إعادة بناء آفة الكاحل الغضروفية العظمية الكبيرة بالطعم الخيفي الهيكلي: دليل شامل للمرضى مع الأستاذ الدكتور محمد هطيف

الخلاصة الطبية
آفة الكاحل الغضروفية العظمية الكبيرة هي تلف خطير في الغضروف والعظم أسفله، يسبب ألمًا مزمنًا وتيبسًا. يتم علاجها بإعادة بناء الطعم الخيفي الهيكلي، وهي جراحة متقدمة تستخدم نسيجًا من متبرع لاستعادة المفصل، ويقدمها الأستاذ الدكتور محمد هطيف بخبرة عالية في صنعاء.
الخلاصة الطبية الشاملة: تُعد آفة الكاحل الغضروفية العظمية الكبيرة (Large Osteochondral Lesions of the Talus) من أشد الإصابات التي تصيب مفصل الكاحل تعقيداً، حيث تتمثل في تلف عميق وخطير يطال الغضروف الأملس والعظم الذي يقع تحته مباشرة (عظم الكاحل أو التالوس). يؤدي هذا التلف إلى ألم مزمن ومبرح، تيبس شديد، وإعاقة حقيقية تمنع المريض من ممارسة حياته الطبيعية، بل وقد تتطور إلى خشونة مفصلية مبكرة وتآكل كامل للمفصل. يتمثل الحل الجذري والذهبي لهذه الحالات المتقدمة في جراحة "إعادة بناء الطعم الخيفي الهيكلي" (Structural Allograft Reconstruction)، وهي تقنية جراحية فائقة الدقة والتطور تعتمد على زراعة نسيج عظمي وغضروفي سليم مأخوذ من متبرع (طعم خيفي) لترميم المفصل واستعادة تشريحه الطبيعي بشكل كامل. يقدم الأستاذ الدكتور محمد هطيف، استشاري جراحة العظام والمفاصل في صنعاء، هذا الإجراء الجراحي المعقد بخبرة عالمية، مستنداً إلى أحدث التقنيات الجراحية لضمان عودة المريض إلى حياته الطبيعية بدون ألم.

مقدمة شاملة: فهم أعمق لآفات الكاحل الغضروفية العظمية وإعادة البناء الهيكلي
عندما يتعلق الأمر بصحة الكاحل، فإن الألم المزمن والتيبس ليسا مجرد أعراض عابرة؛ بل هما جرس إنذار يشير إلى وجود خلل ميكانيكي وتشريحي يعيق قدرتك على الحركة، ويؤثر بشكل مباشر على جودة حياتك اليومية وصحتك النفسية. من بين أشد الحالات التي تسبب هذه المعاناة وأكثرها تعقيداً هي "آفة العظم الغضروفي في الكاحل" (Osteochondral Lesion of the Talus - OLT). إنها ليست مجرد التواء بسيط أو التهاب عابر، بل هي تلف حقيقي وبنيوي يصيب سطح الغضروف الناعم والعظم الداعم الموجود أسفله في عظم الكاحل (التالوس).
تتراوح هذه الآفات في شدتها وحجمها؛ فبعضها يكون صغيراً ومحدوداً يمكن علاجه بالراحة أو التداخلات البسيطة، ولكن عندما نتحدث عن "الآفات الكبيرة والعميقة"، فإننا نواجه تحدياً جراحياً من الطراز الأول. هذه الآفات الكبيرة تتطلب تدخلاً جراحياً متخصصاً ودقيقاً للغاية لاستعادة وظيفة الكاحل، منع تدهور المفصل، وتخفيف الألم بشكل نهائي.

في هذا الدليل الطبي الشامل، والذي يُعد المرجع الأول باللغة العربية للمرضى، سنسلط الضوء بشكل مفصل وعميق على واحدة من أكثر الإجراءات الجراحية تقدماً، ابتكاراً، وفعالية لعلاج آفات الكاحل الغضروفية العظمية الكبيرة: "إعادة البناء بالطعم الخيفي الهيكلي" (Structural Allograft Reconstruction). هذا الإجراء ليس مجرد مسكن مؤقت للألم أو حل ترقيعي، بل هو فرصة حقيقية ونهائية لاستعادة التشريح الطبيعي للمفصل، استعادة الميكانيكا الحيوية للحركة، ومنح المرضى فرصة جديدة لحياة نشطة وخالية تماماً من الألم.

