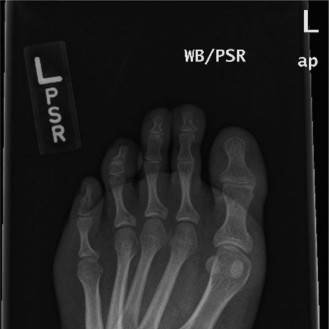
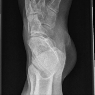
A 22-year-old female presents complaining of pain along the lateral border of her left foot. She has a known history of Charcot–Marie–Tooth disease (CMT) and a clinically evident pes cavus. Radiographs are obtained (Figs. 5–47 and 5–48).

Figure 5–47 Lateral weight-bearing radiograph of the foot.


Figure 5–48 AP weight-bearing radiograph of the foot.
Physical examination is notable for hindfoot varus. Which of the following muscle imbalances contribute to this alignment?
- Strong anterior tibialis and weak posterior tibialis
- Strong peroneus longus and weak anterior tibialis
- Strong anterior tibialis and weak peroneus brevis
- Strong peroneus brevis and weak peroneus longus
Discussion
The correct answer is (B). For reasons that are not entirely understood, muscles of the anterior compartment of the leg are selectively predisposed to weakness in CMT. The lateral compartment is also predisposed to weakness, but this specifically affects the peroneus brevis while sparing the peroneus longus. Thus, the anterior tibialis and peroneus brevis are weak while the posterior tibialis and peroneus longus remain strong, causing a force imbalance. This imbalance precipitates hindfoot varus through two mechanisms. First, the intact peroneus longus plantarflexes the first ray without the opposing dorsiflexion force normally provided by the anterior tibialis. The plantar-flexed first ray in turn drives hindfoot varus. Second, the intact posterior tibialis exerts an inversion force on the subtalar joint without the counterbalancing eversion force normally provided by the peroneus brevis. These two phenomena combine to create subtalar inversion and clinically apparent hindfoot varus.
Why is a dorsiflexion osteotomy of the first ray unlikely to correct hindfoot varus in the setting of significant subtalar arthritis?
- The peroneus brevis remains weak
- One must first correct the drop-foot caused by a weakened tibialis anterior
- The strong peroneus longus will still provide an inversion force
- None of the above
Discussion
The correct answer is (D). Before any deformity-correcting surgery for pes cavus, one must first assess whether the hindfoot position is flexible or rigid. A hindfoot varus is deemed flexible when hindfoot alignment can be moved into more neutral position, either with passive testing of subtalar range of motion or with Coleman block testing. Flexible deformities progressively become rigid over time through degenerative changes in the affected joints. Once the subtalar joint is arthritic, the hindfoot varus can no longer be corrected through subtalar range of motion. In such cases, a corrective arthrodesis of the subtalar joint is necessary to correct hindfoot alignment.
Why do patients with CMT often develop claw toes?
- Intrinsic muscle weakness
- Extensor digitorum longus weakness (EDL)
- Flexor digitorum longus weakness (FDL)
- All of the above
Discussion
The correct answer is (A). CMT is characterized by wasting of the intrinsic musculature of the foot. Similar to the intrinsics of the hand, the intrinsics of the foot plantar flex the metatarsophalangeal (MTP) joints and extend the interphalangeal (IP) joints. Weakness allows overpull by the intact extrinsic muscles, including the EDL and FDL. This causes claw toes, which are characterized by hyperextension at the MTP joints and flexion at the IP joints.
Which of the following soft tissue procedures frequently accompany bony procedures in reconstruction of foot deformities caused by CMT?
- Release of the plantar fascia
- Transfer of the peroneus longus (PL) to the peroneus brevis (PB)
- Transfer of the extensor hallucis longus (EHL) to the neck of the first metatarsal
- All of the above
Discussion
The correct answer is (D). Soft tissue procedures may prevent deformity if performed early enough in the course of CMT. In pes cavus, the raised arch tightens the windlass mechanism provided by the plantar fascia, potentially necessitating a plantar fascia release. By transferring the strong PL to the weak PB, one converts the PL’s function from one of first ray plantar flexion (which exacerbates the cavus and hindfoot varus) to one of hindfoot eversion (which helps correct the hindfoot varus). The EHL is often intact in CMT, and patients frequently use it to compensate for a weak anterior tibialis. Unfortunately, this can also lead to a claw toe deformity in the large toe. By transferring the EHL to the neck of the first metatarsal, one allows it to dorsiflex the foot without precipitating a claw deformity. When this EHL transfer is accompanied by a fusion of the first toe interphalangeal joint, this procedure is titled a “Jones procedure.”
Objectives: Did you learn...?
Describe muscle imbalance characteristics of CMT?
Identify the role of flexible versus rigid deformities in operative planning?
Describe interplay between intrinsic and extrinsic foot musculature that contributes to CMT deformities?
Assess the role of tendon transfers in CMT?