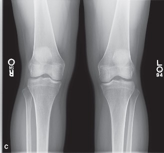
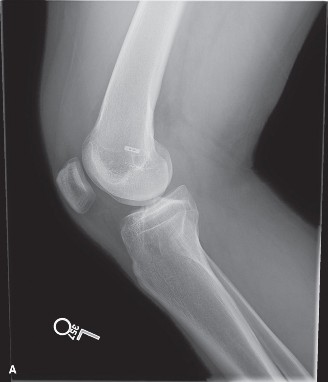
CASE 1 A 22-year-old, female jogger presents complaining of right knee pain. She describes an insidious onset of her symptoms during the last 3 months. She enjoys running most days and is training for a five-mile road race. Recently, she has been running more and has added hill training. Her pain is centered around the patella with little swelling. She has crepitus and pain when climbing stairs or getting out of a chair. X-rays are shown in Figure 9–1A–C.

Figure 9–1 A–B

Figure 9–1 C
The most likely diagnosis for the condition described is:
- Patellofemoral syndrome (runner’s knee)
- Osgood–Schlatter disease
- Femoral stress fracture
- Meniscal tear
- ACL rupture
Discussion
The correct answer is (A). Patellofemoral syndrome (runner’s knee) is very common, resulting from overuse. It is seen frequently in runners and active women. Many believe that it results from maltracking of the patella within the femoral groove due to vastus medialis weakness.
Osgood–Schlatter’s disease also results from overuse. It is more common in men and jumping athletes who have not reached skeletal maturity. Stress fractures can result from a sudden increase in activity and cause pain with all weight-bearing activities. Meniscal tears cause mechanical symptoms and are associated with knee swelling. Athletes with ACL tears complain of knee instability following an injury.
What is the preferred treatment for this female runner?
- Corticosteroid injection
- Knee arthroscopy
- Activity modification and physical therapy
- Endocrine evaluation
- Strict immobilization
Discussion
The correct answer is (C). Increasing vastus medialis strength is believed to balance the pull on the patella. Lower extremity mechanics and function are thought to improve with combining increased quadriceps flexibility, balance, and proprioceptive training. Oral anti-inflammatories and cross-training will provide symptomatic improvement while maintaining fitness.
Three months later, she presents with recurrent right knee pain, medial to the patella. As before, her pain is exacerbated by knee flexion. On examination, there is tenderness and an area of fullness about 1 cm medial to the patella. The most likely diagnosis is:
- Meniscal tear
- Pigmented villonodular synovitis
- Medial collateral ligament (MCL) strain
- Plica syndrome
- Patellofemoral pain syndrome
Discussion
The correct answer is (D). Her symptoms and examination are typical of plica syndrome. The synovial fold on the medial knee becomes irritated in sports that require repeated flexion of the knee (running, biking, rowing, etc.). Treatment should address the local inflammation with rest, ice, and oral anti-inflammatories. In recalcitrant cases, local corticosteroid injections may be helpful. If conservative management fails, arthroscopic resection is an option. Objectives: Did you learn...? Identify runner’s knee?
Understand conservative treatment of anterior knee pain? Recognize plica syndrome? CASE 2 An 18-year-old soccer player injures her knee during competition. She reports her knee buckled when stepping to kick the ball. She fell to the ground after hearing a pop and was unable to stand on her right leg. Since then, she has been able to bear some weight, but she does not trust her leg.
On examination, she has a large swollen knee.
The MOST likely isolated injury experienced by this athlete is:
- Anterior cruciate ligament (ACL) rupture
- Medial meniscus tear
- Medial collateral ligament (MCL) sprain
- Quadriceps tendon rupture
Discussion
The correct answer is (A). Following this noncontact soccer injury, the athlete has a sense of instability and a large swollen knee which is most consistent with an ACL rupture. Although acute meniscal tears can result in large effusions, typically they present as mechanical symptoms such as catching and locking. Collateral ligament injuries do not typically present with swelling. Commonly, these injuries feel stable when moving straight ahead but are painful with side-to-side movements. A quadriceps rupture is uncommon in a young, healthy athlete and would result in an inability to stand or extend the knee.
In the acutely injured knee, the best test to confirm the diagnosis would be:
- X-rays
- McMurray test
- Lachman test
- Pivot shift test
- Grind test
Discussion
The correct answer is (C). The most useful diagnostic test for an acute ACL rupture is the Lachman test. It is the most sensitive test for ACL insufficiency (80–95%). Radiographs can be helpful in affirming that there is no bony injury. The McMurray test is an assessment of meniscal pathology. The pivot shift test is pathognomonic for ACL tears but is best suited for a chronic injury. The grind test is a measure of
patellofemoral pain.
The primary blood supply to the ACL is the:
- Lateral superior geniculate artery
- Descending geniculate artery
- Middle geniculate artery
- Recurrent anterior tibial artery
Discussion
The correct answer is (C). The middle geniculate artery provides the primary blood to the ACL.
Which of the following vessels is a branch of the femoral artery?
- The descending geniculate artery
- The superior geniculate arteries
- The inferior geniculate arteries
- The middle geniculate artery
Discussion
The correct answer is (A). The descending geniculate artery is a branch of the femoral artery.
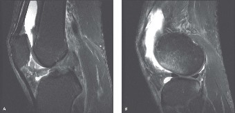
An MRI of the injured knee shows a characteristic pattern of bony edema following this injury. Where would you typically see the bone bruising in this athlete?
- Anterior lateral femoral condyle and anterior medial tibial plateau
- Posterior lateral femoral condyle and anterior lateral tibial plateau
- Anterior medial femoral condyle and posterior lateral tibial plateau
- Anterior medial femoral condyle and posterior medial tibial plateau
- Anterior lateral femoral condyle and posterior lateral tibial plateau
Discussion
The correct answer is (E). MRI of an ACL tear is shown in Figure 9–2A. The ACL rupture results in a sudden translation of the tibia anterior relative to the femur, resulting in a transchondral fracture (bone bruise) of the anterior lateral femoral condyle and the posterior lateral tibial plateau (Fig. 9–2B).

