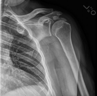
CASE 20 A 72-year-old, right-hand-dominant male with a history of type 2 diabetes, hypertension, and coronary artery disease presents to clinic for a second opinion regarding worsening left shoulder pain 8 months after undergoing a left total shoulder arthroplasty. He had an uncomplicated procedure and has had no major postoperative complications thus far; however, he has never been completely pain free since his procedure. He denies any recent trauma, fevers, chills, or drainage from the incision site. On examination, the incision sites are clean, dry, and intact, and he has mild tenderness to palpation diffusely over the left shoulder as well as decreased range of motion. Imaging is shown in Figure 2–55.

Figure 2–55
What is the most appropriate next step in his management?
- Schedule the patient for soonest available irrigation and debridement of left shoulder
- MRI with contrast to evaluate for infection
- CT arthrogram of the left shoulder to evaluate for loosening
- Referral to physical therapy
Discussion
The correct answer is (C). This patient’s story of acutely worsening pain without known trauma and with a history of orthopaedic implants is suspicious for infection. Risk factors for infection include rheumatoid arthritis, diabetes mellitus, systemic lupus erythematosus, malignancy, immunosuppression, etc. The first step in this diagnosis would be CT arthrogram of the shoulder to evaluate for loosening as sign of infection. A is incorrect as, although infection is on the differential, it has not yet definitively been diagnosed and therefore an immediate irrigation and debridement would not be indicated. MRI (Choice B) might be helpful in identifying a joint effusion or bony edema/signal intensity but would not provide as useful information as synovial fluid would at this point. Choice D is incorrect because the patient must be worked up for infection before deciding on conservative
management only. As a side note, aspiration of the glenohumeral joint would be more appropriate for cases in which bacteremic seeding of a joint is suspected.
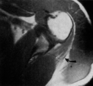
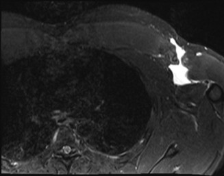
CT arthrograms of the patient’s left shoulder are shown in Figure 2–56. CRP is <3, ESR 45. The patient continues to have pain, so you decide to perform arthroscopic biopsy to obtain tissue cultures. Frozen sections show <5 PMNs per hpf, and Gram stains are all negative.

Figure 2–56
What is the next step in management of this patient?
- Referral to pain clinic for management of his chronic pain
- Hold cultures for 3 weeks and await final report
- Request tissue culture medium be changed to chocolate agar
- Immediate conversion to open with washout of right shoulder and explanation of components
Discussion
The correct answer is (B). Figure shows contrast under the glenoid component. Given the patient’s normal inflammatory markers and frozen sections combined with continued pain and loosening on CT, infection with P. acnes(an organism that is very difficult to isolate) should be investigated by holding any cultures for at least 2 weeks to see if it will eventually grow. Chocolate agar (Choice C) is mainly used for growing species such as H. influenzae and Neisseria meningitidis not P. acnes. A is incorrect since the patient’s cell count and frozen sections are clearly abnormal, therefore referral to pain clinic would not be appropriate. However, Choice D would be too aggressive an approach given that no organisms have been isolated, frozen sections show <5 PMNs per hpf, and the patient has relatively normal inflammatory markers.
After 17 days, P. acnes is isolated from the culture medium.
What is the most appropriate treatment for P. acnes infection in a patient with a total shoulder arthroplasty?
- Resection arthroplasty with implantation of antibiotic cement spacer
- Resection arthroplasty with component exchange
- Chronic suppression with antibiotic therapy
- Resection arthroplasty with right shoulder arthrodesis
Discussion
The correct answer is (A). The patient should be treated for his infection by removing his current implants and placing an antibiotic spacer. He should also be referred to infectious diseases clinic for recommendations for antibiotic therapy. Choice B is incorrect since it would involve placement of hardware into an infected area. Choice C would be more appropriate if the patient had failed treatment with a spacer. Choice D would not be indicated at this time, and would be reserved for cases of infection that were unresponsive to long-term antibiotic treatment and caused severe pain and limited functionality in the patient.
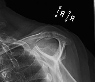
The patient undergoes resection arthroplasty with antibiotic cement spacer and a 6-week course of IV antibiotics. He returns to clinic 4 months later with improved pain, CRP <3, however, on examination he has a positive belly press sign and increased external rotation compared with the contralateral shoulder. Imaging is shown in Figure 2–57.

Figure 2–57
What will likely be the definitive management of his infection?
- Maintenance of antibiotic cement spacer
- Explanation of antibiotic cement spacer with total shoulder arthroplasty
- Additional 6 weeks of antibiotic therapy followed by rechecking CRP
- Explanation of antibiotic cement spacer with reverse total shoulder arthroplasty
Discussion
The correct answer is (D). The patient has completed his course of antibiotics and his spacer and is now an appropriate candidate for explanation of the cement spacer with revision shoulder arthroplasty, therefore Choices A and C are incorrect. The patient’s clinical examination findings point to rotator cuff tear (specifically subscapularis) which has occurred in the interval between his obtaining his initial total shoulder arthroplasty and his current examination. Therefore, total shoulder arthroplasty (Choice B) is contraindicated, and the patient should have a reverse total shoulder arthroplasty. Objectives: Did you learn...? Recognize the clinical presentation of a patient with infection after total shoulder arthroplasty?
Initiate appropriate work-up of a patient with a suspected infected total shoulder arthroplasty?
Treat a patient with infected total shoulder arthroplasty? CASE 21 A 70-year-old, right-hand-dominant female presents to clinic complaining of 4 years of gradually worsening chronic right shoulder pain and stiffness. She says the pain is worse at night and with any range of motion, denies a history of trauma, pain in other extremities, or numbness or tingling of the right upper extremity. She notes that her mother suffered from rheumatoid arthritis that affected her shoulder. Physical examination reveals decreased muscle bulk over the right supra- and infraspinatus fossae compared to the contralateral side, limited active and passive ROM, marked weakness with external rotation, and 4+/5 strength with shoulder abduction. X-rays of the right shoulder are shown in Figures 2–58 and 2–59.

Figure 2–58


Figure 2–59
What is the most likely diagnosis?
- Rheumatoid arthritis involving the right glenohumeral joint.
- Frozen shoulder (adhesive capsulitis)
- Rotator cuff tear arthropathy
- Osteoarthritis involving the left glenohumeral joint
Discussion
The correct answer is (C). Rotator cuff tear arthropathy consists of a combination of rotator cuff insufficiency, glenohumeral joint degenerative changes, and superior humeral head migration. It is more common in women and also more often found on the dominant side. The patient’s clinical examination with weakened external
rotation and muscle atrophy signaling incompetent supra- and infraspinatus muscles point to rotator cuff insufficiency, and her plain films reveal narrowed glenohumeral joint space as well as superior migration of the humeral head. Choice D is incorrect because, while radiographs would show narrowing of the glenohumeral joint space, they would also likely show numerous osteophytes and posterior wear of the glenoid. Choice B is incorrect because, while adhesive capsulitis does present as decreased active and passive range of motion, the patient’s constellation of symptoms pointing towards rotator cuff insufficiency along with the radiographs make cuff tear arthropathy the more likely choice. Finally, Choice A is incorrect because even though she has a positive family history of rheumatoid arthritis, it is less likely to present only in a single joint. Also, rheumatoid arthritis on radiography appears more as an erosive process without the characteristic superior migration of the humeral head.
Which of the patient’s radiographic findings is most indicative of chronic rotator cuff insufficiency?
- Superior migration of the humeral head
- Narrowed glenohumeral joint space
- Subchondral sclerosis
- Osteopenia of the proximal humerus
Discussion
The correct answer is (A). Superior migration of the humeral head would be most indicative of chronic rotator cuff insufficiency associated with cuff tear arthropathy, as it is a direct result of the inability of the rotator cuff tendons to help maintain the humerus in its normal position. Acetabularization of the undersurface of the acromion is commonly associated with superior migration of the humeral head found in rotator cuff tear arthropathy, and can be assessed using the Hamada classification, which is based on measurements of the acromiohumeral interval on radiography (Table 2–8). Choices B and C are incorrect because, while narrowed glenohumeral joint space and subchondral sclerosis are associated with rotator cuff arthropathy on radiographs, they indicate degenerative joint changes rather than chronic rotator cuff insufficiency. Choice D is incorrect because it is not a specific sign of rotator cuff arthropathy.
Table 2–8 HAMADA CLASSIFICATION
Grade 1 Acromiohumeral interval >6 mm
Grade 2
Grade 3
Grade 4
Grade 5
Acromiohumeral interval ≤5 mm
Grade 2 plus acromial acetabularization
Grade 3 plus glenohumeral joint space narrowing Humeral head collapse
Kappe T, Cakir B, Reichel H, Elsharkawi M. Reliability of radiologic classification for cuff tear arthropathy. J Shoulder Elbow Surg. 2011;20:543–547.
What is the most appropriate treatment for the patient at this time?
- Serial corticosteroid injections into the glenohumeral joint
- Arthroscopic lavage of the glenohumeral joint
- Arthroplasty of the glenohumeral joint
- Physical therapy and PO nonsteroidal anti-inflammatories
Discussion
The correct answer is (D). First-line treatment for rotator cuff tear arthropathy is conservative management with physical therapy and NSAIDs. Glenohumeral steroid injections (Choice A) may partially relieve pain, but serial injections alone are not the most appropriate, initial course. Arthroscopic joint lavage (Choice B) has been tried in the past as treatment for rotator cuff tear arthropathy but it is not currently very common to perform and would definitely not be a first-line treatment. Choice C is incorrect because arthroplasty of the glenohumeral joint is a common treatment for rotator cuff tear arthropathy, it would only be indicated if the patient failed conservative management.
You send the patient to physical therapy and advise her to take ibuprofen as needed for pain. She returns to clinic in 3 months saying her pain and range of motion have not improved, and she would like to pursue operative treatment.
What is the preferred treatment for this patient?
- Arthroscopic rotator cuff repair
- Total shoulder arthroplasty with pectoralis tendon transfer
- Reverse total shoulder arthroplasty with latissimus dorsi tendon transfer
- Hemiarthroplasty of the glenohumeral joint
Discussion
The correct answer is (C). This patient has failed conservative management and continues to have pain and loss of function; therefore arthroplasty of the
glenohumeral joint is now indicated. Reverse total shoulder in particular (as opposed to total shoulder arthroplasty) is indicated for this patient because of her rotator cuff insufficiency. The reverse construct will help increase the efficiency of her deltoid muscle at glenohumeral abduction, since her supraspinatus and infraspinatus are clearly atrophied and nonfunctional. Latissimus transfer is also indicated due to the patient’s weakness with external rotation. Choice B is incorrect since total shoulder arthroplasty does not account for rotator cuff insufficiency and would likely lead to superior migration of the humeral prosthesis. Choice A is incorrect as the patient’s rotator cuff is likely irreparable by this time, and it would not address the degenerative changes of her glenohumeral joint. Hemiarthroplasty (Choice D) is incorrect because it is not as successful as a reverse total shoulder in improving range of motion and carries the risk of humeral head subluxation. Objectives: Did you learn...? Recognize the clinical presentation of a patient with rotator cuff arthropathy? Identify signs of rotator cuff arthropathy on imaging?
Treat a patient with rotator cuff arthropathy? CASE 22 A 28-year-old, male, left hand-dominant, factory worker, and avid weight lifter presents to clinic complaining of 1 month history of right shoulder pain that is worse when lifting weights. He also notices the pain occasionally while driving to and from work. He does not have any other medical issues and denies any history of trauma to the right upper extremity. Physical examination reveals medial rotation of the inferior border of the right scapula when the patient raises his left arm in forward flexion (Fig. 2–60). He has 5/5 strength in forward flexion, external rotation, and shoulder abduction and no asymmetry in shoulder shrug. Radiography reveals no abnormalities.

Figure 2–60
The patient’s abnormal physical examination finding is most likely due to an abnormality involving which nerve and the muscle it innervates?
- Spinal accessory nerve/trapezius
- Long thoracic nerve/serratus anterior
- Dorsal scapular nerve/rhomboid major
- Thoracodorsal nerve/latissimus dorsi
Discussion
The correct answer is (B). The patient has evidence of medial scapular winging on physical examination, which is caused by injury to the long thoracic nerve and dysfunction of the serratus anterior muscle. This is the most common cause of scapular winging. Lateral scapular winging, which is most commonly due to injury to the spinal accessory nerve and dysfunction of the trapezius muscle (Choice A), would present as lateral rotation of the inferior border of the scapula and may combine with difficulty to shrug (Fig. 2–61). Rhomboid palsy due to dorsal scapular nerve injury (Choice C) is a less common cause of lateral winging. Latissimus dorsi palsy (Choice D) is not involved in either medial or lateral scapular winging. Table 2–9 outlines the most common causes of scapular winging.

Figure 2–61
Table 2–9 ETIOLOGY OF SCAPULAR WINGING
Medial winging
| Lateral winging | Trauma: injury to long thoracic nerve (serratus anterior palsy) from MVA, collision sports, upper extremity overuse Compression of LTN by middle scalene muscle, between clavicle and second rib, at inferior angle of scapula Iatrogenic: intraoperative positioning, injury during ACDF, mastectomy, thoracostomy tube, etc. Transient brachial neuritis, Guillain–Barré , SLE, Arnold–Chiari malformation Trauma: injury to spinal accessory nerve (trapezius palsy) or to dorsoscapular nerve (rhomboid palsy) from falls, MVA, blunt trauma in football/hockey, penetrating trauma Compression of DSN by middle scalene muscle, C5 radiculopathy Iatrogenic: cervical lymph node biopsy |
| --- | --- |
From Meininger A, Figurerres B, Goldberg B. Scapular winging: an update. JAAOS. 2011;19(8):453–462.
What is the most likely etiology of this patient’s pain and deformity?
- Blunt trauma
- Penetrating trauma
- Repetitive motion
- Guillain–Barré syndrome
Discussion
The correct answer is (C). with a hobby of weight lifting and working at a factory, repetitive motion is the most likely cause of a stretch injury to the long thoracic nerve resulting in serratus anterior palsy. The long thoracic nerve may also be damaged due to positioning during various procedures involving the chest wall. Guillain–Barré syndrome (Choice D) is another possible cause of serratus anterior
palsy, but is much less common and therefore less likely to be the cause of this particular patient’s nerve injury. Choices A and B are more likely to be the cause of spinal accessory nerve injury and resultant lateral winging.
What is the most appropriate next step for this patient with medial scapular winging?
- Electromyography of the bilateral upper extremities
- MRI of the right shoulder without contrast
- Arthroscopic decompression of the suprascapular nerve
- Scapular bracing to stabilize the scapula against the thorax
Discussion
The correct answer is (A). The patient’s long thoracic nerve should be evaluated using electromyography (EMG) to obtain a baseline assessment of any extant nerve injury. Other initial interventions may include NSAIDs, activity modification avoiding elevation of the arm above shoulder level, and physical therapy to strengthen the rotator cuff muscles and scapular stabilizers. Scapular bracing (Choice D) is another option for conservative management of scapular winging but is often uncomfortable and difficult to enforce in terms of patient compliance. MRI (Choice B) is not indicated at this time as it would not contribute to any clinical decision-making. Entrapment of the suprascapular nerve (Choice C) would lead to atrophy of the infraspinatus and/or supraspinatus muscles, not scapular winging.
The patient undergoes an EMG showing conduction abnormalities of the long thoracic nerve. Physical therapy, stopping weight lifting, and scapular bracing do not relieve his pain. It is now approximately 1 year since his initial diagnosis.
What is the most appropriate intervention at this time?
- Scapulothoracic fusion
- Eden–Lange dynamic muscle transfer
- Latissimus dorsi tendon transfer
- Pectoralis major tendon transfer
Discussion
The correct answer is (D). Medial scapular winging and pain that does not respond to conservative management is an indication for operative intervention with transfer of the sternal head of the pectoralis major muscle to the inferior border of the scapula to replace the function of the serratus anterior. Eden–Lange dynamic muscle
transfer (Choice B) involves lateralization of the rhomboid muscles as well as the levator scapulae at their insertions on the scapula to act in place of the trapezius and would be indicated for lateral scapular winging caused by injury to the spinal accessory nerve. Scapulothoracic fusion (Choice A) would only be indicated if the patient continued to have pain and deformity following dynamic muscle transfer. Latissimus dorsi transfer (Choice C), while a type of dynamic muscle transfer, is not indicated for scapular winging but would be more appropriate for cases of massive rotator cuff tear. Objectives: Did you learn...? Recognize the clinical presentation of a patient with scapular winging? Distinguish between medial and lateral scapular winging?
Treat a patient with scapular winging? CASE 23 A 47-year-old, right-hand-dominant male presents to your clinic complaining of right shoulder weakness for the past 2 months. He denies any history of trauma but notes sudden onset of pain 2 months ago that lasted approximately 2 weeks and then subsided without any intervention and was followed by shoulder weakness. He works as a lawyer and has been going through a divorce for the past year. Physical examination reveals no tenderness to palpation about the shoulder. He has decreased sensation over the lateral aspect of the shoulder, decreased muscle bulk over the left shoulder compared with the contralateral side, and weakness with left shoulder abduction. He is distally neurovascularly intact. The patient had already been referred for an x-ray and MRI by his primary care doctor that are shown in Figures 2–62 and 2–63.

