جراحة مراجعة إبهام القدم الأروح: دليل شامل للمرضى مع الأستاذ الدكتور محمد هطيف

الخلاصة الطبية
إبهام القدم الأروح المتكرر هو عودة تشوه إبهام القدم بعد جراحة سابقة. يشمل علاجه تقييمًا دقيقًا لتحديد السبب، وقد يتضمن خيارات غير جراحية أو جراحة مراجعة معقدة لتصحيح التشوه واستعادة الوظيفة، ويقدم الأستاذ الدكتور محمد هطيف خبرة رائدة في هذا المجال.
الخلاصة الطبية السريعة: إبهام القدم الأروح المتكرر (Recurrent Hallux Valgus) هو عودة تشوه إبهام القدم بعد خضوع المريض لجراحة سابقة غير ناجحة أو غير مكتملة التصحيح. يشمل علاجه تقييمًا بيوميكانيكيًا دقيقًا لتحديد السبب الجذري للفشل الأولي، وقد يتضمن خيارات تحفظية أو جراحة مراجعة معقدة (Revision Surgery) لتصحيح التشوه، إزالة المسامير السابقة، استعادة الوظيفة الحركية، وتخفيف الألم. يقدم الأستاذ الدكتور محمد هطيف، أستاذ جراحة العظام بجامعة صنعاء، خبرة رائدة تمتد لأكثر من 20 عامًا في هذا المجال الدقيق، معتمدًا على أحدث التقنيات وأعلى معايير الأمانة الطبية.

مقدمة شاملة: كابوس إبهام القدم الأروح المتكرر
يُعد إبهام القدم الأروح (المعروف شعبيًا بالورم الملتهب أو Bunion) حالة شائعة ومؤلمة تؤثر على مفصل إصبع القدم الكبير، مما يسبب تشوهًا هيكليًا يعيق المشي وارتداء الأحذية. في حين أن الجراحة الأولية تحقق نجاحًا كبيرًا في معظم الحالات إذا أُجريت بشكل صحيح، إلا أن نسبة من المرضى قد تواجه صدمة عودة التشوه، وهي الحالة الطبية التي تُعرف باسم "إبهام القدم الأروح المتكرر".

إن مواجهة هذا التكرار ليست مجرد انتكاسة جسدية، بل هي معاناة نفسية بالغة للمريض الذي تحمل عناء الجراحة الأولى وفترة التعافي، ليجد نفسه يعود إلى نقطة الصفر. تتطلب هذه الحالة المعقدة نهجًا علاجيًا مختلفًا تمامًا، يُعرف بـ "جراحة المراجعة" (Revision Surgery). هذه الجراحات لا تقتصر على إعادة الكسر أو تصحيح العظم، بل تتطلب هندسة عكسية لمعرفة سبب فشل الجراحة الأولى، والتعامل مع الأنسجة المتندبة، والعظام التي قد تكون فقدت جزءًا من كتلتها، وتصحيح الميكانيكا الحيوية للقدم بأكملها.

في العاصمة اليمنية صنعاء، يبرز اسم الأستاذ الدكتور محمد هطيف كمرجعية طبية عليا والملاذ الأول والأخير للمرضى الذين يعانون من فشل الجراحات السابقة. بفضل خبرته التي تتجاوز عقدين من الزمان، يطبق الدكتور هطيف بروتوكولات عالمية صارمة لضمان عدم تكرار الفشل، معيدًا الأمل والحركة للمرضى.


لماذا تختار الأستاذ الدكتور محمد هطيف لجراحة المراجعة المعقدة؟ (E-E-A-T)
عندما تفشل الجراحة الأولى، فإن اختيار الجراح للجراحة الثانية هو القرار الأهم في حياتك الصحية. جراحات المراجعة لا تحتمل التجربة والخطأ. الأستاذ الدكتور محمد هطيف يمثل قمة الهرم الطبي في اليمن في تخصص جراحة العظام والقدم والكاحل للأسباب التالية:
- المكانة الأكاديمية المرموقة: أستاذ دكتور (بروفيسور) في كلية الطب بجامعة صنعاء، مما يعني أنه لا يمارس الطب فحسب، بل يُدرّس الأجيال الجديدة أحدث ما توصل إليه العلم.
- خبرة تتجاوز 20 عامًا: تعامل مع آلاف الحالات المعقدة والمستعصية، واكتسب قدرة استثنائية على التعامل مع المضاعفات الجراحية المتقدمة.
- التكنولوجيا المتقدمة: رائد في استخدام الجراحة المجهرية (Microsurgery)، ومناظير المفاصل بدقة 4K (Arthroscopy 4K)، وتقنيات استبدال المفاصل (Arthroplasty).
- الأمانة الطبية الصارمة: يُعرف الدكتور هطيف بشفافيته التامة مع مرضاه. لا ينصح بالجراحة إلا إذا كانت الخيار الأمثل والوحيد، ويشرح نسب النجاح والمخاطر بوضوح تام، مما يبني جسرًا من الثقة لا يتزعزع.


