CASE 40 A 16-year-old male baseball player presents to your office for evaluation of his worsening right elbow pain. He denies acute injury or inciting event. The pain is located on the posteromedial aspect of his elbow and is exacerbated by throwing. It has been present for the past 6 months, but it has been more severe over the past 3 months.
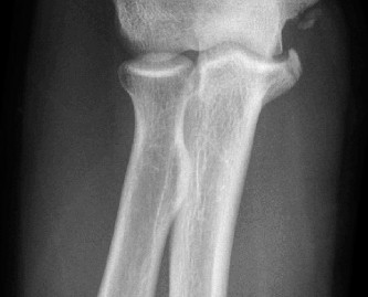
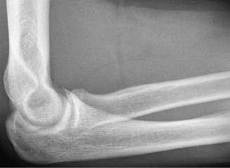
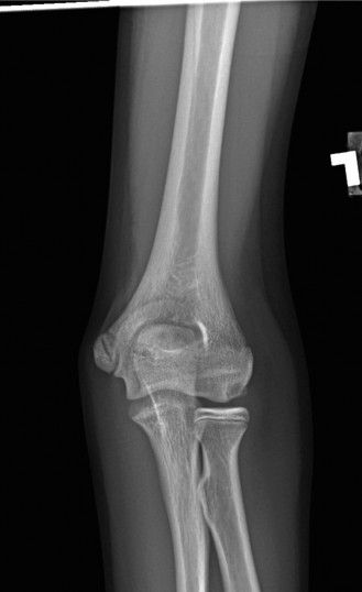
On examination, he has tenderness to palpation over his olecranon and pain with terminal elbow extension. He has no evidence of varus or valgus instability. No pain with resisted wrist flexion. His images are shown (Figs. 2–108 to 2–110).


Figure 2–108

Figure 2–109

Figure 2–110
What is the diagnosis?
- Valgus extension overload
- Medial epicondylitis
- osteochondritis dissecans (OCD)
- Olecranon stress fracture
- Medial collateral ligament (MCL) rupture
Discussion
The correct answer is (A). This syndrome occurs most commonly in competitive pitchers, with pain that is worse in the deceleration phase and at terminal extension. The resulting chronic stress results in chondrolysis, osteophyte formation, and attenuation of the MCL. Medial epicondylitis is also common in pitchers, but the pathology is limited to the flexor pronator mass. Pain is over the medial epicondyle and is worse with wrist and forearm flexion. OCD lesions are most common in the capitellum, often present with mechanical symptoms. Olecranon stress fractures result from repetitive abutment into the olecranon fossa. This is a plausible answer, however, the MRI findings are not consistent. MCL rupture is typically acute and is not seen on the MRI shown.
What would be the most appropriate initial treatment?
- Arthroscopic osteocapsular debridement
- MCL debridement and reconstruction
- Rest, physical therapy, and modification of pitching biomechanics
- Cortisone injection
- Open olecranon debridement
Discussion
The correct answer is (C). A nonoperative protocol that consists of 2 to 4 weeks of rest, NSAIDs, physical therapy, and biomechanics coaching is the primary treatment of choice. Only once nonoperative treatment has failed for 3 to 6 months should you proceed with surgical intervention. Surgical intervention is also warranted with acute ruptures of the ulnar collateral ligament (UCL). Cortisone injections are contraindicated as further ligamentous attenuation could occur.
What neurologic syndrome is commonly found in a patient with valgus extension overload?
- Intersection syndrome
- Carpal tunnel syndrome
- Cubital tunnel syndrome
- Radial tunnel syndrome
Discussion
The correct answer is (C). The increased traction and stress placed on the medial elbow not only effects the osseous and ligamentous structures, but also can lead to ulnar neuropathy. In addition, compression can occur from osteophytes, synovitis,
or thickened intermuscular septum. Nonoperative treatment is recommended and typically does not require any different treatment than that of valgus extension overload alone.
Ten months after olecranon debridement the patient still complains of pain and “laxity” of his elbow, which structure is likely damaged?
- Flexor pronator mass
- Annular ligament
- Anterior bundle of the MCL
- Transverse ligament
- Oblique bundle
Discussion
The correct answer is (C). Care must be taken when performing osseous debridement of the posteromedial olecranon to not remove the attachment site of the MCL as this would result in further destabilization of the elbow. The MCL complex consists of the anterior bundle (which is the most important for valgus stability), the posterior bundle, and the transverse ligament (also known as the oblique ligament). Objectives: Did you learn...? Understand the pathoanatomy and typical clinical presentation?
Learn the differential diagnoses when evaluating a patient with medial elbow pain?
Understand the radiographic findings seen in patients with valgus overload? Identify indications for operative intervention? CASE 41 Dr. Min Lu A 14-year-old baseball pitcher presents to the office with left throwing elbow pain for the past two months when he throws or lifts weights. Examination reveals lateral joint line tenderness with no detectable effusion and full range of motion without crepitation. Moving valgus stress test does not elicit pain. His elbow radiograph is shown below (Fig. 2–111).