Figure 2–62

Figure 2–63
Injury to what structure is most likely responsible for his symptoms?
- Suprascapular nerve
- Dorsal scapular nerve
- Axillary nerve
- Posterior cord of the brachial plexus
Discussion
The correct answer is (C). The patient’s decreased sensation over the deltoid, deltoid muscle atrophy on examination, and MRI with atrophy of the teres minor points to axillary nerve dysfunction. Suprascapular nerve injury (Choice A) would result in atrophy of the infraspinatus and or infraspinatus muscles, leading to weakness with external rotation and/or forward flexion. Dorsal scapular nerve injury (Choice B) would result in weakness of the rhomboid muscles and levator scapulae. While injury to the posterior cord of the brachial plexus (Choice D) would result in symptoms of axillary nerve palsy, they would also involve dysfunction of the radial nerve, which also comes off the posterior cord.
What is the most likely etiology of this patient’s nerve dysfunction?
- Quadrilateral space syndrome
- Parsonage Turner syndrome
- Mass effect
- Blunt trauma
Discussion
The correct answer is (B). Parsonage Turner syndrome (brachial neuritis) is characterized by acute brachial neuropathy which can affect different nerves of the brachial plexus. In this patient, it is the most likely explanation for his atraumatic deltoid paralysis with axillary nerve palsy in a time of severe stress. The cause of Parsonage Turner Syndrome is unknown, but it has been associated with severe stress and viral infection. Quadrilateral space syndrome (Choice A) involves entrapment of the axillary nerve as it passes through the quadrilateral space, would present as chronic dull pain, and is usually not associated with decreased sensation. While Choices C and D can both be a cause of axillary nerve injury, the patient has no history of trauma and there are no masses on his MRI.
You send the patient for an EMG which shows decreased conduction through the axillary nerve and denervation of the deltoid and teres minor muscles.
What is the most appropriate management for the patient at this time?
- Physical therapy
- Corticosteroid injection into the subacromial space
- Operative exploration of the axillary nerve
- Referral to neurology for further workup
Discussion
The correct answer is (A). Physical therapy focusing on passive- and active-assisted range of motion is the cornerstone of management of Parsonage Turner syndrome. Corticosteroid injection into the subacromial space (Choice B) will not help with his decreased range of motion and weakness. Choice C would be appropriate if the patient’s axillary nerve injury was traumatic, with operative nerve exploration occurring approximately 3 weeks after injury with EMG findings demonstrating loss of conduction/denervation. Operative exploration could also be considered in cases of atraumatic axillary nerve dysfunction with no evidence of clinical or EMG improvement after 6 months of conservative treatment. Referral to neurology (Choice D) is not necessary for management of Parsonage Turner syndrome, which is a type of peripheral neuropathy.
What is the most likely outcome of this patient’s condition at 1 year after the onset of symptoms if treated conservatively?
- Complete recovery
- Progressively improving symptoms
- Progressively worsening symptoms
- Loss of function of the left upper extremity
Discussion
The correct answer is (B). At 1 year after onset of symptoms, the patient is most likely to be in the recovery process but with ongoing weakness and/or pain. However, by 3 years most patients have fully recovered with conservative management alone. Should symptoms be progressively worsening at 1 year (Choice C), alternate explanations must be considered. Objectives: Did you learn...? Recognize the clinical presentation of a patient with axillary neuropathy? Understand the etiology of axillary neuropathy?
Treat a patient with axillary neuropathy? CASE 24 A 21-year-old, right-hand-dominant, male, college swimmer presents to clinic complaining of gradually worsening right shoulder pain for the past 6 months. He notes that his times at swim meets have been slowing with the onset of the pain but that he is still able to swim through the pain. Physical examination reveals: decreased muscle bulk over the infraspinatus fossa of the right shoulder compared with the contralateral side (shown in Fig. 2–64), full active range of motion, strength 4/5 for external rotation but otherwise normal strength, mild pain with cross-body adduction of the right shoulder, and mild tenderness to palpation over the AC joint. Imaging is shown in Figure 2–65.

Figure 2–64

Figure 2–65
Based on the information obtained thus far, what is the patient’s most likely diagnosis?
- Rotator cuff tendinitis
- Adhesive capsulitis
- Acromioclavicular joint arthritis
- Suprascapular neuropathy
Discussion
The correct answer is (D). This patient’s atrophy of the infraspinatus muscle leading to weakness with external rotation and with preserved strength in the other rotator cuff muscles is likely due to neuropathic process of the suprascapular nerve at a
point along its course off the upper trunk of the brachial plexus on its way to innervate the supraspinatus and infraspinatus muscles. Choice A is incorrect as rotator cuff tendinitis would not present with muscle atrophy. AC joint arthritis (Choice C), while often presenting with tenderness to palpation over the AC joint and pain with cross body adduction, is also not usually associated with infraspinatus atrophy and would likely present with narrowed joint space or AC joint osteophytes on plain films, unlike this patient. Choice B is incorrect as the patient has full active range of motion, while adhesive capsulitis would more likely present as decreased active and passive range of motion.
You send the patient for an MRI, which is shown in Figure 2–66.

Figure 2–66
Based on the clinical examination and imaging, what is the most likely etiology of the patient’s symptoms?
- Suprascapular nerve entrapment at the spinoglenoid notch by the spinoglenoid ligament
- Suprascapular nerve entrapment at the suprascapular notch due to scapular body fracture
- Suprascapular nerve entrapment at the spinoglenoid notch by a paralabral cyst
- Suprascapular nerve entrapment at the suprascapular notch by the transverse scapular ligament
Discussion
The correct answer is (C). The patient’s clinical examination findings of isolated
weakness in external rotation and atrophy of the infraspinatus muscle point to suprascapular nerve entrapment at a location past the exit point for the branch to the supraspinatus muscle. Also, MRI reveals a posterior labral tear with a paralabral cyst that is compressing the suprascapular nerve at the spinoglenoid notch. Choice A, while fitting with the patient’s clinical examination, does not fit with the MRI showing paralabral cyst. Choices B and D are incorrect because entrapment of the suprascapular nerve at the suprascapular notch by scapular body fracture or by the transverse scapular ligament (more common) would lead to weakness/atrophy in both supraspinatus and infraspinatus muscles as the suprascapular notch is proximal to the nerve branch point to the supraspinatus muscle.
What nerve is innervated by the same spinal nerves as the suprascapular nerve?
- Axillary nerve
- Musculocutaneous nerve
- Dorsal scapular nerve
- Radial nerve
Discussion
The correct answer is (A). The suprascapular nerve branches off the upper trunk of the brachial plexus and consists of fibers from C5 to C6 spinal nerves. The axillary nerve is a terminal branch from the posterior cord of the brachial plexus and also consists of fibers from C5 to C6. The musculocutaneous nerve (Choice B) is a terminal branch from the lateral cord and consists of fibers from C5 to C7. The dorsal scapular nerve (Choice C) branches off the C5 nerve root and consists of fibers from C5. The radial nerve (Choice D) is a terminal branch from the posterior cord and consists of fibers from C5 to T1. See Figure 2–67 for a diagram of the brachial plexus.

Figure 2–67_Reproduced with permission from Moran S, Steinmann S, and Shin A. Brachial plexus injuries: Mechanism, patterns of injury, and physical diagnosis. _Hand Clin 2005;21:13–24 (Fig 2A).
What is the most appropriate treatment at this time?
- Physical therapy and NSAIDs
- Arthroscopic decompression of the paralabral cyst and labral repair
- EMG of bilateral upper extremities
- Open decompression of the spinoglenoid and suprascapular notches
Discussion
The correct answer is (B). The patient has a clear etiology for his suprascapular nerve decompression in the paralabral cyst with symptoms that have lasted for 6 months resulting in atrophy of the infraspinatus muscle. Given that he is a college-level athlete and likely wants to improve his athletic performance, surgical decompression of the suprascapular nerve at the spinoglenoid notch is indicated at this time, which can best be accomplished arthroscopically along with labral repair. Choice D is incorrect as the patient does not require decompression of the nerve at the suprascapular notch, since he shows no sign of weakness/atrophy of the supraspinatus muscle. Choice A would be appropriate for a patient with symptoms of suprascapular nerve compression for less than 6 months of duration, without atrophy, and without any compressive mass on MRI. Choice C could aid in establishing a baseline for treatment and could localize nerve entrapment sites in a patient whom the location of suprascapular nerve entrapment was unclear but is not the most appropriate treatment for this particular patient. Objectives: Did you learn...? Recognize the clinical presentation of suprascapular neuropathy?
Distinguish between suprascapular neuropathy at the suprascapular and spinoglenoid notch?
Treat a patient with suprascapular neuropathy? CASE 25 Dr. Robert J. Stewart A 29-year-old, right-hand-dominant male presented to the Emergency Department with right shoulder pain after falling while riding his mountain bike. He reports that he “flew over his handle bars.” The patient was wearing a helmet and denies loss of consciousness. He denies numbness or tingling in the left, upper extremity. He notes increased swelling and pain over the clavicle. On examination, the patient’s skin is tenting over the distal end of the clavicle, and he has tenderness to palpation over the coracoclavicular interspace. He is diagnosed with an acromioclavicular (AC) joint separation and is unable to reduce the injury in the ED.
What is the mechanism of this injury?
- Hyperabduction and external rotation of the arm combined with retraction of the scapula
- Anterior and inferior displacement of the scapula
- Inferior displacement of the scapula in relation to the clavicle
- Lateral translation of the acromion in relation to the clavicle
- Medial displacement of the clavicle in relation to the acromion
Discussion
The correct answer is (C). The mechanism of an AC joint separation is inferior displacement of the scapula in relation to the clavicle. AC joint separation can occur from direct or indirect mechanisms. Direct injuries result from a direct force to the acromion with the shoulder adducted. The acromion moves inferiorly and medially and the clavicle remains stabilized by the sternoclavicular ligaments. This is the mechanism of most AC joint separations and is usually caused by a fall onto the superolateral portion of the shoulder. The force applied during this type of injury results in a systematic failure of the stabilizing ligaments. The failure of the acromioclavicular (AC) ligaments and capsule is followed by failure of the
coracoclavicular (CC) ligaments and deltotrapezial fascia. The indirect mechanism results in the same injury, but due to a fall on an outstretched arm or elbow with a superiorly direct force. Hyperabduction and external rotation of the arm combined with retraction of the scapula is thought to be the mechanism for the exceedingly rare Type VI AC joint dislocation. Anterior and inferior displacement of the scapula from a force applied to the acromion is thought to be the mechanism of the relatively rare Type IV AC joint dislocation. Lateral translation of the acromion in relation to the clavicle and medial displacement of the clavicle are not described as mechanisms of AC joint separations.
What structure provides the most resistance to AC joint compression?
- Conoid ligament
- Trapezoid ligament
- AC ligaments
- Coracoacromial (CA) ligament
- Deltotrapezial fascia
Discussion
The correct answer is (B). The AC joint is a diarthrodial joint that has both static and dynamic stabilizers. The trapezoid and conoid ligaments comprise the CC ligaments. The trapezoid ligament is a static stabilizer, which attaches more lateral than the conoid ligament on the undersurface of the clavicle and provides resistance to AC joint compression. The conoid ligament inserts more medially on the undersurface of the clavicle providing approximately 60% of the restraint to anterior and superior displacement and rotation of the clavicle. The AC ligaments (Answer C) are static stabilizers that reinforce the joint capsule and predominately control horizontal motion (anterior and posterior) of the clavicle. The coracoacromial (CA) ligament is used in CC ligament reconstruction and does not play a significant role in AC joint stability. The deltotrapezial fascia is a dynamic stabilizer of the AC joint and must be considered when AC joint reconstruction is performed.
A radiograph of the patient is shown in Figure 2–68. Based on the information obtained thus far, what is the most likely classification of this injury?
- Type II
- Type III
- Type IV
- Type V
- Type VI
🔍 Click to enlargeClinical Radiograph / Orthopedic Image
Figure 2–68
Discussion
The correct answer is (D). Based on the amount of distance between the coracoid process and the clavicle (CC interspace); the fact that the distal clavicle is tenting the skin and that the joint is irreducible, this AC joint separation can best be classified as a type V. The remaining answer choices are incorrect based on the information provided in Table 2–10 describes the Rockwood classification of AC joint injuries.
Table 2–10 CHARACTERIZATION OF ACROMIOCLAVICULAR JOINT INJURIES BY THE ROCKWOOD CLASSIFICATION a


What is the most appropriate way to manage this patient’s injury?
- Sling immobilization and early range of motion
- Sling immobilization for 7 to 10 days until pain resolves
- Figure-of-eight sling for immobilization for 7 to 10 days until pain resolves
- Open reduction, ligamentous repair, coracoclavicular ligament repair supplementation, and repair of the deltoid and trapezial fascia
- Open Mumford procedure
Discussion
The correct answer is (D). Type IV, V, and VI injuries all require surgical intervention. Answer E is a distal clavicle resection. Because this injury is unstable, this procedure would likely accentuate the instability.
Type I injuries can usually be treated with a simple sling for 7 to 10 days or until pain has subsided. Type II injuries can require as long as 2 weeks of immobilization to achieve resolution of symptoms. When pain has subsided, passive- and active-assisted range of motion and strengthening exercises are instituted. Contact sports and heavy lifting should be avoided for 2 to 3 months. There is controversy regarding treatment of Type III injuries. Most studies support nonsurgical management. However, discrepancies exist when managing young patients who frequently engage in activities that place high demands on the shoulder. A rigorous rehabilitation program should be undertaken when nonsurgically managing type III injuries because this may have an impact on the outcome.
There are several different ways to surgically manage AC joint separations. All have the same goal of obtaining and retaining anatomic reduction. There are three main groups of surgical techniques: primary fixation, fixation between the coracoid process and the clavicle, and ligament reconstruction. Some of these techniques can be combined, such as hook plate fixation with ligament reconstruction. Primary fixation with Kirschner wires has been abandoned due to risk of pin migration. Fixation with hook-plates, which is more commonly performed in Europe, can be performed. The plate must be removed at 8 weeks. Fixation between the coracoid process and the clavicle can be performed using a screw, synthetic loops (i.e., 6-mm PTFE surgical tape). Ligament reconstruction can be performed with the Weaver and Dunn procedure or some of its modifications in which the CA ligament is detached from the acromion and is then transferred to the clavicle. Alternative techniques for ligament reconstruction use semitendinosus tendon autograft or anterior tibialis tendon allograft with different fixation methods to the coracoid process and clavicle. Objectives: Did you learn...? Recognize the mechanism of AC joint separations? Recognize different types of AC joint separations?
Appropriately treat a patient with AC joint separation based on the type of injury while considering the individual? CASE 26 Dr. Robert J. Stewart A patient is brought to the emergency room trauma bay after a motor vehicle collision. During the initial trauma evaluation, a deformity and swelling is noted over the medial aspect of the right clavicle. She has noticeable venous congestion over her right neck and is complaining of numbness and tingling in the right, upper extremity. She is unable to move her right arm because of severe pain and is supporting it across her trunk with her left arm.
Based on the information provided, what is the most likely diagnosis?
- Bilateral sternoclavicular dislocation
- Right posterior sternoclavicular joint dislocation
- Right anterior sternoclavicular dislocation
- Right acromioclavicular dislocation
- Right pneumothorax
Discussion
The correct answer is (B). Sternoclavicular (SC) joint dislocations are rare and posterior dislocations are much less common than anterior. The patient will be in severe pain that is increased with any movement, particularly when the shoulders are pressed together by a lateral force or placed in a supine position. The injured arm will usually be supported by the uninjured arm. The head may be tilted toward the side of the dislocation. With an anterior dislocation of the SC joint, the medial end of the clavicle might be visibly prominent and palpable anteriorly to the sternum (Fig. 2–69).

Figure 2–69
The corner of the sternum might be easily palpated in a posterior dislocation. Swelling may obscure the ability to distinguish an anterior and posterior SC joint dislocation. Bilateral dislocations are extremely rare. Because of this patient’s symptoms of venous congestion with numbness and tingling, it is likely she suffered a posterior SC joint dislocation. A right acromioclavicular dislocation would present with pain and deformity over the lateral aspect of the clavicle. A pneumothorax is a complication of a posterior SC joint dislocation.
A PA view of the chest is the only radiograph available. What additional view would be most beneficial?
- Lateral view of the chest
- Swimmer’s view
- Stryker notch view
- Serendipity view
Discussion
The correct answer is (D). A serendipity view is a 40-degree cephalic-tilt view (Fig. 2–70). This provides a true caudocephalic view of both the SC joint and the medial clavicles. The serendipity view is usually the front line radiograph obtained, however, computed tomography (CT) is the best technique to study the SC joint. Other radiographic views of the SC joint include the Heinig view and the Hobbs view. The lateral view of the chest cannot be used to interpret SC joint dislocations because of the overlap of the medial clavicles with the first rib and the sternum. A swimmer’s view is used for increased visualization of the subaxial cervical spine. The stryker notch view is used for evaluating Hill-Sachs lesions of the humeral
head after glenohumeral dislocations.

