A 54-year-old, right-hand-dominant, high school principal presents to the emergency department with severe left elbow pain after a fall onto the extremity which she sustained earlier that morning while walking her dog. She notes pain with any movement of the elbow, and her clinical examination finds this to be a closed
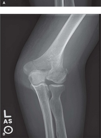
injury with an intact median, radial, and ulnar nerve examination. Injury radiographs are shown in Figure 6–10A and B.


Figure 6–10 A–B
How would you classify this distal humerus fracture?
- Extra-articular (AO/OTA 13A)
- Partial articular (AO/OTA 13 B)
- Complete articular (AO/OTA 13C)
- Further imaging is required in order to make determination
Discussion
The correct answer is (C). These images show an intra-articular fracture involving both the medial and lateral columns of the distal humerus with no articular portion remaining in continuity with the diaphysis. Multiple radiographic views may be necessary in order to make this determination, especially when there is minimal displacement. A CT scan can be useful for both classification and operative planning purposes. Multiple classification systems are used to describe these fractures, and below are figures showing two of the more commonly cited: the AO/OTA classification in Figure 6–11A and the scheme described by Jupiter and Mehne in Figure 6–11B.


Figure 6–11 A–B (Illustrated by David Beavers.)
Further imaging reveals a coronal shear fracture of the capitellum. In considering your surgical approach for open reduction internal fixation (ORIF), which will provide you with the most extensive exposure of the distal humerus articular surface?
- Triceps splitting approach
- Lateral (Kocher) approach
- Volar Henry approach
- Olecranon osteotomy approach
- Triceps reflecting (Bryan–Morrey) approach
Discussion
The correct answer is (D). In an anatomic study by Wilkinson et al., the triceps splitting, triceps reflecting, and transolecranon osteotomy approaches were found to allow direct visualization of 35%, 46%, and 57%, respectively, of the distal humerus articular surface. This study found all three of these approaches provided adequate access to both the radial and ulnar columns of the distal humerus for plating purposes. In the presence of a coronal shear component or a capitellum fracture, an olecranon osteotomy should be considered as a means to obtain improved joint visualization in order to achieve a congruent articular reduction. The Kocher approach is a lateral approach to the elbow used commonly for radial head fractures or LUCL reconstruction, and the volar Henry approach is used to address forearm fractures, not fractures of the humerus.
The surgeon elects to use an olecranon osteotomy and performs ORIF using orthogonal plating in combination with several headless compression screws to address the capitellum fracture. The post-op radiographs are shown in Figure 6–12A and B.


Figure 6–12 A–B
What complication is the patient most likely to experience?
- Nonunion of the distal humerus fracture
- Iatrogenic ulnar nerve injury
- Wound-healing complications
- Loss of elbow motion
- Symptomatic hardware requiring removal
Discussion
The correct answer is (D). It is extremely common to lose some elbow range of motion after elbow fractures, particularly with distal humerus fractures. This loss of motion may be due to a number of variables including articular incongruity, capsular contractures, loose bodies, heterotopic ossification, and/or prominent hardware. The average flexion contracture following ORIF of distal humerus fractures is 20 to 25 degrees, and an expected total arc of motion is 100 to 110 degrees. Symptomatic hardware is common as well, especially with an olecranon fracture or osteotomy. In this case, however, the olecranon osteotomy was fixed with a cancellous screw and washer which requires hardware removal less frequently than other fixation methods such as tension band wiring, where wire back-out is a frequent issue. Another complication, specifically associated with an olecranon osteotomy, is nonunion of the osteotomy site.
Objectives: Did you learn...?
Classification of distal humerus fractures?distal humerus fractures
The expected articular exposure of the various approaches to the distal humerus?
The expected loss of motion following ORIF of distal humerus fractures, in particular the loss of terminal extension?