لماذا يعتبر الأستاذ الدكتور محمد هطيف الخيار الأول في اليمن والمنطقة؟
عند مواجهة جراحة معقدة ودقيقة مثل زراعة الطعم الخيفي في الكاحل، فإن اختيار الجراح هو القرار الأهم الذي سيتخذه المريض في رحلة علاجه. في العاصمة اليمنية صنعاء، يبرز اسم الأستاذ الدكتور محمد هطيف كعلامة فارقة ومرجعية علمية وطبية في مجال جراحة العظام والمفاصل.
- المكانة الأكاديمية الرفيعة: يعمل الدكتور محمد هطيف كأستاذ (بروفيسور) في جامعة صنعاء، مما يجعله مطلعاً بشكل دائم على أحدث الأبحاث والدراسات العالمية، ويساهم في تخريج أجيال من الأطباء.
- خبرة تتجاوز العقدين: بخبرة تزيد عن 20 عاماً في غرف العمليات، تعامل الدكتور هطيف مع أعقد الحالات وأصعبها، محققاً نسب نجاح تضاهي المراكز الطبية العالمية.
- الريادة في التكنولوجيا الطبية: يتميز الدكتور هطيف باستخدامه لأحدث التقنيات المتوفرة عالمياً، بما في ذلك الجراحة الميكروسكوبية (Microsurgery) الدقيقة، واستخدام مناظير المفاصل بتقنية 4K عالية الدقة التي تتيح رؤية تفاصيل المفصل بوضوح تام، بالإضافة إلى تفوقه في عمليات تغيير المفاصل (Arthroplasty).
- الأمانة الطبية والمصداقية: يُعرف الأستاذ الدكتور محمد هطيف بصرامته في تطبيق مبدأ "الأمانة الطبية". فهو لا يوصي بالتدخل الجراحي إلا إذا كان هو الحل الأمثل والوحيد لحالة المريض، ويحرص على شرح كافة التفاصيل، المخاطر، والبدائل بشفافية مطلقة.


ما هي آفة العظم الغضروفي في الكاحل (OLT) بالتفصيل؟
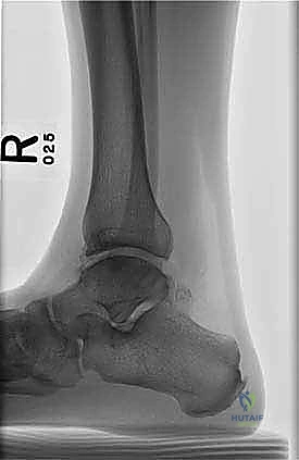
لفهم طبيعة العلاج، يجب أولاً أن نفهم طبيعة المرض بشكل عميق. آفة العظم الغضروفي في الكاحل هي منطقة محددة من التلف والتمزق تصيب الغضروف المفصلي والعظم الأساسي (Subchondral bone) الذي يقع تحته مباشرة في الجزء العلوي من عظم الكاحل (قبة التالوس)، والذي يشكل الجزء السفلي والمحوري من مفصل الكاحل.
تخيل أن الغضروف المفصلي هو وسادة ناعمة، ملساء، ومطاطية تشبه في ملمسها الجليد، تغطي نهايات العظام وتسمح لها بالانزلاق بسلاسة فائقة فوق بعضها البعض أثناء الحركة، دون أي احتكاك. كما يعمل هذا الغضروف كممتص للصدمات الهائلة التي يتعرض لها الكاحل مع كل خطوة، قفزة، أو ركضة.

