ترميم مفصل الكاحل الشامل بالطعوم العظمية الغضروفية: حل متقدم لخشونة الكاحل

الخلاصة الطبية
ترميم مفصل الكاحل بالطعوم العظمية الغضروفية هو إجراء جراحي متقدم يستعيد سطح المفصل المتضرر ويحافظ على حركة الكاحل، خاصة للمرضى الأصغر سنًا والنشطين المصابين بخشونة الكاحل المتقدمة. يهدف العلاج إلى تخفيف الألم واستعادة الوظيفة.
الخلاصة الطبية السريعة: ترميم مفصل الكاحل بالطعوم العظمية الغضروفية (Osteochondral Allograft Transplantation) هو إجراء جراحي بيولوجي متقدم يهدف إلى استعادة السطح المفصلي المتضرر والحفاظ على الحركة الطبيعية للكاحل. يُعد هذا الإجراء الحل الذهبي للمرضى الأصغر سنًا والنشطين الذين يعانون من خشونة الكاحل المتقدمة وتآكل الغضاريف، حيث يجنبهم اللجوء إلى عمليات دمج المفصل (التي تلغي الحركة) أو استبدال المفصل بمفصل صناعي (والذي قد لا يدوم طويلاً لدى الشباب). يهدف العلاج إلى تخفيف الألم الجذري، استعادة الوظيفة الميكانيكية، وإعادة المريض إلى ممارسة حياته الطبيعية والرياضية.


مقدمة شاملة: ثورة في علاج خشونة مفصل الكاحل
مرحباً بكم في الدليل الطبي الشامل والأكثر تفصيلاً في العالم العربي حول واحدة من أحدث التقنيات الجراحية وأكثرها تعقيداً وفعالية في علاج خشونة مفصل الكاحل المتقدمة: ترميم مفصل الكاحل الشامل بالطعوم العظمية الغضروفية. هذا الإجراء المبتكر لا يمثل مجرد عملية جراحية، بل هو أمل جديد وفرصة ثانية للمرضى الذين عانوا لسنوات من آلام مزمنة وتقييد شديد في حركة الكاحل، وخصوصاً فئة الشباب والرياضيين والأشخاص ذوي نمط الحياة النشط.
في الماضي القريب، كان المريض الذي يعاني من تآكل شديد في غضروف الكاحل يواجه خيارات محدودة وقاسية: إما التعايش مع الألم المبرح الذي يعيق أبسط حركات المشي، أو الخضوع لعملية "سمكرة" أو دمج المفصل (Arthrodesis) التي تقضي على الألم ولكنها تلغي حركة الكاحل تماماً، أو اللجوء إلى زراعة مفصل كاحل صناعي، وهو خيار ممتاز لكبار السن ولكنه يحمل معدلات فشل عالية إذا تم إجراؤه لمرضى في الثلاثينات أو الأربعينات من العمر بسبب زيادة النشاط الحركي.
هنا يأتي دور زراعة الطعوم العظمية الغضروفية الطازجة كحل بيولوجي سحري يعيد بناء المفصل بأنسجة حية طبيعية.

الأستاذ الدكتور محمد هطيف: المرجعية الأولى لجراحة العظام والمفاصل في اليمن
عندما يتعلق الأمر بالعمليات الجراحية الدقيقة والمعقدة مثل ترميم مفصل الكاحل بالطعوم البيولوجية، فإن اختيار الجراح هو العامل الأهم لضمان نجاح العملية. يبرز اسم الأستاذ الدكتور محمد هطيف كأفضل جراح عظام ومفاصل في صنعاء، اليمن، والمرجعية الطبية الموثوقة محلياً وإقليمياً.
- المكانة الأكاديمية والخبرة: أستاذ جراحة العظام والمفاصل بجامعة صنعاء، بخبرة سريرية وجراحية تتجاوز 20 عاماً في التعامل مع أعقد حالات العظام.
- التقنيات الحديثة: رائد في استخدام أحدث التقنيات الجراحية العالمية، بما في ذلك الجراحة الميكروسكوبية الدقيقة (Microsurgery)، ومناظير المفاصل بتقنية 4K (Arthroscopy 4K)، وجراحات استبدال وترميم المفاصل (Arthroplasty).
- الأمانة الطبية الصارمة: يُعرف أ.د. محمد هطيف بصدقه وشفافيته المطلقة مع المرضى. لا يتم اتخاذ قرار الجراحة إلا إذا كان هو الخيار الأمثل والوحيد لمصلحة المريض، مع شرح كافة التفاصيل والبدائل المتاحة بمنتهى الأمانة العلمية.

