Diagnosis and Management for Humeral Shaft Fractures

Interpretation of X-ray Image
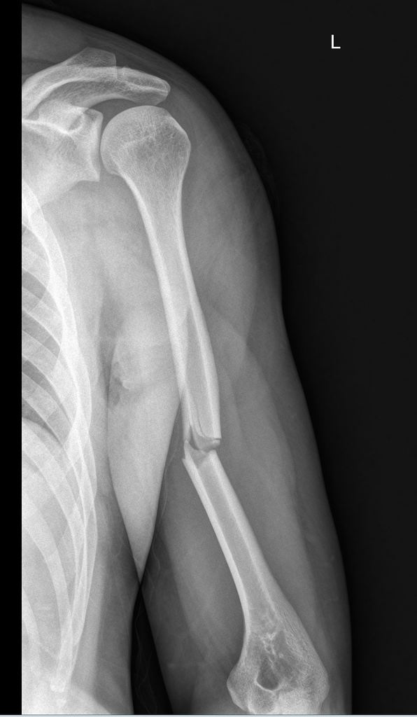
The X-ray image reveals a displaced fracture located in the middle third of the left humerus. There are no signs of dislocation in the left shoulder. On examination, the patient presented with pain and deformity in the left middle humerus, with no pain at the shoulder or elbow joints. Based on these findings, the fracture can be classified as a mid-shaft humerus fracture.
Humeral Shaft Fracture: Questions and Answers
* EXAMINER: Can you interpret the X-ray image and describe the type of fracture shown for a 35-year-old male patient who presented with left arm pain after slipping and falling on a flexed elbow at work?
* EXAMINER: Can you provide an overview of the epidemiology and anatomy of humeral shaft fractures, along with their mechanism of injury and clinical evaluation?
* EXAMINER: Can you describe the different treatment options available for humeral shaft fractures?
* EXAMINER: Can you describe the classification system for humeral shaft fractures? What is a Holstein-Lewis fracture and what is the incidence of radial nerve palsy associated with it?
* EXAMINER: What are the indications for nonoperative treatment of humeral shaft fractures?
* EXAMINER: What surgical approaches can be used for open reduction and internal fixation (ORIF) of humeral shaft fractures?
- EXAMINER: What is the incidence and treatment options for radial nerve palsy associated with humeral shaft fractures?