Score: 0%
ORTHOPEDIC MCQS ONLINE 012 TRAUMA
ORTHOPEDIC MCQS ONLINE 012 TRAUMA
2012 Musculoskeletal Trauma Self-Assessment Examination by Dr.Dhahirortho
1
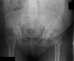
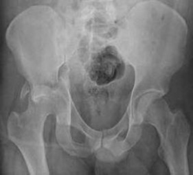
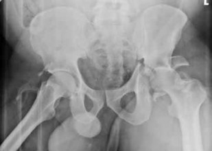
Q. 1Figure 1 is the radiograph of a 62-year-old woman who fell and sustained a left hip fracture. A radiographis shown in Figure 1. Which of the following preoperative risk factors is associated with the highest postoperative mortality rate?







2012 Musculoskeletal Trauma Self-Assessment Examination by Dr.Dhahirortho
1
Q. 1Figure 1 is the radiograph of a 62-year-old woman who fell and sustained a left hip fracture. A radiographis shown in Figure 1. Which of the following preoperative risk factors is associated with the highest postoperative mortality rate?







Figure 3a Figure 3b Figure 3c Figure 3a is the initial radiograph of a 19-year-old man who sustained a closed clavicle fracture. Figures 3b and 3c show postoperative radiographs. If the patient had been treated nonsurgically, which of the following would most likely occur?






-What is the most common anatomic location of the lateral femoral cutaneous nerve?






Figures 6a and 6b are the radiographs of a thin 23-year-old man who sustained a closed injury to his left arm in a fall. He has no other injuries and his neurologic examination is normal. What is the most appropriate treatment?
Figure 7Figure 7 is the pelvic radiograph of a 33-year-old man involved in a high-speed automobile crash. Examination reveals a blood pressure of 90/50 mm Hg and a pulse rate of 120/min. Radiographs of the chest and lateral cervical spine are normal. A CT scan of the abdomen does not reveal any intraabdominal bleeding. What is the most appropriate management for the pelvic fracture?




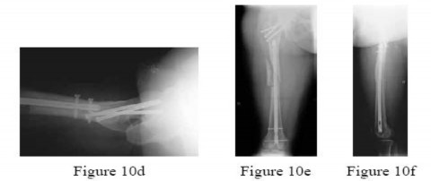
-Figures 10a and 10b are the radiographs of a 33-year-old man who was involved in a high-speed motorcycle crash. He sustained an isolated injury to the right lower extremity. On the day of injury, he was treated with open reduction and internal fixation of the femoral neck and retrograde nailing of the femur.
Radiographs are shown in Figures 10c through 10f. Alternative treatment with a cephalomedullary device alone would be more likely to lead to which of the following outcomes?



Radiographs are shown in Figures 10c through 10f. Alternative treatment with a cephalomedullary device alone would be more likely to lead to which of the following outcomes?



.Figures 11a and 11b show the radiographs of the open fracture of a 46-year-old man who injured his elbow on his nondominant arm in a motorcycle crash. On the day of injury, he underwent irrigation and débridement of the fracture. He was also treated with antibiotics. Which of the following definitive treatment methods will most likely lead to the best functional outcome?


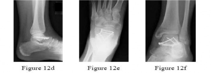
.Figures 12a through 12c show the radiographs of the closed fracture of a 24-year-old man who sustained an isolated injury to his left foot in a motorcycle crash. He was splinted and, on the following day, he nunderwent open reduction and internal fixation. Postoperative radiographs are shown in Figures 12d through 12f. What is the most likely complication of this injury?




When comparing the results of open reduction and internal fixation (ORIF) versus antegrade intramedullary nailing (IMN) fixation of the humeral diaphysis in prospective randomized trials, which of the following statements is most accurate?
Which inflammatory marker is most closely tied to a systemic inflammatory response following orthopaedic injury and treatment?




When attempting to treat a proximal tibial metadiaphyseal fracture with an intramedullary nail, what is the most common angular malalignment?
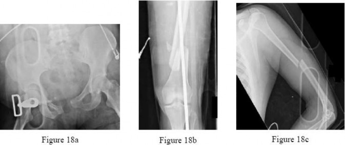
Figures 18a through 18c show injuries sustained by a 22-year-old woman after falling 45 feet while mountain climbing. After being airlifted to the nearest trauma center, her arterial blood gas was 7.21, pO2 84, pCO2 48, and base arterial blood gas was 7.21, pO2 84, pCO2 48, and delta base -11 mmol/L. Her Hg is
8.7 and her resuscitation is ongoing. Based on this data, what would be the best management of her orthopaedic injuries?