Figure 2–111
What is the next most appropriate treatment?
- Elbow arthroscopy, debridement of the lesion
- Arthroscopic drilling of the lesion
- Ulnar collateral ligament repair
- Corticosteroid injection of the elbow
- Cessation of throwing activities
Discussion
The correct answer is (E). This patient has osteochondritis dissecans (OCD) of the capitellum. He has not undergone any conservative treatment. Stable, nondisplaced lesions can heal spontaneously with rest and discontinuation of throwing. Surgical treatment is reserved for unstable lesions or loose bodies. This patient’s
examination is not consistent with an ulnar collateral ligament (UCL) injury. Little league elbow is another commonly encountered diagnosis in this patient population, but like UCL injuries, manifests with medial sided pain after throwing.
Besides baseball, what other sport is this condition most commonly seen with?
- Football linemen
- Rugby players
- Rowers
- Gymnasts
- Swimmers
Discussion
The correct answer is (D). The exact etiology and natural history of osteochondritis dissecans of the capitellum is poorly understood. It is mainly encountered in adolescent age groups, although with earlier youth sports participation, it is now seen in younger athletes as well. It most commonly develops in female gymnasts as well as in the throwing elbow of male pitchers, as both of these sports involve repetitive loading of the elbow joint.
Which of the following findings differentiates Panner’s disease from osteochondritis dissecans of the capitellum?
- Site of involvement within the elbow
- Extent of capitellar involvement
- Symptoms may resolve with conservative management
- Collateral ligament instability
Discussion
The correct answer is (B). Panner’s disease is a separate disorder of the immature capitellum that must be distinguished from OCD. Panner’s disease usually arises in patients younger than 10 years of age, whereas OCD lesions of the capitellum typically arise after age 11. Both disorders involve the capitellum, causing lateral joint tenderness. Whereas OCD of the capitellum represents a focal injury of the cartilage and subchondral bone, Panner’s disease is idiopathic chondrosis and fragmentation of the entire capitellum. Both conditions can resolve with conservative treatment and are not dependent on collateral ligament instability.
What is the suspected etiology of capitellar osteochondritis dissecans?
- Nutritional deficiency
- Infection
- Traumatic and vascular
- Congenital
- Malignancy
Discussion
The correct answer is (C). While the exact etiology of OCD lesions of the capitellum is poorly understood, trauma and ischemia are suspected to play a significant role. OCD occurs in overhead throwing athletes and female gymnasts, supporting the theory that repetitive trauma serves as an inciting event. The capitellum receives its blood supply from posterior end-arteries that traverse the growth plate, without metaphyseal collateral contribution. This tenuous vascular anatomy implicates an ischemic contribution to OCD. Several case studies have reported on familial or hereditary predisposition to OCD; however, the condition is not present at birth.
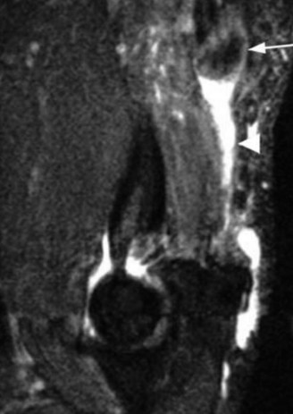
The patient undergoes conservative management consisting of rest, anti-inflammatory medications, and physical therapy. After six months, he is still not able to return to play and has progressively worsening symptoms with attempted throwing. He has a moderate elbow effusion as well as a 20-degree flexion contracture. An elbow MRI arthrogram is obtained and shown (Fig. 2–112). He elects to proceed with elbow arthroscopy. Intraoperative arthroscopic images are shown (Figs. 2–113 and 2–114).

Figure 2–112

Figure 2–113

Figure 2–114
Which of the following is the most commonly reported complication of elbow arthroscopy?
- Contracture
- Compartment syndrome
- Septic joint
- Neuropraxia
- Vessel injury
Discussion
The correct answer is (D). The overall reported rate of transient and permanent complications after elbow arthroscopy is around 10% and is much higher than the rate after knee and shoulder arthroscopy (1–2%). The overall most commonly reported complication is prolonged drainage or erythema around portal sites. The lateral portal sites are susceptible to this issue as the joint is relatively subcutaneous in this area, and there is scant tissue to act as a barrier. Deep infection, while being the most serious postoperative complication, is relatively rare (0.8%). In one series, the rate of transient neurological injuries was found to be 2%. These result from compression, local anesthetic injection, and direct trauma. A thorough understanding of the neurovascular anatomy of the elbow is crucial to achieve proper portal placement. Loss of elbow motion was reported in approximately 1% of cases and is usually minor (less than 20 degrees). Objectives: Did you learn...? Recognize the clinical and radiographic presentation of elbow osteochondritis dissecans?
Formulate a differential diagnosis for pediatric sports elbow injuries? Treat elbow osteochondritis dissecans? CASE 42 Dr. Min Lu A 21-year-old, right-hand-dominant, collegiate pitcher presents to the office with elbow pain and loss of velocity and control over the last 6 weeks. Examination reveals tenderness along the medial aspect of the elbow, negative Tinel sign, and pain with valgus stress through the mid-arc of motion. He has no pain with wrist range of motion or forearm pronation and supination. Imaging study is shown below (Fig. 2–115).

Figure 2–115
What anatomic structure is the primary cause of the patient’s symptoms?
- Ulnar collateral ligament
- Ulnar nerve
- Common flexor origin
- Olecranon osteophytes
- Biceps tendon
Discussion
The correct answer is (A). This patient has pain with mid-flexion valgus stress suggesting an injury to his ulnar collateral ligament. Throwing athletes can have multiple causes for pain at the medial elbow, which can be elucidated by history and physical examination. This patient has a negative Tinel sign and no numbness, tingling or weakness to suggest ulnar nerve injury. Likewise, the flexor pronator mass may become irritated in pitchers, but it is not the primary cause of this patient’s symptoms. His pain is not at terminal extension, and therefore olecranon osteophytes or valgus extension overload would not seem to be the cause. He does not have any findings suggestive of biceps tendon pathology.
During which phase of throwing is the ulnar collateral ligament most likely to be injured?
- Wind up
- Early cocking
- Late cocking
- Ball release
- Deceleration
Discussion
The correct answer is (C). The late cocking and early acceleration phase of overhead throwing places the greatest amount of valgus stress on the elbow (see Fig. 2–116). At this point, the elbow is in mid flexion while the forearm lags behind the upper arm, producing a valgus moment at the elbow. The anterior band of the ulnar collateral ligament is the primary restraint to valgus stress between 30 and 120 degrees of flexion. The wind up phase does not place any stress on the elbow. In early cocking, the rotator cuff and deltoid are active and susceptible to injury. Ball release occurs after acceleration as the forearm is brought forward. At this point, the valgus stresses on the UCL are dissipated. Finally, in deceleration, the posterior compartment of the elbow and elbow flexors are subject to stress to prevent hyperextension.

