إصابة إصبع القدم العشبي (Turf Toe): دليل شامل للتشخيص والعلاج الجراحي مع الأستاذ الدكتور محمد هطيف

الخلاصة الطبية
إصابة إصبع القدم العشبي هي تمزق معقد في أربطة ومحفظة مفصل إبهام القدم، تحدث غالباً للرياضيين. يشمل العلاج الراحة والتثبيت أو الجراحة لإعادة بناء المفصل. الأستاذ الدكتور محمد هطيف في صنعاء يقدم تشخيصًا دقيقًا وعلاجًا جراحيًا متطورًا لاستعادة الوظيفة الكاملة وتجنب المضاعفات المزمنة.
مقدمة شاملة عن إصابة إصبع القدم العشبي (Turf Toe)
تُعد إصابة إصبع القدم العشبي، والمعروفة في الأوساط الطبية والرياضية باسم "Turf Toe"، واحدة من أكثر الإصابات تعقيداً وإيلاماً التي تصيب مفصل إبهام القدم (مفصل مشط القدم السلامي الأول). على الرغم من أن التسمية قد توحي بأنها مجرد التواء بسيط أو كدمة عابرة، إلا أن الواقع الطبي يؤكد أنها إصابة بالغة التعقيد، قادرة على إنهاء المسيرة الرياضية للمحترفين أو إعاقة الحركة اليومية للأشخاص العاديين إذا لم يتم تشخيصها وعلاجها بدقة.
في عيادة الأستاذ الدكتور محمد هطيف في العاصمة اليمنية صنعاء، ندرك تماماً حجم المعاناة التي تسببها هذه الإصابة. وبفضل خبرته التي تتجاوز 20 عاماً كأستاذ لجراحة العظام والمفاصل في جامعة صنعاء، يقدم الدكتور هطيف رعاية طبية ذات معايير عالمية، تبدأ من التشخيص الدقيق باستخدام أحدث التقنيات، وصولاً إلى التدخلات الجراحية الميكروسكوبية الدقيقة، لضمان استعادة المرضى لقدراتهم الحركية الكاملة.
إصبع القدم العشبي يمثل ضرراً مباشراً يصيب "المركب الكبسولي-الرباطي-السمسماني" (Capsuloligamentous-Sesamoid Complex). هذا المركب الحيوي هو المسؤول الأول عن استقرار المفصل أثناء المشي والجري والقفز. عندما يتعرض إبهام القدم لقوة انثناء ظهري مفرطة (Hyperextension) ومفاجئة، تتمزق هذه الأنسجة الداعمة بدرجات متفاوتة.

تاريخياً، ارتبطت هذه الإصابة بظهور الملاعب ذات العشب الصناعي (Astroturf) في السبعينيات، حيث تكون هذه الأسطح أكثر صلابة وأقل امتصاصاً للصدمات مقارنة بالعشب الطبيعي، بالإضافة إلى استخدام أحذية رياضية مرنة جداً لا توفر الدعم الكافي لمقدمة القدم. ومع ذلك، يمكن أن تحدث هذه الإصابة على أي سطح وفي رياضات متعددة مثل كرة القدم، الرجبي، كرة السلة، وحتى فنون الدفاع عن النفس والرقص.
إن تجاهل هذه الإصابة أو الاعتماد على مسكنات الألم فقط يؤدي إلى مضاعفات كارثية تشمل تصلب المفصل (Hallux Rigidus)، التشوهات الهيكلية، والألم المزمن المنهك. لذلك، يشدد الأستاذ الدكتور محمد هطيف على أهمية التدخل الطبي المبكر والمبني على أسس علمية دقيقة.

