AAOS Orthopedic Trauma MCQs (Part 4): Upper Extremity & Spinal Fractures | Board Exam 2026
Master the AAOS & ABOS Orthopedic boards with these high-yield MCQs for Part 4, focusing on upper extremity f…
Comprehensive orthopaedic surgery MCQs for SMLE, DHA, and MOH exams 2026.
Master the AAOS & ABOS Orthopedic boards with these high-yield MCQs for Part 4, focusing on upper extremity f…
Master the AAOS & ABOS boards with practice MCQs for Set 3. Covers femur fractures, pilon fractures, and elbo…
Master the AAOS & ABOS boards with practice MCQs for Part 2, covering musculoskeletal fracture management, tr…
Master AAOS & ABOS Orthopedic Boards with Part 1 trauma MCQs. Covers proximal humerus fractures, femur shaft …
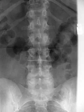
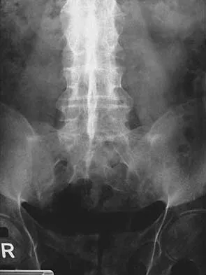
Master the AAOS & ABOS Orthopedic Boards with practice MCQs for Set 4, covering spinal trauma, degenerative c…
Master AAOS & ABOS Orthopedic Spine boards with practice MCQs (Part 3), covering spine trauma, degenerative c…
Master AAOS & ABOS boards with Orthopedic Spine MCQs (Part 2). Practice questions cover spinal trauma, degene…
Ace your 2026 AAOS & ABOS Orthopedic Spine board exams with this Part 1 MCQ set. Covers high-yield questions …
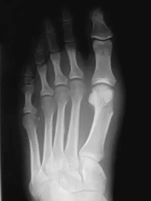
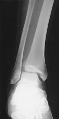
Prepare for AAOS & ABOS with Foot & Ankle Orthopedic MCQs (Set 4). Covers ankle fractures, common foot deform…
Master AAOS & ABOS 2026 boards with Orthopedic Foot & Ankle MCQs (Part 3). Practice questions cover ankle fra…
Master the AAOS & ABOS boards with practice MCQs for Orthopedic Foot & Ankle Part 2. Covers ankle trauma, fra…
Master AAOS, ABOS & OITE with Orthopedic Foot & Ankle MCQs (Part 1). Practice high-yield questions on ankle f…