التشريح البيوميكانيكي العميق: أساس فهم الفشل والتكرار
لفهم لماذا يعود إبهام القدم الأروح، يجب أن نغوص في التشريح المعقد للقدم. القدم ليست مجرد عظام؛ إنها آلة بيوميكانيكية دقيقة تعتمد على التوازن المثالي بين العظام، الأربطة، والأوتار.

1. مفصل المشط السلامي الأول (First MTPJ)
هذا المفصل هو ساحة المعركة الرئيسية. يربط عظم المشط الأول (First Metatarsal) بالسلامية الدانية (Proximal Phalanx) لإصبع القدم الكبير. في التشوه الأولي، ينحرف إصبع القدم نحو الخارج (Valgus)، وينحرف عظم المشط نحو الداخل (Varus). إذا لم يقم الجراح الأول بتصحيح الزاوية بين المشطين (IMA) بشكل كافٍ، فإن قوى المشي ستدفع الإصبع للتشوه مرة أخرى.

2. مفصل رسغ القدم الأول (First TMTJ أو Lapidus Joint)
يقع في قاعدة عظم المشط الأول. أحد أهم أسباب تكرار إبهام القدم الأروح هو "فرط الحركة" (Hypermobility) في هذا المفصل. إذا كان المفصل غير مستقر، وقام الجراح بإجراء جراحة في مقدمة القدم فقط متجاهلاً هذا المفصل، فإن التشوه سيعود حتمًا.

3. العضلات والأربطة (الأنسجة الرخوة)
- العضلة المقربة لإبهام القدم (Adductor Hallucis): هذه العضلة تسحب إصبع القدم الكبير نحو الأصابع الأخرى. في الجراحة الصحيحة، يجب تحرير هذه العضلة. إذا لم يتم تحريرها بشكل كافٍ، ستستمر في سحب الإصبع وتسبب التكرار.
- السمسمانيات (Sesamoids): عظمتان صغيرتان تعملان كبكرات تحت المشط الأول. إذا لم يتم إعادتهما إلى مكانهما الصحيح تحت رأس المشط أثناء الجراحة الأولى، فإن الميكانيكا الحيوية تظل مختلة.

4. الهياكل العصبية والوعائية
- الشريان الظهري للقدم والعصب الشظوي العميق: يقعان بجوار الوتر الباسط. في جراحات المراجعة، تكون الأنسجة متندبة (Scar Tissue)، مما يجعل حماية هذه الأعصاب والشرايين تحديًا حقيقيًا يتطلب مهارة جراح متمكن مثل الأستاذ الدكتور محمد هطيف.


الأسباب الجذرية لفشل الجراحة الأولى وعودة التشوه
لماذا يعود الورم بعد إزالته؟ الإجابة تكمن في التقييم الأولي الخاطئ أو التنفيذ الجراحي غير الدقيق. يحدد الدكتور هطيف الأسباب التالية كعوامل رئيسية للتكرار:
أ. أخطاء متعلقة بالتقييم الجراحي الأولي
- اختيار إجراء جراحي غير مناسب: إجراء جراحة بسيطة (مثل استئصال النتوء العظمي فقط أو Bunionectomy) لحالة تتطلب قطعًا وتصحيحًا عظميًا (Osteotomy).
- تجاهل فرط حركة مفصل المشط الأول (Hypermobility): عدم إجراء إيثاق لمفصل TMTJ (عملية لابيدوس) عندما يكون ذلك ضروريًا.
- عدم تصحيح زاوية (IMA) بشكل كافٍ: الفشل في تضييق المسافة بين المشط الأول والثاني بشكل كامل.

