CASE 11 A 45-year-old man is brought to the trauma bay after falling from his roof while cleaning his gutters. He complains of severe lower back pain but is neurologically intact. Initial CT images demonstrate an L1 burst fracture with a fracture through the lamina, 50% canal compromise from bony retropulsion, and 25 degrees of segmental kyphosis. An MRI demonstrates discontinuity of the ligamentum flavum and interspinous ligaments at the injured level.
What is the rate of noncontiguous spine fractures in a scenario such as this?
- 0%
- 15%
- 40%
- 60%
Discussion
The correct answer is (B). Several studies have reported the incidence of
noncontinuous spinal fractures to range from 3.7% to 22%. Some specific injury patterns also have increased risks of nonspinal fractures. For example, burst fractures that result from a fall from height have increased risk of calcaneus fractures. Flexion–distraction injuries that occur after motor vehicle accidents with lap belts have increased risk of intra-abdominal injuries. Thoracolumbar fractures have also been noted to be associated with pelvic fractures.
Which of the following features is the strongest indicator of instability of this injury?
- 25 degrees of kyphosis
- 50% canal compromise
- Posterior ligamentous disruption
- Posterior arch fracture
Discussion
The correct answer is (C). Historically, a number of radiographic parameters have been used to suggest that a thoracolumbar burst fracture is unstable. Even today, textbooks continue to publish the so-called 50–50–25 rule, which indicates that a fracture with at least 50% of canal compromise, 50% of vertebral body height loss, and 25 degrees of kyphosis is unstable. Over the past decade, a number of studies have clearly shown that all of these radiographic features can be present in a stable injury that can be successfully treated nonoperatively. With the advent of MRI, direct visualization of the posterior ligamentous complex can reveal whether or not there is disruption of these stabilizing structures, which includes the facet joint capsule, interspinous ligaments, and supraspinous ligaments. Disruption of the ligamentum flavum, though not significant structurally by itself, suggests that a large flexion moment was delivered to the spine at the moment of injury. Thus, the correct answer is posterior ligamentous disruption, as was indicated by the MRI findings described in the case. A lamina fracture at the thoracolumbar junction in the presence of a neurological injury can be an indication of entrapped nerve roots and a traumatic dural tear. However, by itself it does not constitute posterior column disruption.
Which of the following would be the best option for definitive treatment of this injury?
- Custom-molded thoracolumbar orthosis
- Anterior corpectomy
- Laminectomy and noninstrumented fusion
- Instrumented posterior fusion
Discussion
The correct answer is (D). The patient has an unstable thoracolumbar burst fracture. Nonoperative treatment in an orthosis would not be desirable. Operative stabilization would be the mainstay of treatment. While an anterior corpectomy would be an ideal method of decompressing the patient, it is not necessary in a patient who is neurologically intact. Furthermore, an anterior corpectomy alone without any type of stabilization or fusion would leave the patient less stable after surgery than before. A laminectomy also further destabilizes the patient. Though a noninstrumented fusion may eventually lead to stability once bony union is achieved, this could take months and would require prolonged immobilization. The best option would be an instrumented posterior fusion, which would both stabilize the patient immediately and allow immediate mobilization. Objectives: Did you learn...? Identify the rates of noncontiguous spine fractures?
Understand the factors that suggest instability in a lumbar burst fracture? Manage a lumbar burst fracture? CASE 12 A 67-year-old woman presents to your office complaining of progressive back pain over the past year. She also reports unintentional weight loss and occasional night sweats. Upon examination, she is neurologically intact but has some localized tenderness in the mid-thoracic spine. MRI with contrast demonstrates a large, uniformly enhancing epidural lesion with a significant amount of cord compression at T7 and some involvement of the posterolateral aspect of the vertebral body extending into the pedicle. Her intervertebral discs appear uninvolved. Initial blood tests are normal, including a white blood count of 7,200 WBCs/μL and an erythrocyte sedimentation rate (ESR) of 5 mm/h (normal range 0–20).
What is the next most appropriate step in management?
- Biopsy of the lesion
- IV antibiotics
- Repeat CBC
- Irrigation and debridement
Discussion
The correct answer is (A). The patient’s history is concerning for some type of neoplastic process. The MRI indicates an epidural lesion with bone involvement but no involvement of the discs. Typical pyogenic infections usually start in the disc spaces. Thus, it would be unlikely that this patient has discitis with an associated epidural abscess, though this is certainly in the differential diagnosis. The exact MRI characteristics described in this patient are also of interest. Epidural lymphoma appears isointense or hypointense on T1 and a hyperintense or hypointense appearance on T2. There tends to be uniform and diffuse gadolinium enhancement. When epidural lymphoma is suspected, tissue is needed to confirm and refine the diagnosis. Hence, a biopsy should be obtained. In this case, biopsy would probably be of the pedicle/posterolateral vertebral body. The MRI appearance of an epidural abscess is heterogeneously enhancing epidural collection that is isointense or hypointense on T1 images but hyperintense on T2 images. If the lesion is large, there may be rim enhancement if an epidural abscess is present. Regarding irrigation and debridement, it would be preferable to obtain a diagnosis prior to initiating care, especially given that the patient is neurologically intact and likely has a tumor.
A biopsy of the lesion is performed. The pathology report states that the tissue is consistent with stage II (early) Hodgkin’s lymphoma. Which of the following factors would indicate the need for surgical treatment at this time?
- Positive disease identified in lymph nodes adjacent to the lesion
- Epidural collection spanning more than one vertebral level
- Imminent pathologic collapse
- Significant cord compression
Discussion
The correct answer is (C). An unstable pathologic vertebral body fracture or what is determined to be a pending pathologic collapse poses the threat of neurological decline and should be addressed surgically, provided the patient is medically fit for
an operation. The other choices in this question are not clear indications for surgery. Spinal cord compression in the absence of neurological deficit is not an immediate indication for surgery. Because lymphomas (and in particular Hodgkin’s lymphoma) are usually highly sensitive to chemotherapy and radiation, these treatments should be attempted first. Surgical decompression may become necessary, but it should be reserved for those very few patients who do not exhibit a good response to chemotherapy and radiation or who have a progressive neurological deficit.
The patient remains neurologically intact following biopsy. What is the next step in treatment?
- Immunotherapy
- Chemotherapy and radiation
- Anterior decompression and fusion
- Posterior decompression and fusion
Discussion
The correct answer is (B). Standard chemotherapy regimens for Hodgkin’s disease are highly effective at reducing the tumor burden and producing a complete clinical response. Chemotherapy is often followed with time-dose radiation therapy. With respect to immunotherapy, multiple antibody-based agents are being investigated, but none have established efficacy that is as high as that with chemotherapy and radiation. With respect to surgical options, these may become necessary should pathologic fracture of the vertebral body occur, if there is onset of neurologic symptoms or if the tumor is not responding to initial therapy. However, in most other scenarios, chemotherapy and radiation therapy should be able to sufficiently reduce the tumor burden, rendering surgical intervention unnecessary. Furthermore, the case scenario does not provide enough information from which one can determine the ideal surgical approach should it be indicated. Objectives: Did you learn...? Evaluate a thoracic epidural lesion?
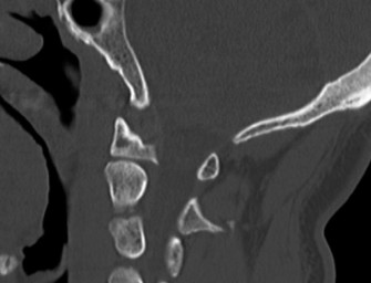
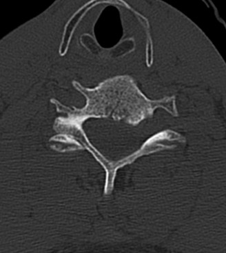
Recognize surgical and nonsurgical indications for a thoracic lymphoma? Definitively manage a thoracic lymphoma? CASE 13 A 23-year-old man was involved in a high-speed motor vehicle accident. On presentation to the trauma bay, his chief complaint was neck pain. Physical examination demonstrated that he was neurologically intact. Images of the cervical spine are shown in Figure 1–19A–B. Full workup demonstrated no other injuries.

Figure 1–19 A–B
The patient’s injury is best characterized as which of the following?
- Jefferson fracture
- Hangman’s fracture
- Burst fracture
- Facet dislocation
Discussion
The correct answer is (B). The imaging clearly demonstrates a Hangman’s fracture, also known as a C2 traumatic spondylolisthesis. The hallmark of this injury is a fracture through the pars interarticularis of C2, which effectively dissociates the anterior elements from the posterior arch and facet joints. A Jefferson fracture refers to C1 ring fractures that can have varying degrees of lateral displacement. There is no evidence of vertebral body comminution with posterior vertebral body involvement, which would be characteristic of a burst fracture. While some Hangman’s fractures can be associated with facet dislocation, there is no evidence of this on the imaging.
What is the classification for this fracture?
- Type I
- Type II
- Type IIA
- Type III
Discussion
The correct answer is (B). Type I fractures have minimal horizontal displacement, no angulation, and the C2–3 disc remains intact. Type II fractures are both displaced and angulated, presumably hinging around the anterior longitudinal ligament. Importantly, these fractures reduce with longitudinal traction. Type IIA fractures have minimal horizontal displacement but are significantly angulated. It is presumed that the anterior fragment rotates in place, most likely disrupting the anterior longitudinal ligament. These injuries are worsened by traction and reduced with axial compression. Type III fractures have bilateral C2–3 facet dislocations.
What is the most appropriate definitive treatment for this patient?
- Hard collar
- Traction and halo immobilization
- Anterior and posterior C2–3 fusion
- Occipitocervical fusion
Discussion
The correct answer is (B). While type I fractures can be treated immediately in a hard collar, type II fractures are best treated initially with traction to achieve fracture reduction. After a short period of traction, the patient should be placed in a halo vest to allow mobilization. As indicated above, type IIA fractures should not be placed in traction; patients should be placed in a halo vest with some axial compression applied. Type III fractures require surgical reduction of the facet dislocation and internal stabilization. Objectives: Did you learn...? Identify a Hangman’s fracture based on imaging? Understand the classification of Hangman’s fractures?
Determine the most appropriate treatment of different types of Hangman’s fractures? CASE 14 A 70-year-old retired, funeral director presents with symptoms of right upper extremity numbness and weakness. He reports that he developed acute neck and right upper arm pain while undergoing a dental procedure. Treatment so far has been nonsteroidal anti-inflammatory medication and physical therapy with cervical traction. While his pain improved with this course of treatment, he has ongoing paresthesias radiating into his right hand and weakness affecting his right upper extremity. Figures 1–20 and 1–21 show a midsagittal and axial image through C6–7, respectively.

Figure 1–20

Figure 1–21
Based on the information provided, which of the following is the most likely diagnosis?
- Radiculopathy
- Intradural tumor
- Myelopathy
- Central cord syndrome
Discussion
The correct answer is (A). Considering the patient’s complaints and the imaging, he most likely has radiculopathy, probably secondary to a disc-osteophyte complex associated with foraminal stenosis at the C6–7 level. There is no suggestion in the history of walking imbalance or dexterity issues in the upper extremities. Thus, a diagnosis of myelopathy is less likely. Furthermore, the degree of spinal compression is mild and not likely (though not impossible) to cause spinal cord dysfunction. An intradural tumor would have a different MRI appearance, likely demonstrating an area of high signal within the parenchymal tissue of the spinal cord itself. A central cord syndrome is an acute spinal cord injury with upper extremities being affected more than lower extremities.
Which of the following physical examination findings would you most likely find in this patient?
- Weakness of right elbow flexion and wrist extension with sensory loss of the thumb
- Weakness of right elbow flexion and wrist flexion with sensory loss of the thumb
- Weakness of right elbow extension and wrist flexion with sensory loss of the middle finger
- Weakness of right elbow extension and wrist extension with sensory loss of the middle finger
Discussion
The correct answer is (C). The patient has nerve root compression at the C6–7 level, which would affect the exiting C7 nerve. Weakness of right elbow extension and wrist flexion with sensory loss of the middle finger are the most likely findings.
Despite 12 weeks of supervised, nonoperative treatment, the patient reports ongoing moderate pain, paresthesia, and weakness that limits his physical activity and affects his quality of life. Physical examination reveals no change in his right upper extremity weakness or sensory deficit. As he is considering surgery, the patient inquires about the relative benefit of anterior versus posterior surgery. Relative to posterior surgery, he should be advised that anterior surgery results in:
- Inferior clinical outcomes
- Unacceptable clinical outcomes
- Superior clinical outcomes
- Equivalent clinical outcomes
Discussion
The correct answer is (D). Both anterior and posterior surgical approaches have been associated with consistently good clinical outcomes in this patient population having single level radiculopathy from foraminal stenosis secondary to a disc-osteophyte complex. Objectives: Did you learn...? Recognize the clinical presentation of cervical radiculopathy associated with a disc-osteophyte complex?
Understand the physical examination findings most commonly associated with C7 nerve root compression?
Appreciate the relative outcomes of different surgical approaches to this problem? CASE 15 A 62-year-old woman underwent a routine single-level L4–5 laminectomy and posterior instrumented fusion for spinal stenosis with degenerative spondylolisthesis. She reports substantial symptomatic improvement for 10 years but now presents with recurrent low back pain and increasing leg pain when walking distances. Figure 1–22 shows a lateral plain radiograph taken 1 year after surgery. Figure 1–23 shows the same view at 10-year follow-up.


