A 23-year-old, semi-professional football linebacker presents with left elbow pain after a game. He extended his arm while falling to the ground and felt a pop and immediate pain in the posterior aspect of his arm. On examination, he is distally neurovascularly intact with swelling and palpable deformity about the posterior aspect of the elbow. He has difficulty extending his arm with 3/5 strength. His elbow
lateral x-ray is shown below (Fig. 2–122).

Figure 2–122
What is the most likely diagnosis?
- Calcific tendonitis
- Osteochondral defect
- Distal triceps tendon rupture
- Distal biceps tendon rupture
- Elbow dislocation
Discussion
The correct answer is (C). The patient’s injury mechanism, physical examination, and imaging findings are most consistent with an acute distal triceps tendon rupture. Triceps tendon ruptures are very rare and among the least commonly reported sports tendon injuries (<1% of all tendon injuries). Most injuries are associated with weightlifting or football due to the training regimens, potential for anabolic steroid use, and violent forces exerted. The mechanism for injury is a sudden, eccentric load applied to the contracting muscle such as from weightlifting or a fall onto an outstretched hand. Penetrating trauma or direct blows may also cause tendon injury as can higher energy mechanisms such as motor vehicle accidents. The lateral elbow radiograph shows flecks of avulsed bone from the olecranon insertion of the triceps, which is almost always pathognomonic for triceps tendon rupture. This finding should not be mistaken for calcific tendonitis with the given clinical history. It is also not consistent with an intra-articular loose body.
What is the next most appropriate step in management?
- Sling for comfort
- Splint immobilization in 30 degrees of flexion
- Functional elbow brace
- Surgical exploration and tendon repair
- MRI
Discussion
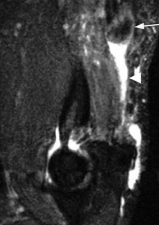
The correct answer is (E). Although the diagnosis is most consistent with a distal triceps tendon rupture, this patient has 3/5 motor strength. An MRI must be obtained in this instance to assess the location and degree of tendon involvement (see Fig. 2–123). Physical examination and strength grading can be difficult and inconsistent in the acute setting, even leading to some missed diagnoses. Partial ruptures may present with profound strength deficits, whereas complete ruptures may exhibit little or no strength deficit due to compensation from an intact lateral triceps expansion or the anconeus. This makes an MRI essential for accurate diagnosis and preoperative planning. In general, tears <50% can be managed conservatively with satisfactory results. Partial tears >50% are managed on an individualized basis. They can be managed nonsurgically in sedentary or medically infirm individuals, with repair indicated for active or younger individuals. Complete tears are usually best treated surgically.

Figure 2–123_MRI depiction of retracted triceps tendon (_white arrow) and fluid filled gap (arrowhead).
Which of the following is not a risk factor for distal triceps tendon rupture?
- Anabolic steroid use
- Female gender
- Chronic kidney disease
- Local corticosteroid injections
- Rheumatoid arthritis
Discussion
The correct answer is (B). There is a 2:1 male predominance in all age groups for distal triceps tendon rupture. Local corticosteroid injection and olecranon bursitis are elbow site–specific risk factors for tendon injury. Other systemic risk factors for this condition are numerous and include anabolic steroid use, fluoroquinolone use, metabolic bone disease, chronic kidney disease, insulin-dependent diabetes, Marfan syndrome, osteogenesis imperfecta, and rheumatoid arthritis. It has been postulated that chronic kidney disease and metabolic bone diseases that manifest
with increased parathyroid hormone levels could possibly lead to increased osteoclastic activity and bone resorption, ultimately weakening the bone–tendon interface. Rheumatoid conditions and olecranon bursitis lead to synovitis with weakening of the tendon. Anabolic steroids, as well as oral or locally injected corticosteroids, are thought to impair tendon repair and collagen distribution and thus predispose to tendon injury.
At what anatomic location do distal triceps tendon ruptures occur in most cases?
- Osseous insertion
- Tendon midsubstance
- Myotendinous junction
- Muscle belly
Discussion
The correct answer is (A). Most cases of complete tendon rupture are found to be avulsions at the tendo-osseous junction. Ruptures at the myotendinous junction and within the muscle belly have been reported but are less common. The location of the tear can play a role in management. Tears within the muscle belly are likely to heal with scar tissue and with similar outcomes regardless of what type of treatment is rendered. Recent studies have looked at the anatomy of the triceps insertion in order to develop more anatomic repair techniques. These have found that the footprint is a wide area (466 mm2), which encompasses the entire olecranon, as well as medial and lateral borders of the proximal ulna. Previous repair techniques including transosseous tunnel repair and suture anchor techniques have not sought to replicate this anatomic insertion. The clinical significance of anatomic footprint restoration is not yet known. Objectives: Did you learn...?
Diagnose and work up a triceps tendon injury?
Identify risk factors associated with triceps tendon injuries? Determine indications for operative management?
Understand anatomic considerations in triceps tendon rupture?