Figure 2–116_Phases of throwing: The greatest valgus stress at the elbow occurs during the late cocking and early acceleration phases of throwing. (Reproduced with permission from Chen FS, Rokito AS, Jobe FW. Medial elbow problems in the overhead-throwing athlete. _J Am Acad Orthop Surg. 2001;9(2):99–113.)
Which of the following is the most sensitive physical examination finding for ulnar collateral ligament injury?
- Lateral pivot shift test
- Pain with resisted wrist flexion
- Static valgus stress test
- Palpable medial ligamentous laxity
- Moving valgus stress test
Discussion
The correct answer is (E). The lateral pivot shift test is used to assess the lateral ulnar collateral ligament and suggests posterolateral rotatory instability. Pain with resisted wrist flexion indicates inflammation at the common flexor origin, and is suggestive of medial epicondylitis. The moving valgus stress test is highly sensitive (100%) and specific (75%) for ulnar collateral ligament injury, as it reproduces the stresses and elbow positions present during throwing. Pain with static valgus testing is not as accurate as the moving valgus stress test (sensitivity 65%, specificity 50%) as it does not test an arc of motion that pitchers experience. Palpable ligamentous laxity is poorly sensitive (19%) but highly specific (100%).
The moving valgus stress test is performed with the patient upright and the shoulder abducted 90 degrees (Fig. 2–117). With the elbow flexed, a valgus stress is applied to the elbow until the shoulder reaches full external rotation. While a constant valgus torque is maintained, the elbow is quickly extended to 30 degrees.

Figure 2–117_Reproduced with permission from O’Driscoll SW, Lawton RL, Smith AM. The “moving valgus stress test” for medial collateral ligament tears of the elbow. _Am J Sports Med. 2005 Feb;33(2):231–9.
The patient undergoes conservative treatment consisting of rest and physical therapy, followed by a progressive throwing program. However, he is unable to return to throwing after 3 months. He elects for ulnar collateral ligament reconstruction.
What types of outcomes have been seen with ulnar collateral ligament reconstruction with professional pitchers?
- High rates of persistent elbow pain and retirement from sport
- Loss of velocity and performance
- High rate of return to play at a similar level
- 30% rate of revision surgery
Discussion
The correct answer is (C). Studies in Major League Baseball have shown that over 80% of pitchers returned to the major leagues at a mean 20 months after UCL reconstruction, while over 97% return to major and minor leagues combined. Meanwhile, the revision rate for surgery is approximately 4%. Pitch velocity and common performance measurements do not seem to differ from pre-injury levels.
What is the most common surgical complication seen with ulnar collateral ligament reconstruction?
- Postoperative stiffness requiring reoperation
- Ulnar neuropathy
- Superficial infection
- Tenderness at graft harvest site
- Permanent cutaneous sensory deficit
Discussion
The correct answer is (B). The overall complication rate after ulnar collateral ligament reconstruction is 10% (range 3–25%). Ulnar neuropathy is the most commonly reported complication after ulnar collateral ligament reconstruction ranging from 2% to 21%. In one study, performance of obligatory ulnar nerve transposition led to 75% excellent results and 14% with ulnar neuropathy. Without obligatory nerve transposition, that study found 89% excellent results and 6% rate of ulnar neuropathy. Studies report a 1% rate of stiffness requiring reoperation. Cutaneous nerve injuries after Tommy John surgery tend to be transient neuropraxias as opposed to permanent deficits. Infection and graft site tenderness are not as common complications as ulnar neuropathy. Objectives: Did you learn...? Identify and evaluate patients with ulnar collateral ligament instability?
Comprehend anatomic and biomechanical considerations for medial elbow instability?
Understand the role for surgery and the outcomes of ulnar collateral ligament reconstruction? CASE 43 Dr. Min Lu A 9-year-old, baseball pitcher presents to the office with 4 weeks of elbow pain of his throwing arm. He denies locking or catching symptoms. Examination reveals tenderness to palpation about the medial elbow, normal range of motion, and no instability with moving valgus stress. Radiographs are normal.
What is the most likely underlying pathology in this condition?
- Microtraumatic vascular insufficiency of the capitellum
- Medial epicondylar apophysitis
- Idiopathic osteochondrosis of the capitellum
- Ulnar collateral ligament disruption
- Olecranon apophysitis and osteochondrosis
Discussion
The correct answer is (B). This patient has little league elbow which results from
repetitive valgus stress in skeletally immature athletes. In this condition, chronic traction from the flexor-pronator mass leads to medial epicondylar apophysitis. Injuries in this age group result from medial tensile or lateral compressive overload. Osteochondritis dissecans (Answer A) usually affects adolescents older than age 13 years, and typically manifests as pain in the lateral compartment. Likewise, Panner’s disease (Answer C) also affects the capitellum and presents with lateral pain. Ulnar collateral ligament injuries are uncommon in skeletally immature athletes. Posterior compartment injuries (Answer E) are also uncommon and typically present with pain on terminal extension.
What is the most appropriate initial management for the patient in the question above?
- Epicondylar debridement
- Open reduction internal fixation
- Rest, cessation of throwing activities
- MRI
- Corticosteroid injection
Discussion
The correct answer is (C). Conservative management is the mainstay of initial treatment for little league elbow. This consists of 2 to 4 weeks of rest and oral anti-inflammatories, followed by focused stretching and strengthening exercises. Athletes may return to throwing at 6 weeks if symptom free. Symptoms may persist after inadequate periods of rest and immobilization. Surgery, MRI, or injections are not routinely warranted as the first line of treatment in this condition.
Which of the following is not a risk factor for developing arm pain in young pitchers?
- High number of innings pitched
- High number of pitches per game
- Staying in games after pitching, at other positions besides pitcher or catcher
- Pitching with arm fatigue
- Taller, heavier athletes
Discussion
The correct answer is (C). Multiple studies have looked at risk factors for shoulder and elbow injuries among adolescent pitchers. The 10-year-cumulative risk for an
adolescent pitcher developing a serious injury is 5%. Studies have consistently found that arm overuse is a risk factor for joint injuries, and preventative strategies have focused on limiting pitch counts and avoiding pitching with arm fatigue. Taller, heavier athletes appear to be at higher risk as well as pitchers who throw with greater velocity. Inconsistent reports have been published regarding the link between breaking pitches and arm injury. Data seems to indicate that pitchers may remain in games and play other positions beside catcher without significantly increased risk for shoulder or elbow injury.
What is the most common radiographic finding with little league elbow?
- Fragmentation and separation of the capitellum
- Olecranon osteophytes
- Loose body
- Medial epicondyle fracture
- Fragmentation and separation of the medial epicondyle
Discussion
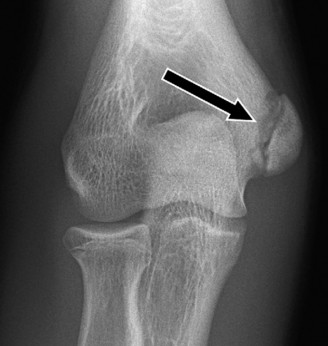
The correct answer is (E). Fragmentation and separation of the capitellum can be seen with osteochondritis dissecans or Panner’s disease, with the distinguishing factor being the amount of capitellar involvement. Osteochondritis dissecans involves a focal articular defect, whereas Panner’s disease involves the entire capitellum. Olecranon osteophytes are encountered with valgus extension overload. Loose bodies may be seen in later stages of osteochondritis dissecans. Medial epicondyle avulsion fracture is a rare cause of acute elbow pain in skeletally immature athletes and is treated according to amount of displacement. Fragmentation and separation of the medial epicondyle is the characteristic radiographic finding of little league elbow (see Fig. 2–118). Previous studies have found separation or widening of the physis in over 50% of players while fragmentation occurred in roughly 20%.