8.7 and her resuscitation is ongoing. Based on this data, what would be the best management of her orthopaedic injuries?

Figure 19bFigures 19a and 19b are the radiographs of a 32-year-old woman who has sustained multiple injuries after being struck by a motor vehicle while riding a bicycle. She is intubated on arrival and remains tachycardic and hypotensive. Pulses are hard to palpate but the right hand is somewhat cooler to touch than the left hand. She has a large open wound over the upper arm. What is the most important predictor of outcome with these injuries?


Figures 20a and 20b are the radiographs of a 19-year-old woman who was involved in a motor vehicle accident. What mechanism of injury is most consistent with the injury?






Figure 21Figure 21 is the radiograph of a 45-year-old woman who was severely injured in a motorcycle crash.Her injuries include a traumatic subarachnoid hemorrhage, bilateral pneumothoraces with pulmonary contusions and flail chest, fracture-dislocation of the left hip, and open fractures of the right distal femur and proximal tibia. Antibiotics and tetanus are administered in the emergency department. The patient is intubated and bilateral chest tubes are placed. A closed reduction is performed on the left hip. After appropriate
resuscitation, what is the most appropriate initial management of the right knee injury?

resuscitation, what is the most appropriate initial management of the right knee injury?

Figure 22Which of the following strategies is helpful to avoid the complication seen in Figure 22?


Figure 23Figure 23 is the radiograph of a 22-year-old woman who was involved in a motor vehicle collision. She reports isolated pain in her left shoulder. She is hemodynamically stable, respiring comfortably, and neurovascularly intact. Based on these findings, which of the following statements regarding treatment is most appropriate?
A 19-year-old man underwent intramedullary nailing of a closed tibia fracture 1 year ago and has never been pain free. While playing football, he was tackled and sustained the injury shown in Figure 24a.What is the best treatment option based on the radiographs seen in Figures 24b and 24c?


Figure 26Figure 26 is the radiograph of a 33-year-old woman who was involved in a high speed motor vehicle crash. Her initial blood pressure is 80/50 mm Hg and she has a pulse rate of 120 bpm. After hemodynamic stabilization and temporizing measures have been performed, the patient is cleared for surgery. What is the most appropriate method of definitive fixation?




Of the following variables, which has the strongest influence on external fixator stiffness?


Figure 29Figure 29 is the radiograph of a 30-year-old man who sustained an isolated tibial shaft fracture. What is the most common deformity with nonsurgical management?
Figures 30a and 30b are the radiographs of a 61-year-old man with diabetes who fell from a ladder and sustained an isolated closed fracture. After realignment and splint application, what is the most appropriate next step in management?


A 45-year-old man sustained the injury shown in Figures 36a and 36b. The involved side is his dominantside. What is the most appropriate management?


Which set of patient characteristics has the highest risk of developing osteonecrosis after an intracapsular femoral neck fracture?
-When compared with reamed intramedullary nailing for an unstable diaphyseal tibia fracture, undreamed nailing is associated with which of the following?


A patient with an unstable pelvic ring injury has just undergone an emergent laparotomy and currently has a packed abdomen. Stabilization of the pelvic ring is performed with an anterior external fixator. What is an advantage of using an external fixator with pins in the iliac crest rather than pins in the anterior inferior iliac spine?
What finding would most likely be present on an AP radiograph of a nondislocated elbow with an anteromedial coronoid fracture?
Which of the following is the major blood supply to the heel pad?
Figure 47a Figure 47bFigures 47a and 47b are the radiograph and CT scan of a 45-year-old man who was involved in a highspeed motor vehicle accident. What is the most appropriate treatment?