عندما يتلف هذا الغضروف ويتشقق، فإنه يفقد قدرته الحيوية على امتصاص الصدمات وتقليل الاحتكاك. الأسوأ من ذلك، عندما يصل التلف إلى العظم الموجود أسفل الغضروف، تتسرب السوائل المفصلية (Synovial fluid) من خلال شقوق الغضروف إلى داخل العظم الإسفنجي، مما يؤدي إلى ذوبان العظم وتكوين "تكيسات عظمية" (Subchondral Cysts) مؤلمة للغاية. هذا يؤدي إلى احتكاك عظمي مؤلم، التهاب مزمن، وتدهور تدريجي ومتسارع للمفصل.
متى تصبح الآفة "كبيرة" ومعقدة؟
تصبح هذه الآفات أكثر تعقيداً وخطورة عندما تُصنف على أنها "كبيرة الحجم" (عادة يكون قطرها أكبر من 1.5 سم أو مساحتها تزيد عن 1.5 سم مربع، أو تكون عميقة جداً). هذه الآفات الكبيرة غالباً ما تشمل منطقة حرجة تُعرف باسم "كتف الكاحل" (Talar Shoulder) - وهي منطقة الانتقال التشريحية الحساسة حيث يلتقي غضروف القبة العلوية الأفقي مع غضروف الكاحل الإنسي (الداخلي) أو الجانبي (الخارجي) العمودي.

كثيراً ما ترتبط هذه الآفات الكبيرة بوجود تكيسات عظمية ضخمة تحت الغضروف، مما يترك الغضروف المتبقي بدون أي دعم هيكلي، فينهار كما ينهار السقف الذي سقطت أعمدته. هذه الآفات، على الرغم من ندرتها مقارنة بالإصابات البسيطة، يمكن أن تؤثر بشكل خطير ومأساوي على وظيفة الكاحل، وتؤدي حتماً إلى التهاب مفصلي تنكسي متقدم (Osteoarthritis) في سن مبكرة إذا تركت دون العلاج الجراحي السليم الذي يقدمه الأستاذ الدكتور محمد هطيف.

التشريح المعقد للكاحل: لماذا هذا المفصل فريد من نوعه؟
لفهم أهمية وصعوبة هذه الجراحة، من الضروري والمهم جداً أن نلقي نظرة طبية دقيقة على تشريح الكاحل. الكاحل ليس مجرد مفصل بسيط، بل هو تحفة هندسية حيوية، مفصل معقد يتحمل وزن الجسم كاملاً بالإضافة إلى قوى مضاعفة أثناء الأنشطة الرياضية. يتكون مفصل الكاحل من التقاء ثلاثة عظام رئيسية:
1. عظم الظنبوب (Tibia): العظمة الكبيرة في الساق.
2. عظم الشظية (Fibula): العظمة الرفيعة في الساق.
3. عظم الكاحل أو القعب (Talus): العظمة المحورية التي تقع أسفل الساق وفوق عظم الكعب.

عظم الكاحل (التالوس): حجر الزاوية
عظم الكاحل هو عظم فريد من نوعه في جسم الإنسان. يتميز بأن الغضروف المفصلي يغطي حوالي 60% إلى 70% من مساحة سطحه الكلية. لا توجد أوتار أو عضلات تلتصق به مباشرة، بل يعتمد بالكامل على الأربطة لتثبيته. إنه بمثابة "حجر الزاوية" في قبو مفصل الكاحل، حيث يتمفصل من الأعلى مع عظم الظنبوب لتكوين المفصل الظنبوبي الكاحلي (Tibiotalar joint)، ومن الداخل مع الكعب الإنسي (Medial Malleolus)، ومن الخارج مع الكعب الوحشي (Lateral Malleolus). هذه الترتيبات الهندسية المعقدة هي التي تسمح بحركة الانثناء الأخمصي والانثناء الظهري (رفع وخفض القدم) الضرورية للمشي والجري.

إمداد الكاحل بالدم: نقطة الضعف القاتلة
يُعد فهم إمداد عظم الكاحل بالدم أمراً بالغ الأهمية، وهو السر وراء فشل التئام العديد من إصابات هذا العظم. طبيعة الإمداد الدموي للتالوس هشة وضعيفة جداً، حيث يعتمد على شبكة دقيقة من الأوعية الدموية التي تدخل العظم من مناطق محددة. تساهم هذه الطبيعة الهشة في التحديات المرتبطة بآفات العظم الغضروفي (حيث يموت العظم لعدم وصول الدم) وتبرز أهمية التقنية الجراحية الدقيقة التي لا تدمر ما تبقى من أوعية.
يأتي الإمداد الدموي الرئيسي من:
* الشريان الظنبوبي الخلفي (Posterior Tibial Artery): وهو المزود الرئيسي، حيث ينشأ منه شريان القناة الرسغية وفرع الرباط الدالي الذي يغذي جسم التالوس.
* الشريان الشظوي (Peroneal Artery): الذي يساهم في تغذية شريان الجيب الرسغي.
* شريان ظهر القدم (Dorsalis Pedis Artery): يوفر إمداداً إضافياً للرقبة ورأس التالوس.