Figure 9–2 A–B
Initial treatment of this athlete should include all of the following EXCEPT:
- Quadriceps strengthening
- Hamstring strengthening
- Proprioceptive training
- Lateral movement drills
- Effusion control
Discussion
The correct answer is (D). Lateral movements, like planting, cutting, and pivoting are contraindicated in patients with ACL ruptures and can result in recurrent instability and/or additional injury.
If she elects to treat her injury without surgery, which activities are appropriate?
- Running
- Biking
- Rowing
- Swimming
- All of the above
Discussion
The correct answer is (E). Individuals with ACL- deficient knees have very good outcomes with nonsurgical treatment if they can avoid cutting and pivoting movements. Activity modification should include any sport that does not put them at risk. Objectives: Did you learn...? The diagnosis of an acute knee injury?
To understand the presentation of an ACL rupture? To anticipate the relevant findings on MRI?
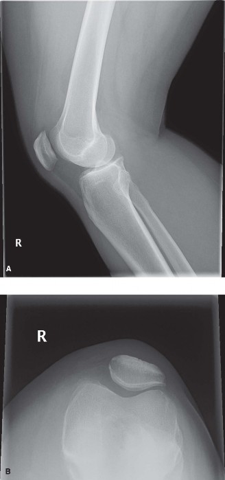
The role of nonoperative treatment in ACL injuries? CASE 3 A 44-year-old man slips while dancing at a wedding. With the help of his spouse, he is able to get home safely, but the next morning he has difficulty standing on his left leg. His knee is swollen, with little pain. If he gets on his feet, he is able to get around the house, but he is unable to go up or down stairs and feels unsteady on his feet.
His examination reveals a large swollen knee, held at 30 degrees of knee flexion. He has little pain with passive flexion or extension and no tenderness to palpation. He is unable to actively extend his leg when supine. When lying on his right side, however, he can make his left leg straight.
What is the most likely diagnosis?
- Quadriceps tendon rupture
- Meniscal tear
- ACL rupture
- Patella fracture
- Patella dislocation
Discussion
The correct answer is (A). An MRI of a quadriceps tendon rupture is demonstrated in Figure 9–3. The inability to extend the leg against gravity is most consistent with an injury to the extensor mechanism. The absence of tenderness on palpation and pain with passive motion makes a patella fracture unlikely. A transient patella dislocation can result in swelling but does not prevent a straight-leg raise. Placing the patient in the lateral decubitus position eliminates gravity as a resisting force.


Figure 9–3
In an active young man, the best outcomes will result from what treatment?
- Early range of motion
- Cast immobilization
- Bracing
- Surgical repair
Discussion
The correct answer is (D). Extensor mechanism repairs are recommended in all patients in whom surgery is not contraindicated in order to restore normal function to the leg. Nonoperative treatment is reserved for incomplete (partial) injuries (<50%) and people unable to tolerate surgery.
Immediately following surgery, which of the following activities is appropriate?
- Range of motion as tolerated
- Closed chain strengthening
- Open chain strengthening
- Prone active knee flexion
- Assisted passive knee flexion
Discussion
The correct answer is (D). Following surgical repair of the extensor mechanism,
range of motion and strengthening should be limited to allow for tendon to bone healing. Assisted passive knee flexion can negatively affect the healing process. Prone, active knee flexion promotes motion without stressing the repair site. Objectives: Did you learn...? Recognize extensor mechanism injury? Describe treatment options?
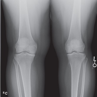
Understand rehabilitation of tendon to bone healing? CASE 4 A 54-year-old skier injures his right knee on the last run of the day. He describes getting his ski stuck in the snow and having an immediate onset of pain on the inside of his knee. He did not hear a pop and was able to make his way down the slope under his own power. Over the last few days, the pain has been worse when bearing weight. X-rays are shown in Figure 9–4A–C.

Figure 9–4 A–B

Figure 9–4 C
Which of the following structures provides dynamic stability to the medial knee?
- The semimembranosus complex
- The sartorius
- The gracilis
- The semitendinosus
- The biceps femoris
Discussion
The correct answer is (A). On examination, there is swelling and bruising on the medial knee. He has increased laxity in response to valgus stress at 30 degrees of knee flexion when compared to the contralateral leg. At terminal extension, the valgus stress response is symmetric. His Lachman and anterior drawer tests are symmetric with the left knee.
What is his diagnosis?
- ACL rupture with grade 1 MCL sprain
- ACL rupture
- Grade 2 MCL sprain
- Grade 3 MCL sprain
- ACL rupture with grade 2 MCL sprain
Discussion
The correct answer is (C). Increased laxity at 30 degrees of knee flexion suggests an MCL sprain (grade 1 or 2). The lack of laxity to valgus stress at terminal extension (0 degrees) is only seen in grade 3 MCL sprains. The symmetric Lachman and anterior drawer tests make an ACL rupture less likely.
Treatment of this injury should include all of the following EXCEPT:
- Immediate return to sports
- Crutches
- Knee immobilizer
- Hinged knee brace
- Quad strengthening
Discussion
The correct answer is (A). The timing for return to sports is related to the severity of the injury. Grade 1 injuries may return in 5 to 7 days. Grade 2 sprains generally require 2 to 4 weeks. Grade 3 injuries can take 4 to 8 weeks to recover. Protected weight bearing with crutches, immobilization, assistive devices, and strengthening can be of assistance. Objectives: Did you learn...? The dynamic stabilizers of the knee?
The physical examination of MCL injury? The treatment of MCL sprain? CASE 5 A 24-year-old graduate student twists her knee while walking in high heels on a cobble stone street. She has an acute onset of pain and deformity. On presentation to the emergency department, she is uncomfortable and maintains her knee in a flexed position. As her leg is gradually extended, an audible “clunk” is heard, and her knee can rest flat on the stretcher. Moments later, she is able to complete a straight-leg raise.
What structure was most likely injured in her accident?
- Medial meniscus
- Medial patellofemoral ligament
- Anterior cruciate ligament
- Patellar tendon
- Medial collateral ligament
Discussion
The correct answer is (B). The student sustained a patellar dislocation. With passive extension of the knee, the patella reduced causing an audible clunk. Lateral dislocations are the most common, and the medial patellofemoral ligament is injured as a result. While other intra-articular structures can be injured in twisting injuries, the restoration of function following passive leg extension makes a patella dislocation the most likely.
