A 39-year-old female presents with increasing pain over the lateral aspect of her
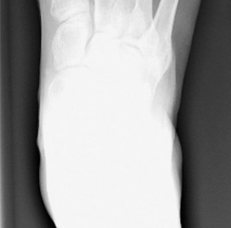
foot. She complains of difficulty with shoe wear. She reports pain specifically at the lateral aspect of her fifth metatarsophalangeal joint. A weight-bearing AP radiograph was obtained (Fig. 5–81).


Figure 5–81 Weight-bearing AP radiograph of the foot.
What is the best initial treatment for a bunionette (tailor’s bunion) deformity?
- Arizona brace
- Fifth metatarsal head excision
- Fifth metatarsal lateral condylar resection
- Shoe wear modification, keratosis padding, and shaving
Discussion
The correct answer is (D). Nonoperative management has a 75% to 90% success rate. An Arizona brace is used to manage hindfoot or ankle pathology. Metatarsal head excision should be used as a salvage procedure as it will destabilize the fifth MTP joint. Lateral condylar resection is appropriate for some patients after failure of conservative management.
After failure of nonsurgical management, a diaphyseal fifth metatarsal osteotomy is the best treatment for which of the following?
- A 45-year-old female with a normal 4–5 intermetatarsal angle and an enlarged lateral prominence of the fifth metatarsal head with an intractable lateral keratotic lesion
- A 45-year-old female with a widened 4–5 intermetatarsal angle (>8 degrees) and a painful prominence over the fifth metatarsal head
- A 60-year-old diabetic with an ulceration over a fifth metatarsal exostosis
Discussion
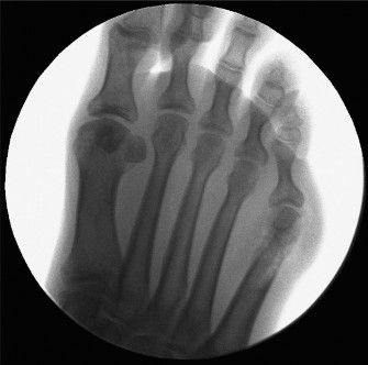
The correct answer is (B). This scenario describes a patient with a type III bunionette. Type III bunionettes are characterized by an increase in the IMA >8 degrees and can be effectively treated with a diaphyseal osteotomy (Fig. 5–82). Type I bunionettes have a normal 4–5 intermetatarsal angle (6.5–8 degrees) and an enlarged metatarsal head. Type II bunionettes are characterized by a lateral bow (outward curvature) in the fifth metatarsal shaft, resulting in a prominence over the metatarsal head, with a normal IMA.

Figure 5–82 Intraoperative image demonstrating correction of the 4–5 IMA using a diaphyseal osteotomy and bioabsorbable fixation.
Lateral condylar resection for bunionette deformity is most commonly associated with which of the following?
- Transfer metatarsalgia
- Intractable keratosis
- Recurrence
- Incisional neuroma
Discussion
The correct answer is (C). Lateral condylar resection alone has been reported to have a 23% incidence of recurrence or persistent lateral forefoot pain. Failure to address underlying fifth metatarsal deformity, for types II and III bunionettes, may result in persistent pain. Transfer metatarsalgia may occur following resection of the metatarsal head or if the fifth metatarsal is excessively shortened. Intractable keratosis may occur if a lateral condylar resection is performed for a type II or III deformity, although this is less common than recurrence. Incisional neuroma is a possible complication, although not the most commonly associated complication with this procedure.
Objectives: Did you learn...?
Discuss the importance of nonoperative management for bunionette deformity?
Assess the three types of bunionette deformities?
Describe the surgical approach to addressing different bunionette deformities?