CASE 31 A 29-year-old, left-hand-dominant male presents to clinic complaining of left arm and shoulder pain for the last three days. The patient is an avid weight-lifter and was doing the bench press when his arm began to bother him. He has been using ice and resting with mild relief but has not been able to use his left arm for anything more than carrying light-weight objects. He is also having difficulty with simple activities such as putting on his shirt. On physical examination, the patient has ecchymosis and a prominent cord-like structure on the anterior left axilla. He has significant weakness with left shoulder adduction and internal rotation. He has a negative Hawkins sign and a negative Yergason sign.
Based on the information obtained thus far, which of the following is the most likely diagnosis?
- Rotator cuff tear
- Pectoralis major muscle rupture
- Ruptured biceps tendon
- Poland syndrome
- Pectoralis minor muscle rupture
Discussion
The correct answer is (B). A pectoralis major muscle (PMM) tear or rupture usually occurs in weight-lifters while performing the bench press, but it can occur during
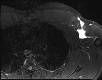
any activity in which the arm is extended and externally rotated while under maximal contraction (eccentric loading force). Patients often present with pain, swelling, ecchymosis, weakness and loss of the axillary fold in the acute setting. In the chronic setting, the swelling and ecchymosis have typically subsided. They may report an audible pop or a tearing sensation. On examination, there can be an apparent continuous muscle or tendon that is mistaken for an intact PMM tendon, but this represents the fascia of the PMM that is continuous with the fascia of both the brachium and the medial antebrachial septum. This continuous fascia will examine as a cord-like structure as shown in Figure 2–78.

Figure 2–78
The sternocostal portion of the muscle is injured more often than the clavicular. A rotator cuff tear and biceps tendon injury are unlikely given the mechanism of injury and physical examination findings. In addition, this patient is young for a rotator cuff tear. Poland syndrome is the congenital absence of the PMM. Pectoralis minor muscle rupture is scarcely reported and would not have the same history and physical examination findings.
Radiographs were normal. What is the most appropriate next step in management?
- Ultrasound
- Computed tomography (CT)
- Magnetic resonance imaging (MRI)
- Radiographs of humerus
- Radiographs of the contralateral shoulder
Discussion
The correct answer is (C). Although pectoralis major muscle (PMM) injuries are
primarily diagnosed clinically, MRI is the imaging modality of choice to evaluate a PMM tendon injury. The extent and location of the injury can many times be assessed with MRI. The Tietjen’s classification system can be used for PMM injuries. Type I is a contusion or sprain. Type II is a partial tear. Type III injuries are complete tears and further classified by anatomic location: III-A (muscle origin), III-B (muscle belly), III-C (musculotendinous junction), III-D (tendinous insertion). Further subclassification were suggested including III-E (bony avulsion from the insertion) and II-F (muscle tendon substance rupture). Type II and Type III injuries have been reported at rates of 9% and 91%, respectively. Among complete tears, type III-D has been reported as the most common (65%). Ultrasound is a reasonable alternative to MRI, particularly if its use means avoiding delay of surgical repair. Ultrasound is much more user-dependent. CT will not allow adequate soft tissue evaluation. Further radiographic evaluation is incorrect because a radiograph of the injured shoulder has already been obtained. The radiographic findings are often normal, but the clinician should look for bony avulsions. The characteristic findings on radiographs are soft tissue swelling and absence of the PMM shadow.
After evaluating the MRI, the patient is diagnosed with a complete rupture of the pectoralis major tendon (Fig. 2–79). What is the recommended first step in management?

Figure 2–79
1. Sling immobilization in adducted and internally rotated position, cold compression, analgesics, and plan for surgical repair in 4 to 8 weeks
2. Cold compression, analgesics, and follow-up for surgical discussion
3. Shoulder immobilizer, cold compression, analgesics, follow-up as an outpatient in 1 to 2 weeks for transition to range of motion (ROM) exercises
4. Active ROM exercises until follow-up for outpatient surgery in 1 week to avoid loss of strength and range of motion postoperatively
5. Take immediately to the operating room for repair
Discussion
The correct answer is (A). Regardless of how the injury is definitively treated (nonoperative or operative), the first step should be rest, ice, compression, and pain control. Surgery is indicated for all young, active patients. If the patient was able to injure the pectoralis major muscle (PMM), then they likely utilize the muscle and should have it repaired. There is no consensus on the timing of when to repair PMM injuries; however, it would make sense to delay for ecchymosis and swelling to subside. Some believe the ideal timing for the surgery is between 4 and 8 weeks after injury. Others feel that chronicity does not affect outcome of repair even when performed 13 years after injury. Nonoperative treatment is reserved for elderly patients, suspected partial or muscle belly ruptures, and for low-demand patients. Answers B and D would risk further retraction of the tendon into the muscle belly. Answer C represents an initial nonoperative management protocol and is inappropriate for this patient.
All of the following are reported complications of operative management of a pectoralis major muscle injury, EXCEPT?
- Re-rupture of the pectoralis major tendon
- Numbness in the distribution of C6
- Postoperative infection
- Heterotopic ossification
- Hematoma
Discussion
The correct answer is (B). Numbness in the distribution of C6 has not been reported in pectoralis major muscle (PMM) injuries, and the more likely injury in the case of surgical treatment for a PMM rupture is disruption of lateral or medial pectoral nerves. The incidence of re-rupture of the tendon has been reported as high as 7.7%.
Answer C is incorrect because postoperative infection is considered one of the most concerning postoperative complications following PMM tendon repair because of the location. The axillary area lends itself to higher bacterial burden with an increased infectious risk. Heterotopic ossification and hematoma have both been reported as complications. Objectives: Did you learn …? Diagnose a pectoralis major muscle injury?
Understand which imaging modalities are available for the evaluation of a pectoralis major rupture?
Distinguish when to conservatively manage or surgically repair a pectoralis major injury?
Understand the initial management of a pectoralis major injury?
Understand some of the complications that may be associated with pectoralis major injuries? CASE 32 A 50-year-old, right-hand-dominant female presents to clinic with posterior right shoulder pain and sometimes a loud noise while using her right upper extremity for overhead activities. Her pain is concentrated over the superomedial border of her scapula, but she also says her pain is underneath her shoulder blade. What is most bothersome is the fact that she is unable to brush her hair because of the discomfort she experiences. She reports that it started as only noise several years prior, but over the last several months she has developed debilitating pain with overhead activities. She works as a salon hair stylist and denies a history of trauma to her right upper extremity.
Which of the following is the most likely diagnosis?
- Impingement syndrome
- Rotator cuff tendinitis
- Suprascapular nerve entrapment
- Supraspinatus muscle tear
- Scapulothoracic bursitis
Discussion
The correct answer is (E). Scapulothoracic bursitis is commonly known as snapping scapula syndrome. This syndrome can be classified on the basis of the cause, which can result in either scapulothoracic crepitus or scapulothoracic bursitis. However, these can many times be indistinguishable in clinical practice because mechanical crepitus can lead to symptomatic bursitis, and conversely, symptomatic bursitis can lead to mechanical crepitus. The woman in this case likely developed bursitis from her mechanical crepitus because she was experiencing a noise without pain for several years. Scapulothoracic crepitus has been found in 31% of 100 normal asymptomatic people. Patients with scapulothoracic bursitis have often experienced symptoms for a long period of time, and these symptoms can range from mild, intermittent discomfort to notable functional disability. Common complaints are that symptoms are causing a decrease in athletic performance or pain with overhead activities. When obtaining the patient’s history, it is important to know their hand dominance, occupation, and activity level. Impingement syndrome, rotator cuff tendinitis, and a supraspinatus tear are less likely in this case given the history of a loud noise prior to the pain and the location of the pain. Answer C is incorrect because the patient is not complaining of weakness.
When examining a patient with suspected scapulothoracic bursitis it is not only important to evaluate bilateral scapula, but also crucial to closely examine which of the following?
- Cervical and thoracic spine
- Lumbar spine
- Ipsilateral sternoclavicular range of motion
- Biceps brachii motor strength
Discussion
The correct answer is (A). When examining patients with scapulothoracic bursitis, it is important to examine the cervical and thoracic spine for fixed or postural kyphosis that may contribute to scapulothoracic incongruity. Evaluation of the cervical spine should also be performed to rule out referred pain. Inspection of each scapula should include looking for asymmetry, winging, or audible snapping. It is important to specifically test muscle strength of the trapezius, rhomboid, levator scapulae, serratus anterior, and latissimus dorsi muscles. Weakness in any of these can cause imbalances leading to a pathologic state. The lumbar spine should not affect scapulothoracic bursitis. The ipsilateral sternoclavicular joint and biceps
brachii muscle should be evaluated, but this is not critical to the diagnosis of scapulothoracic bursitis.
The patient’s symptoms fail to improve after 6 months of conservative management, including activity modification, physical therapy (PT), nonsteroidal anti-inflammatory drugs, and ultrasound guided injections. The injections provided short-term relief. Radiographs and a three-dimensional CT scan were obtained. The patient had an anterior “horn-like” projection at the superomedial angle of the scapula. Surgical intervention is planned using a modified mini-open approach with arthroscopy-assisted bursectomy. Portals are placed 3 cm medial to the medial scapular border.
Which structure(s) are avoided with this portal placement?
- Long thoracic nerve
- Suprascapular nerve
- Dorsal scapular artery and nerve
- Transverse cervical artery
- Spinal accessory nerve
Discussion
The correct answer is (C). The dorsal scapular artery and nerve travel beneath the rhomboid minor and major muscles approximately 1 to 2 cm medial to the medial scapular border. Portal placement should therefore be located approximately 3 cm medial to the medial scapular border (Fig. 2–80).