أي تلف أو قطع في هذه الأوعية الدموية، سواء بسبب الإصابة الأصلية أو بسبب جراحة غير دقيقة، يمكن أن يؤثر سلباً وبشكل مدمر على قدرة العظم على الالتئام، مما يؤدي إلى حالة تُعرف بـ "النخر اللاوعائي" (Avascular Necrosis)، حيث يموت العظم تماماً. هنا تبرز عبقرية الأستاذ الدكتور محمد هطيف في استخدام الميكروسكوب الجراحي للحفاظ على هذه التروية الدموية الدقيقة.

الأسباب العميقة وعوامل الخطر: كيف تحدث هذه الإصابة؟
لا تحدث آفات الكاحل الغضروفية العظمية الكبيرة من فراغ. في عيادة الأستاذ الدكتور محمد هطيف، يتم دراسة التاريخ الطبي للمريض بدقة لمعرفة السبب الجذري، والذي غالباً ما يكون واحداً أو أكثر مما يلي:
- الصدمات والإصابات الرياضية (Trauma): السبب الأكثر شيوعاً. التواء الكاحل الشديد (Ankle Sprain)، أو الكسور، أو السقوط من ارتفاع. عندما يلتوي الكاحل بقوة، يصطدم عظم التالوس بشدة بعظم الساق، مما يؤدي إلى كسر انضغاطي في الغضروف والعظم تحته. ما يقرب من 85% من هذه الآفات مرتبطة بصدمة سابقة.
- الإجهاد المتكرر (Repetitive Microtrauma): شائع لدى الرياضيين (مثل لاعبي كرة القدم، الجري، الجمباز) الذين يضعون ضغطاً هائلاً ومتكرراً على مفصل الكاحل، مما يؤدي إلى تآكل تدريجي دون إصابة واحدة واضحة.
- الاستعداد الوراثي والتشريحي: بعض الأشخاص يولدون بتشوهات طفيفة في شكل المفصل أو عدم استقرار في الأربطة، مما يجعلهم أكثر عرضة للاحتكاك غير الطبيعي.
- نقص التروية الدموية (Ischemia): لأسباب غير معروفة دائماً، قد ينقطع الدم عن جزء من عظم الكاحل، مما يؤدي إلى موت العظم والغضروف المغطي له (Osteochondritis Dissecans).


الأعراض السريرية: متى يجب عليك زيارة الأستاذ الدكتور محمد هطيف؟
المرضى الذين يعانون من آفات غضروفية عظمية كبيرة في الكاحل يعيشون في دورة مستمرة من الألم والإحباط. الأعراض ليست مجرد ألم عادي، بل تتميز بما يلي:
- ألم عميق ومزمن: ألم يقع "داخل" الكاحل، يزداد بشكل كبير مع تحمل الوزن، المشي، الجري، أو صعود السلالم.
- التورم والانتفاخ: تورم متكرر في مفصل الكاحل، خاصة بعد المجهود البدني، ناتج عن تراكم السوائل الالتهابية.
- الشعور بالتعليق أو القفل (Catching and Locking): إحساس بأن الكاحل يتوقف فجأة عن الحركة أو "يعلق" بسبب وجود قطع غضروفية سائبة داخل المفصل تعيق الحركة الميكانيكية.
- عدم الاستقرار (Instability): شعور بأن الكاحل ضعيف وأنه "سيخونك" أو يلتوي بسهولة أثناء المشي على أسطح غير مستوية.
- تيبس المفصل (Stiffness): صعوبة في تحريك الكاحل بحرية، خاصة في الصباح أو بعد فترات من الراحة.