التشريح الدقيق لمفصل الكاحل وفهم المشكلة
مفصل الكاحل (Tibiotalar Joint) هو مفصل معقد يتحمل وزناً هائلاً أثناء المشي والركض والقفز. يتكون من التقاء ثلاثة عظام رئيسية:
1. عظمة الظنبوب (Tibia): عظمة الساق الكبرى.
2. عظمة الشظية (Fibula): عظمة الساق الصغرى.
3. عظمة الكاحل (Talus): العظمة التي ترتكز عليها الساق وتتصل بالقدم.
تُغطى نهايات هذه العظام بـ الغضروف الزجاجي (Hyaline Cartilage)، وهو نسيج أملس ومرن يمنع احتكاك العظام ببعضها ويعمل كممتص للصدمات. عندما يتآكل هذا الغضروف (بسبب إصابة أو التهاب)، تبدأ العظام بالاحتكاك المباشر، مما يؤدي إلى ما يُعرف بـ "خشونة الكاحل" (Ankle Osteoarthritis).

الأسباب العميقة والأعراض السريرية لخشونة الكاحل
على عكس خشونة الركبة أو الورك التي تحدث غالباً بسبب التقدم في العمر، فإن أكثر من 70% من حالات خشونة الكاحل تحدث كنتيجة لـ إصابات سابقة (Post-traumatic Arthritis).
الأسباب الرئيسية:
- الكسور السابقة: كسور الكاحل التي لم تلتئم بشكل مثالي أو أضرت بسطح الغضروف.
- الالتواءات المتكررة: التواء الكاحل المتكرر يؤدي إلى عدم استقرار الأربطة، مما يغير من ميكانيكا المفصل ويزيد الضغط على الغضروف.
- التهابات المفاصل: مثل الروماتويد أو النقرس.
- نقص التروية الدموية (Avascular Necrosis): موت جزء من عظمة الكاحل (الـ Talus) بسبب انقطاع الدم عنها، مما يؤدي إلى انهيار الغضروف الذي يعلوها.
الأعراض التي تستدعي التدخل:
- ألم عميق ومزمن: ألم يزداد مع الحركة والمشي، ويقل مع الراحة، ولكنه قد يوقظ المريض من النوم في المراحل المتقدمة.
- تيبس المفصل: صعوبة في تحريك الكاحل، خاصة في الصباح الباكر.
- تورم والتهاب مستمر: انتفاخ حول المفصل لا يستجيب للأدوية التقليدية.
- أصوات طقطقة وفرقعة: ناتجة عن احتكاك العظام العارية ببعضها.
- تغير في طريقة المشي (العرج): لتجنب تحميل الوزن على القدم المصابة.

الخيارات العلاجية المتاحة لخشونة الكاحل المتقدمة
لتقديم صورة واضحة، أعددنا هذا الجدول المقارن الذي يشرح الخيارات الجراحية الرئيسية، ليوضح لماذا يُعد ترميم الكاحل بالطعوم البيولوجية هو الخيار الأفضل للشباب.
جدول (1): مقارنة شاملة بين الخيارات الجراحية لخشونة الكاحل
| وجه المقارنة | دمج مفصل الكاحل (Arthrodesis) | استبدال الكاحل الصناعي (Arthroplasty) | ترميم الكاحل بالطعوم الغضروفية (Allograft) |
|---|---|---|---|
| الفئة المستهدفة المثلى | المرضى ذوي المهن الشاقة جداً، أو كبار السن. | كبار السن (فوق 60 عاماً) ذوي النشاط المحدود. | الشباب والرياضيين (أقل من 50-55 عاماً). |
| الحفاظ على الحركة | تُلغى حركة الكاحل تماماً (المفصل يصبح قطعة عظمية واحدة). | يحافظ على الحركة بشكل ممتاز. | يحافظ على الحركة الطبيعية بشكل كامل. |
| تخفيف الألم | ممتاز (يقضي على الألم لاختفاء المفصل). | ممتاز. | ممتاز (يعيد بناء السطح الغضروفي الطبيعي). |
| العودة للرياضة | مستحيل للرياضات التي تتطلب مرونة الكاحل. | غير منصوح به (يؤدي لتآكل المفصل الصناعي سريعاً). | ممكن جداً، ويمكن العودة للرياضات التنافسية. |
| العمر الافتراضي | دائم (لا يحتاج لتغيير). | 10 إلى 15 سنة (يحتاج لعمليات مراجعة معقدة). | طويل الأمد، كونه نسيج بيولوجي يندمج مع الجسم. |
| العيوب والمخاطر | يسبب ضغطاً وخشونة في المفاصل المجاورة للقدم بمرور الوقت. | خطر تخلخل المفصل الصناعي، التهابات، صعوبة الاستبدال لاحقاً. | يتطلب مهارة جراحية فائقة جداً وتوفير طعوم مطابقة. |