Radiographs of her knee reveal no fracture. If an MRI were ordered, which of the following is the least likely finding?
- MPFL rupture
- Bone edema on the lateral femoral condyle
- Osteochondral injury to the medial patellar facet
- Loose body in the medial gutter
- Lipohemarthrosis
Discussion
Correct answer is “E.” In the absence of fracture, a lipohemarthrosis is unlikely. Injury to the medial patellofemoral ligament results from a lateral dislocation. As the medial facet of the patella strikes the lateral femoral condyle, a bone bruise may result along with an injury to the patellar articular cartilage. If injured, a loose piece may be found on the MRI.
After the first event, she undergoes conservative treatment. Unfortunately, she has several recurrent episodes. A CT scan reveals excessive lateralization of the tibial tuberosity. If she undergoes a reconstruction of the medial patellofemoral ligaments, what other procedure should be performed simultaneously?
- Distal tibial tuberosity transfer
- Trochleoplasty
- Femoral/tibial derotational osteotomy
- Medial tibial transfer
Discussion
The correct answer is (D). Distal tibial tuberosity transfers are indicated with patella alta. Trochleoplasty should be used to address severe trochlear dysplasia. Excessive limb rotation can be corrected with combined femoral and tibial derotational osteotomies, while lateralization of the tibial tubercle benefits from a medial tibial transfer. Objectives: Did you learn...? The signs and symptoms of MPFL injury? The imaging findings of MPFL injury?
The treatment of MPFL injury? CASE 6 During a recreational game of basketball, a 47-year-old man twists his right knee while defending an opponent. Initially, he had some swelling and walked with a limp. Over the next 2 weeks, he had continued pain with occasional symptoms of catching in his knee.
On examination, he cannot fully extend his knee and has tenderness on the medial joint line with a positive McMurray test.
What is the most appropriate next step in his evaluation?
- Weight-bearing radiographs
- MRI
- MR arthrogram
- Examination under anesthesia
- Diagnostic arthroscopy
Discussion
The correct answer is (A). In an acutely injured athlete, it is essential to rule out a fracture and to assess the degree of degenerative changes in the knee. If there is no fracture or arthritis, an MRI would be appropriate. Meniscal injuries do not require an arthrogram. An examination under anesthesia and diagnostic arthroscopy are not indicated.
The patient is found to have a displaced tear of the medial meniscus. Which
pattern of meniscal tearing is most amenable to repair?
- Radial
- Bucket-handle
- Oblique
- Horizontal cleavage
- Vertical
Discussion
The correct answer is (B). Tear types that are most appropriate for repair include vertical tears in the vascular zone of the meniscus and bucket-handle tears that are in good condition when reduced. The other patterns have a lower propensity to heal and are treated with excision.
Which of the following factors does NOT coincide with better, long-term function following a partial meniscectomy?
- Age older than 40 years
- Normal limb alignment
- Single tear
- Minimal arthritis
Discussion
The correct answer is (A). Better, long-term function has been reported in patients who underwent partial meniscectomy, that were less than 40 years old, had normal limb alignment, a single tear, and little arthritis at the time of arthroscopy.
Which of the following statement is true regarding the function of the meniscus?
- The meniscus absorbs more load in flexion than extension
- The meniscus is primarily composed of type 2 collagen
- 90% of the meniscus is water
- The medial meniscus provides more support than the lateral meniscus
- A partial meniscectomy decreases contact pressure
Discussion
The correct answer is (A). The meniscus absorbs up to 50% of the load across the knee in extension and 90% when the knee is flexed to 90 degrees. Type 1 collagen is the predominate type in the meniscus. Water makes up 70% of the meniscus. The
lateral meniscus provides more support than the medial. Following a partial meniscectomy, the contact pressure on the articular cartilage increases. Objectives: Did you learn...? The diagnostic algorithm of suspected meniscal injury? The anatomy and physiology of the meniscus? CASE 7 An otherwise healthy 30-year-old carpenter presents with left knee pain and swelling. He has had intermittent symptoms that are worse with activity. Occasionally, his knee will get stuck such that he is unable to bend or straighten it. His knee is warm and full on examination, but his ligamentous examination is symmetric with the right.
Which of the following is the likely diagnosis?
- Gout
- Lyme disease
- Gonococcal arthritis
- Synovial chondromatosis
Discussion
The correct answer is (D). Infectious and crystalline causes of knee swelling do not present with mechanical symptoms. Proliferation of hyaline cartilage nodules in the synovial membrane can limit motion.
An MRI is obtained which demonstrates numerous cartilage nodules throughout the knee. What is the next best step in treatment?
- Physical therapy
- Immobilization
- Corticosteroid injection
- Radiation treatment
- Synovectomy
Discussion
The correct answer is (E). Arthroscopic and/or open synovectomy can be effective at removing the cartilage nodules to address the mechanical symptoms and limiting
recurrence. However, incomplete resection increases the chance of recurrence. Physical therapy, immobilization, corticosteroid injections, and radiation treatment have not been shown to address the mechanical symptoms or to facilitate recovery. Objectives: Did you learn...? The signs of synovial chondromatosis? The treatment of synovial chondromatosis? CASE 8 A 35-year-old triathlete has mechanical symptoms in her left knee and is diagnosed with a medial meniscal tear via MRI. At the time of her arthroscopic partial meniscectomy, a full-thickness cartilage defect (outerbridge IV) is found on the medial femoral condyle that measures 2 cm × 1.5 cm.
What is the best treatment for this lesion?
- Nonoperative care
- Microfracture
- autologous chondrocyte implantation
- Osteochondral transplantation
Discussion
The correct answer is (B). A full-thickness defect is found in 4% of knee arthroscopies. Microfracture as a reparative technique has been shown to offer better results with lower morbidity in comparison to other restorative techniques currently available.
Which of the following are NOT considered a reparative marrow stimulation technique?
- Microfracture
- Drilling
- Mosaicplasty
- Abrasion chondroplasty
Discussion
The correct answer is (C). The use of osteochondral plugs is a restorative method like autogenous chondrocyte implantation. Microfracture, drilling, and abrasion
chondroplasty are reparative techniques that promote a fibrocartilage repair of the exposed bone by stimulating bleeding in the area of concern. Objectives: Did you learn...? The treatment of full-thickness chondral defects?