Figure 2–80_Reproduced with permission from Warth, RJ, Spiegl UJ, Millet PJ. Scapulothoracic bursitis and snapping scapula syndrome: a critical review of current evidence. _Am J Sports Med 2014 Mar 24. [Epub ahead of print]
Answer A is incorrect because the long thoracic nerve is rarely endangered unless dissection is carried lateral. The suprascapular nerve can be endangered if a portal is placed superior to the scapular spine. The deep branch of the transverse cervical artery becomes the dorsal scapular artery. The spinal accessory nerve travels with the superficial branch of the transverse cervical artery, and its branches are at risk if a portal is placed superior to the scapular spine. Scapulothoracic bursitis is usually managed nonoperatively. Nonoperative treatment includes activity modification, NSAIDs, PT, and corticosteroid injections. If symptoms are recalcitrant to conservative management or associated with an osseous or soft tissue mass, surgical intervention is indicated. Arthroscopic, open, or a combined operative approach can be performed. Arthroscopy is more technically demanding, but it does not require postoperative immobilization because the rhomboids and levator scapulae are not transected and reattached to the scapula after partial scapula resection is performed.
As mentioned, radiographs and a CT were obtained. If an osseous lesion is suspected, the threshold to obtain three-dimensional imaging should remain low. MRI can be used to identify soft tissue lesions and to help prevent misdiagnoses and unnecessary surgical intervention. Ultrasound has been used to identify inflamed bursal tissue, although it is more commonly used for diagnostic and therapeutic injections. Electromyogram can sometimes be necessary for patients with imbalances in the periscapular musculature and asymmetry.
A superomedial scapular resection as well as bursectomy is performed. While dissecting laterally, the suprascapular notch becomes visible in the operative field. What structure runs superficial to the transverse scapular ligament?
- Suprascapular nerve
- Transverse cervical artery
- Spinal accessory nerve
- Suprascapular artery
- Long thoracic nerve
Discussion
The correct answer is (D). The suprascapular artery runs superficial to the transverse scapular ligament. The suprascapular nerve travels deep to the ligament. Answers B, C, and E are not closely associated with the transverse scapular ligament.
What is the ideal patient position for both injections and operative treatment of scapulothoracic bursitis?
- Prone with affected arm in 90 degrees of abduction and internally rotated
- Prone with affected arm in extension and internal rotation
- Lateral decubitus with affected arm adducted and externally rotated
- Prone with affected arm adducted and externally rotated
Discussion
The correct answer is (B). The so-called chicken-wing position is utilized to elevate the medial border of the scapula to gain access to both the superior and inferior bursa (Fig. 2–81).

Figure 2–81(From Lazar MA, Kwon YW, Rokito AS. Current concepts review: snapping scapula syndrome. J Bone Joint Surg Am. 2009;91:2251–2262.)
Answers A, C, and D are incorrect because none of these positions would help to elevate the medial border of the scapula. The scapulothoracic articulation is unique because it does not rely on hyaline cartilage, but rather muscle layers and interposing bursal tissue to achieve smooth motion. Symptoms can result from overuse and inflammation of this bursal tissue or can be caused by bony abnormality. Periscapular bursae include infraserratus, supraserratus, and scapulotrapezial bursa. Symptoms over the superomedial scapula area could be caused by the infraserratus or supraserratus bursae. Occasionally, patients will have symptoms localized to the medial border of the scapula at the level of scapular spine, which can be attributed to inflammation of the scapulotrapezial bursa. Objectives: Did you learn …? Diagnose scapulothoracic bursitis?
Recognize the different names for scapulothoracic bursitis and that crepitus can lead to bursitis and vice-versa?
Understand how to conservatively and surgically manage scapulothoracic bursitis?
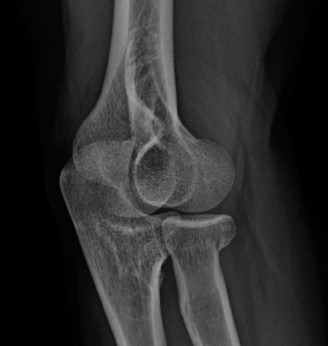
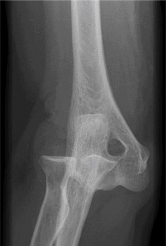
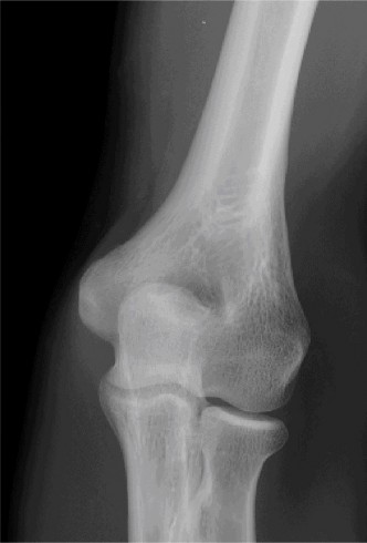
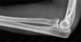
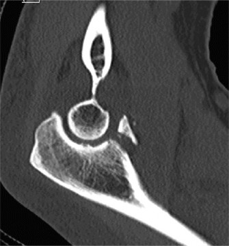
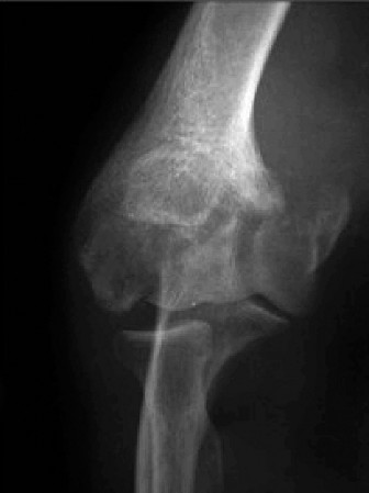
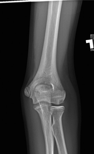
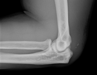
Understand common complications associated with performing surgery for scapulothoracic bursitis? CASE 33 A 42-year-old female presents to the office for follow up after sustaining a minimally displaced radial head fracture 3 months prior. She states she was initially treated in long-arm splint by the ER and did not follow up with an orthopaedic surgeon until now. Per her report, she removed the splint 4 weeks after the injury, but did not move her elbow due to pain. She now has no pain but is unable to reach that hand to her face or head. The remaining history is significant for previous ulnar nerve surgery for which she is unable to provide details. On physical examination, her upper extremity is normal except for limited flexion/extension, measured to be 80 to 50 degrees by goniometer. In addition, she has a well-healed surgical incision about the medial elbow, consistent with a previous surgery on her ulnar nerve. Her images are shown (Figs. 2–82 to 2–84).

Figure 2–82

Figure 2–83

Figure 2–84
What is the diagnosis?
- Early post-traumatic intrinsic joint contracture
- Late post-traumatic extrinsic joint contracture
- Late combined post-traumatic joint contracture
- Early combined post-traumatic joint contracture
Discussion
The correct answer is (A). Classification of post-traumatic elbow stiffness allows for better understanding of the disease and allows the clinician to treat the underlying cause of the joint contracture. Intrinsic causes include: any problem within the joint such as incongruency, loose bodies, or severe osteoarthritis. Extrinsic causes include capsular tightness, muscle contracture, heterotopic ossification, and skin contractures. Early is defined as within 6 months of the injury while late is considered to be greater than 6 months after the injury. Patients that present in the early time frame have a significantly better chance at having a good result both from nonoperative and operative treatment.
What is the preferred first line of treatment at this time?
- Manipulation under anesthesia, followed by physical therapy two times per week
- Arthroscopic capsular release and limited debridement, followed by physical therapy two times per week
- Daily supervised physical therapy with static or dynamic progressive splinting
- Open capsular release, followed by a splint in extension for 14 days
Discussion
The correct answer is (C). Daily, supervised physical therapy should be the first line of treatment in most cases. Major gains in elbow motion are made within the first 3 to 6 months after initiating treatment, however, patients can continue to progress up to a year from the injury. If the contracture is from a tight capsule alone, it is unusual that operative management will be required.
If surgical intervention is warranted, which of the following would be the best option?
- Total elbow arthroplasty
- Fascial interpositional arthroplasty
- Open osteocapsular release followed by supervised physical therapy
- Arthroscopic osteocapsular debridement and a home exercise program
- Arthrodesis
Discussion
The correct answer is (C). Open osteocapsular release would be the best option for this patient. Arthroscopic treatment is ideal for stiffness secondary to capsular contracture, however, given the history of ulnar nerve decompression and or transposition, arthroscopic treatment is contra-indicated.
Which of the following structures needs to be prophylactically addressed when surgically treating patients with a limitation of elbow flexion of 90 to 100 degrees?
- Ulnar nerve
- Anterior bundle of the MCL
- Posterior band of the MCL
- Fascia of the flexor pronator mass
- Medial intermuscular septum
Discussion
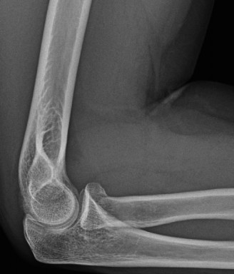
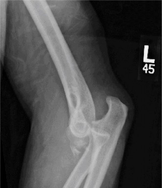
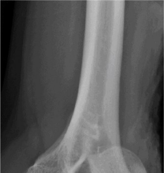
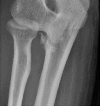
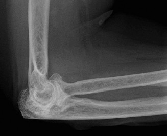
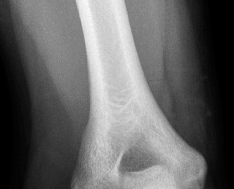
The correct answer is (A). Prophylactic treatment of the ulnar nerve should be done before the osteocapsular release in order to prevent undo compression on the nerve as a result of the increased flexion. Anatomic studies have shown that the cubital tunnel significantly decreases in size with a corresponding increase in the pressure seen within the ulnar nerve with flexion greater than 90 degrees. Objectives: Did you learn...? The common causes and differential for a patient with a stiff elbow? Nonoperative treatment and the indications for surgical management? Keys to achieving adequate patient satisfaction? CASE 34 A 32-year-old male presented to the emergency department 1 hour after sustaining a fall while skateboarding. The patient complained of pain in the elbow with swelling and deformity present. He denied numbness or tingling.
Examination reveals deformity about the elbow with no open lesions or skin tenting. He has a palpable radial and ulnar pulse and is neurologically intact. His images are shown (Figs. 2–85 to 2–88).