التشريح الميكانيكي المعقد لمفصل إبهام القدم
لفهم آليات إصابة إصبع القدم العشبي والأساس العلمي لعلاجها، يجب علينا الغوص بعمق في التشريح الهندسي المذهل لمفصل مشط القدم السلامي الأول (1st MTP Joint). هذا المفصل ليس مجرد مفصل زلالي بسيط، بل هو نقطة ارتكاز حيوية تتحمل ما يصل إلى 60% من وزن الجسم أثناء مرحلة "الدفع" (Push-off) في دورة المشي.

يعتمد استقرار هذا المفصل على شبكة معقدة من الأربطة والعضلات والعظام، والتي تُعرف مجتمعة باسم "المركب الكبسولي-الرباطي-السمسماني". أي خلل في هذا المركب يؤدي إلى انهيار ميكانيكا القدم بالكامل.
1. الصفيحة الأخمصية (Plantar Plate)
تُعد الصفيحة الأخمصية حجر الزاوية في استقرار إبهام القدم، وهي الهيكل الأكثر عرضة للتمزق في إصابة Turf Toe. إنها بنية ليفية غضروفية سميكة وقوية للغاية، تعمل كامتداد سفلي لمحفظة المفصل. تنشأ هذه الصفيحة من عنق عظم المشط الأول وتلتصق بقوة بقاعدة السلامية الدانية (Proximal Phalanx).
وظيفتها الأساسية هي منع فرط التمدد (Hyperextension) للمفصل، وتعمل كوسادة لامتصاص الصدمات أثناء المشي. ترتبط الصفيحة الأخمصية ارتباطاً وثيقاً بـ:
* الرأس المستعرض للعضلة المقربة لإبهام القدم (Adductor Hallucis).
* أغماد الأوتار المثنية التي تمر من تحتها.
* الرباط المستعرض العميق بين عظام المشط، الذي يربط مفاصل القدم ببعضها لتوزيع الحمل.

2. مركب العظمين السمسمانيين (Sesamoid Complex)
العظمان السمسمانيان (الإنسي والوحشي) هما عظمان صغيران يشبهان حبة السمسم، ويعملان بنفس الآلية التي تعمل بها صابونة الركبة (الرضفة)، ولكن على نطاق أصغر. يقعان داخل أوتار العضلة المثنية القصيرة لإبهام القدم (FHB) أسفل رأس عظم المشط الأول.
وظائف العظام السمسمانية:
* امتصاص وتوزيع الضغط الواقع على رأس عظم المشط أثناء الوقوف والمشي.
* حماية وتر العضلة المثنية الطويلة لإبهام القدم (FHL) الذي يمر بينهما.
* زيادة الميزة الميكانيكية للعضلات المثنية، مما يمنح القدم قوة دفع هائلة.
يتم الحفاظ على المسافة بين هذين العظمين بواسطة "الرباط بين السمسمانيين" (Intersesamoid Ligament). في حالات إصابة إصبع القدم العشبي الشديدة، قد يتمزق هذا الرباط أو تنكسر هذه العظام الصغيرة.

3. الهياكل العضلية والوترية (Musculotendinous Structures)
تلعب العضلات المحيطة دوراً ديناميكياً في حماية المفصل:
* العضلة المثنية القصيرة لإبهام القدم (Flexor Hallucis Brevis - FHB): تنقسم إلى بطنين عضليين، يمر كل منهما عبر أحد العظام السمسمانية، وتوفر قوة الثني الأساسية.
* العضلة المبعدة لإبهام القدم (Abductor Hallucis): تدعم الجانب الإنسي (الداخلي) للمفصل.
* العضلة المقربة لإبهام القدم (Adductor Hallucis): تدعم الجانب الوحشي (الخارجي) للمفصل.
4. الأربطة الجانبية (Collateral Ligaments)
تتكون من الأربطة الجانبية الأساسية والأربطة الجانبية الإضافية (Accessory Collateral Ligaments). تمنع هذه الأربطة الانحراف الجانبي للإصبع وتساهم في استقرار المحفظة المفصلية.