The different treatments for reparative marrow stimulation? CASE 9 A running back is struck on the outside of his right knee as he crosses the goal line. His cleats hold onto the turf and his knee hyperextends before giving way. The medical staff transports him to the locker room for a prompt examination. With his leg straight on the examination table, he has increased laxity to both a varus and valgus stress. With the knee bent to 30 degrees, the tibia translates more than one centimeter anterior to the femur and one centimeter posterior to the femur. His initial vascular examination on the field revealed a threaded, asymmetric pulse. Upon repeat examination, his distal pulses are symmetric. Radiographs at the stadium reveal no fracture or dislocation.
Initial management of this injury should include:
- Immobilization
- Immobilization and serial examinations
- Immediate surgical reconstruction
- Serial examinations
Discussion
The correct answer is (B). The athlete sustained a multiligamentous knee injury and experienced a transient dislocation of his right knee. The severity of this injury places him at increased risk for a vascular injury. Immobilization provides stability to the injured knee, while serial examinations should monitor the arterial flow and compartment pressures. Immediate reconstruction is not indicated in a complex knee injury in an athlete of any level.
Which ligaments are likely to be injured?
- ACL
- ACL, PCL
- ACL, PCL, MCL
- ACL, PCL, MCL, LCL
Discussion
The correct answer is (D). The examination reveals increased anterior and posterior translation consistent with a combined ACL and PCL injury. The varus and valgus laxity suggest an injury to the MCL and LCL.
What physical examination finding should be carefully assessed as a common sequelae of this injury?
- Great toe extension
- Great toe flexion
- Hindfoot inversion
- Hindfoot eversion
- Heel pad two-point discrimination
Discussion
The correct answer is (A). Peroneal nerve palsy occurs in almost one-third of knee dislocations. Evaluation of the nerve’s motor and sensory function is an essential part of a comprehensive examination. Objectives: Did you learn...? The initial management of multiligamentous knee injury? The sequelae of MLI? CASE 10 A 24-year-old, ultimate frisbee player reinjures his previously reconstructed left knee. He explains that 4 years ago he ruptured his ACL playing basketball. He had an allograft repair followed by an uneventful recovery. He returned to sports 8 months after surgery. X-rays are shown in Figure 9–5A and B.

Figure 9–5 A

Figure 9–5 B
Which element made the greatest contribution to his graft failure?
- Graft fixation
- Femoral tunnel position
- Graft type
- Meniscal pathology
- Tibial tunnel position
Discussion
The correct answer is (C). In younger people, allograft ACL reconstructions have been found to have a significantly higher failure rate than autograft reconstructions. Inadequate fixation can result in residual laxity following surgery. Tunnel position is important to restoring normal function of the knee. Meniscal pathology carries a worse prognosis over time but has not been associated with re-tears.
After careful consideration, he elects to proceed with a revision ACL reconstruction. In choosing between a single-stage ACL revision and a two-step, staged ACL revision (removal of hardware with bone grafting, followed by later revision ACL reconstruction), which finding most strongly favors a staged revision?
- Tunnel widening
- Vertical femoral tunnel
- Retained hardware
- Prior autograft reconstruction
- Meniscal tear
Discussion
The correct answer is (A). A staged revision is necessary when the existing tunnels are too wide to achieve reliable fixation or if their position compromises the accurate reconstruction of the ACL. Vertical femoral tunnel placement is usually easily avoided during a revision ACL. Retained hardware can be removed in one sitting. Prior autograft reconstruction and the presence of a meniscal tear should not affect the decision.
During the revision ACL reconstruction, the graft impinges in the notch as the knee is extended, making terminal extension 5 degrees short of straight. Which factor is responsible for the limitation in range of motion?
- Femoral tunnel too anterior
- Femoral tunnel too posterior
- Tibial tunnel too anterior
- Tibial tunnel too posterior
- Use of autograft
Discussion
The correct answer is (C). The tibial tunnel is too anterior and the graft is impinging as the knee extends. The femoral tunnel position will not affect knee extension. A tibial tunnel that is posterior will not impede extension. The graft type should not affect knee motion. Objectives: Did you learn...? The most common cause of graft failure? The indications of staged revision?
The causes of graft impingement? CASE 11 A 44-year-old waiter slips on a wet floor in the kitchen, hyperextending his right knee. He has an acute onset of swelling and pain with weight bearing. Three days later, radiographs reveal a minimally displaced fracture of the tibial spine.
What would you expect to find on his physical examination?
- Laxity on valgus stress at 30 degrees of knee flexion
- Increased external rotation of the tibia at 30 degrees of knee flexion
- Positive patellar apprehension sign
- Increase anterior translation of the tibia
Discussion
The correct answer is (D). Tibial spine avulsion injuries occur more frequently in children than adults. However, this injury can result in ACL laxity. Tibial spine fractures are not associated with valgus laxity (MCL sprain), a posterior lateral corner injury, or patellar instability.
The initial conservative treatment of this fracture may include all of the following EXCEPT:
- Activity modification
- Open chain strengthening
- Immobilization
- Aspiration
Discussion
The correct answer is (B). Activity modification and immobilization are essential steps to limit motion and prevent fracture displacement. Aspiration of the associated effusion may help to minimize pain due to capsular distention and help the patient achieve terminal extension. Open chain exercises will stress the knee with resistance and should not be performed early in the plan of care.
Six months following the injury, the patient reports his knee giving way when changing directions suddenly at work. His examination reveals increased anterior translation of the tibia, and the x-rays show a healed tibial spine without evidence of displacement.
What study will provide the best insight into his condition?
- EMG
- 3-ft standing films
- MRI right knee
- MRI lumbar spine
- CT arthrogram right knee
Discussion
The correct answer is (C). An MRI will illustrate the integrity of the ACL and meniscal cartilage as a possible source of his instability and laxity. EMG will assess his nerve function, while 3-ft standing films can offer a perspective on the limb alignment. There is no evidence of lumbar disease contributing to his right knee disability. A CT arthrogram can be used to assess the ACL and menisci, but it does not offer the resolution or fidelity of an MRI. Objectives: Did you learn...? The physical examination findings of tibial spine avulsion in adult? The initial management of tibial spine avulsion in adults? CASE 12 A 19-year-old, college freshman has increased left anterior knee pain two weeks into her pre-season training with the team. She has tenderness proximal to the tibial tubercle that is worse with resisted knee extension. The pain is worse with activity and is occasionally associated with local swelling.
