تحرير تيبس المرفق بالمنظار: استعادة الحركة والحياة الطبيعية مع الأستاذ الدكتور محمد هطيف

الخلاصة الطبية
تحرير تيبس المرفق بالمنظار هو إجراء جراحي دقيق يهدف إلى استعادة نطاق حركة مفصل المرفق المتيبس، والذي غالبًا ما يكون نتيجة لإصابات أو التهابات. يتضمن العلاج إزالة الأنسجة الندبية والنتوءات العظمية عبر شقوق صغيرة باستخدام المنظار، مما يساعد المرضى على استعادة وظائفهم اليومية وتقليل الألم.
الخلاصة الطبية السريعة: تحرير تيبس المرفق بالمنظار (Arthroscopic Elbow Arthrolysis) هو إجراء جراحي دقيق ومتقدم للغاية يهدف إلى استعادة نطاق حركة مفصل المرفق المتيبس، والذي غالبًا ما يكون نتيجة حتمية لإصابات سابقة، كسور معقدة، أو التهابات مفصلية مزمنة. يتضمن هذا العلاج الجراحي إزالة الأنسجة الندبية المتليفة، تحرير المحفظة المفصلية المنكمشة، واستئصال النتوءات العظمية والأجسام الحرة، وذلك عبر شقوق صغيرة جداً (ثقوب لا تتعدى المليمترات) باستخدام تقنية المنظار عالي الدقة (4K).
هذا النهج الجراحي الحديث والمبتكر يساعد المرضى على استعادة وظائفهم اليومية وتقليل الألم بشكل جذري، مع فترة تعافي أسرع بكثير ومضاعفات أقل مقارنة بالجراحات المفتوحة التقليدية.


مقدمة شاملة: استعادة حرية الحركة في مفصل المرفق وإعادة جودة الحياة
هل تجد صعوبة بالغة في فرد مرفقك بالكامل للوصول إلى الأشياء؟ هل تعجز عن ثنيه إلى مداه الطبيعي لتناول الطعام، شرب الماء، أو تمشيط شعرك؟ هل يؤثر تيبس المرفق على قدرتك على أداء المهام اليومية البسيطة والأساسية، مما يجعلك تعتمد على الآخرين أو تضطر لتبني حركات تعويضية ترهق مفصل الكتف والعمود الفقري؟ إذا كانت إجابتك نعم، فأنت لست وحدك، وأنت الآن تقرأ الدليل الطبي الأصح والأشمل للبحث عن الحل النهائي.
تيبس المرفق (Elbow Stiffness) ليس مجرد عرض طبي عابر يمكن تجاهله؛ إنه حالة طبية مقيدة ومؤلمة يمكن أن تحد بشكل مدمر من جودة حياة الإنسان. مفصل المرفق هو حلقة الوصل الحيوية والديناميكية التي تضع اليد في الفضاء لتتفاعل مع العالم المحيط. عندما يفقد هذا المفصل مرونته، تتأثر استقلالية الإنسان بشكل مباشر وفوري.
لكن الخبر السار والمبشر هو أن الطب الحديث وجراحة العظام لم يقفا مكتوفي الأيدي أمام هذه المشكلة المعقدة. اليوم، هناك حلول جراحية طفيفة التوغل أحدثت ثورة حقيقية في هذا المجال، وعلى رأسها تقنية المناظير المفصلية.

نرحب بكم في هذا الدليل الطبي المرجعي والشامل حول عملية "تحرير تيبس المرفق بالمنظار". إنها تقنية جراحية حديثة، متطورة، وعالية الدقة تهدف إلى استعادة الحركة الوظيفية لمفصل المرفق، وتخفيف المعاناة الكبيرة التي يفرضها هذا التيبس على حياة مرضانا اليومية.