Figure 2–70
What is the most common cause of a posterior sternoclavicular joint dislocation?
- Athletic injury
- Fall from excessive height onto outstretched arm
- Industrial accident
- Motor vehicle accident (MVA)
- Atraumatic instability
Discussion
The correct answer is (D). MVA accounts for 40% of SC joint dislocations. Athletic injuries account for 21%. The remaining 39% include falls and industrial accidents. Instability of the SC joint can be classified according to different factors. It can be traumatic or atraumatic; structural or nonstructural; acute, recurrent, or persistent. Causes of atraumatic, structural instability of the SC joint include: Ehlers Danlos syndrome, abnormal clavicular shape, degenerative osteoarthritis, inflammatory arthritis, infection, or sternoclavicular hyperostosis syndrome. Answer E is incorrect because atraumatic instability is not the most common cause of posterior dislocations. SC joint dislocations can occur from direct or indirect force. Direct force only results in posterior dislocation and is when a force is applied directly to the anteromedial aspect of the clavicle. Indirect is when a compressive force is applied to the anterolateral or posterolateral aspect of the shoulder, resulting in an anterior or posterior dislocation, respectively. Most SC joint dislocations are caused by indirect force.
A CT scan of the chest is obtained and shown in Figure 2–71. What is the next best step in managing this patient?
- Attempting a closed reduction after assuring that a thoracic or cardiothoracic surgeon is available if complications occur
- Open reduction with assistance from a thoracic surgeon
- MRI to assess for soft tissue and neurovascular injuries in the mediastinum
- Conservative management with a figure-of-eight sling
🔍 Click to enlargeClinical Radiograph / Orthopedic Image
Figure 2–71
Discussion
The correct answer is (A). Both anterior and posterior SC joint dislocations that are diagnosed within 7 to 10 days of injury should be initially treated with closed reduction. The caveat is that with posterior dislocations in which there is suspicion of mediastinal involvement, a surgeon with more mediastinal expertise should be consulted. Note that anterior SC joint dislocations are inherently more unstable after closed reduction than posterior dislocations. Open reduction should only be attempted after closed reduction attempts have failed. MRI is not necessary at this point in the case. A CT scan is the preferred imaging modality in the acute setting. A figure-of-eight sling can be used after reduction to promote healing.
Which of the following basic surgical techniques is the most commonly performed for an unreduced SC joint after closed reduction has been attempted?
- Plate and screw fixation
- Kirschner wires
- Steinmann pins
- Cannulated screw fixation
- Resecting the medial clavicle
Discussion
The correct answer is (E). Adults over the age of 23 should undergo open reduction if closed reduction has failed. If the costoclavicular ligament is intact after reduction, the clavicle medial to the ligaments should be excised. If the ligaments are disrupted, the clavicle must be stabilized to the first rib. Answers A and D are incorrect because these techniques have very limited reports of use and require hardware removal. Answers B and C are essentially contraindicated because of reported incidences of migration and serious complications, including death. If the patient is younger than 23 years old, they can likely be treated nonoperatively because the remodeling provided by the open physes will eliminate most of the bone deformity or displacement. The clavicle is the first bone to ossify (at 5 weeks of gestation), but the medial epiphysis is the last to fuse (at 23–25 years). Objectives: Did you learn...? Understand that SC joint injuries are rare?
Recognize the different mechanism of anterior and posterior SC joint dislocations?
Describe the most appropriate radiographic view for SC joint pathology?
Understand the different treatment options for anterior and posterior SC joint dislocations?
Understand the important complications that can be associated with posterior SC joint dislocations and the importance for a multi-disciplinary approach when indicated? CASE 27 Dr. Robert J. Stewart A 55-year-old, right-hand-dominant female presents with right shoulder pain for 6 months. She localizes the pain over the anterior and superior aspect of her shoulder. The pain is worsened when she is cleaning her contralateral axilla, while
showering, and fastening or unhooking her bra. The pain sometimes radiates down her arm. She has taken ibuprofen with some improvement, and she has undergone a course of physical therapy (PT) that did not relieve symptoms. She is continuing her home exercise program (HEP). On examination, the patient is tender over the acromioclavicular (AC) joint. Her range of motion (ROM) is normal, but with increased pain. She has a negative Sperling test and a positive cross-body adduction test. She has a negative Hawkins sign and Neer test. She also has a positive O’Brien’s test when in supination.
Based on the information given thus far, what is the most likely diagnosis?
- Cervical radiculopathy
- Glenohumeral arthritis
- SLAP tear
- Acromioclavicular joint arthritis
- Subacromial impingement
Discussion
The correct answer is (D). The acromioclavicular (AC) joint is a small, diarthrodial joint with a fibrocartilage disk separating the two articular surfaces. This disk is thought to begin degenerating in the second decade of life and undergoes rapid degeneration until it is no longer functional beyond the fourth decade. Because the AC joint has a small contact area experiencing large loads, it is a frequent source of clinical symptoms. Symptoms are most often due to primary osteoarthritis, posttraumatic arthritis, or distal clavicle osteolysis. The patient had a negative Sperling test and lack of neurological pain (Answer A). The patient has normal ROM, a negative O’Brien’s test in pronation, and a negative Neer and Hawkin’s test (Answers B, C, and E).
Which radiographic view is the most accurate view to evaluate suspected AC joint pathology?
- Anteroposterior view
- Stress view
- Axillary lateral view
- Zanca view
- Stryker notch view
Discussion
The correct answer is (D). The Zanca view is an AP radiograph obtained by angling the x-ray beam 10 to 15 degrees superiorly and decreasing the kilovoltage (Fig. 2–72A–C). The AP and axillary views should be routinely obtained for investigation of shoulder pathology, but are not the most accurate for AC joint pathology. Stress views have been used in the past to help differentiate type II from type III AC joint instability injuries but are not helpful or indicated in AC joint osteoarthritis. A stryker notch view is used for evaluation of Hill–Sachs lesions of the humeral head after a glenohumeral dislocation.

Figure 2–72A: Zanca view projection. B: AP view of the shoulder that overpenetrates and does not show AC joint well. C: Zanca view demonstrates better ACJ detail. (Reproduced with permission from Shaffer BS: Painful conditions of the acromioclavicular joint. J Am Acad Orthop Surg 1999;7:176–188.)
What AC joint structure(s) is predominantly responsible for maintaining anteroposterior (AP) stability?
- Coracoacromial ligament
- Acromioclavicular ligaments
- Conoid ligament
- Trapezoid ligament
- Coracohumeral ligament
Discussion
The correct answer is (B). The AC joint capsular ligaments (acromioclavicular ligaments) are predominantly responsible for maintaining stability in the AP plane. The coracoacromial ligament does not play a significant role in AC joint stability. The conoid and trapezoid ligaments primarily resist superior and axial translation. The coracohumeral ligament plays a role in glenohumeral stability, not AC joint stability.
What is the most appropriate next step in treating this patient with AC joint arthritis?
- Injection with local anesthetic and corticosteroid
- Order more PT focusing on strengthening and stretching of shoulder girdle
- Recommend activity modification, anti-inflammatory medications, and plan to follow-up with patient in 6 weeks
- Arthroscopic Mumford procedure
- Open distal clavicle resection
Discussion
The correct answer is (A). Based on the information provided, the patient has continued pain but does not have loss of function. This (and the fact that she has failed other nonoperative measures including anti-inflammatory medication and PT) would make an intra-articular injection the most appropriate next step. Injections can be used both diagnostically and therapeutically. Answers B and C are incorrect because the patient has already undergone these treatments and is currently undergoing a HEP with activity modification. Indications for operative management of AC joint osteoarthritis include continued pain and loss of function despite a full course of nonoperative treatment. This patient does not have loss of function.
All of the following are advantages of arthroscopy when compared to open distal clavicle resection, EXCEPT?
- Accelerated recovery
- Ability to preserve AC ligaments, joint capsule, and deltotrapezial fascia
- Ability to treat concomitant intra-articular glenohumeral lesions
- Ability to treat concomitant subacromial lesions
- Demonstrates significant improvement in VAS pain scores and SF-36 quality of life scores
Discussion
The correct answer is (E). Both open and arthroscopic techniques demonstrate improved VAS pain scores and SF-36 quality of life scores. Answers A, B, C, and D are all advantages of the arthroscopic technique for distal clavicle resection over the open technique. Objectives: Did you learn...? Recognize the clinical presentation of acromioclavicular arthritis?
Differentiate between primary osteoarthritis, posttraumatic arthritis, and distal clavicle osteolysis?
Treat a patient with AC joint arthritis?
Recognize the advantages of arthroscopic versus open distal clavicle resection? CASE 28 Dr. Robert J. Stewart A 65-year-old, right-hand-dominant female presents to clinic for evaluation of her right chest. She used to work as a manual laborer in the scrap metal business. She is particularly concerned about the bulging, but the pain is also becoming severe. She has tried ibuprofen without relief. On physical examination, she is afebrile with tenderness and a palpable bony protuberance over the right sternoclavicular joint that is asymmetrical when compared with the contralateral side. She has increased pain with forward flexion and abduction of the right shoulder.
Based on the information provided, the most likely diagnosis for the condition described is:
- Condensing osteitis of the sternoclavicular joint
- Sternoclaivcular joint rheumatoid arthritis
- Pseudogout of the sternoclavicular joint
- Sternoclavicular joint osteoarthritis
- Sternoclavicular septic arthritis
Discussion
The correct answer is (D). Sternoclavicular (SC) joint osteoarthritis is the most common condition affecting this joint. Moderate to severe degenerative changes may be asymptomatic and present in over 50% of individuals over 60 years of age. Postmenopausal women, patients with chronic SC joint instability, and manual laborers are at higher risk of developing SC joint osteoarthritis. Condensing osteitis is rare and characterized by aseptic enlargement and sclerosis of the medial end of the clavicle with obliteration of the medullary cavity. Rheumatoid arthritis (RA) is incorrect because there is no mention of RA in her history. It has been reported that 30% of people with RA have SC joint involvement. Crystal-deposition arthropathy has been described in the SC joint, but is uncommon. Septic arthritis of the SC joint is uncommon and associated with underlying disease or risk factors including RA, sepsis, infected subclavian lines, alcoholism, HIV, renal dialysis, and intravenous drug use (IVDU). It is important to take a careful history when dealing with complaints of the SC joint because many conditions are systemic.
Plain radiographs and a computed tomography (CT) scan are obtained. Neither shows signs of neoplasm or metastatic disease. The CT is shown in Figure 2–73. Which of the following treatment options is most likely to result in symptom relief for this patient?
- Rest, anti-inflammatory medication, and moist heat
- Intra-articular corticosteroid injection under computed tomography (CT) guidance
- Rest, activity modification, anti-inflammatory medication, and intra-articular corticosteroid injection
- Medial clavicle resection
- PT alone
🔍 Click to enlargeClinical Radiograph / Orthopedic Image
Figure 2–73
Discussion
The correct answer is (C). Nonoperative treatment of SC joint osteoarthritis is the mainstay of initial treatment, and most symptomatic patients will respond to these nonsurgical treatments. The other conservative treatment options listed are incorrect in this case because they would be less likely to result in symptom relief. Answer D is incorrect because conservative measures should be attempted for at least 6 months before operative treatment is considered. When performing intra-articular injections under CT guidance, the clinician should have clear knowledge of the surrounding anatomy. Figure 2–74 demonstrates the relationships of the surrounding anatomy.

Figure 2–74_Reproduced with permission from Higginbotham TO, Kuhn JE. Atraumatic discorders of the sternoclavicular joint. _J Am Acad Orthop Surg 2005;13(2):138–145.
Upon further questioning, the patient admits to having a history of diabetes mellitus and IVDU. Lab results show the following: WBC = 7.1, CRP = <3, ESR = 11. On closer inspection, pitting on her fingernails is noted.
What additional laboratory or physical examination finding should be pursued to rule-out a potential condition affecting her SC joint?
- Positive rheumatoid factor (RF)
- Presence of antinuclear antibodies (ANA)
- Human leukocyte antigen B27 (HLA-B27)
- Palmoplantar pustulosis
- Positively birefringent crystals
Discussion
The correct answer is (C). Less common pathologic processes can cause SC joint symptoms similar to this case. The treatment will vary greatly depending on the underlying disease process. Because the patient is found to have pitting of the finger nails, psoriatic arthritis should be considered as an underlying disease. Seronegative spondyloarthropathies can involve the SC joint, especially psoriatic arthritis. The SC joint has been reported to be involved in 90% of patients with severe psoriatic arthropathy. Detection of HLA-B27 is usually diagnostic for seronegative spondyloarthropathies. RF and ANA are not likely to help in this case. Answer D is a physical examination finding that can be found in association SC joint osteoarthritis. Palmoplantar pustulosis with SC joint arthritis is a rare constellation of findings that
is known by different names including sternocostoclavicular hyperostosis, intersternocostoclavicular ossification, pustulotic arthroosteitis, and SAPHO syndrome. Answer E is diagnostic of pseudogout. Other rare conditions that can affect the SC joint are condensing osteitis and Friedrich’s disease (aseptic necrosis of the medial clavicle).
Nonoperative management is usually sufficient for most etiologies of SC joint pain, however, the medical management and associated conditions can vary significantly. For this case, important aspects of the history would be whether the patient had any previous blood work done, a family history of seronegative spondyloarthropathies, and does she have a history of other joint pain, fevers, chills, or dermatologic conditions.
The patient is diagnosed with primary osteoarthritis of the SC joint and failed to improve after 6 months of nonsurgical treatment. The pain is quite severe and debilitating. Resection of the medial clavicle is recommended for this patient.
What structure(s) is preserved to help prevent instability postoperatively?
- Intra-articular disk
- Intra-articular disk ligament
- Interclavicular ligament
- Costoclavicular ligament
Discussion
The correct answer is (D). It is imperative that the costoclavicular ligament be preserved to maintain postoperative stabilization. It has been reported that patients who undergo medial clavicle resection arthroplasty without an intact costoclavicular ligament do poorly. Answers A and B are incorrect because these terms are used interchangeably. The structure can be a source of persistent pain when left in the joint and is usually degenerative at the age of this patient. The interclavicular ligament is usually ligated during the procedure. Figure 2–75 depicts the ligamentous structures of the SC joint.

Figure 2–75_SC joint anatomy and ligaments with the intra-articular ligament circled in black. (From Martetschlager F, Warth RJ, Millett PJ. Instability and degenerative arthritis of the sternoclavicular joint: A current concepts review. _Am J Sports Med 2013;42(4):999–1007.) Objectives: Did you learn...? Identify SC joint osteoarthritis?
Understand the nonoperative management of SC joint osteoarthritis? Appreciate the danger of doing procedures involving the SC joint?
Consider and evaluate for other conditions associated with SC joint symptoms?
Understand the operative treatment of SC joint osteoarthritis and the important structures to preserve? CASE 29 Dr. Robert J. Stewart A 57-year-old, right-hand-dominant female presents with left shoulder pain and stiffness for the last 3 months. She has a history of diabetes, hypothyroidism, and breast cancer. She reports having difficulty sleeping on her left side. She localizes her pain over the deltoid insertion. The stiffness has become worse. The pain has been improving over the last 3 weeks but is exacerbated by extreme left shoulder motion. She is having difficulty dressing and combing her hair. She works as a statistical analyst and sits at a desk most of the day. On physical examination, she has normal strength with left shoulder abduction and external rotation, a negative cross-body adduction test, and no pain with a supinated O’Brien’s test. An x-ray is obtained and shown in Figure 2–76.

