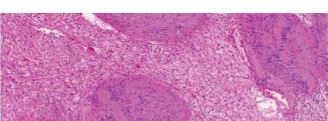
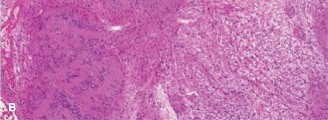
A 46-year-old male presents to you for a second opinion. He recently underwent
surgery to remove a mass from his forearm. His surgeon told him he had a benign tumor of his nerve sheath, but he is extremely anxious about the potential for malignancy. He brings with him the histology slides from his excisional biopsy and asks you to review them. Histology slides are shown in Figure 8–44A and B.



Figure 8–44 A–B
What is the most likely diagnosis?
- Schwannoma
- MPNST
- Neurofibroma
- Undifferentiated sarcoma
Discussion
The correct answer is (A). Schwannomas demonstrate two types of histologic features. On the left is a region of palisading spindle cells (Antoni A areas) and on the right is an area with myxoid background (Antoni B area). The presence of these
two distinctively characteristic areas is suggestive of schwannoma. Histologic examination of MPNST reveals spindle cells that resemble fibrosarcoma with patterns of sweeping fascicles and Schwann cells arranged asymmetrically. Neurofibromas demonstrate a more disorganized pattern in comparison to the palisading spindle cells of schwannoma. There is nothing atypical about these cells that would suggest undifferentiated sarcoma.
He explains that he was concerned because his mother had neurofibromatosis. What is the inheritance pattern of this condition?
- Autosomal recessive
- Autosomal dominant
- X-linked recessive
- X-linked dominant
Discussion
The correct answer is (B). Type 1 neurofibromatosis (NF-1) is the most common single-gene disorder of the nervous system. It presents with numerous cutaneous and deep neurofibromas, café-au-lait spots, freckling, and cognitive disorder. The defect is on chromosome 17a11.2 in a gene encoding for neurofibromin, a tumor suppressor gene. Its inheritance pattern is autosomal dominant, although 50% of cases are new mutations.
Objectives: Did you learn...?
To recognize a schwannoma by histology?