الأستاذ الدكتور محمد هطيف: المرجعية الأولى في جراحة العظام والمناظير في اليمن
عندما يتعلق الأمر بجراحة دقيقة ومعقدة مثل تنظير مفصل المرفق، فإن اختيار الجراح هو العامل الأهم الذي يحدد نجاح العملية. هنا يبرز اسم الأستاذ الدكتور محمد هطيف كأفضل استشاري جراحة العظام والمفاصل في العاصمة صنعاء واليمن بلا منازع.
بصفته أستاذاً أكاديمياً في جامعة صنعاء، يجمع البروفيسور هطيف بين العلم الأكاديمي الحديث والخبرة السريرية الطويلة التي تتجاوز 20 عاماً في غرف العمليات. يتميز الدكتور هطيف بالريادة في استخدام أحدث التقنيات العالمية، مثل:
* الجراحات الميكروسكوبية الدقيقة (Microsurgery).
* مناظير المفاصل بتقنية العرض الفائق (Arthroscopy 4K).
* عمليات استبدال المفاصل الصناعية المعقدة (Arthroplasty).
ما يميز الأستاذ الدكتور محمد هطيف ليس فقط مهارته الجراحية الفذة، بل "الأمانة الطبية" الصارمة التي يتعامل بها مع مرضاه. فهو لا ينصح بالتدخل الجراحي إلا عندما يكون هو الحل الأمثل والوحيد، ويضع مصلحة المريض وسلامته فوق كل اعتبار، مما جعله الملاذ الأول للمرضى الذين يبحثون عن الموثوقية والنتائج المضمونة بإذن الله.


التشريح الوظيفي: لماذا يميل مفصل المرفق إلى التيبس؟
لفهم مشكلة تيبس المرفق، يجب أن نفهم أولاً طبيعة هذا المفصل المعقد. مفصل المرفق ليس مفصلاً بسيطاً، بل هو مفصل مركب يتكون من ثلاثة تمفصلات أساسية داخل محفظة مفصلية واحدة:
1. المفصل العضدي الزندي (Humeroulnar Joint): المسؤول الأساسي عن حركتي الثني (Flexion) والمد (Extension).
2. المفصل العضدي الكعبري (Humeroradial Joint): يساهم في الثني والمد وكذلك في دوران الساعد.
3. المفصل الكعبري الزندي القريب (Proximal Radioulnar Joint): المسؤول عن حركتي الكب (Pronation) والاستلقاء (Supination) للساعد واليد.

السر وراء التيبس:
مفصل المرفق يتميز بتطابق عظمي شديد الإحكام ومحفظة مفصلية (Joint Capsule) حساسة للغاية. أي صدمة، نزيف داخلي، أو التهاب يؤدي بسرعة إلى استجابة تليفية (Fibrotic Response). المحفظة المفصلية تنكمش وتتسمك، وتتكون التصاقات وندبات داخلية تسلب المفصل مرونته. بالإضافة إلى ذلك، فإن قرب الأربطة والعضلات من مركز المفصل يجعل أي تقلص فيها يؤثر مباشرة على المدى الحركي.


الأسباب الجذرية لتيبس مفصل المرفق
تتعدد الأسباب التي تؤدي إلى فقدان المرفق لمداه الحركي الطبيعي، ويمكن تصنيفها إلى أسباب داخلية (داخل المفصل) وأسباب خارجية (خارج المفصل). يقوم الأستاذ الدكتور محمد هطيف بتقييم كل حالة بدقة لتحديد السبب الفعلي، والذي يشمل:
1. الإصابات والكسور (Post-Traumatic Stiffness)
وهو السبب الأكثر شيوعاً. أي كسر حول المرفق (مثل كسور عظمة العضد السفلية، كسور رأس الكعبرة، أو كسور الزج) يمكن أن يؤدي إلى تيبس شديد. يحدث هذا بسبب:
* النزيف داخل المفصل (Hemarthrosis) الذي يتحول إلى نسيج ندبي.
* فترة التثبيت الطويلة بالجبس.
* التعظم غير الطبيعي (Heterotopic Ossification) حيث يتكون عظم جديد داخل الأنسجة الرخوة.

2. الخلع المتكرر أو الحاد (Elbow Dislocation)
خلع المرفق يمزق الأربطة والمحفظة المفصلية. أثناء عملية الشفاء، قد تلتئم هذه الأنسجة بشكل أقصر وأكثر سماكة، مما يحد من الحركة.