Figure 2–85

Figure 2–86

Figure 2–87

Figure 2–88
What is the diagnosis and direction of displacement?
- Monteggia fracture dislocation, posterolateral displacement of the forearm about the humerus
- Simple elbow dislocation, posterolateral displacement of the forearm about the humerus
- Transolecranon complex elbow dislocation
- Simple elbow dislocation, posteromedial displacement of the forearm about the humerus
Discussion
The correct answer is (B). This is the most common type of elbow dislocation, and often does not cause any osseous injury. Posterolateral and posteromedial dislocation account for approximately 90% of dislocations. Adequate pre- and postreduction films are necessary to evaluate for fracture, which would change the classification to a complex injury.
What are the next best steps in management?
- Repeat x-rays, followed by reduction of the joint, repeat neurovascular examination, and splinting of the elbow in 110 degrees of flexion
- Reduction of the joint followed by splinting in 90 degrees of flexion and postreduction x-rays
- Reduction of the joint, followed by examination of the joint to evaluate re-dislocation in extension, repeat neurovascular examination, and splinting of the elbow in 90 degrees of flexion and postreduction films
- Reduction of the joint in the operating room followed by ligament reconstruction
Discussion
The correct answer is (C). All patients with an elbow dislocation should be reduced on an urgent basis. It is important to document the neurovascular examination both pre- and post-reduction. Once reduced, the elbow should be taken through a range of motion to evaluate if and when the elbow subluxes or redislocates. This will allow for improved ability to rehab the patient safely. Adequate postreduction films are necessary to evaluate the concentricity of the joint, as well as to further look for fractures not seen on the injury films.
Which static stabilizer of the elbow typically fails first?
- Radial head
- Lateral ulnar collateral ligament (LUCL)
- Ulnar collateral ligament (UCL)
- Anterior and posterior capsular disruption
Discussion
The correct answer is (B). LUCL is the first structure that is disrupted in posterolateral elbow dislocations. The rotational force is then transferred to the anterior and posterior capsule, and finally the UCL if there is enough force.
In which of the following situations is surgery to restore stability indicated?
- If the elbow requires flexion beyond 50 to 60 degrees to remain reduced
- In all posteromedial elbow dislocations
- When the elbow redislocates in 30 degrees of extension immediately after reduction
- If the patient has a contralateral forearm fracture
Discussion
The correct answer is (A). Surgery is rarely indicated for acute simple elbow dislocations. When the elbow requires flexion beyond 50 to 60 degrees to remain reduced, it indicates that both the collateral ligaments and the secondary stabilizers are disrupted. The MCL is the primary stabilizer of the ulnohumeral joint, whereas the LUCL primarily keeps the ulna from subluxing posteriorly and the radial head from rotating away from the humerus in supination. With more unstable elbows, there is an increased likelihood that the secondary stabilizers (the flexor-pronator mass and extensor origins) are disrupted. Repair can be of one or both of the collateral ligaments. Typically, the LUCL is repaired first and the stability of the elbow is examined for need to repair the UCL. Objectives: Did you learn...? Common mechanisms of injury and classification? Diagnosis and acute management/reduction techniques? Be able to identify a stable versus unstable elbow?
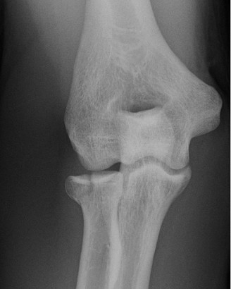
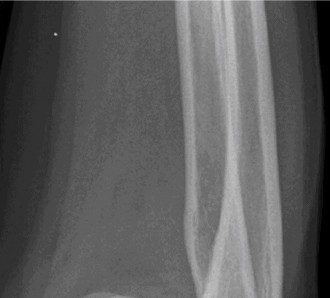
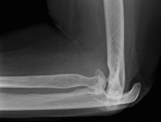
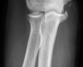
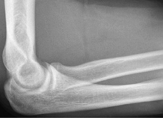
Definitive treatment and long-term expectations? CASE 35 A 54-year-old male presented to the ED with left elbow pain after sustaining an injury in a low speed motor vehicle accident. He denied any other injuries. On examination, he had no open injuries and was neurovascularly intact. He had gross deformity about the elbow. His images are below (Figs. 2–89 to 2–92).

Figure 2–89 Pre- and post-reduction films showing complex elbow dislocation, coronoid fracture.

Figure 2–90 Pre- and post-reduction films showing complex elbow dislocation, coronoid fracture.

Figure 2–91 Pre- and post-reduction films showing complex elbow dislocation, coronoid fracture.


Figure 2–92 Pre- and post-reduction films showing complex elbow dislocation, coronoid fracture.
What is the diagnosis?
- Posterolateral simple elbow dislocation
- Posterolateral complex elbow dislocation
- Posteromedial complex elbow dislocation
- Posteromedial simple elbow dislocation
Discussion
The correct answer is (C). Posteromedial complex elbow dislocation. This injury is proposed to result from axial load combined with posteromedial rotation, varus force, and elbow flexion. This is opposed to the more frequently seen posterolateral dislocation. There is a fracture of the coronoid, which is typical for this type of injury.
Which structure is most commonly fractured in a posteromedial elbow dislocation?
- Coronoid
- Radial head
- Olecranon
- Capitellum
- Supracondylar distal humerus
Discussion
The correct answer is (A). Coronoid process fracture (see Fig. 2–93). The medial trochlea is thought to fracture the anteromedial facet of the coronoid allowing the elbow to dislocate. The lateral collateral ligament (LCL) ligamentous complex is also torn with this type of injury however the radial head often remains intact. This is in contrast to posterolateral elbow dislocations in which the radial head is the most commonly fractured bone, followed by the coronoid.


Figure 2–93 Reproduced with permission from Tashjian RZ and Katarincic JA. Complex Elbow Instability. J Am
2006;14(5):278–286.
Although the radial head in this case is intact, which of the following would be the preferred treatment for a 5-part radial head fracture in conjunction with an elbow dislocation?
- Radial head resection
- ORIF with small interfragmentary screws
- ORIF with radial head plate and screws
- Radial head arthroplasty
- Nonoperative
Discussion
The correct answer is (D). Radial head arthroplasty has been shown to allow for the best patient outcomes for comminuted radial head fractures compared to ORIF or radial head resection.
Which of the follow structures is the most important restraint to valgus and posteromedial rotatory force?
- Anterior bundle of the MCL
- Posterior bundle of the MCL
- LUCL complex
- Radial head
- Flexor pronator mass
Discussion
The correct answer is (A). Anterior bundle of the MCL is of prime importance in elbow stability. It originates from the anteroinferior aspect of the medial epicondyle and inserts on the sublime tubercle at the base of the coronoid. The LCL functions as an important restraint to varus and posterolateral rotator instability. The radial head and the flexor pronator mass are secondary stabilizers of the elbow. In the setting of a disrupted anterior bundle of the MCL, the radial head serves as the most important stabilizer.
What is the preferred method of treatment at this time?
- Treat the injury as you would a simple dislocation since there is no radial head injury
- Treat the injury as you would a simple dislocation since the coronoid fracture is too small too fix
- Open reduction internal fixation of the coronoid
- Surgically repair the LCL without fixing the coronoid
- Open reduction internal fixation of the coronoid and repair of the LCL
Discussion
The correct answer is (E). Open reduction internal fixation of the coronoid and repair of the LCL. The steps most commonly involved in surgical repair of fracture dislocations about the elbow include fixation of the osseous elements first, followed by inspection of the ligaments. Frequently, the LCL is avulsed from the lateral epicondyle. The stability of the elbow is then documented and need for repair of the MCL is determined upon the basis of the degree of stability. It is thought that an elbow that is stable from 30 degrees of flexion to full flexion does not require MCL repair. Objectives: Did you learn...? Be able to recognize a fracture dislocation about the elbow and predict degree of instability?
Understand the treatment algorithm for stabilization? Understand the goals of treatment and the long-term outcomes? CASE 36 A 46-year-old male presents to the clinic for evaluation regarding right elbow pain. He states he sustained an elbow dislocation 1 year ago. He reports that there were no fractures associated with the injury. His main complaint is pain along the outer part of his elbow with range of motion and a persistent “popping” feeling with certain movements. He is unable to do a pushup due to the pain.
There is a positive lateral pivot shift of the elbow but does not open medially with isolated valgus stress. MRI is shown (Figs. 2–94 and 2–95).

Figure 2–94

Figure 2–95
What is the most likely diagnosis?
- Posterolateral rotatory instability (PLRI)
- Lateral epicondyle fracture
- Medial collateral ligament (MCL)
- Isolated injury to the lateral ulnar collateral ligament (LUCL)
Discussion
The correct answer is (A). Posterolateral instability. Patients with this condition nearly always have a history of one or more elbow dislocations. Lateral pain and recurrent mechanical symptoms (clicking, popping, subluxations) are common complaints. They also notice worsening with certain activities; such as push-ups, using the arm to stand from a chair etc. PLRI is thought to occur to due failure of multiple stabilizers, not just the LUCL in isolation.
What other condition can present in a similar fashion?
- Valgus instability
- Lateral epicondylitis
- Extensor carpi radialis brevis avulsion
- Capitellar osteochondritis dissecans (OCD) lesion
Discussion
The correct answer is (A). Valgus instability can be difficult to distinguish from PLRI. Physical examination is critical to differentiate the two. In PLRI, the most sensitive physical examination maneuver is the lateral pivot shift. With the patient lying supine, a valgus stress is applied to the elbow while simultaneously flexing it. This reproduces the patient’s symptoms. In the case of valgus instability, the anterior band of the MCL should be isolated when examined. This is best done with the shoulder internally rotated, the forearm in pronation, and the elbow flexed to 30 degrees. A valgus stress is then placed on the elbow (see Fig. 2–96). Pain or joint opening may be indicative of MCL incompetence.

Figure 2–96 Reproduced with permission from Morrey BF. Acute and Chronic Instability of the Elbow. JAAOS
1996;4(3):117–128.
Which of the following is the most appropriate method of surgical management?
- Acute LUCL reconstruction in all simple elbow dislocations
- Acute direct repair of the LUCL in all simple elbow dislocations
- Direct repair or reconstruction with palmaris autograft of the LUCL in patients with symptomatic PLRI
- Radial head arthroplasty with a large head to increase lateral stability
Discussion
The correct answer is (C). Direct repair or reconstruction of the LUCL. Surgery is indicated to restore the lateral ligamentous stabilizers when there is recurrent, symptomatic instability. Acute repair is not necessary most of the time as the ligament frequently scars in. Only when there is symptomatic instability is surgery warranted.
What is the most common complication following surgical reconstruction of the LUCL?
- Infection
- PIN neuropraxia
- Recurrent instability
- Greater than 30-degree flexion contracture
Discussion
The correct answer is (C). Persistent instability is the main concern after surgical treatment. Patients with degenerative arthritis and radial head excision are less likely to have a satisfactory outcome. PIN neuropraxia and infection are potential complications but are not as prevalent as recurrent instability. A small flexion contracture does frequently occur, but this is typically not severe enough to produce any functional limitations. Objectives: Did you learn...? Identify the relevant anatomy and pathoanatomy that are involved in elbow instability?
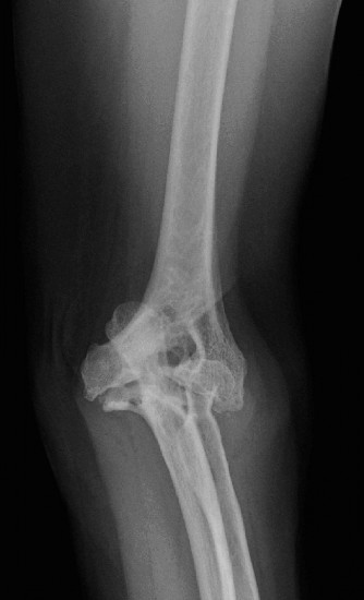
Physically examine a patient for classic posterolateral instability? Understand the potential treatment options? CASE 37 A 53-year-old, left-hand-dominant male presents to your office for evaluation regarding his elbow pain. He states that for the past 5 years he has had pain in his left elbow. It seems to be worsening over the past 6 months. He states he works as a mechanic and the pain is limiting the amount of time he can spend working. He takes anti-inflammatories with some relief. His images are shown (Figs. 2–97 and 2–98).