Figure 2–118 Medial epicondylar separation seen in little league elbow. Objectives: Did you learn...? Recognize chronic overuse injuries in adolescent athletes? Manage a patient with little league elbow?
Counsel pediatric athletes on risk factors for arm injury? CASE 44 Dr. Min Lu A 45-year-old, male laborer presents with elbow pain after an injury at work. He was carrying a heavy object, felt it slip, and hyperextended his elbow. He felt a pop and immediate pain in his antecubital fossa. He is neurovascularly intact distally with weakness at the elbow. He has ecchymosis and swelling at the elbow. Hook test is inconclusive.
What is the next most appropriate step in treatment?
- Sling immobilization until asymptomatic with follow-up examination
- Physical therapy to focus on elbow range of motion and strengthening
- Elbow arthroscopy
- Open exploration of the antecubital fossa
- Elbow MRI
Discussion
The correct answer is (E). This patient has a suspected distal biceps tendon rupture. He has the classic presentation of an eccentric overload injury along with a pop and pain in the antecubital fossa. However, his examination is inconclusive for complete versus partial tendon tear. The hook test is performed by asking the patient to actively flex the elbow to 90 degrees and fully supinating the forearm (see Fig. 2–119). The examiner then attempts to hook their index finger under the lateral edge of the tendon and palpate a cordlike structure representing the biceps tendon. This test has been shown to be both highly sensitive and specific (up to 100%), but it is inconclusive in this case. An MRI is warranted to assess the integrity of the distal biceps tendon, to distinguish between complete versus partial rupture (Fig. 2–120). This could alter management as the optimal treatment of partial tendon ruptures is not entirely clear. There is relative urgency to doing this, as early surgical intervention after injury is preferred to facilitate primary repair.

Figure 2–119_Figures demonstrating the hook test. (A–C) The patient actively supinates with the elbow flexed 90 degrees. An intact hook test allows the examiner to hook their index finger under the intact biceps tendon from the lateral side. (D–E) With an abnormal hook test, there is no cord-like structure under which to hook a finger. (Reproduced with permission from Sutton KM, Dodds SD, Ahmad CS, Sethi PM. Surgical treatment of distal biceps rupture. _J Am Acad Orthop Surg. 2010 Mar;18(3):139–48.)