Figure 2–76
Of the following, what is the most likely diagnosis of this patient?
- Rotator cuff tear
- Calcific tendinitis
- Acromioclavicular joint arthritis
- Adhesive capsulitis
- Glenohumeral joint arthritis
Discussion
The correct answer is (D). Adhesive capsulitis (AC) is a specific pathologic entity that produces subsynovial chronic inflammation resulting in capsular thickening, fibrosis, and adherence of the capsule to itself and the anatomic neck of the humerus. The thickened and stiff capsule causes pain and a restraint to motion. This is called primary, or idiopathic, AC. The remaining answer choices are incorrect and can result in symptoms similar to those of AC (i.e., loss of shoulder motion and pain), but their underlying etiology is different. It is important to recognize that all these conditions can cause a stiff and painful shoulder (a “frozen shoulder”) but is not necessarily AC. AC occurs more frequently in sedentary females in the non-dominant hand, and has been associated with diabetes mellitus, thyroid dysfunction, breast cancer treatment, cardiovascular disease and cerebrovascular disease.
The patient is diagnosed with stage 3 adhesive capsulitis. On physical
examination, which of the following is the most likely to be found?
- Decreased passive and active range of motion of the shoulder in all planes
- Decreased passive and active range of motion of the shoulder in external rotation
- Pain with passive and active range of motion of the shoulder
- Pain with resisted forward flexion of the arm
- Pain with external rotation of the arm
Discussion
The correct answer is (A). A “frozen shoulder” results from a known intrinsic, extrinsic, or systemic cause that may result in a global or partial loss of shoulder motion. However, adhesive capsulitis (AC) is idiopathic and always results in a global loss of passive and active range of motion. Answer B would likely result from a known cause, such as an excessively tight anterior soft-tissue repair for instability. Answers C, D, and E are all associated with pain during motion. This would be expected in the early stages of AC, but due to patient’s reported decreasing pain, these answer choices can be eliminated. Table 2–11 lists the stages of AC. The diagnosis and staging is made clinically. The table provides a description of the arthroscopic and histopathologic appearances. An intra-articular anesthetic injection can be used to distinguish stages 1 and 2.
| ### Table 2–11 STAGES OF ADHESIVE CAPSULITIS | Symptoms | Signs | Arthroscopic Appearance | Biopsy Appearance |
| --- | --- | --- | --- | --- |
| Stage 1 | Pain referred to the deltoid insertion | Capsular pain on deep palpation | Fibrous synovial inflammatory reaction | Rare inflammatory cell infiltrate |
| Stage 2 | Pain at night |
Severe night pain
Stiffness
| Empty end feel at extremes of motion
Full motion under anesthesia
Motion restricted in forward flexion, abduction, internal and external rotation Some motion loss under anesthesia
| No adhesions or capsular contracture
Christmas tree synovitis
Some loss of axillary fold
| Hypervascular, hypertrophic synovitis Normal capsular tissue Hypertrophic, hypervascular synovitis
Perivascular, subsynovial capsular scar
Stage 3
| Profound stiffness
| Significant loss of motion
| Complete loss of axillary fold
| Hypercellular, collagenous tissue with a thin
Stage 4
| Pain only at the end of range of motion
Profound stiffness
| Tethering at ends of motion No improvement under anesthesia
Significant motion loss
| Minimal synovitis
Fully mature adhesions
| synovial layer Similar features to other fibrosing conditions
Not reported
| ---|---|---|---|---
| Pain minimal
| Gradual improvement in motion
| Identification of intra-articular structures difficult|
What is the most appropriate treatment for this patient’s shoulder problem?
- Arthroscopic capsular release
- Physical therapy (PT) with a home exercise program (HEP)
- Intra-articular corticosteroid injection
- Manipulation under anesthesia (MUA)
- Aggressive physical therapy working on strengthening and range of motion
Discussion
The correct answer is (B). Regardless of the stage, initial nonoperative treatment is appropriate for adhesive capsulitis. The natural course has been described as self-limited and improves over a 24-month period. However, there are no true natural history studies in the literature without intervention given. The reported outcomes of minimally treated patients vary considerably, therefore patients should be treated focusing on recovery of motion and decreasing pain. PT with HEP is the mainstay of treatment. PT does not need to be aggressive and strengthening exercises are not necessary. Nonsteroidal anti-inflammatory drugs in addition to oral and intra-articular steroid injections are often combined with PT. Intra-articular corticosteroid injections appear to provide early pain relief, but this has not been shown to change the long-term outcome.
More aggressive treatments include MUA and arthroscopic or open capsular release, however, no specific indication guidelines exist. MUA and surgical treatment should not be considered when the patient is experiencing severe pain in addition to loss of motion because this may represent the inflammatory stage of the disease and could exacerbate the motion loss by increasing capsular injury. Answer D is incorrect because MUA would be utilized only after PT has failed. Some recommend an MUA prior to or as an adjunct to capsular release. The technique of MUA is critical to ensure the inferior capsule is released from the humerus without the complications of humeral fracture or rupture of the subscapularis. Arthroscopic capsular release has supplanted MUA at many institutions. Open capsular release can
be considered if arthroscopic release is not successful or if aberrant anatomy prevents visualization of the appropriate structures arthroscopically. Other, less investigated forms of treatment include suprascapular nerve blocks, hydrodilation, and extracorporeal shockwave therapy.
After 12 months of being compliant with her home exercise program and undergoing multiple steroid injections, the patient continues to have difficulty with her range of motion and is not happy with her shoulder function. She is inquiring about other treatment options.
When taking into account surgical options for this patient, arthroscopic release of the anterosuperior capsular region and the rotator interval will most likely result in what improved motion?
- Abducted external rotation of the arm
- Adducted internal rotation
- Adducted external rotation
- Abduction in neutral rotation
- Forward flexion in the scapular plane
Discussion
The correct answer is (C). The limitation of external rotation of the adducted shoulder is associated with contracture of the anterosuperior capsular and rotator interval. Release of this area would increase adducted external rotation. Releasing the anteroinferior capsule would increase abducted external rotation. Adducted internal rotation range of motion would be increased with posterior capsule release. Abduction in neutral position and forward flexion can be increased with MUA. The outcomes are generally good with arthroscopic treatment of AC, but close followup is required. A long recovery and rehabilitation period can be expected. Objectives: Did you learn...? Recognize a patient with adhesive capsulitis based on history and physical examination findings?
Understand the basic pathogenesis of adhesive capsulitis?
Appropriately stage adhesive capsulitis based on history and physical examination findings?
Treat adhesive capsulitis appropriately with either conservative or operative approaches?
Understand the outcome and prognosis of adhesive capsulitis? CASE 30 Dr. Robert J. Stewart A 44-year-old, right-hand-dominant male with well-controlled diabetes and hypertension presents to clinic with left shoulder pain. The patient denies a history of trauma or injury. He localizes his pain over the superolateral aspect of the shoulder, and it radiates to the deltoid insertion. He has experienced pain over the past few months, but it has progressively become more severe over the past several days. He has difficulty sleeping and with range of motion because of severe pain. While examining the patient, he has a warm and tender left shoulder, and while performing a range of motion evaluation, the patient notes that he has a sensation of “catching.” He has a positive Hawkins sign, negative drop arm test, and pain with a cross body adduction test. A radiograph of the left shoulder is shown in Figure 2–77.

Figure 2–77
What is the most likely diagnosis?
- Rotator cuff arthropathy
- Septic arthritis
- Acromioclavicular (AC) joint osteoarthritis
- Calcifying tendinitis
- Glenohumeral (GH) joint osteoarthritis
Discussion
The correct answer is (D). Calcific tendonitis (CT) is a condition characterized by the buildup of calcium hydroxyapatite crystals within tendons. It typically occurs around synovial joints and has been reported in the hip, paraspinal muscles, hand, and foot. It most frequently occurs around the shoulder in patients who are 30 to 50 years old. No one over the age of 71 has been recorded having this condition. Degenerative calcification and reactive calcification have both been proposed as mechanisms for the deposition of calcium. Although the etiology is not understood, most believe that it is a reactive mechanism involving an active, cell-mediated process in a viable tendon. The cell-mediated process has been divided into three distinct phases: precalcific, calcific, and postcalcific. Depending on the stage, imaging, and physical examination characteristics can differ. The calcific stage can be further classified into three phases: formative, resting, and resorption. Rotator cuff arthropathy is seen in older patients with chronic, massive, rotator cuff tears and glenohumeral osteoarthritis. Septic arthritis can look similar to CT, but this patient has had a history of shoulder pain without fever or other risk factors for infection. Answers C and E are incorrect because there are no signs of osteoarthritis of the AC or GH joint on radiograph or physical examination.
What can be said about the phase of this patient’s shoulder pathology?
- The calcium is most likely being deposited
- The calcium deposit is mostly likely undergoing resorption
- The tenocytes are likely undergoing metaplasia
- The tenocytes are likely becoming ischemic and losing vascularity
- The musculotendinous junction is the area most likely causing the patient’s pain
Discussion
The correct answer is (B). In calcific tendonitis (CT), calcium must be deposited for it to be resorbed. Patients presenting during the resorptive phase of the calcific stage will have this type of acute, inflammatory shoulder syndrome that this patient most closely represents. This hyperalgic syndrome will typically last 2 weeks. This is
very different from the formative and resting phase, when calcium crystals are being deposited and isolated in the tendon. These phases can last for 2 to 3 years and may be associated with intermittent or constant symptoms. The resorptive and formative phases are important to distinguish for treatment purposes. It should be noted that whereas other musculoskeletal diseases progress from an acute to chronic phase, CT will progress from a chronic phase followed by an acute phase. Answer C is incorrect because this may be happening in the precalcific stage, which is not the patient’s current stage. Answer D is incorrect because this is one theory of how the calcific stage is prompted. Answer E is incorrect because calcification at the musculotendinous junction is considered degenerative or dystrophic calcification, which will typically occur in older patients.
Which structure is most likely to be affected on the basis of the information obtained thus far, including the radiograph Figure 2–77?
- Deltoid
- Infraspinatus
- Supraspinatus
- Teres minor
- Subscapularis
Discussion
The correct answer is (C). Calcific tendonitis (CT) is most often localized in the supraspinatus tendon. Radiographic views should include a true AP in internal and external rotation, axillary, and scapular-Y to evaluate for calcium deposits in the tendons of the rotator cuff. There are no reports of the deltoid muscle being involved in CT. Radiographs also help to distinguish resorptive and formative phases. Two radiographic types have been described: Type I (associated with the resorptive phase and acute pain) is a deposit that is fluffy or fleecy in appearance with a poorly defined periphery. Type II (associated with the formative phase and chronic pain) has discrete, homogeneous deposits that have a well-defined periphery.
How should this patient be initially managed?
- Therapeutic ultrasound
- Extracorporeal shock wave therapy (ESWT)
- Needle aspiration and lavage
- Arthroscopic calcium deposit decompression
- Combined needle aspiration followed by ESWT
Discussion
The correct answer is (C). When managing calcific tendonitis (CT), it is important to distinguish between the formative and resorptive phases for proper treatment. Conservative measures (i.e., physical therapy, moist heat, nonsteroidal anti-inflammatory drugs, sling) should be attempted in all cases if the symptoms are not severe. Needle aspiration with lavage is often successful during the acute, resorptive phase because the consistency of the calcification tends to be creamy or toothpastelike. Therapeutic ultrasound has been utilized by physical therapists, but no long-term benefit has been found. ESWT is being utilized with encouraging results, however, more investigation is needed to identify long-term outcomes and safety concerns. Arthroscopic or open surgical intervention is very rarely indicated in the resorptive phase. Surgery is typically only indicated after 6 to 12 months of failed conservative treatment, during the formative phase, and progressive symptoms that are negatively impacting daily activities.
What is the most likely outcome of this patient after being treated?
- Will require repeat needle aspiration and lavage
- Decreased pain and resolution of symptoms
- Will likely require arthroscopic surgery
- Decreased range of motion and increased pain
Discussion
The correct answer is (B). The most likely outcome for this patient is decreased pain and resolution of symptoms with supportive care provided. Most cases of calcific tendonitis (CT) are self-limiting, and the role of the clinician is to control pain and maintain function until recovery occurs. During the resorptive phase, natural mechanisms usually succeed in removing the deposit. Rarely will repeated needle aspiration be necessary. Surgery is very rarely indicated for the resorptive phase of CT, particularly after needle aspiration and lavage have been performed. The patient is likely to experience increased range of motion and less pain with continued supportive measures if necessary. Objectives: Did you learn …? Recognize and diagnose a patient with calcific tendonitis? Realize that the etiology of calcific tendonitis is not known?
Recognize that patients may present while in the resorptive phase or formative phase of calcific tendonitis and treatments will differ for each?
Recognize that the chronic phase of calcific tendonitis occurs prior to the acute phase?
Recognize the different conservative and operative treatment options available for calcific tendonitis and when to implement them?
Appreciate that the outcome of calcific tendonitis is typically favorable with conservative measures? CASE 31 Dr. Robert J. Stewart A 29-year-old, left-hand-dominant male presents to clinic complaining of left arm and shoulder pain for the last three days. The patient is an avid weight-lifter and was doing the bench press when his arm began to bother him. He has been using ice and resting with mild relief but has not been able to use his left arm for anything more than carrying light-weight objects. He is also having difficulty with simple activities such as putting on his shirt. On physical examination, the patient has ecchymosis and a prominent cord-like structure on the anterior left axilla. He has significant weakness with left shoulder adduction and internal rotation. He has a negative Hawkins sign and a negative Yergason sign.
Based on the information obtained thus far, which of the following is the most likely diagnosis?
- Rotator cuff tear
- Pectoralis major muscle rupture
- Ruptured biceps tendon
- Poland syndrome
- Pectoralis minor muscle rupture
Discussion
The correct answer is (B). A pectoralis major muscle (PMM) tear or rupture usually occurs in weight-lifters while performing the bench press, but it can occur during
any activity in which the arm is extended and externally rotated while under maximal contraction (eccentric loading force). Patients often present with pain, swelling, ecchymosis, weakness and loss of the axillary fold in the acute setting. In the chronic setting, the swelling and ecchymosis have typically subsided. They may report an audible pop or a tearing sensation. On examination, there can be an apparent continuous muscle or tendon that is mistaken for an intact PMM tendon, but this represents the fascia of the PMM that is continuous with the fascia of both the brachium and the medial antebrachial septum. This continuous fascia will examine as a cord-like structure as shown in Figure 2–78.

Figure 2–78
The sternocostal portion of the muscle is injured more often than the clavicular. A rotator cuff tear and biceps tendon injury are unlikely given the mechanism of injury and physical examination findings. In addition, this patient is young for a rotator cuff tear. Poland syndrome is the congenital absence of the PMM. Pectoralis minor muscle rupture is scarcely reported and would not have the same history and physical examination findings.
Radiographs were normal. What is the most appropriate next step in management?
- Ultrasound
- Computed tomography (CT)
- Magnetic resonance imaging (MRI)
- Radiographs of humerus
- Radiographs of the contralateral shoulder
Discussion
The correct answer is (C). Although pectoralis major muscle (PMM) injuries are
primarily diagnosed clinically, MRI is the imaging modality of choice to evaluate a PMM tendon injury. The extent and location of the injury can many times be assessed with MRI. The Tietjen’s classification system can be used for PMM injuries. Type I is a contusion or sprain. Type II is a partial tear. Type III injuries are complete tears and further classified by anatomic location: III-A (muscle origin), III-B (muscle belly), III-C (musculotendinous junction), III-D (tendinous insertion). Further subclassification were suggested including III-E (bony avulsion from the insertion) and II-F (muscle tendon substance rupture). Type II and Type III injuries have been reported at rates of 9% and 91%, respectively. Among complete tears, type III-D has been reported as the most common (65%). Ultrasound is a reasonable alternative to MRI, particularly if its use means avoiding delay of surgical repair. Ultrasound is much more user-dependent. CT will not allow adequate soft tissue evaluation. Further radiographic evaluation is incorrect because a radiograph of the injured shoulder has already been obtained. The radiographic findings are often normal, but the clinician should look for bony avulsions. The characteristic findings on radiographs are soft tissue swelling and absence of the PMM shadow.
After evaluating the MRI, the patient is diagnosed with a complete rupture of the pectoralis major tendon (Fig. 2–79). What is the recommended first step in management?

Figure 2–79
1. Sling immobilization in adducted and internally rotated position, cold compression, analgesics, and plan for surgical repair in 4 to 8 weeks
2. Cold compression, analgesics, and follow-up for surgical discussion
3. Shoulder immobilizer, cold compression, analgesics, follow-up as an outpatient in 1 to 2 weeks for transition to range of motion (ROM) exercises
4. Active ROM exercises until follow-up for outpatient surgery in 1 week to avoid loss of strength and range of motion postoperatively
5. Take immediately to the operating room for repair
Discussion
The correct answer is (A). Regardless of how the injury is definitively treated (nonoperative or operative), the first step should be rest, ice, compression, and pain control. Surgery is indicated for all young, active patients. If the patient was able to injure the pectoralis major muscle (PMM), then they likely utilize the muscle and should have it repaired. There is no consensus on the timing of when to repair PMM injuries; however, it would make sense to delay for ecchymosis and swelling to subside. Some believe the ideal timing for the surgery is between 4 and 8 weeks after injury. Others feel that chronicity does not affect outcome of repair even when performed 13 years after injury. Nonoperative treatment is reserved for elderly patients, suspected partial or muscle belly ruptures, and for low-demand patients. Answers B and D would risk further retraction of the tendon into the muscle belly. Answer C represents an initial nonoperative management protocol and is inappropriate for this patient.
All of the following are reported complications of operative management of a pectoralis major muscle injury, EXCEPT?
- Re-rupture of the pectoralis major tendon
- Numbness in the distribution of C6
- Postoperative infection
- Heterotopic ossification
- Hematoma
Discussion
The correct answer is (B). Numbness in the distribution of C6 has not been reported in pectoralis major muscle (PMM) injuries, and the more likely injury in the case of surgical treatment for a PMM rupture is disruption of lateral or medial pectoral nerves. The incidence of re-rupture of the tendon has been reported as high as 7.7%.
Answer C is incorrect because postoperative infection is considered one of the most concerning postoperative complications following PMM tendon repair because of the location. The axillary area lends itself to higher bacterial burden with an increased infectious risk. Heterotopic ossification and hematoma have both been reported as complications. Objectives: Did you learn …? Diagnose a pectoralis major muscle injury?
Understand which imaging modalities are available for the evaluation of a pectoralis major rupture?
Distinguish when to conservatively manage or surgically repair a pectoralis major injury?
Understand the initial management of a pectoralis major injury?
Understand some of the complications that may be associated with pectoralis major injuries? CASE 32 Dr. Robert J. Stewart A 50-year-old, right-hand-dominant female presents to clinic with posterior right shoulder pain and sometimes a loud noise while using her right upper extremity for overhead activities. Her pain is concentrated over the superomedial border of her scapula, but she also says her pain is underneath her shoulder blade. What is most bothersome is the fact that she is unable to brush her hair because of the discomfort she experiences. She reports that it started as only noise several years prior, but over the last several months she has developed debilitating pain with overhead activities. She works as a salon hair stylist and denies a history of trauma to her right upper extremity.
Which of the following is the most likely diagnosis?
- Impingement syndrome
- Rotator cuff tendinitis
- Suprascapular nerve entrapment
- Supraspinatus muscle tear
- Scapulothoracic bursitis
Discussion
The correct answer is (E). Scapulothoracic bursitis is commonly known as snapping scapula syndrome. This syndrome can be classified on the basis of the cause, which can result in either scapulothoracic crepitus or scapulothoracic bursitis. However, these can many times be indistinguishable in clinical practice because mechanical crepitus can lead to symptomatic bursitis, and conversely, symptomatic bursitis can lead to mechanical crepitus. The woman in this case likely developed bursitis from her mechanical crepitus because she was experiencing a noise without pain for several years. Scapulothoracic crepitus has been found in 31% of 100 normal asymptomatic people. Patients with scapulothoracic bursitis have often experienced symptoms for a long period of time, and these symptoms can range from mild, intermittent discomfort to notable functional disability. Common complaints are that symptoms are causing a decrease in athletic performance or pain with overhead activities. When obtaining the patient’s history, it is important to know their hand dominance, occupation, and activity level. Impingement syndrome, rotator cuff tendinitis, and a supraspinatus tear are less likely in this case given the history of a loud noise prior to the pain and the location of the pain. Answer C is incorrect because the patient is not complaining of weakness.
When examining a patient with suspected scapulothoracic bursitis it is not only important to evaluate bilateral scapula, but also crucial to closely examine which of the following?
- Cervical and thoracic spine
- Lumbar spine
- Ipsilateral sternoclavicular range of motion
- Biceps brachii motor strength
Discussion
The correct answer is (A). When examining patients with scapulothoracic bursitis, it is important to examine the cervical and thoracic spine for fixed or postural kyphosis that may contribute to scapulothoracic incongruity. Evaluation of the cervical spine should also be performed to rule out referred pain. Inspection of each scapula should include looking for asymmetry, winging, or audible snapping. It is important to specifically test muscle strength of the trapezius, rhomboid, levator scapulae, serratus anterior, and latissimus dorsi muscles. Weakness in any of these can cause imbalances leading to a pathologic state. The lumbar spine should not affect scapulothoracic bursitis. The ipsilateral sternoclavicular joint and biceps
brachii muscle should be evaluated, but this is not critical to the diagnosis of scapulothoracic bursitis.
The patient’s symptoms fail to improve after 6 months of conservative management, including activity modification, physical therapy (PT), nonsteroidal anti-inflammatory drugs, and ultrasound guided injections. The injections provided short-term relief. Radiographs and a three-dimensional CT scan were obtained. The patient had an anterior “horn-like” projection at the superomedial angle of the scapula. Surgical intervention is planned using a modified mini-open approach with arthroscopy-assisted bursectomy. Portals are placed 3 cm medial to the medial scapular border.
Which structure(s) are avoided with this portal placement?
- Long thoracic nerve
- Suprascapular nerve
- Dorsal scapular artery and nerve
- Transverse cervical artery
- Spinal accessory nerve
Discussion
The correct answer is (C). The dorsal scapular artery and nerve travel beneath the rhomboid minor and major muscles approximately 1 to 2 cm medial to the medial scapular border. Portal placement should therefore be located approximately 3 cm medial to the medial scapular border (Fig. 2–80).

