جراحة مفصل الكوع بالمنظار (أوتبيردج-كاشيواجي): استعادة حركة الكوع في صنعاء مع الأستاذ الدكتور محمد هطيف

الخلاصة الطبية
جراحة مفصل الكوع أوتبيردج-كاشيواجي هي تقنية متخصصة لعلاج خشونة الكوع الأولية، خاصةً الناتجة عن النتوءات العظمية، بهدف استعادة نطاق الحركة الكامل وتخفيف الألم. يقدم الأستاذ الدكتور محمد هطيف في صنعاء هذه الجراحة المتقدمة، مع التركيز على التشخيص الدقيق والرعاية الشاملة لضمان أفضل النتائج للمرضى.
الخلاصة الطبية السريعة: جراحة مفصل الكوع أوتبيردج-كاشيواجي هي تقنية متخصصة ودقيقة لعلاج خشونة الكوع الأولية، خاصةً تلك الناتجة عن تكون النتوءات العظمية (Osteophytes)، بهدف استعادة نطاق الحركة الكامل وتخفيف الألم المبرح. يقدم الأستاذ الدكتور محمد هطيف في صنعاء هذه الجراحة المتقدمة، مع التركيز على التشخيص الدقيق، استخدام أحدث تقنيات المناظير (Arthroscopy 4K)، والرعاية الشاملة لضمان أفضل النتائج للمرضى، مما يعيد لهم القدرة على ممارسة حياتهم وأعمالهم بكفاءة تامة.

مقدمة شاملة إلى جراحة مفصل الكوع (أوتبيردج-كاشيواجي)
هل تعاني من ألم مزمن في الكوع، خاصةً عند محاولة ثنيه أو فرده بالكامل؟ هل تشعر بتصلب، تيبس، أو طقطقة مزعجة تحد من قدرتك على أداء الأنشطة اليومية البسيطة أو ممارسة عملك الذي يتطلب مجهوداً يدوياً؟ قد تكون خشونة مفصل الكوع الأولية والمتقدمة هي السبب الخفي وراء هذه المعاناة.
في عيادة الأستاذ الدكتور محمد هطيف، أستاذ جراحة العظام والمفاصل بجامعة صنعاء والخبير الأول في جراحات المفاصل الدقيقة في اليمن، نتفهم تمامًا مدى التأثير السلبي والمدمر لهذه الحالة على جودة حياتك المهنية والشخصية. ولهذا السبب، نقدم حلولًا جراحية متقدمة ومتخصصة، من بينها جراحة مفصل الكوع أوتبيردج-كاشيواجي (Ulnohumeral Arthroplasty - O-K Procedure)، والتي تعتبر ثورة في علاج تيبس الكوع.
تُعد هذه الجراحة الدقيقة، المعروفة في الأوساط الطبية باسم "عملية إزالة النتوءات العظمية وتوسيع الحفرة الزجية من مفصل الكوع"، حلاً جذرياً وفعالاً للمرضى الذين يعانون من خشونة الكوع الأولية. هذه الحالة تحدث غالبًا بسبب التآكل الميكانيكي المستمر الذي يؤدي إلى تكون نتوءات عظمية تعيق حركة المفصل وتسبب آلاماً مبرحة. على الرغم من أن خشونة الكوع أقل شيوعًا من خشونة المفاصل الكبيرة الأخرى مثل الركبة أو الورك، إلا أنها عندما تحدث، تكون مؤلمة للغاية ومقيدة للحركة بشكل يهدد المسيرة المهنية للمريض، خاصةً لدى الرجال في منتصف العمر الذين يمارسون أعمالًا يدوية متكررة (كالنجارين، الحدادين، وعمال البناء) أو الرياضيين في رياضات تتطلب استخدامًا مكثفًا للذراع (مثل رفع الأثقال أو الملاكمة).
الهدف الاستراتيجي في هذه الجراحة هو استعادة نطاق الحركة الوظيفي (Functional Range of Motion) لمفصل الكوع وتخفيف الألم الناتج عن الاحتكاك الميكانيكي، خاصةً عند أقصى درجات الثني (Flexion) والمد (Extension). بفضل خبرة الأستاذ الدكتور محمد هطيف الواسعة التي تتجاوز 20 عاماً في جراحة العظام والمفاصل والمناظير الدقيقة في صنعاء، يمكن للمرضى أن يطمئنوا إلى أنهم يتلقون رعاية طبية تواكب أحدث المعايير العالمية، حيث يتم تطبيق أحدث التقنيات الجراحية وأكثرها دقة وأماناً.


لماذا تختار الأستاذ الدكتور محمد هطيف في صنعاء؟ (المرجعية الطبية والخبرة)
عندما يتعلق الأمر بجراحة دقيقة ومعقدة مثل جراحة مفصل الكوع، فإن اختيار الجراح هو العامل الأهم الذي يحدد نسبة نجاح العملية. يبرز اسم الأستاذ الدكتور محمد هطيف كعلامة فارقة في سماء الطب اليمني، وذلك للأسباب التالية:
- المكانة الأكاديمية المرموقة: بصفته أستاذاً لجراحة العظام والمفاصل في جامعة صنعاء، يجمع الدكتور هطيف بين المعرفة الأكاديمية العميقة والممارسة السريرية المتقدمة.
- خبرة تتجاوز العقدين: أجرى الدكتور هطيف آلاف العمليات الجراحية الناجحة، مما منحه "حساً جراحياً" استثنائياً للتعامل مع أعقد حالات تشوهات وخشونة المفاصل.
- الريادة في استخدام التكنولوجيا: يُعد من أوائل الجراحين في اليمن الذين أدخلوا تقنيات المناظير فائقة الدقة (Arthroscopy 4K) والجراحات الميكروسكوبية، مما يقلل من حجم الجروح، يسرع من فترة التعافي، ويقلل من المضاعفات.
- الأمانة الطبية الصارمة: يلتزم الدكتور هطيف بمبدأ "المريض أولاً". لا يتم اتخاذ قرار الجراحة إلا بعد استنفاد كافة سبل العلاج التحفظي، مع تقديم شرح وافٍ وشفاف للمريض حول حالته، نسبة النجاح، والمخاطر المحتملة.

فهم خشونة مفصل الكوع الأولية (Primary Elbow Osteoarthritis)
تؤثر خشونة مفصل الكوع الأولية على حوالي 2% من عموم السكان، وتصيب الرجال بشكل أساسي بنسبة تفوق النساء بكثير، وتظهر عادة بعد سن 45 عامًا. على عكس خشونة الركبة التي ترتبط غالباً بتقدم العمر والوزن الزائد، فإن السبب الدقيق لخشونة الكوع لا يزال مرتبطاً بقوة بـ الإفراط في الاستخدام (Overuse) والضغط الميكانيكي المتكرر على المفصل.
غالبًا ما يبلغ المرضى عن تاريخ طويل من العمل في وظائف أو هوايات تتطلب استخدامًا مكثفًا للطرف العلوي وتحميل أوزان ثقيلة. قد يكون لدى المرضى الأصغر سنًا حالات مسببة مثل التهاب العظم والغضروف السالخ (Osteochondritis Dissecans) أو تعرضوا لإصابات سابقة لم يتم علاجها بشكل صحيح.
كيف تتطور خشونة الكوع ميكانيكياً؟
مع مرور الوقت وسنوات من الإجهاد المتكرر، يمكن أن تتآكل الغضاريف الملساء التي تغطي أسطح المفصل وتعمل كوسادة ممتصة للصدمات. هذا التآكل يؤدي إلى احتكاك العظام ببعضها البعض بشكل مباشر. كرد فعل دفاعي (ولكنه ضار في هذه الحالة)، يقوم الجسم بتكوين نتوءات عظمية (Osteophytes) حول حواف المفصل في محاولة لزيادة مساحة السطح وتقليل الضغط.
هذه النتوءات هي السبب الرئيسي للألم وتحديد الحركة؛ حيث تصطدم ببعضها البعض (Impingement) أو تحتك بالعظام المقابلة عند محاولة تحريك الكوع. كما يمكن أن تنفصل أجزاء صغيرة من هذه النتوءات أو الغضاريف المتآكلة لتتكون "أجسام حرة" (Loose Bodies) تسبح داخل السائل المفصلي، وهي قطع صغيرة يمكن أن تنحشر بين أسطح المفصل مسببة ألماً مفاجئاً حاداً، طقطقة مسموعة، أو قفلاً كاملاً للمفصل (Joint Locking).


التشريح المعقد لمفصل الكوع: لماذا هو مفصل استثنائي؟
قبل الخوض في تفاصيل العلاج الجراحي، من الضروري جداً أن نفهم التركيب التشريحي لمفصل الكوع. الكوع ليس مجرد مفصل بسيط ينثني وينفرد كالمفصلة، بل هو مفصل محوري معقد للغاية يتكون من ثلاث مفاصل مميزة تعمل معًا في تناغم تام داخل كبسولة مفصلية واحدة:
- المفصل الزندي العضدي (Ulnohumeral Joint): هذا هو المفصل الأساسي الذي يسمح بحركتي الثني (Flexion) والمد (Extension). يتكون من التقاء بكرة العضد (Trochlea of the Humerus) مع الشق الزندي الأكبر (Greater Sigmoid Notch of the Ulna). وهو محور اهتمامنا الرئيسي في جراحة أوتبيردج-كاشيواجي، حيث تتكون معظم النتوءات العظمية المعيقة للحركة.
- المفصل الكعبري العضدي (Radiocapitellar Joint): يقع بين رؤيس العضد (Capitellum of the Humerus) ورأس الكعبرة (Radial Head). يساهم في حركتي الثني والمد، والأهم من ذلك، يشارك في حركتي الكب (Pronation) والاستلقاء (Supination) للساعد.
- المفصل الكعبري الزندي القريب (Proximal Radioulnar Joint): يقع بين رأس الكعبرة والشق الكعبري للزند، وهو المسؤول الأساسي عن دوران الساعد (الكب والاستلقاء).
يتكون الجزء البعيد من عظم العضد من لُقمتين: البكرة الإنسية (Medial Trochlea) والرؤيس الوحشي (Lateral Capitellum). فوق هذه الأسطح المفصلية مباشرة، توجد تجاويف هامة جداً:
* الحفرة الإكليلية (Coronoid Fossa): تقع من الأمام، وتستوعب الناتئ الإكليلي (Coronoid Process) لعظمة الزند أثناء الثني الشديد للكوع.
* الحفرة الزجية (Olecranon Fossa): تقع من الخلف، وتستوعب الناتئ الزجي (Olecranon Process) لعظمة الزند أثناء الفرد (المد) الكامل للكوع.
في حالات خشونة الكوع، تمتلئ هذه الحفر بالنتوءات العظمية والأنسجة الليفية، مما يمنع العظام من الدخول في أماكنها الطبيعية، وهذا هو التفسير الميكانيكي لعدم قدرة المريض على فرد أو ثني ذراعه بالكامل.