Figure 1–22

Figure 1–23
The patient’s recurrent symptoms are most likely associated with which of the following?
- L4–5 nonunion
- L3 spondylolysis
- Adjacent segment disease
- Flatback syndrome
Discussion
The correct answer is (C). The two radiographs depict interval development of an
L3–4 spondylolisthesis immediately proximal to an L4–5 spinal fusion. In the setting of a patient with recurrent back pain and claudication symptoms several years after initially successful lumbar laminectomy and fusion surgery, the radiographic findings strongly suggest development of adjacent segment degeneration and imply symptomatic spinal stenosis at the L3–4 level (though not appreciable on plain films). L4–5 nonunion can present in delayed fashion several years after surgery but is more often associated with mechanical back pain as opposed to recurrent claudication. In addition, a plain lateral radiograph would not be sufficient to make this determination. L3 spondylolysis can result from weakness of the pars interarticularis following laminectomy. However, the L3 pars is clearly seen and appears to be intact. This would also not be associated with claudicant-type symptoms. Finally, flatback syndrome can result in back pain and bilateral thigh cramping secondary to postoperative sagittal imbalance but does not cause claudication. This patient’s lordosis appears to be preserved.
The risk of adjacent segment degeneration 10 years following surgery is approximately:
- 5%
- 15%
- 25%
- 45%
Discussion
The correct answer is (C). Overall, the incidence of adjacent segment disease appears to be approximately 25% to 30% within 10 years of the index surgery. The relative risk based on specific spinal level appears to vary directly with relative segmental motion and is therefore greatest at the L4–5 level. Of all surgery-related risk factors studied to date, one of the most consistently demonstrated risk factors for increased adjacent segment stress and degeneration appears to be sagittal plane imbalance, specifically kyphotic malalignment.
Which of the following surgical techniques has eliminated the risk of adjacent segment disease?
- Artificial disc replacement
- Dynamic stabilization with flexible rods
- Anterior lumbar interbody fusion
- None of the above
Discussion
The correct answer is (D). To date, no surgical fusion technique or alternative so-called “motion-sparing” technology has successfully reduced or eliminate the overall rate of adjacent segment degeneration and disease. Both artificial disc replacements and dynamic stabilization devices were initially developed with the specific goal of reducing the rate of adjacent segment degeneration, but clinical studies have so far shown no advantage over fusion surgery and have shown potentially increased rates of device-related complications. Interbody fusion demonstrates increased stiffness in biomechanical models, but clinical studies have not proven superiority of one fusion technique over another. Of note, adjacent segment degeneration refers to the appearance of radiologic degeneration involving the level(s) adjacent to a fused spinal segment. Adjacent segment disease is the term used when such degeneration is associated with actual symptoms such as pain, weakness, or sensory changes. The major cause of these entities, whether natural history or iatrogenic, remains a matter of intense ongoing debate, and the question remains largely unanswered. Objectives: Did you learn...? To identify clinical occurrence of adjacent segment degeneration and disease? The incidence of adjacent segment degeneration?
The inadequacy of modern surgical techniques to reduce or eliminate adjacent segment degeneration? CASE 16 A 51-year-old fireman whose primary complaint was chronic low back pain and right-sided leg pain underwent an L4–5 lumbar laminectomy and posterior instrumented spinal fusion for a diagnosis of L4–5 lumbar stenosis and degenerative spondylolisthesis. During surgery, bilateral pedicle screw instrumentation is placed at the L4 and L5 levels. There were no apparent complications and intraoperative radiographs including anteroposterior and lateral views were unremarkable. Immediately following surgery, the patient reported substantial relief of his right lower extremity pain, numbness, and weakness but now has difficulty sitting and walking due to new onset of severe left lower extremity pain, numbness, and weakness. Physical examination reveals a positive straight leg
raise test on the left side, dense numbness in the left great toe, and new focal weakness in left ankle and great toe dorsiflexion.
What is the next most appropriate step in managing this patient?
- Continued observation
- Repeat radiographs
- MRI with contrast
- CT
Discussion
The correct answer is (D). The patient has new severe postoperative sciatica and a new neurological deficit, so simple observation is not appropriate. Intraoperative radiographs revealed no apparent abnormalities, so repeated plain radiographs are unlikely to provide additional useful information. An MRI study would be indicated if the concern was for a potential postoperative epidural hematoma, but with complete relief of pain and symptoms in one lower extremity, a hematoma becomes less likely. The most likely etiology is direct nerve root impingement from a malpositioned pedicle screw. A CT scan with sagittal and coronal reconstructions is most likely to identify this problem.
Imaging of this patient shows an inferomedial left L5 pedicle breach and likely impingement of the adjacent nerve root by the pedicle screw. What is the next most appropriate step in managing this patient?
- Continued observation
- Narcotic pain medication
- Epidural injection
- Surgery
Discussion
The correct answer is (D). Additional surgery is required to directly examine the position of the left L5 pedicle screw with respect to the adjacent nerve root. If potential impingement is observed, the screw must be removed and repositioned. Alternatively, if stable screw fixation cannot be achieved, and there is no gross spinal instability, the implants can be removed altogether and a noninstrumented in situ fusion can be performed. An epidural injection might improve pain but would not be advised so soon after surgery. Furthermore, it would not address the neurological deficit. Continued observation and narcotic medications alone would
also not address the underlying issue.
During surgery, a malpositioned left L5 pedicle screw appears to be directly impinging upon the adjacent nerve root. Despite multiple attempts to reposition the screw, stable fixation cannot be achieved, and the surgeon elects to remove all implants and perform a noninstrumented in situ fusion instead. Following surgery, the patient should be advised that, relative to an instrumented fusion, a noninstrumented fusion has:
- Equivalent long-term nonunion rates
- Poorer short- and long-term clinical outcomes
- Poorer short-term outcomes
- Equivalent short- and long-term clinical outcomes
Discussion
The correct answer is (D). Noninstrumented so-called “in situ” fusions are associated with a significantly lower fusion rate compared with instrumented spinal fusions. Despite this fact, both in situ and instrumented fusions achieve comparable short- and long-term clinical outcomes, although some investigators believe that the long-term increased nonunion rate of in situ fusions results in overall marginally worse outcomes in terms of pain and disability scores. Of note, the literature suggests that pedicle screws with 2 mm or less of a cortical breech are unlikely to be associated with significant clinical problems, whereas medial or caudal breeches of 5 mm or more are considered more likely to be associated with neurological symptoms. Nevertheless, in the setting of a new neurological deficit in the immediate postoperative period, early radiologic assessment and treatment of potentially malpositioned pedicle screws are recommended. Objectives: Did you learn...? Identify the signs and symptoms of a malpositioned lumbar pedicle screw?
Select appropriate treatment for malpositioned pedicle screws associated with neurological symptoms?
The potential outcomes associated with instrumented versus noninstrumented lumbar spinal fusions? CASE 17 You are evaluating a 28-year-old male patient in the trauma bay who was a restrained driver in a car that was “T-boned” by another vehicle traveling approximately 35 miles per hour. His injuries include a pulmonary contusion, severe ecchymosis on his chest wall, and three rib fractures. He smells of alcohol; yet he is cooperative with your instructions. There is no midline spine tenderness and he is neurologically intact. His blood alcohol level is 0.21%. The patient is being admitted for observation of his pulmonary contusions before transfer to police custody for driving under the influence.
The trauma team is requesting a spine consult to “clear the patient’s cervical spine.” The next most appropriate step is:
- Flexion–extension views
- CT scan cervical spine
- MRI cervical spine
- Remove the collar and clear the spine
Discussion
The correct answer is (B). In a patient in whom you cannot rely on the clinical examination (because of intoxication or other reason for altered mental status), clinical examination by itself is not sufficient to clear the cervical spine. If the patient is not expected to be examinable within 48 hours, the most sensitive method to detect a bony cervical spine injury is the CT scan. A patient who is intoxicated should be examinable within 24 hours (provided there are no other reasons for altered mental status). Flexion–extension views have fallen out of favor for a number of reasons. First, it relies on the patient being awake, examinable, and cooperative. Second, it often misses the lower cervical spine, particularly the cervicothoracic junction, which is better seen on other imaging methods. Removing the collar and clearing the spine in this patient who is intoxicated and has other distracting injuries is not recommended. The remaining controversy is whether a negative CT scan is sufficient alone to “clear” the cervical spine. Regardless, the first-line test remains the CT scan.
Two days later, you are making rounds on the patient. He has been sober and ambulatory in the observation unit for the past 24 hours and remains in a hard cervical collar. The advanced imaging ordered does not show any evidence of fracture, dislocation, or malalignment. He does not complain of pain or tenderness upon palpation of the spinous processes and is neurologically intact.
The next step in management for the cervical spine should be:
- Maintain the collar for 6 weeks
- Remove the collar
- MRI cervical spine
- Flexion–extension views under anesthesia
Discussion
The correct answer is (B). The patient is now awake and examinable. If the primary advance imaging (CT) is negative, the patient’s collar may be removed if there is no pain or tenderness in the neck and the patient is neurologically intact. Keeping the collar in place for 6 weeks is not indicated. An MRI would be suggested if the patient was still not examinable at this time. Flexion–extension views would have limited utility and, in particular, should not be performed under anesthesia.
The passenger in the car was a 28-year-old female who was wearing a seat belt. She was ambulatory immediately after the accident, though she has a small abrasion on her right forearm. She denies neck pain. Her toxicology screen is negative, she’s alert, oriented, cooperative, and neurologically intact. When the paramedics arrived at the scene, they placed her on a backboard and in a field cervical collar. The backboard has since been removed, and she is sitting upright in the emergency department in the cervical collar. Plain radiographs of the right upper extremity are negative. There is no midline spine tenderness. The patient is able to rotate her head 45 degrees to each side and actively flex/extend her neck without pain. The next most appropriate step in the management of her cervical spine is:
- Obtain five plain radiographic views of the cervical spine
- CT scan of the cervical spine
- MRI cervical spine
- Remove the field collar
Discussion
The correct answer is (D). The patient fulfills all of the requirements to be clinically cleared. She is neurologically intact, awake, alert, examinable, and has no distracting injuries. She has no pain or tenderness of the cervical spine. Imaging of this patient is not necessary in order to clear her spine. Objectives: Did you learn...? A systematic approach to evaluation of the patient with suspected cervical spine injury?
The radiographic imaging required in patients suspected of having a cervical spine injury?
The timing and role of CT and MRI in cervical trauma patients? CASE 18 A 63-year-old man presents to your office with complaints of diminished hand dexterity. He reports difficulty using his cellular phone, buttoning buttons on his shirt, and writing over the past 6 to 9 months. His wife reports that he is increasingly more unsteady on his feet and has fallen several times. He has had low back pain for 20 years and axial neck pain for the last 5 years. Plain radiographs of the cervical spine show degenerative disks at several different levels in the subaxial spine. Physical examination demonstrates that he has 5/5 strength in his bilateral upper and lower extremities. Pertinent positives include a Hoffman’s sign in the right upper extremity, hyperreflexia in the biceps and triceps reflex bilaterally, and five to six beats of clonus bilaterally. He has intact sensation to light touch throughout and normal rectal tone.
Which of the following diagnostic tests should be obtained at this time?
- MRI
- CT
- EMG
- Lumbar puncture
Discussion
The correct answer is (A). The patient has a history that is consistent with cervical spondylotic myelopathy (CSM). Plain films confirm the presence of spondylosis. His history and examination indicates spinal cord dysfunction. The next study that should be ordered is an MRI of the cervical spine. A CT would be a reasonable alternative if the patient had a contraindication for MRI. That being said, a CT myelogram would be preferred. An EMG is not likely to be positive or useful in the diagnosis of myelopathy. A lumbar puncture is also not likely to be useful in making the diagnosis as there are usually no associated hallmark changes of the cerebrospinal fluid (CSF) in a patient with myelopathy. Advanced images of the patient’s cervical spine (Fig. 1–24) are reviewed. Of the following, which surgical treatment is most appropriate? 1. Laminectomy C3–6
2. Anterior cervical discectomy and fusion C4–5, C5–6
3. C5 corpectomy, C4–7 fusion
4. Laminectomy and fusion C2–6


Figure 1–24
Discussion
The correct answer is (D). The sagittal T2-weighted MRI demonstrates a relatively lordotic spine with multilevel degeneration and cord compression at C3–4, C4–5, and C5–6. There is both anterior and posterior effacement of the CSF. Anterior or posterior procedures might be appropriate. Of note, a posterior procedure, such as laminectomy and fusion or laminoplasty is a reasonable option because of the preserved lordosis. In fact, it has been suggested that either procedure can be performed in a cervical spine with no more than 13 degrees of kyphosis. Effective posterior decompression relies on directly removing the posterior compressive structures (i.e., infolded ligamentum flavum, facet joints) and indirect decompression from the anterior structures (i.e., discs, vertebral body osteophytes) via the spinal cord drifting posteriorly. In this specific case, of the choices, laminectomy and fusion of C2–6 would decompress the stenotic segments. A laminectomy of C3–6 might achieve adequate decompression, but it is not recommended to perform a laminectomy alone as it may result in post-laminectomy kyphosis. An anterior cervical discetomy and fusion (ACDF) might be appropriate, but choice B does not include the most stenotic level, C3–4. Likewise, a corpectomy can be appropriate, but choice C does not include the most stenotic level.
The primary goal of this surgical procedure is to:
- Prevent complete quadriplegia
- Improve balance
- Prevent progression
- Improve neck pain
Discussion
The correct answer is (C). The primary goal of surgery for CSM is to prevent progression of the disorder. In general, the natural history of CSM is for stepwise progression, left untreated. That being said, many studies have demonstrated improvements of some of the symptoms and signs of CSM, such as balance difficulty and dexterity issues. Neck pain improvement may occur but is variable and unreliable. Quadriplegia is usually not part of the natural history of CSM, though possible with secondary injuries. Objectives: Did you learn...? The clinical presentation of CSM?
Decision-making and options for surgical treatment of CSM?
The anticipated goals of surgical treatment of CSM? CASE 19 A 22-year-old male construction worker falls from a roof. He has midline spine tenderness at his thoracolumbar junction and describes severe pain in his back. His examination demonstrates no lower extremity deformities, full range of motion of arms and legs, 5/5 motor strength in the upper and lower extremities, intact sensation to light touch in arms and legs, normal rectal tone, no saddle anesthesia, and a present bulbocavernosus reflex.
The next step in evaluation should be:
- CT scan of the thoracic and lumbar spine
- Long cassette (36″) standing plain radiographs
- MRI of the cervical, thoracic, and lumbar spine
- CT myelogram of the cervical, thoracic, and lumbar spine
Discussion
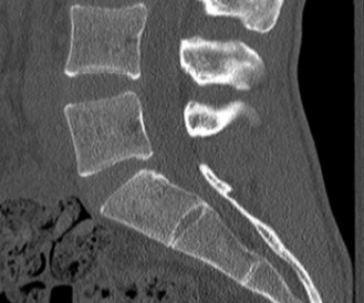
The correct answer is (A). As the case scenario strongly suggests an injury to the spine at the thoracolumbar junction, a CT scan of both the thoracic and lumbar regions is indicated. An MRI should not be the first imaging study obtained. Standing films should not be obtained in a trauma patient with a potentially unstable spine injury. A CT myelogram would only be obtained if an MRI was indicated but the patient had a contraindication to an MRI. Images of the above patient are shown inFigures 1–25 and 1–26. This injury is best characterized as which of the following? 1. Compression fracture
2. Burst fracture
3. Chance fracture
4. Fracture-dislocation

