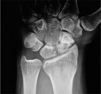
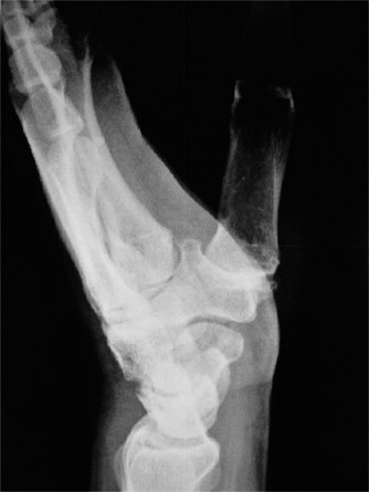
CASE 11 ### A patient presents to your clinic with ulnar-sided wrist pain. X-ray is as shown in Figure 3–10. What is your diagnosis?
- Fracture of the triquetrum
- Osteochondroma
- Chondrocalcinosis
- Pisotriquetral arthritis
- Ectopic ossification
🔍 Click to enlargeClinical Radiograph / Orthopedic Image
Figure 3–10(©) Sunil Thirkannad and Christine M. Kleinert.
Discussion
The correct answer is (D). The findings in the radiographs are consistent with pisotriquetral arthritis.
What sort of bone is the pisiform?
- Atavistic bone
- Sesamoid bone
- Pseudo-membranous bone
- Migratory bone
- Midcarpal bone
Discussion
The correct answer is (B).
In which tendon would you find the pisiform?
- Flexor carpi radialis
- Flexor carpi ulnaris
- Flexor pisiformis brevis
- Palmaris brevis
- Abductor digitorum longus
Discussion
The correct answer is (B). The pisiform is located within the flexor carpi ulnaris tendon. There are no muscles named either the flexor pisiformis brevis or abductor digitorum longus.
Which of the following ligaments is “not” a distal extension of the FCU-pisiform complex?
- Pisotriquetral ligament
- Piso-hamate ligament
- Piso 5th metacarpal ligament
- Piso-scaphoid ligament
- All of the above are part of the FCU-pisiform complex
Discussion
The correct answer is (D). Objectives: Did you learn...? Identify radiographic findings of pisotriquetral arthritis? Identify the osteology of the pisiform?
Describe the anatomy of the pisiform? CASE 12 ### A 68-year-old farmer presents to your clinic with pain in his wrist. He mentions that it started as an intermittent discomfort about 1 year ago but has progressively worsened to the point where he cannot perform his daily activities
without experiencing considerable pain. During examination, you decide to perform the Watson’s test. How would you do this?
- Start by holding the wrist in ulnar deviation and move it into radial deviation while simultaneously applying a dorsally directed force to the scaphoid tubercle
- Start by holding the wrist in radial deviation and move it into ulnar deviation while simultaneously applying a volarly directed force to the scapholunate region
- Twist the wrist in a pronosupinatory maneuver while simultaneously applying a traction force
- Flex and extend the wrist while simultaneously applying a compressive force toward the radius
- Apply axial pressure along the thumb while simultaneously twisting it along its long axis in a grinding manner
Discussion
The correct answer is (A).
Which joint are you testing for by performing a Watson’s test?
- Midcarpal joint
- Lunotriquetral joint
- Scaphotrapeziotrapezoidal joint
- Scaphocapitate joint
- Scapholunate joint
Discussion
The correct answer is (E).
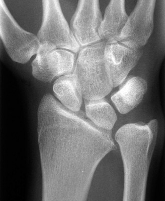
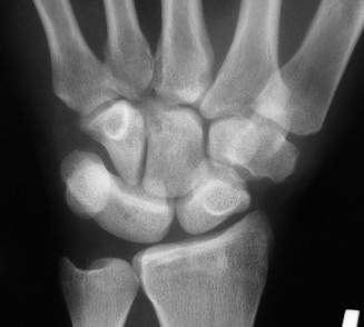
-
ray (Fig. 3–11) taken at the time of the visit is as shown. The radiologist reports this as SLAC wrist. What does SLAC stand for?
- Scapholunate arthritic condition
- Scaphoid laxity and collapse
- Scapholunate–advanced collapse
- Severe lunate arthritic collapse
- None of the above
🔍 Click to enlargeClinical Radiograph / Orthopedic Image
Figure 3–11(©) Sunil Thirkannad and Christine M. Kleinert.
Discussion
The correct answer is (C).
Which of the following procedures would be a reasonable option for this patient?