Figure 2–97


Figure 2–98
Which of the following symptoms is common in the early stages of osteoarthritis (OA)?
- Pain when carrying heavy objects with the elbow in extension
- Pain at mid-arc range of motion
- Motion loss greater than 30 degrees
- Ulnar neuritis
Discussion
The correct answer is (A). Pain when carrying heavy objects with the elbow in extension is a classic presentation for patients with early disease. They also have
motion loss less than 15 degrees and respond well to conservative treatments. Patients with intermediate disease have moderate pain at the ends of motion, often have loss of extension >30 degrees and have ulnar nerve symptoms. Patients with end-stage OA have pain in the mid-arc of motion, have failed conservative treatment and have motion loss greater than 30 degrees.
When is simultaneous osteocapsular debridement and ulnar nerve decompression warranted?
- Ulnar neuritis and flexion less than 100
- Patients with motion loss less than 15 degrees
- All patients who get surgical treatment for elbow OA should get their ulnar nerve decompressed
- It is never appropriate to decompress the ulnar nerve simultaneously as it makes future surgery more risky
Discussion
The correct answer is (A). The ulnar nerve is commonly inflamed in OA of the elbow. The increase in motion seen postoperatively is thought to increase the traction placed on the nerve, and has been shown to be a limiting factor in patients final outcome. It is important to clearly document if the nerve was left in situ or was transposed to prevent injury during subsequent surgery.
Which of the following is predictive of postoperative motion following arthroscopic osteocapsular debridement?
- Preoperative motion
- Intraoperative motion
- Motion seen at 2 weeks postoperative
- Amount of preoperative pain based on the visual analog scale (VAS)
- Degree of joint space narrowing
Discussion
The correct answer is (B). It has been shown that the amount of motion achieved after completion of the soft tissue and bony release correlates the most with final outcome.
What is the most common complication of total elbow arthroplasty in a younger population?
- Infection
- Triceps avulsion
- Aseptic/mechanical loosening
- PIN neuropraxia
- Ulnar nerve neuropraxia
Discussion
The correct answer is (C). Aseptic or mechanical loosening is the most common cause of failure in the younger, more active population. The estimated incidence of implant loosening is between 7% and 15%. Although the newer, semi-constrained prosthesis has significantly lower rates of loosening than the fully constrained implant, mechanical failure is still of primary concern. Infection occurs between 5% and 8% of the time, and triceps insufficiency is from 3% to 8%.
What restrictions would the patient have to adhere to if he wished to proceed with total elbow arthroplasty?
- Cannot extend beyond 30 degrees
- 10 lb life-long weight limit
- Must take daily prophylactic antibiotics for 10 years postoperatively
- Would be unable to pronate and supinate
Discussion
The correct answer is (B). Patients are advised to lift no more than 10 lb for a single lift and no more than 2 to 5 lb for repetitive lifting for the duration of their life. Despite this precaution, there is still a high rate of revision for aseptic loosening. Objectives: Did you learn...? Identify etiology and natural history of osteoarthritis of the elbow? Identify indications for selecting different treatment options?
Recognize common complications seen with total elbow replacement? CASE 38 A 78-year-old female with a history of rheumatoid arthritis for the past 20 years presents to the office for an evaluation of her bilateral elbows. She initially
presented with symptoms in her hands and wrists and has been poorly compliant with her antirheumatic medication.
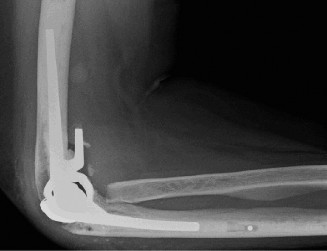
She has received multiple corticosteroid injections into her elbows over the past 3 years, but she no longer gets relief. Her images are shown (Figs. 2–99 to 2–102).

Figure 2–99

Figure 2–100

Figure 2–101

Figure 2–102
Approximately what percentage of patients with rheumatoid arthritis develop elbow involvement within 5 years?
- 10%
- 5%
- 75%
- 60%
- 40%
Discussion
The correct answer is (E). Between 20% and 50% of patients with rheumatoid arthritis will develop elbow arthritis. Isolated presentation of the elbow is rare and only occurs about 5% of the time. Care should be given to provide the best treatment for the entire upper extremity when evaluating and treating a patient with rheumatoid arthritis.
Which of the following is the procedure of choice when treating an advanced, debilitating rheumatoid elbow?
- Elbow arthrodesis
- Open synovectomy
- Radial head excision
- Arthroscopic synovectomy
- Semi-constrained total elbow
Discussion
The correct answer is (E). Semi-constrained total elbow is the definitive procedure of choice when treating an elbow with extensive articular damage and subluxation or ankylosis of the joint (see Fig. 2–103). Rheumatoid patients place a lower demand on the prosthesis than patients with primary osteoarthritis (OA), and thus have a lower incidence of mechanical loosening. Due to the ligamentous laxity, prosthetic instability is the complication that most commonly inhibits success.

Figure 2–103
Which of the following antirheumatic drugs should be continued prior to surgery?
- Methotrexate
- Sulfasalazine
- Infliximab
- Adalimumab
- Etanercept
Discussion
The correct answer is (A). Methotrexate is the only agent that should be continued throughout the operative period. In general, biologic agents such as TNF antagonists (Infliximab, adalumimab, etanercept) should be withheld for 1 week preop and restarted 10 to 14 days postoperatively. The goal is to reduce the risk of infection and optimize wound healing. Routine consultation with the patient’s rheumatologist is recommended before undergoing any surgical procedure. Objectives: Did you learn...? Identify etiology and natural history of rheumatoid arthritis affecting the elbows? Become familiar with the variety of medical treatment options commonly used?
Recognize the potential surgical options including their outcomes and complications?** CASE 39 ** A 20-year-old male presents to the office with right elbow pain. He states he fell 5 years ago and was told he broke his elbow but was treated without surgery. He has since developed worsening pain in his elbow with pain present throughout his entire arc of motion. The pain is more severe in the morning and at night, and he reports frequent swelling of his elbow. He is active and has not yet had any formal treatment. His x-rays can be seen in Figures 2–104 and 2–105.

Figure 2–104

Figure 2–105
Initial management includes which of the following?
- Arthroscopic debridement
- Corticosteroid injection and physical therapy
- Hinged elbow brace
- Total elbow arthroplasty
- Radial head resection
Discussion
The correct answer is (B). Young active patients with post-traumatic arthritis are challenging, and achieving an elbow equal to that of the normal contralateral arm is unlikely. Treatment should consist of conservative measures until the level of pain or patient loss of function requires more aggressive treatment. Arthroscopic debridement works better for patients with pain at the extremes of motion rather than throughout the entire arc. Total elbow is a poor option at this point given the age and activity level of the patient.
For a young patient with elbow arthritis and pain only at extremes of motion, what would be the most appropriate surgical intervention?
- Radial head replacement
- Radial head resection
- Arthroscopic osteocapsular debridement
- Distal humerus osteotomy
- Fascial interpositional arthroplasty
Discussion
The correct answer is (C). Pain at terminal motion is a symptom that is present in the early stages of arthritis. It is often due to periarticular osteophytes and capsular contracture with relative sparing of the articular surface. Radial head replacement and partial ulnohumeral arthroplasty is a viable option with arthritis isolated to one compartment. Fascial interposition arthroplasty is more appropriate for a patient with end stage arthritis with destruction of the majority of the articular bearing surface.
For a young patient with elbow arthritis and pain throughout the arc of motion, which of the following would be the best surgical option?
- Arthroscopic debridement
- Microfracture
- Open osteocapsular debridement
- Fascial interposition arthroplasty
- Total elbow arthroplasty
Discussion
The correct answer is (D). Fascial interposition arthroplasty (Fig. 2–106) has shown to produce reliable pain relief in young patients in which a total elbow would not be appropriate. It typically involves resurfacing the bearing surface with either autograft or allograft. Although most patients see improvement with this procedure, it is still seen as a salvage procedure with one of its main benefits being that it does not compromise subsequent procedures. Figure 2–107 shows a decision-making algorithm for treatment based on the current stage of elbow osteoarthritis.

Figure 2–106_Reproduced with permission from Cheung EV, et al. Primary OA of the Elbow: Current Treatment Options. _JAAOS 2008;16(2):77–87.

_Figure 2–107Reproduced with permission from Cheung EV, et al. Primary OA of the Elbow: Current Treatment Options. _JAAOS 2008;16(2):77–87. Objectives: Did you learn...? Understand the primary goals of treatment for a young patient with posttraumatic elbow arthritis?
Be able to differentiate patients that have pain at terminal motion versus pain throughout the arc of motion?
Understand indications and outcomes of the surgical options? CASE 40 A 16-year-old male baseball player presents to your office for evaluation of his worsening right elbow pain. He denies acute injury or inciting event. The pain is located on the posteromedial aspect of his elbow and is exacerbated by throwing. It has been present for the past 6 months, but it has been more severe over the past 3 months.
On examination, he has tenderness to palpation over his olecranon and pain with terminal elbow extension. He has no evidence of varus or valgus instability. No pain with resisted wrist flexion. His images are shown (Figs. 2–108 to 2–110).