Figure 1–25

Figure 1–26
Discussion
The correct answer is (B). The images demonstrate an L1 vertebral body fracture with a small degree of kyphosis. There is comminution of the vertebral body with a posterior vertebral body fragment that is slightly retropulsed into the spinal canal. This separate posterior vertebral body fragment (which is noncontiguous with the pedicles) is the hallmark of a burst fracture. Compression fractures do not have any posterior vertebral body involvement. A Chance fracture, also known as a seat belt fracture or flexion–distraction injury, will exhibit distraction of the posterior elements through bone, bone-ligament, or purely ligament structures, with an axis of rotation somewhere within the anterior vertebral body or anterior to the vertebral body. A fracture dislocation exhibits translational deformities between the injured levels. While there appears to be a translational deformity on the sagittal CT, the vertebral bodies of the uninjured levels above and below are actually well aligned.
An MRI was obtained of this patient. Your review as well as the radiologist’s
review clearly demonstrate that there is no posterior ligamentous disruption. The next step in management should be:
- L1 corpectomy and instrumented fusion
- T12 to L2 posterior instrumented fusion
- T11 to L3 posterior instrumented fusion
- Nonoperative management with option for an orthosis
Discussion
The correct answer is (D). Considering that the posterior ligamentous complex is not disrupted, which is generally held to be the key to fracture stability, this injury would be best characterized as a stable thoracolumbar burst fracture. Randomized controlled trials have demonstrated that operative and nonoperative treatment of this injury results in equivalent clinical results. Surgical treatment, as described in choices A, B, or C, would be options if the patient had an unstable fracture, that is, posterior ligamentous complex disruption or a neurological injury that would benefit from decompression. With equivalent clinical outcomes and the avoidance of operative complications, nonoperative treatment would be best. The patient may benefit from a thoracolumbosacral orthosis (TLSO); mostly by comfort. It is usually prudent to get a set of upright radiographs (in the brace) to confirm stability of the fracture prior to discharge. Objectives: Did you learn...? To evaluate patients with suspected thoracolumbar spinal trauma?
How to use imaging studies to confirm diagnosis of suspected thoracolumbar spinal trauma?
How to use decision-making skills for operative versus nonoperative treatment of thoracolumbar burst fractures? CASE 20 A 57-year-old woman is being seen in your office for the first time. She has a chief complaint of a progressive decline in her ability to walk over the past few years due to weakness in her legs and a sense of unsteadiness. She has recently begun using a cane and also noticed that she has been dropping objects more frequently. She states she does not have the same strength she used to have in her hands. Occasionally, her
fingers feel diffusely numb. She does have a history of occasional neck pain that is moderate. No difficulty with speech or swallowing is appreciated. She was given a prescription for physical therapy by her primary care physician but is not happy with her progress.
Based on the information presented, which of the following is the most likely diagnosis?
- Amyotrophic lateral sclerosis
- Cervical spondylotic myelopathy
- Cervical radiculopathy
- Lumbar spinal stenosis
Discussion
The correct answer is (B). CSM is the most common spinal cord disorder in older adults. Typical symptoms are neck stiffness, arm pain, numbness, and weakness in the upper and lower extremities. MRI of the cervical spine is highly recommended in patients with suspected CSM. CSM can be confused with amyotrophic lateral sclerosis (ALS); the key distinguishing factor between the two is the absence of sensory abnormalities in the extremities and the presence of fasciculations in ALS patients. Cervical radiculopathy does not result in gait instability or dexterity issues. Lumbar spinal stenosis would not affect the upper extremities.
Physical examination of the patient is significant for limited neck flexion and extension. The patient reports increased pain when looking up. Motor examination demonstrates 3/5 strength in the upper extremities bilaterally and 4/5 strength in the lower extremities, though sensation was intact. The patient demonstrates an ataxic, broad-based shuffling gait and is unable to walk on her toes or heels. When flicking the nail of her index finger, flexion is noted in her thumb and index finger. This finding is best described as:
- Normal
- Hoffman’s sign
- Inverted radial reflex
- Pectoralis reflex
Discussion
The correct answer is (B). The Hoffman’s sign is present in about 80% of patients with cervical myelopathy accordingly. The Hoffman’s sign is commonly used in
clinical practice to assess cervical spine disease. A positive Hoffman’s sign reflects the presence of an upper, motor neuron lesion from spinal cord compression. An inverted radial reflex can also be a sign of upper, motor neuron compression and dysfunction. It is elicited by tapping the brachioradialis tendon, which produces reflexive flexion in the thumb and index finger. A pectoralis reflex is elicited by tapping the tendon in the shoulder/chest region. An MRI is obtained (Fig. 1–27). Plain radiographs reveal a relatively fixed alignment on dynamic views with no evidence of gross instability. Which of the following is the most appropriate treatment plan for this patient? 1. Physical therapy
2. Cervical laminoplasty C3–7
3. Laminectomy and fusion C3–7
4. Anterior corpectomies of C5–6

Figure 1–27
Discussion
The correct answer is (D). Cervical laminoplasty or laminectomy is not recommended in the presence of greater than 13 degrees of kyphosis. In this setting, anterior decompression is preferred. Corpectomy is a reasonable option. When performing three consecutive corpectomies (in this case only two; C5 and 6), posterior instrumentation and fusion are recommended as there is a high risk of anterior strut dislodgement with stand-alone anterior constructs. Continued physical therapy (i.e., nonoperative treatment) is not recommended as CSM has a poor natural history. Objectives: Did you learn...? The differential diagnosis of a patient presenting with symptoms and signs of CSM?
The physical examination signs of a patient with CSM?
Management of CSM in the setting of fixed kyphosis greater than 13 degrees? CASE 21 A 15-year-old high school football linebacker is seen in your office for the first time. He has been complaining of pain in his lower back for the past 6 months. Initially it was mild and only present at the end of games. Recently it has begun occurring more frequently. He denies weakness or numbness in his legs but has experienced pain in the left posterior buttock when his pain is most intense. He has not had any treatment to date.
The symptoms experienced by this patient are most likely related to which of the following conditions?
- Lumbar herniated disc
- Spinal stenosis
- Spondylolysis
- Degenerative spondylolisthesis
Discussion
The correct answer is (C). Many athletes experience acute, low back pain with or without a specific injury to the lumbar spine during their careers. It is particularly prevalent in athletes whose sport involves repetitive hyperextension, twisting, axial
loading and direct contact, such as football or gymnastics. Adolescent football players often experience lower back pain that can be related to spondylolysis (i.e., pars fracture/nonunion/stress reaction) with or without spondylolisthesis. Symptoms of spondylolysis at this age are usually exclusively low back pain; there are typically no lower extremity symptoms. Of the other choices listed, a herniated disc is possible in a younger person but would more likely present with lower extremity radicular pain. Spinal stenosis is rare at this age and again would present with more lower extremity symptoms. Degenerative spondylolisthesis would be exceedingly rare in a 15-year-old boy.
Plain radiographs are obtained, which demonstrate bilateral bony defects of the L5 pars interarticularis without spondylolisthesis. There is preservation of the L5–S1 disk space height. Treatment at this time should be:
- Bracing in extension along with extension exercises
- Pars interarticularis repair utilizing a screw-rod construct
- Posterior spinal fusion L5–S1
- Rigid bracing in flexion
Discussion
The correct answer is (D). There is general agreement that an initial course of nonoperative treatment of at least 3 to 6 months consisting of a rigid lumbar brace (e.g., Boston flexion type brace) is prudent. Bracing in extension is usually not recommended, as are extension exercises as they aggravate the pain. If nonoperative treatment fails and the patient continues to experience chronic low back pain, direct surgical repair of the pars interarticularis or L5–S1 fusion might be indicated.
The patient above refused treatment after the consultation. He presented back to you 5 years later. Currently he is experiencing severe constant pain in his lower back radiating to his left posterior buttock and lateral thigh. He presents with an MRI that now demonstrates a grade 2 spondylolisthesis at L5–S1. Which of the following treatment should be recommended at this time?
- Posterior L5–S1 fusion
- Laminectomy of L5
- Anterior and posterior L3–S1 fusion with reduction
- Pars repair
Discussion
The correct answer is (A). With a documented progression of a slip with symptoms that have persisted for 5 years, surgical treatment is indicated. Of the choices, a posterior L5–S1 fusion is the most reasonable choice. With prone positioning, the slip might reduce and the fusion can be performed with instrumentation in this position. Choice B is incorrect because laminectomy alone can lead to worsening of the slippage. Anterior and posterior L3–S1 fusion is an aggressive procedure; it might be recommended for patients with higher grade slips. Direct repair of the pars fracture is reserved for patients with no slip and no disc degeneration. Objectives: Did you learn...? The typical presentation, signs, and symptoms of a patient with spondylolysis? Appropriate initial management of spondylolysis without spondylolisthesis?
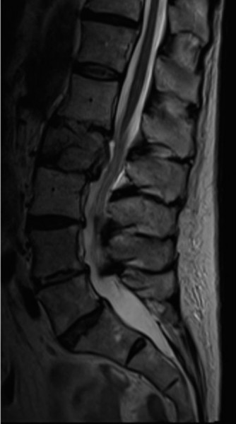
The surgical options for a patient with longstanding spondylolysis and spondylolisthesis? CASE 22 A 53-year-old man with a 30-year history of smoking was admitted to the emergency department with complaints of weakness in his legs for the past week and pain in the mid-lumbar region. He does not report perianal sensory loss, bowel, or bladder incontinence. Prior to this episode he was a highly functioning administrator with no physical limitations. MRI image is shown in Figure 1–28.

Figure 1–28
The next most appropriate step in management is:
- Surgical decompression and fusion
- PET scan
- Vertebroplasty
- CT-guided biopsy
Discussion
The correct answer is (D). In patients with suspected metastatic disease, it is important to perform a thorough radiographic workup to understand the primary cancer site and to visualize the extent of the metastasis unless the patient has a
rapidly progressing condition. This patient began having neurological symptoms 1 week ago, and there is a concern about cauda equina syndrome. Although positron emission tomography (PET) CT allows for rapid screening and staging that would help guide the aggressiveness of surgical management of metastatic disease to the spine, it would first be advised that the patient undergo a CT-guided biopsy of the most accessible lesion (which may not be in the spine) to determine the type of cancer and tissue of origin. If the patient has a rapidly progressive neurological deficit, then surgical decompression and fusion might be appropriate, at which time tissue can be sent for pathological examination. A vertebroplasty is not indicated in the setting of a neurological deficit and spinal cord compression.
Initial workup confirms that the lesion in the spine is a metastatic renal cell carcinoma. No other metastatic lesions are identified and you are planning to offer surgery. Which of the following preoperative maneuvers would be most appropriate?
- External beam radiation
- Stereotactic radiation
- Chemotherapy
- Embolization
Discussion
The correct answer is (D). As you have already made the decision to proceed with surgery, external beam or stereotactic radiation would be best postponed until after surgery if indicated. Preoperative radiation is a risk factor for wound complication such as dehiscence and infection. In fact, renal cell carcinoma is in general radioresistant and would not be indicated. Chemotherapy should also be delayed until after surgery, if indicated. Embolization would be a reasonable consideration prior to surgery in order to find and possibly embolize a feeder vessel to the tumor. This could potentially decrease blood loss during surgery.
The most appropriate surgical treatment is:
- Laminectomy
- Laminectomy and fusion
- Corpectomy
- Kyphoplasty
Discussion
The correct answer is (C). The image demonstrates a lesion of the L2 vertebral body with involvement of the spinal canal. Of the choices, a corpectomy, either performed through an anterior or posterolateral approach, would be the most effective method of removing the tumor-involved bone and achieving decompression. A laminectomy by itself would not be recommended as it will destabilize the spine. A laminectomy and fusion would be an option, although this would not allow maximal decompression of the spinal canal via removal of the involved bone. Kyphoplasty would be contraindicated in the setting of retropulsed bone/tumor and a neurological deficit. Objectives: Did you learn...? Appropriate management of cancer patients with metastasis to the bone? Preoperative measures prior to surgery for a metastatic lesion?
Appropriate surgical treatment? CASE 23 A 40-year-old, right-hand dominant man presents to the emergency room with neck pain following a fall down a flight of stairs at work 2 hours ago. He reports that he does not remember the entire incident. Currently, he is complaining of severe neck pain, right arm weakness, and right-hand numbness; he is awake, alert, oriented, and cooperative. Physical examination demonstrates 2/5 strength of the right elbow extension while all other motor groups in the upper and lower extremities have full strength. Rectal tone is intact. Sensation is decreased in the right, long finger and dorsal forearm; it is intact in all other areas.
Which of the following imaging studies should be obtained first?
- MRI of the entire spine
- Flexion and extension views
- CT scan of the cervical spine
- CT scan of the entire spine
Discussion
The correct answer is (D). The patient’s history of a traumatic event, neck pain, and upper extremity weakness is concerning for a cervical spine injury. The mechanism
of injury was a fall down the stairs associated with loss of consciousness. Assuming that the patient has a cervical spine injury, there is 10% to 15% chance that he has a noncontiguous concomitant fracture elsewhere in the spine. Thus, obtaining imaging of only the cervical spine would not be prudent. Multidetector CT scans have largely become the initial imaging modality in most trauma centers. A head-to-toe scan can be acquired in a short period of time and can be used to evaluate the cervical, thoracic, and lumbar spine as a screening tool. A CT scan of the cervical spine would be inadequate as one can miss concomitant injuries. An MRI might be useful in the setting of a neurological injury, but it would not be the initial imaging test. Furthermore, an MRI of other regions of the spine would not be indicated unless an injury was detected on CT. Flexion–extension views are generally not advisable due to their lack of sensitivity in the acute setting. The cervicothoracic junction is also quite difficult to visualize in the flexion–extension views. CT scan images of his cervical spine are shown inFigures 1–29 to 1–31. The next step in management should be: 1. High-dose methylprednisolone
2. Upright cervical spine MRI
3. Awake, closed reduction
4. Surgical stabilization