- Proximal row carpectomy
- Scaphoid excision and four-corner fusion
- Scaphoid excision and replacement with a silastic scaphoid prosthesis
- Radio carpal interposition arthroplasty with fascia lata
Discussion
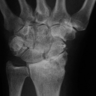
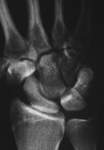
The correct answer is (B). The patient has a severe SLAC wrist with involvement of the midcarpal joint. Loss of cartilage over the proximal pole of the capitate precludes a proximal row carpectomy. By the same token, interposition arthroplasty at the radio carpal joint alone fails to address the midcarpal problem. The use of a silastic prosthesis for the scaphoid has been abandoned due to very high rates of failure. Objectives: Did you learn...? Properly perform the Watson’s test? Identify a SLAC wrist and treat it? CASE 13 ### A patient presents with a history of chronic wrist pain of 6 years duration. He stated that he sustained a fall 9 years ago. Immediately after injury, he did not seek any medical attention, thinking that he had merely sprained his wrist. An xray taken at this visit is shown (Fig. 3–12). What does he have?
1. SNAC wrist
2. SLAC wrist
3. Prieser’s disease
4. Snack wrist
5. Slack wrist

Figure 3–12(©) Sunil Thirkannad and Christine M. Kleinert.
Discussion
The correct answer is (A).
What does SNAC stand for?
- Scapho-navicular arthritic changes
- Severe navicular arthitic changes
- Scaphoid nonunion with advanced collapse
- Scaphoid nonunion with arthritis changes
- None of the above
Discussion
The correct answer is (C).
What treatment options can be considered in general for a patient with SNAC wrist?
- Scaphoid excision with four-corner fusion
- Proximal row carpectomy
- Total wrist arthroplasty
- Total wrist fusion
- All of the above
Discussion
The correct answer is (E). Any of the above-mentioned procedures can be considered for a patient with SNAC wrist. The specific procedure chosen depends on the amount of midcarpal and radio carpal (especially radiolunate) involvement, as well as the patient’s level of physical activity participation.
You choose to perform a scaphoid excision with four-corner fusion. Which four bones are fused in this procedure?
- Trapezium, trapezoid, capitate, and hamate
- Pisiform, triquetrum, trapezium, and trapezoid
- Capitate, hamate, triquetrum, and pisiform
- Lunate, capitate, trapezium, and trapezoid
- Lunate, triquetrum, capitate, and hamate
Discussion
The correct answer is (E). Objectives: Did you learn...? Identify radiographic findings of SNAC wrist? Define the concept and treatment of SNAC wrist?
Identify the mechanis of four-corner fusion? CASE 14 ### A patient presents after a fall on an outstretched hand. X-rays reveal a distal radius and ulnar styloid fracture. You decide to perform open reduction and internal fixation with a volar plate and screws. Which segment of the distal radius is considered to be the keystone in fixing these fractures?
1. Radial styloid
2. Lister’s tubercle
3. The volar ulnar part of the lunate fossa
4. The dorsal half of the sigmoid notch
5. Scaphoid fossa
Discussion
The correct answer is (C).
While placing the plate, you remember hearing that the plate needs to be placed proximal to a certain landmark line. What is this line called?
- Watershed line
- Cardinal line
- Translational line
- Tectonic line
- Finish line
Discussion
The correct answer is (A). The watershed line is a faint ridge corresponding roughly to the distal border of the pronator quadratus and its aponeurosis. It is shaped like an asymmetric double curve with the ulnar part of the curve extending a little more distal than the radial part.
What complication are you likely to avoid by placing the plate proximal to the watershed line?
- Dorsal penetration of screws
- Attritional rupture of flexor pollicis longus
- Rotational malalignment of fracture fragments
- Screw penetration through the sigmoid notch
- Damage to the short radiolunate ligament
Discussion
The correct answer is (B). Placing the plate distal to the watershed line leads to a prominence of the distal edge of the plate. Over time, the flexor pollicis longus can sustain attritional rupture due to friction against this prominent edge.
Which of the following features of an ulnar styloid fracture has been shown to definitively predispose to instability of the distal radioulnar joint?
- Fractures involving greater than 50% of the size of the styloid
- Fractures displaced more than 2 mm
- Fractures with greater than 90-degree rotation of the fragment
- All of the above
- None of the above
Discussion
The correct answer is (E). No studies have consistently shown any feature of the ulnar styloid fracture that can successfully predict instability of the distal radioulnar joint. Objectives: Did you learn...? Perform the proper technique for open reduction and internal fixation of distal radius fractures?
Identify complications of ORIF of distal radius fractures and how to avoid them? CASE 15 ### A 19-year-old female patient presents with progressive aching pains in her wrist. She does not recollect any injury to her wrist. An x-ray (Fig. 3–13) is as shown. What do you think she has?
1. Radial club hand
2. Madelung’s deformity
3. Malunited distal radius fracture
4. Achondroplasia
5. Fibrous dysplasia

Figure 3–13(©) Sunil Thirkannad and Christine M. Kleinert.
Discussion
The correct answer is (B).
What is the purported cause of a Madelung’s deformity?
- Injury to the volar ulnar corner of the distal radial epiphysis
- Injury to the volar radial corner of the distal radial epiphysis
- Injury to the dorsal ulnar corner of the distal radial epiphysis
- Injury to the dorsal radial corner of the distal radial epiphysis
- None of the above
Discussion
The correct answer is (A).