التفاصيل العميقة: ما هو ترميم مفصل الكاحل بالطعوم العظمية الغضروفية؟
تقنية Osteochondral Allograft Transplantation تعتمد على إزالة الجزء التالف والمريض من عظمة الكاحل (العظم والغضروف معاً) واستبداله بقطعة مطابقة تماماً (طعم) مأخوذة من متبرع (Allograft). هذه القطعة تحتوي على غضروف زجاجي طبيعي حي، وعظم سليم تحته.
الهدف من هذه الجراحة هو "ترميم" المفصل بيولوجياً بدلاً من وضع معدن وبلاستيك، مما يسمح للجسم بدمج العظم المزروع مع عظم المريض، ليعود المفصل للعمل وكأنه طبيعي.

خطوات الإجراء الجراحي مع الأستاذ الدكتور محمد هطيف
تُعد هذه الجراحة من أدق وأعقد جراحات العظام، وتتطلب تخطيطاً مسبقاً دقيقاً وتنفيذاً لا تشوبه شائبة. يتم إجراؤها تحت إشراف أ.د. محمد هطيف وفق المعايير العالمية الدقيقة:
1. التخطيط قبل الجراحة (Pre-operative Planning)
- يتم إجراء صور أشعة مقطعية (CT Scan) ثلاثية الأبعاد وأشعة رنين مغناطيسي (MRI) عالية الدقة لتحديد حجم وشكل التآكل الغضروفي بدقة ملليمترية.
- يتم طلب الطعم العظمي الغضروفي (Allograft) بحيث يكون مطابقاً بنسبة 100% لحجم وانحناء مفصل المريض.

2. الوصول الجراحي (Surgical Approach)
- يستخدم الدكتور هطيف تقنيات الجراحة الميكروسكوبية للوصول إلى المفصل بأقل قدر من التلف للأنسجة المحيطة.
- في بعض الحالات المعقدة، قد يتطلب الأمر إجراء قص عظمي في الكعب (Malleolar Osteotomy) لفتح المفصل بالكامل ورؤية السطح المتضرر بوضوح، ثم يتم إعادة تثبيت هذا العظم لاحقاً.

3. إعداد سرير الطعم (Preparation of the Recipient Site)
- يتم استخدام أدوات حفر أسطوانية دقيقة جداً لإزالة الغضروف المتآكل والعظم الميت تحته، وصولاً إلى العظم الصحي والحيوي الذي ينزف دماً (لضمان التروية الدموية للطعم الجديد).

4. زراعة الطعم وتثبيته (Graft Implantation and Fixation)
- يتم تشكيل الطعم المأخوذ من المتبرع ليطابق الحفرة التي تم إعدادها في كاحل المريض تماماً (مثل تركيب قطعة البازل).
- يتم إدخال الطعم برفق (Press-fit).
- لضمان الثبات التام، يتم تثبيت الطعم باستخدام براغي دقيقة جداً (غالباً تكون قابلة للامتصاص البيولوجي أو براغي تيتانيوم غاطسة تحت مستوى الغضروف حتى لا تحتك بالمفصل).

5. إغلاق الجرح والتقييم النهائي
- يتم فحص حركة المفصل والتأكد من انسيابية السطح الغضروفي الجديد.
- تُغلق الأنسجة بدقة متناهية لتقليل الندبات وتسريع الالتئام.

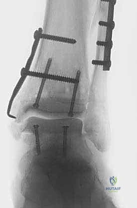
صور إضافية من داخل غرفة العمليات والخطوات الجراحية
ندرك أهمية توثيق الخطوات الجراحية لطلاب الطب والمرضى الراغبين في فهم دقة الإجراء. هذه الصور توضح مراحل زراعة وتثبيت الطعم العظمي الغضروفي بدقة متناهية تحت إشراف أ.د. محمد هطيف.