Figure 2–120 MRI depicting distal biceps tendon rupture.
What is the most significant strength deficit resulting from nonoperative treatment of a distal biceps tendon injury?
- Elbow flexion
- Elbow extension
- Forearm pronation
- Forearm supination
- Shoulder forward flexion
Discussion
The correct answer is (D). By its anatomic insertion on the radial tuberosity, the biceps brachii serves as both an elbow flexor and supinator of the forearm. There is a greater percentage loss of supination strength as the brachialis serves as the primary elbow flexor. Nesterenko et al. showed that patients with a unilateral biceps rupture lost 37% flexion strength and 46% supination strength. Different reports exist regarding the effect of biceps injury on elbow endurance. Given the functional deficits associated with nonoperative treatment of complete ruptures, conservative treatment is reserved for only low demand or medically infirm patients in these cases.
What is the most common nerve injury encountered after operative treatment of distal biceps tendon ruptures?
- Median
- Radial
- Musculocutaneous
- Lateral antebrachial cutaneous
- Posterior interosseous
Discussion
The correct answer is (D). Lateral antebrachial cutaneous neuropraxia is the most common complication of distal biceps tendon repair. It is reported in up to 26% of cases. This is usually the result of excessive retraction and can be avoided with adequate exposure and toe-ing in of the retractors. The nerve pierces the fascia between the biceps and brachialis at the antecubital fossa and runs in the subcutaneous tissues parallel to the cephalic vein. Injury to the radial sensory (6%) and posterior interosseous (4%) nerves has also been reported, although more rare. Pronation of the forearm protects the posterior interosseous nerve. These nerve injuries after distal biceps tendon repair are usually self-limited complications. Other general complications include superficial infection, symptomatic heterotopic ossification, and re-rupture.
Which of the following statements is true regarding one versus two-incision technique for repair of acute distal biceps tendon ruptures?
- The single incision approach affords a significantly faster recovery time
- The single incision approach is associated with lower biomechanical strength and higher fixation failure rates
- The two incision approach is shown to have lower rates of heterotopic ossification
- The single incision approach is associated with higher rates of neurologic complications, whereas the two incision approach is associated with increased rates of proximal radioulnar joint synostosis
Discussion
The correct answer is (D). This question highlights some controversies surrounding the optimal approach for treatment of distal biceps tendon ruptures. Historically, distal biceps tendon injuries were repaired through a single anterior extensile approach. Due to a high rate of neurologic complications, the Boyd Anderson dual incision technique was developed, and this was further modified to address the complication of radioulnar synostosis (Fig. 2–121). Given that distal bicep tendon
injuries are relatively rare, the literature on this topic comprises mainly small case series. Most contemporary literature suggests that satisfactory outcomes can be obtained with either approach, and that surgeon comfort level should dictate the approach used. No significant differences have been described in regards to recovery time. The biomechanical strength of the construct varies with the type of fixation used and not necessarily the approach. The two-incision approach has been shown in some studies to lead to greater loss of forearm rotation and higher rates of synostosis.

#### Figure 2–121 CT shows one complication of distal biceps repair: proximal radioulnar joint synostosis. Objectives: Did you learn...? Recognize and diagnose a distal biceps tendon injury?
Understand the complications associated with nonoperative and operative management of distal biceps tendon injuries?
Appreciate the different approaches available for distal biceps tendon repair? CASE 45 Dr. Min Lu A 23-year-old, semi-professional football linebacker presents with left elbow pain after a game. He extended his arm while falling to the ground and felt a pop and immediate pain in the posterior aspect of his arm. On examination, he is distally neurovascularly intact with swelling and palpable deformity about the posterior aspect of the elbow. He has difficulty extending his arm with 3/5 strength. His elbow
lateral x-ray is shown below (Fig. 2–122).

Figure 2–122
What is the most likely diagnosis?
- Calcific tendonitis
- Osteochondral defect
- Distal triceps tendon rupture
- Distal biceps tendon rupture
- Elbow dislocation
Discussion
The correct answer is (C). The patient’s injury mechanism, physical examination, and imaging findings are most consistent with an acute distal triceps tendon rupture. Triceps tendon ruptures are very rare and among the least commonly reported sports tendon injuries (<1% of all tendon injuries). Most injuries are associated with weightlifting or football due to the training regimens, potential for anabolic steroid use, and violent forces exerted. The mechanism for injury is a sudden, eccentric load applied to the contracting muscle such as from weightlifting or a fall onto an outstretched hand. Penetrating trauma or direct blows may also cause tendon injury as can higher energy mechanisms such as motor vehicle accidents. The lateral elbow radiograph shows flecks of avulsed bone from the olecranon insertion of the triceps, which is almost always pathognomonic for triceps tendon rupture. This finding should not be mistaken for calcific tendonitis with the given clinical history. It is also not consistent with an intra-articular loose body.
What is the next most appropriate step in management?
- Sling for comfort
- Splint immobilization in 30 degrees of flexion
- Functional elbow brace
- Surgical exploration and tendon repair
- MRI
Discussion
The correct answer is (E). Although the diagnosis is most consistent with a distal triceps tendon rupture, this patient has 3/5 motor strength. An MRI must be obtained in this instance to assess the location and degree of tendon involvement (see Fig. 2–123). Physical examination and strength grading can be difficult and inconsistent in the acute setting, even leading to some missed diagnoses. Partial ruptures may present with profound strength deficits, whereas complete ruptures may exhibit little or no strength deficit due to compensation from an intact lateral triceps expansion or the anconeus. This makes an MRI essential for accurate diagnosis and preoperative planning. In general, tears <50% can be managed conservatively with satisfactory results. Partial tears >50% are managed on an individualized basis. They can be managed nonsurgically in sedentary or medically infirm individuals, with repair indicated for active or younger individuals. Complete tears are usually best treated surgically.