What sports is she most likely to be playing in college?
- Ice hockey
- Field hockey
- Archery
- Track & field
Discussion
The correct answer is (D). Patellar tendinitis occurs most commonly in athletes who engage in forceful, eccentric contractions of the knee as in jumping sports.
Her treatment may include all of the following except:
- Activity modification
- Immobilization
- Progressive flexibility
- Eccentric strengthening
- Corticosteroid injection
Discussion
The correct answer is (E). Corticosteroid injections are contraindicated because of the increased risk of tendon rupture. Activity modification and immobilization can help encourage symptoms to subside. Flexibility and eccentric strengthening are essential to the resolution of the condition. Objectives: Did you learn...? The causes and treatment of patellar tendinitis? CASE 13 A 56-year-old mason presents with acute swelling of his left knee. He explains that he has been laying a tile floor in a large bathroom and has continued to work 10-hour days since misplacing his knee pads at the end of last week. The left knee became large and swollen in the absence of any acute trauma. It is firm but not
tender. There is no surrounding erythema, and the overlying skin is intact.
What is the best next step in management of this problem?
- Aspiration
- Get new knee pads
- One week of oral antibiotics
- Immobilization
- Corticosteroid injection
Discussion
The correct answer is (B). The mason’s prepatellar bursa is swollen after the prolonged period of kneeling without his usual protection. Aspiration may provide temporary relief, but the fluid usually quickly re-accumulates. Because there is a significant risk of infection, aspiration is discouraged as a first step in treatment. In the absence of erythema or pain, antibiotics are not necessary. Immobilization can help reduce swelling if initial treatments are unsuccessful. Similarly, injecting the bursa with a corticosteroid can offer some benefit for recalcitrant bursitis.
In this case, which bursa is LEAST likely to be involved?
- Pes bursa
- Infrapatellar bursa
- Prepatellar bursa
- Deep patellar bursa
Discussion
The correct answer is (A). The bursa deep to the pes anserinus is rarely affected in housemaid’s knee. The prepatellar bursa is most commonly involved, followed by the infrapatellar and deep patellar bursa.
Which physical finding is LEAST suggestive of septic bursitis?
- Fever >37.8°C
- Pre-bursal temperature difference greater 2.2°C
- Pain with passive range of motion
- Skin lesions
Discussion
The correct answer is (C). A recent literature review found that fever >37.8°C, pre-
bursal temperature difference >2.2°C, and skin lesions were suggestive of septic bursitis. Pain with passive range of motion did not help differentiate septic from nonseptic bursae. Objectives: Did you learn...? The causes of prepatellar bursitis?
The physical examination findings of septic bursitis? CASE 14 A 27-year-old soccer player injures himself in a fall onto a flexed knee, after colliding with an opponent. He describes a sense of his knee giving way when planting and pushing off to run. On examination, the knee demonstrates a slight sag, but the posterior translation of the tibia is less than one centimeter.
If the remainder of the knee examination is normal, which statement is most likely to be true?
- His foot was dorsiflexed when he hit the ground
- His foot was plantar flexed when he hit the ground
- His posterior translation will increase when the tibia is internally rotated
- He will be unable to complete a straight-leg raise
- His anterior drawer test will be positive
Discussion
The correct answer is (B). The plantar-flexed ankle decreases the tension on the gastrocnemius, allowing the PCL to absorb the full force applied to the tibia. Internal rotation will decrease the posterior translation. There is no evidence of an injury to the extensor mechanism or the ACL.
The initial management of this injury should emphasize:
- Quadriceps strengthening
- Hamstring strengthening
- Open chain rehabilitation
- Strict immobilization
Discussion
The correct answer is (A). Quadriceps strengthening provides a dynamic stabilizing
force for the knee to counteract the PCL laxity. Hamstring strengthening will not address the injury, and open chain exercises can increase patellar pain. Initial immobilization should only be relative. Patients should perform range of motion exercises daily to prevent arthrofibrosis and quadriceps atrophy.
Despite aggressive physical therapy, the patient has continued instability. With which movement would you expect the greatest disability?
- Side stepping
- Cross over drills
- Single-leg stance
- Descending stairs
Discussion
The correct answer is (D). Lateral movements like sidestepping and crossover drills are not typically a source of instability for patients with PCL injuries. Similarly, balance training on one-leg is often beneficial to knee function. Descending stairs and inclines often are problematic. Objectives: Did you learn...? The management of PCL laxity?
The disability associated with PCL laxity? CASE 15 A 39-year-old, catcher has an acutely locked knee. She was standing up quickly to throw to second base on an attempted steal when her right knee became stuck, and she was unable to straighten it. She has been unable to move the knee since the injury. On examination, the right knee has a limited range of motion, moving from 30 to 45 degrees of knee flexion. Beyond this arc, the endpoint is firm and painful. Anterior–posterior and lateral x-rays reveal an aligned knee without fracture or dislocation.
Your next step in her care is to:
- Administer a corticosteroid injection
- Obtain an MRI
- Provide her with oral anti-inflammatories and an appointment in 5 to 7 days
- Apply a long-leg splint
Discussion
The correct answer is (B). MRI has been shown to offer considerable guidance when evaluating patients with a traumatic knee extension deficit (locked knee). The normal radiographs offer assurance that there is no fracture or dislocation preventing knee motion. Injection with a corticosteroid alone will not offer a prompt analgesic benefit. Similarly, oral anti-inflammatories with prompt followup do not address the acuity of the patient’s problem. Immobilization in a long-leg splint may provide the patient with some comfort but does not advance her care.
She is found to have a loose body and a full-thickness cartilage defect on the medial femoral condyle. Which of the following reasons is the LEAST relevant indication for knee arthroscopy?