Figure 2–80_Reproduced with permission from Warth, RJ, Spiegl UJ, Millet PJ. Scapulothoracic bursitis and snapping scapula syndrome: a critical review of current evidence. _Am J Sports Med 2014 Mar 24. [Epub ahead of print]
Answer A is incorrect because the long thoracic nerve is rarely endangered unless dissection is carried lateral. The suprascapular nerve can be endangered if a portal is placed superior to the scapular spine. The deep branch of the transverse cervical artery becomes the dorsal scapular artery. The spinal accessory nerve travels with the superficial branch of the transverse cervical artery, and its branches are at risk if a portal is placed superior to the scapular spine. Scapulothoracic bursitis is usually managed nonoperatively. Nonoperative treatment includes activity modification, NSAIDs, PT, and corticosteroid injections. If symptoms are recalcitrant to conservative management or associated with an osseous or soft tissue mass, surgical intervention is indicated. Arthroscopic, open, or a combined operative approach can be performed. Arthroscopy is more technically demanding, but it does not require postoperative immobilization because the rhomboids and levator scapulae are not transected and reattached to the scapula after partial scapula resection is performed.
As mentioned, radiographs and a CT were obtained. If an osseous lesion is suspected, the threshold to obtain three-dimensional imaging should remain low. MRI can be used to identify soft tissue lesions and to help prevent misdiagnoses and unnecessary surgical intervention. Ultrasound has been used to identify inflamed bursal tissue, although it is more commonly used for diagnostic and therapeutic injections. Electromyogram can sometimes be necessary for patients with imbalances in the periscapular musculature and asymmetry.
A superomedial scapular resection as well as bursectomy is performed. While dissecting laterally, the suprascapular notch becomes visible in the operative field. What structure runs superficial to the transverse scapular ligament?
- Suprascapular nerve
- Transverse cervical artery
- Spinal accessory nerve
- Suprascapular artery
- Long thoracic nerve
Discussion
The correct answer is (D). The suprascapular artery runs superficial to the transverse scapular ligament. The suprascapular nerve travels deep to the ligament. Answers B, C, and E are not closely associated with the transverse scapular ligament.
What is the ideal patient position for both injections and operative treatment of scapulothoracic bursitis?
- Prone with affected arm in 90 degrees of abduction and internally rotated
- Prone with affected arm in extension and internal rotation
- Lateral decubitus with affected arm adducted and externally rotated
- Prone with affected arm adducted and externally rotated
Discussion
The correct answer is (B). The so-called chicken-wing position is utilized to elevate the medial border of the scapula to gain access to both the superior and inferior bursa (Fig. 2–81).

Figure 2–81(From Lazar MA, Kwon YW, Rokito AS. Current concepts review: snapping scapula syndrome. J Bone Joint Surg Am. 2009;91:2251–2262.)
Answers A, C, and D are incorrect because none of these positions would help to elevate the medial border of the scapula. The scapulothoracic articulation is unique because it does not rely on hyaline cartilage, but rather muscle layers and interposing bursal tissue to achieve smooth motion. Symptoms can result from overuse and inflammation of this bursal tissue or can be caused by bony abnormality. Periscapular bursae include infraserratus, supraserratus, and scapulotrapezial bursa. Symptoms over the superomedial scapula area could be caused by the infraserratus or supraserratus bursae. Occasionally, patients will have symptoms localized to the medial border of the scapula at the level of scapular spine, which can be attributed to inflammation of the scapulotrapezial bursa. Objectives: Did you learn …? Diagnose scapulothoracic bursitis?
Recognize the different names for scapulothoracic bursitis and that crepitus can lead to bursitis and vice-versa?
Understand how to conservatively and surgically manage scapulothoracic bursitis?
Understand common complications associated with performing surgery for scapulothoracic bursitis? CASE 33 Dr. Joseph Cohen A 42-year-old female presents to the office for follow up after sustaining a minimally displaced radial head fracture 3 months prior. She states she was initially treated in long-arm splint by the ER and did not follow up with an orthopaedic surgeon until now. Per her report, she removed the splint 4 weeks after the injury, but did not move her elbow due to pain. She now has no pain but is unable to reach that hand to her face or head. The remaining history is significant for previous ulnar nerve surgery for which she is unable to provide details. On physical examination, her upper extremity is normal except for limited flexion/extension, measured to be 80 to 50 degrees by goniometer. In addition, she has a well-healed surgical incision about the medial elbow, consistent with a previous surgery on her ulnar nerve. Her images are shown (Figs. 2–82 to 2–84).

Figure 2–82

Figure 2–83

Figure 2–84
What is the diagnosis?
- Early post-traumatic intrinsic joint contracture
- Late post-traumatic extrinsic joint contracture
- Late combined post-traumatic joint contracture
- Early combined post-traumatic joint contracture
Discussion
The correct answer is (A). Classification of post-traumatic elbow stiffness allows for better understanding of the disease and allows the clinician to treat the underlying cause of the joint contracture. Intrinsic causes include: any problem within the joint such as incongruency, loose bodies, or severe osteoarthritis. Extrinsic causes include capsular tightness, muscle contracture, heterotopic ossification, and skin contractures. Early is defined as within 6 months of the injury while late is considered to be greater than 6 months after the injury. Patients that present in the early time frame have a significantly better chance at having a good result both from nonoperative and operative treatment.
What is the preferred first line of treatment at this time?
- Manipulation under anesthesia, followed by physical therapy two times per week
- Arthroscopic capsular release and limited debridement, followed by physical therapy two times per week
- Daily supervised physical therapy with static or dynamic progressive splinting
- Open capsular release, followed by a splint in extension for 14 days
Discussion
The correct answer is (C). Daily, supervised physical therapy should be the first line of treatment in most cases. Major gains in elbow motion are made within the first 3 to 6 months after initiating treatment, however, patients can continue to progress up to a year from the injury. If the contracture is from a tight capsule alone, it is unusual that operative management will be required.
If surgical intervention is warranted, which of the following would be the best option?
- Total elbow arthroplasty
- Fascial interpositional arthroplasty
- Open osteocapsular release followed by supervised physical therapy
- Arthroscopic osteocapsular debridement and a home exercise program
- Arthrodesis
Discussion
The correct answer is (C). Open osteocapsular release would be the best option for this patient. Arthroscopic treatment is ideal for stiffness secondary to capsular contracture, however, given the history of ulnar nerve decompression and or transposition, arthroscopic treatment is contra-indicated.
Which of the following structures needs to be prophylactically addressed when surgically treating patients with a limitation of elbow flexion of 90 to 100 degrees?
- Ulnar nerve
- Anterior bundle of the MCL
- Posterior band of the MCL
- Fascia of the flexor pronator mass
- Medial intermuscular septum
Discussion
The correct answer is (A). Prophylactic treatment of the ulnar nerve should be done before the osteocapsular release in order to prevent undo compression on the nerve as a result of the increased flexion. Anatomic studies have shown that the cubital tunnel significantly decreases in size with a corresponding increase in the pressure seen within the ulnar nerve with flexion greater than 90 degrees. Objectives: Did you learn...? The common causes and differential for a patient with a stiff elbow? Nonoperative treatment and the indications for surgical management? Keys to achieving adequate patient satisfaction? CASE 34 Dr. Joseph Cohen A 32-year-old male presented to the emergency department 1 hour after sustaining a fall while skateboarding. The patient complained of pain in the elbow with swelling and deformity present. He denied numbness or tingling.
Examination reveals deformity about the elbow with no open lesions or skin tenting. He has a palpable radial and ulnar pulse and is neurologically intact. His images are shown (Figs. 2–85 to 2–88).


Figure 2–85

Figure 2–86

Figure 2–87

Figure 2–88
What is the diagnosis and direction of displacement?
- Monteggia fracture dislocation, posterolateral displacement of the forearm about the humerus
- Simple elbow dislocation, posterolateral displacement of the forearm about the humerus
- Transolecranon complex elbow dislocation
- Simple elbow dislocation, posteromedial displacement of the forearm about the humerus
Discussion
The correct answer is (B). This is the most common type of elbow dislocation, and often does not cause any osseous injury. Posterolateral and posteromedial dislocation account for approximately 90% of dislocations. Adequate pre- and postreduction films are necessary to evaluate for fracture, which would change the classification to a complex injury.
What are the next best steps in management?
- Repeat x-rays, followed by reduction of the joint, repeat neurovascular examination, and splinting of the elbow in 110 degrees of flexion
- Reduction of the joint followed by splinting in 90 degrees of flexion and postreduction x-rays
- Reduction of the joint, followed by examination of the joint to evaluate re-dislocation in extension, repeat neurovascular examination, and splinting of the elbow in 90 degrees of flexion and postreduction films
- Reduction of the joint in the operating room followed by ligament reconstruction
Discussion
The correct answer is (C). All patients with an elbow dislocation should be reduced on an urgent basis. It is important to document the neurovascular examination both pre- and post-reduction. Once reduced, the elbow should be taken through a range of motion to evaluate if and when the elbow subluxes or redislocates. This will allow for improved ability to rehab the patient safely. Adequate postreduction films are necessary to evaluate the concentricity of the joint, as well as to further look for fractures not seen on the injury films.
Which static stabilizer of the elbow typically fails first?
- Radial head
- Lateral ulnar collateral ligament (LUCL)
- Ulnar collateral ligament (UCL)
- Anterior and posterior capsular disruption
Discussion
The correct answer is (B). LUCL is the first structure that is disrupted in posterolateral elbow dislocations. The rotational force is then transferred to the anterior and posterior capsule, and finally the UCL if there is enough force.
In which of the following situations is surgery to restore stability indicated?
- If the elbow requires flexion beyond 50 to 60 degrees to remain reduced
- In all posteromedial elbow dislocations
- When the elbow redislocates in 30 degrees of extension immediately after reduction
- If the patient has a contralateral forearm fracture
Discussion
The correct answer is (A). Surgery is rarely indicated for acute simple elbow dislocations. When the elbow requires flexion beyond 50 to 60 degrees to remain reduced, it indicates that both the collateral ligaments and the secondary stabilizers are disrupted. The MCL is the primary stabilizer of the ulnohumeral joint, whereas the LUCL primarily keeps the ulna from subluxing posteriorly and the radial head from rotating away from the humerus in supination. With more unstable elbows, there is an increased likelihood that the secondary stabilizers (the flexor-pronator mass and extensor origins) are disrupted. Repair can be of one or both of the collateral ligaments. Typically, the LUCL is repaired first and the stability of the elbow is examined for need to repair the UCL. Objectives: Did you learn...? Common mechanisms of injury and classification? Diagnosis and acute management/reduction techniques? Be able to identify a stable versus unstable elbow?
Definitive treatment and long-term expectations? CASE 35 Dr. Joseph Cohen A 54-year-old male presented to the ED with left elbow pain after sustaining an injury in a low speed motor vehicle accident. He denied any other injuries. On examination, he had no open injuries and was neurovascularly intact. He had gross deformity about the elbow. His images are below (Figs. 2–89 to 2–92).

Figure 2–89 Pre- and post-reduction films showing complex elbow dislocation, coronoid fracture.

Figure 2–90 Pre- and post-reduction films showing complex elbow dislocation, coronoid fracture.

Figure 2–91 Pre- and post-reduction films showing complex elbow dislocation, coronoid fracture.


Figure 2–92 Pre- and post-reduction films showing complex elbow dislocation, coronoid fracture.
What is the diagnosis?
- Posterolateral simple elbow dislocation
- Posterolateral complex elbow dislocation
- Posteromedial complex elbow dislocation
- Posteromedial simple elbow dislocation
Discussion
The correct answer is (C). Posteromedial complex elbow dislocation. This injury is proposed to result from axial load combined with posteromedial rotation, varus force, and elbow flexion. This is opposed to the more frequently seen posterolateral dislocation. There is a fracture of the coronoid, which is typical for this type of injury.
Which structure is most commonly fractured in a posteromedial elbow dislocation?
- Coronoid
- Radial head
- Olecranon
- Capitellum
- Supracondylar distal humerus
Discussion
The correct answer is (A). Coronoid process fracture (see Fig. 2–93). The medial trochlea is thought to fracture the anteromedial facet of the coronoid allowing the elbow to dislocate. The lateral collateral ligament (LCL) ligamentous complex is also torn with this type of injury however the radial head often remains intact. This is in contrast to posterolateral elbow dislocations in which the radial head is the most commonly fractured bone, followed by the coronoid.


Figure 2–93 Reproduced with permission from Tashjian RZ and Katarincic JA. Complex Elbow Instability. J Am
2006;14(5):278–286.
Although the radial head in this case is intact, which of the following would be the preferred treatment for a 5-part radial head fracture in conjunction with an elbow dislocation?
- Radial head resection
- ORIF with small interfragmentary screws
- ORIF with radial head plate and screws
- Radial head arthroplasty
- Nonoperative
Discussion
The correct answer is (D). Radial head arthroplasty has been shown to allow for the best patient outcomes for comminuted radial head fractures compared to ORIF or radial head resection.
Which of the follow structures is the most important restraint to valgus and posteromedial rotatory force?
- Anterior bundle of the MCL
- Posterior bundle of the MCL
- LUCL complex
- Radial head
- Flexor pronator mass
Discussion
The correct answer is (A). Anterior bundle of the MCL is of prime importance in elbow stability. It originates from the anteroinferior aspect of the medial epicondyle and inserts on the sublime tubercle at the base of the coronoid. The LCL functions as an important restraint to varus and posterolateral rotator instability. The radial head and the flexor pronator mass are secondary stabilizers of the elbow. In the setting of a disrupted anterior bundle of the MCL, the radial head serves as the most important stabilizer.
What is the preferred method of treatment at this time?
- Treat the injury as you would a simple dislocation since there is no radial head injury
- Treat the injury as you would a simple dislocation since the coronoid fracture is too small too fix
- Open reduction internal fixation of the coronoid
- Surgically repair the LCL without fixing the coronoid
- Open reduction internal fixation of the coronoid and repair of the LCL
Discussion
The correct answer is (E). Open reduction internal fixation of the coronoid and repair of the LCL. The steps most commonly involved in surgical repair of fracture dislocations about the elbow include fixation of the osseous elements first, followed by inspection of the ligaments. Frequently, the LCL is avulsed from the lateral epicondyle. The stability of the elbow is then documented and need for repair of the MCL is determined upon the basis of the degree of stability. It is thought that an elbow that is stable from 30 degrees of flexion to full flexion does not require MCL repair. Objectives: Did you learn...? Be able to recognize a fracture dislocation about the elbow and predict degree of instability?
Understand the treatment algorithm for stabilization? Understand the goals of treatment and the long-term outcomes? CASE 36 Dr. Joseph Cohen A 46-year-old male presents to the clinic for evaluation regarding right elbow pain. He states he sustained an elbow dislocation 1 year ago. He reports that there were no fractures associated with the injury. His main complaint is pain along the outer part of his elbow with range of motion and a persistent “popping” feeling with certain movements. He is unable to do a pushup due to the pain.
There is a positive lateral pivot shift of the elbow but does not open medially with isolated valgus stress. MRI is shown (Figs. 2–94 and 2–95).

Figure 2–94

Figure 2–95
What is the most likely diagnosis?
- Posterolateral rotatory instability (PLRI)
- Lateral epicondyle fracture
- Medial collateral ligament (MCL)
- Isolated injury to the lateral ulnar collateral ligament (LUCL)
Discussion
The correct answer is (A). Posterolateral instability. Patients with this condition nearly always have a history of one or more elbow dislocations. Lateral pain and recurrent mechanical symptoms (clicking, popping, subluxations) are common complaints. They also notice worsening with certain activities; such as push-ups, using the arm to stand from a chair etc. PLRI is thought to occur to due failure of multiple stabilizers, not just the LUCL in isolation.
What other condition can present in a similar fashion?
- Valgus instability
- Lateral epicondylitis
- Extensor carpi radialis brevis avulsion
- Capitellar osteochondritis dissecans (OCD) lesion
Discussion
The correct answer is (A). Valgus instability can be difficult to distinguish from PLRI. Physical examination is critical to differentiate the two. In PLRI, the most sensitive physical examination maneuver is the lateral pivot shift. With the patient lying supine, a valgus stress is applied to the elbow while simultaneously flexing it. This reproduces the patient’s symptoms. In the case of valgus instability, the anterior band of the MCL should be isolated when examined. This is best done with the shoulder internally rotated, the forearm in pronation, and the elbow flexed to 30 degrees. A valgus stress is then placed on the elbow (see Fig. 2–96). Pain or joint opening may be indicative of MCL incompetence.