3. خشونة المفاصل والتهاب المفاصل التنكسي (Osteoarthritis)
مع التقدم في العمر أو الاستخدام المفرط (كما في حالة الرياضيين أو العمال اليدويين)، يتآكل الغضروف المبطن للمفصل، وتتكون نتوءات عظمية (Osteophytes) تعمل كمصدات ميكانيكية تمنع المرفق من الثني أو المد الكامل.

4. الأمراض الروماتيزمية (Rheumatoid Arthritis)
التهاب المفاصل الروماتويدي يؤدي إلى تدمير تدريجي للغضاريف والأربطة، وتضخم في الغشاء الزليلي (Synovial Hypertrophy)، مما يسبب ألماً شديداً وتيبساً ملحوظاً.


الأعراض والعلامات السريرية: متى يجب أن تستشير الطبيب؟
المرضى الذين يعانون من تيبس المرفق يزورون عيادة الأستاذ الدكتور محمد هطيف وهم يشتكون من مجموعة من الأعراض التي تعيق حياتهم:
- فقدان المدى الحركي (Loss of ROM): عدم القدرة على مد الذراع بالكامل (نقص المد - Extension Deficit) وهو الأكثر إزعاجاً، أو عدم القدرة على ثني الذراع للمس الكتف (نقص الثني - Flexion Deficit).
- الألم الميكانيكي: ألم حاد عند محاولة دفع المفصل إلى نهاية مداه الحركي المتاح.
- ألم مستمر (في حالات الالتهاب): ألم حتى وقت الراحة، خاصة إذا كان السبب روماتيزمياً أو خشونة متقدمة.
- أصوات طقطقة أو احتكاك (Crepitus): تُسمع أو تُحس عند تحريك المرفق، وتدل على وجود خشونة أو أجسام حرة داخل المفصل.
- أعراض عصبية: في بعض الحالات، قد يضغط التليف أو النتوءات العظمية على العصب الزندي (Ulnar Nerve)، مما يسبب تنميلاً أو خدراً في الإصبعين الصغير والبنصر.


جدول مقارنة: العلاج التحفظي مقابل التدخل الجراحي بالمنظار
لتوضيح الخيارات المتاحة للمرضى، أعددنا هذا الجدول الشامل الذي يقارن بين مسارات العلاج المختلفة:
| وجه المقارنة | العلاج التحفظي (العلاج الطبيعي والأدوية) | التدخل الجراحي بالمنظار (مع أ.د. محمد هطيف) |
|---|---|---|
| الحالات المستهدفة | التيبس الخفيف إلى المتوسط، التيبس الحديث (أقل من 6 أشهر)، عدم وجود عوائق عظمية. | التيبس الشديد، التيبس المزمن الذي لم يستجب للعلاج الطبيعي، وجود نتوءات عظمية أو أجسام حرة. |
| آلية العمل | شد الأنسجة الرخوة تدريجياً، تقليل الالتهاب عبر الأدوية والحقن الموضعي. | الإزالة الميكانيكية الدقيقة للندبات، قطع المحفظة المنكمشة، استئصال العظام الزائدة. |
| المدة الزمنية للنتائج | بطيئة جداً، تتطلب أشهراً من الجلسات المؤلمة أحياناً. | نتائج فورية في غرف العمليات، يتبعها تأهيل للحفاظ على المدى المكتسب. |
| نسبة النجاح | متغيرة، قد تفشل إذا كان هناك حاجز عظمي أو تليف شديد. | عالية جداً (تتجاوز 85-90%) في استعادة مدى حركي وظيفي وممتاز. |
| المخاطر | لا توجد مخاطر جراحية، ولكن هناك خطر ضياع الوقت وتفاقم التيبس. | مخاطر جراحية طفيفة جداً (التهاب، إصابة عصبية نادرة) يتم تلافيها بخبرة الجراح. |


