A 16-year-old male baseball player presents to your office for evaluation of his worsening right elbow pain. He denies acute injury or inciting event. The pain is located on the posteromedial aspect of his elbow and is exacerbated by throwing. It has been present for the past 6 months, but it has been more severe over the past 3 months.
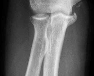
On examination, he has tenderness to palpation over his olecranon and pain with terminal elbow extension. He has no evidence of varus or valgus instability. No pain with resisted wrist flexion. His images are shown (Figs. 2–108 to 2–110).


Figure 2–108

Figure 2–109

Figure 2–110
What is the diagnosis?
- Valgus extension overload
- Medial epicondylitis
- osteochondritis dissecans (OCD)
- Olecranon stress fracture
- Medial collateral ligament (MCL) rupture
Discussion
The correct answer is (A). This syndrome occurs most commonly in competitive pitchers, with pain that is worse in the deceleration phase and at terminal extension. The resulting chronic stress results in chondrolysis, osteophyte formation, and attenuation of the MCL. Medial epicondylitis is also common in pitchers, but the pathology is limited to the flexor pronator mass. Pain is over the medial epicondyle and is worse with wrist and forearm flexion. OCD lesions are most common in the capitellum, often present with mechanical symptoms. Olecranon stress fractures result from repetitive abutment into the olecranon fossa. This is a plausible answer, however, the MRI findings are not consistent. MCL rupture is typically acute and is not seen on the MRI shown.
What would be the most appropriate initial treatment?
- Arthroscopic osteocapsular debridement
- MCL debridement and reconstruction
- Rest, physical therapy, and modification of pitching biomechanics
- Cortisone injection
- Open olecranon debridement
Discussion
The correct answer is (C). A nonoperative protocol that consists of 2 to 4 weeks of rest, NSAIDs, physical therapy, and biomechanics coaching is the primary treatment of choice. Only once nonoperative treatment has failed for 3 to 6 months should you proceed with surgical intervention. Surgical intervention is also warranted with acute ruptures of the ulnar collateral ligament (UCL). Cortisone injections are contraindicated as further ligamentous attenuation could occur.
What neurologic syndrome is commonly found in a patient with valgus extension overload?
- Intersection syndrome
- Carpal tunnel syndrome
- Cubital tunnel syndrome
- Radial tunnel syndrome
Discussion
The correct answer is (C). The increased traction and stress placed on the medial elbow not only effects the osseous and ligamentous structures, but also can lead to ulnar neuropathy. In addition, compression can occur from osteophytes, synovitis,
or thickened intermuscular septum. Nonoperative treatment is recommended and typically does not require any different treatment than that of valgus extension overload alone.
Ten months after olecranon debridement the patient still complains of pain and “laxity” of his elbow, which structure is likely damaged?
- Flexor pronator mass
- Annular ligament
- Anterior bundle of the MCL
- Transverse ligament
- Oblique bundle
Discussion
The correct answer is (C). Care must be taken when performing osseous debridement of the posteromedial olecranon to not remove the attachment site of the MCL as this would result in further destabilization of the elbow. The MCL complex consists of the anterior bundle (which is the most important for valgus stability), the posterior bundle, and the transverse ligament (also known as the oblique ligament).
Objectives: Did you learn...?
Understand the pathoanatomy and typical clinical presentation?
Learn the differential diagnoses when evaluating a patient with medial elbow pain?
Understand the radiographic findings seen in patients with valgus overload? Identify indications for operative intervention?