锁骨骨折怕留疤?MIPO微创技术给你MIPO新选择!MIPO专家解析:解锁快速美观愈合秘诀
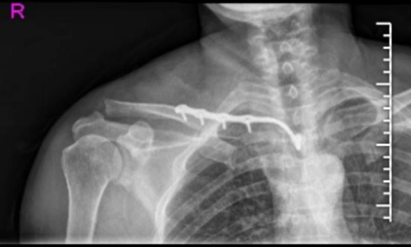
技术要点:锁骨骨折微创治疗之MIPO 锁骨骨折是临床常见损伤,其中约80%为锁骨中段骨折。锁骨骨折治疗方式和手术指征把握存在争议。对于14岁以内的未成年人基本可采取保守治疗,成年人保守和手术各有优劣。 成人锁骨骨折采用…
Chinese Section
技术要点:锁骨骨折微创治疗之MIPO 锁骨骨折是临床常见损伤,其中约80%为锁骨中段骨折。锁骨骨折治疗方式和手术指征把握存在争议。对于14岁以内的未成年人基本可采取保守治疗,成年人保守和手术各有优劣。 成人锁骨骨折采用…
锁骨近端骨折,这样手术风险低! 锁骨近端解剖复杂,既往骨折多采用非手术治疗,预后不理想。近年来,治疗理念发生变化,手术治疗越来越多,本文整理了 胸锁钩钢板在锁骨近端骨折 的应用,供大家参考。 不说废话,先上病例 !! …
骨科内固定物取不取?什么时候取?怎么取? 骨科手术后,体内的内固定物取还是不取?几乎所有人都认为必须取出来。那么,内固定物到底取不取?什么时候取?这是个问题! 现在内固定物多为钛合金材料,排异性很小,理论上讲可以不取。…
骨科必备技能:桡骨远端骨折掌侧钢板固定新技巧 拇长伸肌( EPL)肌腱损伤是桡骨远端骨折修复的主要并发症。EPL肌腱损伤的危险因素是突出的背侧螺钉、直接的术中钻孔损伤和/或背侧屋顶碎片。在此,我们介绍了一种简单的技…
转子间骨折,新技术辅助复位,减少头髓钉滑动! 转子间骨折以手术治疗为主,手术的目的在于让患者及早活动、减少并发症。 常用内固定方法包括滑动宽螺钉和头髓钉,术后并发症包括刀片 /螺钉切出、刀片/螺钉过度滑动和内植入物失效…