الميكانيكا الحيوية وأسباب حدوث إصابة (Turf Toe)
كيف تحدث هذه الإصابة؟ لفهم ذلك، يجب أن نتخيل الرياضي وهو يندفع للأمام. في اللحظة التي تسبق رفع القدم عن الأرض، يكون الكعب مرتفعاً، ومقدمة القدم مزروعة بقوة في الأرض، ومفصل إبهام القدم في حالة تمدد (Dorsiflexion).
إذا تعرض اللاعب في هذه اللحظة الحرجة لقوة خارجية (مثل سقوط لاعب آخر على مؤخرة ساقه، أو توقف مفاجئ)، فإن إبهام القدم يُجبر على الانثناء الظهري المفرط والعنيف بما يتجاوز حدوده الفسيولوجية. هذا الحمل الزائد يؤدي إلى تمزق الصفيحة الأخمصية والمركب السمسماني.

عوامل الخطر الرئيسية:
- الأسطح الصلبة (العشب الصناعي): العشب الصناعي يوفر احتكاكاً عالياً (Grip) ولا يمتص الصدمات، مما يجعل الحذاء يلتصق بالأرض بقوة، في حين يستمر الجسم في الاندفاع، مما يضع ضغطاً هائلاً على مفصل الإبهام.
- الأحذية الرياضية المرنة: الأحذية الحديثة خفيفة الوزن وذات النعال المرنة جداً لا توفر الصلابة اللازمة لمنع فرط تمدد الإصبع.
- نوع الرياضة: لاعبو كرة القدم الأمريكية، لاعبو كرة القدم، عدائو المسافات القصيرة، ولاعبو الرجبي هم الأكثر عرضة.
- نطاق الحركة المحدود: الرياضيون الذين يعانون مسبقاً من تصلب بسيط في مفصل الكاحل أو القدم يضعون ضغطاً تعويضياً أكبر على إبهام القدم.


تصنيف درجات إصابة إصبع القدم العشبي
لتحديد خطة العلاج المناسبة، يعتمد الأستاذ الدكتور محمد هطيف على نظام تصنيف علمي دقيق يقسم الإصابة إلى ثلاث درجات، بناءً على شدة التمزق في المركب الأخمصي.
جدول (1): تصنيف درجات إصابة إصبع القدم العشبي (Turf Toe Grades)
| الدرجة (Grade) | الوصف الباثولوجي (Pathology) | الأعراض السريرية (Symptoms) | مدة التعافي المتوقعة | العلاج المبدئي |
|---|---|---|---|---|
| الدرجة الأولى (Grade 1) | تمدد (استطالة) في الصفيحة الأخمصية والأربطة دون تمزق فعلي. | ألم موضعي خفيف، تورم بسيط، القدرة على تحمل الوزن مع إزعاج طفيف. | 1 إلى 2 أسابيع | تحفظي (راحة، ثلج، أشرطة لاصقة Taping). |
| الدرجة الثانية (Grade 2) | تمزق جزئي في الصفيحة الأخمصية أو المركب الكبسولي. | ألم متوسط إلى شديد، تورم ملحوظ، كدمات، ألم عند محاولة تحريك الإصبع، صعوبة في المشي. | 4 إلى 6 أسابيع | تحفظي متقدم (حذاء مشي صلب، عكازات، علاج طبيعي). |
| الدرجة الثالثة (Grade 3) | تمزق كامل في الصفيحة الأخمصية، مع احتمال خلع المفصل أو كسر العظام السمسمانية. | ألم مبرح، تورم هائل، كدمات شديدة أسفل القدم، عدم القدرة التامة على تحمل الوزن، عدم استقرار المفصل. | 3 إلى 6 أشهر (أو أكثر) | غالباً تدخل جراحي لإعادة بناء الأربطة وتثبيت المفصل. |


