دليلك الشامل لعلاج نقص عظم الفخذ الخلقي: خبرة الأستاذ الدكتور محمد هطيف في صنعاء

الخلاصة الطبية
نقص عظم الفخذ الخلقي هو حالة معقدة تتطلب علاجًا جراحيًا شاملاً لإعادة بناء الطرف وتحسين وظيفته. يقدم الأستاذ الدكتور محمد هطيف في صنعاء أحدث التقنيات الجراحية، بدءًا من التشخيص الدقيق وصولاً إلى الإجراءات التصحيحية مثل قطع عظم ديجا وإصلاح الفخذ الأفحج، لضمان أفضل النتائج للمرضى الصغار.
الخلاصة الطبية السريعة: نقص عظم الفخذ الخلقي (CFD) هو حالة طبية أورثوبيدية شديدة التعقيد تتطلب تدخلاً جراحياً شاملاً ومُخططاً بدقة لإعادة بناء الطرف السفلي وتحسين وظيفته الحركية. يقدم الأستاذ الدكتور محمد هطيف في العاصمة اليمنية صنعاء أحدث التقنيات الجراحية العالمية، بدءًا من التشخيص الإشعاعي الدقيق وصولاً إلى الإجراءات التصحيحية المعقدة مثل قطع عظم ديجا (Dega Osteotomy)، إصلاح الفخذ الأفحج (Coxa Vara Correction)، وعمليات تطويل العظام المتقدمة، لضمان أفضل النتائج الوظيفية والنفسية للمرضى الصغار.


مقدمة شاملة: فهم نقص عظم الفخذ الخلقي ورحلة العلاج المتكاملة
أهلاً بكم أيها الآباء والأمهات الأعزاء، وأيها الزملاء في الحقل الطبي. في هذا الدليل الطبي المرجعي والشامل، سنغوص في أعماق أحد أكثر التحديات تعقيدًا وإثراءً في مجال جراحة عظام الأطفال وتقويم التشوهات: "نقص عظم الفخذ الخلقي" (Congenital Femoral Deficiency - CFD). هذه الحالة لا تقتصر ببساطة على قصر في عظم الفخذ؛ بل هي متلازمة تشوهية شاملة تتطلب إعادة بناء جذرية للطرف لتحقيق أقصى قدر من الوظيفة الطبيعية، ومعالجة التشوهات المعقدة المتداخلة في مفصل الورك، الركبة، ومحور الطرف السفلي بأكمله.

الهدف الأسمى من هذا الدليل هو تزويد عائلات المرضى الصغار بخارطة طريق واضحة، مبنية على أسس علمية دقيقة، لتحقيق أفضل النتائج الوظيفية الممكنة. غالبًا ما يتم تحقيق هذا الهدف من خلال سلسلة من الإجراءات الجراحية الدقيقة والمُخطط لها على مراحل زمنية مدروسة تتوافق مع مراحل نمو الطفل.

إن التعامل مع نقص عظم الفخذ الخلقي يتطلب خبرة تشريحية عميقة، ومهارة جراحية فذة، ودراية واسعة بأدق التفاصيل الميكانيكية الحيوية (Biomechanics). في صنعاء، يقف الأستاذ الدكتور محمد هطيف (أستاذ جراحة العظام والمفاصل بجامعة صنعاء) كمرجع أول وخبير لا يُضاهى في هذا التخصص الدقيق. بخبرة تتجاوز العشرين عاماً، وسجل حافل بالنجاحات، يمتلك الدكتور هطيف القدرة على تغيير حياة هؤلاء الأطفال وإعادة البسمة والأمل لهم ولعائلاتهم.


ما هو نقص عظم الفخذ الخلقي (CFD)؟ تشريحياً وميكانيكياً
نقص عظم الفخذ الخلقي (والذي كان يُعرف سابقاً بنقص تنسج الفخذ البؤري القريب PFFD) هو عيب خلقي نادر يحدث أثناء التطور الجنيني، وتحديداً بين الأسبوعين الرابع والسادس من الحمل. لا يتمثل الخلل في قصر العظم فحسب، بل يشمل تشوهات متعددة الأبعاد:
- تشوه مفصل الورك (Hip Dysplasia): عدم اكتمال نمو الحق (Acetabulum) ورأس عظمة الفخذ.
- الفخذ الأفحج (Coxa Vara): نقصان حاد في الزاوية بين عنق وجسم عظمة الفخذ، مما يؤدي إلى ضعف شديد في العضلات المبعدة للورك وعرج ملحوظ.
- تشوهات الركبة: غياب أو نقص تنسج الأربطة الصليبية (ACL & PCL)، مما يسبب عدم استقرار في مفصل الركبة.
- دوران الطرف (Malrotation): دوران الفخذ للخارج بشكل غير طبيعي.


تصنيف الحالة وأهميته في العلاج
يعتمد الأستاذ الدكتور محمد هطيف على التصنيفات العالمية الحديثة (مثل تصنيف Paley) لتقييم كل حالة بدقة متناهية. ينقسم التصنيف بناءً على سلامة مفصل الورك والركبة، ومقدار القصر المتوقع عند البلوغ. هذا التقييم الإشعاعي والسريري الدقيق هو حجر الأساس الذي تُبنى عليه خطة العلاج طويلة الأمد.



لماذا الأستاذ الدكتور محمد هطيف هو الخيار الأول في اليمن؟ (E-E-A-T)
عندما يتعلق الأمر بتشوه معقد مثل نقص عظم الفخذ الخلقي، فإن اختيار الجراح هو القرار الأهم الذي يتخذه الآباء. يبرز اسم الأستاذ الدكتور محمد هطيف كعلامة فارقة في سماء الطب اليمني والعربي للأسباب التالية:
- المكانة الأكاديمية المرموقة: أستاذ جراحة العظام والمفاصل في جامعة صنعاء، مما يجعله على اطلاع دائم بأحدث الأبحاث والبروتوكولات العالمية.
- خبرة تتجاوز 20 عاماً: تعامل الدكتور هطيف مع أعقد حالات التشوهات الخلقية وإصابات العظام، مما أكسبه حدساً جراحياً ومهارة يدوية استثنائية.
- التكنولوجيا المتقدمة: يعتمد في عملياته على أحدث التقنيات مثل الجراحة المجهرية (Microsurgery)، ومناظير المفاصل بدقة 4K (Arthroscopy 4K)، وتغيير المفاصل المعقدة (Arthroplasty).
- الأمانة الطبية والمصداقية: يُعرف الدكتور هطيف بشفافيته المطلقة مع عائلات المرضى. فهو يقدم شرحاً مفصلاً لنسب النجاح، المخاطر المحتملة، والوقت المتوقع للشفاء، مبتعداً عن الوعود الوهمية وملتزماً بأعلى معايير الأخلاق الطبية.



استراتيجية العلاج: بين التدخل التحفظي والجراحي
علاج نقص عظم الفخذ الخلقي ليس حدثاً لمرة واحدة، بل هو رحلة. تبدأ هذه الرحلة بتقييم دقيق يحدد ما إذا كان الطفل سيستفيد من العلاج التحفظي (التعويضي) أو يحتاج إلى سلسلة من التدخلات الجراحية لإعادة بناء الطرف وتطويله.
جدول (1): مقارنة شاملة بين خيارات العلاج لنقص عظم الفخذ الخلقي
| وجه المقارنة | العلاج التحفظي (التعويضي) | العلاج الجراحي (إعادة البناء والتطويل) |
|---|---|---|
| الحالات المناسبة | القصر الشديد جداً (أكثر من 20-30 سم متوقع)، غياب كامل لمفصل الورك، الحالات غير المستقرة طبياً. | القصر المتوسط إلى الشديد (قابل للتعويض)، وجود مفصل ورك وركبة يمكن إعادة بنائهما. |
| الآلية | استخدام أطراف صناعية مخصصة (Prosthetics) أو أحذية تعويضية عالية. قد يشمل بتر جزئي للقدم لتسهيل تركيب الطرف. | عمليات تصحيح التشوهات (الورك والركبة) متبوعة بجلسات تطويل العظام على مراحل. |
| المزايا | تجنب العمليات الجراحية المتعددة، تأهيل أسرع نسبياً، تكلفة مبدئية أقل. | الاعتماد على طرف الطفل الطبيعي، مظهر جمالي أفضل، تحسين الميكانيكا الحيوية للجسم. |
| العيوب والتحديات | الحاجة لتغيير الطرف الصناعي باستمرار مع نمو الطفل، تأثير نفسي على الطفل، قيود في بعض الأنشطة الرياضية. | رحلة علاج طويلة تستغرق سنوات، تتطلب التزاماً شديداً من الأهل ببرنامج التطويل والعلاج الطبيعي، مخاطر جراحية. |
| النتيجة النهائية | المشي باستخدام جهاز تعويضي مدى الحياة. | المشي على قدمين متساويتين (أو متقاربتين جداً) بوظيفة شبه طبيعية. |



التفاصيل الجراحية الدقيقة: كيف يعيد الدكتور هطيف بناء الطرف؟
إذا كان القرار هو إعادة البناء الجراحي، فإن الأستاذ الدكتور محمد هطيف يتبع بروتوكولاً جراحياً متسلسلاً يُعرف عالمياً بقدرته على تحقيق نتائج مذهلة. تتضمن هذه السلسلة التدخلات التالية:
1. إجراء "السوبر هيب" (Superhip Procedure) وإصلاح الفخذ الأفحج
هذه هي الخطوة التأسيسية الأهم. لا يمكن تطويل عظمة الفخذ إذا كان مفصل الورك غير مستقر، وإلا سيؤدي التطويل إلى خلع المفصل.
* إصلاح الفخذ الأفحج (Coxa Vara Correction): يقوم الدكتور هطيف بقطع عظمي دقيق في أعلى الفخذ لتعديل الزاوية بين العنق والجسم، وتثبيتها بشرائح ومسامير خاصة بالأطفال. هذا يعيد الشد الطبيعي للعضلات المبعدة ويقضي على العرج.
* تحرير الأنسجة الرخوة: يتم إطالة الأوتار والعضلات المنكمشة التي تعيق حركة المفصل.



2. قطع عظم ديجا (Dega Osteotomy)
في الحالات التي يكون فيها الحق (تويج الحوض) ضحلاً ولا يغطي رأس الفخذ بشكل كافٍ (Hip Dysplasia)، يجري الدكتور هطيف عملية "ديجا". يتم فيها عمل شق في عظام الحوض وثنيه للأسفل لتكوين سقف متين يغطي رأس الفخذ، ثم يتم وضع طعم عظمي لتثبيت الوضع الجديد. هذا الإجراء ضروري لمنع خلع الورك أثناء عملية التطويل اللاحقة.



3. عمليات تطويل العظام المتقدمة (Bone Lengthening)
بعد التأكد من استقرار مفصل الورك والركبة، تبدأ مرحلة التطويل. يستخدم الدكتور هطيف أحدث التقنيات العالمية في صنعاء:
* المثبت الخارجي (Ilizarov / TSF): جهاز حلقي يثبت حول الساق، يتم من خلاله إجراء قطع عظمي دقيق (Corticotomy). يقوم الأهل بلف صواميل الجهاز يومياً بمقدار 1 ملم، مما يحفز الجسم على بناء عظم جديد في الفجوة (Distraction Osteogenesis).
* المسامير النخاعية المغناطيسية (Magnetic Internal Nails): في حالات معينة للأطفال الأكبر سناً، يمكن استخدام مسامير تزرع داخل العظم وتستطيل عن بعد باستخدام جهاز مغناطيسي خارجي، مما يقلل من خطر العدوى ويوفر راحة أكبر للمريض.
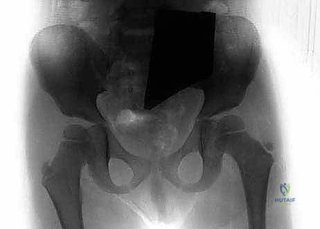
معرض الصور السريرية لمراحل التثبيت والتطويل:






جدول (2): مراحل العلاج الجراحي والتأهيلي لنقص عظم الفخذ الخلقي
| المرحلة | العمر التقريبي | الإجراء الطبي / الجراحي | الهدف الرئيسي |
|---|---|---|---|
| المرحلة الأولى | الولادة - 18 شهراً | تقييم سريري وإشعاعي شامل، البدء باستخدام أحذية تعويضية مؤقتة. | التشخيص الدقيق، مساعدة الطفل على المشي المبكر، وضع خطة العلاج. |
| المرحلة الثانية | 1.5 - 3 سنوات | جراحة "السوبر هيب"، قطع عظم الحوض (Dega)، إصلاح الفخذ الأفحج، وتصحيح تشوهات الركبة. | تثبيت مفاصل الورك والركبة لتتحمل قوى الشد أثناء التطويل المستقبلي. |
| المرحلة الثالثة | 4 - 6 سنوات | الجلسة الأولى لتطويل عظمة الفخذ (عادة من 5 إلى 8 سم). | تقليل الفارق في الطول، تحسين المشية، البدء في العلاج الطبيعي المكثف. |
| المرحلة الرابعة | 8 - 12 سنة | الجلسة الثانية للتطويل (الفخذ و/أو القصبة)، تصحيح أي انحرافات محورية جديدة. | مواكبة نمو الطفل السريع، الحفاظ على استقرار المفاصل. |
| المرحلة الخامسة | 14 - 16 سنة | الجلسة النهائية للتطويل (غالباً باستخدام مسامير داخلية إن أمكن)، إيقاف نمو الطرف السليم جزئياً (Epiphysiodesis) إذا لزم الأمر. | الوصول إلى التساوي التام في طول الطرفين عند البلوغ واكتمال النمو. |




برنامج التأهيل والعلاج الطبيعي: النصف الآخر من العلاج
الجراحة الناجحة هي مجرد البداية. يؤكد الأستاذ الدكتور محمد هطيف دائماً أن 50% من نجاح عمليات تطويل وإعادة بناء العظام يعتمد بشكل مباشر على العلاج الطبيعي المكثف والمستمر.
أثناء فترة التطويل، تتعرض العضلات، الأوتار، والأعصاب لشد مستمر. بدون علاج طبيعي يومي، يمكن أن يحدث تيبس شديد في المفاصل (خاصة الركبة والورك) أو انخلاع في المفصل. يتضمن البرنامج التأهيلي:
* تمارين الإطالة (Stretching): للحفاظ على مرونة العضلات ومنع التقلصات.
* تقوية العضلات: لضمان قدرة الطفل على تحمل وزن جسمه والمشي بشكل صحيح.
* العلاج المائي (Hydrotherapy): لتسهيل الحركة وتقليل الألم أثناء التمارين.
* الدعم النفسي: رحلة العلاج طويلة وشاقة على الطفل، لذا فإن الدعم النفسي والتشجيع المستمر من الأسرة والفريق الطبي هو عامل حاسم.