Figure 2–96 Reproduced with permission from Morrey BF. Acute and Chronic Instability of the Elbow. JAAOS
1996;4(3):117–128.
Which of the following is the most appropriate method of surgical management?
- Acute LUCL reconstruction in all simple elbow dislocations
- Acute direct repair of the LUCL in all simple elbow dislocations
- Direct repair or reconstruction with palmaris autograft of the LUCL in patients with symptomatic PLRI
- Radial head arthroplasty with a large head to increase lateral stability
Discussion
The correct answer is (C). Direct repair or reconstruction of the LUCL. Surgery is indicated to restore the lateral ligamentous stabilizers when there is recurrent, symptomatic instability. Acute repair is not necessary most of the time as the ligament frequently scars in. Only when there is symptomatic instability is surgery warranted.
What is the most common complication following surgical reconstruction of the LUCL?
- Infection
- PIN neuropraxia
- Recurrent instability
- Greater than 30-degree flexion contracture
Discussion
The correct answer is (C). Persistent instability is the main concern after surgical treatment. Patients with degenerative arthritis and radial head excision are less likely to have a satisfactory outcome. PIN neuropraxia and infection are potential complications but are not as prevalent as recurrent instability. A small flexion contracture does frequently occur, but this is typically not severe enough to produce any functional limitations. Objectives: Did you learn...? Identify the relevant anatomy and pathoanatomy that are involved in elbow instability?
Physically examine a patient for classic posterolateral instability? Understand the potential treatment options? CASE 37 Dr. Joseph Cohen A 53-year-old, left-hand-dominant male presents to your office for evaluation regarding his elbow pain. He states that for the past 5 years he has had pain in his left elbow. It seems to be worsening over the past 6 months. He states he works as a mechanic and the pain is limiting the amount of time he can spend working. He takes anti-inflammatories with some relief. His images are shown (Figs. 2–97 and 2–98).

Figure 2–97


Figure 2–98
Which of the following symptoms is common in the early stages of osteoarthritis (OA)?
- Pain when carrying heavy objects with the elbow in extension
- Pain at mid-arc range of motion
- Motion loss greater than 30 degrees
- Ulnar neuritis
Discussion
The correct answer is (A). Pain when carrying heavy objects with the elbow in extension is a classic presentation for patients with early disease. They also have
motion loss less than 15 degrees and respond well to conservative treatments. Patients with intermediate disease have moderate pain at the ends of motion, often have loss of extension >30 degrees and have ulnar nerve symptoms. Patients with end-stage OA have pain in the mid-arc of motion, have failed conservative treatment and have motion loss greater than 30 degrees.
When is simultaneous osteocapsular debridement and ulnar nerve decompression warranted?
- Ulnar neuritis and flexion less than 100
- Patients with motion loss less than 15 degrees
- All patients who get surgical treatment for elbow OA should get their ulnar nerve decompressed
- It is never appropriate to decompress the ulnar nerve simultaneously as it makes future surgery more risky
Discussion
The correct answer is (A). The ulnar nerve is commonly inflamed in OA of the elbow. The increase in motion seen postoperatively is thought to increase the traction placed on the nerve, and has been shown to be a limiting factor in patients final outcome. It is important to clearly document if the nerve was left in situ or was transposed to prevent injury during subsequent surgery.
Which of the following is predictive of postoperative motion following arthroscopic osteocapsular debridement?
- Preoperative motion
- Intraoperative motion
- Motion seen at 2 weeks postoperative
- Amount of preoperative pain based on the visual analog scale (VAS)
- Degree of joint space narrowing
Discussion
The correct answer is (B). It has been shown that the amount of motion achieved after completion of the soft tissue and bony release correlates the most with final outcome.
What is the most common complication of total elbow arthroplasty in a younger population?
- Infection
- Triceps avulsion
- Aseptic/mechanical loosening
- PIN neuropraxia
- Ulnar nerve neuropraxia
Discussion
The correct answer is (C). Aseptic or mechanical loosening is the most common cause of failure in the younger, more active population. The estimated incidence of implant loosening is between 7% and 15%. Although the newer, semi-constrained prosthesis has significantly lower rates of loosening than the fully constrained implant, mechanical failure is still of primary concern. Infection occurs between 5% and 8% of the time, and triceps insufficiency is from 3% to 8%.
What restrictions would the patient have to adhere to if he wished to proceed with total elbow arthroplasty?
- Cannot extend beyond 30 degrees
- 10 lb life-long weight limit
- Must take daily prophylactic antibiotics for 10 years postoperatively
- Would be unable to pronate and supinate
Discussion
The correct answer is (B). Patients are advised to lift no more than 10 lb for a single lift and no more than 2 to 5 lb for repetitive lifting for the duration of their life. Despite this precaution, there is still a high rate of revision for aseptic loosening. Objectives: Did you learn...? Identify etiology and natural history of osteoarthritis of the elbow? Identify indications for selecting different treatment options?
Recognize common complications seen with total elbow replacement? CASE 38 Dr. Joseph Cohen A 78-year-old female with a history of rheumatoid arthritis for the past 20 years presents to the office for an evaluation of her bilateral elbows. She initially
presented with symptoms in her hands and wrists and has been poorly compliant with her antirheumatic medication.
She has received multiple corticosteroid injections into her elbows over the past 3 years, but she no longer gets relief. Her images are shown (Figs. 2–99 to 2–102).

Figure 2–99

Figure 2–100

Figure 2–101

Figure 2–102
Approximately what percentage of patients with rheumatoid arthritis develop elbow involvement within 5 years?
- 10%
- 5%
- 75%
- 60%
- 40%
Discussion
The correct answer is (E). Between 20% and 50% of patients with rheumatoid arthritis will develop elbow arthritis. Isolated presentation of the elbow is rare and only occurs about 5% of the time. Care should be given to provide the best treatment for the entire upper extremity when evaluating and treating a patient with rheumatoid arthritis.
Which of the following is the procedure of choice when treating an advanced, debilitating rheumatoid elbow?
- Elbow arthrodesis
- Open synovectomy
- Radial head excision
- Arthroscopic synovectomy
- Semi-constrained total elbow
Discussion
The correct answer is (E). Semi-constrained total elbow is the definitive procedure of choice when treating an elbow with extensive articular damage and subluxation or ankylosis of the joint (see Fig. 2–103). Rheumatoid patients place a lower demand on the prosthesis than patients with primary osteoarthritis (OA), and thus have a lower incidence of mechanical loosening. Due to the ligamentous laxity, prosthetic instability is the complication that most commonly inhibits success.

Figure 2–103
Which of the following antirheumatic drugs should be continued prior to surgery?
- Methotrexate
- Sulfasalazine
- Infliximab
- Adalimumab
- Etanercept
Discussion
The correct answer is (A). Methotrexate is the only agent that should be continued throughout the operative period. In general, biologic agents such as TNF antagonists (Infliximab, adalumimab, etanercept) should be withheld for 1 week preop and restarted 10 to 14 days postoperatively. The goal is to reduce the risk of infection and optimize wound healing. Routine consultation with the patient’s rheumatologist is recommended before undergoing any surgical procedure. Objectives: Did you learn...? Identify etiology and natural history of rheumatoid arthritis affecting the elbows? Become familiar with the variety of medical treatment options commonly used?
Recognize the potential surgical options including their outcomes and complications? CASE 39 Dr. Joseph Cohen A 20-year-old male presents to the office with right elbow pain. He states he fell 5 years ago and was told he broke his elbow but was treated without surgery. He has since developed worsening pain in his elbow with pain present throughout his entire arc of motion. The pain is more severe in the morning and at night, and he reports frequent swelling of his elbow. He is active and has not yet had any formal treatment. His x-rays can be seen in Figures 2–104 and 2–105.

Figure 2–104

Figure 2–105
Initial management includes which of the following?
- Arthroscopic debridement
- Corticosteroid injection and physical therapy
- Hinged elbow brace
- Total elbow arthroplasty
- Radial head resection
Discussion
The correct answer is (B). Young active patients with post-traumatic arthritis are challenging, and achieving an elbow equal to that of the normal contralateral arm is unlikely. Treatment should consist of conservative measures until the level of pain or patient loss of function requires more aggressive treatment. Arthroscopic debridement works better for patients with pain at the extremes of motion rather than throughout the entire arc. Total elbow is a poor option at this point given the age and activity level of the patient.
For a young patient with elbow arthritis and pain only at extremes of motion, what would be the most appropriate surgical intervention?
- Radial head replacement
- Radial head resection
- Arthroscopic osteocapsular debridement
- Distal humerus osteotomy
- Fascial interpositional arthroplasty
Discussion
The correct answer is (C). Pain at terminal motion is a symptom that is present in the early stages of arthritis. It is often due to periarticular osteophytes and capsular contracture with relative sparing of the articular surface. Radial head replacement and partial ulnohumeral arthroplasty is a viable option with arthritis isolated to one compartment. Fascial interposition arthroplasty is more appropriate for a patient with end stage arthritis with destruction of the majority of the articular bearing surface.
For a young patient with elbow arthritis and pain throughout the arc of motion, which of the following would be the best surgical option?
- Arthroscopic debridement
- Microfracture
- Open osteocapsular debridement
- Fascial interposition arthroplasty
- Total elbow arthroplasty
Discussion
The correct answer is (D). Fascial interposition arthroplasty (Fig. 2–106) has shown to produce reliable pain relief in young patients in which a total elbow would not be appropriate. It typically involves resurfacing the bearing surface with either autograft or allograft. Although most patients see improvement with this procedure, it is still seen as a salvage procedure with one of its main benefits being that it does not compromise subsequent procedures. Figure 2–107 shows a decision-making algorithm for treatment based on the current stage of elbow osteoarthritis.

Figure 2–106_Reproduced with permission from Cheung EV, et al. Primary OA of the Elbow: Current Treatment Options. _JAAOS 2008;16(2):77–87.

_Figure 2–107Reproduced with permission from Cheung EV, et al. Primary OA of the Elbow: Current Treatment Options. _JAAOS 2008;16(2):77–87. Objectives: Did you learn...? Understand the primary goals of treatment for a young patient with posttraumatic elbow arthritis?
Be able to differentiate patients that have pain at terminal motion versus pain throughout the arc of motion?
Understand indications and outcomes of the surgical options? CASE 40 Dr. Joseph Cohen A 16-year-old male baseball player presents to your office for evaluation of his worsening right elbow pain. He denies acute injury or inciting event. The pain is located on the posteromedial aspect of his elbow and is exacerbated by throwing. It has been present for the past 6 months, but it has been more severe over the past 3 months.
On examination, he has tenderness to palpation over his olecranon and pain with terminal elbow extension. He has no evidence of varus or valgus instability. No pain with resisted wrist flexion. His images are shown (Figs. 2–108 to 2–110).


Figure 2–108

Figure 2–109

Figure 2–110
What is the diagnosis?
- Valgus extension overload
- Medial epicondylitis
- osteochondritis dissecans (OCD)
- Olecranon stress fracture
- Medial collateral ligament (MCL) rupture
Discussion
The correct answer is (A). This syndrome occurs most commonly in competitive pitchers, with pain that is worse in the deceleration phase and at terminal extension. The resulting chronic stress results in chondrolysis, osteophyte formation, and attenuation of the MCL. Medial epicondylitis is also common in pitchers, but the pathology is limited to the flexor pronator mass. Pain is over the medial epicondyle and is worse with wrist and forearm flexion. OCD lesions are most common in the capitellum, often present with mechanical symptoms. Olecranon stress fractures result from repetitive abutment into the olecranon fossa. This is a plausible answer, however, the MRI findings are not consistent. MCL rupture is typically acute and is not seen on the MRI shown.
What would be the most appropriate initial treatment?
- Arthroscopic osteocapsular debridement
- MCL debridement and reconstruction
- Rest, physical therapy, and modification of pitching biomechanics
- Cortisone injection
- Open olecranon debridement
Discussion
The correct answer is (C). A nonoperative protocol that consists of 2 to 4 weeks of rest, NSAIDs, physical therapy, and biomechanics coaching is the primary treatment of choice. Only once nonoperative treatment has failed for 3 to 6 months should you proceed with surgical intervention. Surgical intervention is also warranted with acute ruptures of the ulnar collateral ligament (UCL). Cortisone injections are contraindicated as further ligamentous attenuation could occur.
What neurologic syndrome is commonly found in a patient with valgus extension overload?
- Intersection syndrome
- Carpal tunnel syndrome
- Cubital tunnel syndrome
- Radial tunnel syndrome
Discussion
The correct answer is (C). The increased traction and stress placed on the medial elbow not only effects the osseous and ligamentous structures, but also can lead to ulnar neuropathy. In addition, compression can occur from osteophytes, synovitis,
or thickened intermuscular septum. Nonoperative treatment is recommended and typically does not require any different treatment than that of valgus extension overload alone.
Ten months after olecranon debridement the patient still complains of pain and “laxity” of his elbow, which structure is likely damaged?
- Flexor pronator mass
- Annular ligament
- Anterior bundle of the MCL
- Transverse ligament
- Oblique bundle
Discussion
The correct answer is (C). Care must be taken when performing osseous debridement of the posteromedial olecranon to not remove the attachment site of the MCL as this would result in further destabilization of the elbow. The MCL complex consists of the anterior bundle (which is the most important for valgus stability), the posterior bundle, and the transverse ligament (also known as the oblique ligament). Objectives: Did you learn...? Understand the pathoanatomy and typical clinical presentation?
Learn the differential diagnoses when evaluating a patient with medial elbow pain?
Understand the radiographic findings seen in patients with valgus overload? Identify indications for operative intervention? CASE 41 Dr. Min Lu A 14-year-old baseball pitcher presents to the office with left throwing elbow pain for the past two months when he throws or lifts weights. Examination reveals lateral joint line tenderness with no detectable effusion and full range of motion without crepitation. Moving valgus stress test does not elicit pain. His elbow radiograph is shown below (Fig. 2–111).

Figure 2–111
What is the next most appropriate treatment?
- Elbow arthroscopy, debridement of the lesion
- Arthroscopic drilling of the lesion
- Ulnar collateral ligament repair
- Corticosteroid injection of the elbow
- Cessation of throwing activities
Discussion
The correct answer is (E). This patient has osteochondritis dissecans (OCD) of the capitellum. He has not undergone any conservative treatment. Stable, nondisplaced lesions can heal spontaneously with rest and discontinuation of throwing. Surgical treatment is reserved for unstable lesions or loose bodies. This patient’s
examination is not consistent with an ulnar collateral ligament (UCL) injury. Little league elbow is another commonly encountered diagnosis in this patient population, but like UCL injuries, manifests with medial sided pain after throwing.
Besides baseball, what other sport is this condition most commonly seen with?
- Football linemen
- Rugby players
- Rowers
- Gymnasts
- Swimmers
Discussion
The correct answer is (D). The exact etiology and natural history of osteochondritis dissecans of the capitellum is poorly understood. It is mainly encountered in adolescent age groups, although with earlier youth sports participation, it is now seen in younger athletes as well. It most commonly develops in female gymnasts as well as in the throwing elbow of male pitchers, as both of these sports involve repetitive loading of the elbow joint.
Which of the following findings differentiates Panner’s disease from osteochondritis dissecans of the capitellum?
- Site of involvement within the elbow
- Extent of capitellar involvement
- Symptoms may resolve with conservative management
- Collateral ligament instability
Discussion
The correct answer is (B). Panner’s disease is a separate disorder of the immature capitellum that must be distinguished from OCD. Panner’s disease usually arises in patients younger than 10 years of age, whereas OCD lesions of the capitellum typically arise after age 11. Both disorders involve the capitellum, causing lateral joint tenderness. Whereas OCD of the capitellum represents a focal injury of the cartilage and subchondral bone, Panner’s disease is idiopathic chondrosis and fragmentation of the entire capitellum. Both conditions can resolve with conservative treatment and are not dependent on collateral ligament instability.
What is the suspected etiology of capitellar osteochondritis dissecans?
- Nutritional deficiency
- Infection
- Traumatic and vascular
- Congenital
- Malignancy
Discussion
The correct answer is (C). While the exact etiology of OCD lesions of the capitellum is poorly understood, trauma and ischemia are suspected to play a significant role. OCD occurs in overhead throwing athletes and female gymnasts, supporting the theory that repetitive trauma serves as an inciting event. The capitellum receives its blood supply from posterior end-arteries that traverse the growth plate, without metaphyseal collateral contribution. This tenuous vascular anatomy implicates an ischemic contribution to OCD. Several case studies have reported on familial or hereditary predisposition to OCD; however, the condition is not present at birth.
The patient undergoes conservative management consisting of rest, anti-inflammatory medications, and physical therapy. After six months, he is still not able to return to play and has progressively worsening symptoms with attempted throwing. He has a moderate elbow effusion as well as a 20-degree flexion contracture. An elbow MRI arthrogram is obtained and shown (Fig. 2–112). He elects to proceed with elbow arthroscopy. Intraoperative arthroscopic images are shown (Figs. 2–113 and 2–114).