What structure has been implicated in causing a proximal luxation of the lunate?
- Radio-scaphocapitate ligament
- Ulno-triquetral bundle
- Cooper’s ligament
- Vicker ’s ligament
- Ligament of Legue and Juvarra
Discussion
The correct answer is (D). Vicker ’s ligament is a thickened fibrous structure that connects the lunate to the radius. Often, a beak-like protrusion can be seen on the ulnar volar aspect of the distal radius corresponding to the point of attachment of the ligament. It has been proposed that as the ulna continues to grow, the lunate is prevented from migrating distally with growth by Vicker ’s ligament which tethers it to the radius thus leading to an eventual proximal luxation.
Which of the following procedures have been used in the treatment of Madelung’s deformity?
- Osteotomy and realignment of the distal radius
- Epiphyseodesis of the ulna
- Total replacement of the distal radioulnar joint
- A and B
- All of the above
Discussion
The correct answer is (E). Objectives: Did you learn...? Identify Madelung’s deformity on a radiograph? Describe the etiology of Madelung’s deformity? Treat Madelung’s deformity? CASE 16 ### An avid golfer presents to your clinic with sudden onset of pain at the base of his hypothenar eminence when he accidentally struck the ground mid swing. You
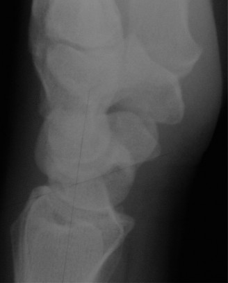
suspect a fracture of the hook of the hamate. Routine PA and lateral x-rays do not reveal any fracture. Which of the following views would you then ask for?
- Notch view
- Grip view
- Carpal tunnel view
- Ulnar-deviated PA view
- Roberts view
Discussion
The correct answer is (C).
-
rays are still inconclusive. Which of the following imaging modalities is most sensitive in detecting acute fractures?
- MRI
- CT scan
- CT arthrogram
- Ultrasound scan
- X-ray tomography
Discussion
The correct answer is (A).
A fracture of the hook of hamate is confirmed. You decide to proceed with open reduction and internal fixation with a headless screw. Which structure is at risk of injury during surgery?
- Motor branch of median nerve
- Deep branch of ulnar nerve
- Nerve of Henle
- Common digital nerve to the fourth web
- Palmar cutaneous branch of the median nerve
Discussion
The correct answer is (B). The ulnar nerve trifurcates in the distal part of Guyon’s canal into the deep motor branch, the ulnar digital nerve of the small finger, and the common digital nerve to the fourth web. The deep motor branch curves radially along the base of the hook of the hamate and is particularly vulnerable to injury during surgery.
Which of the following structures is principally inserted into the hook of the hamate?
- Capitato-hamate ligament
- Ligament of Testut
- Naviculo-hamate ligament
- Piso-hamate ligament
- Hamato-lunate ligament
Discussion
The correct answer is (D). The piso-hamate ligament is an extension of the FCU tendon. Consequently, pain on resisted flexion of the wrist in ulnar deviation (i.e., resisted flexion of the FCU) can help confirm injury to the hook of the hamate. Objectives: Did you learn...? Properly image for the diagnosis of hamate fractures? Use MRI in the diagnosis of hamate fractures?
Identify complications of ORIF of hook and hamate fractures? Describe the anatomy of the hamate? CASE 17 A young sportsman presents with the following injury to his thumb ( Figure 3–14** ). What is your diagnosis?**
1. Barton’s fracture
2. Rolando’s fracture
3. Chauffeur’s fracture
4. Benton’s fracture
5. None of the above

Figure 3–14(©) Sunil Thirkannad and Christine M. Kleinert.
Discussion
The correct answer is (E). The lesion shown here is a Bennett’s fracture dislocation.
Which structure is responsible for stabilizing the proximal fragment in a Bennett’s fracture dislocation?
- Tip ligament
- Beak ligament
- Deep transverse ligament
- Ligament of Testut
- Triscaphe ligament
Discussion
The correct answer is (B).
Which two muscles are mainly responsible for the deformity seen here?
- Abductor pollicis brevis and first dorsal interosseous
- Abductor pollicis longus and first dorsal interosseous
- First dorsal interosseous and adductor pollicis
- Abductor pollicis longus and adductor pollicis
- Abductor pollicis longus and extensor pollicis brevis
Discussion
The correct answer is (D). The abductor pollicis longus (APL) exerts a proximal pull on the distal fragment causing it to migrate proximally while the adductor pollicis causes it to adduct, resulting in the characteristic deformity.
Which of the following is not part of management of an acute Bennett’s fracture?
