A 65-year-old female presents with a painful, left total knee replacement that was performed 7 years ago. The pain began WITHOUT trauma several months ago and is progressively worsening. She has started to use a walker for ambulation and is becoming increasingly reliant on it. Examination shows a profound varus deformity with varus thrust. Radiographs are shown in Figure 7–9A and B.


Figure 7–9 A–B
What is the next step in evaluation of this patient?
- ESR, CRP
- Indium-labeled leukocyte scan
- CT scan
- Joint aspiration
Discussion
The correct answer is (A). In any painful knee replacement with loosening and mechanical failure, a diagnosis of infection should be ruled out. Prosthetic joint infection can be present in absence of overt clinical signs of infection such as redness, drainage, or fever. ESR and CRP are the most commonly used laboratory tests in the evaluation of the painful TKA. ESR less than 30 mm/h and CRP less than 10 mg/dL are consistent with a low likelihood of infection.
Serum inflammatory markers are negative in this patient. What is the most likely cause of her symptoms?
- Aseptic loosening
- Patellar tendinitis
- Arthrofibrosis
- Patellar clunk
Discussion
The correct answer is (A). When evaluating the painful total knee replacement, it is helpful to divide the etiology of the pain into either intra-articular/intrinsic or extra-articular/extrinsic knee pain. Intra-articular problems include aseptic loosening, malalignment, polyethylene wear, osteolysis, implant failure/breakage, arthrofibrosis, patellar clunk, and extensor mechanism dysfunction. Extra-articular problems include referred pain from the hip or spine, neuroma, complex regional pain syndrome, vascular claudication, soft tissue inflammation (pes anserine bursitis, patellar or quadriceps tendonitis), or periprosthetic fracture. It is always imperative to establish a diagnosis before embarking upon revision surgery as simply “re-doing” surgery without a diagnosis is not likely to lead to improvement of symptoms. This patient’s x-rays demonstrate a periprosthetic fracture with loosening of the tibial component, medial bone loss, and collapse of the proximal medial tibia. This occurred without trauma and was progressive in nature, and thus the fracture likely occurred through a region of osteolysis that was causing progressive medial tibial collapse with concomitant aseptic loosening.
What other tests will be helpful in preoperative planning for this patient?
- MRI
- Bone scan
- Metal allergy testing
- 3-ft standing film
Discussion
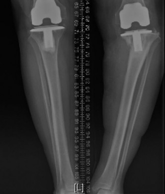
The correct answer is (D). Since the patient has an abnormality of alignment, it is important to obtain a 3-foot standing view to measure mechanical and anatomic axis (Fig. 7–10). MRI is not helpful in the setting of most revision TKR. Bone scan is not indicated as the implants are clearly loose on plain films. Metal allergy testing is not likely to be the cause of the implant failure given that radiographs are consistent with aseptic loosening.


Figure 7–10
Which of the following is NOT considered a good reconstructive option to address the bone loss and loss of fixation in this case?
- Fixation with long stems in the tibia and femur
- Porous metal metaphyseal cones
- Structural allograft
- Metal augments
- Morselized cancellous allograft
Discussion
The correct answer is (E). The x-rays demonstrate bone loss with an uncontained tibial defect and loosening of the components. Revision should include stemmed implants to improve fixation and a method to reconstruct the uncontained defect with either porous metal metaphyseal cones (such as Trabecular Metal™ cones), metal augments, or structural allograft. Cancellous graft can only be used in contained defects where there is sufficient cortical bone to contain the defect. In this patient, porous metal cones were used to reconstruct the metaphyseal defect. Cemented stems were used for fixation, and a constrained implant was needed because of collateral ligament insufficiency (Fig. 7–11).

Figure 7–11 painful knee in a patient with history of TKR
Objectives: Did you learn...?
The evaluation for a painful knee in a patient with history of TKR? Causes for revision TKR?