القائمة
Reverse Total Shoulder Prosthesis
Implants (Plates, Screws, Pins, Rods)

Reverse Total Shoulder Prosthesis

تصميم كرة ومقبس معكوس (كرة حقانية + كأس عضدية) لاعتلال مفصل الكفة المدورة والتمزقات الضخمة غير القابلة للإصلاح.

المادة المصنعة
Titanium + CoCrMo + HXLPE
طريقة التعقيم
Gamma
تنبيه هام المعلومات المقدمة حول هذه الأداة أو الجهاز الطبي هي للأغراض التثقيفية والمرجعية فقط. يجب على المرضى مراجعة الطبيب المختص أو فني العظام للحصول على التعليمات الدقيقة للتركيب والاستخدام.

فهم مفصل الكتف العكسي الكلي: دليل شامل

مفصل الكتف هو تحفة من الهندسة البشرية، يوفر نطاقًا لا مثيل له من الحركة. ومع ذلك، فهو عرضة أيضًا لحالات منهكة، خاصة تلك التي تؤثر على الكفة المدورة. في الحالات الشديدة، خاصة عندما تكون الكفة المدورة تالفة بشكل لا يمكن إصلاحه، فقد قدم حل جراحي ثوري يُعرف باسم مفصل الكتف العكسي الكلي (RTSP) نتائج تحويلية للمرضى. يهدف هذا الدليل الشامل، الذي أعده خبير في كتابة محتوى تحسين محركات البحث الطبية ومتخصص في جراحة العظام، إلى تزويد المرضى بنظرة عامة موثوقة وشاملة وسهلة الفهم حول هذا الإجراء المتقدم في جراحة العظام.

1. مقدمة ونظرة عامة شاملة

ما هو مفصل الكتف العكسي الكلي؟

مفصل الكتف العكسي الكلي (RTSP)، والذي يشار إليه غالبًا باسم استبدال الكتف العكسي، هو نوع متخصص من جراحة استبدال مفصل الكتف (الرأب المفصلي). على عكس استبدال الكتف الكلي التقليدي حيث يتم محاكاة التشريح الطبيعي (الكرة على عظم العضد، التجويف على لوح الكتف)، فإن RTSP يعكس هذا التكوين حرفيًا. في الاستبدال العكسي، يتم تثبيت كرة معدنية (الكرة الحقانية) على لوح الكتف، ويتم ربط تجويف بلاستيكي (الكأس العضدي) بعظم الذراع العلوي (العضد).

لماذا "عكسي"؟ التحول الميكانيكي الحيوي

هذا "الانعكاس" ليس عشوائيًا؛ إنه حل ميكانيكي حيوي رائع مصمم لمعالجة مشاكل محددة. السبب الرئيسي لهذا التصميم هو السماح للعضلة الدالية - العضلة الكبيرة التي تغطي الكتف - بتولي وظيفة الكفة المدورة التالفة أو غير الموجودة. عن طريق تحريك مركز دوران مفصل الكتف وسطيًا وبعيدًا، تكتسب العضلة الدالية ميزة ميكانيكية، مما يمكّن المرضى من رفع ذراعهم حتى بدون كفة مدورة وظيفية.

من يستفيد من RTSP؟

يوصى بـ RTSP عادةً للمرضى الذين يعانون من حالات يكون فيها الكفة المدورة تالفة بشدة وغير قادرة على العمل، وغالبًا ما تكون مصحوبة بالتهاب المفاصل. لقد حسن بشكل كبير نوعية حياة عدد لا يحصى من الأفراد الذين كانوا يعانون سابقًا من خيارات محدودة لتخفيف الألم واستعادة الوظيفة.

2. تعمق في المواصفات الفنية / الآليات

التصميم والمواد: مكونات RTSP

RTSP هو نظام زرع متطور يتكون من عدة مكونات رئيسية، كل منها مصمم للمتانة والتوافق الحيوي:

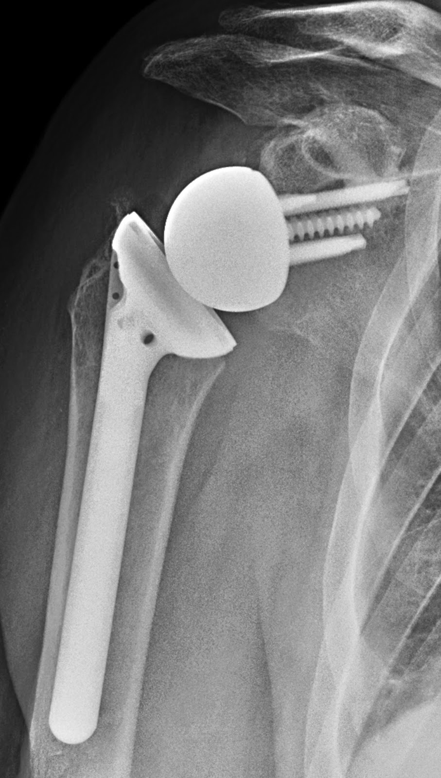
  1. الكرة الحقانية (Glenosphere): هذا هو المكون الكروي المعدني الذي يتم تثبيته على التجويف الحقاني (الوعاء) للوح الكتف. عادة ما يكون مصنوعًا من سبيكة الكوبالت والكروم المصقولة جيدًا، والمعروفة بقوتها ومقاومتها للتآكل.
  2. لوحة القاعدة الحقانية (Glenoid Baseplate): عادة ما يتم تثبيت لوحة قاعدة من التيتانيوم على لوح الكتف بمسامير. ثم يتم ربط الكرة الحقانية بهذه اللوحة. يفضل التيتانيوم لتوافقه الحيوي الممتاز وقدرته على الاندماج مع العظام (الاندماج العظمي).
  3. الجذع العضدي (Humeral Stem): يتم إدخال هذا المكون في القناة النخاعية (تجويف النخاع) لعظم العضد (عظم الذراع العلوي). عادة ما يكون مصنوعًا من التيتانيوم أو الكوبالت والكروم. يوفر الجذع الثبات ومنصة للكأس العضدي.
  4. الكأس العضدي (Humeral Cup): هذا هو المكون البلاستيكي (البولي إيثيلين) الذي يتصل بالكرة الحقانية. عادة ما يكون مصنوعًا من البولي إيثيلين عالي الوزن الجزيئي للغاية (UHMWPE)، وهي مادة مختارة لاحتكاكها المنخفض ومقاومتها للتآكل وتوافقها الحيوي الممتاز.
  5. الصينية العضدية (Humeral Tray): غالبًا ما يجلس الكأس العضدي داخل صينية عضدية معدنية، عادة ما تكون مصنوعة من التيتانيوم أو الكوبالت والكروم، والتي يتم تثبيتها بعد ذلك بالجذع العضدي.

نظرة عامة على المواد:
| المكون | المادة الأساسية | الخصائص الرئيسية |
| :-------- | :--------------- | :------------- |
| الكرة الحقانية | كوبالت-كروم | القوة، مقاومة التآكل، سطح مصقول |
| لوحة القاعدة الحقانية | تيتانيوم | التوافق الحيوي، الاندماج العظمي |
| الجذع العضدي | تيتانيوم/كوبالت-كروم | القوة، الثبات |
| الكأس العضدي | UHMWPE | احتكاك منخفض، مقاومة التآكل، توافق حيوي |
| الصينية العضدية | تيتانيوم/كوبالت-كروم | الثبات، الدعم الهيكلي |

الميكانيكا الحيوية: كيف يعمل الانعكاس

تكمن عبقرية RTSP في ميكانيكيتها الحيوية المتغيرة:

  • توسيط وتحريك مركز الدوران: بوضع الكرة على التجويف الحقاني، يتم تحريك مركز دوران المفصل إلى الداخل (وسطيًا) وإلى الأسفل (بعيدًا). هذا التغيير الدقيق ولكن الحاسم له تأثيرات عميقة.
  • تعزيز رافعة العضلة الدالية: هذا المركز الجديد للدوران يطيل بشكل فعال ذراع الرافعة للعضلة الدالية. هذا يعني أن العضلة الدالية يمكنها توليد المزيد من القوة لانقباض معين، مما يعوض عن الكفة المدورة الغائبة أو التالفة.
  • تحسين حركة الرفع والإبعاد: التحسن الوظيفي الأساسي الذي يظهر مع RTSP هو القدرة على رفع الذراع بعيدًا عن الجسم (الإبعاد) وفوق الرأس (الرفع)، وهي حركات تتأثر بشدة عندما تكون الكفة المدورة غير وظيفية.
  • القيود: بينما يعتبر RTSP ممتازًا للرفع والإبعاد، فإن الدوران الخارجي (تدوير الذراع إلى الخارج) يمكن أن يكون محدودًا مع RTSP، حيث غالبًا ما تكون العضلات الدوارة الخارجية الأصلية (جزء من الكفة المدورة) ناقصة.

