العربية

Elbow Cases: Unmasking Posterolateral Instability Pain

Updated: Feb 2026 51 Views
Illustration of elbow cases posterolateral - Dr. Mohammed Hutaif
📖 Clinical Article

A 46-year-old male presents to the clinic for evaluation regarding right elbow pain. He states he sustained an elbow dislocation 1 year ago. He reports that there were no fractures associated with the injury. His main complaint is pain along the outer part of his elbow with range of motion and a persistent “popping” feeling with certain movements. He is unable to do a pushup due to the pain.
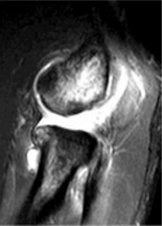
There is a positive lateral pivot shift of the elbow but does not open medially with isolated valgus stress. MRI is shown (Figs. 2–94 and 2–95).

Illustration 1 for Elbow Cases: Unmasking Posterolateral Instability Pain
🔍 Click to enlarge
Clinical Radiograph / Orthopedic Image

Figure 2–94

Illustration 2 for Elbow Cases: Unmasking Posterolateral Instability Pain
🔍 Click to enlarge
Clinical Radiograph / Orthopedic Image

Figure 2–95

What is the most likely diagnosis?

  1. Posterolateral rotatory instability (PLRI)
  2. Lateral epicondyle fracture
  3. Medial collateral ligament (MCL)
  4. Isolated injury to the lateral ulnar collateral ligament (LUCL)

Discussion

The correct answer is (A). Posterolateral instability. Patients with this condition nearly always have a history of one or more elbow dislocations. Lateral pain and recurrent mechanical symptoms (clicking, popping, subluxations) are common complaints. They also notice worsening with certain activities; such as push-ups, using the arm to stand from a chair etc. PLRI is thought to occur to due failure of multiple stabilizers, not just the LUCL in isolation.

What other condition can present in a similar fashion?

  1. Valgus instability
  2. Lateral epicondylitis
  3. Extensor carpi radialis brevis avulsion
  4. Capitellar osteochondritis dissecans (OCD) lesion

Discussion

The correct answer is (A). Valgus instability can be difficult to distinguish from PLRI. Physical examination is critical to differentiate the two. In PLRI, the most sensitive physical examination maneuver is the lateral pivot shift. With the patient lying supine, a valgus stress is applied to the elbow while simultaneously flexing it. This reproduces the patient’s symptoms. In the case of valgus instability, the anterior band of the MCL should be isolated when examined. This is best done with the shoulder internally rotated, the forearm in pronation, and the elbow flexed to 30 degrees. A valgus stress is then placed on the elbow (see Fig. 2–96). Pain or joint opening may be indicative of MCL incompetence.

Illustration 3 for Elbow Cases: Unmasking Posterolateral Instability Pain
🔍 Click to enlarge
Clinical Radiograph / Orthopedic Image

Figure 2–96 Reproduced with permission from Morrey BF. Acute and Chronic Instability of the Elbow. JAAOS

1996;4(3):117–128.

Which of the following is the most appropriate method of surgical management?

  1. Acute LUCL reconstruction in all simple elbow dislocations
  2. Acute direct repair of the LUCL in all simple elbow dislocations
  3. Direct repair or reconstruction with palmaris autograft of the LUCL in patients with symptomatic PLRI
  4. Radial head arthroplasty with a large head to increase lateral stability

Discussion

The correct answer is (C). Direct repair or reconstruction of the LUCL. Surgery is indicated to restore the lateral ligamentous stabilizers when there is recurrent, symptomatic instability. Acute repair is not necessary most of the time as the ligament frequently scars in. Only when there is symptomatic instability is surgery warranted.

What is the most common complication following surgical reconstruction of the LUCL?

  1. Infection
  2. PIN neuropraxia
  3. Recurrent instability
  4. Greater than 30-degree flexion contracture

Discussion

The correct answer is (C). Persistent instability is the main concern after surgical treatment. Patients with degenerative arthritis and radial head excision are less likely to have a satisfactory outcome. PIN neuropraxia and infection are potential complications but are not as prevalent as recurrent instability. A small flexion contracture does frequently occur, but this is typically not severe enough to produce any functional limitations.
Objectives: Did you learn...?

Identify the relevant anatomy and pathoanatomy that are involved in elbow instability?

Physically examine a patient for classic posterolateral instability? Understand the potential treatment options?

Table of Contents
Dr. Mohammed Hutaif
Written & Medically Reviewed by
Consultant Orthopedic & Spine Surgeon