الهياكل العصبية والأوعية الدموية الهامة (منطقة الخطر)
يحيط بمفصل الكوع شبكة معقدة من الأعصاب والأوعية الدموية التي تمر في مساحات ضيقة جداً، والتي يجب حمايتها بعناية فائقة أثناء أي إجراء جراحي. يؤكد الأستاذ الدكتور محمد هطيف أن الفهم الدقيق ثلاثي الأبعاد لهذه الهياكل هو حجر الزاوية في الجراحة الآمنة والناجحة:
- العصب الزندي (Ulnar Nerve): يُعد هذا العصب أهم ما يثير قلقنا في أي جراحة للكوع. يمر العصب الزندي خلف النتوء الداخلي للكوع (Medial Epicondyle) في نفق ضيق يُعرف بالنفق المرفقي (Cubital Tunnel). في كثير من حالات خشونة الكوع، تضغط النتوءات العظمية على هذا العصب، مما يسبب خدراً وتنويلاً في الإصبع الصغير ونصف الإصبع البنصر، وضعفاً في قبضة اليد.
- العصب الكعبري (Radial Nerve): يمر من الجهة الخارجية للكوع، وهو مسؤول عن رفع الرسغ والأصابع.
- العصب المتوسط (Median Nerve) والشريان العضدي (Brachial Artery): يمران من الجهة الأمامية للكوع، وهما عرضة للإصابة إذا لم يتم التعامل مع الكبسولة الأمامية بحذر شديد.


الأعراض السريرية: متى يجب عليك زيارة الأستاذ الدكتور محمد هطيف؟
لا تظهر أعراض خشونة الكوع فجأة، بل تتطور ببطء على مدار سنوات. يجب عليك حجز موعد في عيادة الدكتور هطيف في صنعاء إذا كنت تعاني من الأعراض التالية:
- ألم ميكانيكي: ألم يزداد مع استخدام الذراع ويقل مع الراحة. غالباً ما يكون الألم في ذروته عند محاولة فرد الكوع بالكامل (مثل محاولة الوصول لشيء بعيد) أو ثنيه بالكامل (مثل محاولة لمس الكتف أو حلاقة الذقن).
- فقدان نطاق الحركة (Stiffness): هذا هو العرض الأكثر شيوعاً. يلاحظ المريض تدريجياً أنه لا يستطيع فرد ذراعه بشكل مستقيم، أو لا يستطيع ثنيها لتناول الطعام بشكل مريح.
- طقطقة أو فرقعة (Crepitus): الإحساس باحتكاك خشن أو سماع صوت طقطقة عند تحريك الكوع، ناتج عن احتكاك العظام العارية أو وجود أجسام حرة.
- قفل المفصل (Locking): توقف مفاجئ ومؤلم لحركة الكوع في منتصف الطريق، ويحدث عندما ينحشر جسم حر (قطعة عظم أو غضروف) بين أسطح المفصل.
- تورم متكرر: تجمع السوائل داخل المفصل (Effusion) نتيجة الالتهاب المستمر.
- أعراض عصبية: خدر، وخز، أو ضعف في اليد (خاصة الإصبعين الصغير والبنصر)، مما يشير إلى انضغاط العصب الزندي بسبب النتوءات العظمية.