الأعراض والعلامات السريرية
تختلف الأعراض بناءً على شدة الإصابة (كما هو موضح في الجدول)، ولكن بشكل عام، يراجع المرضى عيادة الأستاذ الدكتور محمد هطيف وهم يعانون من:
- ألم حاد في قاعدة إبهام القدم: يتركز الألم بشكل خاص في الجانب السفلي (الأخمصي) من المفصل.
- تورم مفاجئ: يحدث التورم فوراً بعد الإصابة ويزداد خلال الـ 24 ساعة الأولى.
- تحدد الحركة (Stiffness): عدم القدرة على ثني أو تمديد إبهام القدم بسبب الألم والالتهاب.
- الكدمات (Ecchymosis): ظهور تلون أزرق أو أرجواني أسفل القدم وحول المفصل نتيجة النزيف الداخلي للأنسجة الممزقة.
- ضعف قوة الدفع: عدم القدرة على الارتكاز على مقدمة القدم للركض أو القفز.
- عدم استقرار المفصل: في الدرجة الثالثة، قد يشعر المريض أن إبهام قدمه "رخو" أو في غير مكانه الطبيعي.


التشخيص الدقيق مع الأستاذ الدكتور محمد هطيف
يُعد التشخيص الخاطئ أو المتأخر لإصابة إصبع القدم العشبي سبباً رئيسياً لانتهاء المسيرة الرياضية للعديد من اللاعبين. يتميز الأستاذ الدكتور محمد هطيف بصرامة علمية فائقة في التشخيص، حيث لا يعتمد على الفحص السريري فحسب، بل يوظف أحدث تقنيات التصوير الطبي المتاحة في اليمن.
1. الفحص السريري (Clinical Examination)
يبدأ الدكتور هطيف بأخذ التاريخ الطبي المفصل ومعرفة آلية حدوث الإصابة. ثم يقوم بإجراء فحوصات دقيقة تشمل:
* جس المفصل (Palpation): لتحديد نقطة الألم القصوى (غالباً فوق العظام السمسمانية أو الصفيحة الأخمصية).
* اختبار لاكمان لإبهام القدم (Lachman Test of the MTP): يتم تثبيت المشط وتحريك السلامية الدانية لأعلى ولأسفل لاختبار استقرار الصفيحة الأخمصية. إذا كانت الحركة مفرطة، فهذا يدل على تمزق كامل (الدرجة الثالثة).
* تقييم نطاق الحركة (ROM): مقارنة حركة الإصبع المصاب بالإصبع السليم.

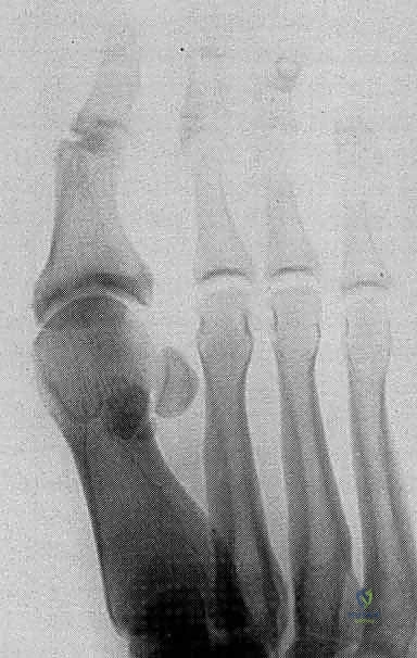
2. التصوير بالأشعة السينية (X-Rays)
يتم إجراء صور أشعة سينية بوضعيات تحمل الوزن (Weight-bearing) وبوضعيات الإجهاد (Stress views). تساعد الأشعة السينية في:
* استبعاد وجود كسور في عظام المشط أو السلاميات.
* تقييم العظام السمسمانية (البحث عن كسور أو هجرة غير طبيعية للعظام السمسمانية، مما يدل على تمزق الصفيحة).
* تقييم تضيق المسافة المفصلية.