Figure 2–123_MRI depiction of retracted triceps tendon (_white arrow) and fluid filled gap (arrowhead).
Which of the following is not a risk factor for distal triceps tendon rupture?
- Anabolic steroid use
- Female gender
- Chronic kidney disease
- Local corticosteroid injections
- Rheumatoid arthritis
Discussion
The correct answer is (B). There is a 2:1 male predominance in all age groups for distal triceps tendon rupture. Local corticosteroid injection and olecranon bursitis are elbow site–specific risk factors for tendon injury. Other systemic risk factors for this condition are numerous and include anabolic steroid use, fluoroquinolone use, metabolic bone disease, chronic kidney disease, insulin-dependent diabetes, Marfan syndrome, osteogenesis imperfecta, and rheumatoid arthritis. It has been postulated that chronic kidney disease and metabolic bone diseases that manifest
with increased parathyroid hormone levels could possibly lead to increased osteoclastic activity and bone resorption, ultimately weakening the bone–tendon interface. Rheumatoid conditions and olecranon bursitis lead to synovitis with weakening of the tendon. Anabolic steroids, as well as oral or locally injected corticosteroids, are thought to impair tendon repair and collagen distribution and thus predispose to tendon injury.
At what anatomic location do distal triceps tendon ruptures occur in most cases?
- Osseous insertion
- Tendon midsubstance
- Myotendinous junction
- Muscle belly
Discussion
The correct answer is (A). Most cases of complete tendon rupture are found to be avulsions at the tendo-osseous junction. Ruptures at the myotendinous junction and within the muscle belly have been reported but are less common. The location of the tear can play a role in management. Tears within the muscle belly are likely to heal with scar tissue and with similar outcomes regardless of what type of treatment is rendered. Recent studies have looked at the anatomy of the triceps insertion in order to develop more anatomic repair techniques. These have found that the footprint is a wide area (466 mm2), which encompasses the entire olecranon, as well as medial and lateral borders of the proximal ulna. Previous repair techniques including transosseous tunnel repair and suture anchor techniques have not sought to replicate this anatomic insertion. The clinical significance of anatomic footprint restoration is not yet known. Objectives: Did you learn...? Diagnose and work up a triceps tendon injury?
Identify risk factors associated with triceps tendon injuries? Determine indications for operative management?
Understand anatomic considerations in triceps tendon rupture? CASE 46 Dr. Min Lu A 45-year-old, right-hand-dominant, male plumber presents with elbow pain of insidious onset. He denies any injury or trauma. He has lateral elbow pain with repetitive movements of the wrist at work. Examination of the shoulder and wrist is normal. He has tenderness to palpation about the elbow at the lateral epicondyle. His symptoms are reproduced with resisted wrist extension. Radiographs are normal.
What is the structure primarily affected by this condition?
- Lateral ulnar collateral ligament
- Extensor carpi radialis brevis
- Extensor carpi radialis longus
- Extensor digitorum communis
- Extensor carpi ulnaris
Discussion
The correct answer is (B). This patient has lateral epicondylitis or tennis elbow, the most common cause for elbow pain presenting to an orthopaedic surgeon’s office. The condition most frequently develops during the fourth or fifth decade of life. The prevalence in the general population is 1% to 3%, and it is more commonly encountered in strenuous labor occupations. It affects males and females equally and presents more frequently in the dominant upper extremity. It is a very common ailment in tennis players, with up to 50% developing this condition at some point during life. The most commonly cited location of pathology is the proximal extensor carpi radialis brevis origin, although Nirschl and colleagues have reported 35% to 50% involvement of the extensor digitorum communis as well. Radiographs are typically normal.
What is the most commonly encountered histology within the affected tendon upon surgical treatment?
- Acute inflammation
- Calcium hydroxyapatite deposition
- Angiofibroblastic tendinosis
- Chondroblastic proliferation
- Osteoblastic proliferation
Discussion
The correct answer is (C). The characteristic presentation of lateral epicondylitis
consists of repetitive microtearing of the tendon origin followed by repair attempts (Fig. 2–124). The typical histopathology of the involved tendon shows angiofibroblastic tendinosis with neovascularization, disordered collagen deposition and mucoid degeneration. Notably, acute inflammation is usually not encountered. Calcium hydroxyapatite deposition is seen with calcific tendonitis, not lateral epicondylitis. Chondroblastic and osteoblastic proliferation are also not characteristic for this disorder.