Figure 1–29


Figure 1–30

Figure 1–31
Discussion
The correct answer is (C). The patient has a unilateral right C7 facet dislocation with a small associated fracture. The use of high-dose methylprednisolone for acute spinal cord injury, while frequently discussed, remains controversial with limitations in the evidence supporting its use. At most, it is a treatment option in the setting of a spinal cord injury. That being said, the above patient’s examination reveals a C7 root injury, not a spinal cord injury. A reduction of the dislocation would be a reasonable next step in this patient as he is awake, alert, and able to cooperate with an examination. An awake closed reduction has been demonstrated to be both safe and effective in treating cervical dislocations. While a successful closed reduction would not obviate the need for surgical stabilization, it can provide expeditious neurological decompression (via realignment) and enable surgery to be performed in a less urgent manner on a reduced spine. One reported risk of closed reduction is the risk of disc herniation and subsequent neurological deterioration. This has led some surgeons to obtain a prereduction MRI to determine if a disc herniation is present with the dislocation. For some, the presence of a disc herniation prompts an anterior discectomy prior to reduction. However, an upright MRI would not be advisable. The patient may eventually undergo surgical stabilization but not until the spine is reduced. Stabilization in a nonreduced position
would not be ideal.
Following placement of cranial tongs, you have added 15 lb of weight. After a few minutes, the patient’s examination remains unchanged and he continues to complain of neck pain and spasms. The next step in management should be:
- Add another 10 lb of weight
- Obtain a lateral cervical radiograph
- Perform a manual reduction maneuver
- Administer a muscle relaxer
Discussion
The correct answer is (B). The decision has been made to perform a closed reduction in this patient using cranial tongs. Once the tongs are in place and the initial weight applied, a lateral cervical radiograph must be obtained to ensure that there are no occult ligamentous injuries, such as an occipitoatlantal dissociation, which may be worsened by traction. Adding an additional 10 lb of weight is reasonable after an initial x-ray has been taken. A manual reduction maneuver has been described and can be effective. However, it should be reserved for select cases in which traction alone has not been effective and should not be performed with only 15 lb of weight. Despite the patient’s complaint of muscle spasms, muscle relaxers, which also act as central nervous system depressants, should not be given as they can alter sensorium and affect the patient’s ability to participate in an examination.
With 90 lb of weight, a lateral cervical radiograph confirms a successful reduction. The patient notes less pain in his neck and arm, and his examination is unchanged. The weight is reduced to 20 lb, the patient is placed into a cervical collar, and the reduction is maintained. An MRI is obtained and shows reasonable alignment and no disc herniations. Which of the following is the best treatment for this patient?
- Halo-vest immobilization
- Rigid cervical collar
- C6–7 anterior discectomy and instrumented fusion
- C6–7 laminectomy
Discussion
The correct answer is (C). Continued nonsurgical treatment, either through a halo-
vest orthosis or rigid cervical collar, would provide insufficient support for the patient’s unstable injury. This would risk redislocation, chronic pain, and/or neurological decline. Surgical stabilization is preferred. Either anterior or posterior surgery can be appropriate. An acceptable posterior procedure would be a posterior C6–7 instrumented fusion. A C6–7 laminectomy alone would lead to further destabilization of the spine. Furthermore, a laminectomy is not needed as the reduction has effected decompression via realignment. An acceptable anterior procedure would be an anterior discectomy and fusion with instrumentation for stabilization. This procedure is facilitated by the fact that the patient’s injury has already been reduced. Objectives: Did you learn...? The radiographic imaging indicated in the setting of suspected cervical spine trauma?
The indications for and application of closed cervical reduction for a facet dislocation?
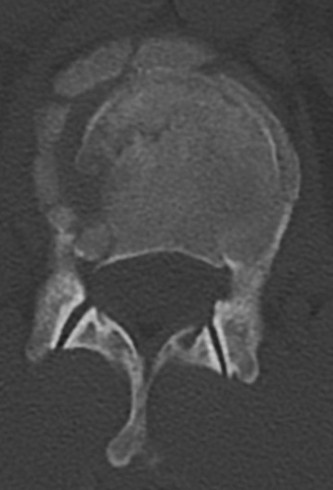
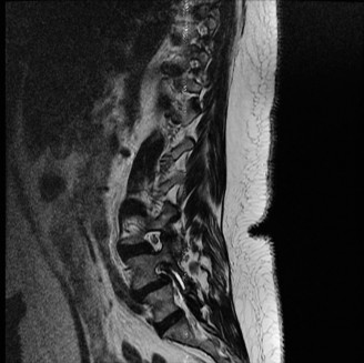
The options for definitive treatment of cervical facet dislocations? CASE 24 A 23-year-old man presents to your emergency room with severe back pain after a 30-foot fall out of a tree while intoxicated 3 hours earlier. He reports no neck pain, no upper extremity weakness or numbness, though he states that he feels weak in his legs and numbness in his groin. Currently, he is awake, alert, oriented, and cooperative and does not appear to be intoxicated. Vital signs included a blood pressure of 100/60 and heart rate of 95 beats per minute. Physical examination demonstrates midline tenderness of the lumbar spine with no palpable gap or step-off. Upper extremities show full strength and sensation. Lower extremities examination shows 2/5 bilateral strength in hip flexion and knee extension, 3/5 bilateral strength of ankle dorsiflexion, big toe extension, and ankle plantar flexion. Rectal tone is normal. Sensation to light touch and pin prick is diffusively decreased in both lower extremities and in the perineum. Bulbocavernosus reflex is present. A CT scan of his cervical and thoracic spine is negative. CT images of his lumbar spine are shown in Figures 1–32 and 1–33.


Figure 1–32

Figure 1–33
The injury of L2 is best described as which of the following?
- Compression fracture
- Burst fracture
- Flexion–distraction injury
- Fracture-dislocation
Discussion
The correct answer is (B). The CT images reveal a comminuted fracture of the L2 vertebral body with involvement of its posterior aspect. The distinguishing feature between a burst fracture and a compression fracture is involvement of the posterior aspect of the vertebral body. Furthermore, burst fractures demonstrate that the posterior body fragments are no longer in continuity with the posterior elements (i.e., pedicles). Thus, they are free fragments that often are retropulsed into the spinal canal. Lamina fractures are often concomitant at the level of a burst fracture. By themselves, they do not infer injury to the posterior ligamentous complex. They can, however, be associated with dural tears and nerve root entrapment. Flexion–distraction injuries, also known as Chance or seat belt injuries, demonstrate widening of the posterior elements, either between the spinous processes, gapping at the facet joints, or through fractures in the posterior elements. There can be varying degrees of vertebral body compression, though typically not with comminution of the posterior vertebral margin. Fracture-dislocations can present with various
fractures of the anterior or posterior elements. The hallmark feature is a translation deformity that can be noted by misalignment of the vertebral bodies in the coronal and/or sagittal planes. A lumbar spine MRI is obtained, images from which are shown inFigures 1–34 and 1–35. Based on the information presented, the type of neurological injury is best characterized as which of the following? 1. Cauda equina injury
2. Complete spinal cord injury
3. Incomplete spinal cord injury
4. Conus medullaris injury


Figure 1–34

Figure 1–35
Discussion
The correct answer is (A). The MRI demonstrates the L2 fracture with canal compromise. In this patient, the conus medullaris of the spinal cord terminates at the T12–L1 level. The fracture is at the L2 level. Thus, the neurological injury is at the level of the cauda equina, distal to the conus medullaris and spinal cord. The patient’s neurological examination is consistent with this type of injury with the presence of lower extremity weakness, intact rectal tone, and perineal numbness, though this can vary.
The trauma team has determined that the patient has no other injuries besides the L2 fracture. The next best step in management for this patient should be:
- High-dose methylprednisolone
- Lumbosacral orthosis
- Immobilization on a rotating bed
- Surgical treatment
Discussion
The correct answer is (D). This patient has an L2 burst fracture with a profound neurological deficit in the presence of canal compromise. These injury features warrant surgical management for decompression of the neural elements, realignment of the spine, and stabilization. As the patient is not medically compromised and has no other injuries, there would be little reason to think that he
would not be a surgical candidate. An orthosis should be reserved for patients with stable burst fractures without neurological deficit. Prolonged immobilization in a rotating bed (e.g., Rotorest bed) would be reserved only for those patients who are medically unfit for surgery. The use of high-dose methylprednisolone, previously considered standard of care, is currently only a treatment option for spinal cord level injuries. Regardless, the patient has a cauda equina level injury, which was excluded in the original NASCIS study protocols. Objectives: Did you learn...? To characterize the radiographic imaging findings of thoracolumbar spine trauma?
To accurately describe the type and level of neurological injury with a lumbar burst fracture?
The treatment for thoracolumbar burst fractures with neurological injury? CASE 25 Dr. Adam Pearson A 60-year-old man presents with neck and right arm pain radiating to his posteromedial arm, medial forearm, and ulnar aspect of the hand. He notes numbness in the ulnar aspect of the forearm and hand, though he notes no dexterity issues or gait imbalance. He gets some relief from right shoulder abduction. The symptoms developed insidiously about 2 months ago and are not associated with any constitutional symptoms. Physical examination reveals weakness of his hand intrinsic muscles, numbness of the ulnar aspect of the forearm and hand, normal upper and lower extremity reflexes, a positive Spurling’s sign on the right, and a negative Hoffman’s sign.
What is the most likely diagnosis?
- Ulnar neuropathy
- C5–6 foraminal stenosis
- C7–T1 disk herniation
- Cervical myelopathy
Discussion
The correct answer is (C). The patient presents with upper extremity symptoms that
can be recreated with a Spurling’s maneuver (lateral flexion/side bending and axial rotation towards the side of the pathology) and classic signs and symptoms of C8 radiculopathy (ulnar forearm and hand numbness, hand intrinsic weakness, normal reflexes). The C8 dermatome includes the ulnar forearm and hand, and the C8 nerve innervates the intrinsic hand musculature. The C8 nerve exits from the C7–T1 foramen and can be compressed by a C7–T1 disk herniation. Ulnar neuropathy can cause similar symptoms but would not be associated with a positive Spurling’s sign or neck pain. C5–6 foraminal stenosis would affect the C6 nerve root and its associated innervated structures (elbow flexion, radial aspect of the forearm and hand). Cervical myelopathy is possible and can have a variable presentation which can include numbness and weakness. However, this patient does not have any complaints of dexterity or gait dysfunction nor does he have any long tract signs (i.e., no Hoffman’s sign).
Which of the following is the most appropriate diagnostic test to obtain at this time?
- Plain radiographs with flexion–extension views
- Magnetic resonance imaging (MRI) scan
- Computed tomography (CT) myelogram
- Nerve Conduction Studies/Electromyography (EMG)
Discussion
The correct answer is (B). The neural structures in the cervical spine are best imaged by MRI. MRI is the diagnostic modality of choice to detect cervical disc herniations. In patients with contraindications to an MRI, a CT myelogram is a reasonable alternative, but owing to its invasiveness, should not be considered a first choice for all patients. Plain radiographs with or without flexion– extension views are useful for preoperative planning but are not helpful for diagnosis of a herniated disk. If there is a question about the diagnosis, nerve conduction studies and EMG can be helpful to rule out peripheral nerve entrapment, peripheral neuropathy, or to narrow down a symptomatic level in the setting of multilevel compression on imaging. It is not necessary to have electrodiagnostic to make the diagnosis of cervical radiculopathy.
Imaging of the above demonstrated a large paracentral disk herniation compressing the right side of the spinal cord and the exiting nerve root. You had enrolled the patient in a physical therapy program Despite this and
treatment with anti-inflammatory medications, he continues to have substantial symptoms and is interested in surgical treatment. Which of the following is the most appropriate surgical technique?
- Posterior C7–T1 foraminotomy
- Posterior C7–T1 laminectomy and fusion
- C7–T1 anterior cervical discectomy and fusion (ACDF) with anterior plate
- C7–T1 anterior cervical discectomy and fusion (ACDF) with anterior plate and manubriotomy in order to access the cervicothoracic junction
Discussion
The correct answer is (C). Given that the disc is large and compressing the spinal cord, an anterior approach is favored. This would most commonly involve an anterior cervical discectomy and fusion. Plate stabilization would be preferred in order to increase fusion rates as well as to afford greater construct stability at the cervicothoracic junction. A posterior foraminotomy can be effective for soft disc material that is in the foramen but does not allow for safe removal of disc located more centrally and anterior to the spinal cord. A posterior laminectomy and fusion at C7–T1 would not necessarily address the disc herniation and anterior compression; this procedure is best reserved for cases of central stenosis or severe foraminal stenosis. Manubriotomy is almost never needed to access C7–T1, though it can be necessary to reach levels caudal to T1 from an anterior approach. Anterior approaches to the cervicothoracic junction and upper thoracic spine can put structures such as the recurrent laryngeal nerve, thoracic duct, and great vessels at risk. The recurrent laryngeal nerve originates in the carotid sheath as a branch of the vagus nerve and then returns to the larynx in the groove between the trachea and esophagus after looping inferior to the right subclavian artery or the aorta on the left. It theoretically has a more predictable course on the left side, prompting some surgeons to favor left-sided approaches, though no study has ever demonstrated an increased risk of recurrent laryngeal nerve problems with right-sided approaches. The thoracic duct carries lymph and ascends through the thorax to empty into the left subclavian vein and is thus theoretically at risk with left-sided approaches, especially below T1. Objectives: Did you learn...? Recognize the signs and symptoms of C8 radiculopathy?
Understand the options for imaging workup of cervical disc herniations?
Determine the optimal surgical approach for a C7–T1 disc herniation? CASE 26 Dr. Adam Pearson A 75-year-old woman presents with 1 month of low back pain radiating to her bilateral buttocks and posterolateral thighs with some diffuse pain and numbness below her knees. This pain comes on with standing and walking and resolves with sitting down and low back flexion. She notes it is easier to walk uphill than downhill and finds leaning on a shopping cart helpful. She has no significant medical comorbidities. Neurological examination is normal with no numbness or weakness, though she has mildly decreased yet symmetric, lower extremity, deep tendon reflexes. She has palpable distal pulses in the lower extremities and has had no treatment for this condition.
What is the most likely diagnosis for this patient?
- Peripheral neuropathy
- Lumbar spinal stenosis
- Vascular claudication
- Trochanteric bursitis
Discussion
The correct answer is (B). Neurogenic claudication from lumbar spinal stenosis classically presents with back pain radiating to the buttocks and lower extremities in a nonradicular pattern and is brought on with standing and extension. Sitting and flexion tend to relieve the pain as the spinal canal has a greater volume in this position. The physical examination is frequently normal. Peripheral neuropathy should be in the differential diagnosis; however, it is more commonly associated with constant symptoms that are not necessarily aggravated by activity. Vascular claudication can be exacerbated by activity but usually presents with decreased lower extremity pulses. In addition, walking uphill would not necessarily be less troublesome than walking downhill, nor would leaning on a shopping cart be helpful. Trochanteric bursitis can become more symptomatic with activity, but again would not be relieved with leaning on a shopping cart or lumbar flexion.
Which of the following diagnostic tests would best help confirm the patient’s diagnosis?
- Plain radiographs
- MRI
- CT
- EMG
Discussion
The correct answer is (B). MRI scan best demonstrates neural compression from spinal stenosis. CT is an option but is best when acquired with intrathecal contrast (i.e., CT myelogram). However, this test requires an invasive step and should be considered as a second choice in patients with contraindications to MRI. Plain radiographs can help better to define bony anatomy and identify potential instability during the surgical planning phase but are not critical for diagnosis. EMG can be helpful to rule out peripheral neuropathy but are not typically helpful in the diagnosis of spinal stenosis. In fact, they are often negative in such cases.
Imaging shows moderate to severe central and lateral recess stenosis at L4–5. There is no spondylolisthesis or scoliosis evident on upright radiographs. What is the most appropriate treatment at this point in time?
- Physical therapy
- Epidural steroid injections
- Laminectomy
- Laminectomy and fusion
Discussion
The correct answer is (A). With just 1 month of symptoms and no prior treatment, nonoperative, noninvasive treatment is indicated. While there is no strong evidence supporting physical therapy’s ability to change the natural history of symptomatic spinal stenosis and neurogenic claudication, it is still maintained as a reasonable first step for treatment. Injections may be considered if physical therapy is not helping. Surgery can be considered if symptoms persist despite an appropriate course of nonoperative treatment. In the absence of spondylolisthesis or scoliosis, laminectomy without fusion is the most appropriate surgical intervention. Objectives: Did you learn...? Recognize the signs and symptoms of neurogenic claudication from spinal stenosis?
Order the appropriate imaging?
Determine the most appropriate treatment? CASE 27 Dr. Adam Pearson A 65-year-old man with cervical spondylotic myelopathy (CSM) underwent a C3–7 laminetomy and fusion. On postoperative day 1, he reported that his preoperative symptoms were substantially improved. On postoperative day 2, he developed shortness of breath and was subsequently diagnosed with a pulmonary embolism. For this, intravenous heparin was started. Ten hours following the start of heparin, he reported increased neck pain as well as increased numbness in his arms and legs. Examination demonstrated marked upper and lower extremity weakness. An MRI is obtained and shown in Figure 1–36.