3. التصوير بالرنين المغناطيسي (MRI) - المعيار الذهبي
في عيادة الأستاذ الدكتور محمد هطيف، يُعتبر الرنين المغناطيسي عالي الدقة المعيار الذهبي لتشخيص الدرجات الثانية والثالثة. يتيح الرنين المغناطيسي رؤية تفصيلية للأنسجة الرخوة، مما يمكن الدكتور هطيف من تحديد:
* موقع وحجم التمزق في الصفيحة الأخمصية بدقة مليمترية.
* حالة الأربطة الجانبية والرباط بين السمسمانيين.
* وجود وذمة في العظام (Bone Marrow Edema).
* حالة الغضروف المفصلي.


الخيارات العلاجية: من التحفظي إلى الجراحي
تعتمد خطة العلاج التي يضعها الأستاذ الدكتور محمد هطيف على درجة الإصابة، مستوى النشاط الرياضي للمريض، والوقت المنقضي منذ حدوث الإصابة. الهدف دائماً هو استعادة التشريح الطبيعي للمفصل ووظيفته الديناميكية.
أولاً: العلاج التحفظي (Non-Surgical Treatment)
يُستخدم العلاج التحفظي بنجاح لحالات الدرجة الأولى ومعظم حالات الدرجة الثانية. يتم تطبيق بروتوكول صارم يشمل:
-
بروتوكول RICE:
- الراحة (Rest): إيقاف النشاط الرياضي فوراً.
- الثلج (Ice): تطبيق الثلج لتقليل الالتهاب والتورم.
- الضغط (Compression): استخدام أربطة ضاغطة.
- الرفع (Elevation): رفع القدم لتقليل تجمع السوائل.
-
التثبيت والأحذية الداعمة:
- استخدام حذاء المشي الطبي (CAM Walker) أو حذاء ذو نعل صلب جداً لمنع أي حركة انثناء في المفصل.
- استخدام ضبانات (Insoles) مدعمة بألياف الكربون لتوزيع الضغط.

-
الأشرطة اللاصقة الطبية (Taping):
- تطبيق تقنيات شريط لاصق خاصة لربط إبهام القدم بالأصبع المجاور، أو سحبه للأسفل لتقليل الضغط على الصفيحة الأخمصية.
-
العلاجات البيولوجية المتقدمة:
- يقدم الدكتور هطيف حقن البلازما الغنية بالصفائح الدموية (PRP) في الحالات المختارة لتحفيز التئام الأربطة الممزقة جزئياً، مع تجنب حقن الكورتيزون تماماً في هذا المفصل لتفادي إضعاف الأنسجة.

ثانياً: العلاج الجراحي المتقدم مع أ.د. محمد هطيف
عندما تفشل العلاجات التحفظية، أو في حالات الإصابات الشديدة (الدرجة الثالثة)، يصبح التدخل الجراحي هو الحل الوحيد لإنقاذ المفصل. يُعد الأستاذ الدكتور محمد هطيف المرجع الطبي الأول في اليمن لإجراء هذه الجراحات المعقدة، مستخدماً تقنيات الجراحة الميكروسكوبية والتنظير المفصلي بدقة 4K.
دواعي التدخل الجراحي (Indications for Surgery):
- تمزق كامل في الصفيحة الأخمصية مع عدم استقرار واضح في المفصل.
- انفصال أو هجرة العظام السمسمانية (تراجعها للخلف بسبب تمزق الأربطة).
- كسر منزاح في العظام السمسمانية.
- تلف شديد في الغضروف المفصلي.
- ألم مزمن وضعف يمنع الرياضي من العودة للمنافسات بعد 3-6 أشهر من العلاج التحفظي.