- Recurrent mechanical symptoms
- Risk of additional injury to articular cartilage
- Prevention of arthritis
- Treatment of cartilage defect
- Harvesting chondrocytes for autologous chondrocyte implantation (ACI)
Discussion
The correct answer is (C). Removal of the loose body will decrease the risk of repeat catching, locking, or giving way as well as lowering the risk of additional injury. If appropriate, the defect could be treated at the initial arthroscopy, or cells could be collected for subsequent treatment. Removal of the loose body with or without a cartilage procedure has not been shown to prevent arthritis. Objectives: Did you learn...? The imaging for a traumatic knee extension deficit (locked knee)? The indications for knee arthroscopy? CASE 16 A 17-year-old runner has increased leg pain in the last week of her pre-season training for cross-country. The pain began without trauma and is present every time she tries to run.
What is the most common site of a stress fracture?
- Calcaneus
- Distal femur
- Femoral neck
- Pubic ramus
- Tibia
Discussion
The correct answer is (E). In general, stress fractures occur more frequently in the lower extremities, with the tibia and metatarsals being the most common sites. They occur in the upper extremities although less frequently.
Which of the following is NOT part of the female athlete triad?
- Amenorrhea
- Disordered eating
- Osteoporosis
- Abulia
Discussion
The correct answer is (D). The female athlete triad consists of amenorrhea, disordered eating, and osteoporosis, and should be considered in all female athletes with a stress fracture. Evaluation of this condition and its underlying causes are essential to the athlete’s long-term health.
The benefits of an MRI in the diagnosis of a stress fracture is best described as:
- Very sensitive in identifying the presence and location of a stress fracture without visualization of a macroscopic fracture line
- Able to identify bony edema associated with an early stress fracture as well as the presence of a fracture
- Ideal for evaluating the location and extent of a fracture line
- Effective overview of anatomic alignment, but limited in early stress fractures
Discussion
The correct answer is (B). Bone scans are very sensitive in identifying the presence and location of a stress fracture without visualization of a macroscopic fracture line. MRI is able to identify bony edema in an early stress fractures. CT scans are ideal for evaluating the location and extent of a fracture line. Plain radiographs provide an effective overview of anatomic alignment but are limited in early stress
fractures and may not show the fracture.
When imaging is complete, her radiographs do not show a clear fracture line. However, there is edema on the MRI. Her pain is present with weight bearing. Which of the following locations presents the highest risk of fracture?
- Calcaneus
- Medial malleolus
- First metatarsal
- Anterior tibial diaphysis
- Inferior femoral neck
Discussion
The correct answer is (D). The lateral malleolus, calcaneus, and first through fourth metatarsals are at low risk for fracture propagation. The medial malleolus and inferior femoral neck represent an intermediate risk. High-risk locations include the superior femoral neck, the anterior tibial diaphysis, the navicular, the base of the fifth metatarsal, and the neck of the talus. Objectives: Did you learn...? The epidemiology of stress fractures? The three parts to the female athlete triad? CASE 17 During a football game, a 21-year-old, right-hand-dominant male experiences a numb and tingling sensation in his right arm after making a tackle. With his elbow at his side, his arm is weak in external rotation when compared to his left.
Which finding is LEAST likely to accompany this injury?
- Pain with lateral head turning toward the affected side
- Transient symptoms
- Positive Spurling test
- History of prior symptoms
- Bilateral symptoms
Discussion
The correct answer is (E). Stingers are transient and unilateral. Turning the head
toward the affected side may compress the nerve roots causing symptoms as would the Spurling maneuver. Patients who have a stinger are three times more likely to have another.
All of the following findings are concerning for a more serious injury EXCEPT:
- Circumferential distribution
- Neck pain
- Symptoms lasting more than 3 weeks
- Abnormal EMG
Discussion
The correct answer is (A). Burners often cause transient pain, burning or tingling in a circumferential, not dermatomal, distribution. Limited neck motion or pain requires additional evaluation. Players with persistent symptoms or EMG changes should not return to sports participation. Objectives: Did you learn...? The history and physical examination findings of stingers? The red flags associated with this injury? CASE 18 A 17-year-old, right-hand-dominant, volleyball player presents for worsening right shoulder pain. Over the summer, she played more than usual having joined a travel team. Her pain is worse after playing, and she has noticed that her power has decreased when she strikes the ball. There has been no numbness or tingling in her arm, and she denies any trauma. Strength testing reveals no weakness when her arm is at her side. When outstretched, her right arm is weaker than the left. When completing wall push-up, her back is asymmetric.
The prominence in her back is best described as:
- Postural kyphosis
- Scapular winging
- Congenital scoliosis
- Hemihypertrophy
Discussion
The correct answer is (B). Long-thoracic nerve palsy can present in overhead athletes in the absence of trauma. The repetitive motion may result in nerve traction and resulting dysfunction in the serratus anterior leading to medial scapular winging. Postural kyphosis will result in a symmetric prominence of the upper back. Congenital scoliosis presents early in life. Hemihypertrophy is a congenital syndrome resulting in one side of the body or one limb larger than the other.
Which nerve root is LEAST likely involved in her injury?
- C5
- C6
- C7
- C8
- T1
Discussion
The correct answer is (D). The long thoracic nerve arises predominantly from C5 to C7. In 8% of people, C8 contributes.
The best test to confirm the diagnosis and grade the severity is:
- MRI
- Metabolic panel
- Muscle biopsy
- EMG
- Serial examinations
Discussion
The correct answer is (D). EMG with nerve conduction velocity will evaluate the function of the long-thoracic nerve and can offer an assessment of the severity of the injury. In long-thoracic nerve palsy, blood work and muscle function are normal. Repeat examination can be used to monitor recovery over 12 to 24 months but offer little confirmation or assessment of severity. Objectives: Did you learn...? The pathophysiology of medial scapular winging? The diagnostic findings of medial scapular winging? CASE 19 The mother of twin, 12-year-old girls contacts your office because her daughters are interested in playing soccer in the fall. The league requires a preparticipation physical examination.
