Case Title: Acetabular Augment for Acetabular Bone Deficiency
Demographics
Age: 80 years Sex: Female BMI: 27
Relevant Past Medical History
Principal pathologies: Infected THA with femoral and acetabular bone loss.
Previous surgical procedures: Multiple previous THAs with loss of abductors and recurrent dislocations. Currently with MRSA deep infection.
Other: Relatively healthy for age of 80 years.
History of presenting complaint : Presents with a draining wound and well-fixed cementless components with a constrained liner due to absent abductor mechanism (Fig. 19.12). Treated with Prostalac and six weeks of IV antibiotics (Fig. 19.13). At the 6-week point, the patient sustained a ground level fall with an acetabular fracture and displacement of the acetabular Prostalac (Fig. 19.14).
Clinical Examination
Symptoms: Pain, shortening of the right THA. Prior Trendelenburg gait, now unable to mobilize.
Range of motion: Painful ROM.
Specific tests: ESR and CRP were elevated, and hip aspiration revealed MRSA infection. After IV antibiotic treatment, CRP and ESR had improved but remained elevated. Aspiration of the hip was negative for infection.
Neurovascular evaluation: Intact.
Preoperative Radiological Assessment/Imaging
(Figs. 19.12, 19.13, and 19.14)




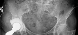
Fig. 19.12 AP X-ray right THA with well-fixed components and severe osteoporosis with healed inferior pubic ramus fracture 



Diagnosis : Treated MRSA infection of the right THA with acute acetabular fracture and patient now unable to mobilize due to pain (Fig. 19.14).
Possible treatment options: Infection workup to ensure that the infection has been treated adequately. Reimplant with acetabular augments for deficient acetabular rim and distal femoral fixation for femoral bony deficiency.
Chosen treatment method: Cementless acetabular fixation with a highly porous augment
reconstruction of the superior rim and a modular Wagner revision stem for distal femoral fixation.
Expected difficulties: Severe osteoporosis and bone loss of the acetabulum and femur.
Strategies to overcome difficulties: Cementless high porous augment to buttress the superior rim of the acetabulum. Distal fixation of the femoral component to accommodate severe bone loss.
Surgical Note
Patient’s position: Lateral. Type of anesthesia: General. Surgical approach: Posterior.
Main steps : (1) Prostalac removal. (2) Preparation of the anatomic acetabulum with reamers to determine the cup size. (3) Size acetabular rim defect and use reamers to size defect and prepare a smooth surface. (4) Place augment with provisional pins with the trial cup in place. (5) Add screws to augment. (6) Apply cement to the augment and impact acetabular component. (7) Prepare femur and insert stem (Figs. 19.15 and 19.16).

--- Fig. 19.15 Intraoperative view of the acetabular rim defect and augment with cement at the component interface. Modular Wagner femoral revision stem with severe proximal femoral bone loss #### Intraoperative Challenges
Challenges and solutions: Need to anticipate the loss of acetabular rim bone and have appropriate implants available. Poor bone quality required very delicate reaming of the acetabulum and the rim defect.
Postoperative Radiographs
(Fig. 19.16)




Postoperative Management
Chemoprophylaxis and anticoagulant treatment period: Standard DVT prophylaxis for high-risk patients (Coumadin × 4 weeks)
Gait/limb loading until full loading: Dislocation precautions and touchdown weight bearing for six weeks
Discussion
Why is the chosen technique better for this case? There are a number of techniques to address acetabular bone deficiencies. This defect could have been managed with a structural allograft, a cemented cage reconstruction, a cup-cage construct, or a custom triflange component. Morselized allograft or impaction grafting techniques would not have provided sufficient rim support in this case. With the recent infection, the use of allograft is worrisome for recurrent infection. The small size of the patient limits the effectiveness of a cup-cage construct in this particular case because a smaller cup would not allow for a large head to help prevent dislocation.
Level of evidence concerning the superiority of this method against others : Several publications have documented reliable fixation at midterm follow-up with the use of acetabular augments, and the use of modular Wagner revision stems in the face of severe bone loss [12, 35, 36].