ب. أخطاء متعلقة بالتنفيذ الجراحي
- تحرير غير كافٍ للأنسجة الرخوة: عدم تحرير العضلة المقربة أو الرباط الجانبي بشكل كامل.
- فشل التثبيت الداخلي: استخدام مسامير أو شرائح غير قوية بما يكفي، مما يؤدي إلى تحرك العظم قبل التئامه.
- قصر عظم المشط الأول (Shortening): قطع العظم بشكل مبالغ فيه يؤدي إلى قصر المشط الأول، مما يسبب مشكلة جديدة تُعرف بـ "ألم المشط الانتقالي" (Transfer Metatarsalgia)، حيث ينتقل الضغط إلى الأصابع الصغرى.

ج. أسباب متعلقة بالمريض
- عدم الالتزام بتعليمات ما بعد الجراحة: المشي المبكر على القدم دون حذاء طبي، أو العودة السريعة لارتداء الكعب العالي.
- أمراض مصاحبة: مثل التهاب المفاصل الروماتويدي (Rheumatoid Arthritis) الذي يسبب تدميرًا مستمرًا للمفاصل والأربطة.
- هشاشة العظام (Osteoporosis): التي تمنع المسامير من الثبات بقوة داخل العظم.


العلامات والأعراض: متى يجب عليك زيارة الدكتور محمد هطيف؟
إذا خضعت لجراحة إبهام القدم الأروح سابقًا وبدأت تلاحظ الأعراض التالية، فأنت بحاجة إلى تقييم عاجل لجراحة المراجعة:
- عودة النتوء العظمي (الورم): ظهور البروز مرة أخرى على الجانب الداخلي للقدم.
- ألم شديد ومستمر: ألم لا يهدأ بالمسكنات العادية، خاصة عند المشي أو ارتداء الأحذية.
- انحراف الإصبع الكبير: عودة الإصبع للميلان نحو الأصابع الأخرى، وربما الركوب فوق الإصبع الثاني (Overlapping toe).
- تصلب مفصل الإصبع الكبير (Hallux Rigidus): عدم القدرة على ثني الإصبع لأعلى أو لأسفل نتيجة تطور التهاب المفاصل (خشونة المفصل).
- ألم في باطن القدم (Transfer Metatarsalgia): ألم شديد تحت الأصابع الصغرى (الثاني والثالث) وتكون مسامير لحمية (Calluses) في باطن القدم، نتيجة فشل المشط الأول في تحمل وزنه.
- تهيج من المسامير السابقة: الشعور بالمسامير أو الشرائح المعدنية تحت الجلد، مصحوبًا باحمرار وتورم.


جدول مقارنة: الجراحة الأولية مقابل جراحة المراجعة
لفهم مدى تعقيد الموقف، يوضح الجدول التالي الفروق الجوهرية بين الجراحتين:
| وجه المقارنة | الجراحة الأولية (Primary) | جراحة المراجعة (Revision) |
|---|---|---|
| حالة الأنسجة | أنسجة طبيعية ومرنة | أنسجة متندبة (Scar tissue)، التصاقات شديدة |
| حالة العظام | كتلة عظمية كاملة وطبيعية | احتمالية فقدان عظمي، هشاشة موضعية، أو قصر في العظم |
| المسامير والشرائح | لا يوجد | يتطلب إزالة المعادن السابقة (Hardware Removal) أولاً |
| وقت الجراحة | 45 دقيقة إلى ساعة | ساعتان إلى 3 ساعات (أكثر تعقيدًا) |
| التقنية الجراحية | غالبًا قطع عظمي بسيط (Osteotomy) | غالبًا إيثاق مفصل (Fusion) أو ترقيع عظمي (Bone Graft) |
| فترة التعافي | 6 إلى 8 أسابيع | 8 إلى 12 أسبوعًا، مع حذر شديد |
| مستوى خبرة الجراح المطلوبة | جراح عظام عام أو متخصص | خبير متمرس عالي التخصص فقط (مثل أ.د. محمد هطيف) |


التقييم التشخيصي الشامل: خطوة بخطوة مع الدكتور هطيف
النجاح في جراحة المراجعة يعتمد بنسبة 50% على التخطيط قبل الجراحة. لا يتسرع الأستاذ الدكتور محمد هطيف في اتخاذ قرار الجراحة، بل يمرر المريض بسلسلة من الفحوصات الدقيقة:
1. الفحص السريري الدقيق
- تحليل نمط المشي (Gait Analysis).
- فحص نطاق الحركة (ROM) لمفصل الإصبع الكبير.
- اختبار استقرار مفصل TMTJ (اختبار فرط الحركة).
- تقييم التروية الدموية والإحساس العصبي، وهو أمر بالغ الأهمية في القدم التي خضعت لجراحة سابقة.

2. التصوير الشعاعي المتقدم
- الأشعة السينية مع تحمل الوزن (Weight-bearing X-rays): صور من الأمام، الجانب، والزوايا المائلة لتقييم زوايا العظام تحت تأثير وزن الجسم.
- تصوير السمسمانيات (Sesamoid view): لمعرفة ما إذا كانت العظام السمسمانية قد خُلعت من مكانها.
- الأشعة المقطعية (CT Scan): في الحالات المعقدة، يستخدم الدكتور هطيف الأشعة المقطعية ثلاثية الأبعاد لتقييم التئام العظام السابق، ومواقع المسامير القديمة، ودرجة خشونة المفاصل بدقة متناهية.



الخيارات العلاجية: هل الجراحة هي الحل الوحيد؟
يؤمن الأستاذ الدكتور محمد هطيف بمبدأ التدرج في العلاج. رغم أن المريض يعاني من فشل جراحي سابق، إلا أن التقييم قد يفتح الباب لخيارات تحفظية إذا كانت حالة المريض لا تسمح بجراحة أخرى (مثل كبار السن أو مرضى السكري غير المنتظم).
أولاً: العلاج التحفظي (غير الجراحي)
يهدف هذا النهج إلى التعايش مع التشوه وتخفيف الألم، ولا يصحح العظم:
* الأحذية الطبية المخصصة: أحذية ذات مقدمة عريضة جدًا (Wide Toe Box) ومصنوعة من مواد ناعمة لمنع الاحتكاك.
* الفرشات الطبية التقويمية (Custom Orthotics): لتوزيع الضغط عن الأصابع الصغرى وعلاج ألم المشط الانتقالي.
* الجبائر والفواصل السيليكونية: لمنع احتكاك الأصابع ببعضها.
* الحقن الموضعي: حقن الكورتيزون أو البلازما الغنية بالصفائح الدموية (PRP) في المفصل لتخفيف الالتهاب (يُستخدم بحذر).


ثانيًا: جراحة المراجعة (الحل الجذري)
عندما يفشل العلاج التحفظي في توفير جودة حياة مقبولة، تصبح جراحة المراجعة ضرورة ملحة. يتم تفصيل الخطة الجراحية بدقة لكل مريض على حدة.


الدليل الشامل لخطوات جراحة مراجعة إبهام القدم الأروح
جراحة المراجعة هي عمل فني وهندسي معقد. إليك كيف يقوم الأستاذ الدكتور محمد هطيف بإجرائها خطوة بخطوة، معتمدًا على أحدث التقنيات العالمية:
الخطوة 1: التعامل مع الشق الجراحي القديم وإزالة المعادن
- يبدأ الدكتور هطيف بفتح الجلد، غالبًا باستخدام الشق الجراحي القديم لتقليل الندبات، مع استئصال الأنسجة المتندبة (Scar excision) بحذر شديد لحماية الأعصاب والأوعية الدموية.
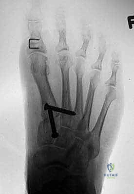
- يتم تحديد مواقع المسامير أو الشرائح المعدنية من الجراحة السابقة وإزالتها (Hardware Removal). قد تكون هذه الخطوة صعبة إذا نما العظم فوق المسامير.


الخطوة 2: إعادة تقييم الأنسجة الرخوة (Soft Tissue Balancing)
- يتم فحص العضلة المقربة (Adductor Hallucis). إذا كانت مشدودة وتسبب انحراف الإصبع، يقوم الدكتور هطيف بتحريرها بدقة متناهية (Lateral Release).
- يتم تحرير محفظة المفصل المنكمشة لتسمح للإصبع بالعودة إلى وضعه المستقيم.


