التخلص من ألم وتر أخيل الارتكازي: دليل شامل للعلاج الجراحي وغير الجراحي

الخلاصة الطبية
اعتلال وتر أخيل الارتكازي هو حالة مؤلمة تُصيب الكعب، وتُعالج بفعالية عبر تعديل الأنشطة والعلاج الطبيعي. في الحالات المتقدمة، يُعد التنضير الجراحي واستئصال النتوء العظمي وإعادة تثبيت الوتر الحل الأمثل لاستعادة الوظيفة والتخلص من الألم بشكل دائم.
الخلاصة الطبية السريعة: اعتلال وتر أخيل الارتكازي (Insertional Achilles Tendinopathy) هو حالة طبية ميكانيكية وتنكسية مؤلمة ومعقدة تُصيب نقطة اتصال الوتر بعظم الكعب الخلفي. تُعالج هذه الحالة بفعالية في مراحلها الأولى عبر تعديل الأنشطة، العلاج الطبيعي المتخصص، وتقنية الموجات التصادمية. أما في الحالات المتقدمة والمزمنة التي تعيق الحركة، يُعد التنضير الجراحي الدقيق، استئصال النتوء العظمي (ما يُعرف بتشوه هاغلوند)، وإعادة تثبيت الوتر بأحدث التقنيات الطبية (الخطاطيف الجراحية) هو الحل الأمثل لاستعادة الوظيفة الحركية والتخلص من الألم بشكل نهائي.


مقدمة شاملة: فهم أبعاد اعتلال وتر أخيل الارتكازي
أهلاً بكم في هذا الدليل الطبي الموسع والشامل حول اعتلال وتر أخيل الارتكازي، وهي واحدة من أكثر الحالات شيوعاً في عيادات جراحة العظام والقدم والكاحل، ولكنها في الوقت ذاته غالبًا ما تكون شديدة الإيلام ومُعيقة لتفاصيل الحياة اليومية البسيطة مثل المشي، صعود السلالم، أو حتى الوقوف لفترات طويلة. لا يقتصر الأمر على مجرد "ألم عابر في الكعب الخلفي"، بل هو تفاعل ميكانيكي وبيولوجي معقد يتضمن تغيرات تنكسية (تآكل) في ألياف الوتر، ضغطاً ميكانيكياً مستمراً من نتوء عظمي بارز، والتهاباً مزمناً في الأكياس الزلالية المحيطة بالوتر.

هذا الدليل مُصمم خصيصًا ليأخذ بيدك خطوة بخطوة، لمساعدتك على فهم هذه الحالة بعمق غير مسبوق، بدءًا من أسبابها الخفية وأعراضها السريرية، وصولاً إلى أحدث خيارات العلاج المتاحة عالمياً. ويأتي هذا الدليل برعاية وإشراف الأستاذ الدكتور محمد هطيف، أستاذ جراحة العظام والمفاصل بجامعة صنعاء، والخبير الأول في اليمن في جراحات العظام الدقيقة والمناظير، والذي يمتلك خبرة تتجاوز العشرين عاماً في تقديم الرعاية الطبية بأعلى معايير الأمانة المهنية والتكنولوجيا المتقدمة.


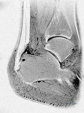
التشريح الحيوي: ماذا يحدث داخل الكعب؟
لفهم المشكلة، يجب أن نفهم التركيب التشريحي المذهل لهذه المنطقة. وتر أخيل هو أقوى وأكبر وتر في جسم الإنسان، يربط عضلات الساق الخلفية (السمانة) بعظم الكعب (الْعَقِب).

- نقطة الارتكاز (Insertion): هي النقطة التي يندمج فيها الوتر مع عظم الكعب. في حالة الاعتلال الارتكازي، يحدث التلف في هذه النقطة بالتحديد (في آخر 2 سم من الوتر).
- تشوه هاغلوند (Haglund's Deformity): في كثير من المرضى، ينمو نتوء عظمي بارز في الجزء الخلفي العلوي من عظم الكعب. هذا النتوء يحتك باستمرار بالوتر والأكياس الزلالية مع كل خطوة.
- الجراب الزلالي (Bursa): أكياس صغيرة ممتلئة بالسائل تعمل كوسائد لتقليل الاحتكاك بين العظم والوتر. عند التهابها، تُسبب ألماً مبرحاً يُعرف بالتهاب الجراب (Bursitis).