All of the following are addressed by a preparticipation physical EXCEPT:
- Assessment of life-threatening conditions that may be revealed by sports participation
- Evaluation of current injuries to be treated before returning to play
- Impartial documentation of skill and fitness
- Create an opportunity to address injury prevention
- Address legal and insurance requirements for the sponsoring organization/institution
Discussion
The correct answer is (C). The goal of preparticipation physical examinations is to diagnosis medical conditions that place an athlete at risk during sports participation. It also provides an opportunity to ensure the appropriate treatment of existing problems while also planning for prevention and safety. Legal concerns and insurance policies often require certification of the athlete’s health prior to competition. In amateur athletes, the preparticipation physical is not a resource for player assessment.
When taking a history for the preparticipation examination, which of the following is LEAST worrisome?
- Long QT syndrome
- Healed long-bone fracture
- Shortness of breath
- Missed or absent menses
- Prior heat stroke
Discussion
The correct answer is (B). The history should be examined for cardiac disease (hypertrophic cardiomyopathy, sudden death, long QT, or Marfan syndromes), exertional symptoms (shortness of breath, heart palpitations, chest pain, orthopnea), neurologic disorders (seizures, concussions, stingers), prior heat-related illnesses, as well as signs of female athlete triad (amenorrhea, disordered eating, and
osteoporosis). Prior fracture history is important and should be carefully reviewed.
Cardiac auscultation is recommended with the patient standing, sitting and supine. Which of the following murmurs does NOT require further evaluation before participation?
- Systolic murmur, squatting, 2/6 intensity
- Murmur that worsens with Valsalva
- Diastolic murmur
- Systolic murmur, supine, 4/6 intensity
- Murmur that worsens with standing
Discussion
The correct answer is (A). Mild systolic murmurs that do not worsen with Valsalva or change in position do not require additional workup. All diastolic murmurs, any systolic murmur that changes with provocation, and any systolic murmur with 3/6 intensity or higher needs to be evaluated. Objectives: Did you learn...? The purpose of a preparticipation physical? The murmurs that require further workup? CASE 20 ### Which of the following is NOT a cause of sudden cardiac death in athletes?
1. Hypertrophic cardiomyopathy
2. Coronary artery abnormalities
3. Situs inversus
4. Long QT syndrome
5. Commotio cordis
Discussion
The correct answer is (C). Situs inversus is not a cause of sudden cardiac death in athletes. While it is associated with a number of anatomic variations, it is not a contraindication for participation.
The most common cause of sudden cardiac death in athletes is:
- Hypertrophic cardiomyopathy
- Coronary artery abnormalities
- Long QT syndrome
- Commotio cordis
Discussion
The correct answer is (A). Hypertrophic cardiomyopathy is characterized by left ventricular hypertrophy that causes an obstruction to ventricular outflow. It is best diagnosed by echocardiography. Objectives: Did you learn...? The causes of cardiac sudden death?
The most common cause of cardiac sudden death? CASE 21 A 15-year-old wrestler presents with a scaly rash on his chest halfway through the season. Several of his teammates have the same round, scaly patches, and applying skin lotion has not made any improvement. Because of the cold winter, he has not been outdoors.
What is the most likely diagnosis?
- Tinea corporis
- Tinea capitis
- Lyme disease
- Eczema
- Psoriasis
Discussion
The correct answer is (A). Ring worm is common in wrestlers because of their many close contacts. All participants should be screened prior to the season. Tinea capitis is localized to the head. Lyme disease is unlikely without prior tick exposure. Eczema can have scaly plaques, but is not contagious.
Upon microscopic examination, the scaly edges of the wound should be scraped and examined after treatment with what compound?
- Prussian blue
- Silver nitrate
- Potassium hydroxide
- Methylene blue
- Ziehl–Neelsen stain
Discussion
The correct answer is (C). Potassium hydroxide. This treatment will reveal the characteristic hyphae found in fungal infections. In tinea corporis, dermatophytes can be recognized under the microscope by their long branch-like tubular structures called hyphae. Fungi causing ringworm have a distinct appearance. Objectives: Did you learn...? The clinical and microscopic findings of tinea corporis? CASE 22 A 14-year-old, soccer player presents for his preseason physical. He describes having difficulty breathing during sport participation and occasionally after he exerts himself.
Which of the following symptoms is NOT consistent with exercise-induced bronchospasm?
- Dry cough
- Dizziness
- Wheezing
- Shortness of breath
- Chest tightness
Discussion
The correct answer is (B). Dizziness following exertion is not a common symptom of exercise-induced bronchospasm (EIB), nor is a productive cough or persistent chest pressure. A dry, unproductive cough is commonly present along with wheezing, shortness of breath and chest tightness.
Which environmental factor is LEAST likely to exacerbate exercise-induced bronchospasm (EIB)?
- Intense exercise
- Cold weather
- Air pollution
- Endurance sports
- Viral respiratory illness
Discussion
The correct answer is (D). Endurance sports have not been associated with increase rates of exercise-induced bronchospasm. Conversely, intense exercise, cold weather, air pollution, viral respiratory illnesses, and seasonal allergens frequently result in bronchospasm.
When appropriate, in-office spirometry testing can help diagnose underlying asthma in patients with EIB. What value of forced expiratory volume (FEV1) would confirm the diagnosis?
- 100%
- 99%
- <95%
- <90%
- <50%
Discussion
The correct answer is (D). FEV1 <90% of predicted value can confirm the diagnosis of asthma, even when patients are believed to have EIB.
Which of the following options is NOT beneficial in the treatment of EIB?
- Activity modification
- Warm-up programs
- Inhaled albuterol
- Leukotriene modifiers
- Allergen desensitization
Discussion
The correct answer is (E). Avoidance of environmental allergens or strenuous exercise and implementing warm-up exercises may reduce a patient’s symptoms. Pharmacologic treatment with inhaled albuterol, leukotriene modifiers, or inhaled corticosteroids can be beneficial. Allergen desensitization has not been helpful. Objectives: Did you learn...? The symptoms of EIB?
The exacerbating factors of EIB? The treatment of EIB? CASE 23 ### At a 10-km fun run, a 42-year-old woman collapses near the finish line. She is responsive but confused. Her blood pressure is 80/40. Which of the following findings are most concerning?
- Core temperature >40.5°C
- Headache
- Tachycardia
- Profuse sweating
- Nausea/vomiting
Discussion
The correct answer is (A). Heat stroke is the most severe form of heat-induced illness. A core temperature >40.5°C combined with mental status changes and/or the lack of sweating are sign of a medical emergency.
