- A 12-year-old patient with osteosarcoma of the proximal tibia undergoes image-guided biopsy for confirmation of diagnosis.
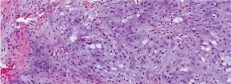
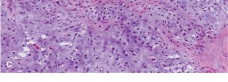
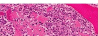
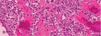
Which of the following histopathologic slides (Fig. 8–24A–D) is most consistent with osteosarcoma?
🔍 Click to enlargeClinical Radiograph / Orthopedic Image
🔍 Click to enlargeClinical Radiograph / Orthopedic Image
🔍 Click to enlargeClinical Radiograph / Orthopedic Image
Figure 8–24 A–B




Figure 8–24 C–D
Discussion
The correct answer is slide (D). Histologic examination of osteosarcoma reveals “lace-like” pink osteoid formed by malignant osteosarcoma cells. The degree of pleomorphism and atypia is considerable. Areas of necrosis with few viable cells (if any) are often seen.
All factors have been shown to play a role in prognosis in osteosarcoma except:
- Tumor grade
- Dose of immediate postoperative radiation
- Presence of skip lesions
- Percent of necrosis after neoadjuvant chemotherapy
Discussion
The correct answer is (B). Radiation plays no role in the standard treatment of osteosarcoma. Tumor grade is the most prognostic indicator in osteosarcoma. In
addition, the percentage of necrosis after adjuvant chemotherapy is related to overall survival, with >90% necrosis associated with significantly increased survival. The 5-year survival of patients with localized osteosarcoma in an extremity is 65% to 70%, however, skip lesions occur in 10% of patients and represent a similar prognostic indicator as lung metastases. The 5-year survival of patients who present with metastatic disease is 20%. In addition, elevated lactate dehydrogenase and alkaline phosphatase have been reported to be poor prognostic factors.
Which variant of osteosarcoma is characterized by large, blood-filled cavities?
- Parosteal osteosarcoma
- Telangiectatic osteosarcoma
- Periosteal osteosarcoma
- High-grade surface osteosarcoma
Discussion
The correct answer is (B). Telangiectatic osteosarcoma is a rare histologic variant of osteosarcoma containing large, blood-filled cavernous spaces. It represents approximately 4% of all osteosarcomas and can present with pathologic fracture in 25% of cases. It appears on radiographs as a purely lytic lesion with cortical erosion, and MRI often shows fluid–fluid levels. Differential diagnosis therefore includes aneurysmal bone cyst. Treatment is the same as classic osteosarcoma. Objectives: Did you learn...?
Histology of osteosarcoma?
Grading, staging, prognosis, and subtypes of osteosarcoma?