- Closed reduction and splinting
- Open reduction and pinning of the first metacarpal to the trapezium
- Open reduction and release of the insertion of the abductor pollicis longus
- Closed reduction and pinning of the first metacarpal to the second metacarpal
- Open reduction and fixation with a screw
Discussion
The correct answer is (C). Release of the insertion of the abductor pollicis longus is not required in an acute injury. However, in chronically displaced fractures, secondary contracture of the APL may occur, necessitating this procedure. Objectives: Did you learn...? Identify imaging of Bennett’s fractures?
Describe the deforming forces of Bennett’s fractures? Manage Bennett’s fractures? CASE 18 ### A construction worker presents with persistent pain many years after sustaining an injury to his wrist. He indicates that he expects to continue in his present job for many more years. His x-ray is shown (Fig. 3–15). Which of the following surgical options would best suit his purpose?
1. Total wrist fusion
2. Total wrist arthroplasty
3. Proximal row carpectomy
4. Scaphoid excision and four-corner fusion
5. Radio scapholunate fusion

Figure 3–15(©) Sunil Thirkannad and Christine M. Kleinert.
Discussion
The correct answer is (A). The x-ray pictures reveal a malunited distal radius fracture with pan carpal arthritis involving the radio carpal and midcarpal joints. Options C, D, or E cannot be recommended in this situation. While a total wrist arthroplasty may be an option in a less demanding patient, it would not be appropriate for someone involved in heavy manual labor as a construction worker.
What is the optimal position for fusion of the wrist?
- 10- to 20-degree flexion
- 0- to 30-degree extension
- 40- to 60-degree extension
- 30- to 40-degree radial deviation
- 30- to 40-degree ulnar deviation
Discussion
The correct answer is (B).
What joint is not included in a typical total wrist fusion?
- Radioscaphoid joint
- Scaphocapitate joint
- Scaphotrapezoidal joint
- Scapholunate joint
- 3rd carpometacarpal joint
Discussion
The correct answer is (C).
Implant loosening over time has been commonly attributed to failure to achieve fusion across which joint?
- Scapholunate joint
- Lunotriquetral joint
- Capitate-hamate
- 3rd carpometacarpal joint
- Luno-capitate joint
Discussion
The correct answer is (D). Objectives: Did you learn...? Diagnose distal radius malunion? Describe proper position of wrist fusion?
Identify the joints involved in wrist fusion?
Identify the cause of implant loosening in wrist fusion? CASE 19 ### Several months after sustaining a fall on his outstretched hand, a patient presents to your clinic with pain over the central part of his wrist. You obtain the following x-ray (Fig. 3–16). What do you see?
1. Perilunate injury
2. VISI
3. SLAC
4. DISI
5. SNAC

Figure 3–16(©) Sunil Thirkannad and Christine M. Kleinert.
Discussion
The correct answer is (D).
What does DISI stand for?
- Dorsal inter scapholunate instability
- Dorsal intracarpal scapholunate instability
- Dorsal intercalated segmental instability
- Dorsal intercarpal segmental instability
- Dorsal intercalated scapholunate instability
Discussion
The correct answer is (C).
What part of the carpus does the term intercalated refer to?
- Capitate
- Scapholunate joint
- Scapholunate ligament
- Radioscaphocapitate ligament
- None of the above
Discussion
The correct answer is (E). The term intercalated refers to the scaphoid. This is the only bone in the carpus that bridges both the proximal and distal rows. Consequently it acts much like the crankshaft of a railway engine wheel and is hence referred to as an “intercalated” segment.
Which are the strongest parts of the scapholunate ligament?
- Dorsal part
- Proximal part
- Volar part
- A and C
- A and B
Discussion
The correct answer is (D). The scapholunate ligament is horseshoe-shaped. The dorsal and volar parts are the thickest and strongest, while the proximal part is usually much thinner. Objectives: Did you learn...? Identify the concepts and mechanics of DISI deformity? Describe the mechanics of the scapholunate ligament? CASE 20 ### Following a long-standing injury, a sportsman presents a radiology report indicating that he has a VISI deformity. Which part of the carpus is most likely injured?
1. The capitohamate joint
2. The scaphocapitate joint
3. The radiolunate joint
4. The lunotriquetral joint
5. The pisotriquetral joint
Discussion
The correct answer is (D).
If the patient has a VISI deformity, which radiographic measurement can be affected?
- The radiolunate angle
- The luno-capitate angle
- The scapholunate angle
- The lunotriquetral interval
- All of the above
Discussion
The correct answer is (E).
What is the normal scapholunate angle?
- 10 to 20 degrees
- 30 to 60 degrees
- 60 70 degrees
- 0 degree
- 90 degrees
Discussion
The correct answer is (B).
What is the normal intercarpal distance in adults?
- 1 mm
- <3 mm
- 3 to 5 mm
- Differs between each set of bones
Discussion
The correct answer is (B). Objectives: Did you learn...? Describe the pathoanatomy of VISI deformity? Identify VISI deformity from radiographs?