الأسباب العميقة وعوامل الخطر المؤدية للمرض
الاعتلال الارتكازي لوتر أخيل لا يحدث بين عشية وضحاها، بل هو نتيجة تراكمية لعدة عوامل ميكانيكية وبيولوجية:
- الإجهاد المتكرر (Overuse): الأنشطة التي تتطلب الجري المتكرر، القفز، أو المشي لمسافات طويلة تضع ضغطاً هائلاً على الوتر يتجاوز قدرته على الاستشفاء.
- الميكانيكا الحيوية الخاطئة: مثل تسطح القدم (الفلات فوت) أو تقوس القدم الشديد، مما يغير زاوية شد الوتر على الكعب.
- قصر عضلات الساق: الشد المزمن في عضلات السمانة يزيد من قوة السحب المستمرة على نقطة ارتكاز الوتر.
- الأحذية غير المناسبة: ارتداء أحذية ذات كعب صلب من الخلف يضغط مباشرة على منطقة ارتكاز الوتر، مما يفاقم الاحتكاك (خاصة مع وجود تشوه هاغلوند).
- العمر والتنكس البيولوجي: مع التقدم في العمر (خاصة بعد سن الأربعين)، تقل التروية الدموية للوتر، وتفقد ألياف الكولاجين مرونتها، مما يجعله عرضة للتمزقات الدقيقة (Micro-tears) والتكلس العظمي داخل الوتر.


الأعراض السريرية: كيف تعرف أنك مصاب؟
تتدرج الأعراض من إزعاج بسيط إلى ألم معيق للحركة. إذا كنت تعاني من هذه الأعراض، فمن الضروري استشارة طبيب خبير مثل الأستاذ الدكتور محمد هطيف لتقييم الحالة:
- ألم الصباح الباكر: ألم شديد وتيبس في الكعب عند اتخاذ الخطوات الأولى في الصباح، يقل تدريجياً مع الحركة.
- ألم عند اللمس: ألم حاد عند الضغط على الجزء الخلفي من الكعب.
- تورم واحمرار: انتفاخ ملحوظ ودفء في المنطقة الخلفية للكعب، خاصة بعد المجهود.
- بروز عظمي مرئي: ظهور كتلة صلبة أو نتوء في مؤخرة الحذاء (تشوه هاغلوند).
- ألم يتفاقم مع الأنشطة: خاصة عند صعود السلالم أو الجري على مرتفعات.

جدول 1: مقارنة بين اعتلال وتر أخيل الارتكازي واللا-ارتكازي
لفهم دقيق، يجب التفريق بين نوعي اعتلال وتر أخيل، حيث تختلف طرق العلاج بشكل جذري:
| وجه المقارنة | اعتلال وتر أخيل الارتكازي (Insertional) | اعتلال وتر أخيل اللا-ارتكازي (Non-Insertional) |
|---|---|---|
| موقع الألم | عند نقطة اتصال الوتر بعظم الكعب تماماً | في منتصف الوتر (حوالي 2 إلى 6 سم فوق الكعب) |
| الفئة الأكثر إصابة | كبار السن، الأشخاص غير النشطين، والرياضيين | غالباً الرياضيين والشباب النشطين |
| وجود نتوء عظمي (هاغلوند) | شائع جداً ومسبب رئيسي | نادر جداً |
| التكلسات العظمية داخل الوتر | شائعة وتظهر بوضوح في الأشعة | نادرة |
| استجابة العلاج التحفظي | أصعب وتستغرق وقتاً أطول، وغالباً تحتاج تدخل | أسرع وتستجيب للعلاج الطبيعي بشكل أفضل |
| التعقيد الجراحي | معقد (يتطلب إزالة عظم، تنظيف وتر، وإعادة تثبيت) | أقل تعقيداً (تنظيف الأنسجة التالفة فقط غالباً) |


التشخيص الدقيق: الأساس لنجاح العلاج
يعتمد الأستاذ الدكتور محمد هطيف في عيادته في صنعاء على منهجية تشخيصية دقيقة لا تترك مجالاً للخطأ، وتتضمن:
- الفحص السريري الشامل: تقييم نطاق الحركة، تحديد نقاط الألم الدقيقة، وفحص قوة العضلات.
- الأشعة السينية (X-rays): ضرورية لرؤية تكلسات الوتر، وحجم النتوء العظمي (تشوه هاغلوند)، وزاوية عظم الكعب.
- التصوير بالرنين المغناطيسي (MRI): هو المعيار الذهبي لتقييم مدى تلف ألياف الوتر، حجم التمزقات الداخلية، ودرجة التهاب الجراب الزلالي. يساعد الرنين المغناطيسي الجراح في التخطيط المسبق للعملية بدقة.



