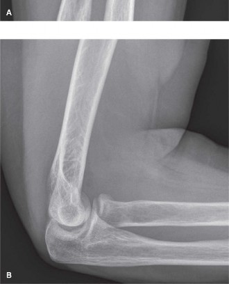
A 36-year-old, right-hand-dominant male presents to the emergency department with right arm and elbow pain after he fell over his handle bars while mountain biking. Physical examination finds the right upper extremity to be an isolated injury with the exception of some abrasions and ecchymosis about his face and bilateral upper extremities. Examining his elbow reveals tenderness about the radial head and marked pain with flexion, extension, pronation, and supination. There does not appear to be any mechanical block to motion although crepitation is appreciated with forearm rotation. Radiographs are shown in Figure 6–16A and B.


Figure 6–16 A–B
Which of the following would be an indication for operative treatment of this
radial head fracture?
- Severe pain which limits passive range of motion on examination of the elbow in the emergency department
- Fracture involvement of 30% of the radial head articular surface
- 2 mm of fracture displacement at the articular surface
- Restricted forearm supination with mechanical block to motion
Discussion
The correct response is “D.” The included images show a partial radial head fracture with displacement. While 2 mm of articular displacement is a relative indication for operative management, the only choice listed which is an agreed-upon surgical indication for partial radial head fractures is a fracture which produces a block to motion. Severe pain limiting a complete range of motion examination is not uncommon in the acute injury setting. Aspiration of elbow hematoma with or without injection of local anesthetic can assist with pain control and allow for a more accurate range of motion examination to determine whether or not the fracture is creating a mechanical block to motion. Other indications for operative treatment of a radial head fracture include comminuted fractures and those associated with complex injuries such as elbow dislocations, Monteggia fractures, or distal radioulnar joint (DRUJ) disruption. Figure 6–17 demonstrates the Mason classification of radial head fractures.

Figure 6–17(Illustrated by David Beavers.)
The patient follows up in your clinic and is noted to have pain with pronation and supination which is greater than would be expected 1 week out from injury. He is also exquisitely tender about the distal radius and ulna.
Which possible missed injury are you most concerned for?
- Triangular fibrocartilage complex (TFCC) tear
- Distal radius fracture
- Distal radioulnar joint (DRUJ) disruption
- Triquetral avulsion fracture
Discussion
The correct answer is (C). When treating patients acutely who have traumatic musculoskeletal injuries, it is not uncommon for injuries of the hand or wrist to go initially undiagnosed. Concomitant injuries to the elbow and wrist are found in approximately 30% of radial head fractures. Of the listed wrist injuries above, a disruption of the DRUJ is of particular importance when accompanying a radial head or neck fracture. This injury combination is known as the Essex-Lopresti lesion and constitutes not only a radial head fracture and DRUJ injury, but also a disruption of the interosseous membrane of the forearm. It is important to recognize this injury early as it is associated with significantly worse outcomes when treated nonoperatively, or with radial head resection, as compared to these treatments in the setting of an isolated radial head fracture. A retrospective review on 20 patients with this injury pattern showed good to excellent elbow outcomes in 80% of those whose injury was recognized prior to initial surgical intervention, and in only 27% of those whose Essex-Lopresti injury was discovered at a later date.
You plan to perform open reduction with internal fixation of this radial head fracture.
When using plate and screw fixation for radial head or neck fractures, where should the plate be placed?
- Anteriorly (volar) with the forearm in supination
- Directly lateral with the forearm in supination
- Directly lateral with the forearm in neutral position
- As dorsal as possible with the forearm in pronation
- 180 degrees from the radial styloid
Discussion
The correct answer is (C). Anatomic studies of the proximal radioulnar joint have found there to be an approximately 90- to 110-degree arc of the radial head which does not articulate with the ulna during pronation or supination. This is known as the “safe zone” and it can be identified intraoperatively by placing the forearm into neutral position, where this zone is then centered about the equator of the radial
head. This nonarticulating region is the desired location to position hardware for internal fixation. Figure 6–18 demonstrates this “safe zone” with the forearm in neutral position, supination, and pronation.

Figure 6–18(Illustrated by David Beavers.)
Objectives: Did you learn...?
Assess for associated injuries with radial head fractures? Indications for operative management?
“Safe zone” for hardware placement on the radial head and/or neck?