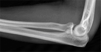
A 54-year-old male presented to the ED with left elbow pain after sustaining an injury in a low speed motor vehicle accident. He denied any other injuries. On examination, he had no open injuries and was neurovascularly intact. He had gross deformity about the elbow. His images are below (Figs. 2–89 to 2–92).

Figure 2–89 Pre- and post-reduction films showing complex elbow dislocation, coronoid fracture.

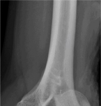
Figure 2–90 Pre- and post-reduction films showing complex elbow dislocation, coronoid fracture.

Figure 2–91 Pre- and post-reduction films showing complex elbow dislocation, coronoid fracture.


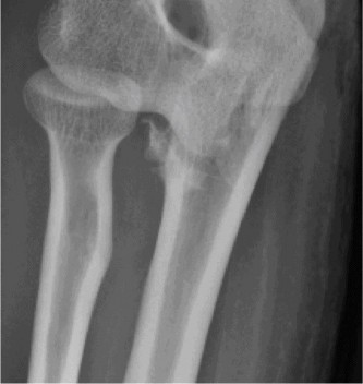
Figure 2–92 Pre- and post-reduction films showing complex elbow dislocation, coronoid fracture.
What is the diagnosis?
- Posterolateral simple elbow dislocation
- Posterolateral complex elbow dislocation
- Posteromedial complex elbow dislocation
- Posteromedial simple elbow dislocation
Discussion
The correct answer is (C). Posteromedial complex elbow dislocation. This injury is proposed to result from axial load combined with posteromedial rotation, varus force, and elbow flexion. This is opposed to the more frequently seen posterolateral dislocation. There is a fracture of the coronoid, which is typical for this type of injury.
Which structure is most commonly fractured in a posteromedial elbow dislocation?
- Coronoid
- Radial head
- Olecranon
- Capitellum
- Supracondylar distal humerus
Discussion
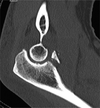
The correct answer is (A). Coronoid process fracture (see Fig. 2–93). The medial trochlea is thought to fracture the anteromedial facet of the coronoid allowing the elbow to dislocate. The lateral collateral ligament (LCL) ligamentous complex is also torn with this type of injury however the radial head often remains intact. This is in contrast to posterolateral elbow dislocations in which the radial head is the most commonly fractured bone, followed by the coronoid.


Figure 2–93 Reproduced with permission from Tashjian RZ and Katarincic JA. Complex Elbow Instability. J Am
2006;14(5):278–286.
Although the radial head in this case is intact, which of the following would be the preferred treatment for a 5-part radial head fracture in conjunction with an elbow dislocation?
- Radial head resection
- ORIF with small interfragmentary screws
- ORIF with radial head plate and screws
- Radial head arthroplasty
- Nonoperative
Discussion
The correct answer is (D). Radial head arthroplasty has been shown to allow for the best patient outcomes for comminuted radial head fractures compared to ORIF or radial head resection.
Which of the follow structures is the most important restraint to valgus and posteromedial rotatory force?
- Anterior bundle of the MCL
- Posterior bundle of the MCL
- LUCL complex
- Radial head
- Flexor pronator mass
Discussion
The correct answer is (A). Anterior bundle of the MCL is of prime importance in elbow stability. It originates from the anteroinferior aspect of the medial epicondyle and inserts on the sublime tubercle at the base of the coronoid. The LCL functions as an important restraint to varus and posterolateral rotator instability. The radial head and the flexor pronator mass are secondary stabilizers of the elbow. In the setting of a disrupted anterior bundle of the MCL, the radial head serves as the most important stabilizer.
What is the preferred method of treatment at this time?
- Treat the injury as you would a simple dislocation since there is no radial head injury
- Treat the injury as you would a simple dislocation since the coronoid fracture is too small too fix
- Open reduction internal fixation of the coronoid
- Surgically repair the LCL without fixing the coronoid
- Open reduction internal fixation of the coronoid and repair of the LCL
Discussion
The correct answer is (E). Open reduction internal fixation of the coronoid and repair of the LCL. The steps most commonly involved in surgical repair of fracture dislocations about the elbow include fixation of the osseous elements first, followed by inspection of the ligaments. Frequently, the LCL is avulsed from the lateral epicondyle. The stability of the elbow is then documented and need for repair of the MCL is determined upon the basis of the degree of stability. It is thought that an elbow that is stable from 30 degrees of flexion to full flexion does not require MCL repair.
Objectives: Did you learn...?
Be able to recognize a fracture dislocation about the elbow and predict degree of instability?
Understand the treatment algorithm for stabilization? Understand the goals of treatment and the long-term outcomes?