Describe the normal scapholunate angle? Describe the intercarpal distance in adults? CASE 21 ### Following an intense game of football, a player is brought to you with complaints of pain over the ulnar side of his wrist. X-rays reveal a transverse pisiform fracture. What is your treatment plan?
- Surgery; as these fractures do not heal
- Short arm splint
- Steroid injection
- Ace wrap
- Do nothing as these fractures heal uneventfully
Discussion
The correct answer is (B). A period of splinting in a short arm splint is a reasonable initial line of treatment for a pisiform fracture.
The pisiform is classified as what type of bone?
- Atavistic
- Membranous
- Rudimentary
- Intercalated
- Sesamoid
Discussion
The correct answer is (E).
The pisiform is located within which tendon?
- ECU
- FCU
- FDP of the small finger
- FDS of the small finger
- Palmaris brevis
Discussion
The correct answer is (B).
Your patient fails to respond to an initial period of splinting and you decide on a surgical approach. What is the preferred surgical procedure in this case?
- ORIF with k wires
- ORIF with a headless screw
- Excision of the pisiform
- Intraosseous wiring
- Injection of platelet-rich plasma
Discussion
The correct answer is (C). Excision of the pisiform is a frequently used procedure for chronic, intractable pain associated with pisiform fractures. It generally does not cause any measurable functional deficit. Objectives: Did you learn...? Treat pisiform fractures?
Describe the osteology of the pisiform?
Identify anatomy and surgical treatment of pisiform fractures? CASE 22 ### An elderly lady complains of pain at the base of both of her thumbs. She mentions that it is progressive and does not recollect any trauma to the region. An x-ray is shown (Fig. 3–17). What do you suspect?
1. 1st carpometacarpal (CMC) arthritis
2. Bennett’s fracture
3. Pathological fracture of the base of the trapezium
4. Avascular necrosis of the trapezium
5. Secondaries in the trapezium

Figure 3–17(©) Sunil Thirkannad and Christine M. Kleinert.
Discussion
The correct answer is (A).
She says that she has been suffering for too long and would like to proceed with surgery. Which of the following procedures has demonstrated the best longterm results?
- Trapezium excision alone
- Trapeziectomy followed by interposition arthroplasty using a free tendon graft anchovy
- Trapeziectomy followed by a sling arthroplasty using the FCR
- Trapeziectomy followed by a sling arthroplasty using the ECRL
- No difference has been demonstrated between any of the above procedures
Discussion
The correct answer is (E). Long-term studies have failed to demonstrate any appreciable differences between simple trapeziectomy versus any of the other procedures requiring some form of interposition or arthroplasty by ligament reconstruction. However, individual surgeons continue to perform any of the above procedures or their numerous variations based on personal preference.
You elect to perform a trapeziectomy and sling arthroplasty using part of the FCR tendon. Which structure is at direct risk of injury during dissection for this procedure?
- Sensory branch of the radial nerve
- Median nerve
- Palmar cutaneous branch of the median nerve
- Radial artery
- All of the above
Discussion
The correct answer is (E). The sensory branches of the radial nerve pass very closely to the site of incision over the 1st CMC joint. The median nerve as well as the palmar cutaneous branch of the median nerve are closely related to the FCR tendon and are at risk if an open dissection technique is used to harvest the tendon. The radial artery crosses the anatomical snuff box and is at risk during deep dissection around the trapezium.
During surgery, you discover that the FCR tendon has undergone attritional rupture and is unavailable for ligament reconstruction. Which alternate tendon has been used in these circumstances to recreate a similar biomechanical construct?
- EPL
- EPB
- ECRL
- ECRB
- Palmaris longus
Discussion
The correct answer is (C). The ECRL tendon also inserts to the base of the second metacarpal like the FCR. The difference lies in the fact that the FCR is volar while the ECRL is dorsal. Use of the ECRL to create a sling between the 1st and 2nd metacarpals recreates a similar biomechanical structure as would using the FCR. However, care must be taken to ensure that the ECRL tendon graft is passed deep to the radial artery prior to being delivered into the CMC joint area. Failing to do so and passing the tendon graft superficial to the radial artery can create a pincer effect on the artery and potentially lead to its occlusion and thrombosis. Objectives: Did you learn...? Identify CMC arthritis from radiographs? Treat CMC arthritis?
Name the structures at risk during surgical treatment? Identify the ligaments used for reconstruction? CASE 23 ### A 30-year-old lady in her third trimester of pregnancy presents with pain at the base of her right thumb. She denies history of any trauma and mentions that it is particularly painful while turning on her car keys. What would you consider most likely to be the cause of her pain?
1. Wartenburg’s syndrome
2. DeQuervain’s tenosynovitis
3. 1st CMC arthritis
4. Radial artery thrombosis in the anatomical snuff box
5. Radio-scaphoid arthritis
Discussion
The correct answer is (B). DeQuervain’s tenosynovitis is known to be aggravated or
sometimes even precipitated by pregnancy. While all the other conditions listed above can also potentially cause pain at the base of the thumb, they are significantly less common given the age and circumstances of this particular patient.
Which extensor compartment is affected in DeQuervain’s tenosynovitis?
- 1st
- 1st and 2nd
- 2nd
- 1st and 3rd
- 2nd and 3rd
Discussion
The correct answer is (A).
What tendons are affected by DeQuervain’s tenosynovitis?
- ECRL and ECRB
- APL and EPB
- EPB and EPL
- APL and APB
- APB and EPL
Discussion
The correct answer is (B).
Following a period of conservative treatment, you decide to proceed with surgery. Intraoperatively, you open the compartment and discover two tendons. Traction on both of these tendons produces abduction of the thumb metacarpal. You do not see any other tendons in this area. What is the most likely scenario?
- Nothing unusual. You have successfully decompressed the affected compartment
- The EPB is most likely missing in this patient
- The EPB has most likely ruptured in this patient
- The EPB is most likely located within a separate subcompartment
- The patient has a combined extensor pollicis longus et brevis
Discussion
The correct answer is (D). While responses A, B, C and are all possible, the
commonest variation seen is the presence of a separate subcompartment. In fact, studies have shown that the presence of a separate subcompartment for the EPB may actually be more common than the presence of a single compartment for the APL and EPB. Objectives: Did you learn...? Identify the compartment affected by DeQuervains tenosynovitis? Treat DeQuervains tenosynovitis?
Identify variatons of the first compartment anatomy? CASE 24 ### A 23-year-old auto mechanic presents with several months of an achy pain over the dorsum of his wrist. An x-ray is shown (Fig. 3–18). What is your diagnosis?
1. VISI deformity
2. DISI deformity
3. Osteosarcoma
4. Subluxation of the CMC joint
5. Carpal boss

Figure 3–18(©) Sunil Thirkannad and Christine M. Kleinert.
Discussion
The correct answer is (E).
What further investigation would you recommend in this case?
- MRI without contrast
- MRI with contrast
- Thin slice CT scans
- Radioisotope bone scan
- None of the above
Discussion
The correct answer is (E).
Plain radiography is sufficient to make a diagnosis of a carpal boss.
What is a carpal boss?
- Synonym for osteochondroma
- Osteophytes arising from the 2nd or 3rd CMC joint
- A malunited avulsed fracture of the ECRL tendon
- Ectopic calcium deposits secondary to hyperparathyroidism
- None of the above
Discussion
The correct answer is (B).
Which structures are at greater risk of rupture during surgery for a carpal boss?
- EPL at Lister’s tubercle
- The Juncturae tendinum between the EDC tendons
- ECRB tendon
- ECU tendon
- Extensor digitorum quinti tendon
Discussion
The correct answer is (C). The ECRB tendon inserts to the base of the 3rd metacarpal which is the most common site of a carpal boss. Often this tendon needs to be sharply dissected away from the metacarpal to enable excision of the osteophytes. Consequently, it is at a greater risk for potential rupture during
surgery. Objectives: Did you learn...? Identify a carpal boss? Diagnose a carpal boss?
Identify the structures at risk during treatment of carpal boss? CASE 25 ### Following a fall on his outstretched hand, a 27-year-old teacher presents with mild pain in his wrist. You obtain an x-ray which is shown (Fig. 3–19). What is your diagnosis?
1. Carpal coalition
2. Perilunate dislocation
3. DISI
4. VISI
5. None of the above

Figure 3–19(©) Sunil Thirkannad and Christine M. Kleinert.
Discussion
The correct answer is (A).
People of which ethnicity have a high incidence of lunotriquetral coalition?
- White Caucasians
- Native Americans
- Chinese Americans
- African Americans
- Ashkenazi Jews
Discussion
The correct answer is (D).
Which classification system is commonly used for lunotriquetral coalitions?
- Steindler classification
- Minnaar classification
- Swanson classification
- American Wrist Society classification
- Kleinert classification
Discussion
The correct answer is (B).
Which of the following radiological features is considered to be typical of Minnaar type 1 coalition?
- Fluted champagne glass appearance
- Notched appearance
- Complete coalition
- Triangle sign
- Signet Ring sign
Discussion
The correct answer is (A). Minnaar Type 1 refers to a fibrous/cartilaginous type of coalition. In these cases, the lunotriquetral joint is seen as a narrowed space, often slightly wider distally than proximally, giving the appearance of a fluted champagne glass. Objectives: Did you learn...? Identify carpal coalition from the imaging? Manage carpal coalition?
Classify Carpal coalition? CASE 26 ### An active, 19-year-old gymnast complains of ulnar-sided wrist pain. She has already obtained an MRI scan which reveals ECU tendinitis. Where does this tendon principally insert?
- Base of 4th metacarpal
- Hamate
- Dorsal ridge of triquetrum
- Blends with the 4th dorsal interosseous aponeurosis
- Base of 5th metacarpal
Discussion
The correct answer is (E).
What is the anatomical peculiarity of the ECU?
- It receives dual nerve supply
- It is the only extensor which also provides attachment to a lumbrical muscle
- It contains a sesamoid bone
- It is enclosed by a separate subsheath
- It is the only extensor not contained within a compartment
Discussion
The correct answer is (D).
Which extensor compartment does the ECU pass through?
- 4th
- 5th
- 6th
- 7th
- None of the above
Discussion
The correct answer is (C).
In addition to acting as a wrist extensor, what other role has been attributed to
the ECU?
- It stabilizes the ulnar head preventing dorsal subluxation
- It enables opposition of the 5th metacarpal
- It is responsible for rotatory movements at the capitate-hamate joint
- It augments the dorsal radio-triquetral bundle
- It provides attachment to the TFCC
Discussion
The correct answer is (A). The ECU tendon, along with its subsheath, acts as a dorsal stabilizer of the ulnar head. It passes through a groove on the dorsoulnar aspect of the head of the ulna and is known to play a role in preventing its dorsal subluxation. Objectives: Did you learn...? Recognize the anatomy of the ECU? Identify the role of the ECU? CASE 27 ### Several years after sustaining an injury to his wrist, a firefighter presents to your clinic with chronic wrist pain. What does his x-ray (Fig. 3–20) reveal?
1. DISI
2. Carpal coalition
3. Ulnar translation
4. VISI
5. None of the above

Figure 3–20(©) Sunil Thirkannad and Christine M. Kleinert.
Discussion
The correct answer is (C).
How much does the width of the lunate need to be off the radius for a diagnosis of ulnar translation to be made?
-
30%
-
50%
-
25%
- Is determined by the displacement of the scaphoid in the scaphoid fossa
- None of the above
Discussion
The correct answer is (B).
Ulnar translation of the lunate serves as a relative contraindication for which
procedure?
- Total wrist fusion
- Total wrist arthroplasty
- Four-corner fusion
- Proximal row carpectomy
- Fascia lata interposition arthroplasty
Discussion
The correct answer is (D). Ulnar translation of the lunate indicates weakness of the radio-scaphocapitate ligament. This serves as a relative contraindication for proximal row carpectomy as the risk of the capitate also translating ulnar wards is high, leading to an unstable wrist.
Which of the following surgical procedures is indicated in correcting ulnar translation of the carpus?
- Radioscapholunate fusion
- Radial styloidectomy
- Arthroscopic debridement of the TFCC
- Ulnar shortening
- Scaphoid excision and four-corner fusion
Discussion
The correct answer is (A). Objectives: Did you learn...? Identify criteria of ulnar translation?
Identify contraindications of proximal row carpectomy? Surgically manage ulnar translation of the carpus? CASE 28 ### A young lady presents with chronic pain in her wrist which she describes as a deep boring type. An x-ray (Fig. 3–21) is shown. She denies any history of trauma in the past. What do you suspect?
1. Kienbock’s disease
2. Osteoid osteoma
3. Preiser’s disease
4. Osteopetrosis
5. Hyperparathyroidism

Figure 3–21(©) Sunil Thirkannad and Christine M. Kleinert.
Discussion
The correct answer is (C).
What investigation would help confirm your diagnosis?
- CT scan
- Arthroscopy
- Arthrogram
- MRI with contrast
- Angiogram
Discussion
The correct answer is (D).
Preiser’s disease is a spontaneous avascular necrosis of the scaphoid. MRI with gadolinium is the most sensitive modality to confirm this condition.
What is your preferred treatment for this condition?
- Scaphoid excision and four-corner fusion
- Botox injection
- Daily application of nitroglycerine paste over the scaphoid
- Proximal row carpectomy
- Vascularized bone graft to the scaphoid
Discussion
The correct answer is (E).
Which pedicle is commonly used to revascularize the scaphoid?
- 2–3 ICSRA
- 1–2 ICSRA
- 1st ECA
- 2nd ECA
- Dorsal carpal arch
Discussion
The correct answer is (B). Objectives: Did you learn...? Diagnose Preiser’s disease?
Identify signs and symptoms of Preiser’s disease? Operatively manage Preiser’s disease? CASE 29 ### A 19-year-old girl presents to you with a painful wrist. As part of your investigations, you ask for x-rays of the wrist. Your radio technician is inexperienced and unsure of how to obtain proper views. How would you position the patient to obtain a PA view?
1. Shoulder adducted, elbow flexed to 90 degrees with forearm pronated and hand placed flat on the film
2. Shoulder abducted to 90 degrees, elbow flexed to 90 degrees with forearm neutral and hand placed flat on the film
3. Shoulder adducted, elbow flexed to 90 degrees with forearm supinated and hand placed flat on the film
4. Shoulder abducted to 90 degrees, elbow flexed to 90 degrees with forearm supinated and hand placed flat on the film
5. Shoulder abducted to 90 degrees, elbow flexed to 90 degrees with forearm pronated and hand placed flat on the film
Discussion
The correct answer is (B).
How would you position your patient for a lateral view of the wrist?
- Shoulder adducted, elbow flexed to 90 degrees with forearm neutral and ulnar border of hand placed on the film
- Shoulder abducted to 90 degrees, elbow flexed to 90 degrees with forearm neutral and ulnar border of hand placed on the film
- Shoulder adducted, elbow flexed to 90 degrees with forearm supinated and ulnar border of hand placed on the film
- Shoulder abducted to 90 degrees, elbow flexed to 90 degrees with forearm supinated and ulnar border of hand placed on the film
- Shoulder abducted to 90 degrees, elbow flexed to 90 degrees with forearm pronated and ulnar border of hand placed on the film
Discussion
The correct answer is (A).
Whose lines are used to determine proper intercarpal alignment within the proximal and distal carpal rows?
- Shenton’s lines
- Kleinert’s lines
- Zaidemberg’s lines
- Barton’s lines
- Gilula’s lines
Discussion
The correct answer is (E). Gilula described three smooth lines drawn on a PA view. The first corresponds to the proximal articular surfaces of the scaphoid, lunate, and triquetrum. The second line is along the distal articular surfaces of the scaphoid, lunate, and triquetrum while the third line is along the proximal articular surfaces of the capitates and hamate.
How is the carpal height ratio determined on an x-ray of the wrist?
- Ratio of the height of the lunate to the height of the capitate
- Ratio of the height of the carpus to the height of the third metacarpal
- Ratio of the height of the capitate to the height of the carpus
- Both B and C
- Ratio of the height of the lunate to the longitudinal axis of the scaphoid
Discussion
The correct answer is (D). The carpal height ratio is classically described as the ratio of the height of the carpus to the height of the third metacarpal. However, as most wrist x-rays do not include the entire third metacarpal, the ratio of the height of the capitate to the height of the carpus is accepted as an alternate method of assessing the carpal height ratio. Objectives: Did you learn...? How to properly position the upper extremity for a PA view of the wrist? Describe the significance of Gilula’s Lines?
How to determine the carpal height ratio on x-ray? CASE 30 ### You are invited by your medical school to speak to first year medical students about the anatomy of the wrist. One of the students asks you about the most likely role of the terminal branches of the posterior interosseous nerve. What is your response?
1. They carry cutaneous nerves to the dorsum of the wrist
2. They supply proprioceptive branches to the wrist joint
3. They carry motor nerves to the 3rd and 4th dorsal interossei
4. They carry sympathetic fibers to the dorsal carpal arch artery
5. They carry sudomotor nerves to the dorsum of the wrist
Discussion
The correct answer is (B). The posterior interosseous nerve ends in a pseudoganglion over the dorsum of the carpus. Small terminal branches pass from this to the wrist joint. The general consensus is that these fibers are mainly proprioceptive in nature and may also carry deep pain sensations. Resection of the posterior interosseous nerve over the wrist joint is often carried out as a remedy for intractable wrist pain.
Another student asks you to name the weak spot over the carpus that has been implicated in lunate and perilunate dislocations. What would you say?
- Parona’s space
- Midpalmar space
- Poisuelli’s space
- Poirier’s space
- Carpal recess
Discussion
The correct answer is (D). The space of Poirier is a bare area over the volar aspect of the lunate that is not covered by any extrinsic or intrinsic carpal ligament. While controversy exists about the exact nomenclature of the ligaments that border this space, it is generally agreed that this is the weak spot through which volar luxations of the lunate occur.
Your old anatomy teacher tells you that he thinks there is a muscle that has a dual nerve supply in the hand but is unable to recollect its name. What would you say to him?
- There is no muscle with a dual nerve supply in the hand
- Flexor pollicis brevis
- Second lumbrical
- Palmaris brevis
- Abductor digitorum minimus
Discussion
The correct answer is (B). The FPB has two bellies and receives supply from both the median nerve and deep branch of the ulnar nerve.
Finally, a bright, eager student asks you what the nerve of Henle is. What is your response?
- It is a branch of the ulnar nerve that carries sympathetic fibers
- It is an anomalous connection between the median and ulnar nerves in the wrist
- It is a branch from the posterior interosseous nerve that provides proprioception to the carpus
- It is an anomalous branch from the median nerve that can sometimes supply the palmaris brevis muscle
- It is the nerve supplying the anomalous extensor digitorum manus brevis muscle
Discussion
The correct answer is (A). Objectives: Did you learn...?
Discuss the role of the terminal branches of the posterior interosseous nerve? Identify the significance of Poirier’s space?
Identify the innervation of the FPB? Describe the nerve of Henle?