جراحة عظمة إبهام القدم الأروح بتقنية ماو: حل متقدم للورم الملتهب مع الأستاذ الدكتور محمد هطيف

الخلاصة الطبية
جراحة ماو هي إجراء جراحي مستقر وفعال للغاية لعلاج تشوه إبهام القدم الأروح (الورم الملتهب) المتوسط إلى الشديد. تتضمن إعادة تنظيم عظم المشط الأول بدقة لتصحيح الانحراف وتخفيف الألم، مما يعيد الوظيفة الطبيعية للقدم ويحسن جودة حياة المريض.
مقدمة شاملة: عندما يلتقي العلم بالدقة في جراحة القدم والكاحل
أهلاً بكم في العالم المعقد والمذهل لجراحة القدم والكاحل، حيث يلتقي العلم الطبي بالدقة الميكانيكية لإعادة الراحة، الوظيفة، والحركة الطبيعية للإنسان. اليوم، نتناول بالتفصيل المعمق حالة شائعة للغاية ولكنها غالبًا ما تكون معقدة ومزعجة: تشوه إبهام القدم الأروح (Hallux Valgus)، المعروف في الأوساط العامة باسم "الورم الملتهب" أو "الوكعة". في هذا الدليل الطبي الشامل، سنركز بشكل خاص وحصري على تقنية جراحية متقدمة، قوية، وفعالة تُعرف باسم "جراحة عظمة ماو" (Mau Osteotomy).

إن إبهام القدم الأروح ليس مجرد نتوء عظمي مؤلم يظهر على جانب القدم؛ بل هو تشوه هيكلي ثلاثي الأبعاد وتدريجي يمكن أن يؤثر بشكل كبير ومباشر على نوعية حياة المريض. هذا التشوه يسبب ألماً مزمناً، صعوبة بالغة في المشي، استحالة في ارتداء الأحذية العادية، وتغييراً في الميكانيكا الحيوية للقدم بأكملها مما قد يؤدي إلى آلام في الركبة والظهر. في الحالات الخفيفة، قد تجدي العلاجات التحفظية نفعاً، ولكن في الحالات المتوسطة إلى الشديدة، تصبح الحلول غير الجراحية غير كافية، وهنا يبرز دور التدخل الجراحي الدقيق.

تعتبر جراحة عظمة ماو (Mau Osteotomy) تقنية قوية ومستقرة بطبيعتها الميكانيكية، وهي مثالية لتصحيح الانحرافات الكبيرة والمعقدة لإبهام القدم الأروح. إن إتقان هذه الجراحة لا يأتي من فراغ؛ بل يتطلب دقة جراحية فائقة، فهماً عميقاً للتشريح ثلاثي الأبعاد للقدم، وعيناً ثاقبة للتفاصيل الدقيقة، وهو ما يقدمه الأستاذ الدكتور محمد هطيف كأفضل خبير في هذا المجال في اليمن.

نظرة تشريحية متعمقة: ما هو إبهام القدم الأروح؟
لفهم أهمية جراحة "ماو"، يجب أولاً فهم التشريح المعقد للقدم. تتكون القدم البشرية من 26 عظمة تعمل في تناغم تام لتوزيع وزن الجسم وتسهيل الحركة. المفصل المشطي السلامي الأول (First Metatarsophalangeal Joint)، وهو المفصل الموجود في قاعدة إصبع القدم الكبير، يتحمل جزءاً هائلاً من الضغط أثناء المشي والجري.

في حالة إبهام القدم الأروح، ينحرف عظم المشط الأول (First Metatarsal) نحو الداخل (نحو القدم الأخرى)، بينما ينحرف إصبع القدم الكبير نفسه نحو الخارج (نحو الأصابع الأخرى). هذا الانحراف المزدوج يخلق الزاوية البارزة التي نراها كـ "ورم". مع مرور الوقت، تتغير أوتار وأربطة القدم، مما يثبت التشوه ويجعله أسوأ.

هذا الخلل الميكانيكي يؤدي إلى خروج عظام السمسمانية (Sesamoid bones) - وهي عظام صغيرة أسفل المفصل تعمل كبكرات للأوتار - من مسارها الطبيعي، مما يسبب تآكلاً للغضاريف وألماً مبرحاً. جراحة ماو تهدف إلى إعادة كل هذه المكونات إلى مسارها التشريحي الصحيح.

الأسباب الجذرية وعوامل الخطر لتشوه إبهام القدم
لا يظهر الورم الملتهب بين عشية وضحاها، بل هو نتيجة لتراكم عوامل متعددة عبر سنوات. من أهم هذه الأسباب:
- العوامل الوراثية والجينية: إذا كان أحد والديك يعاني من إبهام القدم الأروح، فأنت أكثر عرضة للإصابة به. الوراثة تحدد شكل وهيكل القدم (مثل القدم المسطحة أو مرونة الأربطة الزائدة).
- الأحذية غير المناسبة: ارتداء الأحذية الضيقة من الأمام أو ذات الكعب العالي لفترات طويلة يضع ضغطاً غير طبيعي على مقدمة القدم، مما يسرع من تفاقم التشوه.
- الميكانيكا الحيوية الخاطئة: مثل تسطح القدمين (Flat Feet) أو الكب الزائد (Overpronation)، والتي تؤدي إلى توزيع غير متساوٍ للوزن على المفصل الأول.
- الأمراض الروماتيزمية: مثل التهاب المفاصل الروماتويدي، الذي يسبب تدميراً للمفاصل وضعفاً في الأربطة الداعمة.

الأعراض والمضاعفات: أكثر من مجرد شكل مزعج
يعتقد البعض أن مشكلة إبهام القدم الأروح تجميلية فقط، وهذا خطأ طبي فادح. الأعراض تشمل:
* ألم حاد ومزمن في قاعدة إصبع القدم الكبير، يزداد مع المشي أو الوقوف.
* احمرار وتورم والتهاب في الجراب الزلالي (Bursitis) المغطي للورم.
* تيبس في المفصل وصعوبة في ثني إصبع القدم.
* تراكب أصابع القدم (Overlapping toes)، حيث يصعد إصبع القدم الكبير فوق أو تحت الإصبع الثاني، مما يسبب مسامير اللحم (Corns).


التشخيص الدقيق: حجر الأساس للعلاج الناجح
لا يمكن تحديد نوع الجراحة المناسبة دون تقييم دقيق. الأستاذ الدكتور محمد هطيف يتبع بروتوكولاً تشخيصياً صارماً لضمان اختيار الإجراء الأمثل:
- الفحص السريري الشامل: لتقييم مدى مرونة التشوه، نطاق الحركة، وجود التهابات، وتقييم الدورة الدموية والأعصاب في القدم.
- التصوير بالأشعة السينية (X-rays) أثناء الوقوف: هذا أمر بالغ الأهمية. الأشعة والوزن محمل على القدم تظهر الدرجة الحقيقية للتشوه.

يقوم الدكتور هطيف بقياس زوايا محددة:
* زاوية إبهام القدم الأروح (HVA): الزاوية بين عظم المشط الأول والإصبع الكبير.
* الزاوية بين الأمشاط (IMA): الزاوية بين عظم المشط الأول والثاني.
بناءً على هذه الزوايا، يتم تصنيف الحالة إلى خفيفة، متوسطة، أو شديدة. جراحة (ماو) تُخصص عادة للحالات المتوسطة إلى الشديدة التي تتطلب تصحيحاً كبيراً ومستقراً.


الخيارات العلاجية: متى نلجأ للجراحة؟
قبل اتخاذ قرار الجراحة، يتم استنفاد كافة الخيارات التحفظية. ومع ذلك، يجب توضيح أن العلاج التحفظي لا "يُعالج" التشوه العظمي أو يعيده لشكله الطبيعي، بل يهدف فقط إلى تخفيف الألم ومنع التدهور السريع.

جدول مقارنة: العلاج التحفظي مقابل العلاج الجراحي (تقنية ماو)
| وجه المقارنة | العلاج التحفظي (غير الجراحي) | العلاج الجراحي (تقنية ماو) |
|---|---|---|
| الهدف الأساسي | تخفيف الألم والالتهاب المؤقت | تصحيح التشوه الهيكلي جذرياً وتخفيف الألم نهائياً |
| الأساليب المستخدمة | أحذية واسعة، دعامات تقويمية (Orthotics)، مسكنات، حقن كورتيزون، فواصل أصابع | تداخل جراحي لقص وتحريك العظم، تحرير الأنسجة، التثبيت ببراغي معدنية |
| القدرة على تصحيح العظم | معدومة (لا يمكن تعديل العظم بدون جراحة) | عالية جداً (تعيد القدم لشكلها ووظيفتها الطبيعية) |
| لمن يُنصح بها؟ | الحالات الخفيفة، كبار السن غير اللائقين للجراحة، أو كخطوة أولى | الحالات المتوسطة والشديدة، فشل العلاج التحفظي، الألم المعيق للحياة |
| فترة التعافي | لا يوجد (علاج مستمر لمدى الحياة) | 6 إلى 12 أسبوعاً للتعافي الكامل للعودة للنشاط الطبيعي |
| الاستقرار الميكانيكي | لا ينطبق | ممتاز (بفضل هندسة القطع في تقنية ماو) |
لماذا الأستاذ الدكتور محمد هطيف هو خيارك الأول في اليمن؟
عندما يتعلق الأمر بجراحة دقيقة ومعقدة مثل جراحة "ماو"، فإن اختيار الجراح هو العامل الحاسم في نجاح العملية. في العاصمة اليمنية صنعاء، يبرز اسم الأستاذ الدكتور محمد هطيف كمرجعية طبية وعلمية لا يعلى عليها في مجال جراحة العظام والمفاصل.

