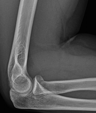
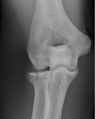
A 42-year-old female presents to the office for follow up after sustaining a minimally displaced radial head fracture 3 months prior. She states she was initially treated in long-arm splint by the ER and did not follow up with an orthopaedic surgeon until now. Per her report, she removed the splint 4 weeks after the injury, but did not move her elbow due to pain. She now has no pain but is unable to reach that hand to her face or head. The remaining history is significant for previous ulnar nerve surgery for which she is unable to provide details. On physical examination, her upper extremity is normal except for limited flexion/extension, measured to be 80 to 50 degrees by goniometer. In addition, she has a well-healed surgical incision about the medial elbow, consistent with a previous surgery on her ulnar nerve. Her images are shown (Figs. 2–82 to 2–84).

Figure 2–82

Figure 2–83

Figure 2–84
What is the diagnosis?
- Early post-traumatic intrinsic joint contracture
- Late post-traumatic extrinsic joint contracture
- Late combined post-traumatic joint contracture
- Early combined post-traumatic joint contracture
Discussion
The correct answer is (A). Classification of post-traumatic elbow stiffness allows for better understanding of the disease and allows the clinician to treat the underlying cause of the joint contracture. Intrinsic causes include: any problem within the joint such as incongruency, loose bodies, or severe osteoarthritis. Extrinsic causes include capsular tightness, muscle contracture, heterotopic ossification, and skin contractures. Early is defined as within 6 months of the injury while late is considered to be greater than 6 months after the injury. Patients that present in the early time frame have a significantly better chance at having a good result both from nonoperative and operative treatment.
What is the preferred first line of treatment at this time?
- Manipulation under anesthesia, followed by physical therapy two times per week
- Arthroscopic capsular release and limited debridement, followed by physical therapy two times per week
- Daily supervised physical therapy with static or dynamic progressive splinting
- Open capsular release, followed by a splint in extension for 14 days
Discussion
The correct answer is (C). Daily, supervised physical therapy should be the first line of treatment in most cases. Major gains in elbow motion are made within the first 3 to 6 months after initiating treatment, however, patients can continue to progress up to a year from the injury. If the contracture is from a tight capsule alone, it is unusual that operative management will be required.
If surgical intervention is warranted, which of the following would be the best option?
- Total elbow arthroplasty
- Fascial interpositional arthroplasty
- Open osteocapsular release followed by supervised physical therapy
- Arthroscopic osteocapsular debridement and a home exercise program
- Arthrodesis
Discussion
The correct answer is (C). Open osteocapsular release would be the best option for this patient. Arthroscopic treatment is ideal for stiffness secondary to capsular contracture, however, given the history of ulnar nerve decompression and or transposition, arthroscopic treatment is contra-indicated.
Which of the following structures needs to be prophylactically addressed when surgically treating patients with a limitation of elbow flexion of 90 to 100 degrees?
- Ulnar nerve
- Anterior bundle of the MCL
- Posterior band of the MCL
- Fascia of the flexor pronator mass
- Medial intermuscular septum
Discussion
The correct answer is (A). Prophylactic treatment of the ulnar nerve should be done before the osteocapsular release in order to prevent undo compression on the nerve as a result of the increased flexion. Anatomic studies have shown that the cubital tunnel significantly decreases in size with a corresponding increase in the pressure seen within the ulnar nerve with flexion greater than 90 degrees.
Objectives: Did you learn...?
The common causes and differential for a patient with a stiff elbow? Nonoperative treatment and the indications for surgical management? Keys to achieving adequate patient satisfaction?