Figure 2–112

Figure 2–113

Figure 2–114
Which of the following is the most commonly reported complication of elbow arthroscopy?
- Contracture
- Compartment syndrome
- Septic joint
- Neuropraxia
- Vessel injury
Discussion
The correct answer is (D). The overall reported rate of transient and permanent complications after elbow arthroscopy is around 10% and is much higher than the rate after knee and shoulder arthroscopy (1–2%). The overall most commonly reported complication is prolonged drainage or erythema around portal sites. The lateral portal sites are susceptible to this issue as the joint is relatively subcutaneous in this area, and there is scant tissue to act as a barrier. Deep infection, while being the most serious postoperative complication, is relatively rare (0.8%). In one series, the rate of transient neurological injuries was found to be 2%. These result from compression, local anesthetic injection, and direct trauma. A thorough understanding of the neurovascular anatomy of the elbow is crucial to achieve proper portal placement. Loss of elbow motion was reported in approximately 1% of cases and is usually minor (less than 20 degrees). Objectives: Did you learn...? Recognize the clinical and radiographic presentation of elbow osteochondritis dissecans?
Formulate a differential diagnosis for pediatric sports elbow injuries? Treat elbow osteochondritis dissecans? CASE 42 Dr. Min Lu A 21-year-old, right-hand-dominant, collegiate pitcher presents to the office with elbow pain and loss of velocity and control over the last 6 weeks. Examination reveals tenderness along the medial aspect of the elbow, negative Tinel sign, and pain with valgus stress through the mid-arc of motion. He has no pain with wrist range of motion or forearm pronation and supination. Imaging study is shown below (Fig. 2–115).

Figure 2–115
What anatomic structure is the primary cause of the patient’s symptoms?
- Ulnar collateral ligament
- Ulnar nerve
- Common flexor origin
- Olecranon osteophytes
- Biceps tendon
Discussion
The correct answer is (A). This patient has pain with mid-flexion valgus stress suggesting an injury to his ulnar collateral ligament. Throwing athletes can have multiple causes for pain at the medial elbow, which can be elucidated by history and physical examination. This patient has a negative Tinel sign and no numbness, tingling or weakness to suggest ulnar nerve injury. Likewise, the flexor pronator mass may become irritated in pitchers, but it is not the primary cause of this patient’s symptoms. His pain is not at terminal extension, and therefore olecranon osteophytes or valgus extension overload would not seem to be the cause. He does not have any findings suggestive of biceps tendon pathology.
During which phase of throwing is the ulnar collateral ligament most likely to be injured?
- Wind up
- Early cocking
- Late cocking
- Ball release
- Deceleration
Discussion
The correct answer is (C). The late cocking and early acceleration phase of overhead throwing places the greatest amount of valgus stress on the elbow (see Fig. 2–116). At this point, the elbow is in mid flexion while the forearm lags behind the upper arm, producing a valgus moment at the elbow. The anterior band of the ulnar collateral ligament is the primary restraint to valgus stress between 30 and 120 degrees of flexion. The wind up phase does not place any stress on the elbow. In early cocking, the rotator cuff and deltoid are active and susceptible to injury. Ball release occurs after acceleration as the forearm is brought forward. At this point, the valgus stresses on the UCL are dissipated. Finally, in deceleration, the posterior compartment of the elbow and elbow flexors are subject to stress to prevent hyperextension.

Figure 2–116_Phases of throwing: The greatest valgus stress at the elbow occurs during the late cocking and early acceleration phases of throwing. (Reproduced with permission from Chen FS, Rokito AS, Jobe FW. Medial elbow problems in the overhead-throwing athlete. _J Am Acad Orthop Surg. 2001;9(2):99–113.)
Which of the following is the most sensitive physical examination finding for ulnar collateral ligament injury?
- Lateral pivot shift test
- Pain with resisted wrist flexion
- Static valgus stress test
- Palpable medial ligamentous laxity
- Moving valgus stress test
Discussion
The correct answer is (E). The lateral pivot shift test is used to assess the lateral ulnar collateral ligament and suggests posterolateral rotatory instability. Pain with resisted wrist flexion indicates inflammation at the common flexor origin, and is suggestive of medial epicondylitis. The moving valgus stress test is highly sensitive (100%) and specific (75%) for ulnar collateral ligament injury, as it reproduces the stresses and elbow positions present during throwing. Pain with static valgus testing is not as accurate as the moving valgus stress test (sensitivity 65%, specificity 50%) as it does not test an arc of motion that pitchers experience. Palpable ligamentous laxity is poorly sensitive (19%) but highly specific (100%).
The moving valgus stress test is performed with the patient upright and the shoulder abducted 90 degrees (Fig. 2–117). With the elbow flexed, a valgus stress is applied to the elbow until the shoulder reaches full external rotation. While a constant valgus torque is maintained, the elbow is quickly extended to 30 degrees.

Figure 2–117_Reproduced with permission from O’Driscoll SW, Lawton RL, Smith AM. The “moving valgus stress test” for medial collateral ligament tears of the elbow. _Am J Sports Med. 2005 Feb;33(2):231–9.
The patient undergoes conservative treatment consisting of rest and physical therapy, followed by a progressive throwing program. However, he is unable to return to throwing after 3 months. He elects for ulnar collateral ligament reconstruction.
What types of outcomes have been seen with ulnar collateral ligament reconstruction with professional pitchers?
- High rates of persistent elbow pain and retirement from sport
- Loss of velocity and performance
- High rate of return to play at a similar level
- 30% rate of revision surgery
Discussion
The correct answer is (C). Studies in Major League Baseball have shown that over 80% of pitchers returned to the major leagues at a mean 20 months after UCL reconstruction, while over 97% return to major and minor leagues combined. Meanwhile, the revision rate for surgery is approximately 4%. Pitch velocity and common performance measurements do not seem to differ from pre-injury levels.
What is the most common surgical complication seen with ulnar collateral ligament reconstruction?
- Postoperative stiffness requiring reoperation
- Ulnar neuropathy
- Superficial infection
- Tenderness at graft harvest site
- Permanent cutaneous sensory deficit
Discussion
The correct answer is (B). The overall complication rate after ulnar collateral ligament reconstruction is 10% (range 3–25%). Ulnar neuropathy is the most commonly reported complication after ulnar collateral ligament reconstruction ranging from 2% to 21%. In one study, performance of obligatory ulnar nerve transposition led to 75% excellent results and 14% with ulnar neuropathy. Without obligatory nerve transposition, that study found 89% excellent results and 6% rate of ulnar neuropathy. Studies report a 1% rate of stiffness requiring reoperation. Cutaneous nerve injuries after Tommy John surgery tend to be transient neuropraxias as opposed to permanent deficits. Infection and graft site tenderness are not as common complications as ulnar neuropathy. Objectives: Did you learn...? Identify and evaluate patients with ulnar collateral ligament instability?
Comprehend anatomic and biomechanical considerations for medial elbow instability?
Understand the role for surgery and the outcomes of ulnar collateral ligament reconstruction? CASE 43 Dr. Min Lu A 9-year-old, baseball pitcher presents to the office with 4 weeks of elbow pain of his throwing arm. He denies locking or catching symptoms. Examination reveals tenderness to palpation about the medial elbow, normal range of motion, and no instability with moving valgus stress. Radiographs are normal.
What is the most likely underlying pathology in this condition?
- Microtraumatic vascular insufficiency of the capitellum
- Medial epicondylar apophysitis
- Idiopathic osteochondrosis of the capitellum
- Ulnar collateral ligament disruption
- Olecranon apophysitis and osteochondrosis
Discussion
The correct answer is (B). This patient has little league elbow which results from
repetitive valgus stress in skeletally immature athletes. In this condition, chronic traction from the flexor-pronator mass leads to medial epicondylar apophysitis. Injuries in this age group result from medial tensile or lateral compressive overload. Osteochondritis dissecans (Answer A) usually affects adolescents older than age 13 years, and typically manifests as pain in the lateral compartment. Likewise, Panner’s disease (Answer C) also affects the capitellum and presents with lateral pain. Ulnar collateral ligament injuries are uncommon in skeletally immature athletes. Posterior compartment injuries (Answer E) are also uncommon and typically present with pain on terminal extension.
What is the most appropriate initial management for the patient in the question above?
- Epicondylar debridement
- Open reduction internal fixation
- Rest, cessation of throwing activities
- MRI
- Corticosteroid injection
Discussion
The correct answer is (C). Conservative management is the mainstay of initial treatment for little league elbow. This consists of 2 to 4 weeks of rest and oral anti-inflammatories, followed by focused stretching and strengthening exercises. Athletes may return to throwing at 6 weeks if symptom free. Symptoms may persist after inadequate periods of rest and immobilization. Surgery, MRI, or injections are not routinely warranted as the first line of treatment in this condition.
Which of the following is not a risk factor for developing arm pain in young pitchers?
- High number of innings pitched
- High number of pitches per game
- Staying in games after pitching, at other positions besides pitcher or catcher
- Pitching with arm fatigue
- Taller, heavier athletes
Discussion
The correct answer is (C). Multiple studies have looked at risk factors for shoulder and elbow injuries among adolescent pitchers. The 10-year-cumulative risk for an
adolescent pitcher developing a serious injury is 5%. Studies have consistently found that arm overuse is a risk factor for joint injuries, and preventative strategies have focused on limiting pitch counts and avoiding pitching with arm fatigue. Taller, heavier athletes appear to be at higher risk as well as pitchers who throw with greater velocity. Inconsistent reports have been published regarding the link between breaking pitches and arm injury. Data seems to indicate that pitchers may remain in games and play other positions beside catcher without significantly increased risk for shoulder or elbow injury.
What is the most common radiographic finding with little league elbow?
- Fragmentation and separation of the capitellum
- Olecranon osteophytes
- Loose body
- Medial epicondyle fracture
- Fragmentation and separation of the medial epicondyle
Discussion
The correct answer is (E). Fragmentation and separation of the capitellum can be seen with osteochondritis dissecans or Panner’s disease, with the distinguishing factor being the amount of capitellar involvement. Osteochondritis dissecans involves a focal articular defect, whereas Panner’s disease involves the entire capitellum. Olecranon osteophytes are encountered with valgus extension overload. Loose bodies may be seen in later stages of osteochondritis dissecans. Medial epicondyle avulsion fracture is a rare cause of acute elbow pain in skeletally immature athletes and is treated according to amount of displacement. Fragmentation and separation of the medial epicondyle is the characteristic radiographic finding of little league elbow (see Fig. 2–118). Previous studies have found separation or widening of the physis in over 50% of players while fragmentation occurred in roughly 20%.

Figure 2–118 Medial epicondylar separation seen in little league elbow. Objectives: Did you learn...? Recognize chronic overuse injuries in adolescent athletes? Manage a patient with little league elbow?
Counsel pediatric athletes on risk factors for arm injury? CASE 44 Dr. Min Lu A 45-year-old, male laborer presents with elbow pain after an injury at work. He was carrying a heavy object, felt it slip, and hyperextended his elbow. He felt a pop and immediate pain in his antecubital fossa. He is neurovascularly intact distally with weakness at the elbow. He has ecchymosis and swelling at the elbow. Hook test is inconclusive.
What is the next most appropriate step in treatment?
- Sling immobilization until asymptomatic with follow-up examination
- Physical therapy to focus on elbow range of motion and strengthening
- Elbow arthroscopy
- Open exploration of the antecubital fossa
- Elbow MRI
Discussion
The correct answer is (E). This patient has a suspected distal biceps tendon rupture. He has the classic presentation of an eccentric overload injury along with a pop and pain in the antecubital fossa. However, his examination is inconclusive for complete versus partial tendon tear. The hook test is performed by asking the patient to actively flex the elbow to 90 degrees and fully supinating the forearm (see Fig. 2–119). The examiner then attempts to hook their index finger under the lateral edge of the tendon and palpate a cordlike structure representing the biceps tendon. This test has been shown to be both highly sensitive and specific (up to 100%), but it is inconclusive in this case. An MRI is warranted to assess the integrity of the distal biceps tendon, to distinguish between complete versus partial rupture (Fig. 2–120). This could alter management as the optimal treatment of partial tendon ruptures is not entirely clear. There is relative urgency to doing this, as early surgical intervention after injury is preferred to facilitate primary repair.

Figure 2–119_Figures demonstrating the hook test. (A–C) The patient actively supinates with the elbow flexed 90 degrees. An intact hook test allows the examiner to hook their index finger under the intact biceps tendon from the lateral side. (D–E) With an abnormal hook test, there is no cord-like structure under which to hook a finger. (Reproduced with permission from Sutton KM, Dodds SD, Ahmad CS, Sethi PM. Surgical treatment of distal biceps rupture. _J Am Acad Orthop Surg. 2010 Mar;18(3):139–48.)

Figure 2–120 MRI depicting distal biceps tendon rupture.
What is the most significant strength deficit resulting from nonoperative treatment of a distal biceps tendon injury?
- Elbow flexion
- Elbow extension
- Forearm pronation
- Forearm supination
- Shoulder forward flexion
Discussion
The correct answer is (D). By its anatomic insertion on the radial tuberosity, the biceps brachii serves as both an elbow flexor and supinator of the forearm. There is a greater percentage loss of supination strength as the brachialis serves as the primary elbow flexor. Nesterenko et al. showed that patients with a unilateral biceps rupture lost 37% flexion strength and 46% supination strength. Different reports exist regarding the effect of biceps injury on elbow endurance. Given the functional deficits associated with nonoperative treatment of complete ruptures, conservative treatment is reserved for only low demand or medically infirm patients in these cases.
What is the most common nerve injury encountered after operative treatment of distal biceps tendon ruptures?
- Median
- Radial
- Musculocutaneous
- Lateral antebrachial cutaneous
- Posterior interosseous
Discussion
The correct answer is (D). Lateral antebrachial cutaneous neuropraxia is the most common complication of distal biceps tendon repair. It is reported in up to 26% of cases. This is usually the result of excessive retraction and can be avoided with adequate exposure and toe-ing in of the retractors. The nerve pierces the fascia between the biceps and brachialis at the antecubital fossa and runs in the subcutaneous tissues parallel to the cephalic vein. Injury to the radial sensory (6%) and posterior interosseous (4%) nerves has also been reported, although more rare. Pronation of the forearm protects the posterior interosseous nerve. These nerve injuries after distal biceps tendon repair are usually self-limited complications. Other general complications include superficial infection, symptomatic heterotopic ossification, and re-rupture.
Which of the following statements is true regarding one versus two-incision technique for repair of acute distal biceps tendon ruptures?
- The single incision approach affords a significantly faster recovery time
- The single incision approach is associated with lower biomechanical strength and higher fixation failure rates
- The two incision approach is shown to have lower rates of heterotopic ossification
- The single incision approach is associated with higher rates of neurologic complications, whereas the two incision approach is associated with increased rates of proximal radioulnar joint synostosis
Discussion
The correct answer is (D). This question highlights some controversies surrounding the optimal approach for treatment of distal biceps tendon ruptures. Historically, distal biceps tendon injuries were repaired through a single anterior extensile approach. Due to a high rate of neurologic complications, the Boyd Anderson dual incision technique was developed, and this was further modified to address the complication of radioulnar synostosis (Fig. 2–121). Given that distal bicep tendon
injuries are relatively rare, the literature on this topic comprises mainly small case series. Most contemporary literature suggests that satisfactory outcomes can be obtained with either approach, and that surgeon comfort level should dictate the approach used. No significant differences have been described in regards to recovery time. The biomechanical strength of the construct varies with the type of fixation used and not necessarily the approach. The two-incision approach has been shown in some studies to lead to greater loss of forearm rotation and higher rates of synostosis.

#### Figure 2–121 CT shows one complication of distal biceps repair: proximal radioulnar joint synostosis. Objectives: Did you learn...? Recognize and diagnose a distal biceps tendon injury?
Understand the complications associated with nonoperative and operative management of distal biceps tendon injuries?
Appreciate the different approaches available for distal biceps tendon repair? CASE 45 Dr. Min Lu A 23-year-old, semi-professional football linebacker presents with left elbow pain after a game. He extended his arm while falling to the ground and felt a pop and immediate pain in the posterior aspect of his arm. On examination, he is distally neurovascularly intact with swelling and palpable deformity about the posterior aspect of the elbow. He has difficulty extending his arm with 3/5 strength. His elbow
lateral x-ray is shown below (Fig. 2–122).

Figure 2–122
What is the most likely diagnosis?
- Calcific tendonitis
- Osteochondral defect
- Distal triceps tendon rupture
- Distal biceps tendon rupture
- Elbow dislocation
Discussion
The correct answer is (C). The patient’s injury mechanism, physical examination, and imaging findings are most consistent with an acute distal triceps tendon rupture. Triceps tendon ruptures are very rare and among the least commonly reported sports tendon injuries (<1% of all tendon injuries). Most injuries are associated with weightlifting or football due to the training regimens, potential for anabolic steroid use, and violent forces exerted. The mechanism for injury is a sudden, eccentric load applied to the contracting muscle such as from weightlifting or a fall onto an outstretched hand. Penetrating trauma or direct blows may also cause tendon injury as can higher energy mechanisms such as motor vehicle accidents. The lateral elbow radiograph shows flecks of avulsed bone from the olecranon insertion of the triceps, which is almost always pathognomonic for triceps tendon rupture. This finding should not be mistaken for calcific tendonitis with the given clinical history. It is also not consistent with an intra-articular loose body.
What is the next most appropriate step in management?
- Sling for comfort
- Splint immobilization in 30 degrees of flexion
- Functional elbow brace
- Surgical exploration and tendon repair
- MRI
Discussion
The correct answer is (E). Although the diagnosis is most consistent with a distal triceps tendon rupture, this patient has 3/5 motor strength. An MRI must be obtained in this instance to assess the location and degree of tendon involvement (see Fig. 2–123). Physical examination and strength grading can be difficult and inconsistent in the acute setting, even leading to some missed diagnoses. Partial ruptures may present with profound strength deficits, whereas complete ruptures may exhibit little or no strength deficit due to compensation from an intact lateral triceps expansion or the anconeus. This makes an MRI essential for accurate diagnosis and preoperative planning. In general, tears <50% can be managed conservatively with satisfactory results. Partial tears >50% are managed on an individualized basis. They can be managed nonsurgically in sedentary or medically infirm individuals, with repair indicated for active or younger individuals. Complete tears are usually best treated surgically.