آلية العمل: تمكين العضلة الدالية

في الكتف السليم، تعتبر عضلات الكفة المدورة (فوق الشوكة، تحت الشوكة، المدورة الصغيرة، تحت الكتف) ضرورية لبدء والتحكم في حركات الذراع، خاصة الرفع فوق الرأس والدوران. عندما تتلف هذه العضلات بشدة أو تتمزق، فإن العضلة الدالية، على الرغم من كونها قوية، لا يمكنها رفع الذراع بفعالية لأنها تفتقر إلى نقطة الارتكاز المستقرة التي توفرها الكفة المدورة السليمة.

ينشئ RTSP نقطة ارتكاز اصطناعية ومستقرة عن طريق عكس الكرة والتجويف. تسمح نقطة الارتكاز الجديدة هذه للعضلة الدالية بسحب عظم العضد بفعالية ورفع الذراع، مما يعيد حركة وظيفية كبيرة للمرضى الذين عانوا سابقًا من "الشلل الكاذب" (عدم القدرة على رفع الذراع على الرغم من وجود عضلة دالية سليمة).

3. مؤشرات سريرية واستخدامات واسعة

يعد مفصل الكتف العكسي الكلي علاجًا فعالًا للغاية لحالات الكتف المحددة، والتي غالبًا ما تكون معقدة.

المؤشرات الأولية:

  1. اعتلال مفصل الكفة المدورة (RCTOA): هذا هو المؤشر الأكثر شيوعًا. يحدث عندما يؤدي تمزق هائل وغير قابل للإصلاح في الكفة المدورة منذ فترة طويلة إلى هجرة علوية لرأس العضد، مما يسبب تلفًا في الغضروف والتهاب مفاصل شديد. يعتبر RTSP مناسبًا بشكل فريد لمعالجة كل من نقص الكفة المدورة والتهاب المفاصل.
  2. فشل استبدال الكتف الكلي التقليدي (TSA) مع نقص الكفة المدورة: إذا فشل استبدال الكتف التقليدي بسبب تمزق الكفة المدورة التدريجي، مما يؤدي إلى عدم استقرار أو ألم، فقد يكون التحويل إلى RTSP ضروريًا.
  3. كسور عظم العضد القريبة المعقدة: في المرضى المسنين الذين يعانون من ضعف جودة العظام أو في الحالات التي تكون فيها شظايا الكسر كثيرة جدًا أو صغيرة جدًا بحيث لا يمكن إعادة بنائها، يمكن أن يوفر RTSP نتيجة متوقعة لتخفيف الألم والوظيفة، خاصة عندما تكون الكفة المدورة متأثرة بالكسر.
  4. تمزقات الكفة المدورة غير القابلة للإصلاح مع الشلل الكاذب: المرضى الذين لا يستطيعون رفع ذراعهم بنشاط فوق 90 درجة بسبب تمزق هائل وغير قابل للإصلاح في الكفة المدورة، حتى بدون التهاب مفاصل كبير، قد يكونون مرشحين.
  5. التهاب مفصل الكتف الحقاني العضدي الشديد مع نقص كبير في الكفة المدورة: على غرار RCTOA، ولكن ربما بدون نمط الهجرة العلوية الكلاسيكي، إذا كانت كلتا الحالتين موجودتين، غالبًا ما يفضل RTSP.
  6. إعادة بناء بعد استئصال الورم: في حالات نادرة، بعد إزالة الأورام في عظم العضد القريب أو التجويف الحقاني، يمكن استخدام RTSP لإعادة البناء.

الإجراء الجراحي (نظرة عامة للمريض):

تُجرى الجراحة تحت التخدير العام، غالبًا مع إحصار عصبي إقليمي لتخفيف الألم لفترة طويلة.

  1. التخطيط قبل الجراحة: تستخدم الأشعة السينية التفصيلية، والأشعة المقطعية، وأحيانًا التصوير بالرنين المغناطيسي لتقييم جودة العظام، وحالة الكفة المدورة، وتخطيط حجم وموضع الزر
شارك هذا الدليل: