You receive a call from an emergency department physician informing you that she has a patient who will need follow-up for an elbow dislocation. She tells you that she reduced and splinted the patient’s elbow, which was dislocated on her physical examination, but that she does not yet have any imaging of the elbow. The patient is currently at radiology waiting for postreduction plain radiographs to be taken.
What is the most appropriate initial treatment for a simple dislocation of the elbow which reduces concentrically?
- Splint immobilization or long arm cast for 3 to 4 weeks followed by passive ROM exercises
- Splint at 90 degrees for 3 weeks followed by active and passive ROM exercises
- Splinting with early MRI to assess the degree of ligamentous injury about the elbow
- Early operative treatment to repair the injured collateral ligaments of the elbow
- Immobilization less than 2 weeks followed by early active and passive ROM exercises
Discussion
The correct answer is (E). An elbow dislocation is termed “simple” if there are no concomitant fractures about the elbow. Following reduction of the dislocation, the elbow should be assessed for stability and taken through flexion and extension to determine a stable range of motion. For simple dislocations, residual elbow stiffness is encountered much more frequently than is persistent instability. Mehlhoff et al. demonstrated a direct correlation between duration of elbow immobilization and persistent flexion contracture. This study recommends that immobilization not exceed 2 weeks before initiating unprotected flexion and extension exercises. Early surgical repair of collateral ligaments has failed to show improved outcomes over early motion and nonoperative treatment for simple elbow dislocations.
In elbow dislocations, what is the most common mechanism of failure of the LCL?
- Midsubstance rupture
- Soft tissue avulsion off the humeral attachment
- Bony avulsion off the humeral attachment
- Bony avulsion off the ulnar attachment
Discussion
The correct answer is (B). McKee et al. evaluated 62 consecutive elbow dislocations and fracture dislocations requiring surgical treatment and injury to the LCL. The most common injury pattern was a soft tissue avulsion from the lateral condyle of the humerus in 52%, followed by a midsubstance rupture in 29%. Distal soft tissue or bony avulsion was significantly less frequent. Elbow dislocation has been conceptualized as a “ring of instability” which begins laterally with disruption of the LCL, progress around toward the medial aspect with disruption of the anterior and posterior capsule, and concludes with disruption of the MCL.
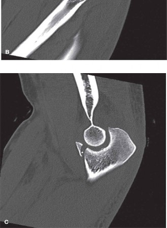
The ED physician calls you back after plain radiographs and a subsequent CT of the elbow showing fractures of the coronoid and the radial head (Fig. 6–19A–C).


Figure 6–19 A–C
How does the presence of these fractures change your treatment plan for this elbow dislocation?
- It does not affect the treatment, which should still consist of brief splinting and early ROM.
- This is an elbow injury which should be treated operatively with repair of the LCL, ORIF of the coronoid, and ORIF or radial head arthroplasty for the radial head fracture.
- This is an elbow injury which should be treated with operative management only after the patient has worked with physical therapy and regained near full elbow ROM.
- This represents a more significant injury which should be treated with a longer period of immobilization to allow for fracture healing prior to beginning ROM exercises with PT.
- This is an elbow injury which should be treated operatively with repair of the LCL, ORIF of the coronoid, and resection of the fractured radial head.
Discussion
The correct answer is (B). This injury represents a “terrible triad,” which consists of an elbow dislocation (LCL rupture) with concomitant radial head fracture and coronoid fracture. It is important to recognize this injury pattern for prognostic reasons, as these injuries are frequently associated with fair to poor outcomes even when treated appropriately by experienced surgeons. A standardized surgical approach to the Terrible Triad injury has been established by Pugh et al. This sequential approach involves addressing the coronoid fracture first, followed by radial head ORIF or replacement depending on the nature of the radial head fracture, and then repair of the LCL rupture or avulsion. After addressing these three components of the injury, elbow stability is then reassessed. If instability persists, repair of the MCL and/or placement of a hinged external fixator is performed as necessary.
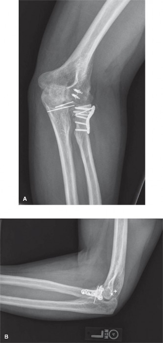
The injury is treated operatively and the post-op radiographs are shown in Figure 6–20A and B. The MCL was found to be competent on intraoperative examination.

Figure 6–20 A–B
At the conclusion of the procedure, in what position should the elbow be splinted?
- Flexion and pronation
- Flexion and supination
- Extension and pronation
- Extension and supination
- Flexion and neutral forearm position
Discussion
The correct answer is (A). There is increased bony congruity about the elbow as flexion increases. Pronation tightens the LUCL and holds the radiocapitellar joint reduced. Mathew et al. suggest that if the LCL has been repaired and the MCL is intact, the arm should be splinted at 90 degrees of flexion at the elbow and pronation of the forearm. They suggest that if both ligaments have been repaired, the forearm be positioned in neutral and to consider splinting in supination if the MCL has not been securely fixed. Objectives: Did you learn...?
Simple versus complex elbow dislocations? Ligamentous stabilizing structures about the elbow? Terrible Triad injury and treatment?