Figure 49Which of the following is expected as a sequela with the use of a knee-spanning external fixator as a temporary method of
stabilization for the injury shown in Figure 49?
stabilization for the injury shown in Figure 49?
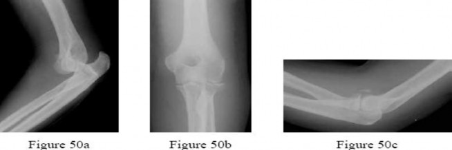
Figure 50cFigure 50a is the radiograph of a 25-year-old man who fell off his bike, landed on his outstretched elbow, and sustained a closed fracture-dislocation of the elbow. After urgent closed reduction, he has no neurovascular compromise. Postreduction radiographs are shown in Figures 50b and 50c. What is the most appropriate management?


A 31-year-old man sustained an unstable closed left posterior hip dislocation in a motorcycle accident. A postreduction radiograph is shown in Figure 51a. 3-D CT scans are shown in Figures 51b and 51c. What is the optimal surgical approach that will allow for the most appropriate treatment?




What is the most common complication following surgery for a “terrible triad” elbow fracture-dislocation?
Figure 53 is the radiograph obtained at the time of transfer to the trauma center of a 41-year-old man who was involved in a motor vehicle accident. What is the most appropriate initial management?


are the radiographs of a 23-year-old man who fell from a height and sustained an isolated injury to his right leg. Which of the following is a useful surgical technique to optimize alignment during intramedullary nailing?


A 27-year-old man who was involved in a high-speed motor vehicle crash arrives at the trauma center with loss of consciousness, multiple posterior rib fractures, a left scapula body fracture, a left humerus fracture,
bilateral femoral shaft fractures, and an open right ankle fracture-dislocation. Initial vital signs are a blood pressure of 88/50 mm Hg, a pulse of 120 bpm, and respirations of 22/min. His injury severity score is 28 and lactate levels are 2.7. CT scans of the head and abdomen are negative for hemorrhage, and after initial resuscitation the patient is cleared for surgery. Initial orthopaedic management should consist of débridement and irrigation of the right ankle with



bilateral femoral shaft fractures, and an open right ankle fracture-dislocation. Initial vital signs are a blood pressure of 88/50 mm Hg, a pulse of 120 bpm, and respirations of 22/min. His injury severity score is 28 and lactate levels are 2.7. CT scans of the head and abdomen are negative for hemorrhage, and after initial resuscitation the patient is cleared for surgery. Initial orthopaedic management should consist of débridement and irrigation of the right ankle with



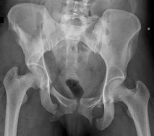
-Figures 56a and 56b are the radiographs of an 88-year-old woman who had a ground level fall.Examination reveals no neurovascular compromise, and the skin condition is good. The patient is otherwise in good health, does not take medication, and lives by herself. What is the most appropriate treatment?


-is the radiograph of a 58-year-old woman who is right-hand dominant and has fallen on her flexed right elbow and is seen in the emergency department reporting isolated episodes of right elbow pain. Examination reveals that the skin is contused but intact, and her distal neurovascular examination is normal. What is the most appropriate treatment?
-A 41-year-old man is involved in a high-speed motor vehicle crash and sustains a closed femoral midshaft fracture and a unilateral pulmonary contusion with a hemothorax, requiring placement of a chest tube.He has an initial blood pressure of 90/50 mm Hg. After receiving two liters of crystalloid, he has a blood pressure of 115/70 mm Hg and a heart rate of 90 bpm. He has normal mentation and does not require ventilator support. An arterial blood gas reveals that his delta base is -2 mmol/L. What is the most appropriate treatment for his femoral fracture?
-A 20-year-old concert pianist sustained a diaphyseal radius fracture and underwent open reduction and internal fixation 3 years ago. She is thin and reports that the plate is irritating her after playing the piano for an hour or more. She undergoes elective plate removal of the 3.5 mm plate and 2 weeks later she refractures the radius. Which of the following statements is most accurate?


-are the radiographs of a 42-year-old man who was involved in a motorcycle crash. His vital signs are a pulse of 122 bpm, a blood pressure of 145/88 mm Hg, and a respiratory rate of 24/min. He has some facial trauma but his Glasgow coma scale score is 14. His delta base is -2mmol/L. His primary and secondary surveys reveal no other injury. What is the most appropriate initial management?


