A 27-year-old, competitive triathlete sustained an injury to her left foot while trail running when she had a misstep impacting her foot and twisting it. She was seen at a local emergency department, had supine x-rays performed, and was diagnosed with a foot sprain. She presents to clinic now 3 weeks post injury with persistent pain upon weight bearing and an inability to run. There is mild edema, faint plantar ecchymosis, and tenderness to palpation in the midfoot without obvious deformity.
What is the most appropriate next step in treatment?
- CT scan of the foot
- MRI of the foot
- Physical therapy
- Weight-bearing radiographs
Discussion
The correct answer is (D). This patient has signs and symptoms consistent with a Lisfranc complex injury. Her plantar ecchymosis, in particular, is concerning for a more involved injury than a simple sprain. The Lisfranc complex is composed of the distal intertarsal, tarsometatarsal, and proximal intermetatarsal joints and their supportive bony and ligamentous structures. Together, these structures form a strong bony and capsuloligamentous structure likened to a Roman arch, which maintains the longitudinal and transverse support of the foot. The apex of the arch, or the so-called keystone, is at the second tarsometatarsal joint. The base of the second metatarsal sits in a recessed mortise between the medial and lateral cuneiforms and is supported by the stout Lisfranc ligament. There is no proximal intermetatarsal ligament between the first and second metatarsals, rather, the Lisfranc ligament connects the plantar base of the second metatarsal to the medial cuneiform. This ligament may be torn, or may contribute to a small avulsion fracture at the base of the second metatarsal, referred to as the fleck sign (Fig. 5–83). Static, nonweight-bearing radiographs may show concentric reduction of more subtle injuries, and so weight-bearing x-rays or stress x-rays of the foot should be obtained if clinical suspicion is high. CT scan may aid in preoperative planning, and
MRI may be useful in patients unable to tolerate weight-bearing or stress radiographs. Physical therapy may be useful if instability is ruled out.


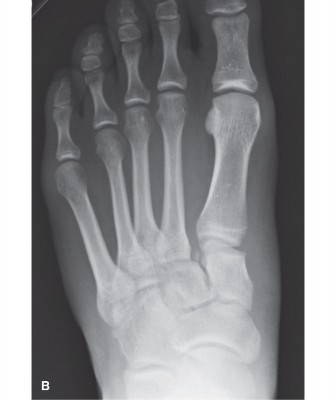
Figure 5–83 A: AP weight-bearing radiographs of the bilateral feet for comparison, showing diastasis of the
first intermetatarsal space and a positive fleck sign. B: Magnified view of AP weight-bearing radiograph showing the small avulsion from the medial base of the second metatarsal and lateral translation of the second base on the middle cuneiform—the medial borders of these bones should be in line on the AP view.
What is the most appropriate treatment recommendation for this patient?
- Short-leg cast with weight bearing as tolerated
- Short-leg cast with nonweight bearing
- Closed reduction with percutaneous fixation
- Open reduction and internal fixation (ORIF) or primary arthrodesis
Discussion
The correct answer is (D). In a healthy young athletic patient with diagnosed instability on radiographs, cast treatment is not recommended. Closed reduction may not allow for anatomic reduction of the injury. There is some controversy as to whether open repair of the Lisfranc injury (Fig. 5–84) or primary arthrodesis provides the best long-term treatment for these injuries, and a discussion with the patient should be undertaken presenting these options. The intermediate-term results of these treatments suggest these two treatments may have similar outcomes, with less need for secondary procedures if primary arthrodesis is performed.

#### Figure 5–84 Postoperative AP radiograph showing anatomic reduction of the Lisfranc complex with extra-articular stabilization of the medial column with plate and screw construct. Objectives: Did you learn...?
Describe the correlation between plantar ecchymosis and a Lisfranc injury? Discuss the value of weight-bearing radiographs in diagnosing a Lisfranc injury? Discuss the treatment options for a Lisfranc injury?