جدول 1: مراحل تطور آفة الكاحل الغضروفية العظمية (تصنيف بيرند وهارتي)
يستخدم الأستاذ الدكتور محمد هطيف تصنيفات عالمية دقيقة لتحديد مدى خطورة الآفة قبل اتخاذ قرار الجراحة:
| المرحلة (Stage) | الوصف الطبي الدقيق للآفة | الأعراض المتوقعة | التدخل الموصى به |
|---|---|---|---|
| المرحلة الأولى (I) | انضغاط بسيط في العظم تحت الغضروف، الغضروف سليم ظاهرياً. | ألم خفيف بعد المجهود الشديد. | علاج تحفظي (راحة، علاج طبيعي). |
| المرحلة الثانية (II) | كسر جزئي في الغضروف والعظم، لكن القطعة لا تزال في مكانها (غير منفصلة). | ألم متوسط، تورم متكرر. | علاج تحفظي، أو تثقيب مجهري إذا لم يستجب. |
| المرحلة الثالثة (III) | انفصال كامل للقطعة الغضروفية العظمية، لكنها باقية في مكانها (سرير الآفة). | ألم شديد، شعور بالتعليق. | تدخل جراحي (تثبيت القطعة أو إزالتها وتحفيز النخاع). |
| المرحلة الرابعة (IV) | انفصال كامل للقطعة وخروجها من مكانها لتصبح جسماً حراً (Loose Body) داخل المفصل. | ألم حاد، قفل متكرر للمفصل، عدم استقرار. | التدخل الجراحي المتقدم (مثل زراعة الطعم الخيفي إذا كانت المساحة كبيرة). |

رحلة التشخيص الدقيق مع الأستاذ الدكتور محمد هطيف
التشخيص الخاطئ أو المتأخر هو أسوأ عدو لمريض الكاحل. في مركز الأستاذ الدكتور محمد هطيف في صنعاء، يتم اتباع بروتوكول تشخيصي صارم يضمن عدم تفويت أي تفصيل:
- الفحص السريري الشامل: يبدأ الدكتور هطيف بالاستماع الدقيق لتاريخ المريض، ثم فحص الكاحل يدوياً لاختبار نطاق الحركة، نقاط الألم الدقيقة، واستقرار الأربطة.
- التصوير بالأشعة السينية (X-rays): الخطوة الأولى لاستبعاد الكسور الكبيرة وتقييم المحاذاة العامة للعظام. قد تظهر الأشعة السينية الآفات الكبيرة، لكنها غالباً ما تفشل في إظهار التلف الغضروفي المبكر.

- التصوير بالرنين المغناطيسي (MRI): هو "المعيار الذهبي" لتشخيص آفات الكاحل. يوضح الرنين المغناطيسي بدقة متناهية حالة الغضروف، حجم التكيسات العظمية، ومقدار التورم داخل العظم (Bone marrow edema). من خلال صور الرنين، يحدد الدكتور هطيف أبعاد الآفة (الطول، العرض، العمق) بدقة المليمتر.

- التصوير المقطعي المحوسب (CT Scan): ضروري جداً للآفات الكبيرة. يوفر الـ CT صورة ثلاثية الأبعاد للعظم، مما يساعد الجراح في التخطيط الدقيق لعملية قطع العظم وحجم الطعم المطلوب زراعته.


الخيارات العلاجية: متى يكون الطعم الهيكلي هو الحل الوحيد؟
ليس كل مريض يعاني من ألم في الكاحل يحتاج إلى جراحة كبرى. العلاج يعتمد على حجم، موقع، وعمق الآفة.
أولاً: العلاج التحفظي (اللا جراحي)
يُستخدم للآفات الصغيرة أو المكتشفة مبكراً (المرحلة 1 و 2). يشمل:
* الراحة وتجنب تحميل الوزن (استخدام العكازات).
* الأدوية المضادة للالتهابات.
* العلاج الطبيعي لتقوية العضلات المحيطة.
* الحقن الموضعية (مثل البلازما الغنية بالصفائح الدموية PRP).
ومع ذلك، في حالة "الآفات الكبيرة والعميقة"، فإن العلاج التحفظي يفشل بنسبة كبيرة جداً في إيقاف تدهور المفصل.
ثانياً: الخيارات الجراحية التقليدية (لماذا تفشل مع الآفات الكبيرة؟)
- التثقيب المجهري (Microfracture): يتم استخدام منظار المفصل لعمل ثقوب صغيرة في العظم المكشوف لتحفيز النزيف وخلايا النخاع العظمي لتكوين غضروف بديل. المشكلة: الغضروف المتكون يكون "غضروفاً ليفياً" (Fibrocartilage) أضعف بكثير من الغضروف الطبيعي (Hyaline cartilage)، ويفشل سريعاً إذا كانت الآفة كبيرة (أكبر من 1.5 سم).
- نقل العظم الغضروفي الذاتي (OATS / Mosaicplasty): أخذ أسطوانات صغيرة من الغضروف والعظم من ركبة المريض نفسه وزرعها في الكاحل. المشكلة: يسبب ألماً في الركبة المأخوذ منها الطعم، ولا يمكن استخدامه للآفات الضخمة جداً أو التي تشمل "كتف التالوس" بالكامل لعدم توفر كمية كافية من الطعم.