Which of the following treatments is essential for patients with heat stroke?
- Rest
- Intravenous fluids
- Whole-body immersion
- Oral salt replacement
Discussion
The correct answer is (C). Whole-body immersion in an ice bath is the most efficient method for achieving rapid cooling in patients with heat stroke. Rest, IV fluids and salt replacement are helpful, but less urgent when trying to prevent end-organ failure and death. Objectives: Did you learn...? The alarming signs and symptoms of heat stroke? The treatment of heat stroke? CASE 24 A 32-year-old, competitive cross-country skier presents to the ski clinic with a painful right hand one hour after completing a 20-km race. The conditions were colder than he had expected, but he is pleased with his decision to wear less because he set a personal record for the distance. His right thumb and ring finger are numb despite his efforts to warm them up in the shower.
Which of the following is the LEAST likely diagnosis?
- Superficial frostbite
- Deep frostbite
- Acute carpal tunnel syndrome
- Acute rhabdomyolysis
- Hypothermia
Discussion
The correct answer is (D). Prolonged exposure to cold temperatures can lead to temperature-related illnesses like hypothermia, superficial frostbite, and deep frostbite. Periods of intense exertion in sports requiring prolonged use of the hands for gripping have been associated with carpal tunnel syndrome. Rhabdomyolysis can be seen in athletes following periods of intense or prolonged exertion. Localized numbness and pain in the hand are an unlikely presentation.
All of the following treatments are helpful in the management of hypothermia EXCEPT:
- Transition to a warmer environment
- Removal of wet clothing
- Consuming warm liquids
- Warming bath immersion
Discussion
The correct answer is (D). Changing to a warmer environment (removal from the cold), removing wet clothing, and consumption of warm liquids are helpful in treating mild hypothermia. Warm water immersion may be dangerous in more severe cases if the process is too rapid. Objectives: Did you learn...? The causes of acute rhabdomyolysis? The treatment of cold exposure? CASE 25 A 15-year-old football player is interested in gaining weight in order to be more competitive next season. He has been eating more, lifting weights, and taking supplements. His mother has concerns about his decision.
Which of the following substances are banned in competition?
- Methionine
- Creatine phosphate
- Caffeine
- Arginine
- Testosterone
Discussion
The correct answer is (E). Anabolic steroids are illegal at all levels of competition. Amino acids, like methionine and arginine are not regulated nor is the use of creatine. Caffeine intake is regulated, but its use is permitted below a designated blood plasma concentration.
Use of exogenous testosterone has a number of effects when consumed. Which of the following is NOT true?
- Can be used orally or via intramuscular injection
- Side effects are believed to be reversible following cessation
- Resistance may occur following prolonged use
- Aggression and mood disturbances occur commonly
- A ratio of testosterone to epitestosterone greater than 6 to 1 is abnormal
Discussion
The correct answer is (C). Repeated use of human growth hormone (HGH) has been shown to result in the development of resistance. This finding has not been seen with the repeated use of testosterone or other anabolic steroids. These compounds can be administered orally, transcutaneously or via intramuscular injection. While their side effects include aggression and mood disturbances, these changes are believed
to be reversible following cessation. Drug tests focus on the ratio of testosterone to its precursor, epitestosterone. Objectives: Did you learn...? The exogenous effects of testosterone? CASE 26 A 14-year-old wrestler has been experiencing left leg pain during practice and competition. He explains that the pain comes on quickly and is proportional to how hard he is pushing himself. There have been occasions when his leg felt clumsy and weak late in a match. He has no pain when riding a stationary bicycle.
Which test offers the best insight into his diagnosis?
- MRI
- MRI spectroscopy
- Nuclear medicine blood flow studies
- Compartment pressure measurements
- EMG
Discussion
The correct answer is (D). The relationship of his symptoms to activity suggests exertional compartment syndrome. To assess any potential changes, compartment pressures should be measured.
When the symptoms are present, he has difficulty landing on his left foot and lifting it off of the ground due to pain. What other finding is most likely present on his examination during an episode?
- Weak ankle plantar flexion
- Diminished Achilles reflex
- Decreased posterior tibial pulse
- Down going Babinski reflex
- Weak great toe extension
Discussion
The correct answer is (E). The increased pressure affects the anterior compartment of the lower leg resulting in diminished strength in the anterior tibialis and extensor
hallucis longus. The posterior compartment does not appear to be involved, and there is no suggestion of upper motor neuron dysfunction.
A positive test for exertional compartment syndrome will reveal:
- Resting pressure greater than 15 mm Hg
- Exertional pressure greater than 30 mm Hg
- Failure of pressure to return to baseline after 15 minutes
- Pressure greater than 15 mm Hg at 15 minutes after exercise
- All of the above
Discussion
The correct answer is (E). All of the above answers are consistent with acute exertional compartment syndrome. Objectives: Did you learn...? Diagnosis exertional compartment syndrome? CASE 27 ### In comparing the medial and lateral femoral condyles, the lateral femoral condyle:
1. Is larger than the medial
2. Projects farther posteriorly
3. Is more distal than the medial
4. Has greater width than the medial
Discussion
The correct answer is (D). The medial femoral condyle is larger than the lateral. It projects farther posteriorly and is more distal. The lateral femoral condyle projects more anteriorly and is wider medial to lateral than the medial femoral condyle.
Which of the following provides the greatest innervation to the intra-articular knee?
- Posterior tibial nerve
- Femoral nerve
- Obturator nerve
- Sciatic nerve
Discussion
The correct answer is (A). The posterior articular branch of the posterior tibial nerve is the largest nerve that innervates the intra-articular knee. Objectives: Did you learn...? The anatomy of the knee? CASE 28 ### The best clinical test(s) for determining the presence of a meniscal injury is (are):
1. Posterior sag test
2. Apley test
3. McMurray test
4. Pivot shift test
5. B and C
Discussion
The correct answer is (C). The McMurray test is the best test for determining meniscal injury. This is done by flexing the knee and then extending the knee while performing internal and external rotation of the tibia/fibula. Objectives: Did you learn...?
The test for diagnosing meniscal injury?