التشخيص الشامل والدقيق في عيادة الدكتور هطيف
التشخيص الدقيق هو نصف العلاج. في عيادة الأستاذ الدكتور محمد هطيف، يتم اتباع بروتوكول تشخيصي صارم لتقييم حالة الكوع بدقة متناهية:
- التقييم السريري (Clinical Examination): يبدأ الدكتور هطيف بأخذ تاريخ مرضي مفصل، ويسأل عن طبيعة العمل، الهوايات، والإصابات السابقة. ثم يقوم بفحص الكوع لتحديد نطاق الحركة النشط والسلبي، نقاط الألم، استقرار الأربطة، وفحص وظائف الأعصاب (خاصة العصب الزندي).
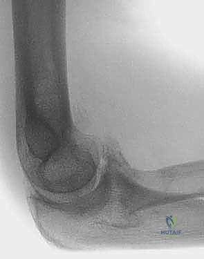
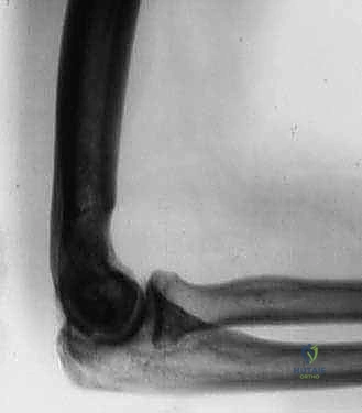
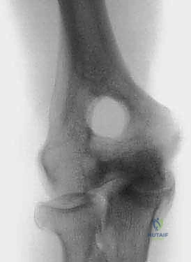
- الأشعة السينية (X-rays): الفحص الأساسي لرؤية العظام. تُظهر الأشعة السينية بوضوح تضيق المسافة المفصلية، وجود النتوءات العظمية (المهماز العظمي) في الحفرة الزجية والإكليلية، والأجسام الحرة الكبيرة.
- الأشعة المقطعية ثلاثية الأبعاد (3D CT Scan): تُعد الأداة الأهم للتخطيط الجراحي لعملية أوتبيردج-كاشيواجي. توفر خريطة دقيقة ثلاثية الأبعاد لحجم وموقع النتوءات العظمية، وتساعد الدكتور هطيف على تحديد كمية العظام التي يجب إزالتها بدقة مليمترية.
- التصوير بالرنين المغناطيسي (MRI): قد يُطلب لتقييم حالة الغضاريف، الأربطة الجانبية، والأوتار المحيطة بالكوع، وللتأكد من عدم وجود أسباب أخرى للألم.


خيارات العلاج: متى نلجأ للجراحة؟
يؤمن الأستاذ الدكتور محمد هطيف إيماناً راسخاً بأن الجراحة يجب أن تكون الخيار الأخير بعد استنفاد كافة سبل العلاج التحفظي. يوضح الجدول التالي الفرق بين مسارات العلاج:
جدول 1: مقارنة بين العلاج التحفظي والعلاج الجراحي لخشونة الكوع
| وجه المقارنة | العلاج التحفظي (اللا جراحي) | العلاج الجراحي (عملية أوتبيردج-كاشيواجي) |
|---|---|---|
| لمن يُنصح به؟ | الحالات الخفيفة إلى المتوسطة، المرضى في بداية ظهور الأعراض. | الحالات المتقدمة، فشل العلاج التحفظي لأكثر من 6 أشهر، فقدان شديد في نطاق الحركة يؤثر على العمل. |
| طبيعة العلاج | أدوية مضادة للالتهابات (NSAIDs)، تعديل نشاط المريض، جبائر ليلية. | تدخل جراحي (بالمنظار أو مفتوح) لإزالة العوائق العظمية الميكانيكية. |
| العلاج الطبيعي | تمارين إطالة لطيفة للحفاظ على الحركة الحالية وتقوية العضلات المحيطة. | برنامج تأهيلي مكثف ومدروس بعد العملية لاستعادة الحركة الكاملة. |
| الحقن الموضعية | حقن الكورتيزون (لتخفيف الالتهاب المؤقت) أو حقن البلازما الغنية بالصفائح (PRP) لتحفيز الالتئام. | لا ينطبق كعلاج أساسي، ولكن قد تستخدم تقنيات مساعدة أثناء التعافي. |
| النتائج المتوقعة | تخفيف الألم مؤقتاً، لا يزيل النتوءات العظمية، قد يستمر تدهور الحركة ببطء. | تحسن جذري ودائم في نطاق الحركة، تخفيف كبير للألم الميكانيكي، إزالة السبب الجذري للاحتكاك. |