الخيارات العلاجية: من التحفظي إلى الجراحي
يؤمن الأستاذ الدكتور محمد هطيف بمبدأ "الأمانة الطبية أولاً"، حيث لا يتم اللجوء للتدخل الجراحي إلا بعد استنفاد كافة سبل العلاج التحفظي (غير الجراحي) لمدة تتراوح بين 3 إلى 6 أشهر دون تحسن ملحوظ.
أولاً: العلاج التحفظي (غير الجراحي)
يهدف العلاج التحفظي إلى تقليل الالتهاب، تخفيف الضغط الميكانيكي، وتحفيز الاستشفاء الذاتي للوتر:
- تعديل الأنشطة والراحة: التوقف عن الأنشطة عالية التأثير (مثل الجري) واستبدالها بالسباحة أو ركوب الدراجة.
- تعديل الأحذية (Footwear Modification): استخدام وسائد لرفع الكعب (Heel Lifts) لتقليل الشد على الوتر، وارتداء أحذية مفتوحة من الخلف لتخفيف الضغط على تشوه هاغلوند.
- الأدوية: مضادات الالتهاب غير الستيرويدية (NSAIDs) لتخفيف الألم الموضعي. (ملاحظة: يُمنع تماماً حقن الكورتيزون في وتر أخيل لأنه يزيد من خطر قطع الوتر بشكل كبير).
- العلاج الطبيعي المتخصص: التركيز على تمارين الإطالة اللامركزية (Eccentric Exercises) لتقوية الوتر وإعادة ترتيب ألياف الكولاجين.
- العلاج بالموجات التصادمية (ESWT): تقنية حديثة وفعالة جداً، تعمل على تسليط موجات صوتية عالية الطاقة على الوتر لتحفيز تكوين أوعية دموية جديدة وتسريع الشفاء.


ثانياً: التدخل الجراحي المتقدم (الحل النهائي)
عندما تفشل العلاجات التحفظية، ويصبح الألم معيقاً للحياة اليومية، يُصبح التدخل الجراحي هو الحل الجذري. وهنا تتجلى مهارة وخبرة الجراح. تُعد جراحة اعتلال وتر أخيل الارتكازي من الجراحات الدقيقة التي تتطلب تقنيات متقدمة وفهماً بيوميكانيكياً عميقاً.

خطوات العملية الجراحية بالتفصيل:
في الحالات التي تتطلب تدخلاً جراحياً، يهدف العلاج إلى تحقيق ثلاثة أهداف رئيسية: إزالة الضغط العظمي، تنظيف الوتر، وإعادة التثبيت القوي.
- الشق الجراحي: يتم عمل شق طولي دقيق (غالباً في المنتصف أو من الجانب) للوصول إلى منطقة ارتكاز الوتر وعظم الكعب.

- استئصال الجراب الملتهب: يتم إزالة الأكياس الزلالية الملتهبة (Bursa) التي تسبب جزءاً كبيراً من الألم.

- فصل الوتر (الجزئي أو الكلي): للوصول إلى النتوء العظمي والتكلسات، يضطر الجراح لفصل جزء من وتر أخيل من مكان ارتكازه.

- استئصال تشوه هاغلوند والتكلسات: باستخدام أدوات جراحية دقيقة، يتم قص وإزالة النتوء العظمي البارز بالكامل، وتسوية سطح عظم الكعب لضمان عدم احتكاكه بالوتر مستقبلاً. كما يتم إزالة أي تكلسات عظمية نامية داخل ألياف الوتر نفسها.


- التنضير (Debridement): يقوم الجراح بقص وإزالة كافة الأنسجة الميتة، المتهالكة، والتنكسية من الوتر، مع الحفاظ على الألياف السليمة والقوية.

- إعادة التثبيت باستخدام الخطاطيف (Suture Anchors): هذه هي المرحلة الأهم والتي تعتمد على التكنولوجيا الحديثة. يتم زرع خطاطيف دقيقة (مصنوعة من التيتانيوم أو مواد قابلة للامتصاص) داخل عظم الك




















آلام العظام والمفاصل وتقييد حركتها ليس قدراً محتوماً! التشخيص الدقيق والعلاج المتخصص يمكن أن يعيد لك كامل وظيفتك وحريتك في الحركة. لا تدع الألم يسيطر على حياتك.
للحصول على استشارة دقيقة وخطة علاجية مخصصة لحالتك، تواصل فوراً مع مركز الأستاذ الدكتور محمد هطيف:
الأستاذ الدكتور محمد هطيف - أفضل دكتور عظام في صنعاء، وخبير في جراحات العظام والمفاصل والعمود الفقري.. نلتزم بإعادتك لحياة خالية من الألم وحركة طبيعية.
مواضيع أخرى قد تهمك