- المرتبة الأكاديمية والخبرة: بصفته أستاذاً دكتوراً (Professor) في جامعة صنعاء، يجمع الدكتور هطيف بين أحدث الأبحاث الأكاديمية والخبرة السريرية الممتدة لأكثر من 20 عاماً. أجرى آلاف العمليات الناجحة التي غيرت حياة مرضاه.
- التكنولوجيا والتقنيات الحديثة: الدكتور هطيف رائد في استخدام التقنيات الحديثة في اليمن، بما في ذلك الجراحة الميكروسكوبية (Microsurgery)، مناظير المفاصل بدقة 4K (Arthroscopy 4K)، وتغيير المفاصل الصناعية (Arthroplasty).
- الأمانة الطبية والمصداقية: يُعرف الدكتور هطيف بأمانته الطبية المطلقة. لا يوصي بالتدخل الجراحي إلا إذا كان المريض بحاجة ماسة إليه وكان هو الخيار الأمثل. تقييمه الشفاف والصادق يجعله محل ثقة مرضاه من جميع محافظات اليمن وخارجها.

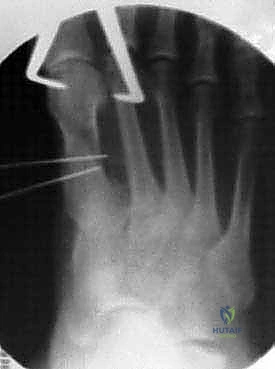
الغوص العميق في تقنية ماو (Mau Osteotomy)
سُميت تقنية ماو (Mau) بهذا الاسم نسبة إلى الجراح الذي وصفها، وهي عبارة عن قطع عظمي (Osteotomy) في جسم عظم المشط الأول. ما يميز هذه التقنية ويجعلها فريدة وقوية هو هندسة القطع الجراحي.
يتم إجراء القطع العظمي بشكل مائل، بدءاً من السطح الأخمصي القريب (Plantar-proximal) إلى السطح الظهري البعيد (Dorsal-distal). هذا الاتجاه المائل للقطع يوفر استقراراً ميكانيكياً هائلاً ضد قوى الإزاحة التي تحدث أثناء تحمل الوزن والمشي.

المزايا الميكانيكية الحيوية لتقنية ماو:
- تصحيح الزوايا الكبيرة: تتيح هذه التقنية تحريك العظم بمسافة كبيرة لتصحيح زاوية (IMA) الواسعة جداً.
- الاستقرار الذاتي: بفضل اتجاه القص، عندما يقف المريض، فإن وزن الجسم يضغط العظمتين معاً بدلاً من فصلهما، مما يقلل الضغط على براغي التثبيت ويسرع التئام العظم.
- الحفاظ على طول المشط: على عكس بعض الجراحات الأخرى التي قد تقصر إصبع القدم، تقنية ماو تحافظ على طول عظم المشط، مما يمنع حدوث آلام في الأمشاط المجاورة (Transfer Metatarsalgia).

الدليل الشامل: خطوات جراحة ماو خطوة بخطوة
يتم إجراء هذه العملية بدقة بالغة تحت إشراف الأستاذ الدكتور محمد هطيف وفريقه الطبي المتخصص. إليكم تفصيل لمراحل الجراحة:
الخطوة الأولى: التحضير والتخدير
تبدأ العملية بتعقيم شامل للقدم والساق. يمكن إجراء العملية تحت التخدير النصفي (الشوكي) أو التخدير الموضعي للعصب (Nerve Block) مع تخدير وريدي مهدئ، ونادراً ما يُستخدم التخدير العام.

الخطوة الثانية: الشق الجراحي وتحرير الأنسجة الرخوة
يتم عمل شق جراحي دقيق على الجانب الداخلي للقدم. قبل لمس العظم، يقوم الدكتور هطيف بإجراء حيوي يُعرف بـ (Modified McBride Procedure)، وهو تحرير الأنسجة الرخوة والأربطة المشدودة على الجانب الخارجي للمفصل، مما يسمح للعظم بالعودة لمكانه بحرية دون شد عكسي.

الخطوة الثالثة: إجراء القطع العظمي (The Mau Cut)
باستخدام منشار جراحي دقيق جداً (Micro-saw)، يقوم الجراح بعمل القطع المائل المميز لتقنية ماو. يتطلب هذا الأمر دقة هندسية وخبرة طويلة لضمان الزاوية الصحيحة للقطع.