جراحة أوتبيردج-كاشيواجي (Outerbridge-Kashiwagi / Ulnohumeral Arthroplasty)
إذا أثبتت الفحوصات أن النتوءات العظمية هي السبب الرئيسي لمعاناتك، وأن العلاج التحفظي لم يعد مجدياً، فإن الأستاذ الدكتور محمد هطيف سيوصي بإجراء جراحة أوتبيردج-كاشيواجي (O-K Procedure).
ما هي هذه الجراحة؟ وكيف تعمل؟
سُميت هذه العملية تيمناً بالجراحين اللذين قاما بتطويرها. تعتمد الفكرة الأساسية لهذه الجراحة العبقرية على مبدأ ميكانيكي بسيط ولكنه فعال للغاية. في الكوع المتيبس بسبب الخشونة، تتكون نتوءات عظمية في الجزء الأمامي (الناتئ الإكليلي والحفرة الإكليلية) والجزء الخلفي (الناتئ الزجي والحفرة الزجية).
بدلاً من إجراء شق جراحي أمامي وشق جراحي خلفي كبيرين للوصول إلى هذه النتوءات، يتم الوصول إلى المفصل من الخلف فقط. يقوم الدكتور هطيف بإزالة النتوءات العظمية الخلفية، ثم يقوم بـ إحداث ثقب (Fenestration) أو نافذة دقيقة في العظم الرقيق الفاصل بين الحفرة الزجية (الخلفية) والحفرة الإكليلية (الأمامية) لعظمة العضد.
هذا الثقب يحقق فوائد مذهلة:
1. يسمح للجراح بالرؤية والوصول إلى النتوءات العظمية الأمامية والأجسام الحرة وإزالتها من خلال هذا الثقب دون الحاجة لفتح الكوع من الأمام.
2. يخلق مساحة إضافية (فراغ) يسمح لطرف عظمة الزند بالدخول فيه أثناء فرد الكوع بالكامل، مما يزيل الاحتكاك ويزيد من نطاق الحركة فوراً.
3. يقلل الضغط داخل المفصل، مما يخفف الألم بشكل ملحوظ.

التطور الجراحي: الجراحة المفتوحة مقابل جراحة المناظير (Arthroscopy)
تاريخياً، كانت هذه العملية تُجرى كجراحة مفتوحة (Open Surgery). ومع ذلك، بفضل التطور التكنولوجي الهائل وخبرة الأستاذ الدكتور محمد هطيف، يتم الآن إجراء هذه العملية في صنعاء باستخدام المنظار الجراحي المتقدم (Elbow Arthroscopy) في معظم الحالات المناسبة.
جدول 2: الجراحة المفتوحة مقابل الجراحة بالمنظار للكوع
| الميزة | الجراحة المفتوحة (Open O-K) | الجراحة بالمنظار (Arthroscopic O-K) |
|---|---|---|
| حجم الشق الجراحي | شق واحد كبير نسبياً (حوالي 5-8 سم) في الجزء الخلفي للكوع. | 3 إلى 4 ثقوب صغيرة جداً (أقل من 1 سم لكل منها). |
| الألم بعد العملية | ألم متوسط إلى شديد في الأيام الأولى. | ألم أقل بكثير، مما يقلل الحاجة للمسكنات القوية. |
| تضرر الأنسجة المحيطة | يتطلب قطع بعض العضلات والأنسجة للوصول للمفصل. | الحفاظ الكامل على العضلات والأربطة المحيطة. |
| الرؤية داخل المفصل | رؤية محدودة بالعين المجردة للمناطق العميقة. | رؤية مكبرة وعالية الدقة (4K) لجميع زوايا المفصل. |
| فترة التعافي والبقاء بالمستشفى | قد يتطلب البقاء يوم أو يومين، |
آلام العظام والمفاصل وتقييد حركتها ليس قدراً محتوماً! التشخيص الدقيق والعلاج المتخصص يمكن أن يعيد لك كامل وظيفتك وحريتك في الحركة. لا تدع الألم يسيطر على حياتك.
للحصول على استشارة دقيقة وخطة علاجية مخصصة لحالتك، تواصل فوراً مع مركز الأستاذ الدكتور محمد هطيف:
الأستاذ الدكتور محمد هطيف - أفضل دكتور عظام في صنعاء، وخبير في جراحات العظام والمفاصل والعمود الفقري.. نلتزم بإعادتك لحياة خالية من الألم وحركة طبيعية.
مواضيع أخرى قد تهمك