-is the radiograph of a 34-year-old woman who was involved in a rollover motor vehicle accident. On arrival at the trauma center she is hypotensive and tachycardic. An abdominal CT scan reveals a spleen laceration. The patient remains hypotensive despite resuscitation and is taken to surgery for an emergent laparotomy and splenectomy. After surgery her delta base is -9 mmol/L. What is the most appropriate management of her pelvic ring injury?


-When planning pin placement for external fixation of the tibia, what is the maximum extent of the knee capsular reflection from the subchondral joint line?
- are the radiographs of a 24-year-old left-hand dominant man who felt a “snap” in the left mid-arm while arm wrestling. Examination reveals an isolated closed injury. He has significant pain and gross instability about the upper arm. His compartments are soft and he has good pulses with a wellperfused hand. He is unable to actively extend his wrist and fingers. Following splinting of the arm, his examination findings remain unchanged. What is the next most appropriate step in management?




-are the radiographs of a 62-year-old woman who is seen in the emergency department after a fall to a flexed knee. She underwent posterior-stabilized total knee arthroplasty 6 years ago. She has no other injuries and was previously a community ambulatory without assistance. What is the most appropriate treatment?
-A patient undergoes open reduction and internal fixation of a displaced radial neck fracture. What position should the forearm be in during the approach and during fixation?
-A 45-year-old man sustained bilateral femur fractures in a motorcycle accident. On admission to the emergency department, the patient is unconscious with a heart rate of 120 bpm and a systolic blood pressure of 80 mm Hg. A chest radiograph reveals bilateral pulmonary contusions. After resuscitation with 2 L of crystalloid, the patient’s heart rate is 115 bpm, the systolic blood pressure is 90 mm Hg, and the patient’s delta base is -10 mmol/L. What is the most appropriate treatment for the femoral fractures at this point?
-What approach should be chosen for the injury seen in Figure 67?


-are the radiographs of a 58-year-old right-hand dominant woman who fell from a standing height directly onto her left shoulder and now reports left shoulder pain and is unable to elevate her arm. She has a normal sensory examination. The patient refuses any type of surgical intervention.What factor will have the greatest impact on her outcome at 1 year?


-is the radiograph of a 52-year-old right-hand dominant man who fell while skiing. He was initially treated at a mountainside clinic where he was placed in a sling. He now reports moderate shoulder pain but has no other complaints. What is the most appropriate management?
-Pelvic packing for a hemodynamically unstable patient with a pelvic ring fracture is best described by which of the following techniques?
-A previously healthy man who weighs 70 kg (154 lb) sustains an acute blood loss of 2 liters after a motorcycle crash. Which of the following statements about physiologic parameters is unique to this amount of blood loss?
- are the radiographs and CT scans of a 45-year-old man who fell 10 feet from a ladder and sustained an injury to the right knee. Examination reveals no open wounds and the skin was in good condition with moderate swelling and no fracture blisters. The patient is neurovascularly intact.What is the most appropriate treatment?


-are the radiographs of a 57-year-old woman who twisted her ankle stepping off a curb and now has lateral foot pain. Examination reveals intact skin and point tenderness over the base of the fifth metatarsal. What is the most appropriate treatment?


-Which of the following factors is associated with improved outcomes following surgery for hip fractures?
- are the CT scans and radiographs of a 56-year-old man who is a restrained driver involved in a motor vehicle accident in which his car is struck at 35 mph. He has pain to the right buttock and groin regions. Examination reveals that he is neurologically intact and has no evidence of other injuries. What is the most appropriate management at this time?




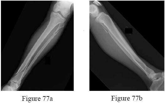
-How is the fracture pattern shown in Figures 76a through 76c best classified?




-are the radiographs of a 45-year-old man who fell into a ditch and sustained a twisting injury to the left lower extremity. Examination in the emergency department reveals normal neurologic function, no skin compromise, and palpable pedal pulses. The patient has no other complaints and has an otherwise normal examination. What additional imaging study is recommended?


-Long-term alendronate (Fosamax) use for osteoporosis has been associated with which of the following?
-are the radiographs of a 78-year-old right-hand dominant man who fell at home and sustained an isolated injury to his right shoulder. He lives alone and is independent with his activities of daily living. Examination reveals a closed injury and a normal neurologic examination. What is the most appropriate management?


