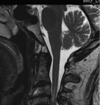
A 63-year-old male sustained a hyperextension injury to his neck while diving into a pool. Upon presentation, he reports decreased sensation in his hands and decreased strength in his arms and wrists, but no lower extremity complaints. On motor examination, he has 5/5 strength in his deltoids and elbow flexors and 4/5 strength in the elbow extensors, wrist extensors, and finger flexors. Lower extremity motor examination is normal. Sensation is decreased to light touch in both hands. Otherwise his sensation is preserved. Images of his cervical spine are shown in Figures 1–1 to 1–3.

Figure 1–1

Figure 1–2


Figure 1–3
Injury to which of the following spinal cord tracts is most likely to be responsible for this patient’s motor deficit?
- Fasciculus gracilis
- Lateral corticospinal tract
- Anterior corticospinal tract
- Lateral spinothalamic tract
Discussion
The correct answer is (B). The clinical scenario describes a patient with central cord syndrome (CCS). CCS continues to be the most common incomplete spinal cord injury accounting for 15.7% to 25% of all spinal cord injuries. The characteristic presentation is an extension moment injury in a previously spondylotic and stenotic spine. Figures 1–1 to 1–3 demonstrate a spondylotic spine with central narrowing and CSF effacement that is worst at the C3–4 level. Bleeding, edema, and/or Wallerian degeneration lead to damage of the lateral corticospinal tract which is the main descending motor tract in the spinal cord. The more central anatomic position of the homunculus to the upper extremities places them at greater risk than those to the lower extremities. As such, injury to the lateral corticospinal tract is characterized by upper more than lower extremity involvement and motor deficits being more pronounced than sensory deficits.
The above patient is inquiring about his chances of recovery. He should be informed that there is:
- Little chance of motor recovery
- Greater chance of sensory recovery than motor recovery
- Good chance of motor recovery
- High likelihood of secondary neurological deterioration
Discussion
The correct answer is (C). Patients with central cord syndrome usually regain bowel and bladder function as well as the ability to ambulate. The progression of neurologic and motor recovery usually begins in the lower extremities than the upper extremities. Prognostic factors predictive of long-term improvement include: age, severity of initial injury, early neurologic improvement, absence of spinal cord signal, and formal education level of the patient. In general, central cord injuries have good prognoses for motor recovery. Neurological deterioration is possible but unlikely with central cord injuries. Most of the recovery with central cord injuries is motor, not sensory.
During the first 24 hours of admission, the patient’s neurological examination worsens, demonstrating only 1/5 strength in the elbow flexors, extensors, wrist, and hands. The lower extremities demonstrate 3/5 strength in all groups. Treatment at this time should be:
- Observation
- High-dose steroids
- Surgical decompression
- Repeat imaging
Discussion
The correct answer is (C). The patient presented with a mild central cord syndrome. In such instances, observation and nonoperative treatment is a reasonable treatment option, provided the patient remains neurologically stable or improves. Long-term clinical outcomes of surgical and nonoperative treatment are comparable. However, in the setting of a progressively worsening neurological deficit, early/urgent surgical decompression is more prudent than continued observation. The role of high-dose steroids is controversial for acute spinal cord injuries. While repeat imaging can be performed, it is likely to be unchanged and will not significantly affect the treatment plan.
Objectives: Did you learn...?
The clinical presentation and responsible pathological injury for central cord syndrome?
Prognosis of central cord syndrome? Indications for surgery for this disorder?