plates and Screws): تستخدم في الكسور القريبة من المفاصل أو التي تتطلب تثبيتاً صلباً ومحاذاة دقيقة جداً.
- المثبت الخارجي (External Fixator): يُستخدم في حالات الكسور المفتوحة الشديدة (حيث يوجد تلف في الجلد والعضلات). عبارة عن إطار معدني يوضع خارج الساق ويثبت بمسامير تخترق الجلد إلى العظم.

جدول: مقارنة بين العلاج التحفظي والعلاج الجراحي لكسور قصبة الساق
| وجه المقارنة | العلاج التحفظي (الجبس / الرد المغلق) | العلاج الجراحي (التثبيت الداخلي/المرن) |
|---|---|---|
| دواعي الاستعمال | الكسور المستقرة، كسور الغصن النضير، الكسور غير المنزاحة. | الكسور غير المستقرة، الكسور المفتوحة، كسور مراكز النمو، الفشل في الرد المغلق. |
| مدة البقاء في المستشفى | خروج في نفس اليوم غالباً. | يوم إلى يومين للمراقبة وإعطاء المضادات الحيوية. |
| فترة التعافي للعودة للمشي | أطول نسبياً (تعتمد على مدة بقاء الجبس). | أسرع، حيث يسمح التثبيت الداخلي بحركة مبكرة للمفاصل. |
| المخاطر المحتملة | تيبس المفاصل، ضعف العضلات المؤقت، احتمالية تحرك الكسر داخل الجبس. | مخاطر التخدير، الالتهابات (نادرة جداً مع التعقيم العالي)، الحاجة لعملية إزالة المعادن لاحقاً. |
| الندبات الجراحية | لا يوجد. | ندبات صغيرة جداً (خاصة مع تقنية المسامير المرنة). |
خطوة بخطوة: كيف تتم العملية الجراحية لكسر قصبة الساق؟
إذا قرر الأستاذ الدكتور محمد هطيف أن الجراحة هي الخيار الأمثل لطفلك، فهذا هو ما تتوقعه داخل غرفة العمليات المجهزة بأحدث التقنيات في صنعاء:
- التخدير والتحضير: يتم تخدير الطفل بالكامل لضمان عدم شعوره بأي ألم، ويتم تعقيم الساق بالكامل.
- استخدام جهاز الأشعة القوسي (C-Arm Fluoroscopy): يُستخدم هذا الجهاز المتطور طوال العملية لتوفير صور أشعة حية ومباشرة، مما يسمح للدكتور هطيف برؤية العظم من الداخل دون الحاجة لشقوق جراحية كبيرة.
- تقنية التدخل المحدود (Minimally Invasive): في حالة استخدام المسامير المرنة (TENs)، يتم عمل شقين صغيرين (حوالي 1-2 سم) بالقرب من الركبة أو الكاحل.
- تمرير المسامير والتثبيت: يتم إدخال المسامير المرنة بمهارة فائقة داخل تجويف العظم وتوجيهها لتتجاوز منطقة الكسر، مما يعيد العظم إلى استقامته الطبيعية ويثبته بقوة.

- الإغلاق والتأكد: يتم التأكد من ثبات الكسر وحركة المفاصل المجاورة. تُغلق الشقوق الصغيرة بغرز تجميلية، وتوضع جبيرة خفيفة لحماية الساق في الأيام الأولى.

لماذا الأستاذ الدكتور محمد هطيف هو الخيار الأول في صنعاء واليمن؟
عندما يتعلق الأمر بصحة أطفالنا، فإننا نبحث دائماً عن الأفضل. يمثل الأستاذ الدكتور محمد هطيف قمة الهرم الطبي في مجال جراحة العظام في اليمن، وذلك لعدة أسباب جوهرية:
- المرتبة الأكاديمية والخبرة الطويلة: أستاذ جراحة العظام والمفاصل بجامعة صنعاء، بخبرة عملية وأكاديمية تتجاوز 20 عاماً، أجرى خلالها آلاف العمليات الناجحة والمعقدة.
- التخصص الدقيق في عظام الأطفال: يمتلك فهماً عميقاً لبيولوجيا نمو الطفل، مما يجعله قادراً على التعامل مع أعقد كسور صفائح النمو والتشوهات الخلقية.
- استخدام التكنولوجيا المتطورة: هو من رواد استخدام الجراحة الميكروسكوبية، ومناظير المفاصل بدقة 4K، والمفاصل الصناعية الحديثة في اليمن. هذا يعني شقوقاً أصغر، ألماً أقل، وتعافياً أسرع.
- الأمانة الطبية الفائقة: يشتهر الدكتور هطيف بشفافيته التامة مع المرضى والآباء. فهو يقدم النصيحة الطبية المجردة، ولا ينصح بالجراحة إلا إذا كانت هي الحل الطبي السليم والموثق علمياً.

رحلة التعافي والتأهيل الفيزيائي (العلاج الطبيعي)
نجاح العلاج لا ينتهي بخروج الطفل من غرفة العمليات أو وضع الجبس؛ بل إن التأهيل الفيزيائي هو النصف الآخر من رحلة الشفاء.
- المرحلة الأولى (الأسابيع 1-4): التركيز على تقليل التورم والألم. يُمنع الطفل من تحميل الوزن على الساق المصابة. يُنصح برفع الساق واستخدام العكازات أو الكرسي المتحرك.
- المرحلة الثانية (الأسابيع 4-8): بمجرد أن تظهر الأشعة السينية علامات التئام العظم (الكالوس العظمي)، يبدأ الدكتور هطيف بالسماح بتحميل الوزن الجزئي والتدريجي. تبدأ جلسات العلاج الطبيعي لاستعادة المدى الحركي لمفصلي الركبة والكاحل اللذين قد يعانيان من التيبس بسبب فترة عدم الحركة.

- المرحلة الثالثة (الشهر الثالث وما بعده): التركيز على تقوية عضلات الساق والفخذ (مثل العضلة الرباعية والسمانة) لاستعادة القوة والتوازن. يتم تدريب الطفل على المشي الصحيح بدون عرج، والتمهيد لعودته التدريجية للأنشطة الرياضية.
![العودة التدريجية للنشاط الحركي](/media/hutaif_opertive/hutaif-ch
كسور العظام المعقدة وإصابات الحوادث ليس قدراً محتوماً! التشخيص الدقيق والعلاج المتخصص يمكن أن يعيد لك كامل وظيفتك وحريتك في الحركة. لا تدع الألم يسيطر على حياتك.
للحصول على استشارة دقيقة وخطة علاجية مخصصة لحالتك، تواصل فوراً مع مركز الأستاذ الدكتور محمد هطيف:
الأستاذ الدكتور محمد هطيف - أفضل دكتور عظام في صنعاء، وخبير في جراحات الكسور المعقدة وإنقاذ الأطراف.. نلتزم بإعادتك لحياة خالية من الألم وعظام قوية وملتئمة.
مواضيع أخرى قد تهمك