الخطوة الرابعة: إعادة التوجيه والتثبيت الداخلي
بعد قص العظم، يتم تحريك الجزء البعيد (الذي يحمل المفصل والإصبع) نحو الخارج لتصحيح التشوه وتضييق المسافة بين الأمشاط. بمجرد الوصول للوضع المثالي، يتم تثبيت العظمين معاً بقوة باستخدام برغيين أو ثلاثة من التيتانيوم الطبي عالي الجودة. هذه البراغي تدفن داخل العظم ولا تحتاج للإزالة لاحقاً.

الخطوة الخامسة: الإغلاق التجميلي
بعد التأكد من استقرار العظم ووضعه المثالي (غالباً باستخدام جهاز أشعة سينية داخل غرف العمليات Fluoroscopy)، يتم إزالة النتوء العظمي المتبقي. أخيراً، تُغلق الكبسولة المفصلية والجلد بخياطة تجميلية دقيقة لتقليل الندبات، وتوضع ضمادات ضاغطة خاصة.

دليل التأهيل الشامل بعد جراحة عظمة ماو
نجاح الجراحة لا يعتمد فقط على مهارة الجراح، بل يكتمل بالتزام المريض ببرنامج التأهيل. التئام العظم يستغرق وقتاً، ويجب احترام البيولوجيا الطبيعية للجسم.

جدول البرنامج التأهيلي بعد جراحة ماو
| المرحلة الزمنية | الأهداف الرئيسية | إرشادات التحميل والمشي | العناية الطبية والعلاج الطبيعي |
|---|---|---|---|
| الأسبوع 1 - 2 | تقليل التورم، التئام الجرح، السيطرة على الألم | عدم تحميل الوزن أو تحميل جزئي جداً على الكعب باستخدام حذاء ما بعد الجراحة (Post-op Shoe) وعكازات. | رفع القدم فوق مستوى القلب باستمرار، وضع ثلج خلف الركبة، تناول المسكنات. إزالة الغرز في نهاية الأسبوع الثاني. |
| الأسبوع 3 - 6 | حماية التئام العظم المبدئي، بدء حركة المفصل | تحميل وزن جزئي إلى كلي باستخدام الحذاء الجراحي المخصص. يمنع المشي حافياً. | بدء تمارين تحريك إصبع القدم الكبير (للأعلى والأسفل) لمنع تيبس المفصل. |
| الأسبوع 6 - 12 | التئام العظم الكامل، استعادة القوة العضلية | الانتقال تدريجياً لارتداء أحذية رياضية واسعة ومريحة. المشي الطبيعي. | جلسات علاج طبيعي مكثفة لاستعادة المدى الحركي الكامل، تقوية عضلات الساق والقدم، وتحسين التوازن. |
| بعد 3 أشهر فأكثر | العودة للحياة الطبيعية والأنشطة الرياضية | لا توجد قيود. يمكن ارتداء معظم أنواع الأحذية (مع تجنب الكعب العالي جداً والضيق لتجنب الانتكاس في المستقبل). | العودة التدريجية للجري، القفز، والرياضات المجهدة حسب توجيهات الدكتور هطيف. |


قصص نجاح تلهم الأمل من عيادة الأستاذ الدكتور محمد هطيف
الطب ليس مجرد نظريات ومشارط، بل هو إحداث تغيير حقيقي في حياة الناس. في عيادة الدكتور هطيف في صنعاء، تتكرر قصص النجاح التي تعكس جودة الرعاية الطبية.
حالة السيدة فاطمة (45 عاماً - معلمة):
عانت فاطمة من آلام مبرحة في قدمها اليمنى بسبب تورم ملتهب شديد، مما جعل وقوفها في الفصل الدراسي بمثابة تعذيب يومي. بعد تقييم دقيق، أجرى لها الدكتور هطيف جراحة "ماو". تقول فاطمة: "كنت أخشى الجراحة، لكن دقة الدكتور هطيف وأمانته طمأنتني. اليوم، بعد 4 أشهر من العملية، عدت لعملي، أمشي براحة تامة، واختفى الألم تماماً. لقد استعدت حياتي".

آلام العظام والمفاصل وتقييد حركتها ليس قدراً محتوماً! التشخيص الدقيق والعلاج المتخصص يمكن أن يعيد لك كامل وظيفتك وحريتك في الحركة. لا تدع الألم يسيطر على حياتك.
للحصول على استشارة دقيقة وخطة علاجية مخصصة لحالتك، تواصل فوراً مع مركز الأستاذ الدكتور محمد هطيف:
الأستاذ الدكتور محمد هطيف - أفضل دكتور عظام في صنعاء، وخبير في جراحات العظام والمفاصل والعمود الفقري.. نلتزم بإعادتك لحياة خالية من الألم وحركة طبيعية.
مواضيع أخرى قد تهمك