Figure 2–123_MRI depiction of retracted triceps tendon (_white arrow) and fluid filled gap (arrowhead).
Which of the following is not a risk factor for distal triceps tendon rupture?
- Anabolic steroid use
- Female gender
- Chronic kidney disease
- Local corticosteroid injections
- Rheumatoid arthritis
Discussion
The correct answer is (B). There is a 2:1 male predominance in all age groups for distal triceps tendon rupture. Local corticosteroid injection and olecranon bursitis are elbow site–specific risk factors for tendon injury. Other systemic risk factors for this condition are numerous and include anabolic steroid use, fluoroquinolone use, metabolic bone disease, chronic kidney disease, insulin-dependent diabetes, Marfan syndrome, osteogenesis imperfecta, and rheumatoid arthritis. It has been postulated that chronic kidney disease and metabolic bone diseases that manifest
with increased parathyroid hormone levels could possibly lead to increased osteoclastic activity and bone resorption, ultimately weakening the bone–tendon interface. Rheumatoid conditions and olecranon bursitis lead to synovitis with weakening of the tendon. Anabolic steroids, as well as oral or locally injected corticosteroids, are thought to impair tendon repair and collagen distribution and thus predispose to tendon injury.
At what anatomic location do distal triceps tendon ruptures occur in most cases?
- Osseous insertion
- Tendon midsubstance
- Myotendinous junction
- Muscle belly
Discussion
The correct answer is (A). Most cases of complete tendon rupture are found to be avulsions at the tendo-osseous junction. Ruptures at the myotendinous junction and within the muscle belly have been reported but are less common. The location of the tear can play a role in management. Tears within the muscle belly are likely to heal with scar tissue and with similar outcomes regardless of what type of treatment is rendered. Recent studies have looked at the anatomy of the triceps insertion in order to develop more anatomic repair techniques. These have found that the footprint is a wide area (466 mm2), which encompasses the entire olecranon, as well as medial and lateral borders of the proximal ulna. Previous repair techniques including transosseous tunnel repair and suture anchor techniques have not sought to replicate this anatomic insertion. The clinical significance of anatomic footprint restoration is not yet known. Objectives: Did you learn...? Diagnose and work up a triceps tendon injury?
Identify risk factors associated with triceps tendon injuries? Determine indications for operative management?
Understand anatomic considerations in triceps tendon rupture? CASE 46 Dr. Min Lu A 45-year-old, right-hand-dominant, male plumber presents with elbow pain of insidious onset. He denies any injury or trauma. He has lateral elbow pain with repetitive movements of the wrist at work. Examination of the shoulder and wrist is normal. He has tenderness to palpation about the elbow at the lateral epicondyle. His symptoms are reproduced with resisted wrist extension. Radiographs are normal.
What is the structure primarily affected by this condition?
- Lateral ulnar collateral ligament
- Extensor carpi radialis brevis
- Extensor carpi radialis longus
- Extensor digitorum communis
- Extensor carpi ulnaris
Discussion
The correct answer is (B). This patient has lateral epicondylitis or tennis elbow, the most common cause for elbow pain presenting to an orthopaedic surgeon’s office. The condition most frequently develops during the fourth or fifth decade of life. The prevalence in the general population is 1% to 3%, and it is more commonly encountered in strenuous labor occupations. It affects males and females equally and presents more frequently in the dominant upper extremity. It is a very common ailment in tennis players, with up to 50% developing this condition at some point during life. The most commonly cited location of pathology is the proximal extensor carpi radialis brevis origin, although Nirschl and colleagues have reported 35% to 50% involvement of the extensor digitorum communis as well. Radiographs are typically normal.
What is the most commonly encountered histology within the affected tendon upon surgical treatment?
- Acute inflammation
- Calcium hydroxyapatite deposition
- Angiofibroblastic tendinosis
- Chondroblastic proliferation
- Osteoblastic proliferation
Discussion
The correct answer is (C). The characteristic presentation of lateral epicondylitis
consists of repetitive microtearing of the tendon origin followed by repair attempts (Fig. 2–124). The typical histopathology of the involved tendon shows angiofibroblastic tendinosis with neovascularization, disordered collagen deposition and mucoid degeneration. Notably, acute inflammation is usually not encountered. Calcium hydroxyapatite deposition is seen with calcific tendonitis, not lateral epicondylitis. Chondroblastic and osteoblastic proliferation are also not characteristic for this disorder.

Figure 2–124_Figure showing focal hyaline degeneration and vascular proliferation in the proximal extensor carpi radialis brevis. (Regan W, Wold LE, Coonrad R, Morrey BF. Microscopic histopathology of chronic refractory lateral epicondylitis. _Am J Sports Med. 1992;20(6):746–749.)
The patient has had symptoms for four weeks with no significant treatment to date. What is the most appropriate initial treatment?
- MRI of the elbow
- Splint immobilization of the elbow
- Corticosteroid injection
- Anti-inflammatory medication and physical therapy exercises
- Arthroscopic or open tendon debridement
Discussion
The correct answer is (D). The patient has had symptoms of relatively short duration and has had no significant treatment to date. Rest, anti-inflammatory pain medication, and physical therapy are simple measures used to alleviate pain and promote natural tendon healing. Recent attention has focused in particular on eccentric strengthening of forearm muscles in order to induce hypertrophy of the muscle–tendon unit and reduce tension on the tendon itself. While MRI, injections,
or surgery might be indicated for recalcitrant disease, they are not used as a first line treatment. A variety of orthotic devices have been prescribed for lateral epicondylitis including forearm bands and cock-up wrist splints, with the goal being to reduce tension on the common extensor origin. While conflicting data exists on these devices, rigid immobilization of the elbow is not generally advocated.
Which of the following is a favorable prognostic indicator for success of nonoperative treatment in lateral epicondylitis?
- Dominant arm involved
- Manual laborer
- Poor coping mechanisms
- High baseline pain level
- Short duration of symptoms at presentation
Discussion
The correct answer is (E). Previous literature shows that most patients with lateral epicondylitis improve with conservative management. Approximately 80% of patients report symptomatic improvement at 1 year, and only 4% to 11% of patients seeking medical attention for this condition require eventual surgery. Negative prognostic indicators for successful conservative treatment include: involvement of dominant arm, manual laborer, high baseline pain level, extended duration of symptoms, and poor coping mechanisms.
The patient returns after 6 weeks of physical therapy exercises and anti-inflammatory medications with continued pain and weakness of grip strength. In counseling him on the risks and benefits of injections for lateral epicondylitis, which of the following statements is correct?
- Botulinum toxin injection has been shown to reduce pain and improve strength at long-term follow-up
- Glucocorticoid, botulinum toxin, and blood product injection have all consistently been shown to be favorable to placebo in terms of pain relief and improved function
- Injections are relatively safe second-line treatments with unproven long-term benefit
- Injections are a risk-free treatment option for patients wishing to avoid surgical intervention
Discussion
The correct answer is (C). The literature varies widely on the efficacy of various injection therapies. Glucocorticoids have been in use for the longest period of time historically. Studies have shown initial pain relief (<6 weeks), followed by diminished benefit at long-term follow-up. Botulinum toxin injections have been shown to reduce pain but also exhibit weakness of finger and wrist extension strength. Finally, the data on platelet-rich plasma and autologous whole blood is mixed in comparing these injections to saline or local anesthetic. Large-scale systematic reviews and meta-analyses generally agree that the safety profile of these injections is reasonable for a second-line treatment option prior to surgery. However, injections are not risk free and can lead to infection, skin depigmentation, fat atrophy, and extensor tendon rupture. Objectives: Did you learn...? Understand the anatomy and pathology of lateral epicondylitis? Review conservative treatment strategies for lateral epicondylitis? Counsel patients on the efficacy of various injection therapies? CASE 47 Dr. Min Lu A 44-year-old, right-hand-dominant female is in the office with persistent lateral elbow pain of 2 years duration. She has pain at the lateral aspect of her elbow, as well as a deep aching pain that radiates down the dorsal aspect of her forearm. She has tried NSAIDs, physical therapy, bracing, and multiple injections to her lateral epicondyle without relief. On examination, she is neurovascularly intact distally with tenderness over the lateral epicondyle as well as in the proximal portion of her forearm. She has pain with resisted wrist extension, resisted long finger extension, and resisted supination. She has weakness of her finger extensors.
In addition to her extensor carpi radialis brevis, what other anatomic structure is most likely affected?
- Extensor digitorum communis to the long finger
- Extensor indicis proprius
- Extensor carpi radialis longus
- Radial nerve
- Ulnar nerve
Discussion
The correct answer is (D). The patient has an atypical presentation of lateral epicondylitis, and it is important to rule out associated conditions such as radial tunnel syndrome. Radial tunnel syndrome is a compression neuropathy of the radial nerve, which unlike carpal tunnel and cubital tunnel syndromes, does not lend itself to quick and easy pattern recognition (Fig. 2–125). It can coexist with lateral epicondylitis in few cases, making diagnosis more difficult. Patients can have variable involvement of the dorsal sensory radial nerve and the posterior interosseous nerve. Symptomatology typically involves aching pain in the dorsal forearm, as well as tenderness to palpation distal to the typical site at the lateral epicondyle. Provocative tests such as pain with resisted long finger extension and resisted pronation/supination are described, although sensitivity and specificity of these tests is not well described. Nerve conduction studies are unreliable in diagnosis. Local anesthetic injection at the site of radial nerve compression has been described as a highly specific diagnostic modality.

Figure 2–125_Markings depicting typical area of dysesthesia for posterior cutaneous nerve of the forearm neuroma. (Reproduced with permission from Dellon AL, Kim J, Ducic I. Painful neuroma of the posterior cutaneous nerve of the forearm after surgery for lateral humeral epicondylitis. _J Hand Surg Am. 2004 May;29(3):387–90.)
The patient opts for open debridement of the extensor carpi radialis brevis origin, as well as radial tunnel decompression. Postoperatively, she develops pain and catching in her elbow when pushing up out of a chair.
What structure is at risk and may have been injured in this case?
- Annular ligament
- Lateral ulnar collateral ligament
- Radial nerve
- Extensor carpi radialis brevis
- Extensor digitorum communis
Discussion
The correct answer is (B). Surgical management of lateral epicondylitis is recommended when pain and dysfunction persist after 6 to 12 months of conservative treatment. The extensor carpi radialis brevis may be released open, percutaneously, or arthroscopically. Specific open debridement techniques vary but generally involve a 2 to 3 cm incision centered distal to the lateral epicondyle. Using sharp dissection, the degenerative tissue within the extensor carpi radialis brevis is debrided, the underlying bone is decorticated, and the tendon is reattached to the bone. With excessive debridement, the lateral ulnar collateral ligament may be
compromised resulting in iatrogenic posterolateral rotatory instability. Keeping debridement anterior to the equator of the radial head prevents destabilization of the elbow (Fig. 2–126).

Figure 2–126_Safe zone for debridement to avoid the lateral ulnar collateral ligament. (Reproduced with permission from Calfee RP, Patel A, DaSilva MF, Akelman E. Management of lateral epicondylitis: current concepts. _J Am Acad Orthop Surg. 2008 Jan;16(1):19–29.)
Neuroma formation is another potential complication of open epicondylar debridement. What nerve does this usually affect?
- Radial
- Posterior interosseous
- Median
- Lateral antebrachial cutaneous
- Posterior antebrachial cutaneous
Discussion
The correct answer is (E). Painful neuroma is one possible cause of persistent pain after lateral epicondylar debridement. The posterior antebrachial cutaneous nerve (Fig. 2–127) is at risk with any approach to the lateral elbow. It branches from the radial nerve in the upper third of the humerus and travels in the subcutaneous tissue in the posterolateral aspect of the upper arm toward the elbow. At the elbow it is 1.5 cm anterior to the lateral epicondyle. Dellon et al. reported on a series of nine consecutive patients treated for this complication after lateral epicondylar debridement. Patients reported cutaneous dysesthesia distal and posterior to the incision. The diagnosis was made preoperatively by using a local anesthetic block
to obtain symptomatic relief. Subsequently, the neuromas were excised and the proximal nerve stumps were buried within muscle.

Figure 2–127_Intraoperative photo of a posterior cutaneous nerve of the forearm neuroma. (Reproduced with permission from Dellon AL, Kim J, Ducic I. Painful neuroma of the posterior cutaneous nerve of the forearm after surgery for lateral humeral epicondylitis. _J Hand Surg Am. 2004 May;29(3):387–90.)
Which other structure shares a proximal attachment with the extensor carpi radialis brevis?
- Palmaris longus
- Pronator teres
- Brachioradialis
- Extensor digiti minimi
- Extensor pollicis longus
Discussion
The correct answer is (D). This is a pure anatomy question regarding the common extensor origin. The muscles originating from the lateral epicondyle include the common extensor tendon, which includes the extensor digitorum longus, extensor digitorum communis, extensor digiti minimi, and extensor carpi ulnaris. The extensor carpi radialis longus originates from the lateral supracondylar ridge and by a few fibers from the lateral epicondyle. The supinator and anconeus also originate from the lateral epicondyle. The palmaris longus and pronator teres originate from the common flexor tendon on the medial epicondyle. The brachioradialis originates from the lateral supracondylar ridge, while the extensor
pollicis longus originates from the ulna and interosseous membrane. Objectives: Did you learn...? Discuss treatment options for refractory or complicated cases of lateral epicondylitis?
Recognize complications associated with surgical treatment for lateral epicondylitis? CASE 48 Dr. Min Lu A 55-year-old, right-hand-dominant male presents to the office complaining of medial-sided, right elbow pain for the past year. He denies any numbness or paresthesias. He complains of pain primarily at the medial epicondyle. He has seen a couple of other doctors for this problem and has had physical therapy, bracing, and corticosteroid injections which gave him short-lived relief. He is an avid golfer. On physical examination, he is neurovascularly intact distally with full elbow range of motion. He has tenderness at the medial epicondyle and pain with resisted wrist flexion. He has no instability with valgus stress.
What is the most likely diagnosis?
- Ulnar nerve entrapment
- Ulnar collateral ligament tear
- Valgus extension overload
- Medial epicondylitis
- Elbow osteoarthritis
Discussion
The correct answer is (D). This patient has medial epicondylitis or golfer’s elbow. This entity is 7 to 20 times less common than its lateral counterpart. It occurs during the fourth and fifth decades of life, with equal male to female prevalence rates. The condition is characterized by medial elbow pain of insidious onset. Tenderness is distal to the medial epicondyle in the pronator teres and flexor carpi radialis. Patients have pain that is worsened with resisted forearm pronation or wrist flexion. Plain radiographs of the elbow are most often normal. However, throwing athletes may have traction spurs and ulnar collateral ligament calcification.
What common occupational factors are associated with the development of this condition?
- Office work, sedentary duties
- Repetitive varus stress at the elbow
- Repetitive wrist bending, forearm rotation
- Repetitive shoulder abduction
- Proper conditioning and stretching prior to heavy lifting
Discussion
The correct answer is (C). Medial epicondylitis occurs in 0.4% to 0.6% of the working age population. Although termed golfer’s elbow, it is commonly found in baseball pitchers as well as a variety of sports and occupations which create valgus stresses at the elbow. Golf, rowing, baseball (pitching), javelin and tennis (serving) are commonly cited recreational activities associated with this condition. It also tends to be found in manual laborers. In a large, longitudinal study, self-reported physical exposures involving repetitive and prolonged wrist bending and forearm rotation were associated with medial epicondylitis. Repetitive bending/straightening of the elbow may also be associated with disease occurrence. Proper conditioning and stretching are protective, not a risk factor for medial epicondylitis. Varus stress and shoulder abduction are not risk factors for this condition.
Which of the following tendons does not share a proximal origin with the flexor-pronator mass?
- Flexor pollicis longus
- Pronator teres
- Flexor carpi radialis
- Palmaris longus
- Flexor carpi ulnaris
Discussion
The correct answer is (A). The flexor pollicis longus originates from the volar surface of the radius and adjacent interosseous membrane, not the common flexor-pronator mass. In addition to answer Choices B, C, D, and E, the flexor digitorum superficialis is the other muscle that shares the common flexor tendon origin. All of the common flexor muscles are innervated by the median nerve, except for flexor carpi ulnaris which is innervated by the ulnar nerve.
The patient presented above undergoes further conservative treatment but develops
web space atrophy and diminished sensation of his ring and small finger. He elects to proceed with surgery.
In addition to common flexor tendon debridement, what other procedure must be considered for this patient?
- Tendon transfer
- Neuroma excision
- Carpal tunnel release
- Ulnar nerve transposition
- Ulnar collateral ligament repair
Discussion
The correct answer is (D). This patient has medial epicondylitis with concomitant ulnar neuropathy. Ulnar nerve symptoms are associated with medial epicondylitis in 23% to 60% of cases according to reports. In these cases, ulnar nerve release or transposition must be considered in the same sitting. Results of medial epicondylitis surgery are generally more guarded when ulnar nerve symptoms are present.
What nerve is prone to injury with surgical treatment for medial epicondylitis?
- Median
- Anterior interosseous
- Medial antebrachial cutaneous
- Radial
- Posterior antebrachial cutaneous
Discussion
The correct answer is (C). The medial antebrachial cutaneous nerve arises from the medial cord of the brachial plexus in most cases (nearly 80%). It travels parallel to the course of the median and ulnar nerves in the upper arm and divides into anterior and posterior branches above the elbow. Due to its variable location, the posterior branch is more commonly reported to be injured in the literature. Injury of the medial antebrachial cutaneous nerve is thought to be underreported as it does not affect the hand and patients may be minimally symptomatic. Objectives: Did you learn...?
Diagnose medial epicondylitis?
Recognize occupational and activity related risk factors for medial epicondylitis?
Understand nerve conditions related to medial epicondylitis?