التشخيص الدقيق: حجر الأساس لنجاح العلاج
لا يمكن إجراء جراحة ناجحة دون تشخيص دقيق يحدد خريطة الطريق. في عيادة الأستاذ الدكتور محمد هطيف، يتم اتباع بروتوكول تشخيصي صارم:
- الفحص السريري الشامل: قياس زوايا الثني والمد والكب والاستلقاء بدقة باستخدام جهاز قياس الزوايا (Goniometer). فحص الأعصاب والأوعية الدموية.
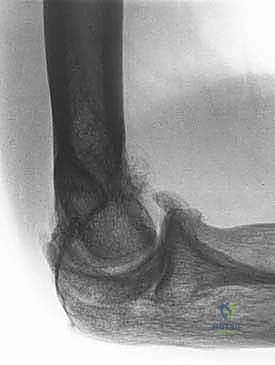
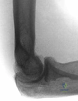
- الأشعة السينية (X-rays): لتقييم شكل العظام، البحث عن الكسور القديمة، وتحديد أماكن النتوءات العظمية والأجسام الحرة الكبيرة.
- الأشعة المقطعية ثلاثية الأبعاد (3D CT Scan): وهي الأهم قبل الجراحة. تعطي الجراح خريطة مجسمة دقيقة لكل نتوء عظمي وكل حاجز ميكانيكي داخل المفصل، مما يسهل استهدافه بالمنظار.
- الرنين المغناطيسي (MRI): لتقييم الأربطة، الغضاريف، وسماكة المحفظة المفصلية، وحالة العصب الزندي.


عملية تحرير تيبس المرفق بالمنظار: ثورة في جراحة العظام
في الماضي، كانت جراحة تحرير المرفق تتطلب شقوقاً جراحية ضخمة (الجراحة المفتوحة)، مما يؤدي إلى تلف كبير في العضلات المحيطة، ألم شديد بعد العملية، وخطر كبير لعودة التيبس بسبب الندبات الجراحية الجديدة.
اليوم، وبفضل تقنية المناظير بدقة 4K التي يعتمدها الأستاذ الدكتور محمد هطيف، تغيرت قواعد اللعبة تماماً.

لماذا يعتبر المنظار الخيار الذهبي؟
- رؤية مكبرة وواضحة: تتيح الكاميرا الدقيقة رؤية زوايا المفصل من الداخل بتكبير عالٍ جداً لا يمكن تحقيقه بالعين المجردة.
- تدخل طفيف التوغل: الشقوق لا تتعدى 5 مليمترات، مما يعني ألماً أقل وندبات شبه معدومة.
- دقة متناهية: القدرة على إزالة الأنسجة المريضة فقط مع الحفاظ على الأنسجة السليمة والأربطة الحيوية.
- تعافي أسرع: يمكن للمريض البدء في تحريك مرفقه في نفس يوم العملية أو اليوم التالي.

خطوات العملية الجراحية خطوة بخطوة مع أ.د. محمد هطيف:
- التخدير والوضعية: تتم العملية غالباً تحت التخدير العام مع إحصار عصبي (Nerve Block) لضمان عدم الشعور بالألم بعد الجراحة. يوضع المريض في وضعية خاصة تسمح للجراح بالوصول إلى المرفق من جميع الجهات.
- تأسيس المداخل (Portals): يقوم الدكتور هطيف بعمل 4 إلى 6 ثقوب صغيرة جداً حول المرفق. هذه الثقوب مدروسة تشريحياً لتجنب إصابة الأعصاب والأوعية الدموية.

- استكشاف المفصل وإزالة الأجسام الحرة: يتم إدخال الكاميرا وضخ سائل معقم لتوسيع المفصل. يتم البحث عن أي شظايا عظمية أو غضروفية سائبة وإزالتها.

- تحرير المحفظة الأمامية (Anterior Capsulectomy): باستخدام أدوات دقيقة (Shaver & Radiofrequency)، يتم قطع وإزالة الجزء الأمامي من المحفظة المفصلية المتليفة التي تمنع المرفق من المد (Extension).

- استئصال النتوءات العظمية (Osteophyte Resection): يتم استخدام مثقاب دقيق (Burr) لبرد وإزالة الزوائد العظمية في الحفرة الإكليلية (Coronoid Fossa) والحفرة الزجية (Olecranon Fossa) لفتح المجال لحركة العظام.