الخطوة 3: اختيار التقنية الجراحية العظمية المناسبة
بناءً على سبب الفشل الأولي، يختار الدكتور هطيف إحدى التقنيات التالية:
أ. إعادة القطع العظمي (Revision Osteotomy - Scarf or Chevron)
إذا كان الفشل ناتجًا عن تصحيح غير كافٍ في الجراحة الأولى، وكان المفصل لا يزال سليمًا (لا توجد خشونة شديدة)، يقوم الدكتور هطيف بإجراء قطع عظمي جديد (مثل تقنية Scarf أو Chevron) لإعادة توجيه العظم وتثبيته بمسامير تيتانيوم حديثة لا تسبب تهيجًا.


ب. عملية لابيدوس (Lapidus Procedure - TMTJ Arthrodesis)
إذا كان سبب التكرار هو "فرط الحركة" في مفصل منتصف القدم (TMTJ)، فإن الحل الوحيد لمنع التكرار المستقبلي هو دمج (إيثاق) هذا المفصل. يزيل الدكتور هطيف الغضروف من المفصل، يصحح زاوية العظم، ويثبته بشريحة معدنية قوية ومسامير حتى يلتحم العظمان معًا. هذه العملية تعالج أصل المشكلة من الجذور.


ج. إيثاق مفصل المشط السلامي الأول (First MTPJ Arthrodesis)
يُعتبر هذا الإجراء "المعيار الذهبي" (Gold Standard) وجراحة الإنقاذ النهائية في حالات المراجعة المعقدة، خاصة إذا كان المريض يعاني من:
* تدمير المفصل أو خشونة شديدة (التهاب المفاصل العظمي).
* فقدان عظمي كبير من الجراحة السابقة.
* تكرار شديد للتشوه مصحوب بألم مبرح.
في هذه العملية، يتم إزالة الغضروف التالف من مفصل الإصبع الكبير، ودمج العظام معًا في وضع مستقيم قليلاً للأعلى للسماح بالمشي الطبيعي. يتم التثبيت باستخدام شريحة ومسامير متقاطعة. النتيجة هي إصبع مستقيم، خالٍ تمامًا من الألم، ولا يمكن أن يعود للتشوه أبدًا.


د. الترقيع العظمي (Bone Grafting)
في حال تسببت الجراحة الأولى في قصر شديد في عظم المشط الأول، قد يضطر الدكتور هطيف إلى أخذ قطعة عظمية (طُعم عظمي) من كعب المريض أو حوضه، وزرعها في المشط الأول لاستعادة طوله الطبيعي، مما يمنع آلام الأصابع الصغرى.


الخطوة 4: الإغلاق التجميلي
لأن القدم عانت من تدخلات جراحية متعددة، يستخدم الدكتور هطيف تقنيات الجراحة التجميلية الدقيقة في خياطة الجلد لتقليل التندب وتسريع التئام الجرح.



جدول مقارنة: الخيارات الجراحية لمراجعة إبهام القدم الأروح
| نوع الجراحة | متى تُستخدم؟ | المزايا | العيوب/التحديات |
|---|---|---|---|
| إعادة القطع العظمي (Osteotomy) | مفصل سليم، فشل في تصحيح الزاوية سابقًا | يحافظ على حركة المفصل | خطر التكرار إذا لم يُعالج السبب الجذري |
| عملية لابيدوس (Lapidus) | وجود فرط حركة في مفصل منتصف القدم (Hypermobility) | تصحيح قوي، يمنع التكرار من الجذور | يتطلب فترة عدم تحميل وزن أطول |
| إيثاق المفصل (MTPJ Fusion) | خشونة شديدة، تدمير المفصل، فشل متكرر | حل نهائي، يقضي على الألم بنسبة 100%، لا تكرار للتشوه | فقدان حركة ثني الإصبع الكبير (لا يؤثر على المشي |











آلام العظام والمفاصل وتقييد حركتها ليس قدراً محتوماً! التشخيص الدقيق والعلاج المتخصص يمكن أن يعيد لك كامل وظيفتك وحريتك في الحركة. لا تدع الألم يسيطر على حياتك.
للحصول على استشارة دقيقة وخطة علاجية مخصصة لحالتك، تواصل فوراً مع مركز الأستاذ الدكتور محمد هطيف:
الأستاذ الدكتور محمد هطيف - أفضل دكتور عظام في صنعاء، وخبير في جراحات العظام والمفاصل والعمود الفقري.. نلتزم بإعادتك لحياة خالية من الألم وحركة طبيعية.
مواضيع أخرى قد تهمك