Figure 2–108

Figure 2–109

Figure 2–110
What is the diagnosis?
- Valgus extension overload
- Medial epicondylitis
- osteochondritis dissecans (OCD)
- Olecranon stress fracture
- Medial collateral ligament (MCL) rupture
Discussion
The correct answer is (A). This syndrome occurs most commonly in competitive pitchers, with pain that is worse in the deceleration phase and at terminal extension. The resulting chronic stress results in chondrolysis, osteophyte formation, and attenuation of the MCL. Medial epicondylitis is also common in pitchers, but the pathology is limited to the flexor pronator mass. Pain is over the medial epicondyle and is worse with wrist and forearm flexion. OCD lesions are most common in the capitellum, often present with mechanical symptoms. Olecranon stress fractures result from repetitive abutment into the olecranon fossa. This is a plausible answer, however, the MRI findings are not consistent. MCL rupture is typically acute and is not seen on the MRI shown.
What would be the most appropriate initial treatment?
- Arthroscopic osteocapsular debridement
- MCL debridement and reconstruction
- Rest, physical therapy, and modification of pitching biomechanics
- Cortisone injection
- Open olecranon debridement
Discussion
The correct answer is (C). A nonoperative protocol that consists of 2 to 4 weeks of rest, NSAIDs, physical therapy, and biomechanics coaching is the primary treatment of choice. Only once nonoperative treatment has failed for 3 to 6 months should you proceed with surgical intervention. Surgical intervention is also warranted with acute ruptures of the ulnar collateral ligament (UCL). Cortisone injections are contraindicated as further ligamentous attenuation could occur.
What neurologic syndrome is commonly found in a patient with valgus extension overload?
- Intersection syndrome
- Carpal tunnel syndrome
- Cubital tunnel syndrome
- Radial tunnel syndrome
Discussion
The correct answer is (C). The increased traction and stress placed on the medial elbow not only effects the osseous and ligamentous structures, but also can lead to ulnar neuropathy. In addition, compression can occur from osteophytes, synovitis,
or thickened intermuscular septum. Nonoperative treatment is recommended and typically does not require any different treatment than that of valgus extension overload alone.
Ten months after olecranon debridement the patient still complains of pain and “laxity” of his elbow, which structure is likely damaged?
- Flexor pronator mass
- Annular ligament
- Anterior bundle of the MCL
- Transverse ligament
- Oblique bundle
Discussion
The correct answer is (C). Care must be taken when performing osseous debridement of the posteromedial olecranon to not remove the attachment site of the MCL as this would result in further destabilization of the elbow. The MCL complex consists of the anterior bundle (which is the most important for valgus stability), the posterior bundle, and the transverse ligament (also known as the oblique ligament). Objectives: Did you learn...? Understand the pathoanatomy and typical clinical presentation?
Learn the differential diagnoses when evaluating a patient with medial elbow pain?
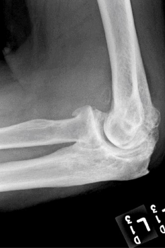
Understand the radiographic findings seen in patients with valgus overload? Identify indications for operative intervention? CASE 41 Dr. Min Lu A 14-year-old baseball pitcher presents to the office with left throwing elbow pain for the past two months when he throws or lifts weights. Examination reveals lateral joint line tenderness with no detectable effusion and full range of motion without crepitation. Moving valgus stress test does not elicit pain. His elbow radiograph is shown below (Fig. 2–111).

Figure 2–111
What is the next most appropriate treatment?
- Elbow arthroscopy, debridement of the lesion
- Arthroscopic drilling of the lesion
- Ulnar collateral ligament repair
- Corticosteroid injection of the elbow
- Cessation of throwing activities
Discussion
The correct answer is (E). This patient has osteochondritis dissecans (OCD) of the capitellum. He has not undergone any conservative treatment. Stable, nondisplaced lesions can heal spontaneously with rest and discontinuation of throwing. Surgical treatment is reserved for unstable lesions or loose bodies. This patient’s
examination is not consistent with an ulnar collateral ligament (UCL) injury. Little league elbow is another commonly encountered diagnosis in this patient population, but like UCL injuries, manifests with medial sided pain after throwing.
Besides baseball, what other sport is this condition most commonly seen with?
- Football linemen
- Rugby players
- Rowers
- Gymnasts
- Swimmers
Discussion
The correct answer is (D). The exact etiology and natural history of osteochondritis dissecans of the capitellum is poorly understood. It is mainly encountered in adolescent age groups, although with earlier youth sports participation, it is now seen in younger athletes as well. It most commonly develops in female gymnasts as well as in the throwing elbow of male pitchers, as both of these sports involve repetitive loading of the elbow joint.
Which of the following findings differentiates Panner’s disease from osteochondritis dissecans of the capitellum?
- Site of involvement within the elbow
- Extent of capitellar involvement
- Symptoms may resolve with conservative management
- Collateral ligament instability
Discussion
The correct answer is (B). Panner’s disease is a separate disorder of the immature capitellum that must be distinguished from OCD. Panner’s disease usually arises in patients younger than 10 years of age, whereas OCD lesions of the capitellum typically arise after age 11. Both disorders involve the capitellum, causing lateral joint tenderness. Whereas OCD of the capitellum represents a focal injury of the cartilage and subchondral bone, Panner’s disease is idiopathic chondrosis and fragmentation of the entire capitellum. Both conditions can resolve with conservative treatment and are not dependent on collateral ligament instability.
What is the suspected etiology of capitellar osteochondritis dissecans?
- Nutritional deficiency
- Infection
- Traumatic and vascular
- Congenital
- Malignancy
Discussion
The correct answer is (C). While the exact etiology of OCD lesions of the capitellum is poorly understood, trauma and ischemia are suspected to play a significant role. OCD occurs in overhead throwing athletes and female gymnasts, supporting the theory that repetitive trauma serves as an inciting event. The capitellum receives its blood supply from posterior end-arteries that traverse the growth plate, without metaphyseal collateral contribution. This tenuous vascular anatomy implicates an ischemic contribution to OCD. Several case studies have reported on familial or hereditary predisposition to OCD; however, the condition is not present at birth.
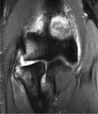
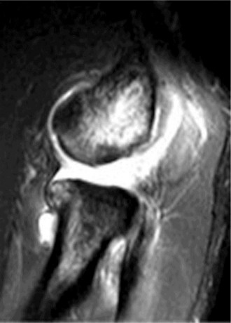
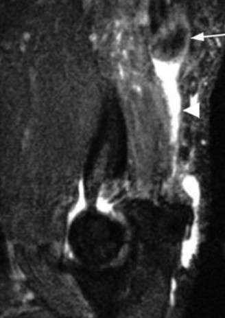
The patient undergoes conservative management consisting of rest, anti-inflammatory medications, and physical therapy. After six months, he is still not able to return to play and has progressively worsening symptoms with attempted throwing. He has a moderate elbow effusion as well as a 20-degree flexion contracture. An elbow MRI arthrogram is obtained and shown (Fig. 2–112). He elects to proceed with elbow arthroscopy. Intraoperative arthroscopic images are shown (Figs. 2–113 and 2–114).

Figure 2–112

Figure 2–113

Figure 2–114
Which of the following is the most commonly reported complication of elbow arthroscopy?
- Contracture
- Compartment syndrome
- Septic joint
- Neuropraxia
- Vessel injury
Discussion
The correct answer is (D). The overall reported rate of transient and permanent complications after elbow arthroscopy is around 10% and is much higher than the rate after knee and shoulder arthroscopy (1–2%). The overall most commonly reported complication is prolonged drainage or erythema around portal sites. The lateral portal sites are susceptible to this issue as the joint is relatively subcutaneous in this area, and there is scant tissue to act as a barrier. Deep infection, while being the most serious postoperative complication, is relatively rare (0.8%). In one series, the rate of transient neurological injuries was found to be 2%. These result from compression, local anesthetic injection, and direct trauma. A thorough understanding of the neurovascular anatomy of the elbow is crucial to achieve proper portal placement. Loss of elbow motion was reported in approximately 1% of cases and is usually minor (less than 20 degrees). Objectives: Did you learn...? Recognize the clinical and radiographic presentation of elbow osteochondritis dissecans?
Formulate a differential diagnosis for pediatric sports elbow injuries? Treat elbow osteochondritis dissecans? CASE 42 Dr. Min Lu A 21-year-old, right-hand-dominant, collegiate pitcher presents to the office with elbow pain and loss of velocity and control over the last 6 weeks. Examination reveals tenderness along the medial aspect of the elbow, negative Tinel sign, and pain with valgus stress through the mid-arc of motion. He has no pain with wrist range of motion or forearm pronation and supination. Imaging study is shown below (Fig. 2–115).

Figure 2–115
What anatomic structure is the primary cause of the patient’s symptoms?
- Ulnar collateral ligament
- Ulnar nerve
- Common flexor origin
- Olecranon osteophytes
- Biceps tendon
Discussion
The correct answer is (A). This patient has pain with mid-flexion valgus stress suggesting an injury to his ulnar collateral ligament. Throwing athletes can have multiple causes for pain at the medial elbow, which can be elucidated by history and physical examination. This patient has a negative Tinel sign and no numbness, tingling or weakness to suggest ulnar nerve injury. Likewise, the flexor pronator mass may become irritated in pitchers, but it is not the primary cause of this patient’s symptoms. His pain is not at terminal extension, and therefore olecranon osteophytes or valgus extension overload would not seem to be the cause. He does not have any findings suggestive of biceps tendon pathology.
During which phase of throwing is the ulnar collateral ligament most likely to be injured?
- Wind up
- Early cocking
- Late cocking
- Ball release
- Deceleration
Discussion
The correct answer is (C). The late cocking and early acceleration phase of overhead throwing places the greatest amount of valgus stress on the elbow (see Fig. 2–116). At this point, the elbow is in mid flexion while the forearm lags behind the upper arm, producing a valgus moment at the elbow. The anterior band of the ulnar collateral ligament is the primary restraint to valgus stress between 30 and 120 degrees of flexion. The wind up phase does not place any stress on the elbow. In early cocking, the rotator cuff and deltoid are active and susceptible to injury. Ball release occurs after acceleration as the forearm is brought forward. At this point, the valgus stresses on the UCL are dissipated. Finally, in deceleration, the posterior compartment of the elbow and elbow flexors are subject to stress to prevent hyperextension.

Figure 2–116_Phases of throwing: The greatest valgus stress at the elbow occurs during the late cocking and early acceleration phases of throwing. (Reproduced with permission from Chen FS, Rokito AS, Jobe FW. Medial elbow problems in the overhead-throwing athlete. _J Am Acad Orthop Surg. 2001;9(2):99–113.)
Which of the following is the most sensitive physical examination finding for ulnar collateral ligament injury?
- Lateral pivot shift test
- Pain with resisted wrist flexion
- Static valgus stress test
- Palpable medial ligamentous laxity
- Moving valgus stress test
Discussion
The correct answer is (E). The lateral pivot shift test is used to assess the lateral ulnar collateral ligament and suggests posterolateral rotatory instability. Pain with resisted wrist flexion indicates inflammation at the common flexor origin, and is suggestive of medial epicondylitis. The moving valgus stress test is highly sensitive (100%) and specific (75%) for ulnar collateral ligament injury, as it reproduces the stresses and elbow positions present during throwing. Pain with static valgus testing is not as accurate as the moving valgus stress test (sensitivity 65%, specificity 50%) as it does not test an arc of motion that pitchers experience. Palpable ligamentous laxity is poorly sensitive (19%) but highly specific (100%).
The moving valgus stress test is performed with the patient upright and the shoulder abducted 90 degrees (Fig. 2–117). With the elbow flexed, a valgus stress is applied to the elbow until the shoulder reaches full external rotation. While a constant valgus torque is maintained, the elbow is quickly extended to 30 degrees.

Figure 2–117_Reproduced with permission from O’Driscoll SW, Lawton RL, Smith AM. The “moving valgus stress test” for medial collateral ligament tears of the elbow. _Am J Sports Med. 2005 Feb;33(2):231–9.
The patient undergoes conservative treatment consisting of rest and physical therapy, followed by a progressive throwing program. However, he is unable to return to throwing after 3 months. He elects for ulnar collateral ligament reconstruction.
What types of outcomes have been seen with ulnar collateral ligament reconstruction with professional pitchers?
- High rates of persistent elbow pain and retirement from sport
- Loss of velocity and performance
- High rate of return to play at a similar level
- 30% rate of revision surgery
Discussion
The correct answer is (C). Studies in Major League Baseball have shown that over 80% of pitchers returned to the major leagues at a mean 20 months after UCL reconstruction, while over 97% return to major and minor leagues combined. Meanwhile, the revision rate for surgery is approximately 4%. Pitch velocity and common performance measurements do not seem to differ from pre-injury levels.
What is the most common surgical complication seen with ulnar collateral ligament reconstruction?
- Postoperative stiffness requiring reoperation
- Ulnar neuropathy
- Superficial infection
- Tenderness at graft harvest site
- Permanent cutaneous sensory deficit
Discussion
The correct answer is (B). The overall complication rate after ulnar collateral ligament reconstruction is 10% (range 3–25%). Ulnar neuropathy is the most commonly reported complication after ulnar collateral ligament reconstruction ranging from 2% to 21%. In one study, performance of obligatory ulnar nerve transposition led to 75% excellent results and 14% with ulnar neuropathy. Without obligatory nerve transposition, that study found 89% excellent results and 6% rate of ulnar neuropathy. Studies report a 1% rate of stiffness requiring reoperation. Cutaneous nerve injuries after Tommy John surgery tend to be transient neuropraxias as opposed to permanent deficits. Infection and graft site tenderness are not as common complications as ulnar neuropathy. Objectives: Did you learn...? Identify and evaluate patients with ulnar collateral ligament instability?
Comprehend anatomic and biomechanical considerations for medial elbow instability?
Understand the role for surgery and the outcomes of ulnar collateral ligament reconstruction? CASE 43 Dr. Min Lu A 9-year-old, baseball pitcher presents to the office with 4 weeks of elbow pain of his throwing arm. He denies locking or catching symptoms. Examination reveals tenderness to palpation about the medial elbow, normal range of motion, and no instability with moving valgus stress. Radiographs are normal.
What is the most likely underlying pathology in this condition?
- Microtraumatic vascular insufficiency of the capitellum
- Medial epicondylar apophysitis
- Idiopathic osteochondrosis of the capitellum
- Ulnar collateral ligament disruption
- Olecranon apophysitis and osteochondrosis
Discussion
The correct answer is (B). This patient has little league elbow which results from
repetitive valgus stress in skeletally immature athletes. In this condition, chronic traction from the flexor-pronator mass leads to medial epicondylar apophysitis. Injuries in this age group result from medial tensile or lateral compressive overload. Osteochondritis dissecans (Answer A) usually affects adolescents older than age 13 years, and typically manifests as pain in the lateral compartment. Likewise, Panner’s disease (Answer C) also affects the capitellum and presents with lateral pain. Ulnar collateral ligament injuries are uncommon in skeletally immature athletes. Posterior compartment injuries (Answer E) are also uncommon and typically present with pain on terminal extension.
What is the most appropriate initial management for the patient in the question above?
- Epicondylar debridement
- Open reduction internal fixation
- Rest, cessation of throwing activities
- MRI
- Corticosteroid injection
Discussion
The correct answer is (C). Conservative management is the mainstay of initial treatment for little league elbow. This consists of 2 to 4 weeks of rest and oral anti-inflammatories, followed by focused stretching and strengthening exercises. Athletes may return to throwing at 6 weeks if symptom free. Symptoms may persist after inadequate periods of rest and immobilization. Surgery, MRI, or injections are not routinely warranted as the first line of treatment in this condition.
Which of the following is not a risk factor for developing arm pain in young pitchers?
- High number of innings pitched
- High number of pitches per game
- Staying in games after pitching, at other positions besides pitcher or catcher
- Pitching with arm fatigue
- Taller, heavier athletes
Discussion
The correct answer is (C). Multiple studies have looked at risk factors for shoulder and elbow injuries among adolescent pitchers. The 10-year-cumulative risk for an
adolescent pitcher developing a serious injury is 5%. Studies have consistently found that arm overuse is a risk factor for joint injuries, and preventative strategies have focused on limiting pitch counts and avoiding pitching with arm fatigue. Taller, heavier athletes appear to be at higher risk as well as pitchers who throw with greater velocity. Inconsistent reports have been published regarding the link between breaking pitches and arm injury. Data seems to indicate that pitchers may remain in games and play other positions beside catcher without significantly increased risk for shoulder or elbow injury.
What is the most common radiographic finding with little league elbow?
- Fragmentation and separation of the capitellum
- Olecranon osteophytes
- Loose body
- Medial epicondyle fracture
- Fragmentation and separation of the medial epicondyle
Discussion
The correct answer is (E). Fragmentation and separation of the capitellum can be seen with osteochondritis dissecans or Panner’s disease, with the distinguishing factor being the amount of capitellar involvement. Osteochondritis dissecans involves a focal articular defect, whereas Panner’s disease involves the entire capitellum. Olecranon osteophytes are encountered with valgus extension overload. Loose bodies may be seen in later stages of osteochondritis dissecans. Medial epicondyle avulsion fracture is a rare cause of acute elbow pain in skeletally immature athletes and is treated according to amount of displacement. Fragmentation and separation of the medial epicondyle is the characteristic radiographic finding of little league elbow (see Fig. 2–118). Previous studies have found separation or widening of the physis in over 50% of players while fragmentation occurred in roughly 20%.

Figure 2–118 Medial epicondylar separation seen in little league elbow. Objectives: Did you learn...? Recognize chronic overuse injuries in adolescent athletes? Manage a patient with little league elbow?
Counsel pediatric athletes on risk factors for arm injury? CASE 44 Dr. Min Lu A 45-year-old, male laborer presents with elbow pain after an injury at work. He was carrying a heavy object, felt it slip, and hyperextended his elbow. He felt a pop and immediate pain in his antecubital fossa. He is neurovascularly intact distally with weakness at the elbow. He has ecchymosis and swelling at the elbow. Hook test is inconclusive.
What is the next most appropriate step in treatment?
- Sling immobilization until asymptomatic with follow-up examination
- Physical therapy to focus on elbow range of motion and strengthening
- Elbow arthroscopy
- Open exploration of the antecubital fossa
- Elbow MRI
Discussion
The correct answer is (E). This patient has a suspected distal biceps tendon rupture. He has the classic presentation of an eccentric overload injury along with a pop and pain in the antecubital fossa. However, his examination is inconclusive for complete versus partial tendon tear. The hook test is performed by asking the patient to actively flex the elbow to 90 degrees and fully supinating the forearm (see Fig. 2–119). The examiner then attempts to hook their index finger under the lateral edge of the tendon and palpate a cordlike structure representing the biceps tendon. This test has been shown to be both highly sensitive and specific (up to 100%), but it is inconclusive in this case. An MRI is warranted to assess the integrity of the distal biceps tendon, to distinguish between complete versus partial rupture (Fig. 2–120). This could alter management as the optimal treatment of partial tendon ruptures is not entirely clear. There is relative urgency to doing this, as early surgical intervention after injury is preferred to facilitate primary repair.

Figure 2–119_Figures demonstrating the hook test. (A–C) The patient actively supinates with the elbow flexed 90 degrees. An intact hook test allows the examiner to hook their index finger under the intact biceps tendon from the lateral side. (D–E) With an abnormal hook test, there is no cord-like structure under which to hook a finger. (Reproduced with permission from Sutton KM, Dodds SD, Ahmad CS, Sethi PM. Surgical treatment of distal biceps rupture. _J Am Acad Orthop Surg. 2010 Mar;18(3):139–48.)

Figure 2–120 MRI depicting distal biceps tendon rupture.
What is the most significant strength deficit resulting from nonoperative treatment of a distal biceps tendon injury?
- Elbow flexion
- Elbow extension
- Forearm pronation
- Forearm supination
- Shoulder forward flexion
Discussion
The correct answer is (D). By its anatomic insertion on the radial tuberosity, the biceps brachii serves as both an elbow flexor and supinator of the forearm. There is a greater percentage loss of supination strength as the brachialis serves as the primary elbow flexor. Nesterenko et al. showed that patients with a unilateral biceps rupture lost 37% flexion strength and 46% supination strength. Different reports exist regarding the effect of biceps injury on elbow endurance. Given the functional deficits associated with nonoperative treatment of complete ruptures, conservative treatment is reserved for only low demand or medically infirm patients in these cases.
What is the most common nerve injury encountered after operative treatment of distal biceps tendon ruptures?
- Median
- Radial
- Musculocutaneous
- Lateral antebrachial cutaneous
- Posterior interosseous
Discussion
The correct answer is (D). Lateral antebrachial cutaneous neuropraxia is the most common complication of distal biceps tendon repair. It is reported in up to 26% of cases. This is usually the result of excessive retraction and can be avoided with adequate exposure and toe-ing in of the retractors. The nerve pierces the fascia between the biceps and brachialis at the antecubital fossa and runs in the subcutaneous tissues parallel to the cephalic vein. Injury to the radial sensory (6%) and posterior interosseous (4%) nerves has also been reported, although more rare. Pronation of the forearm protects the posterior interosseous nerve. These nerve injuries after distal biceps tendon repair are usually self-limited complications. Other general complications include superficial infection, symptomatic heterotopic ossification, and re-rupture.
Which of the following statements is true regarding one versus two-incision technique for repair of acute distal biceps tendon ruptures?
- The single incision approach affords a significantly faster recovery time
- The single incision approach is associated with lower biomechanical strength and higher fixation failure rates
- The two incision approach is shown to have lower rates of heterotopic ossification
- The single incision approach is associated with higher rates of neurologic complications, whereas the two incision approach is associated with increased rates of proximal radioulnar joint synostosis
Discussion
The correct answer is (D). This question highlights some controversies surrounding the optimal approach for treatment of distal biceps tendon ruptures. Historically, distal biceps tendon injuries were repaired through a single anterior extensile approach. Due to a high rate of neurologic complications, the Boyd Anderson dual incision technique was developed, and this was further modified to address the complication of radioulnar synostosis (Fig. 2–121). Given that distal bicep tendon
injuries are relatively rare, the literature on this topic comprises mainly small case series. Most contemporary literature suggests that satisfactory outcomes can be obtained with either approach, and that surgeon comfort level should dictate the approach used. No significant differences have been described in regards to recovery time. The biomechanical strength of the construct varies with the type of fixation used and not necessarily the approach. The two-incision approach has been shown in some studies to lead to greater loss of forearm rotation and higher rates of synostosis.