Figure 1–36
The most likely diagnosis for this patient is:
- Infection
- Epidural hematoma
- Spinal fluid leak
- Spinal cord infarct
Discussion
The correct answer is (B). The patient is at risk for epidural hematoma due to anticoagulation in the acute postoperative period. He presents with classic findings of pain and progressive neurological deficit. The MRI shows a T2 hyperintense
fluid collection in the laminectomy site causing cord compression. While spinal fluid, seroma, and blood all have similar appearance on MRI, the former two are under low pressure and would not likely cause this degree of cord compression. An infection would be highly unlikely on postoperative day 2. A spinal cord infarct is possible but would not be associated with the start of anticoagulation.
Treatment at this point should be:
- Percutaneous drainage
- Anticoagulation reversal and observation
- Blood patch
- Urgent surgical evacuation
Discussion
The correct answer is (D). Among the strongest predictors of neurological recovery following a symptomatic epidural hematoma is time to surgery after development of neurological deficit. Data suggests greater chance of recovery in patients undergoing surgical decompression within 12 hours compared to after 12 hours. When a patient presents with a neurological deficit and an epidural hematoma, this is a surgical emergency. Percutaneous drainage would not be appropriate as it would likely be inadequate in removing the hematoma. A blood patch involves injecting more blood into the spinal canal and might be an effective treatment for a CSF leak. While the anticoagulation may be reversed, observation without surgery and evacuation of the hematoma would not be appropriate.
The above patient returns to the operating room 4 hours from symptom onset. Long-term, his neurological deficits can be expected to:
- Recover
- Not worsen
- Worsen
- First recover, then worsen
Discussion
The correct answer is (A). Data has indicated complete or partial functional recovery in the vast majority of patients who were emergently returned to the operating room for evacuation of an epidural hematoma. The strongest predictors of complete neurological recovery are the severity of initial deficit and time to surgical decompression. Patients would rarely worsen following surgery. If surgery
is delayed, they would be less likely to improve. Objectives: Did you learn...? Recognize the signs and symptoms of epidural hematoma? Select the appropriate treatment and timing of treatment?
Understand the predictors and prognosis of neurological recovery following an epidural hematoma? CASE 28 Dr. Andrew Schoenfeld The trauma team at your hospital asks you to consult on the case of a 78-year-old male who was brought to the hospital following a fall at his house. During the fall, the patient’s son reports that his father’s head struck the refrigerator, and that he then became unresponsive. CT scan of the patient’s head demonstrated a subdural hematoma. The patient is obtunded and cannot be meaningfully examined. He is in a cervical collar placed by the paramedics at the time of transport. Plain films were obtained in the ER, but no other radiographic studies were performed. The plain film lateral demonstrates a diffusely osteopenic cervical spine, loss of the normal lordotic posture, and disc space ossification via marginal osteophytes along the vertebral bodies. The film was interpreted as negative for fracture by the attending radiologist.
The next best step in management for this patient is:
- Remove the cervical collar
- Leave the cervical collar until the patient is conscious
- Obtain a cervical spine CT
- Apply cranial tongs and cervical traction
Discussion
The correct answer is (C). The patient has ankylosing spondylitis. In this population, fractures may be difficult to detect using only plain films. The patient is also obtunded and should be presumed to have a cervical injury until proven otherwise. The rigid, immobile spine that occurs as a result of ankylosing spondylitis is prone to unstable, three-column fracture even with low energy mechanisms, such as a fall from standing. A CT scan is the imaging modality of choice to detect cervical spine
fractures in patients with hyperostotic disease as well as any individual suspected of cervical spine trauma.
Further imaging demonstrates an extension-type fracture involving the ankylosed disc space at C5–6. The trauma team wishes to admit the patient to the intensive care unit to monitor his subdural hematoma. While in the ICU, which of the recommendations is most appropriate?
- The patient should be placed in a halo-thoracic vest and maintained with the head of bed at a 45-degree angle.
- The patient should be placed on log-roll precautions with his cervical spine immobilized close to the preinjury position.
- The patient should be placed on log-roll precautions with his cervical spine immobilized in a flexed position with 70 lb of traction via cranial tongs.
- The patient should be placed on log-roll precautions with 50 lb of longitudinal traction.
Discussion
The correct answer is (B). Patients with a fractured ankylosed spine should be immobilized in the best approximation of their preinjury cervical posture. This can be achieved with low-weight cervical traction with or without a well-fitting cervical collar supported by pillows or blankets. Log-roll precautions should also be employed. Substantial traction weight should be avoided in patients with ankylosing spondylitis fractures as it can cause undue distraction through the injury site. Longitudinal traction would effectively create an extension moment on the previously kyphotic spine and would not be advised.
Definitive treatment of this previously active and independent man should be:
- Immobilization in a halo-thoracic vest for a period of 3 months
- Anterior plate fixation across the fracture site at C5–6
- Posterior instrumented fusion at C5–6
- Long posterior instrumented fusion
Discussion
The correct answer is (D). The rigid, ankylosed spine behaves biomechanically like a long-bone rather than a series of vertebral segments as in the normal cervical spine. This necessitates an approach similar to the treatment of extremity fractures. Short constructs may be exquisitely prone to failure. Of the choices, a long
posterior instrumented fusion offers the most stability and chance for healing. Halo-thoracic immobilization is associated with poor outcomes and high mortality rates in the elderly population.
🎓 Following surgery, the patient’s family inquires about the long-term impact of this fracture on his physical function and survival. They should be advised that his mortality risk is:
- No different than for a non-ankylosed patient
- Lower than a non-ankylosed patient
- Equivalent to a similarly aged patient with an osteoporotic fracture
- Higher than a non-ankylosed patient
Discussion
The correct answer is (D). A number of investigations have found that post-treatment mortality rates are high for patients with ankylosing spondylitis and a spinal fracture. A recent analysis, comparing patients with ankylosing spondylitis and cervical spine fracture to age- and sex-matched controls, confirmed that this risk persisted for up to 2 years after the fracture event. In that study, the mortality rate for individuals with cervical fracture in the setting of ankylosing spondylitis was 37.5% and 62.5% at 3 months and 2 years post-fracture, respectively, as compared to 7% and 20.9% in control group. Objectives: Did you learn...? Indications for the initial radiographic imaging and diagnostic evaluation for patients with ankylosing spondylitis and a suspected fracture?
The appropriate approach to positioning and monitoring for patients with ankylosing spondylitis and a known fracture?
The appropriate approach to surgical intervention for patients with ankylosing spondylitis and a known fracture?
The influence of ankylosing spondylitis on long-term survival in patients treated for spinal fractures? CASE 29 Dr. Andrew Schoenfeld A 29-year-old athletic male presents to you office with a 4-week history of back
pain and right lower extremity radiating pain that extends to the lateral aspect of his foot. His symptoms were precipitated by a cross-training workout. He was referred to your office after MRI obtained by his primary care manager revealed a 1.0 cm L5–S1 paracentral disc herniation impinging the right S1 nerve root in the lateral recess. He denies saddle anesthesia and reports no episodes of bowel or bladder incontinence. He has only received naprosyn from his family physician for pain control and no other treatment has been prescribed. The patient has little reproducible back pain via palpation. Sensory and motor functions are intact via manual testing, but the patient has difficulty performing a single-stance leg raise on the right. Deep tendon reflexes are 1+/4+ at S1 on the right as compared to 2+/4+ elsewhere. The patient demonstrates a positive straight leg raise and a positive Lasegue sign on the right.
The next best step in management for this patient is:
- Schedule the patient for a L5–S1 discectomy.
- Have the patient return to his primary care manager and return to your clinic only if symptoms progress.
- Refer the patient to physical therapy.
- Schedule the patient for a transforaminal lumbar interbody fusion at L5–S1.
Discussion
The correct answer is (C). The patient has an acute disc herniation with associated radiculopathy. There are no indications for urgent surgical decompression. Most instances of acute radiculopathy from disc herniation in young patients will resolve within 6 weeks of onset. Only following 6 weeks of persistent symptomatology should consideration be given for epidural injections or more invasive treatment options.
The patient returns to your clinic after 4 weeks of intense physical therapy. His symptoms have remained constant and no progression has occurred. His examination remains unchanged from that obtained at initial presentation. He is an avid runner and weight lifter and would like to return to physical activity as soon as possible. He is concerned that delaying surgical intervention will result in permanent “nerve damage.”
Based on the available literature, your opinion is that:
- Duration of radicular symptoms has no impact on long-term functional outcomes.
- Symptom duration may impair postsurgical recovery but has no long-term impact on function.
- Symptom duration may adversely impact recovery but only if symptoms have been present for periods upwards of 2 years.
- Symptom duration may adversely impact recovery but only if symptoms have been present for periods upwards of 6 months.
Discussion
The correct answer is (D). A number of studies support the contention that symptom duration can adversely impact postsurgical recovery, principally in the areas of chronic pain and physical function. Most large works support the fact that outcomes are not compromised as long as surgery is performed within 6 to 12 months of symptom onset. Surgery performed for patients whose symptoms have been present for periods of 12 months or greater have been found to have inferior results as compared to those who received surgical intervention at an earlier time-point.
You decide to offer the patient a right-sided L5–S1 discectomy, using an operative microscope. The patient wishes to know how successful the surgery is likely to be in terms of relieving his predominant symptom, which is radicular leg pain.
You tell him that:
- The surgery is likely to be successful given the fact that he is young, male, healthy, and has a herniation greater than 6.0 mm in size.
- The surgery is likely to be successful given the fact that he is active, male, and has no motor deficits by manual testing.
- The surgery is likely to be unsuccessful given the fact that he is physically active and male.
- The surgery is likely to be unsuccessful given the fact that he has a herniation less than 1.5 cm in size.
Discussion
The correct answer is (A). Previous work has identified female gender, multiple medical comorbidities, and unemployment as predictors of inferior outcome following lumbar discectomy. The size of the disc herniation has also been found to play an important role in influencing outcome. Disc herniations of a size 6.0 mm or
greater were found to have superior outcomes as compared to those with fragments sized 5.9 mm or less.
The patient also asks about his back pain, which is not his major concern but still troublesome. He desires to know whether the surgery you propose is likely to “cure” his back pain symptoms.
Based on the available literature, you tell him that:
- The surgery is solely intended for his leg related symptoms. The surgery will not impact his back pain at all.
- While primarily intended to relieve his leg related symptoms, the surgery may also improve his back pain to a certain extent although it is unlikely to be complete.
- While primarily intended to relieve his leg related symptoms, the surgery may also completely relieve his back pain.
- The surgery is intended to treat his back pain. Whether his leg-related symptoms improve depends on the size of the disc fragment and whether there has been vascular insult to the S1 nerve root.
Discussion
The correct answer is (B). Lumbar discectomy is primarily designed to relieve radicular pain symptoms. Nonetheless, a number of studies, including the Maine Lumbar Spine Study’s 10-year follow-up results, have found that many patients experience substantial relief of their preoperative, low back pain symptoms following surgery. However, the relief of back pain following such an intervention is rarely complete, and residual back pain is often experienced.
As you are scheduling the case, your colleague suggests that you try to perform the procedure “Minimally Invasively,” using a tubular retractor system.
When compared to microsurgical procedures, tubular discectomy has been found to:
- Have superior results in terms of functional outcomes
- Have inferior results in terms of chronic back pain but superior outcomes for leg-related symptoms
- Have no difference in outcomes
- Higher blood loss and longer operative times but superior results for relief of radicular symptoms
Discussion
The correct answer is (C). Most comparative studies have found no difference in outcomes between tubular discectomy and microsurgical lumbar discectomy. A randomized prospective trial comparing the two types of interventions found that patients had similar functional and clinical outcomes. Patients treated with tubular discectomy in this study were found to have greater leg and back pain as well as lower rates of satisfaction and higher rates of repeat surgery, although none of these findings were statistically significant. Objectives: Did you learn...? Indications for the initial management of patients who present with acute radicular findings in the setting of a lumbar disc herniation?
The influence of symptom duration on functional outcome following surgical intervention?
Factors predictive of successful surgical outcome after lumbar discectomy?
The impact of lumbar discectomy on leg and back pain–related symptoms in the setting of a disc herniation?
The difference between the use of minimally invasive techniques and microsurgical decompression in terms of functional outcomes following surgery? CASE 30 Dr. Andrew Schoenfeld You are asked to evaluate a 48-year-old obese woman who presented to the emergency department 48 hours ago with severe low back pain, fevers, and chills of several days duration. CT and MRI demonstrated discitis involving the L4–5 disc space and adjacent osteomyelitis of the L4 and L5 vertebral bodies. No epidural abscess was appreciated on imaging. Standing radiographs demonstrate relatively normal alignment in the affected area. She denies saddle anesthesia and has had no episodes of bowel or bladder incontinence. Her body mass index is 43 and she is diabetic, but she has no other medical conditions; she was found to be HIV-negative at the time of admission. Physical examination demonstrates reproducible back pain with palpation diffusely throughout the lumbar region, but her sensory and motor functions are normal. No upper motor neuron findings are present. Blood cultures obtained before starting vancomycin are growing methicillin-sensitive S. aureus.
The next best step in management is:
- Request a CT-guided biopsy
- Surgical debridement and instrumented fusion
- Infectious disease consultation for antibiotic management
- Lumbar corset
Discussion
The correct answer is (C). The patient has a spondylodiscitis with no evidence of neurologic deficit, epidural abscess, or gross deformity. Blood cultures may identify the responsible organism for infection in as many as 85% of cases of discitis/osteomyelitis. In the current case, the cultures indicate a methicillin-sensitive organism, thus vancomycin would not be necessary. Infectious disease consultation is important in order to optimize the choice of antibiotic. If there is any suggestion that the cultures are unreliable or were not growing an organism, then a CT-directed biopsy should be obtained. While immobilization in the form of a rigid orthosis might be effective in decreasing pain, a lumbar corset would not. Surgical debridement and instrumented fusion are not indicated at this time unless the patient develops a deformity, fails a course of antibiotic treatment, develops a neurological deficit, or has intractable pain that is unresponsive to other measures.
The patient is eventually discharged from the hospital on parenteral antibiotics. She returns to your office for follow-up 6 weeks after discharge. Her back pain has diminished but has not completely resolved. She remains neurologically intact without any subjective complaints or objective deficits noted on examination. Plain film imaging, obtained in your office, shows no evidence of vertebral body collapse or instability. Laboratory tests, ordered by infectious disease doctor, show that her white blood cell count, ESR, and C-reactive protein are now within normal limits. Treatment at this time should be:
- Surgical intervention
- Stop antibiotics
- Follow-up as needed
- Continue antibiotics for another 6 weeks
Discussion
The correct answer is (D). Her laboratory values are indicative of a favorable response to the current antibiotic regimen. Vertebral osteomyelitis typically requires
a total of 12 weeks of antibiotic treatment. At the 6-week mark, infectious disease doctors often recommend conversion to oral antibiotics (if available). However, antibiotics should not be stopped altogether. The patient will probably avoid surgery with this type of positive response but should continue to be followed until there is radiographic evidence of autofusion of the disc space.
Six weeks later, the patient returns to the emergency department with a marked increase in her back pain. She remains neurologically intact. An MRI shows increasing bone destruction of the L4 and L5 vertebral bodies. Plain films demonstrate 20 degrees of segmental kyphosis in this area, though there is no evidence of epidural abscess. The next most appropriate step in treatment should be:
- 12 more weeks of antibiotics
- Debridement and circumferential fusion
- CT-guided biopsy and blood cultures
- L4 and L5 laminectomy
Discussion
The correct answer is (B). The patient has evidence of spinal instability which is an indication for surgical intervention. In light of the evidence of increasing bone destruction and kyphosis, the most appropriate approach is to thoroughly debride the infected vertebral bone and then reconstruct the spine using an interbody strut followed by posterior instrumentation and fusion. Another 12 weeks of antibiotics is not likely to eradicate the infection or treat the underlying instability. A CT-guided biopsy and blood cultures would be indicated if surgery was not planned. A laminectomy would be contraindicated as it will result in greater instability. Objectives: Did you learn...? Indications for the initial management and diagnostic evaluation of patients with vertebral osteomyelitis in the absence of epidural abscess?
The appropriate duration of intravenous antibiotic therapy and indications for surgical intervention?
The approach to surgical management in the setting of failed response to an appropriate course of antibiotic therapy? CASE 31 Islam Elboghdady; Dr. Anton Jorgensen; Dr. Kern Signh A 44-year-old construction worker presents to the office with reports of neck pain and sharp arm pain that radiates to the left middle finger. Symptoms began 2 weeks prior. Physical examination demonstrates 5/5 motor strength in both upper extremities except for 4/5 strength in the left triceps. There also is noted a positive Spurling’s sign to the left, reproducing the patients arm pain that radiates into his long finger. The patient obtains an MRI, shown in Figure 1–36 and Figure 1–37.