قصص نجاح ملهمة من عيادة الدكتور هطيف في صنعاء
تحت إشراف الأستاذ الدكتور محمد هطيف، شهدت العاصمة صنعاء العديد من قصص النجاح المبهرة لأطفال وُلدوا بنقص عظم الفخذ الخلقي، وكانوا يواجهون مستقبلاً من الإعاقة الحركية، ليتحولوا اليوم إلى أطفال يمارسون حياتهم الطبيعية.
إحدى الحالات كانت لطفل يبلغ من العمر 4 سنوات، وُلد بفارق طول يتجاوز 7 سم مع عدم استقرار في مفصل الورك (Coxa Vara). بعد تقييم دقيق، أجرى الدكتور هطيف جراحة لإصلاح زاوية الفخذ وتثبيت الحوض. وبعد عام، خضع الطفل لعملية تطويل باستخدام جهاز إليزاروف. بفضل التزام الأهل بخطة العلاج الطبيعي والمتابعة الدورية في صنعاء، تمكن الطفل من المشي على قدمين متساويتين، وتخلص من العرج تماماً، وهو الآن يمارس رياضة كرة القدم مع أقرانه.
هذه النتائج ليست صدفة، بل هي ثمرة التخطيط العلمي الدقيق، المهارة الجراحية العالية، والأمانة الطبية التي يضعها الدكتور هطيف في كل حالة يشرف عليها.
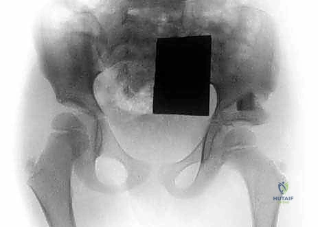
معرض إضافي لصور الأشعة والمتابعة الدقيقة للحالات:











الأسئلة الشائعة (FAQ) حول علاج نقص عظم الفخذ الخلقي
يحرص الأستاذ الدكتور محمد هطيف دائماً على الإجابة على كافة تساؤلات الآباء بشفافية تامة. إليكم إجابات شاملة لأكثر الأسئلة شيوعاً:
1. متى يجب أن أستشير طبيب العظام إذا لاحظت قصراً في ساق طفلي؟
التشخيص المبكر هو مفتاح النجاح. يجب استشارة طبيب عظام أطفال متخصص فور ملاحظة أي عدم تناسق في طول الأطراف عند الولادة أو في الأشهر الأولى. التقييم المبكر يسمح بوضع خطة علاجية استباقية.
2. هل عملية تطويل العظام مؤلمة للطفل؟
العملية الجراحية نفسها تتم تحت التخدير العام. أثناء فترة التطويل (لف الصواميل يومياً)، قد يشعر الطفل بشد أو انزعاج عضلي، ولكن الألم الشديد غير معتاد إذا تم الالتزام ببرنامج العلاج الطبيعي. يصف الدكتور هطيف مسكنات مناسبة للسيطرة على أي ألم.
3. كم يستغرق تطويل العظم بمقدار 5 سم؟
تتم استطالة العظم بمعدل 1 ملم يومياً (حوالي 1 سم كل 10 أيام). لذا، لتطويل 5 سم، يستغرق الأمر حوالي 50 يوماً من "مرحلة السحب". بعدها تأتي "مرحلة التصلب" (Consolidation) حيث يُترك الجهاز ليقوى العظم الجديد، وتستغرق هذه المرحلة ضعف وقت السحب تقريباً (حوالي 100 يوم إضافية). إجمالاً، قد يستغرق الأمر من 5 إلى 6 أشهر.
4. هل يمكن علاج جميع حالات نقص عظم الفخذ الخلقي بالتطويل؟
لا. الحالات الشديدة جداً التي يغيب فيها مفصل الورك تماماً، أو يكون القصر المتوقع كبيراً جداً (أكثر من 20 سم)، قد يكون الخيار الأفضل لها هو الجراحات





آلام الورك وتقييد حركته ليس قدراً محتوماً! التشخيص الدقيق والعلاج المتخصص يمكن أن يعيد لك كامل وظيفتك وحريتك في الحركة. لا تدع الألم يسيطر على حياتك.
للحصول على استشارة دقيقة وخطة علاجية مخصصة لحالتك، تواصل فوراً مع مركز الأستاذ الدكتور محمد هطيف:
الأستاذ الدكتور محمد هطيف - أفضل دكتور عظام في صنعاء، وخبير في جراحات استبدال مفصل الورك.. نلتزم بإعادتك لحياة خالية من الألم وورك قوي ووظيفي.
مواضيع أخرى قد تهمك