#### Figure 2–121 CT shows one complication of distal biceps repair: proximal radioulnar joint synostosis. Objectives: Did you learn...? Recognize and diagnose a distal biceps tendon injury?
Understand the complications associated with nonoperative and operative management of distal biceps tendon injuries?
Appreciate the different approaches available for distal biceps tendon repair? CASE 45 Dr. Min Lu A 23-year-old, semi-professional football linebacker presents with left elbow pain after a game. He extended his arm while falling to the ground and felt a pop and immediate pain in the posterior aspect of his arm. On examination, he is distally neurovascularly intact with swelling and palpable deformity about the posterior aspect of the elbow. He has difficulty extending his arm with 3/5 strength. His elbow
lateral x-ray is shown below (Fig. 2–122).

Figure 2–122
What is the most likely diagnosis?
- Calcific tendonitis
- Osteochondral defect
- Distal triceps tendon rupture
- Distal biceps tendon rupture
- Elbow dislocation
Discussion
The correct answer is (C). The patient’s injury mechanism, physical examination, and imaging findings are most consistent with an acute distal triceps tendon rupture. Triceps tendon ruptures are very rare and among the least commonly reported sports tendon injuries (<1% of all tendon injuries). Most injuries are associated with weightlifting or football due to the training regimens, potential for anabolic steroid use, and violent forces exerted. The mechanism for injury is a sudden, eccentric load applied to the contracting muscle such as from weightlifting or a fall onto an outstretched hand. Penetrating trauma or direct blows may also cause tendon injury as can higher energy mechanisms such as motor vehicle accidents. The lateral elbow radiograph shows flecks of avulsed bone from the olecranon insertion of the triceps, which is almost always pathognomonic for triceps tendon rupture. This finding should not be mistaken for calcific tendonitis with the given clinical history. It is also not consistent with an intra-articular loose body.
What is the next most appropriate step in management?
- Sling for comfort
- Splint immobilization in 30 degrees of flexion
- Functional elbow brace
- Surgical exploration and tendon repair
- MRI
Discussion
The correct answer is (E). Although the diagnosis is most consistent with a distal triceps tendon rupture, this patient has 3/5 motor strength. An MRI must be obtained in this instance to assess the location and degree of tendon involvement (see Fig. 2–123). Physical examination and strength grading can be difficult and inconsistent in the acute setting, even leading to some missed diagnoses. Partial ruptures may present with profound strength deficits, whereas complete ruptures may exhibit little or no strength deficit due to compensation from an intact lateral triceps expansion or the anconeus. This makes an MRI essential for accurate diagnosis and preoperative planning. In general, tears <50% can be managed conservatively with satisfactory results. Partial tears >50% are managed on an individualized basis. They can be managed nonsurgically in sedentary or medically infirm individuals, with repair indicated for active or younger individuals. Complete tears are usually best treated surgically.

Figure 2–123_MRI depiction of retracted triceps tendon (_white arrow) and fluid filled gap (arrowhead).
Which of the following is not a risk factor for distal triceps tendon rupture?
- Anabolic steroid use
- Female gender
- Chronic kidney disease
- Local corticosteroid injections
- Rheumatoid arthritis
Discussion
The correct answer is (B). There is a 2:1 male predominance in all age groups for distal triceps tendon rupture. Local corticosteroid injection and olecranon bursitis are elbow site–specific risk factors for tendon injury. Other systemic risk factors for this condition are numerous and include anabolic steroid use, fluoroquinolone use, metabolic bone disease, chronic kidney disease, insulin-dependent diabetes, Marfan syndrome, osteogenesis imperfecta, and rheumatoid arthritis. It has been postulated that chronic kidney disease and metabolic bone diseases that manifest
with increased parathyroid hormone levels could possibly lead to increased osteoclastic activity and bone resorption, ultimately weakening the bone–tendon interface. Rheumatoid conditions and olecranon bursitis lead to synovitis with weakening of the tendon. Anabolic steroids, as well as oral or locally injected corticosteroids, are thought to impair tendon repair and collagen distribution and thus predispose to tendon injury.
At what anatomic location do distal triceps tendon ruptures occur in most cases?
- Osseous insertion
- Tendon midsubstance
- Myotendinous junction
- Muscle belly
Discussion
The correct answer is (A). Most cases of complete tendon rupture are found to be avulsions at the tendo-osseous junction. Ruptures at the myotendinous junction and within the muscle belly have been reported but are less common. The location of the tear can play a role in management. Tears within the muscle belly are likely to heal with scar tissue and with similar outcomes regardless of what type of treatment is rendered. Recent studies have looked at the anatomy of the triceps insertion in order to develop more anatomic repair techniques. These have found that the footprint is a wide area (466 mm2), which encompasses the entire olecranon, as well as medial and lateral borders of the proximal ulna. Previous repair techniques including transosseous tunnel repair and suture anchor techniques have not sought to replicate this anatomic insertion. The clinical significance of anatomic footprint restoration is not yet known. Objectives: Did you learn...? Diagnose and work up a triceps tendon injury?
Identify risk factors associated with triceps tendon injuries? Determine indications for operative management?
Understand anatomic considerations in triceps tendon rupture? CASE 46 Dr. Min Lu A 45-year-old, right-hand-dominant, male plumber presents with elbow pain of insidious onset. He denies any injury or trauma. He has lateral elbow pain with repetitive movements of the wrist at work. Examination of the shoulder and wrist is normal. He has tenderness to palpation about the elbow at the lateral epicondyle. His symptoms are reproduced with resisted wrist extension. Radiographs are normal.
What is the structure primarily affected by this condition?
- Lateral ulnar collateral ligament
- Extensor carpi radialis brevis
- Extensor carpi radialis longus
- Extensor digitorum communis
- Extensor carpi ulnaris
Discussion
The correct answer is (B). This patient has lateral epicondylitis or tennis elbow, the most common cause for elbow pain presenting to an orthopaedic surgeon’s office. The condition most frequently develops during the fourth or fifth decade of life. The prevalence in the general population is 1% to 3%, and it is more commonly encountered in strenuous labor occupations. It affects males and females equally and presents more frequently in the dominant upper extremity. It is a very common ailment in tennis players, with up to 50% developing this condition at some point during life. The most commonly cited location of pathology is the proximal extensor carpi radialis brevis origin, although Nirschl and colleagues have reported 35% to 50% involvement of the extensor digitorum communis as well. Radiographs are typically normal.
What is the most commonly encountered histology within the affected tendon upon surgical treatment?
- Acute inflammation
- Calcium hydroxyapatite deposition
- Angiofibroblastic tendinosis
- Chondroblastic proliferation
- Osteoblastic proliferation
Discussion
The correct answer is (C). The characteristic presentation of lateral epicondylitis
consists of repetitive microtearing of the tendon origin followed by repair attempts (Fig. 2–124). The typical histopathology of the involved tendon shows angiofibroblastic tendinosis with neovascularization, disordered collagen deposition and mucoid degeneration. Notably, acute inflammation is usually not encountered. Calcium hydroxyapatite deposition is seen with calcific tendonitis, not lateral epicondylitis. Chondroblastic and osteoblastic proliferation are also not characteristic for this disorder.

Figure 2–124_Figure showing focal hyaline degeneration and vascular proliferation in the proximal extensor carpi radialis brevis. (Regan W, Wold LE, Coonrad R, Morrey BF. Microscopic histopathology of chronic refractory lateral epicondylitis. _Am J Sports Med. 1992;20(6):746–749.)
The patient has had symptoms for four weeks with no significant treatment to date. What is the most appropriate initial treatment?
- MRI of the elbow
- Splint immobilization of the elbow
- Corticosteroid injection
- Anti-inflammatory medication and physical therapy exercises
- Arthroscopic or open tendon debridement
Discussion
The correct answer is (D). The patient has had symptoms of relatively short duration and has had no significant treatment to date. Rest, anti-inflammatory pain medication, and physical therapy are simple measures used to alleviate pain and promote natural tendon healing. Recent attention has focused in particular on eccentric strengthening of forearm muscles in order to induce hypertrophy of the muscle–tendon unit and reduce tension on the tendon itself. While MRI, injections,
or surgery might be indicated for recalcitrant disease, they are not used as a first line treatment. A variety of orthotic devices have been prescribed for lateral epicondylitis including forearm bands and cock-up wrist splints, with the goal being to reduce tension on the common extensor origin. While conflicting data exists on these devices, rigid immobilization of the elbow is not generally advocated.
Which of the following is a favorable prognostic indicator for success of nonoperative treatment in lateral epicondylitis?
- Dominant arm involved
- Manual laborer
- Poor coping mechanisms
- High baseline pain level
- Short duration of symptoms at presentation
Discussion
The correct answer is (E). Previous literature shows that most patients with lateral epicondylitis improve with conservative management. Approximately 80% of patients report symptomatic improvement at 1 year, and only 4% to 11% of patients seeking medical attention for this condition require eventual surgery. Negative prognostic indicators for successful conservative treatment include: involvement of dominant arm, manual laborer, high baseline pain level, extended duration of symptoms, and poor coping mechanisms.
The patient returns after 6 weeks of physical therapy exercises and anti-inflammatory medications with continued pain and weakness of grip strength. In counseling him on the risks and benefits of injections for lateral epicondylitis, which of the following statements is correct?
- Botulinum toxin injection has been shown to reduce pain and improve strength at long-term follow-up
- Glucocorticoid, botulinum toxin, and blood product injection have all consistently been shown to be favorable to placebo in terms of pain relief and improved function
- Injections are relatively safe second-line treatments with unproven long-term benefit
- Injections are a risk-free treatment option for patients wishing to avoid surgical intervention
Discussion
The correct answer is (C). The literature varies widely on the efficacy of various injection therapies. Glucocorticoids have been in use for the longest period of time historically. Studies have shown initial pain relief (<6 weeks), followed by diminished benefit at long-term follow-up. Botulinum toxin injections have been shown to reduce pain but also exhibit weakness of finger and wrist extension strength. Finally, the data on platelet-rich plasma and autologous whole blood is mixed in comparing these injections to saline or local anesthetic. Large-scale systematic reviews and meta-analyses generally agree that the safety profile of these injections is reasonable for a second-line treatment option prior to surgery. However, injections are not risk free and can lead to infection, skin depigmentation, fat atrophy, and extensor tendon rupture. Objectives: Did you learn...? Understand the anatomy and pathology of lateral epicondylitis? Review conservative treatment strategies for lateral epicondylitis? Counsel patients on the efficacy of various injection therapies? CASE 47 Dr. Min Lu A 44-year-old, right-hand-dominant female is in the office with persistent lateral elbow pain of 2 years duration. She has pain at the lateral aspect of her elbow, as well as a deep aching pain that radiates down the dorsal aspect of her forearm. She has tried NSAIDs, physical therapy, bracing, and multiple injections to her lateral epicondyle without relief. On examination, she is neurovascularly intact distally with tenderness over the lateral epicondyle as well as in the proximal portion of her forearm. She has pain with resisted wrist extension, resisted long finger extension, and resisted supination. She has weakness of her finger extensors.
In addition to her extensor carpi radialis brevis, what other anatomic structure is most likely affected?
- Extensor digitorum communis to the long finger
- Extensor indicis proprius
- Extensor carpi radialis longus
- Radial nerve
- Ulnar nerve
Discussion
The correct answer is (D). The patient has an atypical presentation of lateral epicondylitis, and it is important to rule out associated conditions such as radial tunnel syndrome. Radial tunnel syndrome is a compression neuropathy of the radial nerve, which unlike carpal tunnel and cubital tunnel syndromes, does not lend itself to quick and easy pattern recognition (Fig. 2–125). It can coexist with lateral epicondylitis in few cases, making diagnosis more difficult. Patients can have variable involvement of the dorsal sensory radial nerve and the posterior interosseous nerve. Symptomatology typically involves aching pain in the dorsal forearm, as well as tenderness to palpation distal to the typical site at the lateral epicondyle. Provocative tests such as pain with resisted long finger extension and resisted pronation/supination are described, although sensitivity and specificity of these tests is not well described. Nerve conduction studies are unreliable in diagnosis. Local anesthetic injection at the site of radial nerve compression has been described as a highly specific diagnostic modality.