Figure 1–37 Axial MRI demonstrating a left paracentral herniated nucleus pulposus at C6–7. (Courtesy of Dr. Kern Singh)
What is the most likely etiology to explain this patient’s symptoms?
- Burst fracture of the C6 vertebrae causing spinal stenosis and nerve root impingement
- C6–7 herniated nucleus pulposus with neuroforaminal compromise
- Ossification of the posterior longitudinal ligament
- Cervical spinal stenosis causing myelopathy and spinal cord compression
Discussion
The correct answer is (B). This patient most likely has a foraminal herniated intervertebral disc at the C6–7 level causing compression of the exiting C7 nerve root. Disc degeneration is associated with the loss of proteoglycans, water, and cellularity. The outer and inner layers of the annulus fibrosus become incompetent. This structural alteration lessens the threshold of pressure required for the nucleus
pulposus to herniate through the annulus fibrosus. Labor intense activities or high impact sports may result in transiently high increases in disc pressure, increasing the likelihood for a potential disc herniation. Cervical radiculopathy is a clinical diagnosis made based on history and physical examination. The MRI images are included in Figure 1–37 and Figure 1–38.

Figure 1–38 Sagittal MRI demonstrating a posterior intervertebral disc fragment at the C6–7 level. (Courtesy of Dr. Kern Singh)
What is the best next step in management for this patient?
- Anterior cervical discectomy and fusion
- Posterior cervical foraminotomy and discectomy
- Transforaminal epidural steroid injections
- Pharmacologic management (NSAIDs)
Discussion
The correct answer is (D). The majority of disc herniations will resolve spontaneously. The herniated nucleus pulpous (HNP) will be resorbed, as demonstrated on long-term radiographic assessment of patients who underwent nonoperative treatment. The first step involves pharmacologic treatment with nonsteroidal anti-inflammatory drugs (NSAIDs). Similarly, corticosteroids may also be utilized to minimize the symptoms being experienced by the patient. It should be noted that corticosteroids have not been demonstrated to provide long-term pain
relief. There are no randomized controlled trials to support the routine utilization of muscle relaxants for the initial management of HNP. Opiates may be utilized for initial pain control but the dosing should be short-term, as long-term narcotic utilization is not indicated.
Physical therapy should also be encouraged in addition to pharmacologic management. Although PT has not been demonstrated to improve outcomes associated with cervical HNP, it may provide symptomatic relief.
If pharmacologic management and physical therapy are ineffective, epidural steroid injections (ESI) may be attempted. Some evidence suggests that corticosteroid ESIs carry greater efficacy than anesthetic or saline injections and may limit surgical intervention. Similarly, selective nerve root blocks (SNRB) can be utilized for diagnostic purposes or therapeutic relief. Improvement following SNRB localizes the source of pain to the irritated nerve root. Unlike ESIs, SNRBs function by local steroid deposition near the nerve root as it exits the foramen without infiltration into the spinal canal.
Following 3 months of nonoperative management, the patient reports worsening left arm weakness. Physical examination demonstrates numbness over the left third digit and 3/5 muscle strength with elbow extension in the left arm. The patient has exhausted NSAIDs, physical therapy, and epidural steroid injections.
What is the next best step in management?
- Selective nerve root block
- Anterior cervical discectomy and fusion
- Continued nonoperative management
- Laminectomy
Discussion
The correct answer is (B). The majority of disc herniations resolve spontaneously with time, and therefore, nonoperative management should be encouraged even after 3 months. However, this patient demonstrates worsening motor strength. As such, this patient will likely benefit from an anterior cervical discectomy and fusion (ACDF) to limit the progression of symptoms. ACDF will serve to maintain the segmental cervical lordosis and restore disk height to decompress the C7 nerve root. The limitations of ACDF include diminished motion at the fused spinal segment and potential risk of adjacent segment degeneration and instability. One alternative to ACDF includes cervical disc arthroplasty (CDA), which is proven to be noninferior to ACDF for the management of degenerative disk disease. An
additional option is a posterior cervical foraminotomy and discectomy. A foraminotomy is not indicated for central disc herniations but can be an effective, motion-sparing procedure for patients with foraminal compromise secondary to osteophytes and/or disc herniation.
Which of the following complications are specific to anterior cervical spine surgery?
- Dysphagia
- Dysphonia
- Cervical soft tissue swelling
- Recurrent laryngeal nerve injury
- Horner’s syndrome
- Infection
- Excessive blood loss
- Incidental durotomy
- 1, 2, 3, 4, 5
- 1, 3, 5, 7, 8
- 3, 5, 6, 8, 8
- 5, 6, 7, 8
- 2, 4, 5, 7, 8
Discussion
The correct answer is (A). Dysphagia is a unique complication that is specific to anterior cervical spine surgery. Retraction of the recurrent laryngeal nerve and the esophagus can contribute to impaired swallowing. Dysphagia typically improves and resolves within days following the anterior cervical procedure. Dysphonia is the result of injury or compression of the recurrent laryngeal nerve, which is essential for vocal cord function. Prevertebral soft tissue swelling typically peaks on the second and third days postoperatively and dissipates by 6 weeks. Horner’s syndrome is a very rare complication of ACDF that results from injury to the cervical sympathetic trunk (CST). The CST lies superficial to the longus coli, excessive retraction may result in injury presenting as a triad of ptosis, miosis, and anhydrosis. Infection and blood loss are complications inherent to any surgical procedure. Vertebral artery injury and incidental durotomies are more likely with a posterior cervical spine procedure than an anterior cervical approach. Objectives: Did you learn...? Initial management of a cervical HNP; importance of nonoperative management? Next steps after failure of nonoperative management?
The complications specific to an ACDF? CASE 32 Dr. Alejandro Marquez-Lara; Dr. Eric Sundberg; Dr. Kern Singh A 62-year-old, overweight (BMI = 28.9 kg/m2) female with no significant medical or surgical history presents complaining of progressive lower back pain for the past 3 months. Her symptoms worsen with prolonged walking/standing and improve with sitting. The neurovascular examination is unremarkable and no motor deficit is appreciated. Imaging studies are obtained (Figs. 1–39 to 1–42).