الخطوات التفصيلية للعملية الجراحية:
تتطلب جراحة إصبع القدم العشبي مهارة استثنائية ومعرفة تشريحية دقيقة. يقوم الدكتور هطيف بإجراء العملية وفق الخطوات التالية:
1. التخدير والتحضير:
تُجرى العملية غالباً تحت التخدير الموضعي (إحصار العصب) أو التخدير النصفي، مع تخدير عام خفيف لراحة المريض. يتم استخدام عاصبة دموية (Tourniquet) لضمان رؤية جراحية خالية من النزيف.
2. الشق الجراحي (The Incision):
يُفضل الدكتور هطيف استخدام شق جراحي إنسي (Medial Approach) أو أخمصي (Plantar Approach) حسب موقع التمزق. يضمن هذا الشق الوصول المباشر إلى المركب الكبسولي مع الحفاظ على الأعصاب الحسية الدقيقة المحيطة بالإصبع.

3. استكشاف المفصل وتقييم الضرر:
بمجرد فتح الأنسجة، يتم تقييم حالة الصفيحة الأخمصية، العظام السمسمانية، والغضروف. في كثير من الأحيان، يتم استخدام منظار المفصل (Arthroscopy) لتنظيف المفصل من الشظايا الغضروفية والالتهابات بدقة متناهية.

4. إصلاح الصفيحة الأخمصية (Plantar Plate Repair):
هذه هي الخطوة الأكثر أهمية. يقوم الدكتور هطيف بإعادة خياطة الصفيحة الأخمصية الممزقة وربطها بقاعدة السلامية الدانية. يتم ذلك باستخدام خطافات عظمية صغيرة جداً (Suture Anchors) أو عبر حفر ثقوب دقيقة في العظم لتمرير الخيوط الجراحية فائقة القوة.

5. التعامل مع العظام السمسمانية:
* إذا كان هناك تمزق في الرباط بين السمسمانيين، يتم خياطته.
* إذا كان أحد العظام السمسمانية مكسوراً بشكل لا يمكن إصلاحه (كسر مفتت)، فقد يقوم الدكتور هطيف بإزالته جزئياً أو كلياً (Sesamoidectomy) مع الحفاظ على استمرارية وتر العضلة المثنية.

6. الإغلاق والتثبيت:
بعد التأكد من استعادة الاستقرار الكامل للمفصل، يتم إغلاق الشق الجراحي تجميلياً. يتم تثبيت الإصبع في وضعية انثناء أخمصي طفيف (Plantarflexion) لتقليل الشد على الأنسجة التي تم إصلاحها، ويوضع المريض في جبيرة أو حذاء طبي صلب.


بروتوكول إعادة التأهيل المتقدم (Rehabilitation)
العملية الجراحية الناجحة هي نصف الطريق فقط؛ النصف الآخر يعتمد بالكامل على بروتوكول إعادة التأهيل. يشرف الأستاذ الدكتور محمد هطيف شخصياً على خطة العلاج الطبيعي لضمان عودة المريض لممارسة حياته ورياضته بأمان.
جدول (2): البرنامج الزمني لإعادة التأهيل بعد جراحة Turf Toe
| المرحلة الزمنية | الأهداف الطبية | الأنشطة المسموحة والممنوعة |
|---|---|---|
| الأسابيع 1 - 2 | حماية الإصلاح الجراحي، تقليل التورم والألم، التئام الجروح. | ممنوع تحميل الوزن تماماً. استخدام العكازات. ارتداء الجبيرة أو حذاء المشي الطبي على مدار |





آلام العظام والمفاصل وتقييد حركتها ليس قدراً محتوماً! التشخيص الدقيق والعلاج المتخصص يمكن أن يعيد لك كامل وظيفتك وحريتك في الحركة. لا تدع الألم يسيطر على حياتك.
للحصول على استشارة دقيقة وخطة علاجية مخصصة لحالتك، تواصل فوراً مع مركز الأستاذ الدكتور محمد هطيف:
الأستاذ الدكتور محمد هطيف - أفضل دكتور عظام في صنعاء، وخبير في جراحات العظام والمفاصل والعمود الفقري.. نلتزم بإعادتك لحياة خالية من الألم وحركة طبيعية.
مواضيع أخرى قد تهمك