- تحرير المحفظة الخلفية (Posterior Capsulectomy): ينتقل الجراح إلى الجزء الخلفي من المفصل لإزالة التليفات التي تمنع الثني (Flexion).

- الفحص النهائي للمدى الحركي: أثناء وجود المريض تحت التخدير، يقوم الدكتور هطيف بتحريك المرفق للتأكد من استعادة المدى الحركي الكامل والوظيفي بسلاسة ودون مقاومة.

- الإغلاق: يتم إغلاق الثقوب الصغيرة بغرزة واحدة لكل ثقب، وتوضع ضمادة خفيفة.

جدول مقارنة: الجراحة المفتوحة التقليدية مقابل جراحة المنظار 4K
| الميزة | الجراحة المفتوحة التقليدية | جراحة المنظار 4K (د. محمد هطيف) |
|---|---|---|
| حجم الشق الجراحي | شق كبير (10-15 سم) يقطع العضلات. | ثقوب دقيقة (أقل من 0.5 سم). |
| الألم بعد العملية | شديد، يتطلب مسكنات قوية لفترة أطول. | خفيف إلى متوسط، يمكن السيطرة عليه بسهولة. |
| خطر العدوى | أعلى نسبياً بسبب تعرض الأنسجة المفتوحة. | منخفض جداً. |
| الرؤية الجراحية | محدودة وتعتمد على إزاحة الأنسجة بقوة. | رؤية بانورامية مكبرة وعالية الدقة لجميع زوايا المفصل. |
| فترة البقاء في المستشفى | 2-4 أيام. | جراحة اليوم الواحد (خروج في نفس اليوم أو اليوم التالي). |
| بدء العلاج الطبيعي | قد يتأخر بسبب ألم الجرح. | يبدأ فوراً في اليوم التالي للعملية. |

بروتوكول التأهيل الشامل: النصف الآخر من العلاج
يؤكد الأستاذ الدكتور محمد هطيف دائماً لمرضاه أن "الجراحة الناجحة تمثل 50% من العلاج، والـ 50% الأخرى تعتمد على التأهيل والعلاج الطبيعي". بدون التزام صارم ببروتوكول التأهيل، سيعود المرفق للتيبس مرة أخرى.
المرحلة الأولى: الأيام الأولى بعد الجراحة (0 - 7 أيام)
- التحريك الفوري: البدء باستخدام جهاز الحركة السلبية المستمرة (CPM) أو التحريك اليدوي من قبل أخصائي العلاج الطبيعي في اليوم التالي للعملية.
- السيطرة على الألم: استخدام الأدوية الموصوفة والكمادات الباردة، لأن الألم يمنع المريض من تحريك ذراعه.
- الجبائر الديناميكية: قد يتم استخدام جبائر خاصة أثناء النوم للحفاظ على وضعية المد الكامل أو الثني الكامل بالتناوب.

المرحلة الثانية: استعادة القوة والمرونة (أسبوع إلى 6 أسابيع)
- التركيز على تمارين الإطالة النشطة والمدعومة (Active-Assisted ROM).
- تمارين تقوية خفيفة لعضلات البايسبس والترايسبس وعضلات الساعد.
- استخدام تقنيات العلاج ال
آلام العظام والمفاصل وتقييد حركتها ليس قدراً محتوماً! التشخيص الدقيق والعلاج المتخصص يمكن أن يعيد لك كامل وظيفتك وحريتك في الحركة. لا تدع الألم يسيطر على حياتك.
للحصول على استشارة دقيقة وخطة علاجية مخصصة لحالتك، تواصل فوراً مع مركز الأستاذ الدكتور محمد هطيف:
الأستاذ الدكتور محمد هطيف - أفضل دكتور عظام في صنعاء، وخبير في جراحات العظام والمفاصل والعمود الفقري.. نلتزم بإعادتك لحياة خالية من الألم وحركة طبيعية.
مواضيع أخرى قد تهمك