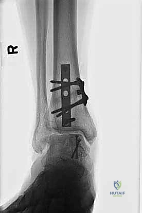
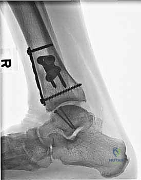
ثالثاً: الحل الجذري - إعادة بناء الطعم الخيفي الهيكلي
بالنسبة للمرضى الذين يعانون من آلام مزمنة، وتظهر صورهم آفة كبيرة الحجم، عميقة، تحتوي على تكيسات ضخمة، أو تشمل حواف التالوس (الكتف)، تصبح إعادة بناء الطعم الخيفي الهيكلي هي الحل الأمثل والذهبي.

جدول 2: مقارنة شاملة بين الخيارات الجراحية لعلاج آفات الكاحل
| وجه المقارنة | التثقيب المجهري (Microfracture) | نقل الطعم الذاتي (OATS) | إعادة بناء الطعم الخيفي (Allograft) |
|---|---|---|---|
| حجم الآفة المناسب | صغيرة (أقل من 1.5 سم مربع) | متوسطة (1 إلى 2 سم مربع) | كبيرة جداً وعميقة (أكبر من 2 سم مربع) |
| نوع الغضروف الناتج | ليفي (أضعف، يتآكل بسرعة) | زجاجي طبيعي (Hyaline) | زجاجي طبيعي ممتاز (Hyaline) |
| مصدر الطعم | جسم المريض (نخاع العظم) | ركبة المريض (طعم ذاتي) | متبرع بشري (طعم خيفي) |
| ضرر في مكان آخر بالجسم؟ | لا يوجد | نعم (ألم محتمل في الركبة) | لا يوجد (ميزة كبرى) |
| القدرة على ترميم الشكل المعقد | ضعيفة جداً | جيدة للعيوب الدائرية فقط | ممتازة (يمكن نحت الطعم ليطابق أي شكل) |
| الخبرة الجراحية المطلوبة | متوسطة (بالمنظار) | عالية | فائقة جداً (يقدمها أ.د. محمد هطيف) |

الغوص العميق في جراحة الطعم الخيفي الهيكلي (Structural Allograft Reconstruction)
يهدف هذا الإجراء العبقري إلى استبدال الغضروف والعظم التالفين والميتين بنسيج سليم تماماً مأخوذ من متبرع متوفى (طعم خيفي - Allograft). هذا الطعم يتم تعقيمه وحفظه في بنوك الأنسجة العالمية وفقاً لأعلى المعايير الطبية الصارمة لضمان خلوه من أي أمراض معدية والحفاظ على حيوية الخلايا الغضروفية.
المزايا الكبرى لهذا الإجراء:
- الترميم التشريحي الحقيقي: يسمح باستعادة الشكل الهندسي الدقيق لعظم الكاحل، بما في ذلك المنحنيات المعقدة لكتف التالوس.
- توفير غضروف طبيعي (Hyaline Cartilage): الغضروف المزروع هو غضروف زجاجي طبيعي،

































آلام العظام والمفاصل وتقييد حركتها ليس قدراً محتوماً! التشخيص الدقيق والعلاج المتخصص يمكن أن يعيد لك كامل وظيفتك وحريتك في الحركة. لا تدع الألم يسيطر على حياتك.
للحصول على استشارة دقيقة وخطة علاجية مخصصة لحالتك، تواصل فوراً مع مركز الأستاذ الدكتور محمد هطيف:
الأستاذ الدكتور محمد هطيف - أفضل دكتور عظام في صنعاء، وخبير في جراحات العظام والمفاصل والعمود الفقري.. نلتزم بإعادتك لحياة خالية من الألم وحركة طبيعية.
مواضيع أخرى قد تهمك