Figure 2–124_Figure showing focal hyaline degeneration and vascular proliferation in the proximal extensor carpi radialis brevis. (Regan W, Wold LE, Coonrad R, Morrey BF. Microscopic histopathology of chronic refractory lateral epicondylitis. _Am J Sports Med. 1992;20(6):746–749.)
The patient has had symptoms for four weeks with no significant treatment to date. What is the most appropriate initial treatment?
- MRI of the elbow
- Splint immobilization of the elbow
- Corticosteroid injection
- Anti-inflammatory medication and physical therapy exercises
- Arthroscopic or open tendon debridement
Discussion
The correct answer is (D). The patient has had symptoms of relatively short duration and has had no significant treatment to date. Rest, anti-inflammatory pain medication, and physical therapy are simple measures used to alleviate pain and promote natural tendon healing. Recent attention has focused in particular on eccentric strengthening of forearm muscles in order to induce hypertrophy of the muscle–tendon unit and reduce tension on the tendon itself. While MRI, injections,
or surgery might be indicated for recalcitrant disease, they are not used as a first line treatment. A variety of orthotic devices have been prescribed for lateral epicondylitis including forearm bands and cock-up wrist splints, with the goal being to reduce tension on the common extensor origin. While conflicting data exists on these devices, rigid immobilization of the elbow is not generally advocated.
Which of the following is a favorable prognostic indicator for success of nonoperative treatment in lateral epicondylitis?
- Dominant arm involved
- Manual laborer
- Poor coping mechanisms
- High baseline pain level
- Short duration of symptoms at presentation
Discussion
The correct answer is (E). Previous literature shows that most patients with lateral epicondylitis improve with conservative management. Approximately 80% of patients report symptomatic improvement at 1 year, and only 4% to 11% of patients seeking medical attention for this condition require eventual surgery. Negative prognostic indicators for successful conservative treatment include: involvement of dominant arm, manual laborer, high baseline pain level, extended duration of symptoms, and poor coping mechanisms.
The patient returns after 6 weeks of physical therapy exercises and anti-inflammatory medications with continued pain and weakness of grip strength. In counseling him on the risks and benefits of injections for lateral epicondylitis, which of the following statements is correct?
- Botulinum toxin injection has been shown to reduce pain and improve strength at long-term follow-up
- Glucocorticoid, botulinum toxin, and blood product injection have all consistently been shown to be favorable to placebo in terms of pain relief and improved function
- Injections are relatively safe second-line treatments with unproven long-term benefit
- Injections are a risk-free treatment option for patients wishing to avoid surgical intervention
Discussion
The correct answer is (C). The literature varies widely on the efficacy of various injection therapies. Glucocorticoids have been in use for the longest period of time historically. Studies have shown initial pain relief (<6 weeks), followed by diminished benefit at long-term follow-up. Botulinum toxin injections have been shown to reduce pain but also exhibit weakness of finger and wrist extension strength. Finally, the data on platelet-rich plasma and autologous whole blood is mixed in comparing these injections to saline or local anesthetic. Large-scale systematic reviews and meta-analyses generally agree that the safety profile of these injections is reasonable for a second-line treatment option prior to surgery. However, injections are not risk free and can lead to infection, skin depigmentation, fat atrophy, and extensor tendon rupture. Objectives: Did you learn...? Understand the anatomy and pathology of lateral epicondylitis? Review conservative treatment strategies for lateral epicondylitis? Counsel patients on the efficacy of various injection therapies? CASE 47 Dr. Min Lu A 44-year-old, right-hand-dominant female is in the office with persistent lateral elbow pain of 2 years duration. She has pain at the lateral aspect of her elbow, as well as a deep aching pain that radiates down the dorsal aspect of her forearm. She has tried NSAIDs, physical therapy, bracing, and multiple injections to her lateral epicondyle without relief. On examination, she is neurovascularly intact distally with tenderness over the lateral epicondyle as well as in the proximal portion of her forearm. She has pain with resisted wrist extension, resisted long finger extension, and resisted supination. She has weakness of her finger extensors.
In addition to her extensor carpi radialis brevis, what other anatomic structure is most likely affected?
- Extensor digitorum communis to the long finger
- Extensor indicis proprius
- Extensor carpi radialis longus
- Radial nerve
- Ulnar nerve
Discussion
The correct answer is (D). The patient has an atypical presentation of lateral epicondylitis, and it is important to rule out associated conditions such as radial tunnel syndrome. Radial tunnel syndrome is a compression neuropathy of the radial nerve, which unlike carpal tunnel and cubital tunnel syndromes, does not lend itself to quick and easy pattern recognition (Fig. 2–125). It can coexist with lateral epicondylitis in few cases, making diagnosis more difficult. Patients can have variable involvement of the dorsal sensory radial nerve and the posterior interosseous nerve. Symptomatology typically involves aching pain in the dorsal forearm, as well as tenderness to palpation distal to the typical site at the lateral epicondyle. Provocative tests such as pain with resisted long finger extension and resisted pronation/supination are described, although sensitivity and specificity of these tests is not well described. Nerve conduction studies are unreliable in diagnosis. Local anesthetic injection at the site of radial nerve compression has been described as a highly specific diagnostic modality.

Figure 2–125_Markings depicting typical area of dysesthesia for posterior cutaneous nerve of the forearm neuroma. (Reproduced with permission from Dellon AL, Kim J, Ducic I. Painful neuroma of the posterior cutaneous nerve of the forearm after surgery for lateral humeral epicondylitis. _J Hand Surg Am. 2004 May;29(3):387–90.)
The patient opts for open debridement of the extensor carpi radialis brevis origin, as well as radial tunnel decompression. Postoperatively, she develops pain and catching in her elbow when pushing up out of a chair.
What structure is at risk and may have been injured in this case?
- Annular ligament
- Lateral ulnar collateral ligament
- Radial nerve
- Extensor carpi radialis brevis
- Extensor digitorum communis
Discussion
The correct answer is (B). Surgical management of lateral epicondylitis is recommended when pain and dysfunction persist after 6 to 12 months of conservative treatment. The extensor carpi radialis brevis may be released open, percutaneously, or arthroscopically. Specific open debridement techniques vary but generally involve a 2 to 3 cm incision centered distal to the lateral epicondyle. Using sharp dissection, the degenerative tissue within the extensor carpi radialis brevis is debrided, the underlying bone is decorticated, and the tendon is reattached to the bone. With excessive debridement, the lateral ulnar collateral ligament may be
compromised resulting in iatrogenic posterolateral rotatory instability. Keeping debridement anterior to the equator of the radial head prevents destabilization of the elbow (Fig. 2–126).

Figure 2–126_Safe zone for debridement to avoid the lateral ulnar collateral ligament. (Reproduced with permission from Calfee RP, Patel A, DaSilva MF, Akelman E. Management of lateral epicondylitis: current concepts. _J Am Acad Orthop Surg. 2008 Jan;16(1):19–29.)
Neuroma formation is another potential complication of open epicondylar debridement. What nerve does this usually affect?
- Radial
- Posterior interosseous
- Median
- Lateral antebrachial cutaneous
- Posterior antebrachial cutaneous
Discussion
The correct answer is (E). Painful neuroma is one possible cause of persistent pain after lateral epicondylar debridement. The posterior antebrachial cutaneous nerve (Fig. 2–127) is at risk with any approach to the lateral elbow. It branches from the radial nerve in the upper third of the humerus and travels in the subcutaneous tissue in the posterolateral aspect of the upper arm toward the elbow. At the elbow it is 1.5 cm anterior to the lateral epicondyle. Dellon et al. reported on a series of nine consecutive patients treated for this complication after lateral epicondylar debridement. Patients reported cutaneous dysesthesia distal and posterior to the incision. The diagnosis was made preoperatively by using a local anesthetic block
to obtain symptomatic relief. Subsequently, the neuromas were excised and the proximal nerve stumps were buried within muscle.

