A 32-year-old male presented to the emergency department 1 hour after sustaining a fall while skateboarding. The patient complained of pain in the elbow with swelling and deformity present. He denied numbness or tingling.
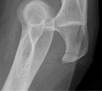
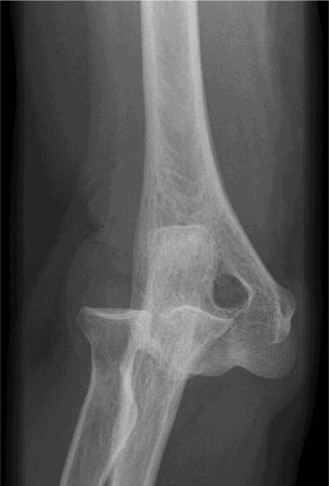
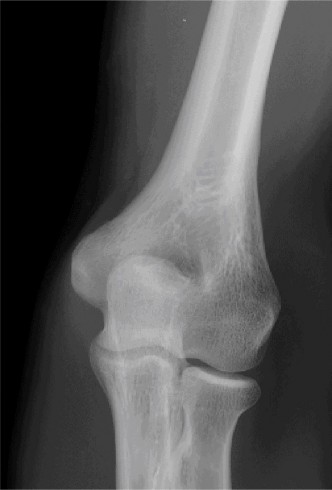
Examination reveals deformity about the elbow with no open lesions or skin tenting. He has a palpable radial and ulnar pulse and is neurologically intact. His images are shown (Figs. 2–85 to 2–88).


Figure 2–85

Figure 2–86

Figure 2–87

Figure 2–88
What is the diagnosis and direction of displacement?
- Monteggia fracture dislocation, posterolateral displacement of the forearm about the humerus
- Simple elbow dislocation, posterolateral displacement of the forearm about the humerus
- Transolecranon complex elbow dislocation
- Simple elbow dislocation, posteromedial displacement of the forearm about the humerus
Discussion
The correct answer is (B). This is the most common type of elbow dislocation, and often does not cause any osseous injury. Posterolateral and posteromedial dislocation account for approximately 90% of dislocations. Adequate pre- and postreduction films are necessary to evaluate for fracture, which would change the classification to a complex injury.
What are the next best steps in management?
- Repeat x-rays, followed by reduction of the joint, repeat neurovascular examination, and splinting of the elbow in 110 degrees of flexion
- Reduction of the joint followed by splinting in 90 degrees of flexion and postreduction x-rays
- Reduction of the joint, followed by examination of the joint to evaluate re-dislocation in extension, repeat neurovascular examination, and splinting of the elbow in 90 degrees of flexion and postreduction films
- Reduction of the joint in the operating room followed by ligament reconstruction
Discussion
The correct answer is (C). All patients with an elbow dislocation should be reduced on an urgent basis. It is important to document the neurovascular examination both pre- and post-reduction. Once reduced, the elbow should be taken through a range of motion to evaluate if and when the elbow subluxes or redislocates. This will allow for improved ability to rehab the patient safely. Adequate postreduction films are necessary to evaluate the concentricity of the joint, as well as to further look for fractures not seen on the injury films.
Which static stabilizer of the elbow typically fails first?
- Radial head
- Lateral ulnar collateral ligament (LUCL)
- Ulnar collateral ligament (UCL)
- Anterior and posterior capsular disruption
Discussion
The correct answer is (B). LUCL is the first structure that is disrupted in posterolateral elbow dislocations. The rotational force is then transferred to the anterior and posterior capsule, and finally the UCL if there is enough force.
In which of the following situations is surgery to restore stability indicated?
- If the elbow requires flexion beyond 50 to 60 degrees to remain reduced
- In all posteromedial elbow dislocations
- When the elbow redislocates in 30 degrees of extension immediately after reduction
- If the patient has a contralateral forearm fracture
Discussion
The correct answer is (A). Surgery is rarely indicated for acute simple elbow dislocations. When the elbow requires flexion beyond 50 to 60 degrees to remain reduced, it indicates that both the collateral ligaments and the secondary stabilizers are disrupted. The MCL is the primary stabilizer of the ulnohumeral joint, whereas the LUCL primarily keeps the ulna from subluxing posteriorly and the radial head from rotating away from the humerus in supination. With more unstable elbows, there is an increased likelihood that the secondary stabilizers (the flexor-pronator mass and extensor origins) are disrupted. Repair can be of one or both of the collateral ligaments. Typically, the LUCL is repaired first and the stability of the elbow is examined for need to repair the UCL.
Objectives: Did you learn...?
Common mechanisms of injury and classification? Diagnosis and acute management/reduction techniques? Be able to identify a stable versus unstable elbow?
Definitive treatment and long-term expectations?