Figure 2–125_Markings depicting typical area of dysesthesia for posterior cutaneous nerve of the forearm neuroma. (Reproduced with permission from Dellon AL, Kim J, Ducic I. Painful neuroma of the posterior cutaneous nerve of the forearm after surgery for lateral humeral epicondylitis. _J Hand Surg Am. 2004 May;29(3):387–90.)
The patient opts for open debridement of the extensor carpi radialis brevis origin, as well as radial tunnel decompression. Postoperatively, she develops pain and catching in her elbow when pushing up out of a chair.
What structure is at risk and may have been injured in this case?
- Annular ligament
- Lateral ulnar collateral ligament
- Radial nerve
- Extensor carpi radialis brevis
- Extensor digitorum communis
Discussion
The correct answer is (B). Surgical management of lateral epicondylitis is recommended when pain and dysfunction persist after 6 to 12 months of conservative treatment. The extensor carpi radialis brevis may be released open, percutaneously, or arthroscopically. Specific open debridement techniques vary but generally involve a 2 to 3 cm incision centered distal to the lateral epicondyle. Using sharp dissection, the degenerative tissue within the extensor carpi radialis brevis is debrided, the underlying bone is decorticated, and the tendon is reattached to the bone. With excessive debridement, the lateral ulnar collateral ligament may be
compromised resulting in iatrogenic posterolateral rotatory instability. Keeping debridement anterior to the equator of the radial head prevents destabilization of the elbow (Fig. 2–126).

Figure 2–126_Safe zone for debridement to avoid the lateral ulnar collateral ligament. (Reproduced with permission from Calfee RP, Patel A, DaSilva MF, Akelman E. Management of lateral epicondylitis: current concepts. _J Am Acad Orthop Surg. 2008 Jan;16(1):19–29.)
Neuroma formation is another potential complication of open epicondylar debridement. What nerve does this usually affect?
- Radial
- Posterior interosseous
- Median
- Lateral antebrachial cutaneous
- Posterior antebrachial cutaneous
Discussion
The correct answer is (E). Painful neuroma is one possible cause of persistent pain after lateral epicondylar debridement. The posterior antebrachial cutaneous nerve (Fig. 2–127) is at risk with any approach to the lateral elbow. It branches from the radial nerve in the upper third of the humerus and travels in the subcutaneous tissue in the posterolateral aspect of the upper arm toward the elbow. At the elbow it is 1.5 cm anterior to the lateral epicondyle. Dellon et al. reported on a series of nine consecutive patients treated for this complication after lateral epicondylar debridement. Patients reported cutaneous dysesthesia distal and posterior to the incision. The diagnosis was made preoperatively by using a local anesthetic block
to obtain symptomatic relief. Subsequently, the neuromas were excised and the proximal nerve stumps were buried within muscle.

Figure 2–127_Intraoperative photo of a posterior cutaneous nerve of the forearm neuroma. (Reproduced with permission from Dellon AL, Kim J, Ducic I. Painful neuroma of the posterior cutaneous nerve of the forearm after surgery for lateral humeral epicondylitis. _J Hand Surg Am. 2004 May;29(3):387–90.)
Which other structure shares a proximal attachment with the extensor carpi radialis brevis?
- Palmaris longus
- Pronator teres
- Brachioradialis
- Extensor digiti minimi
- Extensor pollicis longus
Discussion
The correct answer is (D). This is a pure anatomy question regarding the common extensor origin. The muscles originating from the lateral epicondyle include the common extensor tendon, which includes the extensor digitorum longus, extensor digitorum communis, extensor digiti minimi, and extensor carpi ulnaris. The extensor carpi radialis longus originates from the lateral supracondylar ridge and by a few fibers from the lateral epicondyle. The supinator and anconeus also originate from the lateral epicondyle. The palmaris longus and pronator teres originate from the common flexor tendon on the medial epicondyle. The brachioradialis originates from the lateral supracondylar ridge, while the extensor
pollicis longus originates from the ulna and interosseous membrane. Objectives: Did you learn...? Discuss treatment options for refractory or complicated cases of lateral epicondylitis?
Recognize complications associated with surgical treatment for lateral epicondylitis? CASE 48 Dr. Min Lu A 55-year-old, right-hand-dominant male presents to the office complaining of medial-sided, right elbow pain for the past year. He denies any numbness or paresthesias. He complains of pain primarily at the medial epicondyle. He has seen a couple of other doctors for this problem and has had physical therapy, bracing, and corticosteroid injections which gave him short-lived relief. He is an avid golfer. On physical examination, he is neurovascularly intact distally with full elbow range of motion. He has tenderness at the medial epicondyle and pain with resisted wrist flexion. He has no instability with valgus stress.
What is the most likely diagnosis?
- Ulnar nerve entrapment
- Ulnar collateral ligament tear
- Valgus extension overload
- Medial epicondylitis
- Elbow osteoarthritis
Discussion
The correct answer is (D). This patient has medial epicondylitis or golfer’s elbow. This entity is 7 to 20 times less common than its lateral counterpart. It occurs during the fourth and fifth decades of life, with equal male to female prevalence rates. The condition is characterized by medial elbow pain of insidious onset. Tenderness is distal to the medial epicondyle in the pronator teres and flexor carpi radialis. Patients have pain that is worsened with resisted forearm pronation or wrist flexion. Plain radiographs of the elbow are most often normal. However, throwing athletes may have traction spurs and ulnar collateral ligament calcification.
What common occupational factors are associated with the development of this condition?
- Office work, sedentary duties
- Repetitive varus stress at the elbow
- Repetitive wrist bending, forearm rotation
- Repetitive shoulder abduction
- Proper conditioning and stretching prior to heavy lifting
Discussion
The correct answer is (C). Medial epicondylitis occurs in 0.4% to 0.6% of the working age population. Although termed golfer’s elbow, it is commonly found in baseball pitchers as well as a variety of sports and occupations which create valgus stresses at the elbow. Golf, rowing, baseball (pitching), javelin and tennis (serving) are commonly cited recreational activities associated with this condition. It also tends to be found in manual laborers. In a large, longitudinal study, self-reported physical exposures involving repetitive and prolonged wrist bending and forearm rotation were associated with medial epicondylitis. Repetitive bending/straightening of the elbow may also be associated with disease occurrence. Proper conditioning and stretching are protective, not a risk factor for medial epicondylitis. Varus stress and shoulder abduction are not risk factors for this condition.
Which of the following tendons does not share a proximal origin with the flexor-pronator mass?
- Flexor pollicis longus
- Pronator teres
- Flexor carpi radialis
- Palmaris longus
- Flexor carpi ulnaris
Discussion
The correct answer is (A). The flexor pollicis longus originates from the volar surface of the radius and adjacent interosseous membrane, not the common flexor-pronator mass. In addition to answer Choices B, C, D, and E, the flexor digitorum superficialis is the other muscle that shares the common flexor tendon origin. All of the common flexor muscles are innervated by the median nerve, except for flexor carpi ulnaris which is innervated by the ulnar nerve.
The patient presented above undergoes further conservative treatment but develops
web space atrophy and diminished sensation of his ring and small finger. He elects to proceed with surgery.
In addition to common flexor tendon debridement, what other procedure must be considered for this patient?
- Tendon transfer
- Neuroma excision
- Carpal tunnel release
- Ulnar nerve transposition
- Ulnar collateral ligament repair
Discussion
The correct answer is (D). This patient has medial epicondylitis with concomitant ulnar neuropathy. Ulnar nerve symptoms are associated with medial epicondylitis in 23% to 60% of cases according to reports. In these cases, ulnar nerve release or transposition must be considered in the same sitting. Results of medial epicondylitis surgery are generally more guarded when ulnar nerve symptoms are present.
What nerve is prone to injury with surgical treatment for medial epicondylitis?
- Median
- Anterior interosseous
- Medial antebrachial cutaneous
- Radial
- Posterior antebrachial cutaneous
Discussion
The correct answer is (C). The medial antebrachial cutaneous nerve arises from the medial cord of the brachial plexus in most cases (nearly 80%). It travels parallel to the course of the median and ulnar nerves in the upper arm and divides into anterior and posterior branches above the elbow. Due to its variable location, the posterior branch is more commonly reported to be injured in the literature. Injury of the medial antebrachial cutaneous nerve is thought to be underreported as it does not affect the hand and patients may be minimally symptomatic. Objectives: Did you learn...?
Diagnose medial epicondylitis?
Recognize occupational and activity related risk factors for medial epicondylitis?
Understand nerve conditions related to medial epicondylitis?