Figure 2–127_Intraoperative photo of a posterior cutaneous nerve of the forearm neuroma. (Reproduced with permission from Dellon AL, Kim J, Ducic I. Painful neuroma of the posterior cutaneous nerve of the forearm after surgery for lateral humeral epicondylitis. _J Hand Surg Am. 2004 May;29(3):387–90.)
Which other structure shares a proximal attachment with the extensor carpi radialis brevis?
- Palmaris longus
- Pronator teres
- Brachioradialis
- Extensor digiti minimi
- Extensor pollicis longus
Discussion
The correct answer is (D). This is a pure anatomy question regarding the common extensor origin. The muscles originating from the lateral epicondyle include the common extensor tendon, which includes the extensor digitorum longus, extensor digitorum communis, extensor digiti minimi, and extensor carpi ulnaris. The extensor carpi radialis longus originates from the lateral supracondylar ridge and by a few fibers from the lateral epicondyle. The supinator and anconeus also originate from the lateral epicondyle. The palmaris longus and pronator teres originate from the common flexor tendon on the medial epicondyle. The brachioradialis originates from the lateral supracondylar ridge, while the extensor
pollicis longus originates from the ulna and interosseous membrane. Objectives: Did you learn...? Discuss treatment options for refractory or complicated cases of lateral epicondylitis?
Recognize complications associated with surgical treatment for lateral epicondylitis? CASE 48 Dr. Min Lu A 55-year-old, right-hand-dominant male presents to the office complaining of medial-sided, right elbow pain for the past year. He denies any numbness or paresthesias. He complains of pain primarily at the medial epicondyle. He has seen a couple of other doctors for this problem and has had physical therapy, bracing, and corticosteroid injections which gave him short-lived relief. He is an avid golfer. On physical examination, he is neurovascularly intact distally with full elbow range of motion. He has tenderness at the medial epicondyle and pain with resisted wrist flexion. He has no instability with valgus stress.
What is the most likely diagnosis?
- Ulnar nerve entrapment
- Ulnar collateral ligament tear
- Valgus extension overload
- Medial epicondylitis
- Elbow osteoarthritis
Discussion
The correct answer is (D). This patient has medial epicondylitis or golfer’s elbow. This entity is 7 to 20 times less common than its lateral counterpart. It occurs during the fourth and fifth decades of life, with equal male to female prevalence rates. The condition is characterized by medial elbow pain of insidious onset. Tenderness is distal to the medial epicondyle in the pronator teres and flexor carpi radialis. Patients have pain that is worsened with resisted forearm pronation or wrist flexion. Plain radiographs of the elbow are most often normal. However, throwing athletes may have traction spurs and ulnar collateral ligament calcification.
What common occupational factors are associated with the development of this condition?
- Office work, sedentary duties
- Repetitive varus stress at the elbow
- Repetitive wrist bending, forearm rotation
- Repetitive shoulder abduction
- Proper conditioning and stretching prior to heavy lifting
Discussion
The correct answer is (C). Medial epicondylitis occurs in 0.4% to 0.6% of the working age population. Although termed golfer’s elbow, it is commonly found in baseball pitchers as well as a variety of sports and occupations which create valgus stresses at the elbow. Golf, rowing, baseball (pitching), javelin and tennis (serving) are commonly cited recreational activities associated with this condition. It also tends to be found in manual laborers. In a large, longitudinal study, self-reported physical exposures involving repetitive and prolonged wrist bending and forearm rotation were associated with medial epicondylitis. Repetitive bending/straightening of the elbow may also be associated with disease occurrence. Proper conditioning and stretching are protective, not a risk factor for medial epicondylitis. Varus stress and shoulder abduction are not risk factors for this condition.
Which of the following tendons does not share a proximal origin with the flexor-pronator mass?
- Flexor pollicis longus
- Pronator teres
- Flexor carpi radialis
- Palmaris longus
- Flexor carpi ulnaris
Discussion
The correct answer is (A). The flexor pollicis longus originates from the volar surface of the radius and adjacent interosseous membrane, not the common flexor-pronator mass. In addition to answer Choices B, C, D, and E, the flexor digitorum superficialis is the other muscle that shares the common flexor tendon origin. All of the common flexor muscles are innervated by the median nerve, except for flexor carpi ulnaris which is innervated by the ulnar nerve.
The patient presented above undergoes further conservative treatment but develops
web space atrophy and diminished sensation of his ring and small finger. He elects to proceed with surgery.
In addition to common flexor tendon debridement, what other procedure must be considered for this patient?
- Tendon transfer
- Neuroma excision
- Carpal tunnel release
- Ulnar nerve transposition
- Ulnar collateral ligament repair
Discussion
The correct answer is (D). This patient has medial epicondylitis with concomitant ulnar neuropathy. Ulnar nerve symptoms are associated with medial epicondylitis in 23% to 60% of cases according to reports. In these cases, ulnar nerve release or transposition must be considered in the same sitting. Results of medial epicondylitis surgery are generally more guarded when ulnar nerve symptoms are present.
What nerve is prone to injury with surgical treatment for medial epicondylitis?
- Median
- Anterior interosseous
- Medial antebrachial cutaneous
- Radial
- Posterior antebrachial cutaneous
Discussion
The correct answer is (C). The medial antebrachial cutaneous nerve arises from the medial cord of the brachial plexus in most cases (nearly 80%). It travels parallel to the course of the median and ulnar nerves in the upper arm and divides into anterior and posterior branches above the elbow. Due to its variable location, the posterior branch is more commonly reported to be injured in the literature. Injury of the medial antebrachial cutaneous nerve is thought to be underreported as it does not affect the hand and patients may be minimally symptomatic. Objectives: Did you learn...?
Diagnose medial epicondylitis?
Recognize occupational and activity related risk factors for medial epicondylitis?
Understand nerve conditions related to medial epicondylitis?