Figure 1–39 Axial T2-weighted MRI demonstrating central spinal stenosis at the L4–5 disc level. (Courtesy of Dr. Kern Singh)

Figure 1–40 Sagittal T2-weighted MRI demonstrating L4–5 spondylolisthesis with canal narrowing. (Courtesy of Dr. Kern Singh)

Figure 1–41 Sagittal T1-weighted MRI demonstrating right foraminal narrowing. (Courtesy of Dr. Kern Singh)

Figure 1–42 Sagittal T1-weighted MRI demonstrating left foraminal narrowing.
What is the next step in management?
- Counsel the patient to lose weight and return in 3 months
- Nonsteroidal anti-inflammatory medication, physical therapy, and weight loss
- Epidural steroid injection
- Lumbar total disc replacement
Discussion
The correct answer is (B). This patient demonstrates symptoms of back pain associated with an L4–5 spondylolisthesis and spinal stenosis. Most patients (76%) with degenerative spondylolisthesis and spinal stenosis without radicular symptoms respond well to nonoperative management. Directionally specific physical therapy, namely flexion-based Williams’ exercises, may have some benefit in patients with positional specific symptomatology.
After 6 months, the patient has minimal relief of symptoms. She continues to complain of back pain aggravated by standing and walking and improving with flexion and sitting. In addition, she mentions intermittent lower extremity pain, numbness, and tingling that radiates to the dorsum of her foot. Her walking and standing tolerance have also diminished.
What is the next step in management?
- Microscopic lumbar discectomy
- Continue nonoperative management for another 6 months
- Epidural steroid injection (ESI)
- None of the above
Discussion
The correct answer is (D). The patient continues to have back pain and now complains of neurogenic claudication. In this case, recent evidence from the Spine Patient Outcomes Research Trial (SPORT) suggests that nonoperative management in a symptomatic patient with spondylolisthesis and spinal stenosis will benefit greater from surgical intervention than nonoperative management (ESIs).
On physical examination, sensation to light touch over the dorsal foot and lateral aspect of the leg is diminished and you notice weakness with great toe extension on the right side compared to the left.
What surgical option is best for this patient at this time?
- Limited decompression (e.g., laminoforaminotomy)
- Laminectomy
- Decompression and fusion without instrumentation
- Decompression and fusion with instrumentation
Discussion
The correct answer is (D). Patients with lumbar spinal stenosis from spondylolisthesis who have failed conservative management for 3 to 6 months are associated with better outcomes with surgical decompression and fusion than continued nonoperative management. The surgical technique should aim to decompress the neural structures and stabilize the affected segment. Instrumented fixation is associated with higher fusion rates than noninstrumented techniques. Flexion–extension radiographs may be obtained to help determine the severity of instability. In those patients with nonmobile spondylolisthesis and collapsed disc spaces, it is reasonable to offer the patient a laminectomy with preservation of the midline structures. In these cases, the risk of progression of the spondylolisthesis may be low, and a surgical fusion may be obviated.
What are the potential benefits of an interbody fusion?
- Better restoration of disc and foraminal height
- Higher fusion rates than posterolateral fusions
- Better short- and long-term clinical outcomes
- Both A and B
- A, B, and C
Discussion
The correct answer is (D). Interbody fusion procedures including anterior, transforaminal, and posterior interbody fusions improve disc and foraminal height. In addition, some studies have reported higher fusion rates with interbody implants due to the higher surface area for bone graft incorporation. Currently, there is no evidence that demonstrates better outcomes with interbody techniques compared to traditional posterolateral fusions in patients with degenerative spondylolisthesis. There is an increased risk of injury to neural elements from the retraction required for disc excision and placement of the interbody device. The additional costs, potentially greater operative times, and blood loss should also be taken into consideration. Objectives: Did you learn...? Nonoperative treatment with directionally specific physical therapy is an acceptable, initial treatment option in the setting of spondylolisthesis with spinal stenosis?
Decompression and instrumented fusion is the most accepted surgical technique to treat spondylolisthesis with spinal stenosis after exhausting nonoperative management?
The addition of an interbody fusion device can help restore the disc height and promote a stable fusion. However, further research is warranted to characterize the short- and long-term outcomes with this technique as compared with the more traditional posterolateral fusion? CASE 33 A 55-year-old patient with a history of smoking and congestive heart failure sustained a traumatic spondylolisthesis at L4–5 following a motor vehicle accident. Due to the degree of instability, an anterior and posterior spinal fusion was
performed from L3–5. The procedural time was prolonged due to extensive instability. At the 3-week follow-up, the patient reports severe back pain, fever, and drainage from the surgical wound-site. The ESR was 100 mm/h with a white blood cell count of 15,000/mm3. Plain film radiographs demonstrated a stable construct and no evidence of segmental deformity.
Which of the following are published risk factors for the patient’s current state?
. History of smoking
. Congestive heart failure
. Male gender
. Multilevel fusion
. Longer duration of surgery
1. 1 and 2
2. 1, 2, 3
3. 1, 4, 5
4. 1, 3, 4, 5
5. 1, 2, 3, 5
6. 1, 2, 3, 4, 5
Discussion
The correct answer is (C). The elevated ESR and WBC at 3 weeks with concomitant fever and wound drainage are suspicious signs for postoperative wound infection. The ESR typically peaks at 1 week following surgical intervention. Postoperative infections can be attributed to multiple patient- and surgical-related risk factors. In this scenario, the surgical risk factors include a multilevel fusion secondary to greater tissue dissection, operative time, and instrumentation. In addition, this patient carries a history of smoking, which is a published risk factor for postoperative complications including infection, pseudarthrosis, and poor wound healing. Conversely, male gender and a history of congestive heart failure are not published risk factors for postoperative spinal infection.
Which of the following imaging modalities should be obtained?
- Contrasted CT
- Noncontrasted MRI
- Contrasted MRI
- Bone scintigraphy
- Ultrasound
Discussion
The correct answer is (C). MRI with gadolinium enhancement is the best radiographic modality to detect surgical site infections (SSIs). If spinal instrumentation is present, MRI should be utilized with metal artifact reduction sequences. Vertebral and soft tissue changes on imaging must be differentiated between two different states: normal postoperative changes and vertebral osteomyelitis. Both states are associated with type 1 end plate changes that are characterized by adjacent marrow edema and hypointense signal on T1 imaging. Vertebral osteomyelitis may also be associated with high signal intensity in the disc space. In addition, gadolinium contrast serves to demonstrate areas of enhancement in the disc space. Vertebral osteomyelitis is associated with circumferential disc enhancement whereas linear areas of enhancement are more resemblant of normal postoperative changes.
CT can be utilized to assess for implant failure and bony remodeling/destruction. Bone scintigraphy will not differentiate between the normal postoperative state versus infection, as both states are associated with increased metabolism and uptake. Gadolinium contrast is essential to visualize the pattern of disc enhancement.
Imaging studies indicated a subfascial infection at L4–5 with bony destruction and fluid collection. Which of the following should be the next course of action?
- IV antibiotics
- Bedside incision and drainage
- Surgical debridement and irrigation with retention of instrumentation
- Surgical debridement and irrigation with removal of instrumentation
- CT-guided aspiration and drainage
Discussion
The correct answer is (C). The type of postoperative spinal infection dictates the next appropriate course of action. Superficial SSIs often respond to a course of IV antibiotics and/or surgical drainage. Conversely, medical therapy alone is likely
unsuccessful with subfascial infections due to poor tissue vascularity and penetration of antibiotics. Deep SSIs typically warrant extensive debridement of infected and necrotic tissue with removal of extraneous bone or graft pieces. The surgeon should aim to retain instrumentation in an effort to maintain the stability of the spinal column. If implants are loose, they can be removed and replaced; however, the patient must be monitored closely for potential pseudarthrosis or spinal instability. In this patient’s case, the infection developed at 3 weeks and is considered an early postoperative infection. In cases of a late deep SSI (6 months to 1 year), the surgeon may elect to remove instrumentation to adequately clear the infection, as bony arthrodesis is likely forthcoming if not already achieved. The surgeon must be cognizant that in cases of deep infection, serial surgical debridements are likely necessary to effectively clear the infection. In addition, there is some evidence promoting the utilization of antibiotic impregnated beads or grafts following surgical debridement in order to address the issue of poor IV antibiotic penetrance to the infection site.
What is the best course for antibiotic therapy in this patient?
- No antibiotic therapy is warranted following surgical debridement
- Course of oral antibiotic therapy
- Course of intravenous antibiotic therapy
- Course of IV antibiotic therapy followed by course of oral antibiotics
- Lifetime oral antibiotics
Discussion
The correct answer is (D). Initially patients with postoperative spinal infections should be placed on broad spectrum antibiotics following surgical debridement until a culture and sensitivity profile of the organism(s) is obtained. The most common pathogen is S. aureus. Typically, a 6-week course of intravenous antibiotic therapy is recommended followed by a course of oral antibiotics. Infectious disease specialists should be consulted to determine the type, dosage, and duration of antibiosis appropriate for each patient. For patients with methicillin-resistant S. aureus infections, new guidelines recommend 6 weeks of intravenous antibiotic therapy followed by oral antibiotics until fusion is achieved. Some physicians advocate removal of the hardware once the arthrodesis has been obtained in order to eradicate any potential for infectious recurrence. Objectives: Did you learn...? The risk factors for postoperative spinal infection include smoking, multilevel fusion procedures, and prolonged duration of surgery among other factors?
Contrasted MRI is paramount for the diagnosis of a postoperative spinal infection?
The management of a postoperative spinal infection is dependent upon the extent of infection?
Antibiotics carry an integral role for the management of postoperative spine infections. Infectious disease specialists should be consulted to aid in selection and length of therapy? CASE 34 A 20-year-old man presents to the trauma bay after striking his head while diving into a shallow pool. He was not able to get out of the pool himself and was extricated by others. Upon presentation, he is alert and oriented. Physical examination of his upper extremities demonstrates 5/5 strength in shoulder abduction and elbow flexion, 4/5 in the wrist extension, and 1/5 strength of elbow extension, wrist flexion, and finger abduction/flexion. Lower extremity strength is 1/5 in all groups. Sensation is intact along the lateral shoulder, arm, and forearm, but decreased along the middle finger and medial forearm and arm. Lower extremity sensation is globally decreased. Figure 1–43A–C are axial and sagittal CT images of his cervical spine. Figure 1–43D is a sagittal MRI of his cervical spine.


Figure 1–43 A–D
The patient’s cervical spine injury is best described as which of the following?
- Hangman’s fracture
- Lateral mass fracture
- Flexion teardrop fracture
- Facet dislocation
Discussion
The correct answer is (C). The imaging studies demonstrate a flexion teardrop injury. The important injury characteristics include a triangular fracture fragment along the anteroinferior aspect of the vertebral body that is thought to be produced by shear forces via a flexion–compression moment. The paramedian CT images demonstrate gapping in the facet joints which indicates that the facet capsule has been disrupted. Flexion teardrop injuries should be distinguished from anterior avulsion fractures, often called extension teardrop fractures, which also can involve the anteroinferior corner of the vertebral body. However, the fracture is produced by failure in tension and is more commonly seen in elderly patients who sustain an extension injury mechanism. A Hangman’s fracture refers to an injury specifically of the pars interarticularis of C2. A Chance fracture, also known as a flexion–distraction or seat belt injury, occurs in the thoracolumbar region and exhibits
evidence of both posterior and anterior structure failing under tension. Though the facet joints do appear to be gapped on the CT images, they are not dislocated, thus the injury should not be described as a facet dislocation.
This injury most likely occurs via which of the following mechanisms?
- Hyperextension
- Flexion–compression
- Flexion–distraction
- Forced rotational
Discussion
The correct answer is (B). This injury pattern is most commonly produced by a compressive force imparted on a flexed spine. Compression–flexion injuries, as described by Allen and Ferguson, can present in varying stages ranging from simple blunting of the anterior vertebral body (best described as a compression fracture) to unstable injures with teardrop fragments and a characteristic sagittal split, pronounced kyphosis, and facet gapping as exhibited in the above injury. Hyperextension injuries may show widening anterior with associated fracture of the posterior elements but would not be likely to present with kyphotic deformity. Flexion–distraction injuries in the cervical spine, the prototype of which is bilateral facet dislocations, show substantial widening posteriorly with subluxation, dislocation, or fracture dislocation of one or both facet joints. Rotational injuries most commonly present with unilateral pedicle or articular process fractures with varying degrees of translational deformity.
Based on the patient’s examination findings, his motor level would best be described as:
- C5
- C6
- C7
- T1
Discussion
The correct answer is (B). Utilizing international standards, the motor level is defined as the lowest (most caudal) level with key muscle strength of at least grade 3/5, provided that muscle function cranial to this segment is full (5/5). This patient’s elbow flexion is 5/5 and wrist extension is 4/5, both of which represent C6 function.
Elbow extension and wrist flexion are 1/5, which represent C7 function. Finger flexion and abduction represent C8 and T1 function, both of which are 1/5 in this patient. Thus, this patient’s most caudal segment with at least 3/5 strength is C6.
Provided that the patient is medically stable, definitive treatment should be:
- Immobilization in a hard cervical collar
- 6 weeks of cervical traction followed by halo-vest application
- Laminectomy of C3 through C7
- C5 corpectomy and instrumented fusion
Discussion
The correct answer is (D). In general, nonoperative treatment of a patient with a neurological deficit is not ideal. With the surgical goals being decompression of the spinal canal, realignment, and stabilization, anterior corpectomy and instrumented fusion addresses all three. Closed treatment with a hard cervical collar would not adequately stabilize the spine or be able to maintain alignment. While halo-vest immobilization has been described for the treatment of this injury type with comparable neurological outcomes as anterior corpectomy and fusion, radiographic outcomes are inferior, that is, kyphosis persists. Notwithstanding, 6 weeks of cervical traction would not be advisable in a patient who is fit to safely undergo surgery. A laminectomy would cause further destabilization of the spine in this case and would likely not results in substantial decompression of the spinal cord. Objectives: Did you learn...? The imaging findings suggestive of a cervical flexion teardrop fracture, including the nuances that distinguish it from other more stable injuries?
The typical injury mechanism associated with teardrop injuries and spectrum of injury patterns produced by this mechanism?
How to determine the motor level of a spinal cord injury based on evaluation of key muscle function?
Appropriate treatment considerations for this injury pattern? CASE 35 A 43-year-old man was struck by a car while walking along the road. Neurologic examination demonstrates 5/5 strength in all muscle groups in his upper extremities but 0/5 strength throughout the lower extremities. Though sensation throughout the lower extremities is absent, he has diminished yet present perianal sensation to light touch and pinprick. His imaging studies are shown in Figure 1–44A–C.