-A 38-year-old woman is polytraumatized in a motor vehicle crash. She has multiple injuries including a unilateral femur fracture. The patient is felt to be borderline and, although she is currently stable,she could potentially deteriorate quickly. Which of the following parameters has been suggested as an indicator of which patients would benefit from damage control?
-A 37-year-old man is evaluated in the emergency department after a motor vehicle accident at 40 mph. He reports low back and buttock pain and numbness in his perineum. After initial radiographic evaluation of his pelvis, he is advised to attempt weight bearing but is unable to because of severe pain. A CT scan of the pelvis is ordered. The radiographs and CT scan are shown in Figures 81a through 81d. What study should be obtained next?








-are the radiographs of a 52-year-old woman who fell down the stairs and sustained an acute hemarthrosis of the elbow. What is the most common complication following surgical treatment of this injury?
-The vessel that is exposed crossing the interval used for an anterior approach to the hip between the tensor fascia lata and the sartorius muscle is a branch of what artery?
-Which of the following is the best predictor of mortality after a patient has sustained a pelvic ring injury?
-What is the best way to determine whether a radial head implant is too thick intraoperatively?


-are the radiographs of an 18-year-old pedestrian who was struck by a car. During intramedullary nailing, it is difficult to maintain proper alignment. Poller blocking screws placed in the proximal fragment at which position(s) relative to the nail can help prevent the typical deformity?
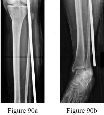
-a is the radiograph of a 24-year-old man who was involved in a motor vehicle accident. A closed reduction is performed and a post-reduction CT scan is shown in Figure 89b. What is the next most appropriate step in management?


-are the radiographs of the right leg of a 30-year-old man who sustained a crush injury to his right chest, abdomen, and right leg after being pinned under a hydraulic jack. He has a blood pressure of 170/90 mm Hg. He is intubated and sedated secondary to his pulmonary injury. Six hours later he has a swollen lower leg. Examination reveals significant swelling but palpable pulses.Compartment pressures ranged from 32 to 41 mm Hg. What is the next step in management?


-is the radiograph of a 20-year-old man who kicked a door while intoxicated. At the emergency department, his leg is placed into a long-leg cast. After 2 hours, he reports increasing pain, numbness, and tingling in his toes. What is the most appropriate initial treatment?




-is the initial lateral radiograph of the foot of a 55-year-old woman who felt a pop in her left foot as she stepped off the curb. She subsequently had severe heel pain and could not bear weight.Examination in the emergency department revealed a bony prominence over the posterior aspect of the heel with blanching of the surrounding skin. What is the most appropriate orthopaedic management?


-A 24-year-old man is involved in a motor vehicle accident at 60 mph. He sustains multiple injuries including an intra-abdominal injury requiring a splenectomy and a closed right femoral shaft fracture.Which variable will best indicate the patient’s resuscitation status when deciding whether to proceed with definitive care of the fracture at the conclusion of the laparotomy?
-A 27-year-old woman who was an unrestrained driver in a head-on collision sustained the following injuries: bilateral supracondylar femur fractures, a left talus fracture, multiple left metatarsal fractures, a right distal radius fracture, and a left open elbow fracture-dislocation. Which of the following serologic inflammatory markers drawn in this patient has been shown to be a reliable measure of systemic inflammatory response, correlating with injury severity and outcome?
- are the radiographs of a 27-year-old man involved in a motorcycle crash who sustained a right proximal humerus fracture. Which of the following is most associated with osteonecrosis?


-Clinical staging of osteomyelitis using the Cierney-Mader classification system takes into account which of the following factors?


-A 63-year-old woman with osteopenia is struck by a motor vehicle and sustains a Schatzker 2 (AO/OTA Type B) fracture of the lateral tibial plateau. She has
1.5 cm of joint depression and 7 mm of condylar widening. What is the most appropriate surgical fixation for this injury?
1.5 cm of joint depression and 7 mm of condylar widening. What is the most appropriate surgical fixation for this injury?
-Which of the following imaging studies must be obtained for this patient?
-What is the most appropriate protocol for surgical management of this patient?
-Treatment of the patient’s injury is best accomplished by which of the following?
-What is the optimal initial treatment for his orthopaedic injuries?
-Definitive fixation of the tibia is ideally
-Four months after injury, the tibia is showing evidence of slow healing on radiographs. What is the optimal treatment for this potential nonunion?