البرنامج التأهيلي الشامل: مفتاح النجاح ما بعد الجراحة
مهما كانت الجراحة دقيقة، فإن 50% من نجاح العملية يعتمد بشكل مباشر على التزام المريض ببرنامج العلاج الطبيعي والتأهيل. صمم الأستاذ الدكتور محمد هطيف بروتوكولاً تأهيلياً صارماً لضمان اندماج الطعم وعودة الحركة:
المرحلة الأولى: الحماية القصوى (الأسابيع 0 - 6)
- تحميل الوزن: يمنع منعاً باتاً تحميل أي وزن على القدم المصابة (Non-weight bearing).
- التثبيت: توضع القدم في جبيرة أو حذاء طبي واقٍ (CAM boot).
- الحركة: يُسمح بحركات سلبية خفيفة جداً (Passive Motion) للأصابع لتنشيط الدورة الدموية ومنع التجلطات.
المرحلة الثانية: التحميل التدريجي (الأسابيع 6 - 12)
- تحميل الوزن: بعد التأكد من بداية اندماج العظم بالأشعة السينية، يُسمح بتحميل الوزن الجزئي التدريجي باستخدام العكازات.
- العلاج الطبيعي: البدء بتمارين زيادة المدى الحركي للكاحل (Active Range of Motion) وتمارين الإطالة الخفيفة.
- السباحة الدراجة الثابتة: يمكن البدء بها دون تحميل مقاومة عالية.
المرحلة الثالثة: التقوية واستعادة الوظيفة (الأشهر 3 - 6)
- تحميل الوزن: التخلي عن العكازات والمشي بوزن كامل بشكل طبيعي.
- التمارين: تمارين تقوية عضلات الساق المحيطة بالكاحل، وتمارين التوازن (Proprioception) لاستعادة استقرار المفصل.
المرحلة الرابعة: العودة للنشاط الرياضي (بعد 6 إلى 9 أشهر)
- يتم تقييم قوة الكاحل ومدى حركته.
- يُسمح للمريض بالعودة التدريجية للركض والرياضات التنافسية بناءً على موافقة الطبيب المعالج.
لماذا يعتبر أ.د. محمد هطيف الخيار الأول في اليمن لهذه الجراحات؟
الجدول التالي يوضح المعايير التي تجعل عيادة الأستاذ الدكتور محمد هطيف الوجهة الأولى للمرضى الباحثين عن التميز الطبي:
جدول (2): معايير التميز الطبي لدى الأستاذ الدكتور محمد هطيف
| معيار التقييم | الرعاية الطبية التقليدية | رعاية الأستاذ الدكتور محمد هطيف |
|---|---|---|
| التقييم والتشخيص | الاعتماد على الأشعة السينية العادية فقط. | استخدام الرنين المغناطيسي والمقطعية 3D وتحليل الميكانيكا الحيوية للقدم. |
| التقنيات الجراحية | الجراحات المفتوحة التقليدية. | استخدام المناظير 4K، الجراحة الميكروسكوبية، والتدخل الجراحي المحدود (Minimally Invasive). |
| الأمانة والمصداقية | قد يتم توجيه المريض للجراحة مباشرة. | شفافية مطلقة؛ لا جراحة إلا إذا كانت الحل الجذري والوحيد، مع شرح كافة البدائل للمريض. |
| المتابعة ما بعد الجراحة | متابعة روتينية قصيرة الأمد. | بروتوكول متابعة طويل الأمد مخصص لكل مريض، مع إشراف مباشر على خطة العلاج الطبيعي. |
| الخبرة الأكاديمية | ممارسة سريرية فقط. | أستاذ جامعي بجامعة صنعاء، مطلع على أحدث الأبحاث والإصدارات العلمية العالمية وتطبيقها. |
قصص نجاح ملهمة من عيادة الأستاذ الدكتور محمد هطيف
(ملاحظة: تم تعديل الأسماء للحفاظ على الخصوصية الطبية)
حالة المريض "أحمد. س" (32 عاماً) - رياضي محترف:
تعرض أحمد لكسر مضاعف في
آلام العظام والمفاصل وتقييد حركتها ليس قدراً محتوماً! التشخيص الدقيق والعلاج المتخصص يمكن أن يعيد لك كامل وظيفتك وحريتك في الحركة. لا تدع الألم يسيطر على حياتك.
للحصول على استشارة دقيقة وخطة علاجية مخصصة لحالتك، تواصل فوراً مع مركز الأستاذ الدكتور محمد هطيف:
الأستاذ الدكتور محمد هطيف - أفضل دكتور عظام في صنعاء، وخبير في جراحات العظام والمفاصل والعمود الفقري.. نلتزم بإعادتك لحياة خالية من الألم وحركة طبيعية.
مواضيع أخرى قد تهمك