Figure 1–44 A–C
The patient’s neurologic injury can be best described by which of the following American Spinal Injury Association (ASIA) impairment scale grades?
- ASIA A
- ASIA B
- ASIA C
- ASIA D
Discussion
The correct answer is (B). The ASIA impairment scale helps to characterize the
severity of a spinal cord injury. It relies on determining the degree of motor and sensory function below the level of injury. ASIA A refers to a patient with no motor or sensory function below the injury level. ASIA B denotes that some sensory function is preserved below the level of injury. ASIA C denotes that there is some motor function below the injury level, but that it is less than 3/5. ASIA D indicates that motor function below the injury level is at least 3/5. ASIA E is normal motor and sensory function below the level of injury. In the above case, there is some, albeit diminished, sensation in the perianal region. This indicates an ASIA B grade. While this is certainly not useful function at this time, it is an important prognosticator of neurological recovery as the patient demonstrates some function of the spinal cord below the level injury.
In the trauma bay, the patient’s blood pressure suddenly drops to 80/50 mm Hg while his pulse increases to 120 bpm. A 1-L fluid bolus of lactated Ringers is infused which normalizes his blood pressure and pulse. This clinical phenomenon is best characterized as which of the following?
- Hypovolemic shock
- Spinal shock
- Neurogenic shock
- Autonomic dysreflexia
Discussion
The correct answer is (A). The patient’s hypotension was combined with tachycardia that responded well to judicious fluid administration. This suggests that he was experiencing hypovolemic shock. Neurogenic shock, often following a spinal cord injury, typically manifests with hypotension combined with bradycardia. Neurogenic shock is more frequently associated with cervical level spinal cord injury, and fluid resuscitation should be administered carefully as to avoid volume overload. After achieving euvolemia, vasopressors should be used to support blood pressure in lieu of delivering more fluid. Neurogenic shock occurs as a result of the lack of sympathetic tone in the peripheral vasculature. Spinal shock refers to a transient syndrome of flaccid areflexic paralysis and anesthesia after spinal cord injury which hinders accurate determination of ASIA grade and prognosis. It does not affect blood pressure or heart rate. The resolution of spinal shock is heralded by the return of the bulbocavernosus reflex. Importantly, conus level injury can result in persistent loss of the bulbocavernosus reflex in the absence of spinal shock. Autonomic dysreflexia is a syndrome involving massive imbalance of sympathetic
discharge in response to pain below the level of neurologic injury. It often manifests as severe headache, flushing, and extreme elevation of blood pressure with compensatory bradycardia and can be life-threatening. The most common triggering source is severe bladder distension.
During early management and resuscitation of this patient, which of the following is currently recommended in order to maximize neurological recovery?
- Systemic hypothermia using an intravenous cooling system
- High-dose methylprednisolone infusion
- Maintaining mean arterial pressure of 85 mm Hg
- Injection of olfactory ensheathing cells into the injury site
Discussion
The correct answer is (C). Although there are no level I studies on this issue, current consensus among spinal surgeons is that supporting spinal cord perfusion using vasopressors, if necessary, to maintain a mean arterial blood pressure of 85 mm Hg is ideal. In addition, supplemental oxygen should be used as necessary to ensure that adequately oxygenated blood is perfusing the injured spinal cord. The use of methylprednisolone had become widespread after the second and third National Acute Spinal Cord Injury Studies reported a positive effect. Subsequent analyses of these data, however, have suggested that no conclusive benefit was demonstrated. Additional concerns over risks of infection, bleeding, and pulmonary complications as well as an effect on fusion have resulted in high-dose steroids being considered a treatment option rather than a recommendation at this time. In fact, many major trauma centers in the United States and Canada no longer routinely use high-dose steroids for spinal cord injured patients. Systemic hypothermia is currently an experimental therapy under study in the acute setting. Injection of olfactory ensheathing cells is also an experimental intervention that might be used in a delayed setting but not immediately following a spinal cord injury.
Definitive management of this patient’s spinal injury should be:
- Anterior corpectomy, strut graft, and instrumentation
- Custom-molded thoracolumbar orthosis
- Laminectomy and short-segment fusion
- Long-segment instrumented fusion
Discussion
The correct answer is (D). The imaging studies demonstrate a thoracic fracture-dislocation. Using the Thoracolumbar Injury Classification Scale this would be considered a translational injury which is assigned three points for injury morphology. The patient’s incomplete spinal cord injury would be assigned three points in the neurologic status category. The injured posterior ligamentous complex would also be assigned three points. Injuries with overall scores greater than four are generally managed surgically. Translational or rotational injuries are typically treated from a posterior approach if the vertebral translation has led to abnormal canal alignment, as seen in this case. Multiple points of transpedicular fixation can be useful for reduction maneuvers and to provide sufficient stability to maintain alignment and promote fusion. Importantly, realignment in such cases usually effects decompression of the spinal canal. Anterior corpectomy, strut graft, and anterior instrumentation constructs may be utilized in the setting of comminuted burst fractures with neurologic injury from retropulsed bone. In the translational injury presented, realignment is more challenging from an anterior approach in the lateral decubitus position, and an isolated short anterior construct is not ideal with the degree of circumferential ligamentous disruption. While the benefit of a laminectomy in such a case can be debated, a short-segment fusion (i.e., instrumented only the level above and below) does not offer sufficient strength to reduce and stabilize the injury. Nonoperative treatment in a custom-molded brace would not be advised. Objectives: Did you learn...? Essential distinguishing features of complete versus incomplete spinal cord injuries?
Definitions and characteristics of hemodynamic shock, neurogenic shock, and spinal shock, which are commonly confused entities?
Current recommendations for early supportive management of spinal cord-injured patients?
A strategy for evaluating the essential features of thoracolumbar injuries to determine relative stability and the benefit of surgery? CASE 36 A 57-year-old woman with a 20-year history of rheumatoid arthritis presents with progressively severe neck pain, clunking, and suboccipital headaches. Pain slightly improves with use of a soft collar. No loss of fine motor dexterity, balance, or bowel/bladder function is noted. Her flexion–extension lateral radiographs are shown in Figure 1–45A and B.

Figure 1–45 A–B
The patient’s imaging studies demonstrate which of the following conditions?
- Atlantoaxial instability
- Subaxial subluxation
- Basilar invagination
- Diffuse idiopathic skeletal hyperostosis
Discussion
The correct answer is (A). Atlantoaxial instability is the most common pattern of affliction in the rheumatoid spine. Rheumatoid synovitis at the C1–2 joints and around the stabilizing transverse, apical, and alar ligaments leads to atlantoaxial instability. In the figures provided, there is a substantial gap in the atlantodens interval noted with the neck in flexion as compared to extension, in which the subluxation reduces. Subaxial subluxation results from rheumatoid induced laxity and inflammatory involvement of the subaxial facet and uncovertebral joints. This commonly manifests as a step ladder–type sagittal deformity, often at C3–4 and C4–
5. Considering that the films provided do not demonstrate this area of the spine, one cannot make this diagnosis. Basilar invagination occurs from rheumatoid-induced bony and cartilaginous destruction of the occipitoatlantal and atlantoaxial joints, occipital condyles, and C1 lateral masses. Vertical translation of the odontoid can result in brainstem compression or excessive kyphosis of the cervicomedullary junction. Significant neurologic compromise or sudden death can occur. Based on the lateral views of the spine, the tip of the odontoid process does not appear to
protrude into the foramen magnum. Diffuse idiopathic skeletal hyperosto (DISH) is an ossifying diathesis of the spine that is unrelated to rheumatoid arthritis. It manifests as large flowing osteophytes bridging three or more relatively well-preserved disc spaces of the cervical spine. This patient’s radiographs do not demonstrate evidence of DISH.
Which of the following measurements most strongly indicates that surgical management is warranted in a patient with C1–2 instability from rheumatoid arthritis? (AADI, anterior atlantodens interval; PADI, posterior atlantodens interval)
- AADI of 4 mm
- AADI of 6 mm
- PADI of 18 mm
- PADI of 12 mm
Discussion
The correct answer is (D). The anterior atlantodens interval (AADI) is measured on a lateral view from the anterior odontoid to the posterior surface of the anterior ring of C1. Normal AADI in adults is less than 3 mm. The posterior atlantodental interval (PADI) is measured from the posterior odontoid to the anterior surface of the posterior ring of C1. The normal PADI is greater than 14 mm. The PADI has been found to be a better predictor for the development of paralysis than the AADI. Patients with PADI less than 14 mm have increased risk of neurologic deficit and should therefore be recommended for surgery, even if asymptomatic. Patients undergoing surgery who have a PADI less than 10 mm are less likely to experience postoperative recovery of neurologic deficit. Figure1–45C shows a sagittal MRI of the cervical spine of the patient. The white line that is drawn measures 12 mm. This line demonstrates which of the following parameters? 1. Posterior atlanto dens interval
2. Space available for the cord
3. MacGregor’s line
4. Powers ratio

Figure 1–45 C
Discussion
The correct answer is (B). The line is demonstrating the actual space available for the cord (SAC) which can only be accurately measured by MRI since some patients may have significant pannus extending posterior to the odontoid (aka dens) that will not be visible by radiographs. A true SAC less than 13 mm is generally considered an indication for surgery. The posterior atlantodental interval (PADI) is measured on a lateral plain x-ray. MacGregor’s line is drawn from the hard palate to the base of the occiput. Basilar invagination (BI) is defined as migration of the superior odontoid more than 4.5 mm above this line. Power’s ratio is used to evaluate for possible traumatic occipitocervical dissociation.
Which of the following is the best surgical option for the described patient?
- Transoral dens resection and C1–2 fusion
- Occipitocervical fusion
- C1–2 fusion with screw stabilization
- C1–2 Gallie fusion
Discussion
The correct answer is (C). The patient has a reducible C1–2 subluxation without neurologic deficit. Transoral removal of the odontoid and pannus is not required and has significant morbidity. Regardless, pannus resorption is frequently seen after
stabilization and fusion. As there is no evidence of basilar invagination, extension to the occiput is not required. Posterior C1–2 fusion with sublaminar wires, such as the Gallie technique, is an option, but usually requires postoperative halo immobilization and has fallen out of favor recently. More rigid forms of internal fixation, such as transarticular C1–2 screws or C1 lateral mass screws with C2 pedicle screws, provide more rigid fixation and higher fusion rates when combined with bone grafting. Objectives: Did you learn...? The different patterns of cervical spine involvement in patients with rheumatoid arthritis?
The difference between the AADI and PADI and associated treatment recommendations?
The concept of the SAC, the impact of periodontoid pannus, and the role of MRI? The surgical treatment considerations for patients with AAI? CASE 37 You are called to the trauma bay to evaluate a 47-year-old male who was a restrained driver in a high speed motor vehicle accident. Vital signs: BP 120/80, HR 100, SaO2 95%. On your initial evaluation, his Glascow coma scale score is 15 and he is cooperative with the examination. He has ecchymosis in his chest. He
complains of chest, back, and abdominal pain. He has normal sensation with 5/5 motor strength but the iliopsoas is 3/5 on the left side. AP and lateral radiographs are shown Figure 1–46A–B.

Figure 1–46 A–B
What is your next course of action?
- Place patient in a TLSO brace.
- Mobilize the patient with physical therapy.
- Start trauma dose steroids.
- Send patient for spiral CT of the thoracolumbar spine.
Discussion
The correct answer is (D). The patient was involved in a high-speed accident with significant force. A compression fracture is noted at L1. Better visualization is needed to determine the stability of this injury. CT is becoming the study of choice in these cases because the high sensitivity and specificity of CT in detecting thoracolumbar injuries.
CT of the thoracolumbar spine shows a burst fracture at L1 with 20% height loss and 30% canal compromise (Fig. 1–47). There is also widening of the interspinous space between T12 and L1. He has not lost any additional motor strength.

Figure 1–47
What is your next course of action?
- Order MRI lumbar spine.
- Place patient in a TLSO brace.
- Start trauma dose steroids.
- Strengthen his left leg with physical therapy.
Discussion
The correct answer is (A). In this case, better visualization is necessary because the patient has a neurologic injury. Even though his neurologic injury has not progressed, better visualization with MRI is recommended to determine how much compression exists and also to evaluate for any other potential lesions such as a disc herniation.
An MRI is obtained and there is a 50% canal compromise seen (Fig. 1–48). No other injuries are noted.

Figure 1–48
What is your next course of action?
- Place patient is a TLSO brace.
- Start trauma dose steroids.
- Strengthen his left leg with physical therapy.
- Discuss surgery with the patient.
Discussion
The correct answer is (D). In the setting of neurologic compromise with canal compression, surgery is the most appropriate answer. Objectives: Did you learn...? The correct order of ordering CT versus MRI in flexion/distraction injuries?
When it is appropriate to consider closed versus open treatment in flexion/distraction injuries? CASE 38 In your clinic, you see your first patient of the day. He is an otherwise healthy 34-year-old male. He complains of pain that begins in his mid-back and clearly radiates
across his back into his abdomen. Examination shows normal sensation and 5/5 motor strength. His knee and ankle jerk reflex is 2+.
What is your next course of action?
- Place patient in a lumbar corset.
- Initiate physical therapy for lumbar strengthening.
- Obtain MRI of the lumbar spine.
- Obtain MRI of the thoracic spine.
Discussion
The correct answer is (D). In this case, there is suspicion of a compressive lesion on the spinal cord or nerve root in the thoracic spine. Advanced imaging is suggested here versus a corset or physical therapy because a diagnosis is warranted prior to initiating any treatments. MRI of the thoracic spine is more appropriate than MRI of the lumbar spine because the radiation of the pain to the abdomen is more suggestive of a thoracic lesion versus a lumbar lesion.
MRI reveals an acute thoracic disc herniation, your next course of action is:
- Place patient in a lumbar corset.
- Send the patient for thoracic epidural or nerve root injection.
- Admit the patient for emergent discectomy.
- Recommend a discectomy via a transthoracic approach.
Discussion
The correct answer is (B). At this time, his symptoms are relatively stable. Most acute thoracic disc herniations may be treated nonoperatively. Relative surgical indications include myelopathy, lower extremity weakness or paralysis, bowel or bladder symptoms, or chronic radiculopathy that is refractory to conservative measures. Treatment may include a course of nonsteroidal anti-inflammatories, rest, modification of activities, and physical therapy. In this case, the patient is having radicular pain and injections are an option.
He has had his epidural injections and his pain was improved for a few weeks. But he twisted his back over the weekend and now has complains of progressive numbness and subjective weakness in his legs. He also complains of worsening pain that radiates across his back and to his abdomen. Examination shows patchy areas of decreased sensation and 4/5 motor strength in both lower extremities. The knee and ankle jerk reflex is 3+ whereas biceps is 2+. Babinski is mildly positive and he
demonstrates three beats of clonus.
What is your next course of action?
- Initiate physical therapy for lower extremity strengthening.
- Place patient in a lumbar corset.
- Discuss surgical decompression.
- Send for another epidural injection.
Discussion
The correct answer is (C). In most instances, thoracic disc herniations may be treated nonoperatively. Surgical indications in this case include progressive myelopathy and lower extremity weakness. Objectives: Did you learn...?
Appropriate imaging in detecting disc herniations?
When nonoperative versus operative treatment is most appropriate in thoracic disc herniations?